Wyszukaj egzamin lub pytanie
Egzamin PES Choroby płuc / jesień 2015
120 pytań
Pytanie 1
Wskaż prawdziwe stwierdzenia odnoszące się do astmy według raportu GINA 2014:
1) określając stopień kontroli astmy należy pod uwagę brać głównie wartości FEV1 i PEF;
2) ocena stopnia ciężkości astmy powinna być dokonywana retrospektywnie ze stopnia leczenia;
3) stopień ciężkości astmy nie jest stały, może zmieniać się w ciągu miesięcy lub lat;
4) astma umiarkowana to dobrze kontrolowana na 3 i 4 stopniu leczenia;
5) astma łagodna to dobrze kontrolowana na 1 i 2 stopniu leczenia.
Prawidłowa odpowiedź to:
Pytanie 2
Wskaż prawdziwe stwierdzenia odnoszące się do astmy według raportu GINA 2014 LP i D (leczenie podtrzymujące i doraźne):
1) w pierwszym stopniu leczenia astmy stosuje się zawsze tylko krótko działających β2-agonistów;
2) FEV1 < 60% wartości należnej stanowi czynnik ryzyka wystąpienia zaostrzenia astmy;
3) metoda leczenia astmy LP i D dotyczy 3, 4 i 5 stopnia leczenia;
4) w metodzie LP i D stosuje się tylko połączenia budezonid/formoterol lub dwupropionian beklometazonu/formoterol;
5) metodę leczenia LP i D należy wprowadzić w 2 stopniu leczenia.
Prawidłowa odpowiedź to:
Pytanie 3
Wskaż prawdziwe stwierdzenia odnoszące się do epidemiologii sarkoidozy:
1) wskaźniki zapadalności na sarkoidozę w skali całego świata na 100 tys. na rok wynoszą dla mężczyzn 19, a dla kobiet 16,5;
2) zapadalność na sarkoidozę dotyczy głównie osób przed 50 rokiem życia, a szczyt zapadalności przypada między 20 a 39 rokiem życia;
3) sarkoidoza jest ogólnoustrojową chorobą ziarniniakową ze zmianami głównie w węzłach chłonnych wnęk i w płucach, a rzadziej w wątrobie i śledzionie;
4) w populacji japońskiej nie obserwowano zmian sarkoidalnych w sercu;
5) rumień guzowaty występuje głównie w populacjach europejskich, a rzadko wśród Afroamerykanów i Japończyków.
Prawidłowa odpowiedź to:
Pytanie 4
Wskaż prawdziwe stwierdzenia odnoszące się do diagnostyki sarkoidozy:
1) w diagnostyce sarkoidozy układu oddechowego pierwsze miejsce zajmuje tomografia komputerowa wysokiej rozdzielczości;
2) w materiale z płukania oskrzelowo-pęcherzykowego (BAL) stwierdza się wzrost limfocytów o fenotypie CD4+ ze stosunkiem CD4+ / CD8+ > 2,5;
3) w radiologicznej ocenie sarkoidozy płuc stopień III charakteryzuje się prawidłowymi wnękami z zaawansowanymi zmianami płucnymi;
4) typowe dla sarkoidozy zmiany zlokalizowane są w środkowych i dolnych polach płucnych;
5) w badaniu spirometrycznym u 30-50% stwierdza się zaburzenia restrykcyjne, a u 5-25% zmiany obturacyjne.
Prawidłowa odpowiedź to:
Pytanie 5
Wskaż prawdziwe stwierdzenia odnoszące się do sarkoidozy:
1) zespół Löfgrena składa się z obustronnie powiększonych węzłów wnęk płucnych, rumienia guzowatego, dolegliwości ze strony dużych stawów i gorączki;
2) sarkoidoza nie ma uwarunkowań genetycznych, ponieważ nie wykazano rodzinnych zachorowań;
3) w podtrzymywaniu zapalenia szczególną rolę przypisuje się cytokinie pochodzącej z limfocytów Th-1-TNF-α, a także IL-2, IL-15, IL-16 i niektórym chemokinom;
4) w podskórnych guzach (rumień guzowaty) badanie patomorfologiczne zawsze ujawnia obecność ziarniny sarkoidalnej, co ma dużą wartość diagnostyczną;
5) zanikanie ziarniniaków, czyli proces zdrowienia, wynika z hamowania napływu limfocytów Th-1 i makrofagów przez limfocyty regulatorowe Treg i Tγδ.
Prawidłowa odpowiedź to:
Pytanie 6
Wskaż prawdziwe stwierdzenia odnoszące się do kliniki sarkoidozy:
1) materiał do badań histopatologicznych uzyskuje się głównie drogą mediastinoskopii i wideotorakoskopii;
2) badanie histopatologiczne ujawnia ziarninę sarkoidalną bez cech martwicy, chociaż jej obecność nie wyklucza sarkoidozy;
3) jednym z najczęściej zajętych narządów obok płuc jest układ nerwowy i serce;
4) do głównych czynników pogarszających rokowanie należą wiek > 40 lat, postępujące zmiany płucne, przewlekła niewydolność oddechowa, sarkoidoza serca i neurosarkoidoza;
5) rokowanie jest dobre, w większości przypadków dochodzi do samoistnych remisji, w ⅓ przypadków przebieg jest przewlekły lub nawrotowy, a w 5% dochodzi do włóknienia płuc.
Prawidłowa odpowiedź to:
Pytanie 7
Wskaż prawdziwe stwierdzenia odnoszące się do leczenia sarkoidozy:
1) glikokortykosteroidy są głównymi lekami, ponieważ hamują ekspresję genów prozapalnych, indukują ekspresję genów przeciwzapalnych i przywracają równowagę między cytokinami limfocytów Th1 i Th2;
2) w sarkoidozie płuc leczenie glikokortykosteroidami zaleca się zawsze od stopnia I do IV, bez względu na zajęcie innych organów;
3) leczenia systemowymi glikokortykosteroidami wymaga sarkoidoza serca, układu nerwowego, narządu wzroku, nerek i złośliwa hiperkalcemia;
4) w ciężkiej objawowej sarkoidozie układu oddechowego podaje się prednizon w dawce 1 mg/kg/24 godz. ze stopniową redukcją o 5 mg co 4-8 tyg. po 3 miesiącach stosowania dużej dawki; leczenie co najmniej przez 1 rok;
5) nie ma dowodów na skuteczność innych leków oprócz glikokortykosteroidów.
Prawidłowa odpowiedź to:
Pytanie 8
Wskaż stwierdzenie fałszywe w odniesieniu do badania immunohistochemicznego w raku płuca:
Pytanie 9
Wskaż prawdziwe stwierdzenia dotyczące chorych na raka gruczołowego płuca:
1) błędem jest nie wykonanie badań molekularnych w poszukiwaniu mutacji genu EGFR;
2) poszukiwanie mutacji genu EGFR powinno się przeprowadzać tylko u chorych palących;
3) wykrycie mutacji genu EGFR stanowi wskazanie do zastosowania inhibitorów kinazy tyrozynowej;
4) zastosowanie erlotynibu pozwala istotnie wydłużyć czas do progresji w porównaniu ze standardową chemioterapią;
5) u chorych z mutacją KRAS+ leczenie inhibitorami kinazy tyrozynowej jest bardziej skuteczne niż z mutacją EGFR.
Prawidłowa odpowiedź to:
Pytanie 10
Wskaż właściwy sposób leczenia 50-letniej chorej na drobnokomórkowego raka płuca w stanie sprawności 2, z ubytkiem masy ciała 3 kg. Przedmiotowo stwierdzono powiększone węzły chłonne w jednoimiennym dole nadobojczykowym. Bronchoskopowo naciek był zlokalizowany 1,5 cm od rozwidlenia tchawicy. Nie stwierdzono przerzutów do mózgu, w jamie brzusznej i w szpiku.
