Wyszukaj egzamin lub pytanie
Egzamin PES Endokrynologia ginekologiczna i rozrodczość / jesień 2023
120 pytań
Pytanie 1
W diagnostyce różnicowej młodzieńczej adenomiozy torbielowatej (juvenile cystic adenomyosis) należy wziąć pod uwagę:
1) szczątkowy róg macicy z zachowaną częściowo jamą;
2) adenomiozę torbielowatą;
3) ulegający degeneracji/rozmiękaniu mięśniak macicy;
4) pierwotne bolesne miesiączkowanie;
5) wodniak jajowodu.
Prawidłowa odpowiedź to:
Pytanie 2
Określenie ACUM (accessory and cavitated uterine mass(es)) dotyczy zmian ogniskowych w obrębie mięśnia macicy, zawierających funkcjonalne endometrium. Do tej grupy zalicza się m.in. młodzieńczą adenomiozę torbielowatą. Wskaż prawdziwe stwierdzenia dotyczące młodzieńczej adenomiozy torbielowatej:
1) jest rzadko występującą wrodzoną malformacją macicy;
2) jest relatywnie częstym schorzeniem, którego występowanie jest prawdopodobnie związane z rozpoczęciem stosowania antykoncepcji hormonalnej <16 r.ż.;
3) charakteryzuje się dobrym rokowaniem po zastosowaniu leczenia chirurgicznego;
4) zwykle bardzo dobrze odpowiada na leczenie analogiem GnRH i nie wymaga leczenia chirurgicznego;
5) objawia się silnymi dolegliwościami bólowymi, nie odpowiadającymi na powszechnie stosowane leki przeciwbólowe.
Prawidłowa odpowiedź to:
Pytanie 3
Prawidłowe zarządzanie jakością w ośrodku wspomaganego rozrodu polega m.in. na regularnej kontroli tzw. kluczowych wskaźników efektywności (key performance indicators). Do grupy klinicznych wskaźników efektywności należy odsetek oocytów MII w stosunku do ilości wszystkich kumulusów uzyskanych w trakcie punkcji pęcherzyków jajnikowych. Z jaką regularnością należy kontrolować ten wskaźnik?
Pytanie 4
Zarządzanie jakością w laboratorium embriologicznym obejmuje stałą kontrolę wskaźników efektywności, do których należy wskaźnik rozwoju zarodków do etapu blastocysty (blastocyst development rate), określany jako odsetek blastocyst do wszystkich zarodków 2PN, po 116 +/- 2. godzinach od zapłodnienia. Wg stanowiska ekspertów ESHRE (konsensus wiedeński) tzw. wartość referencyjna (benchmark value) dla tego wskaźnika wynosi:
Pytanie 5
Nawracające niepowodzenia implantacji (recurrent implantation failure, RIF) rozpoznaje się u par, u których nie uzyskano ciąży po wykonaniu określonej liczby transferów, dla których hipotetyczny skumulowany wskaźnik ciąż przekroczyłby 60%. Przy podejrzeniu RIF rekomendowane postępowanie obejmuje:
1) oznaczenie ilości macicznych komórek NK (uNK, CD 56+) w endometrium w okresie tzw. okna implantacyjnego;
2) oznaczenie ilości obwodowych komórek NK (NK, CD 56-) we krwi obwodowej;
3) oznaczenie profilu cytokin prozapalnych we krwi obwodowej w II połowie cyklu;
4) diagnostykę zespołu antyfosfolipidowego jeżeli występują czynniki ryzyka, t.j. wcześniejsze straty ciąż lub obciążony wywiad w kierunku powikłań zakrzepowo-zatorowych;
5) badanie mikrobiomu jamy macicy.
Prawidłowa odpowiedź to:
Pytanie 6
Zgodnie z aktualną wiedzą medyczną rekomendowane interwencje medyczne w razie rozpoznania nawracających niepowodzeń implantacji obejmują:
1) modyfikację stylu życia, w tym próby normalizacji masy ciała;
2) poradnictwo genetyczne i zastosowanie diagnostyki przedimplantacyjnej w razie rozpoznania chromosomalnych aberracji strukturalnych u pacjentów;
3) kontrolowany uraz endometrium (scratching endometrium) w fazie lutealnej cyklu poprzedzającego cykl z transferem zarodka;
4) zastosowanie po transferze preparatu heparyny drobnocząsteczkowej w dawkach profilaktycznych;
5) zastosowanie po transferze preparatu heparyny drobnocząsteczkowej w dawkach leczniczych.
Prawidłowa odpowiedź to:
Pytanie 7
W leczeniu pary z rozpoznaniem niepłodności o niewyjaśnionej przyczynie (niepłodności idiopatycznej), zgodnie z aktualnymi rekomendacjami ESHRE (European Society for Human Reproduction and Embryology) należy zastosować:
Pytanie 8
Metformina jest lekiem znajdującym zastosowanie w leczeniu niepłodnych pacjentek z zespołem policystycznych jajników. Wg najnowszych zaleceń międzynarodowych kontynuacja leczenia metforminą w trakcie ciąży ma na celu:
1) obniżenie ryzyka wystąpienia porodu przedwczesnego u części pacjentek (u pacjentek z obciążonym wywiadem w kierunku porodu przedwczesnego);
2) u wybranych pacjentek ograniczenie nadmiernego przyrostu masy ciała w trakcie ciąży;
3) prewencję wystąpienia cukrzycy ciążowej;
4) obniżenie ryzyka wystąpienia nadciśnienia indukowanego ciążą i stanu przedrzucawkowego;
5) zmniejszenie ryzyka urodzenia dziecka z nadmierną urodzeniową masą ciała (≥4000 g).
