Wyszukaj egzamin lub pytanie
Egzamin PES Choroby płuc dzieci / wiosna 2020
120 pytań
Pytanie 1
Wskaż prawdziwe stwierdzenia dotyczące znaczenia pomiaru FENO w powietrzu wydychanym: 1) pozwala wykluczyć rozpoznanie astmy; 2) pozwala potwierdzić rozpoznanie astmy; 3) jest przydatne w monitorowaniu leczenia chorych na astmę; 4) służy do oceny zapalenia eozynofilowego w drogach oddechowych; 5) wynik > 35 ppb u dzieci uważa się za wartość podwyższoną. Prawidłowa odpowiedź to:
Pytanie 2
W planowaniu postępowania u dzieci z rozpoznaniem wrodzonej torbielowatości gruczołowej płuc należy uwzględnić ryzyko takich powikłań jak: 1) odma opłucnej; 2) krwawienie; 3) zakażenie; 4) rozstrzenia oskrzeli; 5) transformacja nowotworowa. Prawidłowa odpowiedź to:
Pytanie 3
Odczyn tuberkulinowy może być fałszywie ujemny w takich sytuacjach jak: 1) wiek poniżej 6. mies. życia; 2) leczenie lekami przeciwhistaminowymi; 3) szczepienie żywą szczepionką (ospa, odra, świnka, różyczka) w okresie 6 tygodni przed wykonaniem odczynu tuberkulinowego; 4) mononukleoza zakaźna; 5) niewyrównana cukrzyca. Prawidłowa odpowiedź to:
Pytanie 4
U noworodka po kontakcie z krztuścem zaleca się:
Pytanie 5
Wskaż kryterium dodatniego wyniku punktowego testu skórnego w diagnostyce alergologicznej:
Pytanie 6
U 7. letniej pacjentki, chorującej na nawracające zapalenia oskrzeli i płuc w czasie kolejnej infekcji wysunięto podejrzenie zakażenia Mycoplasma pneumoniae. W siódmej dobie choroby, podczas leczenia klarytromycyną oznaczono swoiste przeciwciała przeciwko patogenowi. Uzyskano ujemny wynik. Które z poniższych interpretacji sytuacji są poprawne? 1) badanie wyklucza zakażenie Mycoplasma pneumoniae; 2) stosowanie klarytromycyny jest przyczyną wyniku fałszywie ujemnego; 3) oznaczenie w 7. dobie może być zbyt wczesne i nie ujawnić wzrostu przeciwciał, który nastąpi w okresie późniejszym; 4) dziecko może mieć nierozpoznany dotąd defekt syntezy przeciwciał i ba- danie serologiczne nie może być podstawą wykluczenia rozpoznania; 5) kolejne zakażenie może przebiegać bez wzrostu stężenia IgM. Prawidłowa odpowiedź to:
Pytanie 7
4-miesięczne niemowlę prezentuje trudności w karmieniu, tachypnoe. Na przeglądowym zdjęciu klatki piersiowej stwierdzono po stronie lewej, w okolicy płata dolnego trójkątne zacienienie. Powyższy obraz może sugerować:
Pytanie 8
U 2-letniego dziecka z nawrotową obturacją oskrzeli prawdopodobieństwo rozpoznania astmy zwiększa się w przypadkach stwierdzenia: 1) co najmniej 3 nawrotów w ciągu roku; 2) przewlekania się objawów przez okres ponad 10 dni w czasie infekcji; 3) współistnienia objawów atopowego zapalenia skóry u dziecka; 4) nadmiernego upowietrznienia płuc w obrazie RTG; 5) zakażenia wirusem RS. Prawidłowa odpowiedź to:
Pytanie 9
Które leki mogą modyfikować odpowiedź immunologiczną w punktowych testach skórnych i dlatego powinny być odstawione przed ich wykonaniem? 1) leki przeciwhistaminowe; 2) wziewne glikokortykosteroidy; 3) montelukast; 4) długo działający beta2-agoniści; 5) krótko działający beta2-agoniści. Prawidłowa odpowiedź to:
Pytanie 10
Zespół Mounier-Kuhna jest to:
Pytanie 11
Wstrząs anafilaktyczny u dzieci charakteryzuje:
Pytanie 12
Pierwotna dyskineza rzęsek jest chorobą:
Pytanie 13
Przewlekające się bakteryjne zapalenie oskrzeli:
Pytanie 14
Niewydolność oddychania jest stanem, w którym płuca nie zapewniają wymiany gazowej zaspakajającej potrzeby organizmu. W tym stanie dochodzi do zaburzeń stężeń parcjalnych gazów we krwi zdefiniowanych jako:
Pytanie 15
Obecność w rtg klatki piersiowej nacieków pęcherzykowych o zmiennej lokalizacji (zwiewnych) pomiędzy 9. -12. dniem od zakażenia, trwających od kilku dni do kliku tygodni, a także zmiany skórne i objawy z przewodu pokarmowego są charakterystyczne dla zakażenia:
Pytanie 16
Wskaż prawdziwe stwierdzenia dotyczące przetoki przełykowo-tchawiczej: 1) w 80% współistnieje z innymi wadami, np. serca, kości, układu moczowego, układu pokarmowego; 2) najczęstszą postacią jest przetoka bez atrezji górnego odcinka przełyku; 3) wymaga interwencji chirurgicznej; 4) postać z atrezją górnego odcinka przewodu pokarmowego jest stanem zagrożenia życia; 5) w okresie prenatalnym w części przypadków u matki można stwierdzić wielowodzie. Prawidłowa odpowiedź to:
Pytanie 17
Wielodyscyplinarny zespół perinatologiczny ocenia ciężarną w 32. tyg. ciąży. U płodu płci żeńskiej zdiagnozowano lewostronną wrodzoną przepuklinę przeponową. Na podstawie badań obrazowych wyznaczono stosunek obwodu płuc do obwodu głowy (lung-to-deah-ratio: LHR) 70% oraz stwierdzono prawidło- we (wewnątrzbrzuszne) położenie wątroby. Przeprowadzono szeroką diagnostykę, wykluczając inne wady wrodzone i zespoły chorobowe. Poza tym ciąża przebiega prawidłowo. Wielodyscyplinarny zespół ma ustalić optymalny czas przeprowadzenia operacji chirurgicznej. Jakie jest preferowane postępowanie w tym przypadku?
