Wyszukaj egzamin lub pytanie
Egzamin PES Choroby płuc / jesień 2016
120 pytań
Pytanie 1
Dla kategorii B zgodnie z wytycznymi GOLD 2016 należy zaliczyć chorego, u którego są spełnione następujące kryteria:
Pytanie 2
Tiotropium jest lekiem przeciwcholinergicznym wykazującym działanie wobec receptorów:
Pytanie 3
Roflumilast - inhibitor PDE4 w leczeniu chorych na POChP należy rozważyć:
Pytanie 4
Wg wytycznych GOLD 2014 kryteria rozpoznania POChP to:
Pytanie 5
Grupa C i D chorych na POChP cechuje się:
Pytanie 6
Wskazanie do przewlekłego domowego leczenia tlenem to:
Pytanie 7
36-letni pacjent zgłosił się do poradni penumonologicznej z powodu duszności, narastającego od kilku miesięcy zmęczenia i duszności wysiłkowej po wejściu na 3 piętro. W badaniu fizykalnym stwierdzono cichy szmer pęcherzykowy z bardzo dyskretnymi trzeszczeniami. W badaniach dodatkowych spirometria: FEV1/FVC 0,76; FEV1 3,85 [L] (85%N, 9,1 percentyl), VC 5,24 [L] (91%N, 16 percentyl), TLC 7,18 [L] (74,5%N i 2,6 percentyl); TLCO SB 7,28 [mmol/L/min/kPa] (58%N 0,2 percentyl). Wykonano HRCT oraz bronchofiberoskopię z BAL - uzyskano mleczny wygląd popłuczyn oraz + barwienie PAS. Obraz HRCT przedstawiono na skanie poniżej. Metodą leczenia z wyboru będzie:

Pytanie 8
Czynniki ryzyka samoistnej pierwotnej odmy to:
1) palenie marihuany;
2) asteniczna budowa ciała;
3) palenie tytoniu;
4) uraz klatki piersiowej;
5) POChP.
Prawidłowa odpowiedź to:
Pytanie 9
33-letnia bezobjawowa pacjentka w 6. tygodniu 2 ciąży zgłosiła się na konsultację pneumonologiczną, ponieważ przed trzema laty podczas pierwszej ciąży w 36. tygodniu doszło u niej do zatorowości płucnej wysokiego ryzyka, które wymagało leczenia fibrynolitycznego. Po epizodzie zatorowości przez rok stosowała leczenie heparyną drobnocząsteczkową (HDCz). Siostra i matka pacjentki również przebyły epizod zatorowości płucnej, lecz nie wykonywano u nich badań w kierunku trombofilii. Aktualnie pacjentka bez dolegliwości subiektywnych, bez cech zakrzepicy żylnej w badaniu dopplerowskim, bez duszności, d-dimer - 1350 [ng/ml] (N < 500). Najbardziej właściwym postępowaniem będzie:
Pytanie 10
Do poradni zgłosił się 67-letni, niechorujący wcześniej pacjent, u którego od ok 2 dni występuje kaszel produktywny oraz gorączka 39°C. Odkrztuszana plwocina miała charakter ropny, lecz nie obserwowano krwioplucia. Podczas zbierania wywiadu stwierdzono następujące objawy: duszność z ortopnoe i tachypnoe 35/min, RR 140/90, SaO2 93%. W badaniu fizykalnym nad polami płucnymi szmer pęcherzykowy ściszony nad prawym polem płucnym do wysokości kąta łopatki, któremu towarzyszyły liczne rzężenia drobnobańkowe, stłumienie wypuku i wzmożenie drżenia głosowego. U podstawy płuca lewego stwierdzono dyskretne rzężenia drobnobańkowe. Kończyny dolne lekko obrzęknięte bez fizykalnych cech zakrzepicy żylnej. Najbardziej właściwym postępowaniem będzie:
Pytanie 11
Hemothorax, czyli obecność krwi w jamie opłucnej, rozpoznajemy, gdy wartość hematokrytu w płynie w odniesieniu do wartości we krwi obwodowej przekracza:
Pytanie 12
56-letni pacjent z wywiadem 40 paczko lat zgłosił się do pneumonologa z powodu kaszlu, który wystąpił przed około trzema miesiącami. W badaniach czynnościowych układu oddechowego nie stwierdzono nieprawidłowości. FEV1/FVC 0,74; FEV1 (105%N), VC (123%N). W Rtg klatki piersiowej (PA+BOK) nie stwierdzono zmian o charakterze zapalnym, ani zmian ogniskowych. Zalecono zaprzestanie palenia i kontrolę w poradni za 3 miesiące lub w razie nawrotu dolegliwości. Pacjent zgłasza się po tygodniu z powodu krwioplucia. W wykonanym TK klatki piersiowej stwierdzono amputację oskrzela B3 po stronie prawej. W wykonanej bronchofiberoskopii stwierdzono obecność zmiany guzowatej zamykającej segment 3 prawy, bez limfadenopatii śródpiersia. W badaniu histopatologicznym rak płaskonabłonkowy G2/G3. Postępowaniem z wyboru będzie:
Pytanie 13
54-letni pacjent po licznych zaostrzeniach, które były powodem 3 hospitalizacji na OIT w ostatnim roku. Ostatnie zaostrzenie przed dwoma miesiącami - stosowano wentylację mechaniczną respiratorem oraz leczenie celowane z powodu Klebsiella pneumoniae ESBL i Pseudomonas aeruginosa wrażliwego na karbapenemy i aminoglikozydy. Aktualnie przyjęty na oddział z powodu nasilenia duszności, zwiększenia objętości odkrztuszanej plwociny i nasilenia jej ropnego charakteru. Pacjent aktualnie bez zdekompensowanej kwasicy oddechowej. Najbardziej właściwym doborem antybiotyków będzie:
Pytanie 14
58-letni pacjent z POChP GOLD B, ze wskaźnikiem 60 paczkolat zgłosił się do poradni pneumonologicznej z powodu zmiany charakteru przewlekłego kaszlu. W wywiadzie rodzinnym rak płuca u ojca pacjenta. Wykonano TK klatki piersiowej, w którym stwierdzono pojedynczy guzek płuca o średnicy 7 mm w segmencie 3 płuca prawego, bez limfadenopatii śródpiersia. Najbardziej właściwym postępowaniem będzie:
Pytanie 15
67-letni pacjent leczony przed tygodniem z powodu płatowego zapalenia płuc. W dwa tygodnie po zakończeniu leczenia antybiotykami nawróciła gorączka i pojawił się ból o charakterze opłucnowym w lewej połowie klatki piersiowej. W USG uwidoczniono płaszcz kontrastującego się płynu do wysokości kąta łopatki. W wykonanej paracentezie płyn mętny ropny, pH płynu 6,9. Najbardziej właściwym postępowaniem będzie:
Pytanie 16
W płynie opłucnowym stwierdzono 12% eozynofilów. Przyczyną takiej eozynofilii w płynie mogą być:
1) odma opłucnowa;
2) infestacja pasożytnicza;
3) krwiak opłucnej;
4) częste nakłucia opłucnej;
5) zespół Churga-Strauss.
Prawidłowa odpowiedź to:
Pytanie 17
U 23-letniego pacjenta diagnozowanego z powodu nawracających zapaleń płuc w tomografii komputerowej klatki piersiowej stwierdzono zmianę guzowatą w płacie dolnym lewym, z kilkoma drobnymi przestrzeniami powietrznymi z poziomem płynu; do zmiany dochodzi tętniczka odchodząca od początkowego odcinka aorty brzusznej. Jakie jest najbardziej prawdopodobne rozpoznanie?