Prawidłowa odpowiedź to:
Pytanie 9
W okresie dojrzewania podwzgórzowe neurony GnRH wymagają bezpośredniej aktywacji. Cząsteczkami aktywującymi neurony GnRH są:
Pytanie 10
Wskaż fałszywe stwierdzenie dotyczące przedwczesnej niewydolności jajników (POI):
Pytanie 11
Wskaż prawdziwe stwierdzenie dotyczące potencjalnego zastosowania testosteronu w niepłodności męskiej zgodnie z aktualnymi rekomendacjami:
Pytanie 12
Przedwczesne dojrzewanie płciowe powoduje:
1) zespół McCune’a-Albrighta;
2) juvenile variant granulosa cell tumor (młodzieńczy guz z komórek ziarnistych);
3) mutację aktywującą kisspeptyd lub receptor kisspeptydowy;
4) zespół Kallmanna;
5) zespół Pradera-Williego.
Prawidłowa odpowiedź to:
Pytanie 13
Które z leków użytych do wyzwalania piku owulacyjnego działają bezpośrednio na jajnik?
1) hCG;
2) kisspeptyna-10;
3) kisspeptyna-54;
4) agonista GnRH;
5) LH.
Prawidłowa odpowiedź to:
Pytanie 14
Metoda genetycznego testowania zarodków w kierunku aneuploidii (PGT-A) jest obecnie krytykowana, ponieważ biopsja:
Pytanie 15
W badaniach wykazano, że letrozol:
1) jest skuteczniejszy od klomifenu w grupie pacjentek z PCOS z BMI powyżej 30 kg/m;
2) jest skuteczniejszy od klomifenu w grupie pacjentek z niepłodnością niewyjaśnioną;
3) zwiększa bezpieczeństwo stymulacji jajeczkowania u pacjentek z nowotworami estrogenozależnymi;
4) zmniejsza ryzyko wystąpienia zespołu hiperstymulacyjnego przy stymulacji mnogiego jajeczkowania;
5) z mniejszym prawdopodobieństwem po indukcji jajeczkowania doprowadzi do ciąży wielopłodowej w porównaniu do klomifenu;
6) jest skuteczniejszy od klomifenu u pacjentek z PCOS niezależnie od masy ciała.
Prawidłowa odpowiedź to:
Pytanie 16
Para z niepłodnością spowodowaną zaburzeniami jajeczkowania na tle PCOS (brak samoistnych miesiączek, AMH 23 ng/ml, BMI 27 kg/m2) i czynnikiem męskim, skierowana do programu leczenia metodą pozaustrojowego zapłodnienia. Wskaż najskuteczniejszy i najbezpieczniejszy sposób stymulacji mnogiego jajeczkowania:
Pytanie 17
W regulacji sytości i łaknienia biorą udział liczne hormony. Które stwierdzenie błędnie charakteryzuje ich rolę?
Pytanie 18
Załóżmy, że do badania włączano kolejne osoby zgłaszające się do poradni leczenia niepłodności. Dane zebrane w tym badaniu:
Pytanie 19
Dane pochodzą z badań nad anoreksją u młodych kobiet. W badaniu porównywano efekty pewnej terapii w leczeniu tej choroby. Masy pacjentek zmierzono po raz pierwszy przed rozpoczęciem terapii, a po raz drugi po jej zakończeniu uzyskując pary wyników. Starano się odrzucić hipotezę zerową, mówiącą, że masy przed terapią i po terapii są takie same. Wskaż prawdziwe stwierdzenie:
Pytanie 20
Wskaż prawdziwe stwierdzenie dotyczące testu normalności:
Pytanie 21
Podano przykłady hipotez zerowych, które zastosowano w badaniach medycznych. Która z nich jest nieprawidłowa?
Pytanie 22
Histogram przedstawia rozkład wzrostu w grupie niepłodnych mężczyzn. Wskaż prawdziwe stwierdzenie:

Pytanie 23
Zebrano próbę składającą się z pomiarów masy ciała 100 kobiet w wieku rozrodczym. Która z wielkości nie opisuje tej próby?
Pytanie 24
Menopauza związana jest z obniżeniem stężeń krążących estrogenów i podwyższonym ryzykiem rozwoju osteoporozy. Wskaż fałszywe stwierdzenie dotyczące kalkulatora ryzyka złamań (FRAX):
Pytanie 25
Wskaż prawdziwe stwierdzenie dotyczące objawów i dolegliwości w okresie okołomenopauzalnym:
1) otyłe kobiety w wieku premenopauzalnym mają wyższe stężenia estradiolu i FSH w porównaniu do kobiet o prawidłowej masie ciała w analogicznym wieku;
2) do najczęstszych objawów wazomotorycznych (ponad 50%) należą uderzenia gorąca i nocne poty;
3) faza przejścia menopauzalnego trwa średnio około 2-3 lata;
4) u otyłych kobiet w wieku postmenopauzalnym istotnie częściej występują objawy wazomotoryczne niż w grupie kobiet pomenopauzalnych z prawidłową masą ciała;
5) u palaczek papierosów objawy wazomotoryczne i menopauza występują później niż u kobiet niepalących.
