Wyszukaj egzamin lub pytanie
Egzamin PES Choroby płuc / wiosna 2015
120 pytań
Pytanie 1
Wskaż prawdziwe stwierdzenia odnoszące się do leczenia zapalenia płuc:
1) ceftarolina - cefalosporyna V generacji nie jest aktywna wobec Streptococcus pneumoniae opornych na penicylinę i ceftriakson;
2) fluorochinolony „oddechowe” to lewofloksacyna i moksyfloksacyna, które są aktywne wobec Streptococcus pneumoniae opornych na penicylinę;
3) ceftazydym / cefepim oraz piperacylina / tazobaktam są antybiotykami o szczególnej aktywności wobec pałeczek Pseudomonas aeruginosa i Acinetobacter sp.;
4) w oddziałach intensywnej terapii zapaleń płuc nie można leczyć skojarzeniem karbapenemu z fluorochinolonem;
5) gdy istnieją czynniki ryzyka zakażenia gronkowcowego, to należy zastosować wankomycynę lub leikoplaninę, lub linezolid.
Prawidłowa odpowiedź to:
Pytanie 2
Wskaż prawdziwe stwierdzenia odnoszące się do pozaszpitalnych zapaleń płuc:
1) chorzy na lekkie pozaszpitalne zapalenia płuc mogą w warunkach szpitalnych otrzymywać amoksycylinę, jeśli nie otrzymywali żadnego antybiotyku przed hospitalizacją;
2) jeżeli chory w ciągu 3 miesięcy poprzedzających obecne zachorowanie otrzymywał antybiotyk β-laktamowy, to w lekkim zapaleniu płuc w warunkach ambulatoryjnych należy zastosować lek II wyboru;
3) wobec braku poprawy po antybiotyku β-laktamowym nie należy zamieniać go na makrolid;
4) bakteriemia występuje znacznie częściej, gdy zakażenie jest wywołane Moraxella catarrhalis niż Streptococcus pneumoniae;
5) ciprofloksacyna wykazuje wysoką aktywność wobec Streptococcus pneumoniae, a małą wobec Pseudomonas aeruginosa.
Prawidłowa odpowiedź to:
Pytanie 3
Wskaż prawdziwe stwierdzenia odnoszące się do leczenia zapalenia płuc:
1) u chorych leczonych szpitalnie, mimo szybkiej poprawy klinicznej, należy bezwzględnie po 7-10 dniach wykonać rtg klatki piersiowej;
2) chorzy leczeni ambulatoryjnie powinni zgłosić się na badanie kontrolne po 48 godzinach lub wcześniej, jeśli wystąpią niepokojące objawy;
3) jeśli u chorych leczonych szpitalnie nie ma poprawy po 3 dniach, należy oznaczyć CRP, PCT i wykonać rtg klatki piersiowej;
4) skala liczbowa CRB-65 nie daje możliwości oszacowania śmiertelności;
5) u 50% chorych prawidłowo leczonych utrzymują się zmiany w rtg klatki piersiowej jeszcze po 2 tygodniach.
Prawidłowa odpowiedź to:
Pytanie 4
Wskaż prawdziwe stwierdzenia odnoszące się do leczenia zapalenia płuc:
1) doksycyklina stosowana doustnie może być lekiem I rzutu w leczeniu ambulatoryjnym;
2) w I rzucie leczenia w warunkach ambulatoryjnych u ludzi młodych można zastosować antybiotyk makrolidowy w monoterapii;
3) w II rzucie w warunkach ambulatoryjnych nie wolno do antybiotyku β-laktamowego dołączać makrolidu lub fluorochinolonu aktywnego wobec penicylinoopornych Streptococcus pneumoniae;
4) wśród szczepów Streptococcus pneumoniae występują szczepy wielolekooporne, to jest oporne na penicyliny, makrolidy, tetracyklinę i kotrimoksazol;
5) przy MIC 1-2 mg/l możemy stosować amoksycylinę/kwas klawulanowy 16:1 (w dawce 2 g/125 mg/24 h) doustnie lub ceftriakson dożylnie 2 x 1 g.
Prawidłowa odpowiedź to:
Pytanie 5
Wskaż prawdziwe stwierdzenia odnoszące się do leczenia zapalenia płuc:
1) w podjęciu decyzji o stopniu ciężkości choroby pomocne są skale: PSI, CURB-65, SMART-COP;
2) w pierwszym rzucie leczenia w warunkach ambulatoryjnych (lekkiego zapalenia płuc) podaje się amoksycylinę doustnie 1,0 g co 8 godzin lub amoksycylinę 1,5-2,0 g 2 razy dziennie;
3) u chorych na ciężkie pozaszpitalne zapalenia płuc zaleca się rutynowo stosować systemowe glikokortykosteroidy;
4) wszystkie makrolidy wykazują słabą aktywność wobec Haemophilus influenzae;
5) szczepy Streptococcus pneumoniae zazwyczaj są wrażliwe na makrolidy i tetracykliny.
Prawidłowa odpowiedź to:
Pytanie 6
Wskaż prawdziwe stwierdzenia odnoszące się do zapalenia płuc:
1) jeśli uzyskano dodatni wynik badania na obecność antygenu Legionella w moczu, to nie należy badać plwociny w kierunku tych pałeczek;
2) w każdym przypadku ciężkiej postaci pozaszpitalnego zapalenia płuc oraz przy niepowodzeniu terapii empirycznej należy dążyć do ustalenia czynnika etiologicznego;
3) oznaczanie stężenia białka C-reaktywnego (CRP) nie ma żadnego znaczenia w zapaleniu płuc;
4) około 10% zapaleń płuc wywołanych przez dwoinkę zapalenia płuc przebiega z bakteriemią;
5) szczepy Streptococcus pneumoniae wielolekooporne (DRSP) są oporne na penicyliny, makrolidy, tetracyklinę i kotrimoksazol.