Pytanie 11
Która z następujących cech guza (T) stwierdzona w badaniu tomografii komputerowej klatki piersiowej świadczy o braku możliwości radykalnej resekcji niedrobnokomórkowego raka płuca?
Pytanie 12
U chorego z nieoperacyjnym rakiem gruczołowym płuca badanie mutacji genu EML4-ALK ma praktyczne uzasadnienie, bo istnieją możliwości zastosowania w leczeniu:
Pytanie 13
Zajęcie której grupy węzłów chłonnych u chorego na niedrobnokomórkowego raka płuca decyduje o jego nieoperacyjności?
Pytanie 14
U niepalącego 30-letniego chorego z nieoperacyjnym rakiem płuca oznaczanie rearanżacji genu ALK (EML4-ALK) przed wyborem leczenia ma uzasadnienie jeśli:
1) stwierdzono raka gruczołowego;
2) stwierdzono raka drobnokomórkowego;
3) stwierdzono nieokreślony niedrobnokomórkowy rak płuca;
4) nie stwierdzono aktywnej mutacji genu EGFR (epidermal growth factor receptor);
5) stwierdzono raka płaskonabłonkowego.
Prawidłowa odpowiedź to:
Pytanie 15
Do czynników ryzyka utrwalenia obturacji oskrzeli w astmie należą:
1) niestosowanie wziewnych kortykosteroidów;
2) wyjściowa wartość FEV1 osiągająca maksymalnie ≤ 40% wartości należnej w astmie;
3) narażenie na dym tytoniowy i szkodliwe substancje chemiczne;
4) ciąża;
5) eozynofilia plwociny lub krwi.
Prawidłowa odpowiedź to:
Pytanie 16
Wskaż prawdziwe stwierdzenia dotyczące omalizumabu:
1) omalizumab zmniejsza liczbę zaostrzeń astmy i łagodzi jej objawy, ale nie wpływa na redukcję kortykosterydów i na wentylację płuc;
2) omalizumab wiąże się z ramieniem Fc krążących wolnych IgE zapobiegając połączeniu IgE z receptorem FCERI na mastocytach i bazofilach;
3) omalizumab jest skuteczny wyłącznie w leczeniu astmy i alergicznego nieżytu nosa;
4) omalizumab zmniejsza liczbę krążących IgE oraz ekspresję receptorów FCERI ma mastocytach;
5) omalizumab wykazuje skuteczność w leczeniu przewlekłej pokrzywki.
Prawidłowa odpowiedź to:
Pytanie 17
Wskaż prawdziwe stwierdzenia dotyczące astmy aspirynowej:
1) astma aspirynowa nigdy nie występuje u dzieci;
2) chorzy z astmą aspirynową charakteryzują się nadprodukcją leukotrienów cysteinylowych;
3) poaspirynowy mechanizm skurczu oskrzeli wynika z hamowania COX-1 przez aspirynę i niesteroidowe leki przeciwzapalne;
4) astmę aspirynową należy leczyć tylko lekami przeciwleukotrienowymi;
5) w astmie aspirynowej występuje eozynofilia krwi obwodowej i błon śluzowych.
Prawidłowa odpowiedź to:
Pytanie 18
Wskaż prawdziwe stwierdzenia odnoszące się do terapii wziewnej:
1) największą depozycję płucną uzyskują preparaty drobnocząstkowe, takie jak cyklezonid i dwupropionian beklometazonu w formulacji Modulate;
2) obecnie stosowanym gazem nośnikowym jest chlorofluorokarbon;
3) inhalator typu ciśnieniowego (pMDI) nigdy nie jest aktywowany (wyzwalany) wdechem;
4) tiotropium podawany jest w inhalatorze Handihaler i inhalatorze „miękkiej mgły” tzw. respimat;
5) NEXThaler to inhalator proszkowy wielodawkowy, z nośnikiem laktozowym, podający drobnocząstkowy preparat kombinowany dwupropionian beklometazonu z formoterolem.
Prawidłowa odpowiedź to:
Pytanie 19
Wskaż prawdziwe stwierdzenia odnoszące się do zarostowego zapalenia oskrzelików (ZZO):
1) ZZO najczęściej występuje w przebiegu chorób tkanki łącznej;
2) w zarostowym zapaleniu oskrzelików na tle reumatoidalnego zapalenia stawów stosuje się etanercept z metotreksatem;
3) zakażenie wirusem RSV, mykoplazmowe i inhalacja toksycznych gazów mogą wywołać ostre zapalenie oskrzelików przechodzące w zapalenia zarostowe;
4) w ZZO w badaniu czynnościowym układu oddechowego występują odwracalne cechy obturacji;
5) w ZZO w obrazie RTG klatki piersiowej i tomografii komputerowej wysokiej rozdzielczości nie ma żadnych zmian.
Prawidłowa odpowiedź to:
Pytanie 20
Wskaż prawdziwe stwierdzenia odnoszące się do eozynofilowej ziarniniakowatości z zapaleniem naczyń (EGPA):
1) eozynofilowa ziarniniakowatość z zapaleniem naczyń dawnej była określona jako zespół Churga-Strauss;
2) w zespole EGPA nigdy nie dochodzi do kwasochłonnego martwiczego zapalenia naczyń;
3) klasyczna prodromalna faza tego zespołu manifestuje się chorobami o podłożu atopowym, takimi jak alergiczny nieżyt nosa i astma;
4) w każdym przypadku tego zespołu stwierdza się obecność przeciwciał ANCA;
5) w tym zespole nacieki eozynofilowe występują głównie w układzie oddechowym i pokarmowym.
Prawidłowa odpowiedź to:
Pytanie 21
Wskaż prawdziwe stwierdzenia odnoszące się do eozynofilowej ziarniniakowatości z zapaleniem naczyń (EGPA):
1) w przebiegu EGPA nigdy nie stwierdza się płynu w opłucnej;
2) u chorego na astmę narastająca eozynofilia obwodowa to sygnał alarmowy w kierunku tego zespołu;
3) w EGPA nie dochodzi do zajęcia obwodowych nerwów w postaci neuropatii;
4) u ponad 90% z tym zespołem występuje astma, która średnio o 9 lat wyprzedza ten zespół;
5) leczenie chorych bez złych czynników rokowniczych to stosowanie systemowych kostykosteroidów.
Prawidłowa odpowiedź to:
Pytanie 22
Wskaż prawdziwe stwierdzenia odnoszące się do stosowania komór inhalacyjnych we wziewnej terapii astmy:
1) komór inhalacyjnych nie stosuje się u dzieci poniżej 50 miesiąca życia;
2) komory inhalacyjne zmniejszają depozycję sterydu w jamie ustnej i gardle oraz poprawiają rozkład i depozycję leku w dolnych drogach oddechowych;
3) komory objętościowe stosuje się dość często dla inhalatorów suchego proszku (DPI);
4) komora typu Jet-spacer jest nisko objętościowa o przepływie turbulentnym, bezzastawkowa;
5) Volumatic jest komorą wysoko objętościową o pojemności 750 ml, dającą 15-20% depozycji płucnej dawki emitowanej z inhalatora pMDI.