Prawidłowa odpowiedź to:
Pytanie 26
Prawidłowe wzrastanie płodu w ciąży wymaga skoordynowanej sekwencji wydarzeń endokrynnych i metabolicznych oraz prawidłowego funkcjonowania jednostki płodowo-łożyskowej. Jednym z hormonów odgrywających kluczową rolę w tym procesie jest ludzki laktogen łożyskowy (hPL). Wskaż prawdziwe stwierdzenie dotyczące hPL:
Pytanie 27
U chorej z niedoczynnością kory nadnerczy przed operacją usunięcia mięśniaka śródściennego na drodze laparotomii przeprowadzono konsultację endokrynologiczną. Wskaż fałszywe stwierdzenie dotyczące zaleceń z odbytej konsultacji:
Pytanie 28
Pacjentka jest nosicielem zrównoważonej translokacji dotyczącej dwóch autosomów. Wskaż prawdziwe stwierdzenia dotyczące produkowanych przez nią gamet:
1) ¼ jest prawidłowa;
2) ¼ jest nieprawidłowa i niezrównoważona;
3) ¼ jest nieprawidłowa i zrównoważona;
4) ½ jest nieprawidłowa i zrównoważona;
5) ½ jest nieprawidłowa i niezrównoważona.
Prawidłowa odpowiedź to:
Pytanie 29
Wskaż fałszywe stwierdzenie dotyczące translokacji robertsonowskiej:
Pytanie 30
Jednym z problemów klinicznych w autoimmunologicznym zapaleniu tarczycy jest przyrost masy ciała mimo leczenia. Badania epidemiologiczne potwierdzają częstsze występowanie celiakii u osób z autoimmunologicznym zapaleniem tarczycy (8,6%) w porównaniu do grupy osób z Hashimoto (1%). Które postępowanie dietetyczne jest najbardziej optymalne?
1) gluten jest szkodliwy dla zdrowia i dieta bezglutenowa jest zalecana każdej pacjentce z autoimmunologicznym zapaleniem tarczycy;
2) gluten nie jest szkodliwy dla zdrowia i nie powoduje przyrostu masy ciała;
3) gluten wspomaga utrzymanie prawidłowej mikroflory w przewodzie pokarmowym;
4) gluten powoduje dysbiozę w przewodzie pokarmowym;
5) w zastępczych produktach bezglutenowych znajduje się więcej cukru.
Prawidłowa odpowiedź to:
Pytanie 31
17-letnia dziewczyna została skierowana do specjalisty w dziedzinie endokrynologii ginekologicznej i rozrodczości przez ginekologa z POZ z powodu przewlekłego zespołu bólowego miednicy mniejszej. Dotychczasowe leczenie hormonalne i NLPZ nie przyniosło poprawy. Z powodu podejrzenia endometriozy pacjentka została zakwalifikowana do laparoskopii. Jeśli zostanie u chorej postawione rozpoznanie endometriozy, jakiej różnicy w zaawansowaniu endometriozy można spodziewać się pomiędzy nastolatkami a kobietami powyżej 35 roku życia:
Pytanie 32
Jak zróżnicować zespół metaboliczny w przebiegu otyłości prostej od zespołu metabolicznego wywołanego hiperkortyzolemią? W obu przypadkach występuje centralna lokalizacja tkanki tłuszczowej. Które z objawów przemawiają za rozpoznaniem hiperkortyzolemii?
1) miejscowa lokalizacja tkanki tłuszczowej w okolicy karku, dołów nadobojczykowych, twarzy;
2) łatwe siniaczenie;
3) zaniki skóry lub mięśni szkieletowych;
4) osteoporoza;
5) nadciśnienie tętnicze;
6) dyslipidemia;
7) zaburzenie funkcji seksualnych;
8) zaburzenie funkcji poznawczych, labilność emocjonalna.
Prawidłowa odpowiedź to:
Pytanie 33
Hipogonadyzm wtórny do otyłości jest problemem 45% mężczyzn z umiarkowanym i ciężkim stopniem otyłości. Częstość hipogonadyzmu wzrasta istotnie ze stopniem otyłości i jej powikłaniami m.in. cukrzycą i zespołem metabolicznym. Do objawów klinicznych hipogonadyzmu u mężczyzn nie zalicza się:
1) zaburzenia erekcji;
2) osłabienia porannych wzwodów;
3) braku wpływu na libido;
4) zmniejszenia beztłuszczowej masy ciała;
5) osłabienia siły mięśniowej;
6) ginekomastii;
7) zmniejszenia owłosienia;
8) zaburzenia gospodarki lipidowej.
