Wyszukaj egzamin lub pytanie
Egzamin PES Choroby płuc dzieci / jesień 2015
120 pytań
Pytanie 1
Podwyższone stężenie deaminazy adenozyny (ADA) w płynie z jamy opłucnej z wysokim prawdopodobieństwem wskazuje na następującą etiologię płynu:
Pytanie 2
U 17-letniego chłopca na podstawie objawów klinicznych i wyniku zdjęcia przeglądowego klatki piersiowej rozpoznano odmę opłucnej. Zastosowano leczenie za pomocą drenażu ssącego. Warunkami niezbędnymi do zakończenia takiego leczenia i usunięcia drenu z jamy opłucnej są:
1) rozprężenie płuca w obrazie rtg klatki piersiowej;
2) brak przecieku powietrza obserwowanego w układzie drenażowym;
3) ustąpienie duszności;
4) normalizacja wartości gazometrycznych;
5) dobra aktywność ruchowa chorego.
Prawidłowa odpowiedź to:
Pytanie 3
Najczęstszym czynnikiem etiologicznym wysięku parapneumonicznego i ropniaka opłucnej u dzieci jest:
Pytanie 4
Które z wymienionych poniżej kryteriów umożliwiają pewne rozpoznanie inwazyjnej aspergilozy płuc?
1) wykrycie antygenu (galaktomannan) w BALf;
2) stwierdzenie obecności strzępek Aspergillus lub jego wyhodowanie z BALf;
3) wykazanie charakterystycznej grzybni wraz ze zniszczeniem tkanek w materiale biopsyjnym;
4) wyhodowanie Aspergillus z materiałów uzyskanych z lokalizacji, które w prawidłowych warunkach są jałowe (np. bioptat płuca).
Prawidłowa odpowiedź to:
Pytanie 5
Dla gruźlicy układu moczowego nie jest charakterystyczne:
Pytanie 6
Według aktualnych zaleceń GINA test kontroli astmy obejmuje:
1) obecność zaostrzeń astmy;
2) ocenę stosowanego leczenia;
3) zużycie leków doraźnych;
4) nasilenie objawów klinicznych w ciągu dnia;
5) obecność objawów astmy w nocy;
6) ocenę wpływu astmy na codzienną aktywność chorego;
7) palenie tytoniu czynne lub bierne;
8) ocenę wiedzy chorego na temat astmy;
9) wynik badania spirometrycznego.
Prawidłowa odpowiedź to:
Pytanie 7
Które zdanie dotyczące zespołu żyły głównej górnej (zżgg) u dzieci jest prawdziwe?
Pytanie 8
Wskaż zdanie nieprawdziwe dotyczące wad układu oddechowego:
Pytanie 9
Okres embrionalnego rozwoju płuc można podzielić na 5 etapów. Faza rzekomogruczołowa kończy okres tworzenia strefy przewodzącej. Które tygodnie życia płodowego obejmuje ta faza?
Pytanie 10
7-tygodniowe niemowlę ma męczący kaszel trwający od 3 tygodni. Jest w dobrym stanie ogólnym, temperatura ciała 37°C, nie ma duszności ani świszczącego oddechu. W badaniu przedmiotowym stwierdzono zapalenie spojówek, nad obu polami płucnymi słyszalne były nieliczne trzeszczenia. Zdjęcie klatki piersiowej wykazało cechy rozdęcia oraz drobne zagęszczenia miąższowe w polach środkowych obu płuc. Najbardziej prawdopodobnym czynnikiem etiologicznym zapalenia płuc w tym przypadku będzie:
Pytanie 11
U 11-letniego chłopca stwierdzono obecność płynu w prawej jamie opłucnej. Badanie ogólne płynu wykazało stężenie białka 4,2 g/dl i aktywność LDH 400 U/l. Stwierdzono jednocześnie, że stężenie białka w surowicy krwi i aktywność LDH w surowicy wynosiły odpowiednio 7,2 g/dl i 280 U/l. W różnicowaniu przyczyn płynu o podanej charakterystyce należy w pierwszym rzędzie uwzględnić następujące choroby:
1) zapalenie płuc (płyn parapneumoniczny);
2) nowotwory (np. chłoniaki);
3) reumatoidalne zapalenie stawów;
4) gruźlicze wysiękowe zapalenie opłucnej;
5) marskość wątroby;
6) niewydolność nerek.
Prawidłowa odpowiedź to:
Pytanie 12
Wskaż zdanie nieprawdziwe:
Pytanie 13
Gruźlica kostno-stawowa u dzieci należy do postaci pozapłucnych tej choroby. Pomimo jej rzadkości i stosunkowo łagodnego występowania następstwa mogą być bardzo ciężkie i często mogą wymagać interwencji ortopedycznych. Wskaż fałszywe stwierdzenie dotyczące tej postaci gruźlicy:
Pytanie 14
Glikokortykosteroidy w leczeniu gruźlicy są podawane wyjątkowo rzadko, chociaż w uzasadnionych przypadkach stanowią cenne uzupełnienie leczenia przeciwprątkowego. W której postaci gruźlicy nie powinny być zastosowane?
