Wyszukaj egzamin lub pytanie
Egzamin PES Choroby płuc dzieci / wiosna 2021
120 pytań
Pytanie 1
Wrodzona przepuklina przeponowa tylno-boczna (CDH) najczęściej lewostronna (75-90%), ma różną wielkość od małego ubytku do całkowitego braku przepony. Zawartość jej mogą stanowić jelita, żołądek lub śledziona. Ograniczenie w życiu płodowym przestrzeni wewnątrz klatki piersiowej prowadzi do niedorozwoju płuca. Jakie objawy badania u noworodka 4-dniowego będą pomocne w ustaleniu rozpoznania lewostronnej przepukliny tylno-bocznej? 1) sinica, duszność, tachypnoe, 2) wyciszenie szmeru oddechowego nad lewym płucem, 3) badania radiologiczne klatki piersiowej: przejaśnienia z poziomami płynu nad lewym płucem, niewidoczny zarys przepony, gorączka, 5) krztuszenie w trakcie karmienia:
Pytanie 2
Zapalenie oskrzelików to ostra infekcja przebiegająca z zaburzeniem drożności w obrębie dolnych dróg oddechowych, manifestująca się kaszlem i świszczącym oddechem. Według kryteriów amerykańskich dotyczy dzieci poniżej 2. r.ż. Przyczyną zapalenia oskrzelików w 50% przypadków jest wirus RS (zwłaszcza do 6. m.ż.). Do postawienia rozpoznania zapalenia oskrzelików niezbędne są: 1) wywiad, 2) morfologia, CRP, 3) zdjęcie przeglądowe klatki piersiowej, 4) badanie przedmiotowe, 5) wymaz z nosogardła.
Pytanie 3
Gruźlica pierwotna dotyczy niemowląt i małych dzieci. Często przebiega skąpoobjawowo. W badaniu radiologicznym manifestuje się powiększeniem węzłów chłonnych wnęk śródpiersia. U małych dzieci wiotkość i wąskość dróg oddechowych mogą prowadzić do wtórnych zaburzeń upowietrznienia, takich jak rozdęcie czy niedodma. Do jakich zmian utrwalonych może dojść w przypadku późnego rozpoznania? 1) bliznowate zwężenie oskrzeli, 2) zmiany jamisto-włókniste w szczytach płuc, 3) rozstrzenia oskrzeli, marskość segmentu lub płata, 4) zwłóknienie opłucnej.
Pytanie 4
Niemowlę 10-miesięczne badane z powodu suchego kaszlu o charakterze krztuścowym, mniejszej aktywności, braku przyrostu masy ciała. Dziecko w stanie ogólnym dobrym, z odchyleń w badaniu fizykalnym wyciszenie szmeru pęcherzykowego oraz świsty nad prawym płucem. Lewe płuco szmer pęcherzykowy prawidłowy. W wywiadzie u matki gruźlica płuc rozpoznana przed 3 miesiącami, obecnie w trakcie leczenia przeciwprątkowego. Wysunięto podejrzenie gruźlicy, zlecono badania. Które z nich mogą wyjaśnić przyczynę prawostronnego wyciszenia szmeru pęcherzykowego oraz prawostronnych świstów? 1) badania immunologiczne: OT IGRA, 2) RTG klatki piersiowej lub CT z kontrastem, 3) wymaz z gardła na florę bakteryjną z antybiogramem, 4) popłuczyny żołądkowe na rozmaz, posiew, badanie genetyczne w kierunku gruźlicy, 5) badanie bronchofiberoskopowe.
Pytanie 5
Gruźlica wrodzona występuje obecnie niezmiernie rzadko. Do jej rozwoju dochodzi wtórnie do gruźlicy układu moczowopłciowego lub gruźlicy rozsianej u matki. Kryteria rozpoznania gruźlicy wrodzonej według Cantwella obejmują wzrost Mycobacterium tuberculosis z materiału od noworodka oraz wszystkich wymienionych za wyjątkiem: 1) potwierdzonego kontaktu z osobą chorą na gruźlicę po urodzeniu, 2) objawów w pierwszym tygodniu życia, 3) zespołu pierwotnego lub ziarniniaka serowaciejącego w wątrobie noworodka, 4) gruźlicy układu moczowo-płciowego u matki lub zmian gruźliczych w łożysku, 5) podgorączkowych, braku przyrostu masy ciała u noworodka.
Pytanie 6
Bronchoskopia jest jednym z badań wykorzystywanych w diagnostyce gruźlicy płuc. Który z obrazów w endoskopii dróg oddechowych nie jest typowy dla tej jednostki chorobowej?
Pytanie 7
Wysięk w jamie opłucnej o charakterze infekcyjnym to najczęstsze powikłanie zapalenia płuc. Do zakażenia jamy opłucnej dochodzi pośrednio z sąsiadujących narządów, głównie płuc, poprzez przerwanie ciągłości tkanek lub rozsiew krwiopochodny. Stadia zaawansowania zmian w opłucnej w przebiegu zakażenia to: prosty wysięk parapneumoniczny, powikłany wysięk parapneumoniczny (PWP), ropniak opłucnej. Które z kryteriów stanowią podstawę rozpoznania PWP? 1) pH płynu < 7,2, 2) pH płynu > 7,2, 3) stężenie glukozy w płynie > 40 mg/dl, stężenie glukozy w płynie < 40 mg/dl, 5) LDH > 1000 U/I.