Prawidłowa odpowiedź to:
Pytanie 34
Wysokie ryzyko wystąpienia pierwotnej niedoczynności jajników (POI) wiąże się ze wszystkimi z poniższych sytuacji klinicznych, z wyjątkiem:
Pytanie 35
15-letnia pacjentka zgłosiła się do endokrynologa z powodu pierwotnego braku miesiączki. Wzrost 180 cm, masa ciała 82 kg, rozwój cech płciowych w skali Tannera: B1, P4, Ax3. Narządy płciowe zewnętrzne: częściowy zrost warg sromowych mniejszych w tylnym odcinku, łechtaczka prawidłowa, ślepo zakończony zachyłek pochwy głębokości 2,5 cm. W badaniu USG nie uwidoczniono macicy, gonada prawa o litej homogennej echostrukturze objętości 3 cm3 zlokalizowana w kanale pachwinowym, gonada lewa o litej homogennej echostrukturze objętości 2 cm3 zlokalizowana w miednicy mniejszej. Kariotyp 46,XY. Wyniki badań hormonalnych: testosteron całkowity 0,08 ng/ml (N 0,08-0,8), DHEAS 7,2 µmol/l (N 1-10), 17OHP 1,6 ng/ml (N 1,5-2,5), androstendion 0,6 ng/ml (N 0,3-20), dihydrotestosteron (DHT) 500 ng/ml (N 50-300), FSH 19 IU/l, LH 27 IU/l, estradiol 17 pg/ml, AMH 80 ng/ml, kortyzol (o godzinie 8) 95 ng/ml (N 50-250), ACTH (o godzinie 8) 26 pg/ml (N 10-60). W teście z hCG po 72 godzinach testosteron całkowity 0,09 ng/ml. Wskaż rozpoznanie, które sugeruje obraz kliniczny i wyniki badań:
Pytanie 36
U 31-letniej pacjentki, u której wcześniej rozpoznano zespół policystycznych jajników, w 18. tygodniu ciąży wykonano amniopunkcję genetyczną z uwagi na nieprawidłowy wynik testu złożonego wskazujący na wysokie ryzyko (1:65) trisomii 21. Wynik badania cytogenetycznego kariotyp 46,XX. Po urodzeniu u noworodka stwierdzono nieprawidłowe zewnętrzne narządy płciowe: przerost łechtaczki, zrost warg sromowych skracający szparę sromową w stopniu uniemożliwiającym ocenę przedsionka pochwy. W badaniu palpacyjnym nie stwierdzono gonad w obrębie warg sromowych ani kanałów pachwinowych. Badanie USG wykazało obecność macicy typowej dla okresu noworodkowego. Kariotyp noworodka z krwi obwodowej 46,XX. W diagnostyce różnicowej należy uwzględnić wszystkie z wymienionych poniżej zaburzeń, z wyjątkiem:
Pytanie 37
Wskaż fałszywe stwierdzenie dotyczące zespołu Turnera (ZT):
Pytanie 38
Współwystępowanie pierwotnej nadczynności przytarczyc i guza prolaktynowego jest charakterystyczne dla:
Pytanie 39
Wskaż fałszywe stwierdzenie dotyczące heteroseksualnego przedwczesnego dojrzewania u dziewczynek:
Pytanie 40
Zgodnie definicją ESHRE, zawartą w wytycznych odnoszących się do diagnostyki i leczenia zespołu policystycznych jajników (2018, 2023), za zaburzenia cyklu miesiączkowego u nastolatek, wymagające dalszej diagnostyki, uznaje się wszystkie wymienione, z wyjątkiem:
Pytanie 41
17-letnia pacjentka zgłosiła się do lekarza z powodu pierwotnego braku miesiączki. Matka pochodząca z Senegalu podaje, że u niej pierwsza miesiączka wystąpiła w wieku 16 lat. Początek dojrzewania u pacjentki w wieku 13 lat. Intensywnie uprawia sport (trenuje na siłowi 4x w tygodniu 1,5-2 godziny, gra w tenisa 2x w tygodniu godzinę). Od 2 lat jest wegetarianką. Od miesiąca gorzej się czuje, schudła 4 kg, czasem ma nudności, ale nie wymiotuje, po wysiłku czuje się bardzo osłabiona, miewa zawroty głowy przy wstawaniu. W związku z tym, że podjęła współżycie wykonała test ciążowy (wynik ujemny) i oznaczyła poziom beta hCG (stężenie <5 mIU/ml). Wzrost 167 cm, masa ciała 53 kg, BMI 19, rozwój cech płciowych w skali Tannera: B4 P4 Ax3. Wszystkie z wyników badań pacjentki kształtują się charakterystycznie dla czynnościowego podwzgórzowego braku miesiączki, z wyjątkiem:
Pytanie 42
Mechanizm kontrolujący pierwsze trzy podziały zarodka uzależniony jest od:
Pytanie 43
Plemnik przed fuzją z oolemmą oocytu musi:
Pytanie 44
Biopsja jakiego materiału jest obecnie uznawana za najbardziej wiarygodną i najmniej traumatyczną opcją stosowaną w przebiegu badań preimplantacyjnych zarodka?
Pytanie 45
Blokada polispermii to zjawisko pozwalające na kontrolowaniu liczby plemników wnikających do oocytu, które kontrolowane jest przez:
Pytanie 46
Istotą witryfikacji jest zeszklenie płynnej zawartości komórki, z pominięciem etapu krystalizacji. Najważniejszymi cechami witryfikacji są:
1) ekspozycja komórek na wysokie stężenie krioprotekantu;
2) ultra szybkie tempo schładzania (-2500°C/min);
3) ultra szybkie tempo rozmrażania (około 40 000°C/min);
4) ekspozycja komórek na niskie stężenie krioprotekantu;
5) stopniowe schładzanie z prędkością 0,3-0,4°C/min do temp. -30°C do -70°C.
Prawidłowa odpowiedź to:
Pytanie 47
Zarodki 8 blastomerowe obserwuje się około:
Pytanie 48
Do cech morfologicznych dojrzałej komórki jajowej MII, mających zdecydowanie negatywny wpływ na wynik leczenia (odsetek zapłodnień, rozwój blastocyst, szanse na ciążę) zalicza się:
1) niejednorodną cytoplazmę z dużymi ziarnistościami;
2) obecność dużych wakuol w cytoplazmie;
3) brak widocznego ciałka kierunkowego;
4) poszerzoną i/lub nierównomierną przestrzeń okołożółtkowa;
5) okrągły kształt osłonki przejrzystej.
Prawidłowa odpowiedź to:
Pytanie 49
Kiedy w komórce jajowej dochodzi do zaburzenia drugiego podziału redukcyjnego i niewyrzucenia ciałka kierunkowego do przestrzeni okołożółtkowej?