Prawidłowa odpowiedź to:
Pytanie 7
Wskaż prawdziwe stwierdzenia odnoszące się do zapalenia płuc:
1) stosowanie leczenia antybiotykiem zgodnie z antybiogramem zawsze gwarantuje eradykację drobnoustroju z miejsca zapalenia;
2) u chorych na pozaszpitalne zapalenie płuc przyjętych do szpitala przed podaniem antybiotyku należy pobrać próbkę plwociny i krew na posiew;
3) bronchofiberoskopię wykonuje się w razie podejrzenia zwężenia oskrzela, raka płuca, zachłyśnięcia, nawrotu zapalenia, konieczności pobrania materiału do badań;
4) oznaczanie stężenia glukozy nie ma żadnego znaczenia w rokowaniu zapalenia płuc;
5) w legionellowym zapaleniu płuc antygen legionelli w moczu pojawia się w pierwszym dniu choroby i utrzymuje się przez wiele tygodni.
Prawidłowa odpowiedź to:
Pytanie 8
Wskaż prawdziwe stwierdzenia odnoszące się do zapaleń płuc:
1) w rozpoznawaniu pneumokokowego zapalenia płuc test paskowy wykrywający antygen w moczu ma większą wartość niż badanie mikrobiologiczne plwociny i krwi;
2) wartości stężenia prokalcytoniny nie mogą być podstawą do zaprzestania antybiotykoterapii w zapaleniu płuc;
3) u chorych z podejrzeniem zapalenia płuc kierowanych do szpitala należy rozważyć niezwłoczne zastosowanie antybiotyku, gdy stan chorego jest ciężki lub gdy dotrze do szpitala po ponad 2 godzinach;
4) u osób zakażonych HIV powolne, wielotygodniowe narastanie objawów występuje w gruźlicy, nokardiozie i pneumocystozie;
5) jeśli stężenie prokalcytoniny jest małe 0,1 - 0,25 µg/l, to zakażenie bakteryjne jest wykluczone.
Prawidłowa odpowiedź to:
Pytanie 9
Wskaż prawdziwe stwierdzenia odnoszące się do zapalenia płuc:
1) plwocina jest podstawowym materiałem do badań mikrobiologicznych, ponieważ charakteryzuje się dużą swoistością i czułością;
2) w wykrywaniu patogenu odpowiedzialnego za zapalenie płuc użyteczne są testy paskowe wykrywające w moczu antygeny Streptococcus pneumoniae i Legionella pneumoniae (tylko w przypadku serogrupy 1);
3) mimo małego stężenia prokalcytoniny antykobiotykoterapię należy wdrożyć w razie bezpośredniego zagrożenia życia, niestabilności oddechowej i/lub krążeniowej, konieczności leczenia na oddziale intensywnej terapii;
4) badanie rtg klatki piersiowej pozwala w pneumokokowym i gronkowcowym zapaleniu płuc na pewne rozpoznanie patogenu sprawczego;
5) jeżeli w skali CURB-65 występują dwa czynniki, to pozaszpitalne zapalenie płuc jest umiarkowane i chory powinien być leczony w szpitalu.
Prawidłowa odpowiedź to:
Pytanie 10
Wskaż prawdziwe stwierdzenia odnoszące się do pozaszpitalnych zapaleń płuc (PZP):
1) u chorych w immunosupresji zapalenia płuc wywołują bakterie Gram dodatnie i Gram ujemne te same, które wywołują PZP u osób bez zaburzeń odporności;
2) Streptococcus pneumoniae, Mycoplasma pneumoniae i Chlamydophila pneumoniae to drobnoustroje wywołujące tzw. atypowe zapalenia płuc (lub nietypowe);
3) przyczyną PZP jest zawsze tylko jeden drobnoustrój i jest to głównie Mycoplasma pneumoniae;
4) badań mikrobiologicznych nie wykonuje się u chorych na PZP będących w dobrym stanie i zakwalifikowanych do leczenia ambulatoryjnego;
5) dla oceny ciężkości PZP w warunkach ambulatoryjnych wskazane jest za BTS stosować skalę CRB-65 a w warunkach szpitalnych skalę CURB-65.
Prawidłowa odpowiedź to:
Pytanie 11
Wskaż prawdziwe stwierdzenia odnoszące się do astmy aspirynowej:
1) diagnostyka astmy aspirynowej powinna opierać się na wywiadzie i doustnym teście prowokacyjnym z diklofenakiem;
2) kwas salicylowy u 100% chorych na astmę aspirynową wywołuje napad duszności;
3) astma aspirynowa może być atopowa lub nieatopowa;
4) polipy nosa w astmie aspirynowej mogą rozwijać się przed wystąpieniem astmy lub po jej wystąpieniu;
5) leczenie astmy aspirynowej powinno przebiegać według wytycznych raportu GINA głównie wziewnymi kortykosteroidami i długo działającymi β2-agonistami.
Prawidłowa odpowiedź to:
Pytanie 12
Wskaż prawdziwe stwierdzenia odnoszące się do astmy aspirynowej:
1) wziewne testy prowokacyjne z kwasem acetylosalicylowym charakteryzują się dużą swoistością, ale ograniczoną czułością, ponieważ mogą wypaść ujemnie u nadwrażliwych chorych;
2) główny sposób leczenia powinien polegać na podawaniu 300 mg/dz. aspiryny w stanie wytworzonej tolerancji na ten lek;
3) patomechanizm skurczu po aspirynie wynika z zablokowania cyklooksygenazy-1 (COX-1) i przejścia kwasu arachidonowego na ścieżkę 5-lipoksygenazy;
4) bronchospastyczny fenotyp nadwrażliwosci na aspirynę może łączyć się z fenotypem pokrzywkowym;
5) wytwarzanie tolerancji na niesterydowe leki przeciwzapalne powinno być głównie przy użyciu indometacyny.