Pytanie 15
Leczenie przeciwprątkowe związane jest z ryzykiem pojawienia się objawów niepożądanych. Wskaż nieprawidłowy dobór niepożądanego działania i leku przeciwprątkowego:
a) izoniazyd;
b) ryfampicyna;
c) pyrazynamid;
d) etambutol;
e) streptomycyna;
1) niedosłuch;
2) mrowienie stóp;
3) zaburzenia widzenia;
4) żółtaczka.
Prawidłowa odpowiedź to:
Pytanie 16
Do najważniejszych kryteriów rozpoznania alergicznej aspergillozy oskrzelowo-płucnej należą:
1) współistnienie astmy oskrzelowej;
2) poziom przeciwciał IgE < 1000 IU/l;
3) obecność swoistych przeciwciał IgE i/lub IgG przeciwko Aspergillus fumigatus we krwi;
4) eozynofilia we krwi obwodowej;
5) rozstrzenie zlokalizowane w dolnych płatach.
Prawidłowa odpowiedź to:
Pytanie 17
Prosta eozynofilia płucna określana mianem zespołu Löeflera charakteryzuje się:
1) nasilonymi objawami ze strony układu oddechowego;
2) utrzymywaniem się objawów przez okres minimum sześciu miesięcy;
3) wędrującymi, „zwiewnymi“ naciekami, które można obserwować na zdjęciu przeglądowym klatki piersiowej;
4) występowaniem objawów po zakażeniu Aspergillus fumigatus;
5) eozynofilią obwodową;
6) ustępowaniem samoistnym zmian bez dodatkowego leczenia.
Prawidłowa odpowiedź to:
Pytanie 18
Zespół Churga-Strauss lub alergiczne ziarniniakowe zapalenie naczyń jest chorobą, w której do zajęcia płuc dochodzi w dużym odsetku przypadków. Do kryteriów Amerykańskiej Akademii Reumatologii należą:
1) astma oskrzelowa;
2) eozynofilia poniżej 1500/mcl;
3) mono- lub polineuropatia;
4) utrwalone zmiany w płucach;
5) objawy dysfunkcji zatok przynosowych;
6) wewnątrznaczyniowe nacieki eozynofilowe.
Prawidłowa odpowiedź to:
Pytanie 19
Agammaglobulinemia Brutona jest najlepiej poznanym zespołem niedoboru odporności humoralnej. Cechami charakterystycznymi dla tego zespołu są:
1) zaburzenie dojrzewania limfocytów B;
2) prawidłowa liczba limfocytów T;
3) brak lub zaburzenie struktury grasicy;
4) nawracanie ropnych infekcji układu oddechowego;
5) upośledzenie wewnątrzkomórkowego zabijania drobnoustrojów.
Prawidłowa odpowiedź to:
Pytanie 20
Drogi oddechowe niemowląt i małych dzieci charakteryzują się odrębnościami w budowie sprzyjającymi obturacji. Co nie jest cechą charakterystyczną dla tych grup wiekowych?
Pytanie 21
W agammaglobulinemii Brutona sprzężonej z chromosomem X nie występuje:
1) prawidłowa liczba limfocytów B;
2) obniżona liczba limfocytów T;
3) mutacja genu BTK;
4) niskie stężenia IgE;
5) przerost migdałków podniebiennych, migdałka gardłowego i węzłów chłonnych.
Prawidłowa odpowiedź to:
Pytanie 22
Nawracające od 2 lat zapalenia płuc wywołane przez S. pneumoniae, H. influenzae u 12-letniego chłopca, niskie stężenie IgA, IgG, prawidłowa liczba limfocytów B i T, prawidłowe stężenie albumin oraz niedokrwistość autoimmunohemolityczna przemawiają za rozpoznaniem:
Pytanie 23
W przebiegu sarkoidozy stwierdza się wymienione poniżej objawy i odchylenia w badaniach, za wyjątkiem:
Pytanie 24
W agammaglobulinemii sprzężonej z chromosomem X (XLA) zakażenia układu oddechowego najczęściej wywoływane są przez:
Pytanie 25
Typowe dla zespołu DiGeorge’a są następujące zaburzenia, za wyjątkiem:
Pytanie 26
Zmiany wypryskowe obserwuje się w następujących jednostkach chorobowych:
1) zespół Wiskotta-Aldricha;
2) zespół Hioba;
3) przewlekła choroba ziarniniakowa;
4) zespół IPEX-zespół sprzężonej z chromosomem X poliendokrynopatii i enteropatii;
5) zespół Nijmegen.