Pytanie 18
W których z poniżej wymienionych sytuacji klinicznych dotyczących raka niedrobnokomórkowego płuca stosuje się radioterapię w skojarzeniu z leczeniem operacyjnym?
1) w skojarzeniu z chemioterapią w leczeniu przedoperacyjnym u chorych z guzem Pancoasta;
2) w skojarzeniu z chemioterapią w leczeniu przedoperacyjnym u chorych z naciekiem na żyłę główną górną;
3) w razie stwierdzenia nacieku w linii odcięcia oskrzela w preparacie pooperacyjnym (resekcja niedoszczętna, R1);
4) w razie stwierdzenia przerzutów do węzłów chłonnych śródpiersia po operacji (N2);
5) w leczeniu przedoperacyjnym w przypadku niedodmy płuca.
Prawidłowa odpowiedź to:
Pytanie 19
Wskaż prawdziwe stwierdzenia dotyczące przeszczepu płuca:
1) do przeszczepu kwalifikuje się chorych na samoistne włóknienie śródmiąższowe płuc z DLCO poniżej 39%;
2) do przeszczepu kwalifikuje się chorych na POChP z FEV1 < 20% lub wskaźnikiem BODE między 7 a 10;
3) przeszczep płuc w mukowiscydozie nie jest przeprowadzany ze względu na duże ryzyko powikłań;
4) ponad 50% osób po przeszczepie płuc przeżywa 5 lat;
5) najczęstszą przyczyną zgonu we wczesnym okresie po przeszczepie płuc jest zarostowe zapalenia oskrzelików (bronchiolitis obliterans).
Prawidłowa odpowiedź to:
Pytanie 20
Które z wymienionych postaci gruźlicy płuc mogą stanowić wskazanie do leczenia operacyjnego?
1) gruźlica pierwotna węzłowo-płucna;
2) jamy po przebytej gruźlicy płuc;
3) gruźlica prosówkowa ostra;
4) marskość pogruźlicza płuca;
5) gruźlica z opornością prątków na leki.
Prawidłowa odpowiedź to:
Pytanie 21
70-letni chory od wielu lat chorujący na POChP w stopniu 2 wg GOLD zgłosił się do Szpitalnego Oddziału Ratunkowego z powodu duszności spoczynkowej. Dolegliwości rozpoczęły się nagle około godzinę przed przyjęciem. W badaniu stwierdza się: asymetrię ruchomości klatki piersiowej z nieznacznie zwiększoną objętością prawej połowy klatki piersiowej, nasilony wysiłek oddechowy, po prawej stronie klatki piersiowej drżenie głosowe zniesione, odgłos opukowy bębenkowy, szmer pęcherzykowy znacznie ściszony. Rytm serca miarowy, 102/minutę; saturacja 78%. Jakie postępowanie jest właściwe w tej sytuacji?
Pytanie 22
U 62-letniej chorej w zdjęciu RTG wykonanym przed wyjazdem do sanatorium uwidoczniono cień okrągły w płucu prawym. W badaniu PET-CT stwierdzono guzek o wymiarach 19 x 18 x 10 mm, SUVmax. = 7,8, zlokalizowany podopłucnowo w płacie górnym prawym (cT1aN0M0). W badaniu histopatologicznym materiału uzyskanego na drodze biopsji przezklatkowej guzka rozpoznano raka drobnokomórkowego. W rezonansie magnetycznym głowy oraz USG brzucha nie stwierdzono cech przerzutów. Które stwierdzenie dotyczące leczenia tej chorej jest prawdziwe?
Pytanie 23
35-letnia chora zgłosiła się do lekarza z powodu osłabienia mięśni kończyn górnych i dolnych nasilającego się w ciągu dnia oraz opadania powiek. W badaniu EMG stwierdzono zaburzenia przewodnictwa nerwowo-mięśniowego o charakterze postsynaptycznym. Miano przeciwciał przeciwko receptorom acetylocholiny było podwyższone. W badaniu TK klatki piersiowej stwierdzono zmianę litą średnicy 41 mm zlokalizowaną ku przodowi od aorty wstępującej. Najbardziej prawdopodobne w przypadku tej chorej rozpoznanie to:
Pytanie 24
58-letnia kobieta chorująca na przewlekłą obturacyjną chorobę płuc jest kwalifikowana do przeszczepu płuc. Która z niżej wymienionych chorób nie jest bezwzględnym przeciwwskazaniem do przeprowadzenia przeszczepu płuca u tej pacjentki?
Pytanie 25
25-letni, do tej pory nie chorujący mężczyzna zgłosił się do Szpitalnego Oddziału Ratunkowego z powodu duszności przy niewielkim wysiłku. W zdjęciu RTG klatki piersiowej stwierdzono odmę opłucnową prawostronną obejmującą około połowy objętości prawej jamy opłucnej. Właściwym postępowaniem w tej sytuacji jest:
Pytanie 26
Wskaż prawdziwe stwierdzenia dotyczące szczytowego przepływu wydechowego (PEF) wykonywanego w diagnostyce astmy oskrzelowej:
1) zawsze musi potwierdzać cechy obturacji oskrzeli;
2) służy do monitorowania przebiegu choroby;
3) może być wykorzystywany do wykrywania zawodowych przyczyn astmy;
4) jego charakterystyczną cechą jest dobowa zmienność < 20%;
5) w astmie bardzo ciężkiej zmienność dobowa PEF może nie występować, często pojawia się po próbie leczenia GKS.
Prawidłowa odpowiedź to:
Pytanie 27
Uznaną metodą leczenia nawracającego wysięku w opłucnej w przebiegu choroby nowotworowej jest chemiczna pleurodeza. Najskuteczniejszym środkiem stosowanym do pleurodezy chemicznej jest:
Pytanie 28
Badanie spirometryczne jest obligatoryjne przed zabiegiem resekcyjnym płuc zwłaszcza w przypadku konieczności usunięcia całego płuca. Przyjmuje się, że nie ma przeciwskazań do pneumonektomii, a ryzyko powikłań oddechowych jest małe, jeśli przedoperacyjna wartość FEV1 wynosi:
Pytanie 29
32-letnia pacjentka została przyjęta do szpitala z powodu szóstego epizodu odmy prawostronnej. Chora wiąże wystąpienie kolejnych epizodów odmy z miesiączką. Optymalnym sposobem leczenia tej chorej jest:
Pytanie 30
Leczenie operacyjne u pacjenta z rozpoznanym rakiem niedrobnokomórkowym płuca jest bezwzględnie przeciwwskazane w stopniu zaawansowania:
Pytanie 31
Wskazaniem do operacyjnego zmniejszenia objętości płuc (OZOP) u chorych z rozedmą płuc nie jest:
Pytanie 32
Wskaż prawdziwe stwierdzenia dotyczące krwawienia do jamy opłucnej:
1) szybkie usunięcie krwi z opłucnej zmniejsza ryzyko zwłóknienia opłucnej;
2) nieskuteczność drenażu jest wskazaniem do wideotorakoskopii lub torakotomii;
3) powikłaniem może być ropniak i zwłóknienie opłucnej;
4) wymaga zastosowania drenażu jamy opłucnej.
Prawidłowa odpowiedź to:
Pytanie 33
Wskaż możliwe wczesne powikłania po prawostronnej torakocentezie:
1) odruch wazowagalny;
2) odma opłucnowa;
3) krwawienie do osierdzia;
4) krwawienie do opłucnej;
5) nakłucie śledziony.