Prawidłowa odpowiedź to:
Pytanie 13
Wskaż prawdziwe stwierdzenia odnoszące się do nadreaktywności oskrzeli:
1) stwierdzenie nadreaktywności oskrzeli na metacholinę jest równoznaczne z rozpoznaniem astmy;
2) bezwzględne przeciwwskazania do wykonania oskrzelowej próby prowokacyjnej to: wartość FEV1<50% wartości należnej lub < 1 litra, zawał serca przebyty w ciągu 3 miesięcy przed badaniem, niekontrolowane nadciśnienie tętnicze;
3) próba prowokacji wysiłkiem jest czulsza niż prowokacja oskrzelowa metacholiną lub histaminą;
4) wartość PC20M (tzw. próg dla metacholiny) 1-4 mg/ml oznacza, że nadreaktywność oskrzeli jest łagodna;
5) codzienna ekspozycja na alergeny wziewne prowadzi do wzrostu nadreaktywności oskrzeli.
Prawidłowa odpowiedź to:
Pytanie 14
Wskaż prawdziwe stwierdzenia odnoszące się do nadreaktywności oskrzeli:
1) jeżeli podczas próby prowokacji oskrzelowej przy wykonywaniu spirometrii podstawowej nastąpi duszność ze spadkiem FEV1, to próby nie należy wykonywać, ponieważ ten spadek dowodzi istnienia nadreaktywności oskrzeli;
2) „próg metacholiny czy histaminy” to wartość stężenia lub dawki tych spasmogenów wywołującego 20% spadek FEV1;
3) w przewlekłym, alergicznym nieżycie nosa wartość PC20M jest zawsze > 4 mg/ml;
4) wartość wskaźnika FEV1 ściśle koreluje z wielkością nieswoistej nadreaktywności oskrzeli;
5) monofosforan adenozyny wywołuje skurcz oskrzeli w sposób pośredni, doprowadzając do aktywacji komórek tucznych.
Prawidłowa odpowiedź to:
Pytanie 15
Wskaż prawdziwe stwierdzenia odnoszące się do leczenia astmy metodą LP i D (leczenie podtrzymujące i doraźne):
1) leczenie LP i D odnosi się do dwupropionianu beklometazonu lub budezonidu z formoterolem;
2) leczenie metodą LP i D wg GINA 2014 zalecane tylko jest w stopniu 4-5 leczenia;
3) metoda LP i D z dwupropionianem beklometazonu z formoterolem prowadzona przez 48 tygodni wykazała wydłużenie czasu do ciężkiego zaostrzenia o 65 dni, a zmniejszenie ryzyka zgonu o 33%;
4) metoda LP i D dobrze sprawdziła się w leczeniu zespołu nakładania astmy i POChP;
5) w metodzie LP i D z preparatem dwupropionianu beklometazonu z formoterolem można stosować dawkę dobową do 800 µg/ 48 µg.
Prawidłowa odpowiedź to:
Pytanie 16
Wskaż prawdziwe stwierdzenia:
1) połączenie salmeterolu z flutikazonem w jednym inhalatorze spowolniło w ciągu 3 lat badania tempo rocznego spadku FEV1 o około 16 ml;
2) w POChP oceny wskaźnika FEV1/FVC dokonuje się bez leku rozkurczowego;
3) w badaniu TORCH główne przyczyny zgonów to w kolejności: choroby układu oddechowego > choroby serca> rak płuca;
4) w teście 6-minutowego marszu ocenia się submaksymalną wydolność wysiłkową bez informacji o wydolności poszczególnych układów;
5) korelacja między FEV1 a objawami podmiotowymi i jakością życia jest bardzo wysoka.
Prawidłowa odpowiedź to:
Pytanie 17
Wskaż prawdziwe stwierdzenia:
1) w kwestionariuszu CAT znajduje się osiem domen, z których każda może być oceniona w zakresie 1-5 punktów, dając ogółem maksimum 40 punktów;
2) połączenie salmeterolu z flutikazonem w jednym inhalatorze (badanie TORCH) dało w ciągu 3 lat 25% redukcję zaostrzeń w porównaniu z placebo;
3) w kwestionariuszu Szpitala Św. Jerzego (dla POChP) zmiana o 4 punkty jest istotna klinicznie;
4) jedynie w kategorii D ciężkości POChP wolno stosować jednocześnie leki z grupy αAβA i LAMA;
5) ryzyko zaostrzeń POChP można ocenić tylko na podstawie liczby przebytych zaostrzeń w ciągu ostatnich 12 miesięcy.
Prawidłowa odpowiedź to:
Pytanie 18
Wskaż prawdziwe stwierdzenia:
1) indakaterol - bardzo (ultra) długo działający β2-agonista występuje w kapsułkach 150 i 300 mg;
2) indakaterol należy do β2-agonistów o częściowym agonizmie wobec receptorów β2-adrenergicznych;
3) glikopironium to bardzo (ultra) długo działający agonista receptorów β2-adrenergicznych;
4) vilanterol występuje w połączeniach w jednym inhalatorze z furoinianem flutikazonu;
5) preparat kombinowany furoinian flutikazonu + vilanterol może być stosowany tylko w leczeniu astmy.
Prawidłowa odpowiedź to:
Pytanie 19
Wskaz prawdziwe stwierdzenia odnoszące się do gruźlicy:
1) około 85 % nowych zachorowań na gruźlicę ma miejsce w krajach rozwijających się;
2) współczesne problemy związane z prątkami gruźlicy to zwiększenie się liczby szczepów opornych na leki przeciwprątkowe i liczby szczepów o zwiększonej zjadliwości;
3) w 2012 roku w Polsce odnotowano 7542 nowe przypadki gruźlicy, co dało wskaźnik zapadalności 19,6/100000;
4) w Polsce szczepienia BCG dotyczą 85-87 % noworodków;
5) w 2013 roku w Polsce gruźlica płuc potwierdzona bakteriologicznie stanowiła około 68 % wszystkich przypadków gruźlicy płuc.