Prawidłowa odpowiedź to:
Pytanie 27
Nawracające ropnie skóry, tkanki podskórnej i zapalenia płuc, hipergammaglobulinemia, leukocytoza, zakażenia wywołane przez S. aureus, Aspergillus, Srerratia marcescens sugerują rozpoznanie przewlekłej choroby ziarniniakowej. Test potwierdzający rozpoznanie to:
1) test NBT (redukcji błękitu nitrotetrazoliowego);
2) cytometria przepływowa z użyciem dihydrorodaminy (DHR123);
3) ocena ekspresji cząsteczki CD15s;
4) aktywność MPO w leukocytach.
Prawidłowa odpowiedź to:
Pytanie 28
Wskaż prawdziwe stwierdzenia dotyczące selektywnego niedobóru IgA:
1) jest najczęstszym zaburzeniem immunologicznym i występuje z częstością 1:500 i definiuje go stężenie IgA poniżej 5 mg/dl;
2) w większości przypadków niedobór IgA przebiega bezobjawowo;
3) stwierdza się nieprawidłową liczbę limfocytów B;
4) wiąże się z alergią pokarmową, astmą, cukrzycą;
5) w razie konieczności przetaczania krwi wskazane jest przetoczenie płukanych krwinek czerwonych.
Prawidłowa odpowiedź to:
Pytanie 29
Przyczyny pojedynczego cienia okrągłego w rtg płuc u dzieci są następujące:
1) pozaszpitalne zapalenie płuc;
2) ropień;
3) tuberkuloma;
4) torbiel bąblowca;
5) guz.
Prawidłowa odpowiedź to:
Pytanie 30
Wskaż sytuacje, w których w zdjęciu radiologicznym klatki piersiowej może być obecna torbiel powietrzna (pneumatocele):
1) jako powikłanie zapalenia płuc o etiologii S. pneumoniae i S. aureus, zwykle u dzieci najmłodszych;
2) w przebiegu przewlekłej choroby ziarniniakowej;
3) w przebiegu zespołu hiper-IgE;
4) jako powikłanie po wentylacji mechanicznej;
5) po tępym urazie klatki piersiowej.
Prawidłowa odpowiedź to:
Pytanie 31
Które z wymienionych stwierdzeń dotyczących pozaszpitalnego zapalenia płuc (PZP) jest nieprawdziwe?
Pytanie 32
Które z poniższych stwierdzeń dotyczących alergicznej aspergilozy oskrzelowo-płucnej są prawdziwe (AAOP)?
1) w AAOP stwierdza się IgE > 1000 KU/l, eozynofilię, dodatni test skórny z antygenem Aspergillus fumigatus, rozstrzenia centralne;
2) AAOP może dotyczyć chorych z zaostrzeniem astmy i mukowiscydozy;
3) AAOP dotyczy chorych z nowotworami układu krwiotwórczego, u których stwierdza się wysokie stężenie galaktomannanu;
4) leczeniem z wyboru AAOP są wysokie dawki wziewnych glikokortykosteroidów (GKS) w połączniu worykonazolem;
5) leczeniem z wyboru AAOP są GKS systemowe.
Prawidłowa odpowiedź to:
Pytanie 33
Które ze stwierdzeń dotyczące wykorzystania badania usg w diagnostyce chorób płuc jest nieprawdziwe?
Pytanie 34
Prawidłowe stwierdzenia odnośnie wskazań do wykonania rtg płuc:
1) Rtg płuc jest konieczne do rozpoznania pozaszpitalnego zapalenia płuc (PZP) w warunkach ambulatoryjnych;
2) Rtg płuc jest konieczne do ustalenia etiologii zapalenia płuc;
3) Rtg płuc należy wykonać w przypadku podejrzenia obecności płynu w jamie opłucnej;
4) wykonanie rtg płuc jest zalecane w przypadku przedłużającego się kaszlu wilgotnego > 3-4 tygodnie;
5) kontrolne rtg płuc należy wykonać pomimo ustępowania objawów choroby.
Prawidłowa odpowiedź to:
Pytanie 35
Zgodnie z definicją WHO u niemowlęcia 6-miesięcznego z objawami infekcji układu oddechowego z kaszlem i gorączką zapalenie płuc o lekkim przebiegu można rozpoznać w oparciu o następujące objawy:
1) tachypnoe > 50/min;
2) wciąganie międzyżebrzy;
3) zaburzenia świadomości;
4) cechy odwodnienia;
5) stękanie wydechowe.
Prawidłowa odpowiedź to:
Pytanie 36
Nie jest czynnikiem ryzyka gruźlicy (wg WHO):
Pytanie 37
Zespół szabli tureckiej charakteryzuje:
1) cień nieprawidłowego spływu żylnego w rtg klatki piersiowej;
2) występowanie zmiany głównie w obrębie płuca prawego;
3) obecność nieprawidłowej żyły biegnącej od wnęki do ujścia podprzeponowego do żyły głównej dolnej u większości chorych;
4) różnorodność prezentacji klinicznej - od braku objawów do tachypnoe, zaburzeń krążenia, trudności w karmieniu.