Pytanie 18
Działaniami niepożądanymi leczenia dużymi stężeniami tlenu nie są: 1) niedodma obturacyjna; 2) niedodma absorpcyjna; 3) hiperkapnia; 4) hipokapnia; 5) zapalenie tchawicy i oskrzeli. Prawidłowa odpowiedź to:
Pytanie 19
Wskaż fałszywe stwierdzenie dotyczące domowej wentylacji mechanicznej u dzieci:
Pytanie 20
Azoospermia, przewlekłe zapalenie zatok przynosowych i rozstrzenie to cechy zespołu:
Pytanie 21
U chorych z mukowiscydozą w pierwszych latach życia najczęściej izolowanym patogenem z dróg oddechowych jest:
Pytanie 22
Lekiem pierwszego rzutu w leczeniu zapalenia oskrzeli o etiologii Aspergillus fumigatus jest:
Pytanie 23
Celem uniknięcia transmisji patogenów drogą kropelkową oraz bezpośredniego kontaktu zaleca się pacjentom z mukowiscydozą pozostawanie w odległości nie mniejszej niż:
Pytanie 24
W całkowitej niewydolności oddechowej (hipoksemiczno-hiperkapnicznej) u chorego na mukowiscydozę właściwym leczeniem jest:
Pytanie 25
Badanie wypłukiwania gazu metodą wielokrotnych oddechów (multiple breath washout - MBW): 1) ocenia stopień niejednorodności wentylacji obwodowych dróg oddechowych; 2) ocenia stopień niejednorodności wentylacji centralnych dróg oddechowych; 3) wymaga bardzo dobrej współpracy z pacjentem, dlatego nie jest wykonywane u dzieci w wieku przedszkolnym; 4) wykorzystywane jest do wykrywania wczesnych zmian w układzie oddechowym u chorych na mukowiscydozę; 5) wykonywane jest u chorych na mukowiscydozę z zaawansowaną chorobą płuc. Prawidłowa odpowiedź to:
Pytanie 26
Do kryteriów rozpoznania mykobakteriozy płuc wg ATS/IDSA (American Thoracic Society/Infectious Disease Society of America) u chorego na mukowiscydozę należą wszystkie wymienione, z wyjątkiem:
Pytanie 27
Wskaż prawdziwe stwierdzenie dotyczące gruźliczego zapalenia opłucnej:
Pytanie 28
Do czynników ryzyka zachorowania na gruźlicę po zakażeniu M. tuberculosis nie należy:
Pytanie 29
Gruźlica MDR (multi drug resistant) to gruźlica wywołana przez prątki oporne na:
Pytanie 30
Chłopiec 2-letni spędził wakacje u babci, u której 2 tygodnie później rozpoznano gruźlicę płuc z dodatnim rozmazem plwociny. W dniu zgłoszenia się dziecka do lekarza minęło 6 tygodni od ostatniego kontaktu z babcią. Obecnie chłopiec czuje się dobrze i nie ma żadnych objawów choroby. W związku z tym w pierwszej kolejności należy:
Pytanie 31
U dziecka diagnozowanego z powodu przewlekłych zmian zapalnych w płucach stwierdzono prątki kwasooporne w preparacie plwociny barwionym metodą Ziehla-Neelsena. Wynik badania:
Pytanie 32
Wskaż prawdziwe stwierdzenie dotyczące testu IGRA:
Pytanie 33
Do radiologicznych objawów niedodmy należą: 1) przemieszczenie szczelin płucnych; 2) wyższe ustawienie przepony; 3) przesunięcie śródpiersia w stronę niedodmy; 4) zmniejszenie objętości płuca. Prawidłowa odpowiedź to:
Pytanie 34
Dziewczynka 9-letnia dotychczas zdrowa została przyjęta do szpitala z powodu pogorszenia stanu ogólnego w przebiegu zapalenia płuc leczonego od 10 dni ambulatoryjnie bez poprawy amoksycyliną z kwasem klawulanowym i klarytro- mycyną. W RTG klatki piersiowej obecne są obustronne masywne, centralnie zlo- kalizowane zacienienia o typie wypełnienia pęcherzyków. W badaniach dodatko- wych zwraca uwagę znaczna anemizacja (Hgb 5 g/dl). W diagnostyce różnicowej opisywanych objawów należy wykonać: 1) ANA, ANCA, badania w kierunku alergii na białka mleka krowiego; 2) badania w kierunku zespołu antyfosfolipidowego i ocenę układu krzepnięcia; 3) precypityny w kierunku choroby hodowców gołębi; 4) IgG przeciw Aspergillus fumigatus; 5) ECHO serca; 6) badania w kierunku celiakii. Prawidłowa odpowiedź to:
Pytanie 35
U 10-latka z astmą, aktualnie dobrze kontrolowaną, przewlekłym alergicz- nym zapaleniem zatok i eozynofilią 11-15% (w powtarzanych badaniach) w wyko- nanym planowym RTG klatki piersiowej stwierdzono nacieki zapalne w płucach. Pacjent nie prezentował żadnych objawów klinicznych infekcji, ani cech zapalenia płuc. Zgłaszał natomiast silne bóle brzucha i osłabienie. Zespół objawów pozwala rozpoznać:
Pytanie 36
Odczyn tuberkulinowy jest przydatny w diagnostyce gruźlicy, ale cechują go następujące ograniczenia:
Pytanie 37
Wskaż fałszywe stwierdzenie dotyczące szczepienia BCG:
Pytanie 38
Wskaż prawdziwe stwierdzenie dotyczące zajęcia układu oddechowego w przebiegu nieswoistych zapaleń jelit (NZJ):
Pytanie 39
U 12-letniej dziewczynki z ostrą niewydolnością oddechową rozpoznano masywne krwawienie pęcherzykowe. W badaniach dodatkowych poza znaczącą anemizacją stwierdzono ponadto: podwyższone stężenie kreatyniny (6 g/dl), białkomocz i erytrocyturię, wysoko dodatnie c-ANCA. Metodą ELISA potwierdzono wysokie stężenie przeciwciał przeciwko proteinazie 3. W leczeniu należy zastosować: 1) doustnie prednizon 0,75 mg/kg masy ciała; 2) doustnie azatioprynę 2 mg/kg masy ciała; 3) doustnie mykofenolan mofetylu 600 mg/m2; 4) dożylnie klarytromycynę 15 mg/kg masy ciała; 5) dożylnie puls z cyklofosfamidu; 6) dożylnie puls z metylprednizolonu. Prawidłowa odpowiedź to:
Pytanie 40
Wskaż prawdziwe stwierdzenie dotyczące czynnościowej pojemności zalegającej FRC:
Pytanie 41
Pacjent 15-letni skierowany do leczenia szpitalnego z powodu narastają- cego od około 6 tygodni kaszlu, osłabienia, stanów podgorączkowych. Leczony ambulatoryjnie bez poprawy. W wywiadzie kontakt domowy z osobą chorą na gruźlicę (BK+). OT Rt23 z 2 j - 18 mm. W RTG klatki piersiowej zmiany zapalne w polu środkowym płuca prawego, 3 drobne zmiany guzkowe; drobne zwapnienia w węzłach chłonnych wnęki prawej; płyn w prawej jamie opłucnowej. Badanie bezpośrednie z bronchoaspiratu oraz badanie PCR w kierunku M. tuberculosis dodatnie. Wskaż właściwy dobór schematu leczenia:
Pytanie 42
Podczas kwalifikacji do szczepienia przeciwko gruźlicy dzieci starszych, nieszczepionych BCG w ramach szczepień obowiązkowych, szczególnie istotny jest wywiad chorobowy. Na podstawie danych z wywiadu, w których z opisanych niżej sytuacji, szczepienie BCG nie powinno być zrealizowane? 1) 13-letni chłopiec do tej pory mieszkający w Wielkiej Brytanii. W wieku 10 lat rozpoznano chorobę Crohna: przed leczeniem immunosupresyjnym (m.in.: glikokortykosteroidami systemowymi), wykonano badania: OT - 0 mm, Quantiferon TbGold - ujemny. Obecnie, od prawie 2 lat w okresie remisji, pozostaje na leczeniu żywieniowym; 2) 2-letni chłopiec, urodzony z CI, PI, poród CC przedwczesny w 30hbd, z masą urodzeniową 1980g, po chirurgicznym zabiegu zamknięcia przetrwałego przewodu tętniczego w okresie noworodkowym; 3) 16-letni chłopiec, po chirurgicznym zabiegu z powodu ostrego zapalenia wyrostka robaczkowego 7 miesięcy wcześniej; 4) 12-letni chłopiec, w 7. r.ż. przez 6 m-cy otrzymywał izoniazyd, z powodu dodatniego OT; zalecenia po badaniach całej klasy w szkole, prawdopodobnie wychowawczyni klasy zachorowała na gruźlicę; 5) 10-letni chłopiec z pospolitym zmiennym niedoborem odporności o łagodnym przebiegu. Prawidłowa odpowiedź to:
Pytanie 43
Wskaż zdanie fałszywe dotyczące stosowania leków przeciwprątkowych u dzieci:
Pytanie 44
W przypadku prawidłowego przebiegu gojenia po szczepieniu BCG obser- wuje się typowe zmiany w tkankach miękkich i ipsilateralnych węzłach chłonnych. Którą z opisanych sytuacji klinicznych należy zakwalifikować jako NOP?