Prawidłowa odpowiedź to:
Pytanie 34
Które z poniżej wymienionych objawów i badań laboratoryjnych są typowe dla gruźliczego wysiękowego zapalenia opłucnej?
1) gorączka;
2) przewaga limfocytów w płynie z jamy opłucnej;
3) małe stężenie białka w płynie z jamy opłucnej;
4) zwiększona aktywność ADA (deaminaza adenozyny) w płynie z jamy opłucnej;
5) zmniejszona aktywność ADA w płynie z jamy opłucnej.
Prawidłowa odpowiedź to:
Pytanie 35
Które z objawów prawidłowo charakteryzują schorzenia opłucnej?
1) w dużej odmie opłucnowej ruchy klatki piersiowej są asymetryczne i słabsze po stronie odmy;
2) w dużej odmie opłucnowej stwierdza się odgłos opukowy stłumiony;
3) w płynie opłucnowym stwierdza się odgłos opukowy stłumiony;
4) w dużej odmie opłucnowej nie występuje drżenie głosowe;
5) w dużej odmie opłucnowej stwierdza się prawidłowe szmery oddechowe.
Prawidłowa odpowiedź to:
Pytanie 36
Wskaż prawdziwe stwierdzenia dotyczące składu komórkowego płynu z opłucnej:
1) neutrofilia płynu wskazuje na zakażenie bakteryjne i wirusowe;
2) eozynofilia płynu powyżej 10% może wskazywać na odczyn polekowy;
3) eozynofilia płynu poniżej 10% może wskazywać na infestację pasożytniczą;
4) w gruźliczym zapaleniu opłucnej zawsze występują prątki gruźlicze w rozmazie;
5) limfocytoza płynu często występuje w długo utrzymujących się wysiękach.
Prawidłowa odpowiedź to:
Pytanie 37
U 67-letniego chorego na POChP postać C z fenotypem rozedmowym, stale palącego papierosy, podczas przenoszenia zakupów z samochodu do domu doszło do gwałtownego napadu kaszlu bez świszczącego oddechu, po którym pojawiła się silna, narastająca w czasie duszność spoczynkowa. Duszność nie ustąpiła po inhalacji 400 µg salbutamolu i 160 µg bromku ipratropium. Za najbardziej prawdopodobną przyczyną duszności należy uważać:
Pytanie 38
Wskaż prawdziwe stwierdzenia odnoszące się do postępowania w odmie opłucnowej:
1) w odmie obustronnej należy założyć drenaż do jamy opłucnowej po stronie większej odmy;
2) w odmie obustronnej należy założyć drenaż do jamy opłucnowej po stronie mniejszej odmy;
3) w każdym przypadku odmy należy podawać tlen w przepływach 6-8 l/min;
4) wskazaniem do leczenia operacyjnego jest odma krwotoczna;
5) zaprzestanie palenia tytoniu nie zmniejsza nawrotów odmy.
Prawidłowa odpowiedź to:
Pytanie 39
Do leków najczęściej wywołujących toczniowy zespół opłucnowo-płucny należą:
1) amiodaron;
2) izoniazyd;
3) kwas acetylosalicylowy;
4) diklofenak;
5) hydralazyna.
Prawidłowa odpowiedź to:
Pytanie 40
Wskaż kryteria, które umożliwiają pewne rozpoznanie inwazyjnej aspergilozy płuc:
1) wykrycie antygenu (galaktomannan) w BALf;
2) stwierdzenie obecności strzępek Aspergillus lub jego wyhodowanie z BALf;
3) podwyższone stężenie antygenu (galaktomannan) w surowicy;
4) wykazanie charakterystycznej grzybni wraz ze zniszczeniem tkanek w materiale biopsyjnym;
5) wyhodowanie Aspergillus z materiałów uzyskanych z lokalizacji, które w prawidłowych warunkach są jałowe (np. bioptat płuca).
Prawidłowa odpowiedź to:
Pytanie 41
Wskaż prawdziwe stwierdzenia odnoszące się do schorzeń przebiegających z zajęciem opłucnej:
1) w pylicy azbestowej dochodzi tylko do zajęcia opłucnej ściennej;
2) obecność płynu w opłucnej często współistnieje z polekowymi naciekami eozynofilowymi w płucach;
3) obecność płynu w opłucnej często współistnieje z reumatoidalnym zapaleniem stawów (RZS) oraz toczniem układowym (SLE);
4) płyn w opłucnej pojawia się najczęściej po amiodaronie i linezolidzie;
5) zwłóknienia opłucnej nigdy nie występują po nitrofurantoinie oraz cyklofosfamidzie.
Prawidłowa odpowiedź to:
Pytanie 42
Wskaż prawdziwe stwierdzenia odnoszące się do międzybłoniaka opłucnej:
1) płyn w jamie opłucnowej pojawia się w 95% przypadków;
2) badanie cytologiczne płynu z opłucnej jest konieczne dla rozpoznania międzybłoniaka;
3) jest częstym nowotworem układu oddechowego;
4) skojarzenie radio- i chemioterapii wydłuża czas przeżycia chorych;
5) w leczeniu paliatywnym stosuje się pleurodezę opłucnej.
Prawidłowa odpowiedź to:
Pytanie 43
U chorego z ropniem śr. 4 cm zlokalizowanym w płacie dolnym płuca prawego, będącym powikłaniem zachłystowego zapalenia płuc, najwłaściwszym postępowaniem jest:
Pytanie 44
Leczenie operacyjne odmy opłucnowej zalecane jest w przypadku:
1) samoistnej odmy opłucnowej z towarzyszącym płynem w jamie opłucnej;
2) każdej odmy pourazowej;
3) drugiego epizodu pierwotnej samoistnej odmy po tej samej stronie;
4) utrzymującego się przecieku powietrza po 6 dobach drenażu;
5) pierwszego epizodu samoistnej odmy opłucnowej.
Prawidłowa odpowiedź to:
Pytanie 45
U chorego z rozpoznanym rakiem płaskonabłonkowym płuca prawego w badaniu KT klatki piersiowej stwierdzono guz śr. 4 cm w płacie górnym płuca prawego oraz powiększone węzły chłonne śródpiersia przytchawicze górne prawe (śr. 2 cm) i podostrogowe (śr. 2,5 cm). Jakie postępowanie należy wdrożyć?
Pytanie 46
Przeciwwskazaniami do leczenia operacyjnego niedrobnokomórkowego raka płuca są:
1) zespół Pancoasta;
2) zespół Hornera;
3) naciekanie przepony;
4) chrypka z potwierdzonym w badaniu laryngologicznym porażeniem lewej struny głosowej;
5) zespół żyły głównej górnej;
6) potwierdzony w badaniu EBUS przerzut w jednym z węzłów chłonnych grupy N2.