Pytanie 8
Dziecko o masie 14 kg z zapaleniem oskrzelików odmawia przyjmowania płynów. Dla podtrzymania jego podstawowego zapotrzebowania na wodę w ciągu doby należy mu ją podać w objętości:
Pytanie 9
Wskaż spośród wymienionych objawów klinicznych u dziecka, z najlepszą trafnością wskazuje u niego na zapalenie nagłośni (nadgłośniowe zapalenie krtani), a nie na krup (podgłośniowe zapalenie krtani):
Pytanie 10
Z perspektywy globalnej, ogólnoświatowej najczęstszą spośród wymienionych przyczyną formowania się rozstrzeni oskrzeli, która nie dotyczy przebiegu mukowiscydozy (non-CF bronchiectasis), jest:
Pytanie 11
U niemowlęcia z ostrym zapaleniem oskrzelików w obrazie klinicznym stwierdzono: duszność wydechową z towarzyszącymi świstami, nieżyt nosogardła, obustronne przekrwienie błony bębenkowej w otoskopii, wymioty w trakcie kaszlu, poziomy SpO2 w granicach 93%, w RTG klatki piersiowej zmiany zapalne miąższu płucnego oraz niedodmowo-zapalne płata górnego prawego. W takim obrazie klinicznym należy zastosować:
Pytanie 12
U noworodka stwierdzono przerwanie łuku aorty (IAA) z towarzyszącym zaburzeniem diurezy. Leczeniem z wyboru przed zabiegiem operacyjnym będzie podaż:
Pytanie 13
U dziecka podejrzewasz rozstrzenie centralne. Dla potwierdzenia podejrzenia należy wykonać:
Pytanie 14
Dziecko 3-letnie uczęszczające do żłobka, dotychczas niechorujące, ma wilgotny kaszel od 8 tygodni nasilający się po wysiłku, przez kilka dni miało nieżyt nosa. Dziecko w tym okresie nie gorączkowało, nie miało duszności, ale czasami ma zaleganie wydzieliny w drogach oddechowych (okresowo furczenia, świsty nad polami płucnymi). W ocenie rodziców jest pogodne, aktywne, ma dobry apetyt, nie ubyło na masie, oddaje uformowane stolce. Wywiad rodzinny w kierunku przewlekłych schorzeń układu oddechowego jest ujemny. U takiego pacjenta należy rozpocząć:
Pytanie 15
U chorego z przewlekłą chorobą płuc wykonywany jest test hipoksemiczny dla określenia możliwości jego podróżowania samolotem pasażerskim. W teście tym wykorzystuje się:
Pytanie 16
U niechorującego dotychczas 2,5-letniego chłopca nastąpiło bardzo gwałtowne pogorszenie stanu klinicznego (w tym wystąpienie duszności) w trakcie wirusowej infekcji górnych dróg oddechowych. W udziale zamieszczonego RTG klatki piersiowej ustal wstępne rozpoznanie i postępowanie:

Pytanie 17
Na podstawie zamieszczonych poniżej RTG klatki piersiowej oraz angio-CT należy rozpoznać:

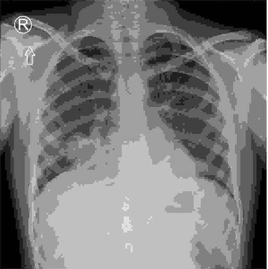
Pytanie 18
Na podstawie poniżej zamieszczonego RTG klatki piersiowej dziecka, 3-letniego, wysoko gorączkującego pomimo 2-krotnej zmiany antybiotykoterapii (dotychczas ujemne posiewy bakteriologiczne krwi), wskaż procedurę spośród wymienionych, która najtrafniej określi patogen wywołujący stan zapalny:

Pytanie 19
U dziecka w trakcie biernej tlenoterapii, wartość wskaźnika oksygenacji postacią gradientu PA-aO2 (tj. PAO2 - PaO2) będzie prawidłowa w przypadku:
Pytanie 20
Najczęstszym typem przetoki przełykowo-tchawiczej jest:
Pytanie 21
Wskaż stwierdzenie fałszywe:
Pytanie 22
Spełnienie których warunków klinicznych i mikrobiologicznych pozwala na rozpoznanie mykobakteriozy płuc według ATS/IDSA: 1) objawy ze strony układu oddechowego, guzki lub jamy na RTG klatki piersiowej bądź zmiany w TKWR, 2) dodatnie wyniki co najmniej 2 pobranych próbek plwociny, 3) dodatni wynik posiewu co najmniej 1 próbki popłuczyn oskrzelowych, 4) wykluczenie innych chorób o podobnym obrazie klinicznym, zwłaszcza gruźlicy i grzybicy płuc, 5) charakterystyczne zmiany histopatologiczne w bioptacie płuca, dodatni posiew bioptatu lub charakterystyczne zmiany histopatologiczne i dodatni posiew w jednej lub więcej próbkach plwociny lub popłuczyn oskrzelowych.
Pytanie 23
Na rozpoznanie alergicznej aspergilozy oskrzelowo-płucnej u dziecka z mukowiscydozą mogą wskazywać podane poniżej cechy, z wyjątkiem:
Pytanie 24
Które z wymienionych należą do bezwzględnych przeciwwskazań do przeszczepienia płuc? 1) poważne zaburzenia funkcji różnych narządów: np. wątroby, nerek, 2) kolonizacja układu oddechowego bakteriami Burkholderia cepacia, Mycobacterium abscessus, 3) poważne schorzenia psychiczne, 4) nieprzestrzeganie zaleceń lekarskich, 5) mechaniczna wentylacja, ECMO.