Prawidłowa odpowiedź to:
Pytanie 38
Wysięk o etiologii gruźliczej charakteryzuje:
Pytanie 39
Podstawą rozpoznania mukowiscydozy może być:
Pytanie 40
Wskaż objawy dysplazji oskrzelowo-płucnej u niemowląt:
1) duszność;
2) tachypnoe;
3) świsty, trzeszczenia;
4) stłumienie odgłosu opukowego;
5) nadciśnienie płucne (znaczny odsetek chorych).
Prawidłowa odpowiedź to:
Pytanie 41
Do przewlekłej choroby płuc okresu niemowlęcego zalicza się następujące zaburzenia, z wyjątkiem:
Pytanie 42
W patogenezie dysplazji oskrzelowo-płucnej największe znaczenie mają:
Pytanie 43
W leczeniu niewydolności oddechowej u niemowląt z dysplazją oskrzelowo-płucną zaleca się utrzymanie saturacji w zakresie:
Pytanie 44
Trudności w oddychaniu, tachypnoe, objawy niewydolności oddechowej i krążeniowej u niemowlęcia w pierwszych miesiącach życia, a w obrazie radiologicznym trójkątne zacienie w okolicy segmentu przyśrodkowego, podstawnego płata dolnego (częściej po stronie lewej) sugerują rozpoznanie:
Pytanie 45
Badanie przesiewowe noworodków w kierunku mukowiscydozy opiera się na oznaczeniu:
Pytanie 46
Rozsiane zmiany w obrazie radiologicznym o charakterze zmian drobnoguzkowych, następnie siateczkowo-guzkowych, potem drobnych torbieli w obwodowych partiach płuc, w polach górnych i środkowych sugerują:
Pytanie 47
Barwienie bombezyną jest metodą wykorzystywaną w diagnostyce:
Pytanie 48
Preferowaną metodą terapii wziewnej u dziecka w wieku 5 lat jest:
Pytanie 49
Nagły początek, wysoka gorączka, dreszcze, tachypnoe, stłumienie odgłosu opukowego oraz szmer oskrzelowy są charakterystyczne dla zapalenia płuc o etiologii:
Pytanie 50
W leczeniu ropnia płuca w pierwszej kolejności należy zastosować:
Pytanie 51
Pierwsze objawy astmy występują zazwyczaj już w dzieciństwie. Choroba ujawnia się do 3 r.ż. u:
Pytanie 52
Główne regiony chromosomalne związane z astmą znajdują się w regionach:
Pytanie 53
Kaszel sugerujący astmę to:
Pytanie 54
Niektóre zakażenia wirusowe dróg oddechowych u dzieci niechorujących na astmę mogą powodować:
Pytanie 55
Wśród dzieci z nawracającym świszczącym oddechem wyróżnia się kilka fenotypów. Jednym z nich jest:
Pytanie 56
Równoważne małe dawki glikokortykosterydów wziewnych stosowanych z inhalatora ciśnieniowego dozującego (pMDI) u dzieci > 5 r.ż. chorych na astmę, to:
Pytanie 57
Aktualnym standardem terapii lekkich/umiarkowanych zaostrzeń astmy w warunkach ambulatoryjnych, jest:
Pytanie 58
Inhalatorem z wyboru u dziecka w wieku 4-6 lat jest:
Pytanie 59
U dzieci > 6 lat preferowany typ inhalatora w terapii astmy (w kolejności), to:
Pytanie 60
Główne wady nebulizacji prowadzonej z użyciem klasycznego nebulizatora pneumatycznego, to:
1) bardzo duże straty leku;
2) długi czas podawania leku;
3) wysoki koszt urządzenia i leków;
4) konieczność rozcieńczania leku;
5) bardzo mała średnica aerodynamiczna cząstki odpowiadająca medianie rozkładu masowego (MMAD).
Prawidłowa odpowiedź to:
Pytanie 61
Praktyczne konsekwencje stosowania inhalatorów suchego proszku przy niedostatecznym (poniżej zalecanego przez producenta) przepływie wdechowym, to:
1) słabszy proces aerolizacji leku;
2) mniejsza frakcja cząstek drobnych;
3) większa depozycja w obwodowych oskrzelach;
4) słabszy efekt terapeutyczny;
5) mniejsza depozycja gardłowa.