Prawidłowa odpowiedź to:
Pytanie 47
U chorego l. 75 z wieloletnim wywiadem POCHP zdiagnozowano gruczolakoraka śr. 3 cm w płacie górnym płuca prawego. Badanie PET/CT wykluczyło obecność przerzutów odległych, nie stwierdzono również zwiększonego metabolizmu 18-FDG w węzłach chłonnych śródpiersia. W badaniu spirometrycznym FEV1 wynosi 1,7 l (75% normy), a pojemność dyfuzyjna dla tlenku węgla (DLCO) wynosi 60% normy. Najwłaściwszym postępowaniem jest:
Pytanie 48
Astma ciężka to astma:
Pytanie 49
Domowe leczenie tlenem należy rozpocząć u chorego na POChP, który zaprzestał palenia papierosów, u którego stwierdza się w okresie stabilnym, w badaniu gazometrycznym krwi tętniczej ciśnienie parcjalne tlenu (PaO2):
Pytanie 50
Następujący wynik badania gazometrycznego krwi tętniczej: PaO2 55 mmHg, PaCO2 60 mmHg, HCO3- 35 mmol/l, pH 7,36, oznacza:
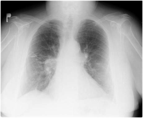
Pytanie 51
Do Poradni Chorób Płuc został skierowany przez lekarza rodzinnego 40-letni mężczyzna, niepalący, dotychczas nie leczony z powodu chorób przewlekłych. Powodem skierowania była postępująca od kilku miesięcy nietolerancja wysiłku fizycznego. Dwukrotnie w ciągu ostatniego roku był hospitalizowany z powodu infekcji oddechowej. Podczas hospitalizacji konieczne było prowadzenie wentylacji mechanicznej. W badaniach dodatkowych: FEV1 55%, FEV1%VC 85%, TLC 60%, PaO2 65 mmHg, PaCO2 50 mmHg. Rtg klatki piersiowej w załączeniu. U tego pacjenta:

Pytanie 52
Wskaż kryteria rozpoznania zespołu hipowentylacji otyłych:
1) PaCO2 > 45 mmHg w gazometrii krwi tętniczej pobranej w czasie czuwania;
2) BMI > 30 kg/m2;
3) AHI > 30/h w badaniu polisomnograficznym;
4) PaO2 < 60 mmHg w gazometrii krwi tętniczej pobranej w czasie snu;
5) wykluczenie innych chorób mogących powodować hipowentylację.
Prawidłowa odpowiedź to:
Pytanie 53
Pacjent, który zakończył leczenie z powodu sarkoidozy płucnej:
Pytanie 54
Do Poradni Chorób Płuc zgłosiła się 55-letnia, otyła (BMI 38 kg/m2), paląca (30 paczkolat) kobieta. Powodem skierowania było omówienie wyników badania polisomnograficznego (PSG), które zostało wykonane z powodu występowania typowych dolegliwości towarzyszących obturacyjnemu bezdechowi podczas snu (OBPS). W PSG stwierdzono: AHI 5/h, średnia SaO2 podczas snu 86%, najniższa 70%. W badaniach dodatkowych: FEV1 70%, FEV1%VC 70%, PaO2 70 mmHg, PaCO2 49 mmHg. Rtg klatki piersiowej w załączeniu. Prawidłowe postępowanie to:

Pytanie 55
Wśród chorych na sarkoidozę:
1) zaburzenia wentylacji typu restrykcyjnego są częstsze niż zaburzenia przepływu powietrza w drogach oddechowych;
2) zaburzenia przepływu powietrza w drogach oddechowych są częstsze niż zaburzenia wentylacji typu restrykcyjnego;
3) większość chorych na sarkoidozę (> 50%) ma zaburzenia wentylacji;
4) częstość występowania obniżonego przepływu środkowego (MMEF) poniżej dolnej granicy normy wzrasta wraz ze stadium choroby;
5) częstość występowania obniżonego przepływu środkowego (MMEF) poniżej dolnej granicy normy nie wykazuje związku ze stadium choroby.
Prawidłowa odpowiedź to:
Pytanie 56
Do czynników ryzyka OBS zalicza się:
1) płeć żeńską;
2) wiek;
3) czynniki genetyczne;
4) nadczynność tarczycy;
5) alkohol.
Prawidłowa odpowiedź to:
Pytanie 57
U chorych na sarkoidozę:
1) po rozpoznaniu sarkoidozy należy bezzwłocznie włączyć leczenie kortykosteroidami systemowymi, by zapobiec dalszej progresji choroby;
2) kortykosteroidoterapia nie jest wskazana w stadium II i III z umiarkowanymi zaburzeniami czynności płuc w momencie rozpoznania;
3) jeżeli pod wpływem leczenia kortykosteroidami zmiany w płucach ulegają szybkiej regresji, to leczenie należy jak najszybciej zakończyć, najlepiej po czasie nie dłuższym niż 3 miesiące;
4) jeżeli pod wpływem leczenia kortykosteroidami zmiany w płucach ulegają szybkiej regresji, to leczenie mimo wszystko należy kontynuować, w zmniejszanych dawkach, ale nie krócej niż przez 12 miesięcy;
5) jeżeli w wyniku leczenia zmiany w płucach uległy całkowitej regresji chory wymaga okresowej kontroli przez kolejny rok przed całkowitym zakończeniem obserwacji.
Prawidłowa odpowiedź to:
Pytanie 58
W diagnostyce zaburzeń oddychania w czasie snu stosowane są następujące urządzenia diagnostyczne:
1) polisomnografia pełna (PSG) wykonywana w Pracowni Snu;
2) polisomnografia przenośna, która posiada jeden kanał diagnostyczny;
3) poligrafia;
4) pulsoksymetria nocna.
Prawidłowa odpowiedź to:
Pytanie 59
Dotychczasowe obserwacje powikłań sercowo-naczyniowych w obturacyjnym bezdechu sennym potwierdzają, że:
1) najczęstszym typem udarów mózgu u pacjentów z obturacyjnym bezdechem sennym są udary krwotoczne;
2) stosowanie efektywnej terapii CPAP wpływa korzystnie na kliniczny przebieg choroby wieńcowej;
3) najczęstszymi zaburzeniami rytmu serca u pacjentów z obturacyjnym bezdechem sennym są częstoskurcze komorowe;
4) obturacyjny bezdech senny jest przyczyną upośledzenia funkcji skurczowej i rozkurczowej lewej komory.
Prawidłowa odpowiedź to:
Pytanie 60
Do powikłań obturacyjnego bezdechu sennego zaliczyć można wszystkie wymienione, z wyjątkiem:
1) zaburzeń rytmu serca, najczęściej zahamowań zatokowych i bloków przedsionkowo-komorowych;
2) zmniejszenia stężenia we krwi całkowitego i wolnego testosteronu oraz białka wiążącego hormony płciowe;
3) zwiększenia wydzielania kortyzolu w wyniku nadmiernego pobudzenia osi podwzgórze-przysadka-nadnercza;
4) zwiększenia występowania wyłącznie krwotocznych udarów mózgu;
5) występowania niewydolności serca, głównie w mechanizmie nadciśnienia tętniczego.
Prawidłowa odpowiedź to:
Pytanie 61
Wskaż mechanizmy patogenetyczne biorące udział w rozwoju nadciśnienia tętniczego u pacjentów z obturacyjnym bezdechem sennym:
1) wielokrotne przebudzenia ze snu powodujące wzmożone napięcie układu adrenergicznego i cykliczne wzrosty ciśnienia tętniczego;
2) zmniejszenie aktywności układu renina-angiotensyna-aldosteron;
3) dysfunkcja baroreceptorów i chemoreceptorów w naczyniach obwodowych;
4) upośledzenie funkcji śródbłonka naczyniowego.