Pytanie 25
Które z poniższych twierdzeń dotyczących odczynu tuberkulinowego jest prawdziwe?
Pytanie 26
Podczas terapii lekami przeciwprątkowymi często występują objawy niepożądane. Który z poniższych objawów niepożądanych nie jest charakterystyczny dla izoniazydu?
Pytanie 27
Najczęstszym czynnikiem etiologicznym zapaleń płuc u dzieci w wieku 1-21 dni życia jest:
Pytanie 28
Wskaż fałszywe stwierdzenie dotyczące bakteryjnego zapalenia gardła lub migdałków:
Pytanie 29
Które z wymienionych poniżej kryteriów umożliwiają rozpoznanie alergicznej aspergilozy oskrzelowo-płucnej u dziecka z mukowiscydozą? 1) ostre lub podostre zaostrzenie choroby oskrzelowo-płucnej, 2) podwyższone stężenie galaktomannanu w surowicy lub w BAL, 3) całkowite stężenie IgE powyżej 1000 IU/l, 4) dodatni wynik precypityn przeciwko Aspergillus fumigatus lub obecność przeciwciał w klasie IgG przeciwko Aspergillus, 5) stwierdzenie w plwocinie lub BAL kolonii Aspergillus fumigatus, 6) dodatni wynik testu skórnego z antygenem Aspergillus lub obecność swoistych przeciwciał IgE, w badaniach obrazowych nowe zmiany w RTG lub TK klatki piersiowej.
Pytanie 30
Które z poniższych czynników zmniejszają efektywność aerozoloterapii? 1) płacz, 2) stosowanie nebulizacji za pomocą nebulizatora pneumatycznego pracy ciągłej, 3) stosowanie inhalatorów ciśnieniowych dozujących (pMDI) w połączeniu z komorą inhalacyjną o dużej objętości, 4) stosowanie nebulizacji za pomocą nebulizatora siateczkowego, 5) niedostosowanie maski do twarzy dziecka, oddalenie maski od twarzy dziecka, stosowanie inhalatorów suchego proszku, 6) wykonywanie inhalacji w czasie snu.
Pytanie 31
Najczęstszym z wymienionych poniżej czynników etiologicznych ropniaka opłucnej u dzieci są:
Pytanie 32
W przypadku zapalenia oskrzelików w badaniu ultrasonograficznym najczęściej można stwierdzić: 1) drobne, podopłucnowe obszary konsolidacji, 2) artefakty linii B mające tendencję do zlewania się, 3) zaburzenia unaczynienia w opcji colour-Doppler, 4) pojedynczy obszar konsolidacji obejmujący jeden płat, 5) liczne podopłucnowe obszary hipoechogenne z widoczną amputacją unaczynienia na szczycie zmiany.
Pytanie 33
W przypadku wczesnego nawrotu ostrego zapalenia ucha środkowego zalecane jest zastosowanie: 1) amoksycyliny z kwasem klawulanowym, 2) ceftriaksonu, 3) aksetylu cefuroksymu, 4) klindamycyny, 5) klarytromycyny.
Pytanie 34
Typowe dla pierwotnej dyskinezy rzęsek objawy wyników badań dodatkowych nie obejmują:
Pytanie 35
Rozpoznanie niedoboru α1-antytrypsyny powinno zostać potwierdzone 2 z 3 metod diagnostycznych, do których nie należy:
Pytanie 36
Typowe dla NEHI (hiperplazji komórek neuroendokrynnych wieku niemowlęcego) są:
Pytanie 37
Stadium zwątrobienia czerwonego w patomorfologicznym przebiegu bakteryjnego zapalenia płuc charakteryzuje się:
Pytanie 38
W fazie włóknikowo-ropnej wysięku parapneumonicznego:
Pytanie 39
W badaniu ultrasonograficznym klatki piersiowej artefaktami, które mogą wskazywać na obecność nacieków zapalnych w płucach, są wszystkie wymienione, za wyjątkiem:
Pytanie 40
U 4-miesięcznego niemowlęcia, w diagnostyce różnicowej świszczącego oddechu z wyraźną przewagą świstu wydechowego, wykonano badanie broncho-fiberoskopowe, w którym stwierdzono przemieszczenie tchawicy na lewo oraz surowe zwężenie prawego oskrzela. W radiogramie klatki piersiowej (AP) bez nieprawidłowości. Dane z wywiadu oraz wyniki przedstawionych badań wskazują na:
Pytanie 41
W gruźlicy leczenie wspomagające glikokortykosteroidami systemowymi stosowane jest w następujących przypadkach, z wyjątkiem:
Pytanie 42
Wskaż fałszywe stwierdzenie dotyczące zapaleń płuc u dzieci:
Pytanie 43
Wskaż fałszywe stwierdzenia dotyczące próby tuberkulinowej testów uwalniania interferonu gamma (testy IGRA) badań immunologicznych stosowanych w diagnostyce gruźlicy: 1) testy IGRA mają przewagę nad próbą tuberkulinową, gdyż badają odpowiedź immunologiczną na antygeny nie występujące w prątkach BCG, 2) testy IGRA oparte są na pomiarze wydzielania interferonu gamma i są przeznaczone do wykrywania utajonego zakażenia prątkiem gruźlicy, 3) krew do testu IGRA należy pobrać w pierwszej kolejności, nie później niż w dniu założenia próby tuberkulinowej, 4) u dzieci < 5 roku życia próbę tuberkulinową należy wykonać łącznie z testem IGRA. Ujemny wynik obu testów wyklucza utajone zakażenie prątkiem gruźlicy, 5) u dzieci < 5 roku życia, które miały kontakt z chorym na gruźlicę potwierdzoną bakteriologicznie (po wykluczeniu czynnej gruźlicy), bez względu na wynik testu IGRA i próby tuberkulinowej, należy zastosować chemioprewencję izoniazydem; do rozpoznania zakażenia prątkami gruźlicy wystarczy jeden wynik dodatni = próby tuberkulinowej lub IGRA.