Pytanie 45
'Wada wrodzona, w której dochodzi do nieprawidłowego rozwoju części miąższu płuca podczas jego różnicowania się z prajelita. Obszar ten nie bierze udziału w wymianie gazowej. Unaczynienie tętnicze pochodzi z krążenia systemo- wego, a spływ żylny odbywa się poprzez żyły płucne (95%). Objawy pod postacią nawrotowych infekcji dolnych dróg oddechowych, najczęściej występują > 2. r.ż., Wada występuje z równą częstością u chłopców i u dziewczynek'. Opis dotyczy:
Pytanie 46
6-miesięczne niemowlę z kaszlem, świstem wdechowym, zaburzeniami połykania, obserwowanymi od urodzenia, bez poprawy po leczeniu GKSw. W RTG klatki piersiowej bez nieprawidłowości. W bronchofiberoskopii - widoczne obustronne, pulsujące zwężenie tchawicy. Na podstawie danych z wywiadu i wyników badań, właściwym rozpoznaniem jest:
Pytanie 47
Wskaż fałszywe stwierdzenia dotyczące oceny mikroskopowej barwienia rozmazu plwociny albo popłuczyn żołądkowych (bakterioskopia AFB) w diagnostyce gruźlicy płuc u dzieci, 1) z wynikiem dodatnim - jednoznacznie potwierdza zakażenie prątkiem Mycobacterium tuberculosis; 2) wykonywana jest metodą Lowensteina-Jensena; 3) pozwala na otrzymanie wyniku po 1-2 dobach; 4) ze względu na trudności z uzyskaniem materiału, u dzieci < 5. r.ż. zaleca się jej jednorazowe wykonanie; 5) umożliwia wykrycie 50 prątków w 1 ml materiału. Prawidłowa odpowiedź to:
Pytanie 48
Ryzyko rozwoju gruźlicy węzłów chłonnych i śródpiersia u dzieci bez zaburzeń odporności zależy między innymi od wieku dziecka. U dzieci poniżej pierwszego roku życia ryzyko to wynosi około:
Pytanie 49
Na podstawie przeprowadzonej diagnostyki można ustalić rozpoznanie gruźlicy jako pewne, prawdopodobne lub możliwe. Jakie kryteria muszą być spełnione, aby rozpoznać gruźlicę możliwą? 1) objawy kliniczne odpowiadające gruźlicy; 2) dodatni wynik badania bakterioskopowego; 3) wykrycie DNA/RNA prątków; 4) obecność ziarniniaków w badaniu histopatologicznym; 5) wyhodowanie prątków gruźlicy. Prawidłowa odpowiedź to:
Pytanie 50
Gruźlica jest chorobą zakaźną wywołaną przez prątki z grupy Mycobacterium tuberculosis. W zależności od lokalizacji wyróżnia się gruźlicę płuc i gruźlicę pozapłucną. Zgodnie z wytycznymi WHO do gruźlicy płuc należy: 1) gruźlica krtani; 2) gruźlica miąższu płuc; 3) gruźlica węzłów chłonnych śródpiersia; 4) obustronne gruźlicze zapalenie opłucnej; 5) gruźlica oskrzeli. Prawidłowa odpowiedź to:
Pytanie 51
U dziecka z nawracającymi epizodami obturacji dróg oddechowych w bronchoskopii uwidoczniono pulsujące zwężenie tchawicy. W diagnostyce różnicowej opisywanych objawów należy rozważyć: 1) prawostronny łuk aorty; 2) podwójny łuk aorty; 3) refluks żołądkowo-przełykowy; 4) nieprawidłowe odejście pnia ramienno-głowowego; 5) oskrzele tchawicze. Prawidłowa odpowiedź to:
Pytanie 52
U 12-letniego chłopca z nawracającymi epizodami krwioplucia i upośle- dzoną tolerancją wysiłku w wywiadzie, w badaniu przedmiotowym zwraca uwagę sinica, liczne teleangiektazje na skórze całego ciała i palce pałeczkowate. W badaniu gazometrycznym stwierdzono hipoksemię, która nie ustępuje pomimo tlenoterapii oraz normokapnię, a w morfologii krwi policytemię. W RTG klatki piersiowej uwidoczniono zacienienia miąższowe. Najbardziej prawdopodobnym rozpoznaniem u opisywanego pacjenta jest:
Pytanie 53
Do lekarza trafia 3-miesięczne niemowlę z powodu nasilonego kaszlu, świszczącego oddechu oraz trudności w karmieniu. Rodzice podają nieżyt gór- nych dróg oddechowych u starszego brata, który uczęszcza do przedszkola. W badaniu przedmiotowym zwraca uwagę częstość oddechów 80/minutę, porusza- nie skrzydełkami nosa, a osłuchowo świsty i wydłużona faza wydechowa. Jakie będzie właściwe postępowanie u opisanego pacjenta?