Prawidłowa odpowiedź to:
Pytanie 23
Wskaż prawdziwe stwierdzenia odnoszące się do stosowanych inhalatorów w leczeniu wziewnym astmy i POChP:
1) przez inhalator „Breezehaler” stosowane są indakaterol, połączenia indakaterolu z glikopyronium i glikopyronium;
2) w inhalatorze typu Respimat podawany jest bromek aklidynium;
3) Ellipta to inhalator do podawania vilanterolu w połączeniu z furoinianem flutikazonu;
4) Handyhaler to inhalator do proszkowej formy bromku tiotropium;
5) Genuair to inhalator typu pMDI.
Prawidłowa odpowiedź to:
Pytanie 24
Wskaż prawdziwe stwierdzenia odnoszące się do diagnozowania zapaleń płuc:
1) częste przyjmowanie antybiotyków i leków zmniejszających kwaśność treści żołądkowej są m.in. czynnikami sprzyjającymi kolonizacji górnych dróg oddechowych przez tlenowe bakterie Gram ujemne;
2) chorzy na zapalenie płuc leczeni ambulatoryjnie powinni mieć przeprowadzone badanie kontrolne już po 5 dniach;
3) u chorych na pneumokokowe zapalenie płuc z bakteriemią stężenie CRP jest większe niż w zapaleniach wirusowych i mykoplazmowych;
4) w skali CRB wartość punktowa 2 (dwa) decyduje o umiarkowanym zapaleniu płuc i rozważeniu leczenia szpitalnego;
5) badanie kliniczne i radiologiczne klatki piersiowej prawie zawsze pozwala rozpoznać czynnik etiologiczny.
Prawidłowa odpowiedź to:
Pytanie 25
Wskaż prawdziwe stwierdzenia dotyczące skali CURB-65 w ocenie ciężkości pozaszpitalnego zapalenia płuc:
1) w skali CURB-65 uwzględnia się pięć czynników rokowniczych;
2) wartość punktowa trzy i więcej w skali CURB-65 decyduje o rozpoznaniu ciężkiego zapalenia płuc;
3) w lekkim zapaleniu płuc (CURB-65 ≤1) ryzyko zgonu wynosi 10%;
4) w umiarkowanym zapaleniu płuc (CURB-65 ≥ 2) ryzyko zgonu dochodzi do 25%;
5) niekorzystne czynniki rokownicze to: splątanie, częstość oddechów ≥ 30/min, ciśnienie tętnicze skurczowe < 90 mmHg a rozkurczowe ≤ 60 mmHg, wiek ≥ 65 lat.
Prawidłowa odpowiedź to:
Pytanie 26
Wskaż prawdziwe stwierdzenia odnoszące się do leczenia gruźlicy:
1) w gruźlicy wielolekoopornej leczenie przeciwprątkowe z lekiem podawanym pozajelitowo należy prowadzić: faza intensywna ≥ 8 mies., a całe leczenie ≥ 20 mies;
2) leczenie gruźliczego zapalenia opon mózgowo-rdzeniowych prowadzi się przez 12 miesięcy typowym zestawem czterolekowym (INH + RIF + PZA + EMB);
3) u chorych po przeszczepie narządu/szpiku po włączeniu RMP należy 3-5 krotnie zwiększyć dawkę inhibitora kalcyneuryny np. cykloserynę;
4) u chorych na gruźlicę zakażonych HIV jeśli nie otrzymywali leczenia przeciwretrowirusowego, WHO zaleca najpierw podać leki przeciwprątkowe, a w ciągu 8 tyg. włączyć leczenie przeciwretrowirusowe;
5) rozpoznanie gruźlicy w czasie leczenia antagonistami TNF-α, nie wymaga przerwania podawania antagonisty.
Prawidłowa odpowiedź to:
Pytanie 27
Wskaż prawdziwe stwierdzenia odnoszące się do zespołu nakładania astmy i POChP (ZNAP):
1) ZNAP dotyczy ponad 55% chorych na POChP;
2) w badaniu TENOR wśród chorych na astmę ponad 34% paliło papierosy w przeszłości i nadal pali 4% mimo ciężkiego przebiegu choroby;
3) u chorego ze ZNAP, astma ma podłoże atopowe lub nieatopowe;
4) brak odwracalności obturacji w astmie wynika z zapalenia dróg oddechowych, ich przebudowy lub ZNAP;
5) w ZNAP komponent astmatyczny może odpowiadać za całkowitą odwracalność obturacji.
Prawidłowa odpowiedź to:
Pytanie 28
Wskaż prawdziwe stwierdzenia odnoszące się do badań diagnostycznych w gruźlicy:
1) w kierunku wykrycia prątków gruźlicy w plwocinie należy wykonać co najmniej 3-krotne badanie metodą rozmazu;
2) u chorych z podejrzeniem gruźliczego zapalenia opon mózgowo-rdzeniowych zaleca się (wg wytycznych WHO) badanie płynu mózgowo-rdzeniowego za pomocą testu Gene Xpert MTB/RIF;
3) u chorych z podejrzeniem gruźlicy płuc i ujemnym wynikiem badania bakterioskopowego plwociny należy wykonać obok posiewu plwociny, test Gene Xpert MTB/RIF;
4) nawet u chorych z dużym klinicznym podejrzeniem gruźlicy nie wolno rozpoczynać leczenia przeciwprątkowego, gdy wynik Gene Xpert MTB/RIF jest ujemny;
5) w gruźlicy pozapłucnej często rozpoznanie opiera się tylko o wynik badania histopatologicznego.
Prawidłowa odpowiedź to:
Pytanie 29
Wskaż prawdziwe stwierdzenia odnoszące się do zespołu nakładania zespołu astma - POChP (ZNAP):
1) u pacjenta nigdy nie narażonego na dym papierosowy małe wartości wskaźników wentylacji bez poprawy po β2-agonistach i wziewnych kortykosterydach dowodzą przebudowy drzewa oskrzelowego;
2) astma długo trwająca stanowi 12-krotny czynnik ryzyka wystąpienia POChP;
3) u chorych na astmę palących papierosy dochodzi do zmiany eozynofilowego fenotypu zapalenia w fenotyp neutrofilowy;
4) pacjenci ze ZNAP maja podobne jak w POChP: wiek, ilość wypalanych papierosów i jakość życia;
5) główna cecha różnicująca astmę od POChP to brak pełnej odwracalności obturacji dróg oddechowych niezależnie od kaszlu i odkrztuszania.
Prawidłowa odpowiedź to:
Pytanie 30
Wskaż prawdziwe stwierdzenia odnoszące się do astmy według raportu GINA 2014:
1) nadreaktywność oskrzeli nie jest cechą obecną u wszystkich chorych z aktywną astmą;
2) najważniejszym pojęciem wprowadzonym do definicji astmy jest stwierdzenie, że jest to choroba heterogenna;
3) nadreaktywność oskrzeli występuje tylko w astmie;
4) astma zazwyczaj powiązana jest z nadreaktywnością i zapaleniem oskrzeli, ale nie są one konieczne lub dostateczne dla rozpoznania astmy;
5) wziewny test ze spasmogenem wykonuje się tylko u osób z dodatnim testem odwracalności obturacji.
Prawidłowa odpowiedź to:
Pytanie 31
Wskaż prawdziwe stwierdzenia odnoszące się do astmy według raportu GINA 2014:
1) „kaszlowy wariant astmy” potwierdzają: nadreaktywność oskrzeli, dodatni test odwracalności obturacji i dodatnie testy skórne;
2) rozpoznania astmy nigdy nie wolno postawić jeśli choremu włączono leczenie wziewnymi kortykosteroidami;
3) test odwracalności obturacji charakteryzuje się dużą swoistością ale małą czułością;
4) test odwracalności obturacji nigdy nie wypada ujemnie u osób z dużymi zaburzeniami wentylacji;
5) test odwracalności obturacji uznajemy za dodatni, gdy wzrost FEV1 jest co najmniej ≥ 15% i 200ml w stosunku do wartości wyjściowej.