Prawidłowa odpowiedź to:
Pytanie 62
U 30-letniej kobiety, niepalącej, wystąpił trzeci w życiu epizod odmy opłucnowej samoistnej. Pacjentka nie chorowała przewlekle, wywiad rodzinny w kierunku chorób płuc ujemny. Wykonano tomografię komputerową wysokiej rozdzielczości, w której stwierdzono liczne, dobrze odgraniczone, cienkościenne torbiele o średnicy 10-20 mm, równomiernie rozproszone w miąższu obu płuc. Obraz kliniczny i radiologiczny sugeruje:
Pytanie 63
Wskaż prawidziwe stwierdzenie dotyczące płucnej postaci histiocytozy z komórek Langerhansa (PLCH):
Pytanie 64
Wskaż przyczyny rozlanego krwawienia pęcherzykowego:
1) choroba związana z przeciwciałami przeciwko błonie podstawnej (d. zespół Goodpasture'a);
2) alergiczne zapalenie pęcherzyków płucnych;
3) mikroskopowe zapalenie naczyń;
4) ziarniniakowatość z zapaleniem naczyń;
5) przedawkowanie leków przeciwzakrzepowych.
Prawidłowa odpowiedź to:
Pytanie 65
W przebiegu ziarniniakowatości z zapaleniem naczyń mogą wystąpić:
1) deformacja nosa (nos siodełkowaty);
2) podgłośniowe zwężenie tchawicy;
3) guzki i guzy w płucach, z rozpadem lub bez;
4) kłębuszkowe zapalenie nerek;
5) przewlekłe zapalenie zatok przynosowych.
Prawidłowa odpowiedź to:
Pytanie 66
Rozpoznanie ziarniniakowatości z zapaleniem naczyń można ustalić na podstawie:
1) objawów klinicznych systemowego zapalenia naczyń oraz badania histopatologicznego potwierdzającego zapalenie naczyń;
2) objawów klinicznych systemowego zapalenia naczyń oraz stwierdzenia obecności przeciwciał przeciw cytoplazmie neutrofilów (ANCA);
3) objawów klinicznych systemowego zapalenia naczyń oraz stwierdzenia obecności przeciwciał przeciwjądrowych (ANA);
4) dodatniego wywiadu rodzinnego w kierunku układowych zapaleń naczyń oraz objawów klinicznych systemowego zapalenia naczyń;
5) objawów klinicznych systemowego zapalenia naczyń oraz stwierdzenia eozynofilii krwi obwodowej.
Prawidłowa odpowiedź to:
Pytanie 67
Wskaż prawdziwe stwierdzenia dotyczące zapaleń płuc:
1) wartość CRP nie pozwala wnioskować o etiologii bakteryjnej;
2) w RTG klatki piersiowej zmiany zapalne u 50% utrzymują się po 2 tyg.;
3) szpitalne zapalenie płuc wywołane przez pneumokoki w RTG płuc to obraz zmian śródmiąższowych;
4) ropień płuca występuje w zapaleniach wywołanych przez gronkowce, bakterie beztlenowe, Klebsiella pneumoniae, Pseudomonas aeruginosa;
5) w zapaleniu wywołanym przez Legionella pneumophila naciek w płucach jest zawsze jednostronny.
Prawidłowa odpowiedź to:
Pytanie 68
Wskaż prawdziwe stwierdzenia dotyczące wywołanych przez Str. pneumoniae zapaleń płuc:
1) S. pneumoniae jest najczęstszą przyczyną pozaszpitalnych zapaleń płuc niezależnie od stopnia ciężkości;
2) wysięk w jamie opłucnej występuje bardzo rzadko, < 10% chorych;
3) posiew krwi jest dodatni u < 25% chorych;
4) skutecznym lekiem jest ciprofloksacyna;
5) S. pneumoniae nie wywołuje pozaszpitalnych zapaleń płuc.
Prawidłowa odpowiedź to:
Pytanie 69
Wskaż prawdziwe stwierdzenia dotyczące zapaleń płuc wywołanych przez Chlamydophila pneumoniae:
1) zawsze mają przebieg lekki;
2) okres wylęgania wynosi kilka tygodni;
3) dobrze poddają się leczeniu aminopenicylinami;
4) poprzedzone są zapaleniem gardła z chrypką, częsty jest ból głowy;
5) wykrywanie zakażenia możliwe jest tylko drogą posiewu.
Prawidłowa odpowiedź to:
Pytanie 70
W leczeniu gruźlicy wywołanej przez prątki MDR i XDR należy brać pod uwagę, że:
1) szczepy oporne na kanamycynę zawsze są oporne na kapreomycynę;
2) konieczne jest wykonywanie testów lekowrażliwości na amikacynę, kanamycynę, kapreomycynę i nowe fluorochinolony;
3) w gruźlicy MDR nie należy stosować pyrazynamidu, bo narasta oporność;
4) kwas paraaminosalicylowy (PAS) stosuje się częściej niż etionamid i cykloserynę;
5) w gruźlicy MDR z opornością prątków na fluorochinolony i XDR należy brać pod uwagę stosowanie linezolidu, bedakiliny, klofazyminy i hydrazydu 10 mg/kg/dz.
Prawidłowa odpowiedź to:
Pytanie 71
W astmie z nadwrażliwością na aspirynę można bezpiecznie stosować następujące NLPZ:
Pytanie 72
Leczenie wg modelu leczenie podtrzymujące i doraźne (LP i D) w astmie należy stosować:
Pytanie 73
Wskaż prawdziwe stwierdzenie dotyczące zespołu nakładania astmy i POChP:
Pytanie 74
Dodatnie testy określające nieswoistą nadreaktywność oskrzeli:
1) występują u 5-10% chorych na POChP;
2) dotyczą 100% chorych na aktywną astmę;
3) nie występują w chorobach innych niż obturacyjne choroby oskrzeli;
4) występują u chorych na alergiczny nieżyt nosa i w atopowym zapaleniu skóry;
5) u dorosłych ulegają zawsze negatywizacji po leczeniu wziewnymi kortykosteroidami.
Prawidłowa odpowiedź to:
Pytanie 75
Do leków kontrolujących wg zaleceń GINA 2014, 2015 stosowanych w astmie nie należą:
1) wziewne kortykosteroidy, krótko działający β2-agoniści;
2) wziewne kortykosteroidy, blokery receptorów leukotrienowych, długo działające leki przeciwcholinergiczne;
3) długo działający β2-agoniści, krótko działające leki przeciwcholinergiczne;
4) długo działające leki przeciwcholinergiczne, kromony i szybko działający β2-agoniści;
5) omalizumab, preparaty teofiliny wolno uwalniające się, kromony.
Prawidłowa odpowiedź to:
Pytanie 76
Według raportów GINA 2014-2015 do najważniejszych metod diagnostycznych w astmie należą w pierwszej kolejności:
1) dodatni test nadreaktywności oskrzeli z metacholiną i histaminą;
2) dodatni wywiad i dowody na typowe dla astmy zmienne nasilenie objawów;
3) dodatnie testy punktowe z alergenami wziewnymi;
4) dodatni test odwracalności obturacji ze wzrostem FEV1 o >12% i > 200 ml w stosunku do wartości początkowej;
5) spadek FEV1 > 10% wartości wyjściowej i > 200 ml w teście powysiłkowym.
Prawidłowa odpowiedź to:
Pytanie 77
Wskaż prawdziwe stwierdzenia dotyczące astmy w ciąży:
1) największe ryzyko zaostrzenia występuje między 24. a 36. tyg. ciąży;
2) nie należy jej leczyć wziewnymi glikokortykosteroidami;
3) można bezpiecznie leczyć objawowo krótko działającymi β2-agonistami;
4) należy głównie leczyć długo działającymi β2-agonistami bez kortykosteroidów wziewnych;
5) nie wolno leczyć systemowymi kortykosteroidami.
