Wyszukaj egzamin lub pytanie
Egzamin PES Choroby płuc / jesień 2010
120 pytań
Pytanie 1
Poproszono Pana/Panią o konsultację pacjentki ciężarnej (ciąża druga) 25-letniej kobiety, u której podczas pierwszej ciąży rozwinęła się cukrzyca. U pacjentki zdiagnozowano mukowiscydozę kilka miesięcy po pierwszym porodzie. Obecnie chora w stanie ogólnym dobrym z dwoma, trzema zaostrzeniami na rok. Leczona łącznie przez 6 tygodni doustną antybiotykoterapią. Masa ciała stabilna, chora nie zgłasza duszności. Chora zwróciła się z prośbą o informację dotyczącą potencjalnego zagrożenia w trakcie obecnej ciąży. W badaniu spirometrycznym FEV1 60%, parametry morfologii krwi obwodowej w normie, bez wykładników laboratoryjnych niewydolności zewnątrzwydzielniczej trzustki, nie wymaga insulinoterapii. Ostatni posiew plwociny: szczep śluzowy P. aeruginosa (+). Który z poniższych stanów patologicznych w mukowiscydozie może zagrażać obecnej ciąży, z wyjątkiem?
Pytanie 2
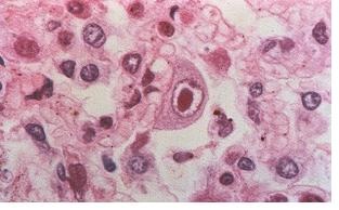
43-letni chory zgłosił się z objawami nieproduktywnego kaszlu, ogólnego osłabienia oraz gorączki przez ostatnie 6 dni. U chorego wykonano przeszczep prawego płuca przed 3 miesiącami. Chory cierpi na wrodzony niedobór alfa-1-antytrypsyny, fenotyp ZZ oraz ciężką rozedmę panlobularną. Obecnie przyjmuje cyklosporynę, azatioprynę i prednizon. W badaniu przedmiotowym gorączka
38,7 st. C, HR=104 uderzenia/min., 26 oddechów/min, bez innych odchyleń. W badaniach laboratoryjnych Hct 33%, Hgb 11 g/dl, WBC 4000 kom/ml bez odchyleń w rozmazie. W rtg P-A klatki piersiowej nieregularny naciek zapalny w płacie dolnym przeszczepionego płuca. Obraz mikroskopowy preparatu uzyskanego w trakcie biopsji transbronchialnej płuca przedstawiono na ryc. 1. Lekiem z wyboru w terapii dożylnej będzie:

Pytanie 3
Które z poniższych twierdzeń dotyczących badań czynnościowych u ciężarnej jest prawdziwe?
Pytanie 4
Porażenie nerwu twarzowego, zajęcie ślinianek i wzrost temperatury w przebiegu sarkoidozy określamy jako zespół:
Pytanie 5
Wskazaniem do ogólnoustrojowej kortykoterapii w I st. sarkoidozy jest:
1) kaszel; 4) zajęcie serca;
2) rumień guzowaty; 5) wysokie stężenie ACE;
3) hyperkalcemia; 6) limfocytoza w BAL >60%.
Prawidłowa odpowiedź to:
Pytanie 6
W aktywnym alergicznym zapaleniu pęcherzyków płucnych dominującymi komórkami w płynie z BAL są:
Pytanie 7
U osób zdrowych w indukowanej plwocinie stwierdza się głównie:
1) makrofagi; 4) komórki nabłonka;
2) eozynofile; 5) neutrofile;
3) limfocyty; 6) komórki tuczne.
Prawidłowa odpowiedź to:
Pytanie 8
Jedną z cytokin biorących udział w patogenezie gruźlicy jest TNF. TNF jest odpowiedzialny za:
1) wytwarzanie martwicy serowatej;
2) przekształcenie monocytów w komórki nabłonkowate;
3) zahamowanie wzrostu prątków;
4) hamowanie wewnątrzkomórkowego namnażania się prątków;
5) pobudzania makrofagów do wydzielania interleukiny 1,6 i 8.
Prawidłowa odpowiedź to:
Pytanie 9
W chemioterapii DRP najczęściej stosuje się połączenie cisplatyny z etopozydem (schemat PE). Alternatywnym, choć nieco mniej skutecznym schematem jest skojarzenie cyklofosfamidu, doxorubicyny i vinkrystyny (schemat CAV). Ograniczeniem dla stosowania schematu CAV jest:
1) współistnienie niewydolności nerek;
2) istotne zaburzenia układu sercowo naczyniowego;
3) planowana równoczesna radioterapia klatki piersiowej;
4) leczenie schematem CAV jako leczenie II-go rzutu.
Prawidłowa odpowiedź to:
Pytanie 10
Postępowanie w przypadku wynaczynienia zależy od rodzaju wynaczynionego leku. W przypadku wynaczynienia paklitakselu należy:
1) przerwać podawanie leku; 4) zastosować zimny okład;
2) podać hialuronidazę jako antidotum; 5) zastosować ciepły okład.
3) podać tiosiarczek sodu jako antidotum;
Prawidłowa odpowiedź to:
Pytanie 11
U chorych z nieokreślonym SPN (pojedynczy guzek w płucu) o średnicy >= 8-10 mm, którzy są kandydatami do leczenia radykalnego, wykonanie transtorakalnej biopsji igłowej (transthoracic needle aspiration - TTNA) lub bronchoskopii jest właściwym postępowaniem w następujących okolicznościach:
1) ocena prawdopodobieństwa klinicznego i wyniki badań obrazowych są sprzeczne, na przykład gdy prawdopodobieństwo nowotworu złośliwego a priori jest duże, a zmiana nie jest hipermetaboliczna w FDG-PET
2) podejrzewa się chorobę nie nowotworową wymagającą swoistego leczenia farmakologicznego;
3) w pełni poinformowany pacjent chce uzyskać przed operacją potwierdzenie nowotworu złośliwego, zwłaszcza gdy ryzyko powikłań operacyjnych jest duże;
4) prawdopodobieństwo kliniczne jest małe (< 30-40%) i zmiana nie jest hipermetaboliczna w FDG-PET lub nie wykazuje wzmocnienia > 15 jednostek Hounsfielda w dynamicznej TK z użyciem środka kontrastującego.
Prawidłowa odpowiedź to:
Pytanie 12
Które ze stwierdzeń dotyczących badań obrazowych (RTG/KT) klatki piersiowej są prawdziwe?
1) rozpad nie występuje w zapaleniach płuc wywołanych przez: Mycoplasma pneumoniae, wirusy, Haemophilus influenzae i paciorkowce, poza trzecim typem serologicznym;
2) rozpad nie występuje w zapaleniach płuc wywołanych przez: bakterie Gram-ujemne i Legionella;
3) w organizującym się zapaleniu płuc (COP) często występuje płyn w opłucnej, mogą wystąpić cechy rozpadu;
4) w zapaleniu płuc wywołanym przez wirusy (CMV) dominują zmiany guzkowe słabo odgraniczone i zmiany o typie mlecznej szyby;
5) najczęstsza lokalizacja zmian tłuszczowego zapalenia płuc to pola dolne, a kwasochłonnego zapalenia płuc - pola obwodowe.