Pytanie 54
W leczeniu przewlekłym astmy u 3-letniego dziecka można zastosować następujące leki: 1) lek antyleukotrienowy; 2) wziewne glikokortykosteroidy; 3) wziewne beta2-mimetyki długo działające; 4) przeciwciała anty-IgE; 5) metyloksantyny. Prawidłowa odpowiedź to:
Pytanie 55
W diagnostyce zakażeń układu oddechowego o etiologii Mycoplasma pneumoniae wykorzystywane są badania serologiczne i molekularne. Wskaż prawdziwe stwierdzenie dotyczące tych badań diagnostycznych:
Pytanie 56
Do kryteriów rozpoznawania astmy oskrzelowej u dzieci należy udoku- mentowanie zmienności przepływu powietrza w drogach oddechowych. Badaniem, które potwierdzi ten warunek jest 1) wzrost wartości FEV1 o > 12% wartości należnej po podaniu krótko działającego leku rozszerzającego oskrzela; 2) zmienność wartości FEV1 podczas kolejnych wizyt; 3) obniżenie wartości FEV1 o >12% wartości należnej po prowokacji wysiłkiem; 4) obniżenie wartości FEV1 o 10% wartości należnej po prowokacji wysiłkiem; 5) istotna poprawa FEV1 po 4 tygodniach leczenia przeciwzapalnego. Prawidłowa odpowiedź to:
Pytanie 57
Do specjalisty chorób płuc dzieci trafia pięcioletni chłopiec z powodu nawracających zapaleń oskrzeli i przewlekłego kaszlu. W wywiadzie prezentuje nawracające zapalenia zatok obocznych nosa, wysiękowe zapalenia uszu oraz nieżyt nosa obecny od pierwszych dni życia. W okresie noworodkowym wymagał tlenoterapii z powodu zaburzeń oddychania. W ramach badań diagnostycznych oznaczono stężenie tlenku azotu w powietrzu aspirowanym z nosa, którego wynik był znacznie poniżej normy. Wykonano również KT klatki piersiowej, w którym uwidoczniono rozstrzenia oskrzeli. Powyższy obraz kliniczny oraz wynik badania wskazują na:
Pytanie 58
Do monitorowania choroby oskrzelowo-płucnej u chorych na mukowiscydozę wykorzystywane są badania czynnościowe układu oddechowego. Które z poniższych badań będzie charakteryzowała największa czułość w wykrywaniu wczesnych zmian w układzie oddechowym u pięcioletniego dziecka z łagodnymi objawami choroby?
Pytanie 59
Do czynników wpływających na występowanie BPD (dysplazji oskrzelowo- płucnej) nie należy:
Pytanie 60
Alergiczna aspergiloza oskrzelowo-płucna (ABPA): 1) występuje u osób dorosłych oraz dzieci powyżej 10. roku życia; 2) dotyczy osób z przewlekłą chorobą płuc, np. astmą, mukowiscydozą; 3) jednym z kryteriów jej rozpoznania jest stężenie IgG > 1000 IU/l; 4) w stadium zaostrzeń może objawiać się odkrztuszaniem brunatno podbarwionej plwociny, a nawet odlewów oskrzeli; 5) spowodowana jest eozynofilową reakcją alergiczną na antygeny Aspergillus fumigatus, której głównymi mediatorami są limfocyty Th1. Prawidłowa odpowiedź to:
Pytanie 61
Najczęściej obserwowanym działaniem niepożądanym w czasie leczenia bezdechów wcześniaków kofeiną są/jest:
Pytanie 62
W zapaleniu płuc wywołanym Chlamydophila pneumoniae najczęściej występuje:
Pytanie 63
Zespół Swyera-Jamesa-McLeoda: 1) to rzadkie powikłanie zapalenia płuc lub oskrzeli; 2) to wada wrodzona miąższu i unaczynienia płuc; 3) to powikłanie dotyczące zmian w płucach w przebiegu tocznia układowego; 4) jest następstwem miejscowego upośledzenia perfuzji i nadmiernego rozprężenia pęcherzyków płucnych; 5) charakteryzuje się nawracającymi infekcjami dróg oddechowych, choć może przebiegać bezobjawowo. Prawidłowa odpowiedź to:
Pytanie 64
Wzrost stężenia tlenku azotu (NO) w powietrzu wydychanym stwierdza się w przypadkach:
Pytanie 65
Dla rozpoznania ostrego zapalenie oskrzelików wystarczającym jest stwierdzenie: 1) w wywiadzie ostrego nieżytu nosogardła parę dni przed zachorowaniem; 2) świstów wydechowych i/lub krepitacji nad polami płucnymi; 3) wieku dziecka do 12. do 24. miesiąca życia; 4) zmian okołooskrzelowych i/lub przywnękowych w rtg kl. piersiowej; 5) dodatniego testu na obecność wirusa RS w wymazie z nosa. Prawidłowa odpowiedź to:
Pytanie 66
U dziecka szkolnego z przewlekłym wilgotnym kaszlem wysunięto podejrzenie obecności rozstrzeni oskrzeli. Jaki rodzaj badania należy wykonać dla identyfikacji tego stanu i co w nim będzie istotne w obecnej praktyce klinicznej?
Pytanie 67
W bardzo ciężkim zaostrzeniu astmy u 10-latka nie odpowiadającego korzystnie na wielokrotne podawanie beta2-mimetyku w nebulizacji, a także ipratropium w nebulizacji z równoczesnym stosowaniem steroidów dożylnych w dawkach maksymalnych należy podać:
Pytanie 68
U dziecka w ostatnim tygodniu 1. miesiąca życia stosowano antybiotyko- terapię z powodu zapalenia płuc wywołanego przez Chlamydophila trachomatis z pełnym sukcesem. W ciągu 2 tygodni od zakończenia leczenia zaobserwowano u niego występowanie chlustających wymiotów, objawu 'stawiania' się żołądka po karmieniu. Z podawaniem jakiego antybiotyku w przeszłości można łączyć obecnie występujące objawy?