Pytanie 44
W fazie kanalikowej rozwoju układu oddechowego mogą powstać wady układu oddechowego:
Pytanie 45
Wskaż fałszywe stwierdzenie dotyczące niedodmy:
Pytanie 46
Wskaż fałszywe stwierdzenie dotyczące pierwotnej dyskinezy rzęsek (PCD):
Pytanie 47
U 13-letniego chłopca hospitalizowanego w Klinice Ortopedii Dziecięcej w 3. dniu po zabiegu operacyjnym stawu biodrowego wystąpiła duszność, ból w klatce piersiowej, kaszel oraz krwioplucie. W diagnostyce różnicowej należy wziąć pod uwagę:
Pytanie 48
Zatorowość płucną u dzieci rozpoznaje się:
Pytanie 49
Wskaż prawdziwe stwierdzenie dotyczące zmian płucnych u dzieci w przebiegu zakażenia HIV:
Pytanie 50
Eozynofilię płucną podejrzewa się, gdy w przebiegu choroby układu oddechowego stwierdza się:
Pytanie 51
U 8-letniej dziewczynki z rozpoznaną astmą oskrzelową, podczas planowej wizyty kontrolnej w poradni pulmonologicznej stwierdzono 650 eozynofilów/μl obwodowej. Od ostatniej wizyty, która miała miejsce 6 miesięcy wcześniej, wystąpiła jedna infekcja górnych dróg oddechowych. Ostatnie badanie spirometryczne 2 lata temu nie wykazało odchyleń od normy dla wieku. Pacjentka przyjmuje przewlekle niską dawkę glikokortykosteroidów. Dziewczynka choruje na atopowe zapalanie skóry. W badaniach dodatkowych obserwuje się również podwyższone stężenie całkowitej IgE w surowicy krwi obwodowej (>1000 IU/ml). Aktualnie pacjentka nie zgłasza dolegliwości, nie stwierdzono odchyleń w badaniu przedmiotowym. Wskaż optymalne zalecenia: 1) planowa diagnostyka różnicowa eozynofilii, 2) podwojenie dawki glikokortykosteroidów wziewnych, 3) prednizon 1 mg/kg m.c. w związku z podejrzeniem alergicznej aspergilozy oskrzelowo-płucnej, 4) badanie czynności płuc, 5) w związku z podwyższanym ryzykiem zaostrzenia astmy edukacja pacjentki i jej opiekunów w zakresie leczenia, prewencji zaostrzeń oraz wizyty kontrolne nie rzadziej niż co 3 miesiące.
Pytanie 52
15-letni chłopiec trafia na SOR z powodu duszności nasilonego kaszlu, które wystąpiły podczas zajęć WF. Z wywiadu wiadomo, że od 6 lat choruje na astmę z towarzyszącym alergicznym nieżytem nosa z uczuleniem na alergeny roztoczy kurzu domowego. Od 2 tygodni nie przyjmuje leków, bo jak twierdzi, „nic nie dają”. W badaniu przedmiotowym cechy wzmożonego wysiłku oddechowego, obturacji oskrzeli, które uległy znacznej redukcji po nebulizacji z salbutamolu. Jaki jest najbardziej prawdopodobny obraz w USG płuc?
Pytanie 53
4-letni przedszkolak z rozpoznaną astmą badany przez pulmonologa z powodu kaszlu utrzymującego się od 2 tygodni. Kaszel ma charakter produktywny, nasila się po przebudzeniu. Towarzyszy mu jedynie katar ze śluzowo-ropną wydzieliną, ograniczeniem drożności nosa. Od 6 miesięcy otrzymuje wziewnie propionian flutykazonu 100 µg/dobę w dawkach podzielonych, od tego czasu nie wystąpił żaden epizod obturacji oskrzeli. W badaniu przedmiotowym, poza wtórnymi cechami przewlekłej niedrożności nosa, nie stwierdzono odchyleń od normy. Dotychczasowa diagnostyka w kierunku nadwrażliwości IgE-zależnej negatywna. Wskaż optymalne zalecenia: 1) podwojenie dawki flutykazonu, 2) preparat z gentamycyną i glikokortykosteroidem - podawany donosowo dwa razy dziennie oraz planowa konsultacja laryngologiczna, 3) RTG zatok oraz planowa konsultacja laryngologiczna, 4) skuteczna toaleta nosa oraz planowa konsultacja laryngologiczna, 5) lek przeciwhistaminowy.