Prawidłowa odpowiedź to:
Pytanie 13
U chorego z podejrzeniem zapalenia płuc spowodowanego przez P. aeruginosa antybiotykiem niezalecanym do zastosowania jest:
Pytanie 14
Do kryteriów wymaganych do rozpoznania AZPP nie należy:
Pytanie 15
Wskaż nowotwory najczęściej dające przerzuty do płuc:
Pytanie 16
Płyn pochodzący z BAL-u wykonanego u zdrowych ochotników zawiera:
Pytanie 17
Do przyczyn „jasnego płuca” nie zaliczamy:
1) rozedmy wentylowej; 4) braku mięśnia piersiowego większego;
2) zatoru tętnicy płucnej; 5) krwiaka pourazowego.
3) bąblowca;
Prawidłowa odpowiedź to:
Pytanie 18
Narastająca duszność, kaszel, gorączka, zmniejszenie masy ciała u chorego w wieku 45 lat z narażeniem na dym tytoniowy (bierny palacz), z towarzyszącymi w rtg zmianami o charakterze nieregularnych obszarów matowej szyby zajmujących pola środkowe i dolne mogą wskazywać na:
Pytanie 19
Oceń stopień zaawansowania raka płuca w klasyfikacji TNM: guz pierwotny średnicy > 3cm, odległość od ostrogi < 2 cm, przerzuty w węzłach chłonnych nadobojczykowych po stronie guza, brak przerzutów odległych.
Pytanie 20
Wskaż prawidłową odpowiedź odnoszącą się do patomorfologii i patofizjologii astmy:
1) charakterystyczną cechą jest zwieńczenie błony podstawnej na skutek włóknienia podnabłonkowego;
2) uszkodzony nabłonek ma zmniejszoną zdolność do wytwarzania IFN-g, IFN-β w odpowiedzi na zakażenie wirusami;
3) komórki tuczne są źródłem tylko histaminy magazynowanej w ziarnistościach;
4) w astmie nabłonek oskrzelowy nadmiernie wytwarza czynniki wzrostu, a szczególnie TGF-β;
5) do komórek prezentujących antygen należą tylko makrofagi pęcherzykowe.
Prawidłowa odpowiedź to:
Pytanie 21
Wskaż prawidłowe stwierdzenia odnoszące się do pozaszpitalnych zapaleń płuc:
1) najczęstszą przyczyną pozaszpitalnych zapaleń płuc u osób dorosłych jest Haemophilus influenzae;
2) do najważniejszych czynników ryzyka wystąpienia pozaszpitalnego zapalenia płuc u osób powyżej 60 roku życia jest pobyt w domu opieki dla przewlekle chorych;
3) do ciężkich powikłań zapalenia płuc wywołanego przez Mycoplasma pneumoniae należą: zapalenie osierdzia, zapalenie m. sercowego, zapalenie wątroby i trzustki, niedokrwistość hemolityczna;
4) skala PORT służy do oceny kategorii ryzyka zgonu chorego w przypadku pozaszpitalnych zapaleń płuc;
5) najlepszą metodą określenia patogenu jest stwierdzenie charakterystycznego obrazu RTG.
Prawidłowa odpowiedź to:
Pytanie 22
Wskaż prawidłowe stwierdzenia odnoszące się do pozaszpitalnych zapaleń płuc:
1) jeśli stosując skalę PORT uzyska się 70-90 punktów to chory powinien być leczony ambulatoryjnie;
2) wartość stężenia białka C-reaktywnego (CPR) > 50 mg/l wskazuje na zapalenia płuc, gdy chory nie był leczony antybiotykiem;
3) u osób w podeszłym wieku (powyżej 75 roku życia) kliniczne objawy pozaszpitalnego zapalenia płuc zawsze są bardzo nasilone;
4) objawy kliniczne zgłaszane przez chorego i objawy przedmiotowe nie są swoiste w takim stopniu, aby rozpoznać pozaszpitalne zapalenie płuc u dorosłych;
5) Mycoplasma pneumoniae i Chlamydophila pneumoniae często są przyczyną zapalenia płuc wymagającego leczenia szpitalnego.
Prawidłowa odpowiedź to:
Pytanie 23
Stosowanie długo działającego β2-mimetyku - salmeterolu, u chorych na POChP bez osłony glikokortykosteroidów, zgodnie z tezą Salpetera i wsp. zwiększa ryzyko zgonu z powodu epizodów sercowo-naczyniowych:
Pytanie 24
Rakowiak płuca:
1) należy do guzów o łagodnym charakterze;
2) należy do guzów uważanych dawniej za łagodne, a obecnie za złośliwe nowotwory płuc;
3) jest neuroendokrynnym nowotworem płuca;
4) zgodnie z ostatnią klasyfikacją WHO jest guzem płuca, który może przybierać postać typową lub atypową;
5) jego leczenie polega na chirurgicznym usunięciu guza, z ewentualną następową chemioterapią.
Prawidłowa odpowiedź to:
Pytanie 25
Mykobakteriozy to choroby:
1) dotyczące osób z osłabioną odpornością np. HIV+;
2) w których, podobnie jak w gruźlicy, główną rolę odgrywają reakcje humoralne, a odpowiedź komórkowa nabiera znaczenia, gdy liczba limfocytów CD4+ < 50/ml;
3) w których, w odróżnieniu od gruźlicy, gdzie złotym standardem w procesie diagnostycznym jest dodatni wynik hodowli, wystarczający jest wynik badania histopatologicznego zmian w zajętym narządzie;
4) w których, ze względu na mniejszą zjadliwość prątków atypowych, częściej niż w gruźlicy występuje postać utajona choroby;
5) w których może występować kolonizacja, która nie występuje w gruźlicy.
Prawidłowa odpowiedź to:
Pytanie 26
Zakażenia oportunistyczne:
1) łączą się ze stanami immunosupresji;
2) dotyczą zwykle patogenów endogennych, które w normalnych warunkach nie wywołują choroby;
3) mogą być spowodowane przez mykobakterie i grzyby;
4) wśród osób HIV-dodatnich najczęstszą przyczyną infekcji oportunistycznych jest Mycobacterium kansasii;
5) stosowanie GKS (glikokortykosteroidów), niezależnie od dawki i drogi podania jest przyczyną zakażeń oportunistycznych.
Prawidłowa odpowiedź to:
Pytanie 27
Zaznacz prawidłowe zdanie:
Pytanie 28
Pyrazinamid (PZA) jest lekiem:
1) stosowanym w intensywnej fazie leczenia choroby wywołanej przez wszystkie prątki należące do Mycobacterium tuberculosis complex;
2) stosowanym zawsze w intensywnej fazie leczenia gruźlicy oraz większości mykobakterioz;
3) który charakteryzuje się działaniem bójczym w niskim pH (5,0-6,0) i dlatego działa na prątki zlokalizowane wewnątrzkomórkowo;
4) stosowany jest jako prolek;
5) na którego oporność prątków, podobnie jak na pozostałe leki I-wszego rzutu w leczeniu gruźlicy, jest powszechnie oznaczana.