Prawidłowa odpowiedź to:
Pytanie 20
Wskaż prawdziwe stwierdzenia odnoszące się do gruźlicy:
1) w 1993 roku WHO ogłosiła gruźlicę jako ogólnoświatowy naglący problem;
2) strategia DOTS zakłada wykrycie 70 % przypadków gruźlicy prątkującej i 85 % odprątkowania;
3) ustawa o zapobieganiu oraz zwalczaniu zakażeń i chorób zakaźnych u ludzi obowiązuje od 5 grudnia 2010 roku;
4) w 2012 roku zanotowano w skali świata 8,6 mln nowych przypadków gruźlicy;
5) ryzyko rozwoju gruźlicy u zakażonych, immunokompetentnych osób wynosi około 10 % w skali roku.
Prawidłowa odpowiedź to:
Pytanie 21
Wskaż prawdziwe stwierdzenia odnoszące się do gruźlicy u osób zakażonych HIV i po przeszczepach:
1) u chorych po przeszczepach po włączeniu RMP (ryfabutyny) dawkę inhibitora kalcyneuryny należy zwiększyć 3-5-krotnie;
2) u chorych z liczbą limfocytów CD4+ > 500/µl zmiany dotyczą głównie dolnych i środkowych pól płucnych;
3) u osób zakażonych HIV 38% chorych ma gruźlicę płuc, 30% - gruźlicę pozapłucną, a 32% - jednocześnie gruźlicę płuc i pozapłucną;
4) u chorych na gruźlicę i zakażonych HIV odczyn tuberkulinowy równy 5 mm uznawany jest za dodatni;
5) według WHO u osób chorych na gruźlicę i zakażonych HIV najpierw należy włączyć terapię antyretrowirusową, a po 8 tygodniach leki przeciwprątkowe.
Prawidłowa odpowiedź to:
Pytanie 22
Wskaż prawdziwe stwierdzenia odnoszące się do gruźlicy:
1) chemioprofilaktykę należy bezwzględnie stosować w przypadku kontaktu z chorym na gruźlicę u dzieci < 5 rż, u osób zakażonych HIV i u osób będących w stanie ciężkiej immunosupresji z innej przyczyny;
2) osoby z kontaktu z chorymi na gruźlicę pozapłucną BK(+) także wymagają badań w kierunku zakażenia;
3) jeśli u chorego leczonego anty-TNF wystąpi gruźlica, to należy przerwać podawanie tego leku na okres co najmniej 1 miesiąca prowadzonego leczenia przeciwprątkowego;
4) uogólniona mykobakterioza u osób zakażonych HIV najczęściej wywołana jest przez kompleks MAC, jeśli CD4+ < 50 µl;
5) leki przeciwprątkowe hepatotoksyczne należy bezwzględnie odstawić, gdy aktywność aminotransferaz jest 3-krotnie większa od górnej granicy normy.
Prawidłowa odpowiedź to:
Pytanie 23
W skład podstawowych parametrów badania spirometrycznego koniecznych dla oceny zaawansowania POChP i stopnia zaburzeń wentylacyjnych nie należy:
Pytanie 24
Próba rozkurczowa służy do oceny odwracalności obturacji. Wykonuje się ją po inhalacji leku rozkurczającego oskrzela. Mogą to być inhalacje z:
Pytanie 25
Najważniejszym czynnikiem ryzyka zachorowania na POChP jest palenie tytoniu odpowiedzialne za następujący procent przypadków:
Pytanie 26
Według GOLD bardzo ciężką postać ograniczenia przepływu powietrza w drogach oddechowych w POChP rozpoznamy wtedy kiedy przy wskaźniku FEV1%FVC poniżej 0,7 wskaźnik FEV1 wyniesie:
Pytanie 27
Podstawowym kryterium rozpoznania POChP wg GOLD 2014 r jest wartość wskaźnika spirometrycznego FEV1/FVC po inhalacji leku rozkurczającego oskrzela poniżej wartości:
Pytanie 28
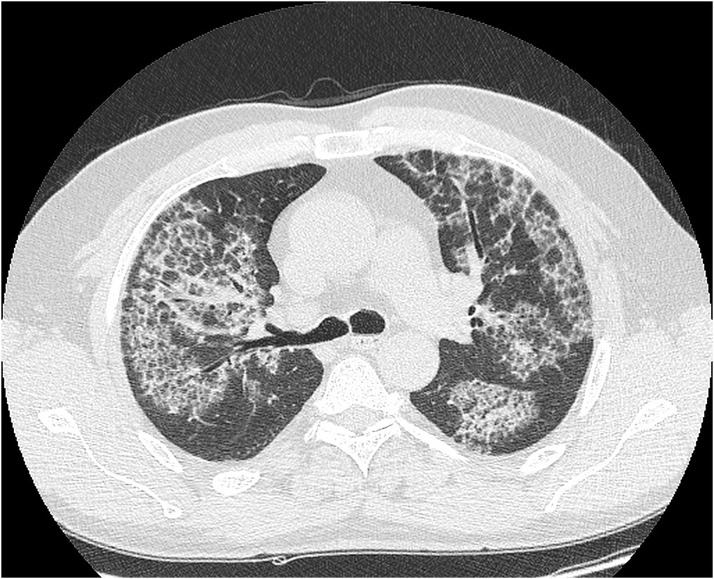
Pacjent l. 40 zgłosił się do lekarza rodzinnego z powodu suchego męczącego kaszlu, mniejszej tolerancji wysiłku, szybszego męczenia się od około 3 miesięcy. Bez cech infekcji. Dotychczas nie chorował. Nie palił i nie pali. Po wykonaniu zdjęcia radiologicznego klatki piersiowej na którym stwierdzono zmiany skierowano pacjenta na KT klatki piersiowej na którym uwidoczniono niżej pokazane zmiany.
Obraz KT najbardziej przypomina obraz spotykany w:

Pytanie 29
W terapii chorych na POChP wykorzystuje się 24-godzinny czas działania preparatów LAMA. Do leków tych stosowanych 1 x dziennie należą:
1) bromek tiotropium;
2) bromek glikopyronium;
3) bromek umeklidynium;
4) bromek ipratropium;
5) bromek aklidynium.