Pytanie 50
Co nie jest prawdopodobną przyczyną nie rozmrożenia się prawidłowo zarodka?
Pytanie 51
Jakie są prawidłowe warunki oceny nasienia według aktualnych rekomendacji WHO z 2021 roku?
Pytanie 52
Wskaż prawidłowe dokończenie zdania. Ocena fragmentacji DNA plemników stanowi coraz bardziej istotne narzędzie w diagnostyce męskich zaburzeń prokreacji, zwiększona fragmentacja plemników:
Pytanie 53
Oznaczenia, których parametrów nasienia znajdują zastosowanie w ocenie funkcji poszczególnych narządów płciowych?
Pytanie 54
Do stymulacji spermatogenezy u pacjentów z hipogonadyzmem hipogonadotropowym stosuje się:
Pytanie 55
Które z czynników najbardziej zmniejszają szansę na uzyskanie spermatogenezy u chorych z hipogonadyzmem hipogonadotropowym?
Pytanie 56
Które z czynników mogą spowodować wystąpienie czynnościowego hipogonadyzmu hipogonadotropowego u mężczyzn?
Pytanie 57
Wskaż prawdziwe stwierdzenie dotyczące możliwości pozyskania plemników z biopsji jąder u pacjentów z azoospermią:
Pytanie 58
Wśród potencjalnych leków mogących mieć zastosowanie w antykoncepcji męskiej są:
Pytanie 59
W wyniku stosowania dopingu androgenno-anabolicznego mogą wystąpić następujące powikłania ogólne:
Pytanie 60
Klasycznym wskazaniem do krioprezerwacji męskich komórek rozrodczych jest:
Pytanie 61
Dehydroepiandrosteron (DHEA) jest hormonem steroidowym oznaczanym m.in. w celu identyfikacji źródła hiperandrogenizmu. Wskaż fałszywe stwierdzenie dotyczące tego hormonu:
Pytanie 62
Które z sytuacji klinicznych mogą spowodować zaburzenia miesiączkowania w mechanizmie nabytego hipogonadyzmu hipogonadotropowego?
1) zespół Sheehana;
2) zespół Kallmanna;
3) perimenopauza;
4) czaszkogardlak okolicy podwzgórzowo-przysadkowej;
5) sarkoidoza.
Prawidłowa odpowiedź to:
Pytanie 63
Badania genetyczne, w tym wykrywanie obecności mikrodelecji w regionie AZF chromosomu Y są zalecane w diagnostyce niepłodności męskiej wynikającej z oligo- lub azoospermii nieobturacyjnej. Które z lokalizacji mikrodelecji wiążą się z oligozoospermią oraz zwiększonym ryzykiem wystąpienia germinalnych guzów jąder?
Pytanie 64
Wskaż prawdziwe stwierdzenie dotyczące zespołu Klinefeltera:
Pytanie 65
Wskaż prawdziwe stwierdzenie dotyczące hirsutyzmu idiopatycznego:
Pytanie 66
Zgodnie z zapisem Ustawy z dnia 25 czerwca 2015 r. o leczeniu niepłodności, kierownik ośrodka medycznie wspomaganej prokreacji (OMWP) oraz kierownik banku komórek rozrodczych i zarodków (BKRiZ) wyznaczają odpowiednio osobę odpowiedzialną za jakość w ośrodku albo osobę odpowiedzialną za jakość w banku. Wskaż prawdziwe stwierdzenia dotyczące tych funkcji:
1) osoba odpowiedzialna za jakość posiada co najmniej dwuletnie doświadczenie zawodowe uzyskane odpowiednio w OMWP albo BKRiZ;
2) funkcje te może pełnić wyłącznie lekarz z dwuletnim doświadczeniem zawodowym w zakresie diagnostyki i leczenia niepłodności;
3) osoba ta posiada co najmniej wyższe wykształcenie w dziedzinie nauk medycznych lub biologicznych;
4) do zakresu zadań osoby odpowiedzialnej za jakość w ośrodku/banku należy niezwłoczne, nie później jednak niż w terminie 10 dni, informowanie ministra właściwego do spraw zdrowia o każdym przypadku zaistnienia lub podejrzenia zaistnienia istotnego zdarzenia niepożądanego;
5) do zakresu zadań osoby odpowiedzialnej za jakość w ośrodku/banku nie należy zapewnienie przestrzegania obowiązku odbycia przez pracowników odpowiednio OMWP/BKRiZ szkoleń w zakresie postępowania z komórkami rozrodczymi, wymaganych powyższą Ustawą.
Prawidłowa odpowiedź to:
Pytanie 67
Zespół Swyera, zwany również czystą dysgenezją gonad odnosi się do zaburzeń rozwoju płciowego z prawidłowym zestawem chromosomów. Wskaż prawdziwe stwierdzenie dotyczące zespołu Swyera:
Pytanie 68
W myśl zapisów Ustawy z dnia 25 czerwca 2015 r. o leczeniu niepłodności, ośrodek medycznie wspomaganej prokreacji oraz bank komórek rozrodczych i zarodków są obowiązane przechowywać dokumentację dotyczącą wykonywanych czynności, w tym rodzajów i ilości komórek rozrodczych i zarodków, pobranych, przetestowanych, zakonserwowanych, przetworzonych, przechowywanych
i dystrybuowanych lub w inny sposób wykorzystanych, a także dotyczącą ich pochodzenia oraz miejsca docelowego niezbędną do monitorowania komórek rozrodczych i zarodków na wszystkich etapach przez okres:
Pytanie 69
Wskaż fałszywe stwierdzenie dotyczące endometriozy:
Pytanie 70
Do czynników ryzyka ciężkiej postaci zespołu hiperstymulacji jajników (OHSS) w przebiegu procedury zapłodnienia pozaustrojowego (IVF) zalicza się:
1) młody wiek pacjentki;
2) wysoką rezerwę jajnikowa rozumianą jako poziom FSH we krwi >15 IU/l;
3) wcześniej przebyty zespół hiperstymulacji jajników;
4) wysoki poziom estradiolu (>3500 pg/ml) we krwi w momencie podania triggera przed punkcją jajników;
5) krótki protokół stymulacji z zastosowaniem jako triggera przed punkcją jajników hMG (ludzkiej gonadotropiny menopauzalnej);
6) transfer zarodka w cyklu w którym przeprowadzono kontrolowaną hiperstymulację oraz pobranie komórek jajowych.