Prawidłowa odpowiedź to:
Pytanie 29
Zaznacz prawidłową odpowiedź:
1) Mycobacterium tuberculosis należy do obligatoryjnych patogenów, a prątki niegruźlicze (MOTT) - do saprofitów, powszechnie występujących w środowisku;
2) do rozwoju mykobakteriozy usposabiają przebyte lub istniejące choroby płuc oraz leczenie immunosupresyjne;
3) gruźlicę pod względem klinicznym można pomylić z mykobakteriozą, gdyż nie zawsze w obydwu chorobach udaje się wykryć prątki;
4) nawet nierozpoznana mykobakterioza, jeśli jest leczona jako gruźlica, nie ma to większego znaczenia, gdyż zestaw leków przeciwprątkowych jest w obu jednostkach chorobowych taki sam;
5) podobnie jak w gruźlicy, w mykobakteriozie wystarczy 2-tygodniowa hospitalizacja, aby chory przestał być zakaźny dla otoczenia.
Prawidłowa odpowiedź to:
Pytanie 30
W gruźlicy:
1) wzrasta odpowiedź Th2;
2) odpowiedź Th1 jest najczęściej obniżona;
3) w miejscu toczącego się procesu zapalnego wzrasta odpowiedź Th2;
4) o ile u chorych na gruźlicę przeważa IL-4, to u osób zakażonych (LTBI- Latent TB Infection) tuberkulinododatnich przeważa jej antagonista IL-4delta2;
5) do skutecznej kontroli zakażenia (LTBI) niezbędna jest wzmożona odpowiedź Th1 i Th2.
Prawidłowa odpowiedź to:
Pytanie 31
Zaznacz prawidłową odpowiedź:
1) testy IGRA (Interferon Gamma Release Assay)oceniające produkcję IFN-gamma - pod wpływem ESAT-6 i CFP-10 są pomocne w diagnostyce gruźlicy;
2) testy IGRA pozwalają lepiej niż odczyny tuberkulinowe scharakteryzować populację osób zakażonych prątkami gruźlicy (LTBI);
3) przewaga testów IGRA polega na tym, iż w odróżnieniu od odczynów tuberkulinowych, szczepienia BCG nie mają wpływu na wynik testu;
4) testy IGRA mogą też służyć do monitorowania skuteczności leczenia przeciwprątkowego u chorych na gruźlicę;
5) zaletą testów IGRA jest fakt, iż w odróżnieniu od odczynów tuberkulinowych, żadne prątki niegruźlicze nie mają wpływu na wynik.
Prawidłowa odpowiedź to:
Pytanie 32
Zaznacz prawidłową odpowiedź:
1) populacja osób zakażonych prątkami gruźlicy (LTBI) stanowi ważny rezerwuar, z którego pochodzą przypadki nowych zachorowań na gruźlicę;
2) prątki obecne w typowych ziarniniakach gruźliczych mogą przetrwać nawet kilkadziesiąt lat, gdyż panujące w martwicy serowatej warunki są dla nich korzystne;
3) nie wiemy dokładnie w jaki sposób prątki są w stanie przetrwać w niesprzyjających warunkach martwicy serowatej wiele lat, nie tracąc zdolności przejścia w fazę podziału;
4) najbardziej skuteczną metodą przerwania łańcucha szerzenia się gruźlicy w populacji jest zastosowanie chemioprofilaktyki;
5) jedynie chorzy na gruźlicę płuc, wydalający prątki stwierdzane w badaniu bezpośrednim (pod mikroskopem) są potencjalnym źródłem zakażenia dla zdrowej populacji.
Prawidłowa odpowiedź to:
Pytanie 33
64-letni chory na ciężką postać POChP, po przebytym zawale ściany przedniej powikłanym nawracającymi zaburzeniami rytmu serca pod postacią częstoskurczu komorowego, przewlekle leczony amiodaronem został skierowany do szpitala z powodu nasilenia dolegliwości dławicowych. Po konsultacji kardiologicznej i wykonaniu badań dodatkowych zakwalifikowany do koronarografii w trybie pilnym, którą wykonano bez powikłań. W drugiej dobie po zabiegu wystąpiła szybko narastająca duszność, sinica, kaszel z odkrztuszaniem pienistej wydzieliny, zaburzenia świadomości, hipoksja < 50 mm Hg. Zaistniała konieczność intubacji i mechanicznej wentylacji. Wobec powyższego należy podejrzewać:
Pytanie 34
58-letni chory, został przyjęty do szpitala z powodu nasilonej duszności, suchego meczącego kaszlu, gorączki oraz ubytku wagi ciała ok. 5 kg w ciągu 6 m-cy. Z wywiadu wynika iż przed kilkoma tygodniami przebył zapalenie zatok szczękowych leczone antybiotykiem. W trakcie pobytu w badaniu przedmiotowym stwierdzono osłabienie szmeru pęcherzykowego, stłumienie odgłosu opukowego oraz trzeszczenia w okolicach podłopatkowych. Badanie radiologiczne klatki piersiowej wykazało obecność symetrycznych plamistych, wieloogniskowych zagęszczeń miąższowych w środkowych i dolnych polach płucnych, czynnościowe zmiany o typie restrykcyjnym, gazometryczne hipoksję z normokapnią. W rozpoznaniu różnicowym należy wziąć pod uwagę m.in. zapalenie oskrzelików z organizującym się zapaleniem płuc. Dla jego potwierdzenia należy dodatkowo wykonać:
1) bronchofiberoskopię i płukanie oskrzelowo-pęcherzykowe celem określenia odsetka komórek zapalnych;
2) bronchofiberoskopię z pobraniem wycinka do badania hist-pat.;
3) bronchofiberoskopię i płukanie oskrzelowo-pęcherzykowe celem określenia stężenia enzymów proteolitycznych oraz rozpuszczalnych form cząsteczek adhezyjnych;
4) badanie morfologiczne krwi obwodowej z rozmazem i określeniem stężenia czynników ostrej fazy zapalenia i OB;
5) badanie radiologiczne zatok obocznych nosa.
Prawidłowa odpowiedź to:
Pytanie 35
W leczeniu farmakologicznym ciężkiej i bardzo ciężkiej postaci POChP stosowane są głównie preparaty wziewne krótko lub długo działających cholinolityków, długo działających β-2 mimetyków, glikokortykosteroidów oraz doustne teofiliny. Według wytycznych GOLD stosowanie glikokortykosteroidów wziewnych przyczynia się do poprawy leczenia ponieważ:
1) są lekami bezpiecznymi w zalecanych dawkach;
2) zwiększają ekspresję genów mediatorów zapalnych;
3) przyczyniają się do zmniejszenia częstości zaostrzeń;
4) powodują rozkurcz mięśni gładkich oskrzeli i zwiększenie siły skurczu mięśni oddechowych;
5) przyczyniają się do poprawy jakości życia.
Prawidłowa odpowiedź to:
Pytanie 36
Do oceny ciężkości Przewlekłej obturacyjnej choroby płuc stosowany jest wskaźnik BODE, który uwzględnia niżej wymienione,
z wyjątkiem:
1) wskaźnika masy ciała;
2) konieczności domowego leczenia tlenem;
3) gimnastyki oddechowej i drenażu ułożeniowego;
4) obturacji ocenianej za pomocą wskaźnika FEV1, tolerancji wysiłku fizycznego i występowania duszności w skali Medical Research Council;
5) obecności procesu zapalnego w dolnych drogach oddechowych.