Prawidłowa odpowiedź to:
Pytanie 78
Wskaż prawdziwe stwierdzenia dotyczące fenotypów astmy wg raportów GINA 2014-2015:
1) fenotyp astmy z otyłością charakteryzuje się neutrofilowym zapaleniem dróg oddechowych;
2) astma o późnym początku najczęściej jest alergiczna;
3) astma niealergiczna ma profil komórkowy eozynofilowy, neutrofilowy lub ubogokomórkowy;
4) astma z utrwalonymi zaburzeniami wentylacji rozwija się tylko po co najmniej 20 latach palenia tytoniu;
5) astma alergiczna charakteryzuje się zapaleniem eozynofilowym.
Prawidłowa odpowiedź to:
Pytanie 79
Wskaż prawdziwe stwierdzenia dotyczące oceny stopnia ciężkości i kontroli astmy:
1) ocena ciężkości dokonywana jest tylko jeden raz przed rozpoczęciem leczenia;
2) dokonywana jest przy użyciu testu CAT;
3) dokonywana jest w praktyce za pomocą prostych testów wypełnianych przez chorego - Kwestionariusz Kontroli Astmy , Test Kontroli Astmy;
4) ocena stopnia ciężkości dokonywana jest po zastosowanym leczeniu, które doprowadza do uzyskania i utrzymania kontroli astmy;
5) ocena stopnia kontroli astmy nie jest wymagana do podjęcia leczenia.
Prawidłowa odpowiedź to:
Pytanie 80
Leczenie ciężkiej astmy wg raportów GINA 2014-2015 polega na:
1) stosowaniu dużych dawek wziewnych kortykosterydów z długo działającymi β2-agonistami;
2) długotrwałym stosowaniu makrolidu, cyklosporyny lub metotreksatu;
3) dodaniu do leczenia podstawowego omalizumabu i długo działającego leku przeciwcholinergicznego;
4) stosowaniu montelukastu z kromonami u osób, które nie tolerują wziewnych kortykosterydów;
5) stosowaniu przewlekłe kortykosterydów i długo działających β2-agonistów w nebulizacji.
Prawidłowa odpowiedź to:
Pytanie 81
Wskaż prawdziwe stwierdzenia dotyczące spirometrii w astmie:
1) nie ma znaczenia w odróżnieniu zmian obturacyjnych od restrykcyjnych;
2) ma znaczenie tylko jako spirometria podstawowa i w teście odwracalności obturacji;
3) ma ograniczone znaczenie w odróżnieniu astmy z utrwalonymi zaburzeniami wentylacji od POChP oraz zespołu nakładania astma-POChP;
4) podstawowa dostarcza dowodów na zmienną obturację oskrzeli;
5) prawidłowe wskaźniki wykluczają astmę.
Prawidłowa odpowiedź to:
Pytanie 82
Wskaż prawdziwe stwierdzenia dotyczące testu Gene Expert MTB/RIF:
1) wykonuje się w każdym przypadku gruźlicy utajonej;
2) powinno się zawsze wykonywać, gdy istnieje podejrzenie gruźlicy wielolekoopornej;
3) pozwala wykryć oporność prątków na wszystkie leki pierwszej linii;
4) testem należy zbadać płyn mózgowo-rdzeniowy, gdy istnieje podejrzenie gruźlicy opon mózgowo-rdzeniowych;
5) należy zawsze wykonywać u osób z „kontaktu” z chorymi prątkującymi.
Prawidłowa odpowiedź to:
Pytanie 83
Różnicowania z gruźlicą wymagają następujące choroby i objawy:
1) choroba Leśniowskiego i Crohna i wrzodziejące zapalenie jelita grubego;
2) napadowa duszność ze świstami wydechowymi u dorosłych;
3) jałowy ropomocz, bezpłodność, gorączka o nieznanej etiologii;
4) kaszel trwający < 2 tygodni ze stanami podgorączkowymi;
5) przewlekły nieżyt nosa.
Prawidłowa odpowiedź to:
Pytanie 84
Wskaż prawdziwe stwierdzenia dotyczące testów wydzielania interferonu gamma przez limfocyty:
1) mają wartość pomocniczą w rozpoznawaniu gruźlicy;
2) test traktuje się jako dodatnie dopiero wtedy, gdy stężenie IFN-g > 0,8 IU/ml;
3) mogą być fałszywie ujemne u osób w głębokiej immunosupresji;
4) nie wykonuje się u dzieci z „kontaktu” z chorym prątkującym;
5) w teście QuantiFeron TB GOLD In Tube wykorzystuje się dwa antygeny: CFP-10 i TB 7.7.
Prawidłowa odpowiedź to:
Pytanie 85
Wskaż prawdziwe stwierdzenia dotyczące testów opartych na wydzielaniu interferonu g przez limfocyty:
1) w teście T-SPOT TB komórki jednojądrzaste krwi obwodowej są inkubowane z antygenem ESAT-6 i CFP-10 przez 16-24 godziny;
2) wartość predykcyjna dodatniego wyniku testu IGRA w szacowaniu ryzyka czynnej gruźlicy jest niewielka;
3) antygeny ESAT-6, CFP-10 i TB 7.7 występują tylko w Mycobacterium tuberculosis;
4) dodatni wynik testu IGRA pojawia się nie wcześniej niż po 12 tyg. od zakażenia;
5) testy IGRA w populacjach szczepionych BCG są tak samo swoiste jak test tuberkulinowy.
Prawidłowa odpowiedź to:
Pytanie 86
W badaniach genetycznych dotyczących gruźlicy należy brać pod uwagę, że:
1) testy genetyczne nie umożliwiają określenia lekowrażliwości;
2) cząsteczka DNA prątka może pozostawać w organizmie gospodarza po zakończeniu leczenia przeciwprątkowego;
3) testy genetyczne umożliwiają monitorowanie leczenia przeciwprątkowego;
4) najczęściej powielane fragmenty DNA to sekwencje insercyjne: IS6110, IS986, gen kodujący białko 65kDa i antygeny HPB70 i HPB64;
5) testy genetyczne mogą zastąpić inne metody diagnostyki mikrobiologicznej.
Prawidłowa odpowiedź to:
Pytanie 87
U chorych, u których rozpoczyna się leczenie antagonistami TNF-a (etanercept, infliksymab) należy:
1) należy wykonać test tuberkulinowy lub IGRA w celu wykrycia gruźlicy utajonej;
2) wystąpienie gruźlicy podczas leczenia antagonistą TNF-a wymaga przerwania tej terapii;
3) gruźlicę utajoną należy leczyć przeciwprątkowo zestawem czterolekowym;
4) wystąpienie gruźlicy uniemożliwia ponowne włączenie antagonistów TNF-a;
5) osoby leczone antagonistami TNF-a nie są grupą ryzyka wystąpienia gruźlicy.
Prawidłowa odpowiedź to:
Pytanie 88
Wskaż cechy charakterystyczne i sposób leczenia gruźlicy u zakażonych HIV z dużym upośledzeniem oporności:
1) bezpośrednie badanie bakteriologiczne plwociny bardzo często wypada dodatnio;
2) zmiany w rtg klatki piersiowej występują w środkowych i dolnych polach lub są rozsiane;
3) testy IGRA są zawsze dodatnie, stanowiąc podstawę rozpoznania;
4) jamy w płucach należą do rzadkości, ale powiększone są węzły chłonne i płyn w opłucnej;
5) leczenie należy rozpocząć od leków przeciwretrowirusowych a po 4-8 tyg. dołączyć leki przeciwprątkowe.