Prawidłowa odpowiedź to:
Pytanie 71
Obowiązujące wartości referencyjne nasienia są podawane przez WHO i aktualizowane co 5 lat. Obecnie obowiązuje wersja z 2021 roku:
Pytanie 72
Mediana gęstości nasienia wg aktualizacji norm WHO obowiązującej obecnie wynosi:
Pytanie 73
Mężczyźni po wyleczonej chorobie nowotworowej coraz częściej zgłaszają się celem oceny płodności. Jaka łączna dawka otrzymanego promieniowania pozostaje zwykle bez wpływu na spermatogenezę?
Pytanie 74
Jaki sposób przygotowania do transferu rozmrożonego zarodka należy zaproponować pacjentce z regularnymi owulacyjnymi cyklami miesiączkowymi jako preferowany ze względu na skuteczność i bezpieczeństwo w ciąży?
Pytanie 75
W którym dniu po owulacji należy rozmrozić i podać podczas transferu zarodek określony jako bl4.1.2?
Pytanie 76
W 12 godzin po wyzwoleniu analogiem hormonu podwzgórzowego uwalniającego gonadotropiny (GnRHa) do punkcji jajników w celu pobrania komórek jajowych do zapłodnienia pozaustrojowego, planowanej następnego dnia na godzinę 9.00, stężenie LH w surowicy krwi pacjentki wyniosło 8 IU/ml. O czym to świadczy i co należy zalecić pacjentce, jeśli istnieje taka konieczność?
1) jest to dobry wynik świadczący o dobrej reakcji na analog, punkcja powinna się odbyć jak zaplanowano;
2) jest to za niskie stężenie świadczące o ryzyku nieodpowiedniej reakcji na analog;
3) należy zalecić dodatkową iniekcję z analogu GnRH w podwójnej dawce i przesunąć punkcję na 24 godziny po drugiej iniekcji;
4) należy zlecić dodatkową iniekcję z hCG 5000 IU i przesunąć punkcję na 36 godzin po tej iniekcji;
5) należy zlecić dodatkową iniekcję z hCG 5000 IU i przesunąć punkcję na 24 godziny po tej iniekcji;
6) nie można uratować tego cyklu, należy go przerwać.
Prawidłowa odpowiedź to:
Pytanie 77
Podczas stymulacji do zapłodnienia pozaustrojowego, wyzwolenie GnRHa (analogiem hormonu podwzgórzowego uwalniającego gonadotropiny) przed punkcją jajników stosuje się przy planowaniu zamrożenia wszystkich zarodków, aby zmniejszyć ryzyko zespołu hiperstymulacji jajników (OHSS). Wskaż wszystkie sytuacje, w których istnieje ryzyko nieodpowiedniej reakcji na wyzwolenie GnRHa, co spowoduje brak komórek jajowych:
1) prawidłowe podstawowe stężenie LH w surowicy krwi;
2) niskie, poniżej normy, podstawowe stężenie LH w surowicy krwi;
3) stężenie LH w surowicy krwi powyżej 15 IU/ml po 12 godzinach od iniekcji analogu GnRH;
4) stężenie LH w surowicy krwi poniżej15 IU/ml po 12 godzinach od iniekcji analogu GnRH;
5) punkcja jajników w celu pobrania komórek jajowych po 24 godzinach od podania GnRHa;
6) stymulacja hormonalna do zapłodnienia pozaustrojowego w krótkim protokole z agonistą (SP);
7) stymulacja hormonalna do zapłodnienia pozaustrojowego w długim protokole z agonistą (LP);
8) stymulacja hormonalna do zapłodnienia pozaustrojowego w protokole z antagonistą.
Prawidłowa odpowiedź to:
Pytanie 78
Który z zarodków wygląda prawidłowo w 92 +/- 1 godzinie po zapłodnieniu?

Pytanie 79
Pobrana w wyniku punkcji do zapłodnienia pozaustrojowego komórka jajowa jest zdolna do zapłodnienia, gdy:
Pytanie 80
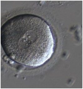
Zdjęcie przedstawia:

Pytanie 81
Poziom androgenów we krwi u nastolatek osiąga zakres wartości charakterystyczny dla kobiet dorosłych w wieku:
Pytanie 82
Wskaż fałszywe stwierdzenie dotyczące rekomendowanej (wg ESHRE) diagnostyki kobiet z PCOS:
Pytanie 83
Wg najnowszych rekomendacji ESHRE procedurą o udowodnionej skuteczności w terapii poronień nawracających jest:
1) PICSI w przypadku procedury zapłodnienia pozaustrojowego;
2) histeroskopowa resekcja mięśniaka podśluzówkowego;
3) uwolnienie zrostów wewnątrzmacicznych;
4) wycięcie przegrody macicy;
5) scratching endometrium;
6) zastosowanie metforminy u pacjentek z insulinoopornością;
7) zastosowanie progestagenów w przypadku defektu fazy lutealnej;
8) zastosowanie antyoksydantów u mężczyzn.