Prawidłowa odpowiedź to:
Pytanie 30
Niżej pokazane zmiany w tomografii komputerowej u osoby z utratą masy ciała, mającej od wielu dni stany podgorączkowe, kaszlącej z odkrztuszaniem dużej ilości śluzowej wydzieliny 48-letniej palącej kobiety może sugerować następujące rozpoznania:
1) ropnia;
2) raka;
3) gruźlicy;
4) mykobakteriozy;
5) torbieli;
6) mukowiscydozy.
Prawidłowa odpowiedź to:

Pytanie 31
Kobieta lat 30 zgłosiła się do pulmonologa z powodu występujących od ok. 6 miesięcy duszności i suchego kaszlu. Poza tym, w wywiadzie palenie tytoniu (15 paczkolat) oraz odma opłucnowa przed trzema laty. W wykonanym badaniu HRCT klatki piersiowej stwierdzono bardzo liczne, różnokształtne, niekiedy łączące się ze sobą torbielki oraz guzki wokół oskrzelików; ww. zmiany zlokalizowane były w górnych i środkowych polach płucnych z zaoszczędzeniem kątów przeponowo-żebrowych. Najbardziej prawdopodobnym rozpoznaniem jest:
Pytanie 32
Mężczyzna lat 65 zgłosił się do pulmonologa z powodu narastającej od kilku lat duszności, ograniczonej tolerancji wysiłku oraz suchego kaszlu. W wykonanym badaniu HRCT klatki piersiowej stwierdzono: masywne zagęszczenia włókniste z przejaśnieniami, odpowiadające torbielkom (obraz plastra miodu), rozstrzenie oskrzeli z pociągania w dolnych przykręgosłupowych częściach płuc, zmiany siateczkowate w obwodowych podopłucnowych częściach płuc; ww. zmiany dominowały w dolnych polach płucnych. Najbardziej prawdopodobnym rozpoznaniem jest:
Pytanie 33
W POChP uszkodzenie płuc jest wynikiem:
1) ostrego zapalenia dróg oddechowych z udziałem głównie eozynofilów i limfocytów CD4;
2) proteolizy - zwłaszcza w przypadku niedoboru α1-antytrypsyny;
3) stresu oksydacyjnego.
Prawidłowa odpowiedź to:
Pytanie 34
U pacjenta z POChP, który musi zatrzymać się po ok. 150 m spaceru z powodu duszności, przebył 1 zaostrzenie w ostatnim roku leczone ambulatoryjnie, FEV1 wynosi 40% wartości należnej, a PaO2 we krwi tętniczej w okresie stabilnym 62 mmHg, przewlekłe leczenie pierwszego wyboru powinno zawierać:
1) ipratropium;
2) formoterol;
3) teofilinę;
4) budesonid;
5) tlen.
Prawidłowa odpowiedź to:
Pytanie 35
Klasyfikacja chorych na POChP wg wytycznych GOLD 2014 służąca wyborowi właściwego leczenia nie zawiera:
Pytanie 36
U 28-letniej kobiety, palącej papierosy, skarżącej się od 4 miesięcy na suchy kaszel, z wywiadem odmy opłucnowej, stwierdzono w RTG klatki piersiowej symetryczne zmiany drobnoguzkowe oraz liczne torbielki w górnych i środkowych polach płucnych. Najbardziej prawdopodobnym rozpoznaniem będzie:
Pytanie 37
Wskaż fałszywe stwierdzenie:
Pytanie 38
Poniższy wynik badania spirometrycznego wykonanego u pacjenta z powodu zmniejszonej tolerancji wysiłku pozwala na rozpoznanie:

Pytanie 39
Na podstawie przyjętych przez PTChP kryteriów oceny spirometrycznej próby rozkurczowej, przedstawiony wynik próby wykonanej u chorego z obturacją oskrzeli należy zinterpretować w następujący sposób:

Pytanie 40
W randomizowanych badaniach klinicznych z udziałem chorych na POChP stosowano flutikazon lub budezonid w następujących dawkach:
Pytanie 41
Która z poniższych wielkości nie może być zmierzona podczas spirometrii?
Pytanie 42
Na podstawie przyjętych przez PTChP kryteriów oceny spirometrycznej próby rozkurczowej, przedstawiony wynik próby wykonanej u chorego z obturacją oskrzeli należy zinterpretować w następujący sposób. Wynik próby rozkurczowej:

Pytanie 43
Obturację w układzie oddechowym z definicji stwierdza się, jeśli stosunek FEV1/(F)VC jest:
Pytanie 44
Wyniki pomiarów uzyskane w czasie spirometrii 70-letniego mężczyzny o wzroście 180 cm są następujące:
FVC = 3,57l (81,5% w.n,; SD = -1,18) FEV1 = 2,50 l (75,6% w.n; SD=-1,45); FEV1/FVC = 0,70.
U badanego stwierdzić można:
Pytanie 45
W badaniu z użyciem pletyzmografu całego ciała ocenia się:
1) drożność dróg oddechowych;
2) stopień ciężkości obturacji;
3) całkowitą pojemność płuc;
4) własności elastyczne tkanki płucnej;
5) objętość zalegającą.
Prawidłowa odpowiedź to:
Pytanie 46
Zaburzeniem wentylacji typu restrykcyjnego nazywa się:
Pytanie 47
Wartości należne dla wyników badania spirometrycznego zależą od:
1) płci;
2) wzrostu;
3) BMI;
4) masy ciała;
5) wieku;
6) przynależności do odpowiedniej grupy etnicznej.
Prawidłowa odpowiedź to:
Pytanie 48
Pojemność dyfuzyjna DL,CO zmniejszona jest w/we:
1) włóknieniu płuc;
2) stanach po resekcji miąższu płucnego;
3) krwawieniu dopęcherzykowym;
4) otyłości;
5) niedokrwistości.
Prawidłowa odpowiedź to:
Pytanie 49
W badaniu układu oddechowego określono:
RV = 1,5 l; FRC = 3,5 l; VC= 4,5 l; TV = 0,5 l; IRV=2,0 l; ERV = 2,0 l.