Pytanie 54
Wskaż prawdziwe stwierdzenie dotyczące diagnostyki zapalenia płuc wywołanego przez Pneumocystis jirovecii (PCP):
Pytanie 55
Strefa wymiany gazowej rozpoczyna się od:
Pytanie 56
Przyczyną fałszywie dodatniego wyniku testu potowego mogą być: 1) nieleczona niedoczynność nadnerczy, 2) atopowe zapalenie skóry, 3) obrzęki obwodowe, 4) mukopolisacharydoza, 5) zespół Klinefeltera.
Pytanie 57
Wskazaniem do wykonania bronchoskopii u chorego na mukowiscydozę są:
Pytanie 58
Wskaż prawdziwe stwierdzenie dotyczące torbieli powietrznej:
Pytanie 59
Do objawów sugerujących rozpoznanie bakteryjnego zapalenia zatok należy:
Pytanie 60
Leczeniem z wyboru pierwszego epizodu inwazyjnej aspergilozy płuc jest:
Pytanie 61
Radiologicznym objawem zatorowości płucnej nie jest:
Pytanie 62
W obrazie NEHI nie jest charakterystycznie:
Pytanie 63
Objaw sierpu, półksiężyca Irąbka powietrznego powstaje w wyniku: 1) odsunięcia przez gaz ściany jamy od mas w jej świetle, 2) krwawienia, 3) grzybniaka, 4) pęknięcia torebki zewnętrznej torbieli pasożytniczej.
Pytanie 64
Czynniki ryzyka obturacyjnego bezdechu sennego to: 1) przerost migdałków, 2) refluks żołądkowo-przełykowy, 3) zapadanie się tkanek miękkich, otyłość, 4) anemia sierpowata.
Pytanie 65
Uznane wskazania do zastosowania glikokortykosteroidów wziewnych stanowią: 1) ostry wirusowy (podgłośniowe zapalenie krtani), 2) pozaszpitalne zapalenie płuc, 3) zapalenie oskrzelików wywołane wirusem RS, 4) astma oskrzelowa, 5) próba leczenia (tzw. „próba sterydowa”) przy podejrzeniu astmy.
Pytanie 66
Metaanaliza w bazie Cochrane z 2020 roku, dotycząca oceny bezpieczeństwa i skuteczności leków przeciwzapalnych u dzieci z obturacyjnym bezdechem sennym (OBS), wykazała, że: 1) montelukast ma istotny klinicznie wpływ na przebieg OBS, 2) zarówno stosowane donosowo glikokortykosteroidy (GKS), jak i montelukast są u tych pacjentów nieskuteczne, 3) montelukast wpływał korzystnie na wysycenie hemoglobiny tlenem (SaO2) w pulsoksymetrii, 4) leki antyleukotrienowe nie wpływają na przebieg OBS, 5) zarówno stosowane donosowo glikokortykosteroidy (GKS), jak i montelukast wpływały korzystnie na liczbę bezdechów lub spłyceń oddychania wyrażoną indeksem AHI (apnoea hypopnoea index).
Pytanie 67
U chorych z mukowiscydozą pojawienie się odmy opłucnowej: 1) wymaga leczenia w warunkach ambulatoryjnych przy pierwszym incydencie, 2) stanowi zawsze wskazanie do hospitalizacji, 3) wymaga co najmniej 24-godzinnej obserwacji szpitalnej, nawet przy małych rozmiarach odmy, 4) nie jest przeciwwskazaniem do wykonywania spirometrii czy podróży samolotem, 5) występuje u około 8% pacjentów.
Pytanie 68
Do odrębności rozwojowych układu oddechowego u dzieci nie należy:
Pytanie 69
Do przyczyn hiperkapnii nie należy:
Pytanie 70
Zgodnie z kryteriami Amerykańskiej Akademii Pediatrii, za dodatni wynik odczynu tuberkulinowego (OT) uważa się rozmiar nacieku mierzonego w miejscu wstrzyknięcia tuberkuliny, w wymiarze prostopadłym do osi długiej przedramienia: 1) każdy rozmiar, bez względu na wielkość, u dzieci z niedoborami odporności, 2) równy lub większy od 10 mm u dzieci poniżej 4. r.ż, 3) równy lub większy od 15 mm u dzieci od 4. r.ż, 4) równy lub większy od 5 mm u dzieci, które miały kontakt z chorym na gruźlicę, 5) równy lub mniejszy od 10 mm u dzieci poniżej 4. r.ż.
Pytanie 71
U noworodków z niedrożnością smółkową, wynik oznaczenia immunoreaktywnej trypsyny (IRT):
Pytanie 72
Zalecane obecnie początkowe postępowanie w przypadku przewlekającego się bakteryjnego zapalenia oskrzeli polega na:
Pytanie 73
U dzieci z kaszlem, do tzw. „czerwonych flag” będących wskazaniem do szybkiej diagnostyki i leczenia, należą: 1) nawracające infekcje górnych dróg oddechowych, 2) epizod zachłyśnięcia się lub podejrzenie aspiracji ciała obcego, 3) oddychanie przez usta, chrapanie we śnie, 4) nawracające zapalenia płuc, 5) duszność, 6) kaszel u noworodka.