Prawidłowa odpowiedź to:
Pytanie 37
Rehabilitacja odgrywa ważną rolę w chorobach układu oddechowego a niejednokrotnie wcześnie podjęte zabiegi zapobiegają różnym powikłaniom nie tylko w obrębie układu oddechowego. Zasadnicze cele rehabilitacji obejmują:
1) usprawnienie fizyczne;
2) zmniejszenie aktywności fizycznej i zawodowej;
3) przezwyciężenie różnych barier w celu ułatwienia życia osoby niepełnosprawnej;
4) usprawnienie psychiczne i społeczne (przystosowanie do życia w normalnych warunkach;
5) obniżenie standardu życia.
Prawidłowa odpowiedź to:
Pytanie 38
Teofilina stymuluje ośrodek oddechowy zwiększając jego wrażliwość na hiperkapnię oraz wpływa na funkcje mięśni oddechowych. Do klinicznych i czynnościowych działań teofiliny należą niżej wymienione, z wyjątkiem:
1) zwiększenia rozkurczu mięśni gładkich oskrzeli;
2) zwiększenia przesiąkania osocza;
3) pogorszenia klirensu śluzowo-rzęskowego;
4) zwiększenia natężonej objętości wydechowej pierwszosekundowej (FEV1);
5) zwiększenia objętości zalegającej.
Prawidłowa odpowiedź to:
Pytanie 39
Nieinwazyjne wspomaganie wentylacji (NWW) jest metodą wspomagania oddechu bez konieczności intubacji chorego. Wskazania do NWW w przewlekłej niewydolności oddychania w POChP są niżej wymienione, z wyjątkiem:
1) PaO2 < 50 mmHg, PaCO2 > 70 mmHg;
2) cechy restrykcji w badaniu spirometrycznym;
3) ograniczenie zdolności dyfuzyjnej płuc DLCO;
4) pH < 7,30;
5) kaszel z odkrztuszaniem śluzowo-ropnej plwociny oraz rozlane świsty w badaniu przedmiotowym.
Prawidłowa odpowiedź to:
Pytanie 40
24-letni student medycyny mieszkający w akademiku i uczestniczący w codziennych zajęciach praktycznych z chorób płuc, zgłosił się do lekarza z powodu suchego, meczącego kaszlu, stanów podgorączkowych oraz upośledzenia tolerancji wysiłku fizycznego. Z wywiadu wynika, iż od ok. 2 lat występuje poranny wodnisty katar połączony z kichaniem. W badaniu przedmiotowym stwierdzono nad płucami zmiany osłuchowe pod postacią świstów i trzeszczeń u podstawy, spirometrycznie - obturacyjny zespół zaburzeń sprawności wentylacyjnej płuc łagodnego stopnia oraz obecność drobnoplamistych obustronnych zmian w obrazie radiologicznym. W dochodzeniu klinicznym należy wziąć pod uwagę między innymi:
1) zakażenie patogenami atypowymi z koniecznością określenia w surowicy miana przeciwciał w klasie IgA;
2) zakażenie patogenami atypowymi z koniecznością określenia w surowicy miana przeciwciał w klasie IgM i IgG;
3) bronchofiberoskopię z płukaniem oskrzelowo-pęcherzykowym;
4) nadkażenie patogenami atypowymi z koniecznością określenia w surowicy miana przeciwciał w klasie IgA;
5) nadkażenie patogenami atypowymi i koniecznością określenia w surowicy miana przeciwciał w klasie IgG.
Prawidłowa odpowiedź to:
Pytanie 41
40-letni chory skierowany do Oddziału Chorób Płuc z powodu kaszlu, duszności poprzedzonej nagłym bólem w klatce piersiowej oraz tachypnoe.
Z wywiadu wynikało, iż przed 2 tygodniami zgłosił się do lekarza POZ z powodu stanów podgorączkowych, bólu oraz obrzęku prawego podudzia i otrzymał antybiotyk oraz NLPZ Badanie przedmiotowe ujawniło przyśpieszoną liczbę oddechów (26/min), natomiast badanie gazometryczne - hipoksemię z hipokapnią i alkalozą oddechową. Podejrzewając zator płucny w dalszym postępowaniu diagnostycznym w pierwszej kolejności nie należy wykonywać:
1) spirometrii i pletyzmografii;
2) spiralnej tomografii komputerowej płuc oraz przezprzełykowego badania echokardiograficznego;
3) morfologii krwi obwodowej z rozmazem oraz badania morfologicznego plwociny;
4) oznaczenia stężenia produktów degradacji fibryny (D-dimery);
5) scyntygrafii wentylacyjnej płuc.
Prawidłowa odpowiedź to:
Pytanie 42
Współistnienie włóknienia i rozedmy płuc (CPFE) jest jednostką chorobową, w której stwierdza się:
1) często nadciśnienie płucne;
2) znaczące obniżenie pojemności dyfuzyjnej płuc;
3) znaczne obniżenie FEV1;
4) znaczne obniżenie TLC;
5) współistnienie rozedmy w płatach górnych i włóknienie w płatach dolnych płuc w badaniu TK.
Prawidłowa odpowiedź to:
Pytanie 43
Omalizumab:
1) zmniejsza częstość zaostrzeń astmy;
2) działa jeszcze 18 m-cy po odstawieniu leczenia;
3) obniża poziom IgE;
4) osiąga maksymalny poziom w surowicy po 7-8 dniach;
5) leczenie omalizumabem nie umożliwia redukcji steroidów wziewnych.
Prawidłowa odpowiedź to:
Pytanie 44
Które z poniższych twierdzeń dotyczących rifampicyny jest fałszywe?
Pytanie 45
Które z poniższych twierdzeń dotyczących prątków gruźlicy jest fałszywe?
Pytanie 46
Którego rodzaju komórek nie ma w ziarniniakach?
Pytanie 47
Przewlekła choroba ziarniniakowa jest to grupa chorób uwarunkowanych genetycznie, których wspólną cechą jest:
1) defekt enzymu oksydazy NADPH fagocytów;
2) neuropenia;
3) obecność jałowych ziarniniaków;
4) nawracające infekcje spowodowane bakteriami katalazododatnimi;
5) niedobór inhibitora C1.
Prawidłowa odpowiedź to:
Pytanie 48
W jednostce chorobowej współistnienie włóknienia i rozedmy płuc stwierdza się w badaniu TK pod postacią:
1) obrazu plastra miodu i rozstrzeni oskrzeli z pociągania w środkowych polach płucnych;
2) pogrubienia przegród międzypęcherzykowych i międzyzrazikowych;
3) zmniejszenia objętości pól płucnych i wysokiego ustawienia przepony;
4) obrazu mlecznej szyby, plastra miodu i rozstrzeni oskrzeli w dolnych płatach płuc;
5) objawów rozedmy w górnych częściach płuc.
Prawidłowa odpowiedź to:
Pytanie 49
Chorych na astmę aspirynową, w porównaniu z chorymi na astmę oskrzelową dobrze tolerujących aspirynę oraz z osobami zdrowymi, charakteryzuje:
Pytanie 50
Rifabutyna może wywoływać działania niepożądane/toksyczne między innymi pod postacią: dolegliwości bólowych mięśni i stawów, leukopenii, granulocytopenii, a w leczeniu skojarzonym z klarytromycyną zapalenie naczyniówki przedniego odcinka oka. W czasie stosowania rifabutyny należy przeprowadzić:
Pytanie 51
Kiedy należy stosować glikokortykosteroidy wziewne u chorych na POChP?