Prawidłowa odpowiedź to:
Pytanie 62
Wskaż prawdziwe stwierdzenie dotyczące rokowania w astmie u dzieci:
Pytanie 63
Chora na mukowiscydozę, z przewlekłą kolonizacją dolnych dróg oddechowych przez Pseudomonas aeruginosa typ śluzowy, lat 17 zgłosiła się na izbę przyjęć. W badaniu przedmiotowym stwierdzono palce pałeczkowate, masę ciała 45 kg, brak odruchu kaszlu, brak odkrztuszania od 7 dni, gorączka do 38,1°C, utrata masy ciała 4,5 kg w ciągu tygodnia. W badaniach laboratoryjnych L: 11,8 tys/ul, E: 4,5 mln/ul, PLT 198 tys./ul, CRP: 35 mg/dl (N: < 5 mg/dl), pO2 59,6 mmHg, pCO2 41 mmHg, Sat 91%. Postępowanie:
Pytanie 64
Które z wymienionych zmian są zwykle widoczne w rtg płuc u chorego z zaawansowaną chorobą oskrzelowo-płucną w przebiegu mukowiscydozy?
1) pogrubienie ściany oskrzeli;
2) rozstrzenia oskrzeli;
3) odma;
4) rozdęcie płuc, dominujące w płatach górnych;
5) wzmożony rysunek podścieliska w środkowych częściach płuc;
6) rozdęcie płuc, dominujące w płatach dolnych;
7) torbielowate przestrzenie, głównie w płatach dolnych.
Prawidłowa odpowiedź to:
Pytanie 65
Najczęstsze powikłania (obserwowane u >40% chorych) ogólnoustrojowe zaawansowanej mukowiscydozy to:
1) niedodma;
2) odma opłucnowa;
3) krwioplucie;
4) alergiczna aspergiloza oskrzelowo-płucna;
5) przerost i przeciążenie prawej komory serca;
6) rozedma;
7) cukrzyca związana z mukowiscydozą;
8) osteoporoza;
9) marskość wątroby.
Prawidłowa odpowiedź to:
Pytanie 66
Linezolid to antybiotyk z grupy oksazolidynonów, nie wykazujący zjawiska krzyżowej oporności z grupą antybiotyków MLS (makrolidy, linkozamidy, streptograminy). Linezolid jest wskazany do leczenia:
1) ciężkiego zakażenia pałeczką ropy błękitnej u pacjentów z mukowiscydozą;
2) przewlekłego nosicielstwa Staphylococcus aureus;
3) zakażenia Entrococcus faecalis wykazującej oporność na wankomycynę;
4) zakażenia Staphylococcus aureus MRSA u pacjenta chorego na mukowiscydozę;
5) atypowych zakażeń układu oddechowego (Mycoplasma pneumoniae, Listeria monocytogenes, Chlamydia pneumoniae).
Prawidłowa odpowiedź to:
Pytanie 67
Nowe przypadki gruźlicy płuc z ujemnym rozmazem, z wyjątkiem chorych w stanie ciężkim, i lekkie przypadki gruźlicy pozapłucnej powinny być leczone w schemacie:
Pytanie 68
Najczęstsza lokalizacja wrodzonej rozedmy płatowej (CLE) to:
Pytanie 69
Wielolekooporność prątków gruźlicy (MDR-TB) oznacza:
Pytanie 70
Metoda wykrywania prątków gruźlicy oparta na hodowli na podłożu płynnym, w którym substratem jest kwas palmitynowy znakowany węglem radioaktywnym nazywana jest:
Pytanie 71
Jedną z cytokin biorących udział w patogenezie gruźlicy jest TNF. TNF jest odpowiedzialny za:
1) wytwarzanie martwicy serowatej;
2) przekształcenie monocytów w komórki nabłonkowate;
3) zahamowanie wzrostu prątków;
4) hamowanie wewnątrzkomórkowego namnażania się prątków;
5) pobudzanie makrofagów do wydzielania interleukiny 1,6 i 8.
Prawidłowa odpowiedź to:
Pytanie 72
Wskazaniem do założenia stentów u dzieci jest/są:
Pytanie 73
Która z wad wrodzonych układu oddechowego jest wskazaniem do pilnej interwencji torakochirurgicznej w okresie noworodkowym?
Pytanie 74
Niedorozwój chrząstek małżowin usznych może być pomocniczym objawem w klinicznej diagnostyce:
Pytanie 75
Które z wymienionych wad naczyniowych dużych naczyń klatki piersiowej przebiegają z uciskiem naczynia na przełyk?
1) podwójny łuk aorty;
2) prawostronny łuk aorty z lewostronnym przewodem tętniczym;
3) nieprawidłowe odejście i przebieg prawej tętnicy podobojczykowej;
4) nieprawidłowe odejście pnia ramienno-głowowego;
5) nieprawidłowe odejście i przebieg lewej tętnicy płucnej.
Prawidłowa odpowiedź to:
Pytanie 76
Wada rozwojowa klatki piersiowej polegająca na zapadnięciu dolnej części mostka i deformacji żeber to:
Pytanie 77
W których wadach rozwojowych układu oddechowego obserwowane są zaburzenia wentylacji o typie restrykcji?