Pytanie 74
Na krzywej dysocjacji oksyhemoglobiny, wartościom ciśnienia parcjalnego tlenu, poniżej których możliwe jest rozpoznanie niewydolności oddychania, odpowiada saturacja:
Pytanie 75
W prowokacji metacholinowej, łagodną nadreaktywność oskrzeli rozpoznaje się, gdy wartość PC20 (czyli wartość stężenia prowokującego, które spowodowało spadek FEV1 o 20%):
Pytanie 76
Do cech gronkowcowego zapalenia płuc u dzieci należą: 1) na radiogramach klatki piersiowej nacieki miąższowe z tendencją do tworzenia ropni, 2) nacieki z limfocytów i komórek plazmatycznych, 3) obecność wysięku opłucnowego w 80-90% przypadków, gwałtowny przebieg u dzieci poniżej 1. roku życia, 4) dodatni wynik badania na obecność 1,3-β-D-glukanu.
Pytanie 77
Wskaż prawdziwe stwierdzenie dotyczące pacjentów pediatrycznych chorych na COVID-19:
Pytanie 78
U pacjentów z mukowiscydozą, badanie genetyczne obejmujące listę 35 mutacji, których częstość występowania wśród zmutowanych alleli wynosi >0,2%, pozwala na osiągnięcie parametru wykrywalności wynoszącego:
Pytanie 79
Do kryteriów Fuchsa używanych dla rozpoznania zaostrzenia choroby oskrzelowo-płucnej w mukowiscydozie nie należy:
Pytanie 80
Spośród wymienionych stwierdzeń wskaż fałszywe dotyczące anatomicznej przestrzeni martwej:
Pytanie 81
Stężenie dwutlenku węgla w powietrzu pęcherzykowym zależy:
Pytanie 82
3-miesięczne niemowlę trafia do szpitala z powodu kaszlu, wysiłku oddechowego, trudności w karmieniu. Osłuchowo nad płucami obecna jest wydłużona faza wydechowa, świsty, furczenia. Dwa dni przed przyjęciem do szpitala dziecko prezentowało objawy nieżytu górnych dróg oddechowych. Jakie postępowanie będzie najwłaściwsze u opisywanego pacjenta? 1) antybiotykoterapia z zastosowaniem makrolidu, 2) monitorowanie saturacji, tętna, częstości oddechów oraz ilości przyjmowanych płynów, 3) tlenoterapia przy saturacji <92%, 4) podanie immunoglobulin przeciwko wirusowi RSV, 5) podanie rybawiryny.
Pytanie 83
U pięcioletniego chłopca z przewlekłym kaszlem badanie tomografią komputerową klatki piersiowej ujawniło rozstrzenia oskrzeli zlokalizowane w obu płatach dolnych oraz w płacie górnym prawym. Jakie badania diagnostyczne należy wykonać u tego dziecka? 1) oznaczyć stężenie głównych klas immunoglobulin, 2) wykonać próbę potową oraz badanie molekularne mutacji w genie CFTR, 3) oznaczyć stężenie alfa-1 antytrypsyny, oznaczyć stężenie tlenku azotu w powietrzu aspirowanym z nosa, 4) zmierzyć saturację.
Pytanie 84
Do specjalisty chorób płuc dzieci trafia 7-letnia dziewczynka z powodu przewlekłego wilgotnego kaszlu: Od wczesnego okresu niemowlęcego dziecko prezentuje nieżyt nosa. W wywiadzie przebyła kilka epizodów zapalenia ucha środkowego, pozostaje pod opieką audiologa z powodu niedosłuchu. W zdjęciu radiologicznym klatki piersiowej uwidoczniono dekstrokardię. Jakie badania diagnostyczne należy wykonać u tej dziewczynki? 1) spirometrię, 2) pomiar stężenia tlenku azotu w powietrzu aspirowanym z nosa, 3) ocenę ruchliwości rzęsek, 4) badanie ultrastruktury rzęsek w mikroskopie elektronowym, 5) posiew plwociny.
Pytanie 85
Które z poniższych stwierdzeń dotyczących objawów płucnych w przebiegu niedoborów odporności u dzieci są prawdziwe? 1) Objawy płucne często stanowią pierwszy objaw pierwotnych niedoborów odporności u dzieci. 2) W przebiegu pospolitego zmiennego niedoboru odporności (CVID) sporadycznie dochodzi do powstania rozstrzeni oskrzeli. 3) Izolowany niedobór IgA leczony jest przetoczeniami immunoglobulin. 4) Cechą charakterystyczną ziarniniakowo-limfocytarnej śródmiąższowej choroby płuc są restrykcyjne zaburzenia oddychania z niskimi wartościami DLCO. 5) W zespole DiGeorge'a z brakiem grasicy obserwuje się zwiększoną podatność na zakażenia Pneumocystis jiroveci.
Pytanie 86
U wielu pacjentów z chorobami nerwowo-mięśniowymi dochodzi do niewydolności oddychania. Po wystąpieniu pierwszych jej objawów u chorych należy zastosować nieinwazyjną wentylację. Wskazania do wentylacji nieinwazyjnej obejmują: 1) objawy kliniczne takie jak duszność podczas mówienia, 2) osłabienie odruchu kaszlowego, 3) pojedyncze epizody desaturacji w nocy < 95%, 4) PaCO2 245 mmHg, 5) epizody desaturacji w nocy < 89% utrzymujące się co najmniej 5 minut.