Prawidłowa odpowiedź to:
Pytanie 32
Wskaż prawdziwe stwierdzenia odnoszące się do astmy według raportu GINA 2014:
1) stwierdzono silne powiązania między fenotypem astmy a cechami patofizjologicznymi, szczególnymi wzorami klinicznymi i odpowiedzią na leczenie;
2) jeśli pacjent leczony jest wziewnymi kortykosteroidami, to dla rozpoznania astmy konieczne jest stwierdzenie zmiennych objawów klinicznych obturacji;
3) dodatnie testy alergologiczne nie są swoiste dla astmy;
4) w astmie niealergicznej profil komórkowy jest zawsze tylko eozynofilowy;
5) astma o opóźnionym początku jest zawsze niealergiczna, ale leczy się małymi dawkami wziewnych kortykosteroidów.
Prawidłowa odpowiedź to:
Pytanie 33
Stwierdzenie zaostrzenia choroby oskrzelowo ‑ płucnej w mukowiscydozie jest wskazaniem do przeprowadzenia celowanej antybiotykoterapii, opartej o lekowrażliwość flory bakteryjnej. Jednakże leczenie empiryczne - przy braku wyniku badań bakteriologicznych - oparte jest o stosowanie w pierwszej kolejności następujących antybiotyków:
Pytanie 34
Do rozpoznania mukowiscydozy upoważnia stwierdzenie: przynajmniej jednego objawu klinicznego występującego w chorobie; występowania mukowiscydozy u rodzeństwa i/lub rodziców; dodatniego wyniku badania przesiewowego noworodków w kierunku mukowiscydozy łącznie z nieprawidłowym wynikiem jednego z poniższych badań - wskaż te badania:
1) próba potowa - wykazanie znamiennie wysokich stężeń anionów chlorkowych w pocie uzyskanym za pomocą jonoforezy pilokarpinowej;
2) rozstrzenie oskrzeli stwierdzane w HRCT;
3) badanie molekularne - wykrycie mutacji w obu allelach genu CFTR;
4) badanie molekularne - wykrycie mutacji w jednym allelu genu CFTR;
5) pomiar potencjałów elektrycznych błony śluzowej nosa.
Prawidłowa odpowiedź to:
Pytanie 35
Wskaż fałszywe stwierdzenie dotyczące zasad antybiotykoterapii w zaostrzeniu choroby oskrzelowo-płucnej w leczeniu mukowiscydozy:
Pytanie 36
Wskazaniami do zastosowania autoCPAP w postępowaniu u osób z zaburzeniami oddychania podczas snu są następujące z wymienionych:
1) ustalenie ciśnienia leczniczego podczas polisomnografii (PSG), które następnie będzie zastosowane w zwykłym CPAP u chorych z umiarkowanym bądź ciężkim obturacyjnym bezdechem sennym (OBS);
2) diagnostyka OBS;
3) ustalanie ciśnienia leczniczego do planowanej terapii aparatem automatycznym bez badania PSG u chorych bez istotnych chorób współistniejących;
4) zastosowanie u chorych z centralnym bezdechem sennym i zespołem hipowentylacji otyłych, POChP, zastoinową niewydolnością serca, którzy nie chrapią;
5) ustalanie ciśnienia leczniczego z badaniem PSG w trakcie tzw. dzielonej nocy.
Prawidłowa odpowiedź to:
Pytanie 37
Wskazaniami do zastosowania CPAP w leczeniu obturacyjnego bezdechu sennego (OBS) są następujące z wymienionych:
1) AHI > 30;
2) AHI > 20;
3) AHI > 15 przy obecności powikłań sercowo - naczyniowych;
4) AHI > 15 przy obecności nasilonej senności dziennej;
5) AHI > 5 przy obecności przyczyny obturującej w obrębie górnych dróg oddechowych.
Prawidłowa odpowiedź to:
Pytanie 38
Ciężką nadmierną senność dzienną rozpoznaje się, jeśli suma odpowiedzi na pytania zawarte w skali Epworth, stosowanej w diagnostyce zaburzeń oddychania podczas snu, wynosi ponad:
Pytanie 39
Dla stadium drugiego snu NREM (NREM2) - następującego zazwyczaj po stadium NREM1 - (nazywanego niekiedy snem pośrednim) charakterystyczna jest:
Pytanie 40
Według GOLD umiarkowaną postać ograniczenia przepływu w POChP (umiarkowaną obturację) rozpoznamy wtedy kiedy FEV1%FVC wynosi poniżej 0,7 a wartość FEV1:
Pytanie 41
Badania które należy wykonać przed badaniem bronchofiberoskopowym to:
1) APTT, INR, liczba płytek;
2) HBs;
3) Rtg klatki piersiowej;
4) EKG;
5) HCV.
Prawidłowa odpowiedź to:
Pytanie 42
Przeciwwskazaniami do przezoskrzelowej biopsji płuca w trakcie bronchofiberoskopii są:
1) nadciśnienie tętnicze;
2) nadciśnienie płucne;
3) podejrzenie przetoki tętniczo-żylnej;
4) znaczne zmiany restrykcyjne w badaniach spirometrycznych (VC <50% wartości należnej);
5) rozedma płuc.
Prawidłowa odpowiedź to:
Pytanie 43
Przeciwwskazaniami do ablacji laserowej w pneumonologii są:
1) usunięcie ciała obcego;
2) zwężenie dróg oddechowych przez ucisk;
3) niedodma trwająca dłużej niż 6 miesięcy;
4) tracheobronchomalacja;
5) przetoka oskrzelowo-przełykowa.
Prawidłowa odpowiedź to:
Pytanie 44
Przeciwwskazaniem bezwzględnym do biopsji przezskórnej płuca jest:
Pytanie 45
Przeciwwskazaniem bezwzględnym do punkcji jamy opłucnowej jest:
Pytanie 46
Ze względu na wielkość (szerokość komory odmowej między ścianą klatki piersiowej a opłucną trzewną na poziomie wnęki płuca w rtg klatki piersiowej w projekcji p-a) odmą małą jest odma wielkości:
Pytanie 47
Odma opłucnowa pierwotna samoistna stanowi 50% przypadków. Obserwuje się dwa szczyty zachorowań. Są to:
1) 20-30 r.ż.;
2) 30-40 r.ż.;
3) 40-50 r.ż.;
4) 50-60 r.ż.;
5) 60-70 r.ż.
Prawidłowa odpowiedź to:
Pytanie 48
Bronchofiberoskopia terapeutyczna obejmuje:
1) poprawę drożności dróg oddechowych;
2) tamowanie krwawienia;
3) endoskopowe leczenie rozedmy płuc;
4) endoskopowe leczenie wczesnych postaci raka płuca;
5) leczenie ciężkich postaci astmy za pomocą termoplastyki.
Prawidłowa odpowiedź to:
Pytanie 49
Które z grup węzłów chłonnych w klatce piersiowej dostępne są do biopsji pod kontrolą USG tylko w trakcie badania przezprzełykowego?
1) grupa 4;
2) grupa 7;
3) grupa 8;
4) grupa 9;
5) grupa 10.
Prawidłowa odpowiedź to:
Pytanie 50
Próba rozkurczowa służy do oceny odwracalności obturacji. Wykonuje się ją po inhalacji leku rozkurczającego oskrzela. Mogą to być inhalacje zawierające:
1) bromek ipratropium;
2) salbutamol lub fenoterol;
3) salmeterol;
4) formoterol;
5) klenbuterol.