Pytanie 69
Na wystąpienie alergicznej aspergilozy oskrzelowo-płucnej (ABPA) u chorującego na astmę wskazują następujące elementy, z wyjątkiem:
Pytanie 70
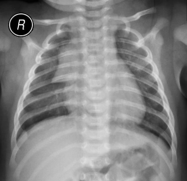
U 4-miesięcznego niemowlęcia z objawami nieżytu górnych dróg oddechowych i towarzyszącym pokaszliwaniem oraz ze stridorem wdechowym słyszalnym tylko w trakcie niepokoju, płaczu wykonano rtg kl. piersiowej, którego obraz zamieszczono poniżej. Jaka należy zinterpretować zacienienie górnego pola klatki piersiowej po stronie prawej?

Pytanie 71
U 12-letniej dziewczynki stwierdzono owrzodzenia błony śluzowej nosa, krwioplucie, duszność, krwinkomocz. Najbardziej prawdopodobne rozpoznanie to:
Pytanie 72
Zmiany w zdjęciu radiologicznym klatki piersiowej typowe dla stadium II sarkoidozy to:
Pytanie 73
Typowe cechy chylothorax to: 1) duża podatność płynu na zakażenie; 2) niemal wyłączna lokalizacja w lewej jamie opłucnej; 3) podwyższona aktywność dehydrogenazy kwasu mlekowego (LDH) w płynie; 4) zwiększone stężenie trójglicerydów w płynie. Prawidłowa odpowiedź to:
Pytanie 74
Która z wymienionych chorób śródmiąższowych płuc typowych dla wieku niemowlęcego cechuje się najgorszym rokowaniem?
Pytanie 75
Charakterystycznymi dla pacjentów z mukowiscydozą patogenami, odgrywającymi istotną rolę w rozwoju zakażeń dróg oddechowych są wszystkie wymienione, z wyjątkiem:
Pytanie 76
Komórkami biorącymi udział w rozwoju procesu zapalnego toczącego się w drogach oddechowych u pacjentów z mukowiscydozą są przede wszystkim:
Pytanie 77
Za czynniki ryzyka przyspieszonego spadku natężonej objętości pierwszosekundowej (FEV1) w mukowiscydozie uważa się wszystkie wymienione, z wyjątkiem:
Pytanie 78
Fałszywie dodatni wynik testu potowego może wystąpić w przypadku: 1) niedoczynności kory nadnerczy; 2) atopowego zapalenia skóry; 3) mukopolisacharydozy; 4) hipoaldosteronizmu rzekomego; 5) niedożywienia białkowego. Prawidłowa odpowiedź to:
Pytanie 79
Zgodnie z wynikami badań przesiewowych noworodków prowadzonych w Polsce, obecnie uważa się, że częstość występowania mukowiscydozy w naszym kraju wynosi około:
Pytanie 80
Problem bezpłodności w mukowiscydozie dotyczy:
Pytanie 81
U pacjentów hospitalizowanych z powodu zapalenia płuc cennym materiałem diagnostycznym pobieranym do badań mikrobiologicznych są: 1) krew; 2) płyn z jamy opłucnej; 3) płyn pobrany w czasie płukania oskrzelikowo-pęcherzykowego; 4) plwocina; 5) wymaz z gardła. Prawidłowa odpowiedź to:
Pytanie 82
Który z niżej wymienionych leków nie powinien być stosowany do wykonania próby rozkurczowej (testu odwracalności obturacji oskrzeli)? 1) salbutamol; 2) terbutalina; 3) salmeterol; 4) formoterol; 5) tiotropium. Prawidłowa odpowiedź to:
Pytanie 83
Do czynników prowokujących, działających w sposób pośredni (poprzez uwalnianie preformowanych mediatorów zapalnych z komórek zapalnych), wykorzystywanych w teście prowokacji oskrzelowej zalicza się niżej wymienione, z wyjątkiem:
Pytanie 84
Obniżony wynik badania pojemności dyfuzyjnej płuc dla tlenku węgla (DLCO) stwierdza się u pacjentów z: 1) włóknieniem płuc; 2) obrzękiem płuc; 3) krwawieniem pęcherzykowym; 4) otyłością; 5) anemią. Prawidłowa odpowiedź to:
Pytanie 85
Które z niżej wymienionych nie jest wskazaniem do wykonania badania spirometrycznego?