Pytanie 87
16-letni pacjent chory na dystrofię mięśniową Duchenne'a, pozostający pod opieką specjalisty chorób płuc dzieci podczas wizyty kontrolnej zgłasza poranne bóle głowy, zaburzenia koncentracji, senność w ciągu dnia. Skarży się też na utratę apetytu. W badaniu przedmiotowym widoczne jest wciąganie przyczepów przepony, chłopak oddycha z częstością 34 oddechów na minutę, a tętno wynosi 140/minutę. Jakie jest właściwe postępowanie u tego pacjenta? 1) należy wyznaczyć termin wizyty kontrolnej za 12 miesięcy, bo podobne dolegliwości są charakterystyczne dla chorób nerwowo-mięśniowych, 2) należy wykonać gazometrię krwi tętniczej i spirometrię, 3) chłopiec wymaga pilnej kwalifikacji do nieinwazyjnej wentylacji, 4) należy poszukiwać przyczyn wystąpienia niewydolności oddechowej, 5) należy zalecić badanie polisomnograficzne i uzależnić dalszy sposób postępowania od jego wyniku.
Pytanie 88
Do czynników wyzwalających zaostrzenia astmy u dzieci należą: 1) zakażenie rynowirusem, 2) eozynofilia plwociny, 3) spożywanie siarczynów zawartych w suszonych owocach, zmiany pogody, 4) zwiększenie stężenia tlenku azotu w powietrzu wydychanym.
Pytanie 89
Wskaż prawdziwe stwierdzenie dotyczące świstu charakterystycznego dla wiotkości tchawicy i oskrzeli:
Pytanie 90
13-latek chorujący na astmę przychodzi na wizytę kontrolną do Poradni Chorób Płuc. Podaje, że budzi się w nocy kilka razy w tygodniu z powodu trudności w oddychaniu i musiał zrezygnować z treningów tenisa, ponieważ kaszel utrudniał mu grę. Chłopiec jest uczulony na sierść psa. Chłopiec otrzymuje doraźnie preparat zawierający wGKS w małej dawce i formoterol. Jakie postępowanie będzie najwłaściwsze u tego pacjenta? 1) uspokojenie pacjenta i rodziców, kaszel stanowi jeden z objawów astmy, chorzy często muszą z jego powodu ograniczyć wysiłek fizyczny, 2) zalecenie regularnego stosowania wGKS w małej dawce, 3) zalecenie regularnego stosowania wGKS w małej dawce + LABA i doraźnie SABA, 4) zalecenie regularnego oraz doraźnego stosowania preparatu zawierającego wGKS w małej dawce i formoterol, 5) można rozważyć immunoterapię podjęzykową.
Pytanie 91
Do niepożądanych działań tlenoterapii stosowanej w niewydolności oddychania należą: 1) retinopatia, 2) nadprodukcja śluzu, 3) hipowentylacja, 4) drgawki, 5) skurcz naczyń.
Pytanie 92
Ryzyko wystąpienia zespołu zaburzeń oddychania noworodków zwiększa się w przypadku:
Pytanie 93
Kaszel występujący u dziecka pozostającego w pozycji poziomej jest charakterystyczny dla: 1) refluksu żołądkowo-przełykowego, 2) kaszlu nawykowego, 3) zaburzeń równowagi, 4) kaszlu spływnego, 5) mukowiscydozy.
Pytanie 94
Wskaż prawdziwe stwierdzenia dotyczące zapalenia płuc o etiologii Mycoplasma pneumoniae u dzieci: 1) w antybiotykoterapii stosuje się leki makrolidowe, 2) z uwagi na działania niepożądane nie stosuje się fluorochinolonów ani tetracyklin, 3) po zakończeniu leczenia antybiotykami w 1/5 przypadków może dojść do kolonizacji układu oddechowego, w około 50% przypadków występują objawy pozapłucne, 5) zmiany skórne ustępują po zastosowaniu antybiotyku.
Pytanie 95
Stosując tlenoterapię w niewydolności oddechowej, najwyższe stężenie dostarczanego tlenu można osiągnąć stosując:
Pytanie 96
Cukrzyca związana z mukowiscydozą (cystic fibrosis related diabetes, CFRD) jest jednym z najczęstszych powikłań tej choroby. Leczenie CFRD polega na:
Pytanie 97
Do kryteriów Fuchsa zaostrzenia choroby oskrzelowo-płucnej w mukowiscydozie zalicza się wszystkie wymienione, z wyjątkiem:
Pytanie 98
Zakażenie dróg oddechowych o etiologii Pseudomonas aeruginosa jest bardzo częstym problemem u pacjentów z mukowiscydozą: Wskaż antybiotyk, który nie może być stosowany wziewnie w infekcji tym patogenem:
Pytanie 99
Do typowych zaburzeń towarzyszących alkalozie metabolicznej w przebiegu mukowiscydozy należą:
Pytanie 100
Czynnikiem ryzyka przyspieszonego spadku FEV1 w mukowiscydozie nie jest:
Pytanie 101
Kiedy standardowo pobierana jest krew u zdrowego noworodka na badanie przesiewowe w kierunku mukowiscydozy?
Pytanie 102
Mała dawka budezonidu w nebulizacji wg GINA 2020 to:
Pytanie 103
Który lek wykorzystuje się w leczeniu biologicznym (program lekowy NFZ) u dzieci z ciężką astmą oskrzelową?