Prawidłowa odpowiedź to:
Pytanie 51
Do grupy prątków chorobotwórczych określonych jako Mycobacterium tuberculosis complex należą wszystkie niżej wymienione, z wyjątkiem:
Pytanie 52
Poniżej przedstawiono wyniki badania gazometrycznego krwi tętniczej. Wskaż wynik wskazujący na kwasicę nieoddechową (metaboliczną) niewyrównaną:
Pytanie 53
Wskaż prawdziwe stwierdzenia dotyczące złuszczającego samoistnego śródmiąższowego zapalenia płuc:
1) należy do chorób związanych z paleniem papierosów;
2) zależy od narażenia na krzem;
3) dotyczy głównie mężczyzn > 65 r.ż.;
4) w obrazie tomokoputerowym przeważa „matowa szyba” w dolnych częściach płuc;
5) postępowaniem z wyboru jest tlenoterapia.
Prawidłowa odpowiedź to:
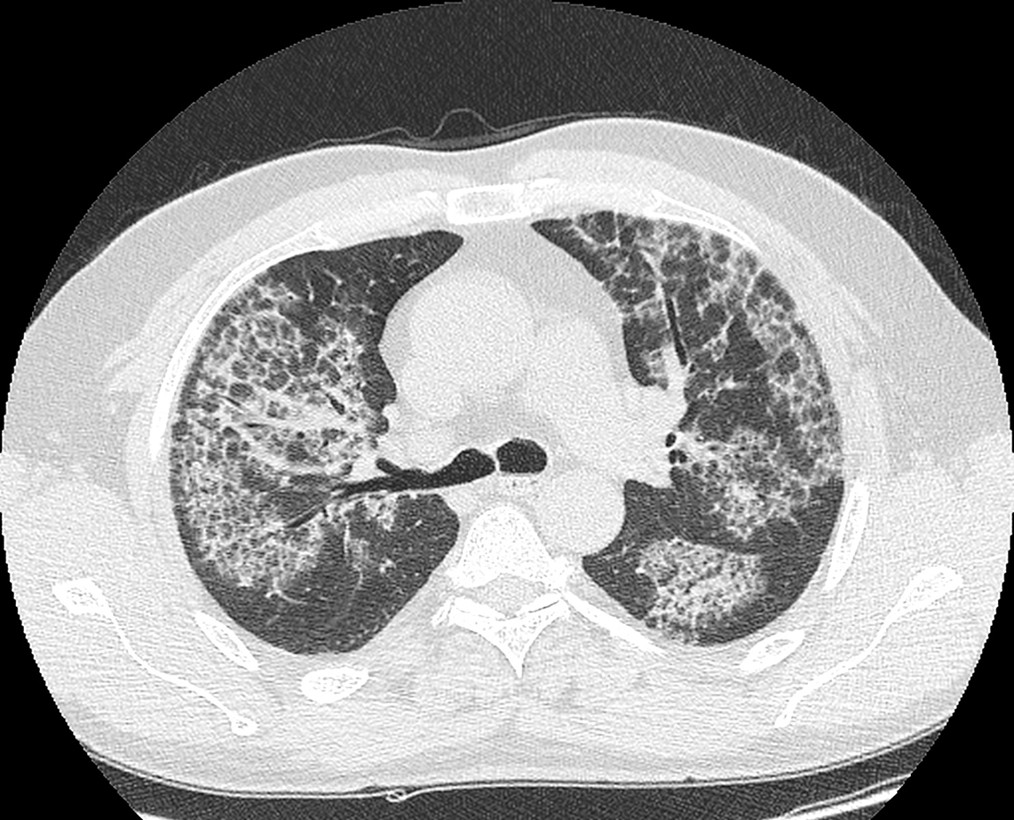
Pytanie 54
Przedstawiony powyżej obraz KT najbardziej przypomina obraz spotykany w:
1) włóknieniu śródmiąższowym płuc; 4) lipoproteinozie;
2) histiocytozie X; 5) ARDS.
3) krwawieniu śródpęcherzykowym;
Prawidłowa odpowiedź to:

Pytanie 55
Nieprawidłowe gromadzenie surfaktantu (wtórna postać proteinozy) może wystąpić w przebiegu:
1) zakażenia np. Pneumocystis jiroveci;
2) chorób hematologicznych np. w szpiczaku;
3) nabytych deficytów immunologicznych;
4) leczenia amiodaronem;
5) narażenia na zanieczyszczenia środowiska np. na krzem, azbest.
Prawidłowa odpowiedź to:
Pytanie 56
Wskaż fakty, które podważają rozpoznanie podostrej postaci alergicznego zapalenia pęcherzyków płucnych:
Pytanie 57
Obraz nieswoistego śródmiąższowego zapalenia płuc w wycinku z otwartej biopsji płuc może odpowiadać klinicznie następującej chorobie:
1) alergicznemu zapaleniu pęcherzyków płucnych typu płuco rolnika;
2) alergicznemu zapaleniu pęcherzyków płucnych typu hodowcy gołębi;
3) zapaleniu skórno-mięśniowemu (dermatomyositis);
4) reumatoidalnemu zapaleniu stawów;
5) sarkoidozie.
Prawidłowa odpowiedź to:
Pytanie 58
Obraz radiologiczny rozsianego krwawienia pęcherzykowego (DAH) jest trudny do odróżnienia od obrazu radiologicznego:
1) obrzęku płuc;
2) ostrego śródmiąższowego zapalenia płuc;
3) ostrego popromiennego zapalenia płuc;
4) pneumocystozy;
5) proteinozy.
Prawidłowa odpowiedź to:
Pytanie 59
Limfocytoza w BALF (płyn z płukania oskrzelowo-pęcherzykowego) powyżej 50% u chorego na śródmiąższową chorobę płuc przemawia za:
Pytanie 60
Leki z grupy inhibitorów kinazy tyrozynowej znajdują zastosowanie w leczeniu m.in.:
1) raka płuca;
2) sarkoidozy;
3) twardziny uogólnionej;
4) pierwotnych zapaleń naczyń;
5) samoistnego włóknienia płuc.
Prawidłowa odpowiedź to:
Pytanie 61
Która z poniższych zmian narządowych nie występuje w przebiegu kwasochłonnej ziarniniakowatości z zapaleniem naczyń (dawniej zespół Churga-Strauss)?
Pytanie 62
Pirfenidon- nowy lek zarejestrowany do stosowania u chorych na samoistne włóknienie płuc powoduje korzystny efekt przez:
1) wydłużenie czasu przeżycia;
2) poprawę DLCO;
3) zmniejszenie rocznego spadku VC;
4) zmniejszenie liczby zaostrzeń;
5) zmniejszenie stopnia hipoksemi (poprawę).
Prawidłowa odpowiedź to:
Pytanie 63
W zespole antyfosfolipidowym pierwotnym:
1) występuje wydłużenie APTT;
2) charakterystyczna jest zakrzepica w naczyniach żylnych;
3) bardzo często dochodzi do zakrzepicy w naczyniach tętniczych;
4) u 90% chorych wykrywa się anty ds DNA;
5) leczenie polega na stosowaniu GKS.