Pytanie 78
Wskaż prawdziwe stwierdzenie dotyczące wady rozwojowej układu oddechowego określanej jako „oskrzele świńskie”:
Pytanie 79
Triada objawów obejmująca zapalenie zatok obocznych nosa, rozstrzenia oskrzeli oraz odwrócenie trzewi to:
Pytanie 80
Ludzka rekombinowana dornaza alfa jest stosowana w leczeniu rozstrzeni oskrzeli w przebiegu:
Pytanie 81
Antybiotyki aktywne przeciw pałeczkom Pseudomonas aeruginosa dostępne w postaci wziewnej to:
Pytanie 82
Wskaż błędne zdanie dotyczące sekwestracji płucnej:
Pytanie 83
Wskaż prawdziwe stwierdzenie dotyczące torbieli oskrzelopochodnej:
Pytanie 84
Wskaż prawdziwe stwierdzenia dotyczące przewlekającego się bakteryjnego zapalenia oskrzeli (PBZO; PBB- Persistent Bacterial Bronchitis):
1) jest najczęstszą przyczyną kaszlu izolowanego u dzieci;
2) jest definiowane jako utrzymywanie się produktywnego kaszlu przez co najmniej 3 miesiące w roku w ciągu dwóch kolejnych lat;
3) kaszel ustępuje po kuracji antybiotykiem stosowanym zwykle przez 10-14 dni;
4) bywa określane jako „stan przedrozstrzeniowy” (prebronchiectasis).
Prawidłowa odpowiedź to:
Pytanie 85
U 15-letniego chłopca z gorączką, bólami stawowymi i rumieniem guzowatym w wykonanym zdjęciu przeglądowym klatki piersiowej uwidoczniono powiększenie węzłów chłonnych wnęk. Najbardziej prawdopodobnym rozpoznaniem jest:
Pytanie 86
Do Poradni zgłosiła się matka z 7-miesięcznym niemowlęciem płci męskiej. U dziecka od 3 dni występował stan podgorączkowy, nieżyt błony śluzowej nosa, kaszel. W badaniu przedmiotowym stwierdzono stan ogólny dość dobry, skóra różowa, tachypnoe (60/min), zwiększony wysiłek oddechowy z niewielkim zaciąganiem międzyżebrzy oraz zmiany osłuchowe nad polami płucnymi o charakterze świstów. Wywiad osobniczy i rodzinny nieobciążony. Dziecko z CI PI urodzone w 38Hbd siłami natury, okres noworodkowy przebiegał bez powikłań. Dziecko karmione piersią, dobrze przybiera na wadze. Na podstawie wywiadu i badania przedmiotowego rozpoznano zapalenie oskrzelików (bronchiolitis). Lekarz powinien:
Pytanie 87
Zgodnie z klasyfikacją ATS chorób śródmiąższowych wieku dziecięcego do chorób występujących przede wszystkim u dzieci poniżej 2 rż należą:
1) mutacja SFTPB;
2) PAP- proteinoza pęcherzyków płucnych;
3) kamica pęcherzyków płucnych;
4) sarkoidoza;
5) histiocytoza z komórek Langerhansa.
Prawidłowa odpowiedź to:
Pytanie 88
Transplantacja płuc jako opcja terapeutyczna u dziecka z chorobą śródmiąższową płuc wieku dziecięcego (childen’s interstitial lung diseases - chILD) powinna być brana pod uwagę jeśli stwierdzono: (wskazaniem do transplantacji płuc u dzieci jest):
1) całkowity niedobór białka B surfaktantu (mutacja SFTPB);
2) całkowity niedobór ABCA3 (mutacja ABCA3);
3) neuroendokrynna hiperplazja wieku niemowlęcego (NEHI - Neuroendocrine cell hyperplasia of infancy);
4) końcowe stadium choroby śródmiąższowej płuc wieku dziecięcego;
5) sarkoidoza w stadium II.
Prawidłowa odpowiedź to:
Pytanie 89
Ziarniniaki nieserowaciejące w badaniu histopatologicznym mogą występować w:
1) sarkoidozie;
2) gruźlicy;
3) grzybicach;
4) zapaleniu płuc z nadwrażliwości;
5) berylozie.
Prawidłowa odpowiedź to:
Pytanie 90
Wskaż fałszywe stwierdzenie dotyczące neuroendokrynnej hiperplazji wieku niemowlęcego (NEHI - Neuroendocrine cell hyperplasia of infancy) :
1) jest ciężką postępującą chorobą śródmiąższową płuc wieku dziecięcego (childen’s interstitial lung diseases- chILD);
2) może mieć związek z alergią na antygeny mleka krowiego - zespół Heinera;
3) w tomografii komputerowej o wysokiej rozdzielczości (HRCT) charakterystyczny jest objaw skrzydeł nietoperza (bat sign);
4) w końcowym stadium choroby w tomografii komputerowej o wysokiej rozdzielczości (HRCT) może występować obraz „kamienia brukowego”;
5) patomorfologicznie zastosowanie specjalistycznych barwień wykrywających komórki wytwarzające bombezynę pozwala na postawienie ostatecznego rozpoznania.