Prawidłowa odpowiedź to:
Pytanie 84
W przypadku niewyjaśnionej przyczyny niepłodności wg najnowszych zaleceń rekomenduje się u kobiety:
Pytanie 85
U pary z poronieniami nawracającymi zgodnie z aktualną wiedzą medyczną zaleca się ocenić:
1) stężenie przeciwciał antykardiolipinowych i oznaczenie antykoagulantu toczniowego;
2) stężenie przeciwciał antyfosfolipidowych;
3) poziom β2 glikoproteiny i przeciwciał aβ2GPI;
4) antygeny HLA;
5) stężenie przeciwciał antyjądrowych (ANA);
6) poziom TSH i stężenie przeciwciał aTPO;
7) krzywą cukrową (OGTT).
Prawidłowa odpowiedź to:
Pytanie 86
Wskaż fałszywe stwierdzenie dotyczące stymulacji jajników do procedury zapłodnienia pozaustrojowego zgodnie z najnowszymi zaleceniami ESHRE:
Pytanie 87
Kobiety z PCOS w ciąży nie mają wyższego ryzyka wystąpienia:
Pytanie 88
Wskaż fałszywe stwierdzenie dotyczące diagnostyki wad macicy u kobiet z poronieniami nawracającymi:
Pytanie 89
W trakcie stymulacji owulacji w protokole długim z agonistą GnRH wystąpiły cechy zagrażającego zespołu hiperstymulacji. Jakie metody można zastosować celem zmniejszenia nasilenia lub zapobiegnięcia OHSS?
1) wywołanie piku owulacyjnego za pomocą agonisty GnRH;
2) zastosowanie agonisty dopaminy od dnia podania hCG;
3) natychmiastowe wykonanie punkcji jajników;
4) odstąpienie od przeniesienie zarodków do macicy i ich zamrożenie;
5) zmniejszenie dawek podawanych gonadotropin.
Prawidłowa odpowiedź to:
Pytanie 90
Stopień średni OHSS wg Levina i Navota charakteryzuje się:
1) hematokrytem powyżej 45%;
2) wzdęciem brzucha, nudnościami;
3) WBC do 10 000/mm3;
4) obecnością wodobrzusza;
5) prawidłowym poziomem kreatyniny.
Prawidłowa odpowiedź to:
Pytanie 91
Przeciwwskazaniem bezwzględnym do histeroskopii jest:
1) obfite krwawienie z macicy;
2) rak szyjki macicy;
3) ciężka choroba ogólnoustrojowa;
4) podejrzenie ropomacicza, nieprawidłowa ropna wydzielina w drogach płciowych;
5) podejrzenie resztek po poronieniu.
Prawidłowa odpowiedź to:
Pytanie 92
Wskazaniem do zapłodnienia więcej niż sześciu komórek jajowych, wg rekomendacji PTMRiE, u kobiet przed 35 rokiem życia jest:
1) endometrioza stwierdzona przy laparoskopii diagnostycznej sklasyfikowana jako: ENZIAN P2 O0/0 T1-/1- A0 B0/0 C0;
2) endometrioza stwierdzona przy laparoskopii diagnostycznej sklasyfikowana jako: ENZIAN P1 O2/0 T1+/0+ A0 B1/0 C0;
3) rezerwa jajnikowa AMH 0,8 ng/ml u pacjentki w wieku 30 lat;
4) macica jednorożna;
5) asthenozoospermia I°.
Prawidłowa odpowiedź to:
Pytanie 93
W jakim okresie, najwcześniej od uzyskania optymalnego stanu tyreometabolicznego powinien być przeprowadzony zabieg kontrolowanej stymulacji jajników?
Pytanie 94
Wskaż najskuteczniejszą metodę farmakoterapii w leczeniu objawów naczynioruchowych w okresie perimenopauzy:
Pytanie 95
U kobiet po menopauzie dochodzi do:
Pytanie 96
Działania niepożądane terapii hormonalnej związane z estrogenami to:
1) nudności;
2) zwiększenie masy ciała;
3) migreny;
4) uczucie ciężkości nóg i skurcze łydek;
5) suchość pochwy.
Prawidłowa odpowiedź to:
Pytanie 97
Wskaż fałszywe stwierdzenie:
Pytanie 98
Wskaż tylko pochodne 19-nortestosteronu stosowane w antykoncepcji hormonalnej i hormonalnej terapii menopauzy:
Pytanie 99
Tkanki pochwy i krocza są docelowymi dla steroidów płciowych, które wywołują w nich różnego rodzaju zmiany zależne od fazy cyklu miesiączkowego czy statusu menopauzalnego. Znaną kwestią jest, że receptory te są rozmieszczone w sposób różnorodny. Wskaż prawdziwe stwierdzenie dotyczące receptorów steroidowych tych okolic:
Pytanie 100
Tybolon jest syntetycznym steroidem, który może być stosowany w hormonalnej terapii menopauzy. Zmniejsza objawy wypadowe, wpływa korzystnie na gospodarkę mineralną kości. Pod względem chemicznym jest to pochodna 19-nortestosteronu. Tybolon wykazuje działanie:
Pytanie 101
Jednym z niebezpiecznych powikłań histeroskopii może być tzw. zespół przewodnienia. W zespole tym mogą pojawić się zaburzenia elektrolitowe, ale także w cięższych przypadkach zaburzenia pracy serca czy obrzęk płuc. Sposobem na ograniczenie ryzyka tego powikłania jest staranne monitorowanie deficytu płynów, czyli różnicy pomiędzy objętością płynu wpompowanego do macicy a objętością płynu odprowadzonego z macicy. Jakich objętości dla medium hipotonicznego i medium izotonicznego nie powinien przekraczać deficyt płynów u zdrowych kobiet w wieku reprodukcyjnym zgodnie z aktualnymi rekomendacjami?