Prawidłowa odpowiedź to:
Pytanie 64
Wskaż fałszywe stwierdzenie dotyczące odmy opłucnowej:
Pytanie 65
Wyrazem stopnia rozdęcia płuc jest wskaźnik:
Pytanie 66
Wskaż fałszywe stwierdzenie dotyczące testu 6-minutowego chodu:
Pytanie 67
Wskaż fałszywe stwierdzenie dotyczące badania zdolności dyfuzji gazów w płucach (Dlco):
Pytanie 68
Stwierdzenie w spirometrii zmniejszonej pojemności życiowej (VC) poniżej dolnej granicy normy przy prawidłowej wartości wskaźnika FEV1/VCmax może sugerować występowanie restrykcji. W celu wyjaśnienia przyczyny zmniejszenia VC wskazane jest wykonanie:
Pytanie 69
W jakiej sytuacji nie są spełnione kryteria poprawności badania spirometrycznego?
Pytanie 70
Wskaż fałszywe stwierdzenie dotyczące pomiaru krzywej przepływ-objętość:
Pytanie 71
W badaniu spirometrycznym wykonanym po raz pierwszy w życiu uzyskano następujące wartości parametrów:
VC- 70,1%wn.
FVC- 65,4%wn.
FEV1- 33,1%wn.
FEV1%FVC- 41,65%
wn- wartość należna
Wynik badania pozwala na rozpoznanie:
Pytanie 72
Wykonanie bodypletyzmografii u chorego z ciężką obturacją dróg oddechowych nie pozwala na:
Pytanie 73
Polekowe uszkodzenie płuc jest związane ze stosowaniem poniżej wymieniowych leków, z wyjątkiem:
Pytanie 74
Która z wymienionych niżej chorób nie prowadzi do powstania rozstrzeni oskrzeli?
Pytanie 75
W ocenie ciężkości pozaszpitalnego zapalenia płuc w warunkach ambulatoryjnych wykorzystuje się następujące parametry:
1) częstotliwość oddechów ≥ 30/min;
2) komorowe zaburzenia rytmu serca;
3) ciśnienie tętnicze skurczowe < 90 mmHg, rozkurczowe ≤ 60 mmHg;
4) stężenie kreatyniny w surowicy krwi ≥ 125 mmol/l (≥ 1,5 mg/dl);
5) wiek ≥ 65 lat.
Prawidłowa odpowiedź to:
Pytanie 76
Które ze stwierdzeń dotyczących epidemiologii gruźlicy wszystkich postaci w Polsce w roku 2014 są prawdziwe?
1) zarejestrowano 9450 nowych zachorowań na gruźlicę;
2) współczynnik zapadalności na gruźlicę wynosił 17.4/100 tys. ludności;
3) największy wskaźnik zapadalności na gruźlicę na 100 tysięcy ludności stwierdzono w województwie zachodnio-pomorskim;
4) kobiety chorują na gruźlicę rzadziej niż mężczyźni;
5) najczęstszą postacią kliniczną była gruźlica naciekowa płuc.
Prawidłowa odpowiedź to:
Pytanie 77
Wskaż prawdziwe określenia dotyczące pneumocystozy:
1) choroba wywołana przez grzyb Pneumocystis jiroveci;
2) zapalenie płuc u osoby z upośledzeniem odporności typu komórkowego lub złożonego;
3) choroba leczona za pomocą amoksycyliny;
4) najrzadsza przyczyna zapalenia płuc i zgonu u chorych na AIDS;
5) schorzenie mogące przebiegać zarówno w postaci ostrej, jak i przewlekłej.
Prawidłowa odpowiedź to:
Pytanie 78
Wybierz kryteria pewnego rozpoznania mukowiscydozy wśród podanych niżej możliwości:
1) stężenie jonu chlorkowego w pocie ≥ 60 mmol/l w 2 pomiarach wykonanych w różnych dniach;
2) wykazanie mutacji obu alleli genu CFTR prowadzących do mukowiscydozy;
3) stężenie jonu chlorkowego w pocie ≥ 60 mmol/l w 3 pomiarach wykonanych w różnych dniach;
4) nieprawidłowy wynik pomiaru przeznabłonkowej różnicy potencjałów w błonie śluzowej nosa lub w bioptacie odbytnicy;
5) obecność objawów klinicznych i zmian radiologicznych w płucach.
Prawidłowa odpowiedź to:
Pytanie 79
Jednym z ważnych elementów patofizjologii oddychania w POChP jest zjawisko hiperinflacji płuc, które:
1) zwiększa tolerancję wysiłku;
2) spowodowane jest zmniejszeniem pojemności wdechowej i zwiększeniem czynnościowej pojemności zalegającej;
3) zmniejsza odczucie duszności;
4) spowodowane jest zmniejszeniem opróżniania płuc w miarę narastania obturacji;
5) spowodowane jest zmniejszeniem się FRC i zwiększeniem się IC.
Prawidłowa odpowiedź to:
Pytanie 80
Wskaż postępowanie w leczeniu POChP, które może wydłużać życie chorym:
1) włączenie do leczenia wGKS;
2) włączenie do leczenia LABA + wGKS;
3) rzucenie palenia przez chorego;
4) włączenie do leczenia SABA i LAMA;
5) włączenie do leczenia tlenoterapii.
Prawidłowa odpowiedź to:
Pytanie 81
Nieinwazyjna wentylacja mechaniczna jest ważnym sposobem leczenia niewydolności oddechowej w przebiegu zaostrzenia POChP. Które z opisanych sytuacji nie są wskazaniem do zastosowania nieinwazyjnej wentylacji mechanicznej u chorych z POChP?
1) ciężka duszność;
2) kwasica pH < 7,35 i hiperkapnia (PaCO2 > 65 mmHg);
3) ryzyko aspiracji;
4) zatrzymanie oddechu;
5) senność, zaburzenia świadomości.
Prawidłowa odpowiedź to:
Pytanie 82
Ważnym, objawowym leczeniem POChP jest zmniejszenie hiperinflacji dynamicznej. Wyraźne, tzn. większe niż 10 % zmniejszenie dynamicznego rozdęcia płuc można uzyskać przez zastosowanie:
1) fenoterolu;
2) tiotropium;
3) formoterolu;
4) salmeterolu;
5) flutikazonu i salmeterolu.
Prawidłowa odpowiedź to:
Pytanie 83
Jakie jest rozpowszechnienie POChP w Polsce? Wskaż wartość prawidłową dla płci i wieku. M-mężczyźni, K-kobiety
1) M 40-49 lat 10%; K 40-49 lat 10%;
2) M 50-59 lat 10%; K 50-59 lat 6%;
3) M 60-69 lat 40%; K 60-69 lat 30%;
4) M >70 lat 40%; K > 70 lat 16%;
5) M > 80 lat 80%; K > 80 lat 50%.
Prawidłowa odpowiedź to:
Pytanie 84
Według obecnych zaleceń stopień zaawansowania POChP określa się na podstawie następujących parametrów:
1) stopień obturacji;
2) objawy POChP;
3) liczba zaostrzeń POChP w ostatnim roku;
4) choroby współistniejące;
5) odwracalność obturacji.
Prawidłowa odpowiedź to:
Pytanie 85
Obturacja oskrzeli ma ważne znaczenie rokownicze u chorych na POChP. Wskaż prawdziwe stwierdzenia dotyczące wartości FEV1 u chorych na POChP:
1) w POChP stopnień obturacji nie jest tak ważnym czynnikiem ryzyka jak odwracalność obturacji;
2) nasilona obturacja, tzn. FEV1 poniżej 75% należnej wartości wiąże się z reguły z cięższym przebiegiem POChP;
3) u chorych na POChP obturacja poniżej 50 % częściej sprzyja zaostrzeniom choroby, w tym wymagającym leczenia szpitalnego;
4) u chorych na POChP zaleca się wykonywanie badania spirometrycznego co najmniej raz na 5 lat w celu identyfikacji pacjentów z odwracalną obturacją;
5) zaleca się wykonywanie badania FEV1 przynajmniej raz w roku, aby rozpoznać chorych na POChP z szybkim spadkiem obturacji, gdyż są to chorzy, szczególnie z dużym ryzykiem pogorszenia choroby i wymagający konsultacji specjalisty.