Całkowita pojemność płuc badanego wynosi:
Pytanie 50
Który z niżej wymienionych wzorów oporności charakteryzuje szczep prątków Mycobacterium tuberculosis wydalany przez chorego z gruźlicą typu MDR?
1) oporność na INH;
2) oporność na INH i EMB;
3) oporność na SM, INH i RMP;
4) oporność na INH i RMP;
5) oporność na SM, EMB.
Prawidłowa odpowiedź to:
Pytanie 51
Materiał pobrany od chorego w kierunku diagnostyki gruźlicy i mycobacterioz, który będzie dostarczony do laboratorium w ciągu 12 godzin od pobrania należy przechowywać w:
1) temperaturze pokojowej 25°C;
2) zamrażarce -22°C;
3) cieplarce 37°C;
4) lodówce 4°C.
Prawidłowa odpowiedź to:
Pytanie 52
Materiałami do diagnostyki mikrobiologicznej gruźlicy płuc u dzieci są:
Pytanie 53
Za pomocą jakich badań diagnostycznych można potwierdzić latentne zakażenie prątkami?
1) testami IGRA;
2) próbą tuberkulinową;
3) badaniem genetycznym w kierunku gruźlicy;
4) bakterioskopią i posiewem w kierunku Mycobacterium tuberculosis;
5) badaniem histopatologicznym.
Prawidłowa odpowiedź to:
Pytanie 54
W testach serologicznych IGRA, do wykrywania postaci latentnej zakażenia M. tuberculosis zastosowano antygeny:
1) ESAT-6;
2) antygen 38kDa;
3) antygen 16kDa;
4) lipoarabinomannan (LAM);
5) CFP10.
Prawidłowa odpowiedź to:
Pytanie 55
Objawy paranowotworowe często towarzyszą rakowi płuca. Który z typów histopatologicznych tego nowotworu szczególnie predysponuje do wystąpienia tych objawów?
Pytanie 56
Ropień płuca jest najczęściej spowodowany zakażeniem:
Pytanie 57
U chorego z niedrobnokomórkowym rakiem płuca w badaniu PET/CT stwierdzono aktywne metabolicznie węzły śródpiersiowe a mediastinoskopia potwierdziła obecność przerzutów raka w stacji 2,4 i 7 po stronie guza. Stopień zaawansowania określono na IIIA. Właściwym postępowaniem u tego chorego będzie:
Pytanie 58
Które z poniżej wymienionych stanów stanowią bezwzględne przeciwwskazanie do transplantacji płuc?
Pytanie 59
Który z następujących objawów nie dyskwalifikuje pacjenta od możliwości chirurgicznego leczenia raka płuca?
Pytanie 60
U 55-letniej chorej z długoletnim wywiadem gruźliczym leczonej wielokrotnie z powodu grzybniaka kropidlakowego wystąpił kolejny krwotok z drzewa oskrzelowego. Właściwe postępowanie powinno polegać na:
Pytanie 61
Która z następujących chorób płuc jest obecnie najczęstszym wskazaniem do transplantacji płuc?
Pytanie 62
U 75-letniego chorego w badaniu rtg wykryto w prawym płucu obwodowo położony guz śr. 3,5 cm. W bronchoskopii nie stwierdzono patologii w drzewie oskrzelowym. Tomografia komputerowa i PET nie wykazały innych zmian w płucach, aktywnych metabolicznie węzłów chłonnych śródpiersia oraz przerzutów odległych. Wykonano biopsję cienkoigłową uzyskując rozpoznanie raka niedrobnokomórkowego. FEV1/VC wynosi 70% wartości należnej. Najwłaściwszym postępowaniem jest:
Pytanie 63
Leczenie ropniaka opłucnej we wczesnej fazie (wysięk) polega na:
Pytanie 64
Drenaż ssący jamy opłucnej może być skutecznym sposobem leczenia odmy, krwiaka lub wysięku opłucnowego. Wskaż właściwe miejsce wprowadzenia drenu:
Pytanie 65
Pleuropneumonektomia jest zabiegiem chirurgicznym mającym zastosowanie w leczeniu:
Pytanie 66
U chorych z zapaleniem płuc powinno się wykonać badanie w kierunku zakażenia HIV, gdy:
1) nie ma efektu leczenia pomimo stosowania wg wytycznych antybiotyków;
2) w zdjęciu płuc są zmiany rozsiane;
3) w usg brzucha stwierdzono powiększoną wątrobę, węzły zaotrzewnowe;
4) stwierdzono powiększone węzły chłonne obwodowe;
5) leukocytoza wynosi ok. 3,5 tys./mm³.
Prawidłowa odpowiedź to:
Pytanie 67
Zapalenie płuc wywołane przez Pneumocystis jiroveci u zakażonych HIV ma następujące cechy:
Pytanie 68
Czynnikiem ryzyka szpitalnego zapalenia płuc nie jest:
Pytanie 69
Warunkiem rozpoznania sarkoidozy jest:
Pytanie 70
Mężczyzna lat 52, niepalący, z zawodu odlewnik (25 lat pracy w zawodzie), u którego z powodu duszności i suchego kaszlu rozpoczęto diagnostykę. Objawy od kilku miesięcy. W badaniu HRCT zmiany o typie mlecznej szyby obejmujące całe pola płucne po obu stronach i miernie powiększone węzły chłonne śródpiersia (do 15 mm). W badaniach czynnościowych umiarkowana restrykcja i obniżenie DLCO. Biopsja płuca wykazała obecność ziarniniaków z obecnością komórek olbrzymich, bez cech serowacenia. W rozpoznaniu różnicowym należy uwzględnić:
1) sarkoidozę;
2) berylozę;
3) gruźlicę;
4) chorobę śródmiąższową związaną z ekspozycją na pyły metali;
5) samoistne włóknienie płuc (IPF).