Pytanie 52
Do chorób śródmiąższowych płuc związanych typowo z paleniem tytoniu należą:
Pytanie 53
Ziarniniakowatość bronchocentryczna występuje w przebiegu:
1) alergicznej aspergilozy płucnej; 4) ciężkiego zapalenia płuc;
2) sarkoidozy; 5) POChP.
3) gruźlicy płuc;
Prawidłowa odpowiedź to:
Pytanie 54
W przebiegu sarkoidozy mogą pojawić się następujące powikłania:
1) zespół suchych oczu; 4) pancytopenia;
2) głuchota; 5) torbielki kostne.
3) zmiany o typie guza mózgu;
Prawidłowa odpowiedź to:
Pytanie 55
U chorej dotychczas leczonej przez wiele lat z powodu astmy oskrzelowej, podczas konsultacji specjalistycznej stwierdzono liczne świsty wdechowe. W związku z powyższym pod uwagę w diagnostyce różnicowej należy wziąć:
1) zarostowe zapalenie oskrzelików; 4) ciężką postać POChP;
2) guz tchawicy; 5) zespół wątrobowo-płucny.
3) zapalenie nagłośni;
Prawidłowa odpowiedź to:
Pytanie 56
Na izbę przyjęć zgłasza się chora na astmę pacjentka z powodu gorączki do 39 stopni, nasilonej duszności i kaszlu. Zgłasza ból o charakterze opłucnowym po stronie prawej. W badaniu fizykalnym stwierdza się osłabienie szmeru pęcherzykowego i wypuku nad płucem prawym, a ponadto wysypkę na tułowiu oraz opadanie prawej stopy. W wynikach badań dodatkowych zwraca uwagę wysokie CRP, leukocytoza oraz eozynofilia krwi obwodowej. Najbardziej prawdopodobnym rozpoznaniem jest:
1) ciężkie zaostrzenie astmy spowodowane zapaleniem płuc z towarzyszącym zapaleniem opłucnej;
2) ziarniniak Wegenera;
3) choroba Churga i Strauss;
4) początkowe stadium stwardnienia rozsianego przebiegające z niewydolnością oddechową spowodowaną aspiracyjnym zapaleniem płuc;
5) toczeń trzewny uogólniony.
Prawidłowa odpowiedź to:
Pytanie 57
Jaka choroba jest najbardziej prawdopodobna u pacjenta, skarżącego się na łatwe męczenie się, napady świszczącego oddechu, duszność i suchy kaszel, u którego w HRCT klatki piersiowej stwierdzono torbielowate zmiany, zlokalizowane głównie w górnych i środkowych polach obu płuc?
Pytanie 58
Kobieta lat 25, od 6 miesięcy leczona na astmę oskrzelową małą dawką kortykosteroidu wziewnego, przyjmująca doraźnie szybko działający β2-mimetyk wziewny. W ostatnim czasie napady duszności występują wyłącznie po wysiłku fizycznym oraz 2 razy w tygodniu w nocy. Chora przyjmuje szybko działający β2-mimetyk wziewny około 3 razy w tygodniu. Wyniki badania spirometrycznego są prawidłowe. Podczas wizyty kontrolnej dopuszczalne (w świetle najnowszej wersji Raportu Światowej Inicjatywy Zwalczania Astmy 2009) postępowanie u tej chorej to:
1) pozostawienie dotychczasowego leczenia bez zmian;
2) dołączenie do leczenia długo działającego β2-mimetyku wziewnego;
3) dołączenie do leczenia leku przeciwleukotrienowego;
4) dołączenie do leczenia preparatu teofiliny o przedłużonym uwalnianiu;
5) zwiększenie dawki steroidu wziewnego do umiarkowanej i dołączenie do leczenia długo działającego β2-mimetyku wziewnego.
Prawidłowa odpowiedź to:
Pytanie 59
Najwyższą wartość diagnostyczną w rozpoznawaniu ukrytej postaci zakażenia prątkiem gruźlicy w Polsce posiadają:
Pytanie 60
Chemioprofilaktyka wtórna gruźlicy w Polsce jest powszechnie zalecana u:
Pytanie 61
Od kilku lat stosowane w Polsce testy IGRA:
Pytanie 62
W diagnostyce immunologicznej astmy atopowej znaczenia nie mają testy:
Pytanie 63
Zgodnie ze współczesną wiedzą zarówno astma jak i POCHP są uważane za choroby zapalne. Istotną różnicą w nacieku zapalnym w drogach oddechowych w przebiegu obu chorób jest:
Pytanie 64
Kortykosteroidy wziewne są zdecydowanie mniej skuteczne w leczeniu zapalenia w POCHP w porównaniu do astmy gdyż:
Pytanie 65
Rozpoznanie tracheomalacji sugerują następujące objawy fizykalne:
Pytanie 66
Za podtrzymywanie reakcji zapalnej w drogach oddechowych po przerwaniu ekspozycji na alergen u chorego na astmę atopową odpowiedzialne są:
Pytanie 67
Nadreaktywność oskrzeli jako cecha charakterystyczna dla astmy oskrzelowej jest następstwem:
Pytanie 68
Przyczyną nieodwracalności obturacji u chorych na POCHP jest:
Pytanie 69
W której z poniższych sytuacji klinicznych u chorego na mukowiscydozę wskazane jest skierowanie do ośrodka transplantacyjnego w celu rozważenia wskazań do przeszczepu płuc:
1) FEV1 < 30% wartości należnej;
2) FEV1 < 50% wartości należnej;
3) masywne krwioplucie;
4) gwałtowna progresja zmian oskrzelowo-płucnych;
5) przewlekła niewydolność oddechowa.
Prawidłowa odpowiedź to:
Pytanie 70
Rodzice zgłaszają się z do poradni pulmonologicznej z sześcioletnią dziewczynką leczoną od 5 lat z powodu astmy oskrzelowej. Pomimo stosowania wielolekowej terapii skojarzonej u pacjentki często występują zaostrzenia, przewlekły kaszel, upośledzona tolerancja wysiłku. Ponadto u dziewczynki występuje znaczny niedobór masy ciała i wzrostu. Z wywiadu wiadomo, że w okresie noworodkowym dziecko było operowane z powodu niedrożności jelit. Co należy uwzględnić w diagnostyce różnicowej?
1) astmę oskrzelową niekontrolowaną;
2) mukowiscydozę;
3) brak stosowania się do zaleceń lekarskich (nie zażywanie leków);
4) zapalenie oskrzelików;
5) przetokę tchawiczo-przełykową.
Prawidłowa odpowiedź to:
Pytanie 71
Które z poniższych twierdzeń dotyczących aktywności fizycznej u chorych z mukowiscydozą są prawdziwe?