Pytanie 104
Wskaż fałszywe stwierdzenie dotyczące alergicznej aspergilozy oskrzelowo-płucnej (ABPA):
Pytanie 105
Śródmiąższową chorobą u dzieci (chIID), której rozpoznanie można postawić na podstawie obrazu klinicznego charakterystycznych zmian w HRCT, jest:
Pytanie 106
Wskaż fałszywe stwierdzenie dotyczące pierwotnej dyskinezy rzęsek (PCD):
Pytanie 107
Do chorób przebiegających z zaburzeniem produkcji surfaktantu należą: 1) niedobór białka transportowego ABCA3, 2) niedobór czynnika transkrypcyjnego TTF1, 3) niedobór wynikający z mutacji genu SFTBP, 4) zaburzenia wynikające z mutacji w obrębie chromosomu 16 w regionie FOXFI, 5) niedobór wynikający z mutacji genu SFTCP.
Pytanie 108
Wskazaniem do wykonania kontrolnego RTG klatki piersiowej po zakończeniu leczenia zapalenia płuc nie jest:
Pytanie 109
Tuberkuloidy to:
Pytanie 110
Ziarniniakowo-limfocytarna śródmiąższowa choroba płuc (GLIID) występuje w przebiegu:
Pytanie 111
W leczeniu zapalenia płuc o etiologii Legionella pneumophila nie należy stosować:
Pytanie 112
Stosowaniu maski twarzowej z przepływem tlenu 3-4 l/min uzyskuje się stężenie tlenu w mieszance oddechowej:
Pytanie 113
Wskaż prawdziwe stwierdzenie dotyczące zespołu pyłkowopokarmowego:
Pytanie 114
Wskaż prawdziwe stwierdzenie dotyczące zatorowości płucnej (ZP):
Pytanie 115
Dzieci zakażone HIV są szczególnie podatne na choroby płuc, a ciężkie zapalenie płuc jest najczęstszą przyczyną śmierci. Wskaż prawdziwe stwierdzenia dotyczące chorób płuc w tej grupie pacjentów: 1) najczęstszą przyczyną bakteryjnego zapalenia płuc jest Streptococcus pneumoniae, 2) Pneumocystis jiroveci jest najczęstszym patogenem oddechowym u dzieci, u których rozwinął się zespół niedoboru odporności, 3) najczęstszym obrazem klinicznym gruźlicy u dzieci zakażonych HIV jest gruźlica prosówkowa, 4) szczepienia przeciw odrze, śwince i ospie powinny być realizowane u dzieci zakażonych HIV, ponieważ wirusowe zapalenia płuc o tej etiologii wiążą się z poważnym rokowaniem w tej grupie pacjentów, 5) profilaktyka zakażenia Pneumocystis jiroveci powinna być wdrożona u dzieci, u których liczba limfocytów CD4 obniżyła się do 200/mm3.
Pytanie 116
Wskaż prawdziwe stwierdzenie dotyczące paliwizumabu: 1) podawanie go wcześniakom jest metodą uodpornienia czynnego przeciw wirusowi RS, 2) jest kompleksem przeciwciał anty-RSV uzyskiwanych z osocza, 3) do uzyskania pełnej ochrony wystarczające jest jednorazowe podanie leku w iniekcji domięśniowej, 4) bezpłatnym programem lekowym Ministerstwa Zdrowia objęte są niemowlęta z istotnymi hemodynamicznie wadami wrodzonymi serca, 5) bezpłatnym programem lekowym Ministerstwa Zdrowia objęte są wszystkie niemowlęta z dysplazją oskrzelowo-płucną.
Pytanie 117
Wskaż prawdziwe stwierdzenia dotyczące diagnostyki ultrasonograficznej odmy opłucnowej: 1) USG cechuje się dużą swoistością i czułością w rozpoznawaniu odmy opłucnowej, przewyższając konwencjonalne RTG klatki piersiowej, 2) podstawowym zjawiskiem nasuwającym podejrzenie odmy opłucnowej jest brak objawu ślizgania, 3) uwidocznienie punktu, w którym pojawia się objaw ślizgania tzw. lung, jest 100% swoistym objawem dla odmy opłucnowej, 4) potwierdzenie braku objawu ślizgania w projekcji M jest obrazem 'brzegu morskiego', 5) w przypadku odmy uzyskuje się obraz artefaktów linii A, liczba linii B nie powinna przekraczać trzech w jednej przestrzeni międzyżebrowej.
Pytanie 118
Wskaż prawdziwe stwierdzenie dotyczące patogenezy leczenia zespołu zaburzeń oddychania (ZZO):
Pytanie 119
Wskaż prawdziwe stwierdzenia dotyczące leczenia mukowiscydozy: 1) w przewlekłym leczeniu mukowiscydozy stosuje się azytromycynę, wykorzystując jej działanie przeciwzapalne zmniejszające adhezję Pseudomonas aeruginosa do nabłonka dróg oddechowych, 2) glikokortykoidy systemowe działają korzystnie na funkcję płuc w mukowiscydozie, ale z powodu ich działań niepożądanych, stosowanie ograniczone jest do przypadków ABPA i stadiów zaawansowanej choroby oskrzelowo-płucnej, 3) w przebiegu infekcji antybiotykoterapia powinna być stosowana w wysokich dawkach krótko, gdyż zapobiega to przewlekłej kolonizacji patogenną florą bakteryjną, 4) leczeniem z wyboru pierwszorazowego zakażenia Pseudomonas aeruginosa u dzieci poniżej 6. roku życia jest tobramycyna w roztworze do nebulizacji, 5) rzekomy zespół Barttera jest powikłaniem spowodowanym przedawkowaniem chlorku sodu w diecie.
Pytanie 120