Prawidłowa odpowiedź to:
Pytanie 89
Wskaż prawdziwe stwierdzenia dotyczące leczenia przeciwprątkowego:
1) u osób po przeszczepach włączenie ryfampicyny nie wymaga zmiany dawki inhibitora kalcyneuryny;
2) gruźlica kostno-stawowa wymaga wydłużenia o 3 mies. fazy kontynuacji;
3) w niewydolności nerek można stosować wszystkie leki przeciwprątkowe bez zmiany dawkowania;
4) gruźlica zapalenia opon mózgowo-rdzeniowych wymaga wydłużenia o 10 mies. fazy kontynuacji;
5) chorzy HIV dodatni z zachowaną wrażliwością prątków nigdy nie wymagają wydłużenia leczenia.
Prawidłowa odpowiedź to:
Pytanie 90
Kolonizacji górnych dróg oddechowych przez bakterie powodujące szpitalne zapalenia płuc nie sprzyjają:
Pytanie 91
Bakteriami, które nie wytwarzają β-laktamaz są:
Pytanie 92
Zapalenia płuc wywołane przez Mycoplasma pneumoniae charakteryzują się:
1) częstym występowaniem wysokiej leukocytozy;
2) krótkim okresem wylęgania trwającym 1-2 dni;
3) możliwością wystąpienia niedokrwistości hemolitycznej;
4) dobrą odpowiedzią na antybiotyki makrolidowe i fluorochinolony;
5) bardzo częstym występowaniem płatowego zapalenia płuc.
Prawidłowa odpowiedź to:
Pytanie 93
Wskaż prawdziwe stwierdzenia dotyczące diagnostyki bakteriologicznej w zakażeniach płuc:
1) stężenie prokalcytoniny w granicach 0,1-0,25 μg/L oznacza duże prawdopodobieństwo zakażenia bakteryjnego;
2) w moczu można szybko określić antygeny S. pneumoniae i L. pneumophila;
3) stężenie CRP nie ma znaczenia w rozpoznawaniu bakteryjnego zapalenia płuc;
4) metodą PCR obecnie można wykrywać zakażenia bakteriami atypowymi;
5) badania serologiczne w zakażeniach wywołanych przez bakterie atypowe mogą stanowić jedyną podstawę rozpoznania zakażenia.
Prawidłowa odpowiedź to:
Pytanie 94
Preparaty superdrobnocząstkowe do stosowania w chorobach obturacyjnych oskrzeli to:
Pytanie 95
Wskaż prawdziwe stwierdzenia dotyczące farmakologicznego leczenia nałogu palenia tytoniu:
1) obligatoryjnie leczenia wymagają osoby z uzależnieniem ≥ 6 punktów w kwestionariuszu Fagerströma;
2) gumy z zawartością 2 mg nikotyny stosuje się u osób palących ≤ 20 papierosów dziennie;
3) bupropion należy zacząć stosować w dniu zaprzestania palenia;
4) warenikilinę stosuje się od początku w stałej dawce 1 tabl (0,5 mg) 2 x dziennie;
5) warenikilinę należy włączyć pacjentowi 1-2 tyg. przed zaplanowaną datą zaprzestania palenia.
Prawidłowa odpowiedź to:
Pytanie 96
W leczeniu uzależnienia od tytoniu należy uwzględnić, że:
1) według kwestionariusza Fagerströma ≥ 7 punktów, to duże uzależnienie;
2) 2-3 próby zaprzestania palenia prowadzą do zerwania z nałogiem;
3) w ocenie stopnia motywacji do zaprzestania palenia < 7 punktów oznacza słabą motywację;
4) objawy nikotynowego zespołu abstynencji mają największe nasilenie w 1. miesiącu. po zaprzestaniu palenia;
5) po zaprzestaniu palenia tytoniu nie stwierdza się przyrostu masy ciała.
Prawidłowa odpowiedź to:
Pytanie 97
Wskaż prawdziwe stwierdzenia dotyczące domowego leczenia tlenem:
1) nie powinno być stosowane u chorych na rozstrzenie oskrzeli i mukowiscydozę;
2) u chorych na POChP wydłuża życie, ale pod warunkiem stosowania tlenu przez ≥ 15 godzin na dobę;
3) stosuje się, gdy PaO2 ≤ 55 mmHg lub SaO2 ≤ 88% z hiperkapnią lub bez;
4) celem jest utrzymanie PaO2 ≥ 80 mmHg lub SaO2 ≥ 94%;
5) przepływ tlenu należy ustalać indywidualnie i powinien wynosić 0,5-3,0 l/min.
Prawidłowa odpowiedź to:
Pytanie 98
Wskaż prawdziwe stwierdzenia dotyczące rozpoznawania obturacji na podstawie spirometrii:
1) obturacja to zmniejszenie FEV1%FVC poniżej dolnej granicy normy;
2) ciężka obturacja w spirometrii podstawowej to FEV1<1,2 l lub <50% wartości należnej dla dorosłych;
3) zmniejszenie IC (inspiratory capacity) wskazuje na możliwość hiperinflacji, zwłaszcza przy współistniejącej obturacji;
4) obturacja to zmniejszenie FVC poniżej dolnej granicy normy a FEV1%FVC>70% wartości należnej;
5) wartość PEF dobrze ilustruje obturację.
Prawidłowa odpowiedź to:
Pytanie 99
Do najczęstszych przyczyn płucnych zespołu ostrej niewydolności oddechowej (ARDS) należą:
1) zapalenie płuc;
2) astma i POChP;
3) uraz klatki piersiowej i stłuczenie płuca;
4) wysiękowe zapalenie opłucnej;
5) inhalacja dymu i toksyn.
Prawidłowa odpowiedź to:
Pytanie 100
Zespół ostrej niewydolności (ARDS) charakteryzuje się:
1) niekontrolowanym rozwojem procesu zapalnego z naciekiem z granulocytów kwasochłonnych;
2) uszkodzeniem śródbłonka prowadzącym do przesiąkania bogatobiałkowego płynu;
3) zniszczeniem surfaktantu w pęcherzykach przez enzymy i toksyny;
4) niedoborem surfaktantu doprowadzającym do rozedmy;
5) zmianami patologicznymi rozsianymi, a nie obejmującymi płuca.
Prawidłowa odpowiedź to:
Pytanie 101
Wskazaniem do skierowania chorego z IPF do kwalifikacji do transplantacji płuc jest:
1) histologiczne lub radiologiczne potwierdzenie rozpoznania UIP, niezależnie od wyników badań czynnościowych układu oddechowego;
2) histologiczne lub radiologiczne potwierdzenie rozpoznania UIP, niezależnie od wieku pacjenta;
3) histologiczne lub radiologiczne potwierdzenie rozpoznania UIP oraz spadek FVC ≥ 10% w ostatnich 6 miesiącach;
4) histologiczne lub radiologiczne potwierdzenie rozpoznania UIP oraz spadek FVC ≥ 5% w ostatnich 6 miesiącach;
5) histologiczne lub radiologiczne potwierdzenie rozpoznania UIP oraz spadek saturacji <88% w czasie testu 6-minutowego marszu.