1) tolerancja wysiłku u chorych na mukowiscydozę jest zmienna i ulega ograniczeniu w okresie zaostrzeń choroby płuc;
2) najlepszą formą wysiłku są ćwiczenia ogólnorozwojowe jak pływanie czy jazda na rowerze;
3) niedobór masy ciała stanowi przeciwwskazanie do wysiłku fizycznego;
4) dzieci z mukowiscydozą należy bezwzględnie zwalniać z lekcji wychowania fizycznego;
5) warunkiem kwalifikacji do wysiłku fizycznego jest spoczynkowe wysycenie tlenem krwi tętniczej przekraczające 90%.
Prawidłowa odpowiedź to:
Pytanie 72
Rodzice zgłaszają się z do poradni pulmonologicznej z czteroletnim chłopcem z powodu uporczywego, suchego kaszlu, który występuje głównie nad ranem. Chłopiec kilka razy w roku choruje na zapalenia oskrzeli. Wywiad okołoporodowy nie jest obciążony. Od okresu niemowlęcego dziecko prezentowało zmiany skórne o charakterze atopowym i z tego powodu pozostaje na diecie eliminacyjnej, z wyłączeniem mleka krowiego i produktów mlecznych. Matka chłopca choruje na astmę oskrzelową. Jakie rozpoznania należy uwzględnić w diagnostyce różnicowej?
1) astmę oskrzelową;
2) refluks żołądkowo-przełykowy;
3) zespół pierwotnej dyskinezji rzęsek;
4) dysplazję oskrzelowo-płucną;
5) nawracające zakażenia wirusowe układu oddechowego.
Prawidłowa odpowiedź to:
Pytanie 73
Rodzice zgłaszają się do Szpitalnego Oddziału Ratunkowego z 3,5 letnią dziewczynką z powodu nasilonego suchego kaszlu i trudności z oddychaniem. Dziewczynka leczona jest z powodu astmy oskrzelowej wziewnymi lekami rozszerzającymi oskrzela i glikokortykosteroidami. Od 9 dni przebywa na wakacjach i zażywa leki bez komory inhalacyjnej (rodzice zapomnieli zabrać spejsera z domu). Dziecko jest blade, apatyczne. Z odchyleń w badaniu przedmiotowym zwraca uwagę suchość błon śluzowych, wysiłek oddechowy, częstość oddechów 50/minutę, osłuchowo nad polami płucnymi osłabiony szmer pęcherzykowy z wydłużoną fazą wydechową. Jakie postępowanie należy wdrożyć u opisanego dziecka?
1) podać krótkodziałające beta 2 mimetyki wziewnie przez komorę inhalacyjną z maską;
2) podać glikokortykosteroidy systemowo;
3) oznaczyć pulsoksymetrycznie saturację;
4) podać płyny doustnie lub dożylnie;
5) pouczyć rodziców o konieczności prawidłowego podawania leków (spejser!) i odesłać do domu.
Prawidłowa odpowiedź to:
Pytanie 74
Rodzice zgłosili się do szpitala z 14-letnim chłopcem z powodu trwającej od 3 dni gorączki do 40 st C oraz utrzymującego się od tygodnia bólu w klatce piersiowej. Początek bólu pacjent wiąże z urazem jakiego doznał w trakcie gry w koszykówkę. Chłopiec dotychczas poważnie nie chorował. W wykonanym przed tygodniem zdjęciu radiologicznym klatki piersiowej nie uwidoczniono nieprawidłowości. W badaniu przedmiotowym stwierdzono: skóra czysta, gardło zaczerwienione, częstość oddechów 18/minutę, osłuchowo nad polami płucnymi szmer pęcherzykowy osłabiony z tyłu klatki piersiowej do wysokości kąta łopatki po stronie prawej, prawidłowy po stronie lewej, odgłos opukowy stłumiony z tyłu klatki piersiowej po stronie prawej, tony serca czyste, czynność miarowa, brzuch miękki, perystaltyka prawidłowa, narządy miąższowe niepowiększone, objaw Goldflama dodatni po stronie prawej. Jakie postępowanie będzie najwłaściwsze u opisanego chłopca?
1) podać leki przeciwgorączkowe i zalecić kontrolę po 24 godzinach;
2) wykonać rtg klatki piersiowej;
3) wykonać badanie bakteriologiczne wymazu z nosogardła i dalsze postępowanie uzależnić od jego wyniku;
4) ocenić saturację badaniem pulsoksymetrycznym;
5) wykonać badanie ultrasonograficzne jamy brzusznej.
Prawidłowa odpowiedź to:
Pytanie 75
Skala oceny ciężkości zapalenia płuc CURB-65 nie obejmuje:
Pytanie 76
Złotym standardem rozpoznania zapalenia płuc wywołanego przez wirusa cytomegalii jest badanie:
Pytanie 77
Który z poniższych stanów jest przeciwwskazaniem do szczepień przeciwko grypie?
Pytanie 78
Badaniem, które stało się standardem rozpoznawania rozstrzeni oskrzeli jest:
Pytanie 79
Antybiotykami stosowanymi w leczeniu zapaleń płuc wywołanych przez atypowe drobnoustroje są:
1) pochodne penicyliny; 4) cefalosporyny;
2) makrolidy; 5) tetracykliny.
3) fluorochinolony;
Prawidłowa odpowiedź to:
Pytanie 80
Badaniem, które u chorego bez współistniejącej choroby płuc pozwala wykluczyć z całą pewnością zatorowość płucną jest:
Pytanie 81
Do grup leków rozszerzających oskrzela zalicza się:
1) beta-2-mimetyki; 4) steroidy;
2) antycholinergiki; 5) kromony.
3) pochodne metyloksantyn;
Prawidłowa odpowiedź to:
Pytanie 82
Przyczynami powstawania płynu w jamie opłucnowej (wzmożony przepływ z naczyń włosowatych do jamy opłucnej) są niżej wymienione, z wyjątkiem:
Pytanie 83
Wysięk w jamie opłucnowej może wystąpić w niżej wymienionych chorobach, z wyjątkiem:
Pytanie 84
Czynnikami ryzyka choroby zakrzepowo-zatorowej są niżej wymienione czynniki, z wyjątkiem:
Pytanie 85
W leczeniu przeciwzakrzepowym przy użyciu antymetabolitów witaminy K w przebiegu zatorowości płucnej, pożądana wartość INR wynosi:
Pytanie 86
Wskaż fałszywe twierdzenie dotyczące międzybłoniaka opłucnej:
Pytanie 87
Warunkiem dobrego wykonania testów punktowych skórnych w diagnostyce chorób alergicznych nie jest:
Pytanie 88
Objawy uczulenia na pyłki drzew pojawiają się w miesiącach:
Pytanie 89
Przewlekła tlenoterapia domowa z powodu hipoksemicznej niewydolności oddechowej powinna być stosowana:
Pytanie 90
Proszę wskazać fałszywe stwierdzenie dotyczące zasad antybiotykoterapii w zaostrzeniu mukowiscydozy:
Pytanie 91
W mukowiscydozie istotne jest diagnostyczne stężenie chlorków w pocie powyżej:
Pytanie 92
Najczęstszą przyczyną obecności płynu w jamie opłucnej jest:
Pytanie 93
Zaznacz fałszywe rozpoznanie. Stridor może wystąpić w przebiegu:
Pytanie 94
U chorych na sarkoidozę wskazaniem do stosowania glikokortykosteroidów jest:
Pytanie 95
Który z nowotworów nie ma udekumentowanego związku z paleniem papierosów?