Prawidłowa odpowiedź to:
Pytanie 91
Schyłkowe stadium choroby oskrzelowo-płucnej u chorego na mukowiscydozę jest wskazaniem do transplantacji serca i płuc ze względu na przewlekłe, niemożliwe do eradykacji zakażenie dróg oddechowych wielolekooporną florą bakteryjną oraz często grzybiczą.
Pytanie 92
6-letni chłopiec z nawracającymi infekcjami dróg oddechowych w wywiadzie (3-krotne zapalenia oskrzeli leczone ambulatoryjnie, 2-krotnie hospitalizowany z powodu zapalenia płuc) został przyjęty do szpitala z powodu kolejnego zakażenia dolnych dróg oddechowych. U dziecka w badaniu przedmiotowym zwraca uwagę niedobór masy ciała (<3 percentyla). Chłopiec często zgłasza bóle brzucha. W wykonanym zdjęciu przeglądowym klatki piersiowej uwidoczniono cechy rozdęcia płuc oraz pogrubienie ścian oskrzeli. Dziecko było objęte badaniem przesiewowym noworodków kierunku mukowiscydozy. Dalsze postępowanie diagnostyczne powinno obejmować w pierwszej kolejności:
Pytanie 93
Narastająca lekooporność na leki przeciwprątkowe jest wielkim wyzwaniem w opanowaniu gruźlicy. Wskaż prawdziwe stwierdzenie dotyczące gruźlicy wielolekoopornej (MDRTB - multi-dug resistant tuberculosis):
Pytanie 94
W diagnostyce gruźlicy coraz szersze zastosowanie zyskuje nowa generacja diagnostycznych testów immunologicznych (IGRA). Test QuantiFERON TB Gold:
Pytanie 95
Leczenie profilaktyczne izoniazydem (chemioprofilaktyka) ma na celu zapobieganie zakażeniu M. tuberculosis (LTBI - latent tuberculosis infection - infekcja gruźlicza utajona) u dzieci i młodzieży, dlatego noworodek matki chorej na gruźlicę powinien być leczony izoniazydem przez 3 miesiące a następnie powinien mieć wykonaną próbę tuberkulinową, jeśli wynik jest ujemny można zaszczepić BCG, jeśli dodatni - przedłużyć podawanie izoniazydu na następne
3 miesiące.
Pytanie 96
Iwakaftor (VX-770), należący do tzw. potencjatorów CFTR (wydłuża czas otwarcia kanału jonowego zwiększając wydzielanie chloru przez obecne w błonie lecz defektywne CFTR), jest zarejestrowany w Unii Europejskiej u chorych na mukowiscydozę po 6rż z mutacją R553X.
Pytanie 97
Wskaż fałszywe stwierdzenia dotyczące dzieci z niedoborem alfa-1 antytrypsyny (AAT):
1) najczęściej rozpoznaje się rozedmę płuc;
2) w większości przypadków pierwszym objawem choroby u niemowląt jest żółtaczka cholestatyczna i acholiczne stolce;
3) często obserwuje się obturację dróg oddechowych;
4) czynnikami przyspieszjącymi rozwój choroby są: ekspozycja na dym tytoniowy, częste i ciężkie infekcje dolnych dróg oddechowych, niski status socjoekonomiczny, niedożywienie, zanieczyszczenie atmosfery;
5) wykonuje się transplantacje wątroby w przypadku jej niewydolności.
Prawidłowa odpowiedź to:
Pytanie 98
U 2-letniego chłopca chorującego na mukowiscydozę na podstawie posiewów wymazu z gardła stwierdzono przewlekłe zakażenie dróg oddechowych Staphylococcus aureus. U pacjenta należy:
Pytanie 99
15-letnia pacjentka chorująca na mukowiscydozę została przyjęta do szpitala z powodu zaostrzenia zmian oskrzelowo-płucnych (nasilony kaszel z wykrztuszaniem ropnej wydzieliny, gorączka do 38,5°C, osłabienie, zmniejszenie apetytu, spadki Sat O2 <90%). W wywiadzie: od tygodnia była leczona ambulatoryjnie ciprofloksacyną doustnie, kontynuowano leki stałe, w tym inhalacje z kolistyny. U chorej od 3 lat stwierdza się przewlekłe zakażenie dróg oddechowych Pseudomonas aeruginosa (szczep lekowrażliwy). W leczeniu należy zastosować:
Pytanie 100
Do klasycznych kryteriów rozpoznania alergicznej aspergilozy oskrzelowo-płucnej (ABPA) u chorych na mukowiscydozę należą:
1) nasilenie objawów choroby oskrzelowo-płucnej (kaszel z wykrztuszaniem większej ilości plwociny często brunatnej, niekiedy z obecnością odlewów oskrzeli, świsty, obniżenie tolerancji wysiłku) niezwiązane z inną przyczyną;
2) podwyższone stężenie alergenowo swoistych IgE (asIgE) lub dodatnie testy skórne z Aspergillus fumigatus;
3) stężenie całkowite IgE > 1000 j.m/ml (u chorego nieleczonego glikokortykosteroidami);
4) obecność alergenowo swoistych IgG (asIgG >90) lub precypityn dla Aspergillus fumigatus;
5) nowe, nieustępujące po antybiotyku zacienienia o charakterze guzków ze skonsolidowaną częścią centralną i obwódką o znacznie mniejszej gęstości tzw. „halo” w RTG klatki piersiowej/HRCT.