Prawidłowa odpowiedź to:
Pytanie 86
Liczba zaostrzeń POChP ma wpływ na ocenę zaawansowania choroby i ryzyko jej pogorszenia. Wskaż prawdziwe stwierdzenia dotyczące zaostrzeń POChP:
1) istotne znaczenie w ocenie zaawansowania POChP ma liczba zaostrzeń choroby w ostatnich pięciu latach;
2) za grupę o wysokim ryzyku pogorszenia POChP (kategoria C i D) uznaje się chorych, którzy mieli co najmniej dwa zaostrzenia w ostatnim roku wymagające podania antybiotyku lub doustnych (systemowych) steroidów;
3) za grupę o niskim ryzyku pogorszenia POChP (kategoria A i B) uznaje się chorych, którzy mieli co najmniej jedno zaostrzenie w ostatnim roku wymagające leczenia w szpitalu;
4) hospitalizacja z powodu zaostrzenia jest istotnym niekorzystnym czynnikiem rokowniczym w odniesieniu do przeżycia;
5) grupa chorych o średnim ryzyku pogorszenia POChP (kategoria A i C) to chorzy, którzy mieli jedno zaostrzenie w ostatnim roku wymagające hospitalizacji, ale udało się je opanować w warunkach domowych.
Prawidłowa odpowiedź to:
Pytanie 87
Wskaż prawdziwe stwierdzenia dotyczące leczenia POChP:
1) podstawowymi lekami zalecanymi w leczeniu POChP są wziewne leki rozszerzające oskrzela;
2) wybór β2-mimetyku, leku przeciwcholinergicznego i leczenia skojarzonego zależy od stopnia odwracalności FEV1 u chorego na POChP;
3) leki o długim czasie działania, nie są skuteczniejsze od leków krótko działających, a ze względu na koszty nie powinny być stosowane u chorych na POChP;
4) chorym z grupy A i B, czyli małego ryzyka zaostrzeń zaleca się stosowanie wGKS i krótko działających leków rozszerzających zamiast doustnych kortykosteroidów;
5) chorym z grupy C zaleca się stosowanie LAMA lub LABA + wGKS.
Prawidłowa odpowiedź to:
Pytanie 88
63-letnia niepaląca pacjentka została przywieziona na SOR z poczuciem duszności w stopniu NYHA III, gorączką 38,6°C, produktywnym kaszlem bez krwioplucia i bólu w klatce piersiowej. W badaniu fizykalnym stwierdzono ściszenie szmeru pęcherzykowego z nałożonymi rzężeniami drobnobańkowymi, stłumienie wypuku oraz wzmożone drżenie głosowe nad dolnym polem płuca prawego. Akcja serca miarowa o częstości 88/minutę, 25 oddechów na minutę, RR 110/70. Najwłaściwszym postępowaniem u tej chorej będzie:
Pytanie 89
73-letni pacjent zgłosił się do poradni z dusznością NYHA II, suchym kaszlem, które nasilały się stopniowo od około 6 miesięcy. Stosowane dotychczas leczenie okazało się nieskuteczne i z tego powodu chory był konsultowany pneumonologicznie. Podczas konsultacji w wykonanych badaniach czynnościowych układu oddechowego stwierdzono występowanie restrykcji oraz obniżenie zdolności dyfuzyjnej. Na podstawie TK HRCT rozpoznano typową postać idiopatycznego włóknienia płuc (IPF). Najwłaściwszym postępowaniem u pacjenta będzie:
Pytanie 90
W listopadowy wieczór na SOR w odosobnionym szpitalu powiatowym przyjechało kilka karetek z pacjentami, u których występowały problemy z oddychaniem proszę wskazać, który z nich powinien otrzymać jedyny dostępny aparat do nieinwazyjnego wspomagania wentylacji:
Pytanie 91
W przypadku zapalenia płuc potwierdzonego radiologicznie, którego objawy rozwinęły się u pacjenta z przewlekłą obturacyjną chorobą płuc i niewydolnością serca hospitalizowanego od 9 dni na oddziale chorób wewnętrznych najwłaściwszym postępowaniem będzie:
Pytanie 92
24-letni student prawa w trakcie sesji egzaminacyjnej zgłosił się do lekarza z powodu utrzymującego się od kilku tygodni zmęczenia, utraty apetytu, stanów podgorączkowych oraz bólu mięśni i stawów kolanowych, skokowych. W badaniach laboratoryjnych nie stwierdzono istotnych nieprawidłowości. W RTG klatki piersiowej uwidoczniono obustronnie policyklicznie zmienione wnęki płuc, oraz poszerzenie śródpiersia górnego bardziej nasilone po stronie prawej. U tego chorego w pierwszej kolejności należy:
Pytanie 93
55-letni mężczyzna z wieloletnim POChP zgłosił się na SOR z powodu nasilenia duszności (MRC z III na IV), kaszlu, któremu towarzyszyło zwiększenie objętości odkrztuszanej plwociny, oraz zmiana jej charakteru na bardziej ropny. Pacjent nie gorączkował i nie zgłaszał występowania objawów grypopodobnych, lecz skarżył się na występujące od kilku dni obrzęki kończyn dolnych. W wykonanych badaniach dodatkowych WBC 9,8 tyś a CRP 23 mg/dl (N < 5 mg/dl), PaO2 = 45 mmHg, PaCO2 48 mmHg, RTG klatki piersiowej ujawniło rozedmowo jasne pola płucne i cień okrągły o nierównych obrysach i średnicy 3,5 cm w górnym polu płuca prawego. U tego chorego w pierwszej kolejności należy:
Pytanie 94
79-letni pacjent zgłosił się do lekarza w trakcie specjalizacji z powodu suchego kaszlu, duszności występującej podczas wykonywania zwykłych czynności domowych. W wywiadzie odnotowano pozawałową niewydolność serca, leczenie bronchodilatacyjne (salmeterol i ipratopium) ponieważ palił dwie paczki papierosów dziennie od 45 lat a podczas wcześniejszej konsultacji pneumonologicznej rozpoznano u niego POChP. Przy przyjęciu pacjent zgłaszał duszność określaną na MRC III. W spirometrii stwierdzono FEV1= 49%N, FVC=46%N, FEV1/FVC = 0,77; FEF 50-23%N. W wywiadzie rodzinnym ustalono, że dwójka dzieci chorego leczy się z powodu astmy atopowej. U tego chorego w pierwszej kolejności należy:
Pytanie 95
48-letnia przedszkolanka zgłosiła się do lekarza z powodu występującego od około 2 miesięcy produktywnego kaszlu, duszności, częstego bólu głowy i stawów, którym towarzyszyło osłabienie, stany podgorączkowe, brak łaknienia i nocne poty. W badaniu fizykalnym nie stwierdzono występowania odchyleń w badaniu fizykalnym płuc i klatki piersiowej. Do pewnego rozpoznania gruźlicy u tej pacjentki niezbędne jest:
Pytanie 96
69-letni pacjent z POChP kategorii D został przyjęty na oddział z powodu nasilenia duszności i zwiększenia objętości plwociny bez zmiany jej charakteru na bardziej ropny. Na dzień przed planowanym wypisem po uzyskaniu stabilizacji stanu klinicznego stwierdzono, że FEV1= 35%N, FVC=60%N, FEV1/FVC = 0,58, PaO2 = 42 mmHg a PaCO2 36 mmHg. U tego chorego w pierwszej kolejności należy:
Pytanie 97
34-letni pacjent pracujący na kopalni zgłosił się do lekarza z powodu osłabienia, nocnych potów i utraty masy ciała, któremu nie towarzyszył kaszel ani odkrztuszanie. Po wstępnej diagnostyce pacjenta skierowano do Poradni Chorób Płuc i Gruźlicy, w której rozpoznano gruźlicę opłucnej rozpoczęto adekwatne leczenie. Jakie jest najwłaściwsze postępowanie, które powinien wdrożyć lekarz u młodszej od chorego o dwa lata dotychczas zdrowej żony?