Pytanie 86
Przeciwwskazaniem do szczepienia BCG nie jest:
Pytanie 87
Do charakterystycznych cech atypowego zapalenia płuc nie należy:
Pytanie 88
Do cech powikłania wysięku parapneumonicznego należą: 1) pH płynu > 7,2; 2) stężenie glukozy w płynie < 40 mg/dl; 3) LDH < 1000 U/I; 4) ujemne wyniki badań bakteriologicznych; 5) zwiększona liczba granulocytów obojętnochłonnych. Prawidłowa odpowiedź to:
Pytanie 89
W leczeniu zespołu krupu nie zaleca się stosowania:
Pytanie 90
Wskazaniem do hospitalizacji z powodu zaostrzenia astmy u dzieci do 5. r.ż. jest: 1) brak odpowiedzi na wstępne leczenia SABA; 2) cisza nad polami płucnymi; 3) SaO2 < 92%; 4) brak możliwości leczenia w warunkach domowych; 5) wiek < 2. r.ż. Prawidłowa odpowiedź to:
Pytanie 91
Wskazaniem do wykonania ultrasonografii płuc nie jest:
Pytanie 92
Najczęstsza mutacja genu CFTR określana jako F508del dotyczy około:
Pytanie 93
Wskazaniem do oznaczenia stężenia jonu chlorkowego w pocie nie jest:
Pytanie 94
Do przyczyn krwioplucia należą:
Pytanie 95
Do objawów alarmowych, które powinny spowodować pilną diagnostykę kaszlu nie należy:
Pytanie 96
U dziecka powyżej 1. r.ż. płukanie oskrzelowo-pęcherzykowe (BAL) przy obecności rozsianych zmian w obrębie miąższu płucnego standardowo jest wykonywane przez zaklinowanie końca bronchofiberoskopu w obrębie oskrzela:
Pytanie 97
Jaką objętość roztworu 0,9% NaCl należy przygotować do wykonania płukania oskrzelowo-pęcherzykowego (BAL-u) u dziecka z masą ciała wynoszącą 17 kg:
Pytanie 98
U dziecka z plastic bronchitis badanie bronchofiberoskopowe będzie miało cel diagnostyczno-terapeutyczny poprzez wykonanie w jego trakcie:
Pytanie 99
W rozpoznaniu pneumocystozowego zapalenia płuc u dziecka powyżej 4. r.ż. nie będą pomocne następujące dane:
Pytanie 100
Wskaż preparat, którego dodanie będzie potęgowało działanie kotrimoksazolu w zakażeniu wywołanym przez Pneumocystic jirovecii:
Pytanie 101
Skala Westley'a wyznaczająca stopnie ciężkości krupu (podgłośniowego zapalenia krtani) nie uwzględnia:
Pytanie 102
Wskaż element z badania podmiotowego, przedmiotowego czy laboratoryjnego, który istotnie zmniejsza prawdopodobieństwo obecności nadgłośniowego zapalenia krtani u wysoko gorączkującego dziecka z nasilonym stridorem:
Pytanie 103
Elementem wskazującym na pogłębiającą się hipoksemię u dziecka w trakcie bronchofiberoskopii wykonywanej w umiarkowanej/płytkiej sedacji (conscious sedation) będzie:
Pytanie 104
U niemowląt, ze względu na korzystny stosunek skuteczności do działań niepożądanych oraz możliwość podania antagonisty (flumazenilu), w płytkiej/umiarkowanej sedacji podczas bronchofiberoskopii wykorzystywana/y jest:
Pytanie 105
W których z niżej wymienionych chorób może dojść do gromadzenia się płynu w jamie opłucnej? 1) gruźlica; 2) bakteryjne zapalenie płuc; 3) nadczynność przytarczyc; 4) marskość wątroby; 5) ostre zapalenie trzustki; 6) toczeń trzewny; 7) guzy jajnika; 8) neuroendokrynna hiperplazja wieku niemowlęcego. Prawidłowa odpowiedź to:
Pytanie 106
Wg wytycznych GINA 2017 za dodatni wynik próby prowokacji u dziecka 13-letniego należy uznać:
Pytanie 107
U dziecka 11-miesięcznego, u którego wysunięto podejrzenie tła aspiracyjnego nawracających stanów zapalnych dolnego układu oddechowego, zostało wykonane badanie bronchofiberoskopowe z płukaniem oskrzelowo- pęcherzykowym (BAL). W parodniowym okresie przed i w dniu badania dziecko było bez objawów infekcyjnych, nie gorączkujące, bez objawów osłuchowych nad polami płucnymi. Około 9 godzin po badaniu endoskopowym wystąpiła gorączka w granicach 39°C, która samoistnie ustąpiła. Właściwym postępowaniem będzie:
Pytanie 108
Wskaż prawdziwe stwierdzenie:
Pytanie 109
Komory inhalacyjne (KI) poprawiają efektywność i bezpieczeństwo terapii z inhalatora ciśnieniowego dozującego (pMDI) poprzez: 1) zniesienie konieczności ścisłej koordynacji czasowej między uwolnieniem leku z pMDI, a wdechem chorego; 2) zatrzymanie cząstek aerozolu o średnicy < 1 µm na ścianach KI i jej zastawkach; 3) zmniejszenie średnicy cząstek aerozolu (na korzystne z punktu widzenia terapii astmy) w wyniku wyparowania nośnika wewnątrz KI; 4) zwiększenie depozycji ustno-gardłowej (w zależności od KI 4 do 25% dawki wyzwolonej; 5) zwiększenie całkowitej depozycji płucnej (o 30-80% w stosunku do inhalacji bez KI). Prawidłowa odpowiedź to:
Pytanie 110
Wskaż fałszywe stwierdzenie dotyczące obrazów tomografii komputerowej w śródmiąższowych chorobach płuc:
Pytanie 111
Bakteriami najczęściej izolowanymi z płynu z jamy opłucnej, u dzieci bez obniżonej odporności, w przebiegu powikłanego wysięku parapneumonicznego/ropniaka opłucnej są:
Pytanie 112
Interpretacja technicznie niepoprawnych wyników badania spirometrycznego może skutkować błędami diagnostycznymi, ponieważ: 1) zbyt późne rozpoczęcie nasilonego wydechu wpływa na zwiększenie się FEV1 i zmniejszenie FVC, zmniejsza więc prawdopodobieństwo rozpoznania obturacji; 2) zbyt późne rozpoczęcie nasilonego wydechu wpływa na zmniejszenie się FEV1, co może spowodować błędne rozpoznanie obturacji; 3) zbyt krótki wydech (< 6 sek. u starszych dzieci, nieosiągnięcie plateau wydechu) wpływa na zmniejszenie się FEV1 i FVC, zmniejsza więc prawdopodobieństwo rozpoznania restrykcji; 4) zbyt krótki wydech (< 6 sek u starszych dzieci, nieosiągnięcie plateau wydechu) wpływa na zmniejszenie FVC, zmniejsza więc prawdopodobieństwo rozpoznania obturacji. Prawidłowa odpowiedź to:
Pytanie 113
Wskaż prawdziwe stwierdzenie dotyczące oceny stężenia tlenku azotu w powietrzu wydychanym (eNO):
Pytanie 114
Torbiele wrodzone, oskrzelopochodne powstają w wyniku zahamowania rozwoju oskrzela w okresie embrionalnym. Przy podejrzeniu torbieli w badaniu prenatalnym diagnostyka wstępna u noworodka często rozpoczyna się od zdjęcia RTG klatki piersiowej:
Pytanie 115
Wrodzona malformacja dróg oddechowych (Congenital pulmonary airway malformations CPAM) stanowi około 25% wad wrodzonych płuc. Często jest rozpoznawana prenatalnie. Wskaż prawdziwe stwierdzenie dotyczące obrazu radiologicznego CPAM:
Pytanie 116
Infekcja układu oddechowego u dzieci często wymaga diagnostyki obrazowej. Do technik obrazowania wykorzystywanych w pierwszej kolejności należą: zdjęcie rtg klatki piersiowej oraz przezklatkowe badanie ultrasono- graficzne płuc. Wskaż prawdziwe stwierdzenie dotyczące ich interpretacji:
Pytanie 117
Poszerzenie cienia śródpiersia widoczne na zdjęciu rtg klatki piersiowej u dziecka powyżej 2. r.ż. wymaga od lekarza decyzji o poszerzeniu diagnostyki w celu wykluczenia patologii:
Pytanie 118
Wskaż prawdziwe stwierdzenie dotyczące nowotworów płuc (gruczolakoraków, raków anaplastycznych, mięsaków) u dzieci:
Pytanie 119
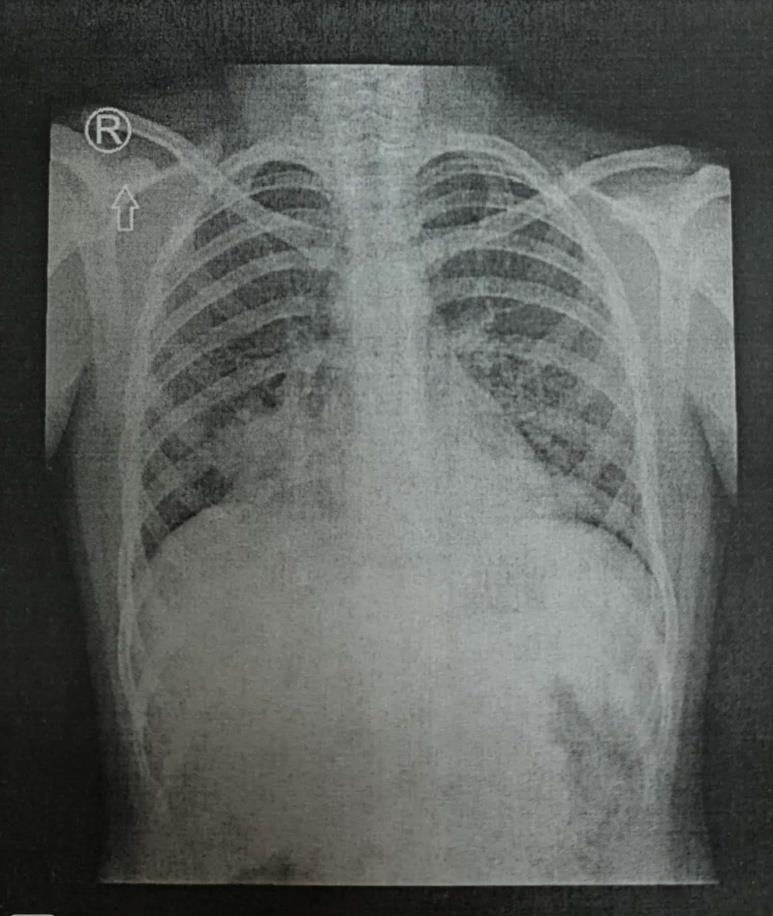
U dziecka z długo utrzymującymi się płucnymi zmianami zapalnymi uwidocznionymi jak w załączonym radiogramie klatki piersiowej podjęto decyzję wykonania badania bronchofiberoskopowego. Najkorzystniejszym miejscem zaklinowania bronchoskopu dla wykonania BAL-u z następową oceną bakteriologiczną uzyskanego płynu będą oskrzela segmentowe po stronie prawej o numerach:

Pytanie 120