1) rak płuca; 4) międzybłoniak opłucnej;
2) rak jamy ustnej; 5) rak sutka.
3) rak pęcherzyka moczowego;
Prawidłowa odpowiedź to:
Pytanie 96
Która z okoliczności nie jest związana przyczynowo z niską wyleczalnością raka płuca?
Pytanie 97
Zaznacz najmniej istotny czynnik rokowniczy dla niedrobnokomórkowego raka płuca:
Pytanie 98
Do objawów paranowotworowych w raku płuca należy:
Pytanie 99
Klinicznie masywny zator tętnicy płucnej to zator:
1) zawsze anatomicznie masywny;
2) zawsze stanowiący powikłanie masywnej zakrzepicy żylnej;
3) będący z reguły powikłaniem migotania przedsionków;
4) charakteryzujący się nagłym zatrzymaniem krążenia i oddychania;
5) o ciężkości którego decyduje stopień upośledzenia czynności narządów krążenia i oddychania.
Prawidłowa odpowiedź to:
Pytanie 100
Główne mediatory astmy to:
1) histamina; 4) prostaglandyna D2;
2) tlenek azotu; 5) cytokiny.
3) leukotrieny;
Prawidłowa odpowiedź to:
Pytanie 101
Zmiany strukturalne w drogach oddechowych w astmie obejmują:
1) powiększenie poszczególnych komórek mięśniowych i zwiększenie ich liczby w ścianie dróg oddechowych;
2) proliferację naczyń krwionośnych;
3) włóknienie podnabłonkowe;
4) zwiększenie liczby komórek kubkowych i gruczołów podśluzówkowych.
Prawidłowa odpowiedź to:
Pytanie 102
Zaznacz fałszywe stwierdzenie dotyczące przeciwciał przeciwko ziarnistościom cytoplazmatycznym neutrofilów (ANCA):
1) odgrywają rolę w patogenezie ziarniniakowatości Wegenera;
2) nieobecność ANCA w surowicy podczas diagnostyki wstępnej nie wyklucza rozpoznania ziarniniakowatości Wegenera;
3) narastanie stężenia ANCA w trakcie leczenia lub remisji jest wskazaniem do intensyfikacji lub wznowienia leczenia immunosupresyjnego;
4) narastanie stężenia ANCA tylko u około połowy chorych jest związane z jednoczasowym nawrotem choroby;
5) ANCA występują tylko w ziarniniakowatości Wegenera - ich wykrycie w mianie1:160 jest równoznaczne z rozpoznaniem choroby.
Prawidłowa odpowiedź to:
Pytanie 103
Po zastosowaniu którego leku lub których leków można się spodziewać zmniejszenia hiperinflacji dynamicznej u chorych na POChP?
1) fenoterolu; 4) salmeterolu;
2) tiotropium; 5) flutikazonu i salmeterolu.
3) formoterolu;
Prawidłowa odpowiedź to:
Pytanie 104
Wskaż prawidłowe twierdzenia dotyczące wykonywania diagnostycznej przezoskrzelowej biopsji płuca (TBLB):
1) przeciwwskazaniem do wykonania biopsji płuca TBLB jest rozedma płuc;
2) biopsja płuca TBLB jest skuteczna w ok. 50-60% przypadków diagnozowanych chorych na sarkoidozę płuc;
3) nadciśnienie płucne nie jest przeciwwskazaniem do biopsji płuca TBLB;
4) w diagnostyce sarkoidozy płuc biopsja węzłów chłonnych TBNA jest bardziej skuteczna niż biopsja płuca TBLB;
5) biopsja płuca TBLB jest skuteczna i zalecana w diagnostyce podejrzenia idiopatycznego zwłóknienia płuc (UIP);
6) ryzyko wystąpienia odmy opłucnej jako powikłania biopsji płuca TBLB jest takie samo jak w standardowej bronchofiberoskopii.
Prawidłowa odpowiedź to:
Pytanie 105
Wskaż właściwe postępowanie POChP (GOLD 2009):
1) rehabilitację należy zastosować tylko w ciężkiej i bardzo ciężkiej postaci POChP;
2) β2-agonistę długo działającego należy koniecznie zastosować w stadium lekkim, bo zmniejsza rozdęcie dynamiczne;
3) w ciężkim i bardzo ciężkim stadium POChP gdy nawracają zaostrzenia należy zastosować wziewny glikokortykosteroid;
4) w każdym stadium POChP od lekkiego do bardzo ciężkiego należy unikać czynników ryzyka i stosować szczepienia przeciwko grypie i przeciwko pneumokokom;
5) tiotropium należy włączyć w bardzo ciężkiej postaci POChP bo tylko wtedy uzyskuje się korzyść.
Prawidłowa odpowiedź to:
Pytanie 106
Wskaż prawdziwe stwierdzenie odnoszące się do postępowania w POChP (GOLD 2009):
1) edukacja zdrowotna nie zmniejsza zaprzestania palenia tytoniu;
2) należy unikać przewlekłego podawania systemowo działającego glikokortykosteroidu nawet w dawce 5 mg/dobę;
3) tlenoterapia przewlekła > 15 godzin na dobę nie zwiększa przeżywalności;
4) wszyscy chorzy na POChP mają wyraźne korzyści z treningu fizycznego;
5) tylko wziewne glikokortykosteroidy zatrzymują postępujący spadek czynności płuc.
Prawidłowa odpowiedź to:
Pytanie 107
W POChP postępujący spadek FEV1 zmniejsza stosowanie:
1) długo działającego leku przeciwcholinergicznego;
2) całkowite zaprzestanie palenia tytoniu;
3) kombinacji długo działającego β2-agonisty i długo działającego leku przeciwcholinergicznego;
4) wziewnego glikokortykosteroidu w dawce ≥ 1600 μg budezonidu;
5) kombinacji wziewnego glikokortykosteroidu w małej dawce i β2-agonisty długo działającego.
Prawidłowa odpowiedź to:
Pytanie 108
W POChP długotrwałe leczenie tlenem stosowane głównie jako domowa terapia tlenem, musi spełniać warunki:
1) należy stosować ponad 15 godzin na dobę, bo tylko takie postępowanie zwiększa przeżywalność;
2) zaleca się tylko wtedy, gdy obecne są objawy nadciśnienia płucnego (jest to warunek konieczny);
3) zaleca się gdy POChP jest w stadium ciężkim, z PaO2 ≤ 55 mmHg lub SaO2 ≤ 88%, z hiperkapnią lub bez hiperkapnii;
4) stosuje się gdy PaO2 ≤ 70 mmHg a SaO2 ≤ 93%;
5) tlenoterapię przewlekłą należy wprowadzić jak najwcześniej, już w stadium umiarkowanym.
Prawidłowa odpowiedź to:
Pytanie 109
Wskaż prawdziwe stwierdzenia odnoszące się do zaostrzeń POChP:
1) w zaostrzeniach POChP należy koniecznie stosować leki rozszerzające oskrzela w większych dawkach niż przed zaostrzeniem, oraz steroidy systemowe (np. prednizon);
2) w zaostrzeniach koniecznie należy tylko podać teofilinę i glikokortykosteroidy dożylnie;
3) nieinwazyjna wentylacja z przerywanym dodatnim ciśnieniem pozwala w ciężkich zaostrzeniach uniknąć intubacji, skraca czas hospitalizacji;
4) w każdym zaostrzeniu POChP należy zastosować antybiotyk;
5) 80% zaostrzeń POChP jest wywołanych przez bakterie.