Pytanie 98
53-letnia pacjentka z aktywnym RZS zgłosiła się do reumatologa z powodu nieskuteczności dotychczasowego leczenia. Po analizie stanu klinicznego chorej zdecydowano o kwalifikacji do leczenia antagonistą TNF. W trakcie konsultacji pneumonologicznej przed rozpoczęciem leczenia stwierdzono prawidłowy obraz RTG klatki piersiowej i dodatni wynik IGRA. Przed rozpoczęciem leczenia biologicznego należy:
Pytanie 99
54-letni piekarz z wywiadem 40-paczkolat zgłosił się do lekarza z powodu duszności, kaszlu, okresowo porannych świstów wydechowych. Pacjent zgłaszał, że od ponad 20 lat ma rozpoznaną astmę oskrzelową z powodu, której stosuje przewlekle wziewny GKS i LABA. Leki te przestały zapewniać kontrolę objawów choroby od około 4 lat i poza świstami pojawiła się zła tolerancja wysiłku NYHA II i odkrztuszanie plwociny szczególnie w okresie jesienno-zimowym. W RTG klatki piersiowej nie stwierdzono istotnych zmian. W wykonanej spirometrii z odwracalnością stwierdzono FEV1/FVC - 0,59 przed i 0,63 po podaniu leku SABA oraz wartość FEV1 odpowiednio 63%N- przed podaniem SABA a następnie jego wzrost do o 15% i 430 ml. Najbardziej prawdopodobnym rozpoznaniem u tego chorego będzie:
Pytanie 100
23-letnia studentka polonistyki leczona z powodu astmy oskrzelowej od wczesnego dzieciństwa została przywieziona na IP z powodu duszności i tachypnoe o częstości 40/min. Ze względu na nasiloną duszność zebrano jedynie szczątkowy wywiad wskazujący na 1 dzień miesiączki, brak objawów infekcyjnych, brak urazu klatki piersiowej. Przy przyjęciu stwierdzono ortopnoe, wykorzystanie dodatkowych mięśni oddechowych, RZM o częstości 136/min, RR 120/70 mmHg, SaO2=88%, w gazometrii zasadowicę oddechową z hipoksemią. W badaniu fizykalnym płuc stwierdzono symetryczny bardzo cichy szmer oddechowy ze znacznie wydłużoną fazą wydechową i rozsianymi świstami wydechowymi, bez występowania dodatkowych zjawisk osłuchowych. W pierwszej kolejności należy zastosować u tej chorej to:
Pytanie 101
66-letnia salowa z wywiadem 40 paczkolat oraz POChP w stopniu C miała wykonane TK-klatki piersiowej, w którym uwidoczniono obecność pojedynczego guzka w polu górnym płuca prawego o średnicy 7 mm. Przestraszona rozpoznaniem zgłosiła się pilnie na wizytę kontrolną ponieważ jej ojciec zmarł na raka płuca w 70 rż. Optymalną metodą postępowania, którą można zaproponować chorej to:
Pytanie 102
65-letnia pacjentka z wieloletnim wywiadem nikotynowym, bez istotnych objawów klinicznych, u której rozpoznano niedrobnokomórkowego raka płuca prawego o średnicy ok 5 cm, który w badaniu bronchoskopowym w ocenie makroskopowej znajduje się w oskrzelu pośrednim w odległości ok 4 cm od ostrogi głównej i nie nacieka innych struktur niż oskrzele i tkanka płucna, u której w badaniu PET-CT uwidoczniono węzły chłonne w prawej wnęce z SUV-5,6 powinna przy braku innych przeciwwskazań zostać zakwalifikowana do:
Pytanie 103
Jak należy leczyć ciężkie zaostrzenie astmy u kobiety w ciąży?
Pytanie 104
Które z badań jest pomocne w dostosowaniu i monitorowaniu leczenia w astmie?
Pytanie 105
Podstawę leczenia astmy ciężkiej stanowią steroidy wziewne w dużych dawkach, zaleca się:
Pytanie 106
W mechanizmie skurczu oskrzeli indukowanego aspiryną i(lub) innymi niesteroidowymi lekami przeciwzapalnymi w astmie aspirynowej:
Pytanie 107
W przypadku rozpoznania zakrzepowo-zatorowego nadciśnienia płucnego postępowaniem z wyboru jest:
Pytanie 108
Objawem patognomonicznym charakterystycznym dla zatorowości płucnej u pacjenta diagnozowanego w trybie nagłym jest:
Pytanie 109
Leczenie i diagnostyka zatorowości płucnej w kobiet ciąży różni się, ponieważ:
Pytanie 110
U pacjenta z podejrzeniem ostrej zatorowości płucnej z punktu widzenia dalszego postępowania i kwalifikacji chorego do grupy wysokiego lub niewysokiego ryzyka najbardziej istotne jest:
Pytanie 111
Testy IGRA wykonane z krwi obwodowej służą do:
Pytanie 112
Które schorzenie nie prowadzi do rozwoju palców pałeczkowatych?
Pytanie 113
Inhibitory fosfodiesterazy 4 powodują:
1) mniej działań niepożądanych niż leki wziewne stosowane w leczeniu POChP;
2) zmniejszenie rekrutacji i aktywacji komórek zapalnych;
3) ubytek masy ciała, średnio o około 2 kg;
4) zmniejszenie zapalenia neutrofilowego;
5) niekorzystny efekt synergistyczny z LABA i LAMA.
Prawidłowa odpowiedź to:
Pytanie 114
Który z niżej wymienionych gatunków prątków nie należy do grupy Mycobacterium tuberculosis complex?
Pytanie 115
W jakich przedziałach mieszczą się wskaźniki zapadalności na gruźlicę w Polsce zarejestrowane w Centralnym Rejestrze Gruźlicy w 2014 r.?
Pytanie 116
Dodatni wynik bakterioskopii i dodatni wynik badania genetycznego uzyskany z materiału od chorego świadczy o tym, że zidentyfikowano chorego:
Pytanie 117
Który z niżej wymienionych wzorów oporności szczepu prątków gruźlicy charakteryzuje chorego z gruźlicą typu MDR?
1) oporność na INH;
2) oporność na INH i EMB;
3) oporność na SM, INH, RMP;
4) oporność na INH i RMP;
5) oporność na SM i EMB.
Prawidłowa odpowiedź to:
Pytanie 118
Jeżeli materiał w kierunku diagnostyki gruźlicy i mykobakterioz pobrany od chorego nie może zostać dostarczony do laboratorium w ciągu 12 godzin od pobrania to należy go przechowywać w:
Pytanie 119
Którym z niżej wymienionych testów można potwierdzić latentne zakażenie prątkami gruźlicy?
1) testami IGRA;
2) próbą tuberkulinową;
3) badaniem genetycznym w kierunku gruźlicy;
4) bakterioskopią i posiewem w kierunku Mycobacterium tuberculosis;
5) badaniem histopatologicznym.
Prawidłowa odpowiedź to:
Pytanie 120