Pytanie 102
Dobranie odpowiedniej metody antykoncepcji u kobiety z padaczką jest ważnym elementem poradnictwa z uwagi na to, że mimo rosnącej świadomości społecznej dalej tylko około 50% ciąż w tej grupie jest planowanych. Wskaż zestaw leków przeciwpadaczkowych, w którym zawarte są tylko leki nie mające wpływu na efektywność antykoncepcji hormonalnej:
Pytanie 103
Mięśniaki macicy są jedną z najczęstszych patologii narządu rodnego u kobiet. Guzy te mogą dawać szereg objawów i u części kobiet wpływać na zdolności reprodukcyjne. Wskaż fałszywe stwierdzenie dotyczące mięśniaków macicy:
Pytanie 104
Endometrioza jest chorobą negatywnie wpływającą na rozród. Znaczącym problemem klinicznym są jej nawroty, dlatego dalej poszukuje się odpowiednich sposobów by skutecznie im zapobiegać. Wskaż fałszywe stwierdzenie dotyczące postępowania mającego wpływ w prewencji nawrotów endometriozy i dolegliwości z nią związanych:
Pytanie 105
Inseminacja domaciczna jest jedną z metod stosowaną w rozrodzie wspomaganym. Wskaż prawdziwe stwierdzenie dotyczące inseminacji domacicznej:
Pytanie 106
Nadmierne wydzielanie prolaktyny może powodować zaburzenia miesiączkowania i wtórnie od tego zaburzenia rozrodu. Jedną z przyczyn hiperprolaktynemii, która często jest pomijana w diagnostyce różnicowej jest obecność makroprolaktyny. Wskaż prawdziwe stwierdzenie dotyczące makroprolaktyny:
Pytanie 107
Które z działań progesteronu jest nieprawdziwe?
Pytanie 108
Teoria „dwóch komórek” tłumaczy:
Pytanie 109
Zgodnie z rekomendacjami Polskiego Towarzystwa Medycyny Rozrodu i Embriologii (PTMRiE) suplementacja fazy lutealnej w cyklach świeżych zapłodnienia pozaustrojowego rozpoczyna się w dniu pobrania komórek jajowych lub dzień później i powinna być:
Pytanie 110
Które z cech nie są charakterystyczne dla zespołu braku wrażliwości na androgeny?
Pytanie 111
Wskaż prawdziwe stwierdzenia, zgodnie z rekomendacjami European Society of Human Reproduction and Embryology (ESHRE) dotyczącymi stymulacji do zapłodnienia pozaustrojowego:
1) stosowanie doustnej tabletki antykoncepcyjnej przed rozpoczęciem stymulacji w protokole krótkim z antagonistą jest rekomendowane;
2) protokół krótki z antagonistą jest rekomendowany w przypadku kobiet z PCOS;
3) zastosowanie rekombinowanego FSH (rFSH) i ludzkiej gonadotropiny menopauzalnej (hMG) do stymulacji jajników jest jednakowo skuteczne;
4) rekomenduje się stosowanie gonadotropin w dawce większej od 300 IU w grupie poor responder;
5) podwójna stymulacja „duo stim” jest rekomendowana w grupie normoresponders.
Prawidłowa odpowiedź to:
Pytanie 112
Oocyt określany w stadium GV znajduje się w:
Pytanie 113
Agregacja plemników to:
Pytanie 114
Wskaż prawdziwe stwierdzenie dotyczące inseminacji wewnątrzmacicznej:
Pytanie 115
W okresie menopauzy i andropauzy, u osób starszych wraz z wiekiem:
Pytanie 116
Wskazaniem do zastosowania metody IMSI-MSOME (Intracytoplasmic Morphologically Selected Injection with Mobile Sperm Organelle Morphology Examination) w leczeniu metodą ICSI jest:
Pytanie 117
Chemioterapeutykiem o dużym ryzyku uszkodzenia gonad jest:
1) chlorambucyl;
2) cyklofosfamid;
3) ifosfamid;
4) kaptotecyna;
5) melfalan;
6) paklitaksel.
Prawidłowa odpowiedź to:
Pytanie 118
28-letnia pacjentka w 11. tygodniu pierwszej ciąży zgłosiła się na konsultację z wynikiem badania stężenia TSH (tyreotropiny) 0,003 mIU/l (wartości referencyjne I trymestr: 0,009-3,18 mIU/l). Czuje się dobrze, tylko czasami pojawia się przykre uczucie kołatania serca. W pierwszej kolejności należy zalecić:
Pytanie 119
Przyczyną przedwczesnego dojrzewania płciowego może być:
1) guz okolicy podwzgórzowo-przysadkowej;
2) wodogłowie;
3) guz nowotworowy jajnika;
4) zespół wrodzonej hipoplazji kory nadnercza;
5) zespół Klinefeltera.
Prawidłowa odpowiedź to:
Pytanie 120