Prawidłowa odpowiedź to:
Pytanie 71
Metodą z wyboru w diagnostyce sarkoidozy węzłowej i węzłowo-płucnej jest:
Pytanie 72
Do czynników pogarszających rokowanie u chorego na sarkoidozę należą:
1) toczeń odmrozinowy (Lupus pernio);
2) nadciśnienie płucne;
3) wysoki odsetek limfocytów w popłuczynach oskrzelowo-pęcherzykowych (BAL);
4) ostry początek choroby;
5) zaburzenia gospodarki wapniowej, w szczególności hiperkalcemia.
Prawidłowa odpowiedź to:
Pytanie 73
Jaki odsetek chorych na sarkoidozę wymaga przewlekłego leczenia?
Pytanie 74
Które stwierdzenia odnoszące się do zasad leczenia sarkoidozy są prawdziwe?
1) zespół Löfgrena nie wymaga leczenia steroidami systemowymi;
2) każdy przypadek sarkoidozy w 3 stadium radiologicznym wymaga podania systemowych steroidów;
3) należy dążyć do tego, aby leczyć tylko chorych wykazujących cechy aktywności procesu chorobowego;
4) przewlekłe stosowanie systemowych steroidów zwiększa odsetek trwałych remisji u wszystkich chorych;
5) w przypadku sarkoidozy układu oddechowego wskazaniem do leczenia jest stwierdzenie progresji radiologicznej, progresji w badaniach czynnościowych i/lub pojawienie się trudnych do akceptacji przez chorego objawów ogólnych lub oddechowych.
Prawidłowa odpowiedź to:
Pytanie 75
W jakim odsetku przypadków sarkoidozy przebieg jest bezobjawowy?
Pytanie 76
Najbardziej typowa dla sarkoidozy konstelacja zmian w badaniu tomograficznym klatki piersiowej to:
Pytanie 77
Pojawienie się obrzęków i bolesności stawów skokowych oraz gorączki u chorego z obrazem radiologicznym poszerzenia wnęk płucnych sugeruje zespół Löfgrena. W jakim odsetku przypadków sarkoidozy w Polsce występuje ten zespół?
Pytanie 78
Najczęstszą przyczyną rumienia guzowatego jest/są:
Pytanie 79
Całkowita dawka lidokainy zastosowanej do miejscowego znieczulenia górnych i dolnych dróg oddechowych podczas wideobronchofiberoskopii u 64-letniego mężczyzny o masie ciała 70 kg nie powinna przekroczyć:
Pytanie 80
Najczęstszym czynnikiem etiologicznym wysięku parapneumonicznego i ropniaka opłucnej jest:
Pytanie 81
Choroba śródmiąższowa płuc, w której można spodziewać się zaburzeń wentylacji o typie obturacji to:
Pytanie 82
Pacjent, u którego planowana jest ocena zaburzeń wymiany gazowej za pomocą badania zdolności dyfuzyjnej płuc dla tlenku węgla (DLCO) powinien być poinformowany o:
Pytanie 83
Przebywanie na dużej wysokości (np. lot międzykontynentalny samolotem, wycieczka w wysokie góry) wiąże się ze:
Pytanie 84
Spodziewaną pooperacyjną wartością FEV1 (ppoFEV1) u chorego kwalifikowanego do lobektomii górnej prawej z powodu raka płuca przy braku niedodmy i wyjściowej wartości FEV1=1.9L jest:
Pytanie 85
Testy IGRA służą do:
Pytanie 86
Stopień poprawy FEV1 i/lub FVC po leku rozkurczowym u chorych na POChP:
Pytanie 87
W celu oceny chorego z ciężkim zaostrzeniem w przebiegu POChP należy rozważyć wykonanie badań dodatkowych, z wyjątkiem:
Pytanie 88
Zmniejszona wartość natężonej pojemności życiowej (FVC poniżej dolnej granicy normy) zmierzona w spirometrii u chorego na POChP:
Pytanie 89
Przyczyną zarostowego zapalenia oskrzelików nie jest:
Pytanie 90
W określeniu stopnia kontroli astmy wg GINA 2014 ocenia się niżej wymienione, z wyjątkiem:
Pytanie 91
Wskazania do nieinwazyjnej wentylacji mechanicznej to:
Pytanie 92
Wskaż fałszywe stwierdzenie dotyczące zasady domowego leczenia tlenem:
Pytanie 93
Prawidłowo wykonany test chlorkowy po stymulacji pilokarpiną wymaga dla rozpoznania mukowiscydozy wyniku stężenia jonu chlorkowego w pocie powyżej:
Pytanie 94
U dziecka 3-miesięcznego z zapaleniem płuc najmniej wskazane będzie zastosowanie:
Pytanie 95
Który z niżej wymienionych objawów pojawia się najwcześniej w chorobach śródmiąższowych płuc u dzieci?
Pytanie 96
Do czynników ryzyka ciężkiego przebiegu zakażenia wirusem RS u dzieci należy:
1) wcześniactwo poniżej 37 tygodnia ciąży;
2) wiek do ukończenia 12 tygodni;
3) hemodynamicznie istotna wrodzona choroba serca;
4) przewlekła choroba płuc;
5) niedobór odporności.
Prawidłowa odpowiedź to:
Pytanie 97
Prątki kompleksu MAIC (M. avium-intracellularae) wywołują:
1) gruźlicę u ludzi;
2) gruźlicę u zwierząt;
3) mykobakteriozę u ludzi i zwierząt;
4) mykobakteriozę u zwierząt;
5) sarkoidozę u ludzi.
Prawidłowa odpowiedź to:
Pytanie 98
Mikrobiologiczne potwierdzenie gruźlicy uzyskuje się na podstawie następujących badań:
1) posiewając krew na pożywki do hodowli tlenowej;
2) posiewając mocz i plwocinę na pożywki Lowensteina-Jensena;
3) badając aktywność katalazy;
4) wykonując test niacynowy;
5) wykonując rozmaz barwiony metodą Giemzy.