Prawidłowa odpowiedź to:
Pytanie 110
Badanie płukania oskrzelowo-pęcherzykowego (BAL) przydatne jest w rozpoznaniu następujących chorób płuc:
1) histiocytoza X; 5) idiopatyczne włóknienie płuc;
2) proteinoza pęcherzykowa; 6) eozynofilowe zapalenie płuc;
3) krwawienie pęcherzykowe; 7) astma oskrzelowa.
4) sarkoidoza;
Prawidłowa odpowiedź to:
Pytanie 111
Wskaż współcześnie zalecane metody diagnostyczne przydatne w rozpoznaniu sarkoidozy płuc:
1) bronchofiberoskopia z BAL-em;
2) bronchofiberoskopia z biopsją igłową (TBNA) węzłów chłonnych i/lub z biopsją miąższu płuca (TBLB);
3) endoskopowa biopsja węzłów chłonnych metodą EBUS i/lub EUS;
4) mediastinoskopia;
5) tomografia komputerowa płuc wysokiej rozdzielczości i poziom wapnia we krwi.
Prawidłowa odpowiedź to:
Pytanie 112
Które leki przeciwbólowe możesz zlecić choremu na astmę aspirynową?
1) paracetamol; 4) celekoksyb;
2) indometacyna; 5) ibuprofen.
3) tramadol;
Prawidłowa odpowiedź to:
Pytanie 113
Wskaż nieprawdziwe stwierdzenia odnoszące się do stosowania w zaostrzeniach POChP glikokortykosteroidów:
1) w zaostrzeniach ciężkich należy podać doustnie prednizon w dawce 2x5 mg do 30 dni;
2) alternatywnym lekiem dla prednizonu może być budezonid w nebulizacji;
3) w zaostrzeniach nie wolno stosować wziewnych glikokortykosteroidów;
4) glikokortykosteroidy systemowe podawane do 14 dni do 40 mg/dobę korzystnie działają w zaostrzeniach;
5) systemowe glikokortykosteroidy skracają czas trwania zaostrzenia.
Prawidłowa odpowiedź to:
Pytanie 114
Wskaż prawdziwe odpowiedzi dotyczące POChP:
1) bardzo częstym czynnikiem ryzyka wystąpienia POChP jest genetycznie uwarunkowany niedobór α1-antytrypsyny;
2) POChP wynika z nieprawidłowej odpowiedzi zapalnej płuc na dym tytoniowy i inne szkodliwe zanieczyszczenia powietrza;
3) w POChP dochodzi głównie do nieodwracalnej obturacji dużych oskrzeli;
4) rozedma płuc wynika ze zwiększenia przestrzeni powietrznych położonych dystalnie do oskrzelika końcowego ze zniszczeniem ścian pęcherzyków płucnych;
5) POChP jest chorobą dotyczącą tylko układu oddechowego.
Prawidłowa odpowiedź to:
Pytanie 115
Wskaż prawdziwe odpowiedzi:
1) ciężka postać POChP rozpoznawana jest wtedy, gdy FEV1 < 30% wartości należnej;
2) w POChP test odwracalności obturacji wykonuje się z bromkiem ipratropium;
3) spirometria to podstawowe badanie w rozpoznawaniu i monitorowaniu POChP;
4) umiarkowana postać POChP rozpoznawana jest wtedy, gdy FEV1 pozostaje w granicach 30-50% wartości należnej;
5) kryterium rozpoznawania POChP to FEV1/FVC < 0,70 po inhalacji leku rozszerzającego oskrzela.
Prawidłowa odpowiedź to:
Pytanie 116
Wskaż prawdziwe odpowiedzi dotyczące POChP:
1) w stabilnej POChP charakterystycznymi objawami klinicznymi są: obfita, ropna plwocina i duża duszność ze świstami;
2) POChP rozwija się głównie u palaczy tytoniu po co najmniej 12-15 latach palenia ³ 20 papierosów dziennie;
3) charakterystyczne dla POChP są niewielkie wahania nasilenia objawów klinicznych w ciągu dnia i z dnia na dzień;
4) badanie spirometryczne nie ma żadnego znaczenia w diagnozowaniu POChP;
5) rozpoznawanie POChP ustala się na podstawie badania komputerowego klatki piersiowej.
Prawidłowa odpowiedź to:
Pytanie 117
Wskaż nieprawdziwe odpowiedzi odnoszące się do POChP:
1) bromek ipratropium należy stosować maksymalnie do 3 miesięcy, ponieważ rozwija się tolerancja na lek;
2) zaprzestanie palenia tytoniu to samodzielna metoda decydująca o zmniejszeniu spadku FEV1;
3) salbutamol w pMDI nie może być kojarzony z bromkiem ipratropium;
4) bromek ipratropium stosuje się zazwyczaj jeden raz na dobę w dawce 18 µg;
5) połączenie wziewnego glikokortykosteroidu z β2-agonistą długo działającym i bromkiem tiotropium zmniejsza ilość zaostrzeń POChP.
Prawidłowa odpowiedź to:
Pytanie 118
Wskaż prawdziwe twierdzenia dotyczące metod prowokacyjnych w diagnostyce astmy aspirynowej:
1) najbardziej wiarygodnym, tzn. złotym standardem w diagnostyce astmy aspirynowej jest doustny test prowokacyjny z aspiryną;
2) prostym, czułym i swoistym testem prowokacyjnym z aspiryną jest test donosowy z aspiryną lizynową, który można przeprowadzić w każdym gabinecie lekarskim;
3) test dooskrzelowy inhalacyjny i test donosowy mają taką samą czułość i swoistość jak test doustny;
4) doustny test prowokacyjny z aspiryną przeprowadza się przez dwa dni, przy czym w pierwszym dniu chorzy otrzymują doustne placebo;
5) dawkę aspiryny w doustnym teście prowokacyjnym zwiększa się 5-krotnie w czasie kolejnych prowokacji.
Prawidłowa odpowiedź to:
Pytanie 119
Wskaż nieprawdziwe twierdzenia dotyczące astmy aspirynowej:
1) przyjęcie przez chorego na astmę aspirynową aspiryny lub innego inhibitora COX-2 może wyzwolić duszność astmatyczną;
2) w większości u chorych na astmę aspirynową stwierdza się polimorfizm genu syntazy LTC4;
3) zwiększona ekspresja IL-5 w drogach oddechowych u chorych na astmę aspirynową koreluje z obserwowaną u tych chorych zwiększoną liczbą eozynofilów;
4) w astmie aspirynowej siła hamowania enzymu cyklooksygenazy jest taka sama dla różnych jego inhibitorów, a reakcje po aspirynie zależą od dawki zastosowanego leku;
5) u chorych na astmę aspirynową obserwuje się nadprodukcję leukotrienów cysteinylowych i zmniejszenie syntezy ochronnej prostaglandyny PGE2.
Prawidłowa odpowiedź to:
Pytanie 120