Prawidłowa odpowiedź to:
Pytanie 102
Pacjent 66-letni, wieloletni palacz tytoniu, zgłosił się do lekarza pulmonologa z powodu suchego kaszlu oraz narastającej od ok. 6 miesięcy duszności wysiłkowej. Osłuchowo obustronne przypodstawne trzeszczenia. W badaniach czynnościowych płuc: FEV1/FVC 75%, FEV1 71%wn, FVC 66%wn, TLC 62%wn, DLCO 53%wn.,w gazometrii krwi tętniczej paO2 58 mmHg, paCO2 33 mmHg, satO2 88%. W HRCT obustronnie w obwodowych partiach pól płucnych zwłóknienia i zmiany siateczkowate. Miejscami tworzą się torbielowate przestrzenie powietrzne dające obraz „plastra miodu”. Zmiany dominują w obszarach nadprzeponowych, towarzyszą im rozstrzenia z pociągania. Na podstawie wywiadu i wykonanych badań u w/w pacjenta:
Pytanie 103
W leczeniu chorego na samoistne włóknienie płuc należy zastosować:
1) pirfenidon lub nintedanib;
2) prednizon, azatioprynę, acetylocysteinę;
3) acetylocysteinę w monoterapii;
4) warfarynę w monoterapii;
5) przeszczepienie płuc u wybranych chorych.
Prawidłowa odpowiedź to:
Pytanie 104
Przeciwwskazaniem do nieinwazyjnej wentylacji mechanicznej są:
1) brak współpracy chorego;
2) zaburzenia świadomości;
3) niestabilność hemodynamiczna;
4) aspiracja treści pokarmowej;
5) deformacja twarzy uniemożliwiająca szczelne dopasowanie maski.
Prawidłowa odpowiedź to:
Pytanie 105
Hiperkapnia podczas snu z PaCO2 ≥ 50 mmHg u pacjenta z deformacją klatki piersiowej (kyfoskoliozą) jest wskazaniem do zastosowania w pierwszej kolejności:
Pytanie 106
Który wynik badania gazometrycznego krwi tętniczej stanowi wskazanie do zastosowania nieinwazyjnej wentylacji mechanicznej u pacjenta z zaostrzeniem przewlekłej obturacyjnej choroby płuc?
Pytanie 107
Rozpoznanie mukowiscydozy potwierdza:
Pytanie 108
30-letni mężczyzna z nawracającymi infekcjami górnych dróg oddechowych oraz wywiadem 3-krotnych polipektomii, od 10 lat nasilenie objawów w postaci zwiększenia ilości odkrztuszanej wydzieliny, zmiany jej zabarwienia (żółta, okresowo żółto-zielona) oraz obniżenie tolerancji wysiłku fizycznego. Od 4 lat pozostaje w zawiązku małżeńskim. Po 2 latach niepłodności, stwierdzono oligospermię. W badaniu przedmiotowym pojedyncze świsty na wydechu oraz rzężenia grubobańkowe obustronnie nad dolnymi polami płucnymi. W RTG klatki piersiowej cechy hiperinflacji. W spirometrii wykładniki obturacji łagodnego stopnia. Które z podanych niżej badań jest badaniem z wyboru dla potwierdzenia wstępnego rozpoznania mukowiscydozy?
Pytanie 109
Przewlekłe leczenie podtrzymujące choroby oskrzelowo-płucnej w przebiegu mukowiscydozy polega na regularnym stosowaniu antybiotyków w postaci nebulizacji (np. kolastyna, tobramycyna) i dotyczy chorych przewlekle skolonizowanych przez patogeny:
Pytanie 110
Chorym na mukowiscydozę zaleca się terapię wziewną antybiotykami, bronchodilatatorami, wziewnymi kortykosteroidami i mukolitykami. Choremu zlecono preparat z każdej wyżej wymienionej grupy do pobrania wziewnie. Wskaż jaka jest prawidłowa kolejność ich stosowania:
Pytanie 111
Szczególnie niebezpieczną sytuacją kliniczną w mukowiscydozie jest pojawienie się masywnego krwioplucia ≥ 250 ml krwi. Co nie jest postępowaniem z wyboru w takiej sytuacji?
Pytanie 112
Jakiego postępowania wymaga izolacja po raz pierwszy Pseudomonas aeruginosa w plwocinie indukowanej u chorego z mukowiscydozą?
Pytanie 113
Wskaż prawdziwe stwierdzenie dotyczące leczenia gruźlicy:
1) przy oporności prątków tylko na ryfampicynę, stosuje się hydrazyd z etambutolem i fluorochinolonem przez 12-18 mies., a przez ≥ 2 pierwsze miesiące także pirazynamid;
2) z fluorochinolonów stosowanych w leczeniu gruźlicy zaleca się głównie cyprofloksacynę;
3) karmienie piersią jest przeciwwskazane jeśli kobieta przyjmuje leki przeciwprątkowe;
4) bedakilina to nowy lek przeciwprątkowy hamujący syntazę ATP prątków gruźlicy;
5) w gruźlicy wielolekoopornej należy stosować obok fluorochinolonów etionamid i cykloserynę, a tylko wyjątkowo PAS.
Prawidłowa odpowiedź to:
Pytanie 114
Wskaż prawdziwe stwierdzenia dotyczące zapalenia płuc:
1) nie stwierdza się nosicielstwa Legionella pneumophila;
2) w ciężkim zapaleniu płuc wywołanym przez Legionella pneumophila należy w I rzucie stosować fluorochinolony, głównie lewofloksacynę, a makrolidy są antybiotykami alternatywnymi;
3) chorzy w stanie immunosupresji narażeni są głównie na zakażenie Pneumocystis jiroveci i prątki niegruźlicze;
4) w zachłystowym zapaleniu płuc naciek zapalny wykazuje tendencję do rozpadu i tworzenia ropnia płuc;
5) β-laktamazy typu ESBL wytwarzają tylko szczepy Ps. aeruginosa.
Prawidłowa odpowiedź to:
Pytanie 115
Co jest przeciwwskazaniem do wykonywania test 6-minutowego chodu?
Pytanie 116
Test 6-minutowego chodu nie ma znaczenia rokowniczego w odniesieniu do:
Pytanie 117
W trakcie badania spirometrycznego 20-letnia kobieta wykonała 3 poprawne i powtarzalne manewry natężonego wydechu i uzyskano następujące wyniki: FEV1: 1,5 l (wartość należna dla pacjentki: 3,2 l), FVC: 3,9 l (wartość należna dla pacjentki: 4,1 l). Prawidłowy opis badania powinien brzmieć:
Pytanie 118
Wskaż prawdziwe stwierdzenie dotyczące zapalenia płuc:
1) testy paskowe z zastosowaniem metody chromatograficznej wykrywają w moczu antygeny Str. pneumoniae i pierwszy serotyp Legionella pneumophila;
2) makrolidy wykazują szczególnie dużą aktywność kliniczną wobec Haemophilus influenzae;
3) u chorych w wieku ≥ 65 lat tylko z jednym punktem wg skali CRB należy rozważyć leczenie szpitalne;
4) amoksycylinę z kwasem klawulanowym w dawce 2000/125 2 x dziennie doustnie należy stosować przy podejrzeniu oporności Str. pneumoniae na penicyliny;
5) w Polsce oporność Str. pneumoniae na penicylinę dochodzi do 40% (wg projektu Aleksander).
Prawidłowa odpowiedź to:
Pytanie 119
Wskaż prawdziwe stwierdzenia dotyczące leczenia zapaleń płuc:
1) wywołane przez Legionella pneumophila - pierwszy wybór to fluorochinolony;
2) wywołane przez Klebsiella pneumoniae - leczy się tylko aminoglikozydami;
3) wywołane przez Staphylococcus aureus MRS - wymaga stosowania wankomycyny lub teikoplaniny;
4) wywołane przez bakterie beztlenowe - pierwszy wybór stanowią aminoglikozydy z metronidazolem;
5) wywołane przez Mycoplasma pneumoniae - pierwszy wybór stanowią fluorochinolony.
Prawidłowa odpowiedź to:
Pytanie 120