Prawidłowa odpowiedź to:
Pytanie 99
Fałszywie dodatnie wyniki mikrobiologiczne w kierunku gruźlicy mogą być spowodowane:
1) obecnością inhibitorów w próbce klinicznej pobranej od chorego;
2) krzyżową kontaminacją próbki od chorego w laboratorium;
3) błędnym opisaniem próbki przysłanej do laboratorium;
4) krzyżową kontaminacją próbki od chorego w miejscu jej pobrania;
5) pobraniem próbki od chorego w czasie trwania leczenia.
Prawidłowa odpowiedź to:
Pytanie 100
Identyfikację prątków wg grup Runyona wykonuje się dla prątków:
1) M. bovis;
2) M bovis BCG;
3) M. tuberculosis;
4) MOTT;
5) atypowych.
Prawidłowa odpowiedź to:
Pytanie 101
Wskaż prawdziwe stwierdzenia:
1) czułość i swoistość testów IGRA w populacji nieszczepionej BCG wahają się w granicach 80-90%;
2) testy IGRA służą u dzieci do ujawniania aktywnej gruźlicy;
3) testy IGRA oparte są na uwalnianiu TNF-α z limfocytów pod wpływem antygenów ESAT-6 i CFP10;
4) w Europie do stosowania u ludzi zatwierdzone są dwa komercyjne testy IGRA - QuantiFeron TB GOLD in tube (Cellestis, Australia) i T-Spot (Oxford Immunotec, Wlk. Brytania);
5) expert MTB/RIF test zlecony przez WHO od 2010 r. służy do szybkiego wykrywania prątków opornych na rifampicynę.
Prawidłowa odpowiedź to:
Pytanie 102
Zaznacz nieprawidłowe stwierdzenie dotyczące nadreaktywności oskrzeli:
Pytanie 103
Wybierz właściwy sposób leczenia 65-letniego chorego na raka niedrobnokomórkowego wykrytego z biopsji guza w oskrzelu górnopłatowym (naciek rozpoczynał się w odległości 2 cm od ostrogi głównej). Badanie TK wykazało powiększone węzły chłonne w jednoimiennej wnęce, pod rozwidleniem tchawicy i w oknie aortalno-płucnym. Chory jest w 3 stopniu sprawności i stracił ponad 10% masy ciała w okresie ostatnich 3 miesięcy.
Pytanie 104
Którego leku nie stosuje się w gruźlicy wielolekoopornej XDR?
Pytanie 105
Co jest objawem niepożądanym leków antycholinergicznych?
Pytanie 106
Leczenie kortykosteroidami może spowodować u osób zakażonym prątkiem rozwój czynnej gruźlicy. W związku z tym, które z niżej podanych stwierdzeń jest prawdziwe?
Pytanie 107
Który element nie jest cechą charakterystyczną dla zespołu Churga-Strauss?
Pytanie 108
Które z poniższych stwierdzeń jest prawdziwe w stosunku do typowego rakowiaka oskrzela?
Pytanie 109
Optymalnym sposobem leczenia u chorego przy stwierdzeniu w badaniu PET dwóch aktywnych guzków w płacie dolnym lewego płuca oraz nieaktywnych węzłów chłonnych śródpiersia w przypadku niedrobnokomórkowego raka płuca jest:
Pytanie 110
U chorych na POChP z hipoksemią i hiperkapnią:
1) nawet niewielkie zwiększenie PaCO2 nakazuje zaprzestania tlenoterapii, gdyż grozi to śpiączką hiperkapniczną;
2) należy dążyć do zwiększenia PaO2 we krwi nawet, gdy powoduje to znaczną retencję PaCO2;
3) najczęściej zapotrzebowanie na tlen u takich chorych wynosi 3,5 do 4 L/min;
4) bezpiecznym, sposobem rozpoczynania tlenoterapii u takich chorych jest stosowanie maski Venturiego;
5) tlenoterapia u takich chorych powinna być monitorowana pomiarem SO2, PaCO2 i pH.
Prawidłowa odpowiedź to:
Pytanie 111
Który z poniższych leków może zaburzyć kontrolę glikemii u chorego na cukrzycę leczoną doustnymi lekami hipoglikemizującymi?
Pytanie 112
Które badanie diagnostyczne należy wstępnie wykonać u chorych podejrzewanych o OBS?
Pytanie 113
Czynnikami ryzyka zgonu z powodu astmy są:
Pytanie 114
Wybierz właściwy sposób leczenia 75-letniego chorego bez dolegliwości i dotychczas zdrowego, u którego wykryto raka niedrobnokomórkowego zlokalizowanego obwodowo. Podczas bronchoskopii nie stwierdzono zmian w oskrzelach, a badanie TK nie ujawniło powiększonych węzłów chłonnych wnęk ani śródpiersia. Pojemność życiowa ( VC) wynosiła 2,7L, a FEV1-1,9L.
Pytanie 115
U chorego stwierdzono pH=7,14, PaCO2=70mmHg, HCO3=22mEq/L. Jakiego typu zaburzenie rownowagi kwasowo-zasadowej należy rozpoznać?
Pytanie 116
28-letni chory, dotychczas zdrowy, przed 2 dniami zagorączkował do 38,6stC z dreszczami i dusznością. Przedmiotowo tętno 124/min, oddechy 32/min, RR-90/50mmHg, osłuchowo rzężenia u podstawy prawego płuca. W radiogramie klatki piersiowej: zacienienia miąższowe w dolnym polu prawego płuca. Postępowanie powinno obejmować poniższe elementy, z wyjątkiem:
Pytanie 117
Grupy zwiększonego ryzyka zachorowania na raka płuca to:
Pytanie 118
Obturacyjny bezdech senny należy podejrzewać u chorego, u którego występują objawy:
1) otyłość i uczucie senności w ciągu dnia;
2) zakrzepica kończyn dolnych i cukrzyca;
3) poliglobulia i otyłość;
4) utrwalone migotanie przedsionków i cukrzyca;
5) nykturia, zasypianie wbrew własnej woli.
Prawidłowa odpowiedź to:
Pytanie 119
Popromienne zapalenie płuc charakteryzuje się niżej wymienionymi cechami, z wyjątkiem:
Pytanie 120