Prawidłowa odpowiedź to:
Pytanie 101
Wskaż fałszywe stwierdzenia dotyczące cukrzycy związanej z mukowiscydozą (CFRD - cystic fibrosis-related diabetes):
1) jest częstym powikłaniem występującym w przebiegu mukowiscydozy u dzieci do 5 roku życia;
2) w patomechanizmie choroby pierwotnym zaburzeniem jest upośledzone wydzielanie insuliny z towarzyszącą insulinoopornością;
3) kluczowa jest terapia żywieniowa oparta o dietę niskokaloryczną z ograniczeniem węglowodanów i soli;
4) leczenie polega na podawaniu leków hipoglikemizujących;
5) insulinoterapia jest jedyną formą farmakoterapii;
6) jest czynnikiem pogarszającym rokowanie i znacznie zwiększającym ryzyko zgonu.
Prawidłowa odpowiedź to:
Pytanie 102
U 2-letniego dziecka poddawanego chemioterapii zostały stwierdzone w badaniu klinicznym rozlane zmiany zapalne nad polami płucnymi. Metody obrazowe jak również analityczne krwi nie pozwoliły na ustalenie czynnika wywołującego zapalenie miąższu płucnego, które w ciągu kilku dni nie poddawało się terapii empirycznej. Jako konsultujący pulmonolog w tej sytuacji zalecisz badanie:
Pytanie 103
Płukanie oskrzelikowo-pęcherzykowe przeprowadzane jest standardowo przy obecności rozsianych homogennych zmian miąższu płucnego w obrębie:
Pytanie 104
Wskaż prawidłową całkowitą objętość 0,9% roztworu NaCl stosowaną dla wykonania płukania oskrzelikowo-pęcherzykowego u dziecka o masie ciała 15 kg, która będzie podawana w czterech porcjach:
Pytanie 105
W komórkowym składzie płynu z płukania oskrzelikowo-pęcherzykowego (BALF) dokonanym u małych dzieci z grup kontrolnych dominują spośród wymienionych:
Pytanie 106
Wysoki indeks makrofagów obładowanych lipidami (LLMI) w ocenie cytologicznej płynu z popłuczyn oskrzelikowo-pęcherzykowych (BALF-u) będzie wskazywał na:
Pytanie 107
Wskaż liczbę kolonii bakterii w 1 mililitrze (cfu/ml) płynu z płukania oskrzelikowo-pęcherzykowego (BALF-u) wykonanego fiberobronchoskopem, którą przyjmuje się jako istotną etiologicznie w zapaleniu płuc:
Pytanie 108
Spośród wymienionych czynników wirusowych wskaż te, którym przypisuje się istotną rolę w powstawaniu rozstrzeni oskrzeli u dzieci:
1) wirusy odry;
2) adenowirusy;
3) wirusy typu herpes;
4) RS wirusy;
5) wirusy różyczki.
Prawidłowa odpowiedź to:
Pytanie 109
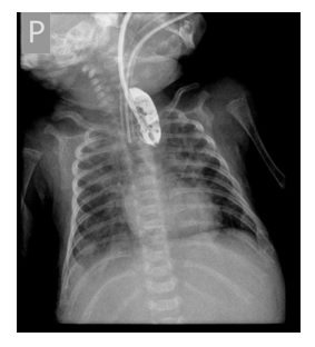
Zdjęcie prezentowane poniżej (wykonane u zaintubowanego noworodka, któremu wodny środek kontrastujący podawany jest przez cewnik do przełyku) jest diagnostyczne dla:

Pytanie 110
Częstość występowania atrezji przełyku z towarzyszącymi różnymi typami przetok tchawiczo-przełykowych, w stosunku do częstości występowania mukowiscydozy (CF) jest:
Pytanie 111
W badaniu spirometrycznym zmiana FEV1 w teście wysiłkowym jest wyliczana według wzoru:
D%FEV1= (FEV1przed wysiłkiem - FEV1po wysiłku) * 100/FEV1przed wysiłkiem
Istotna, nieprawidłowa zmiana drożności oskrzeli po wysiłku (bronchokonstrykcja powysiłkowa) będzie charakteryzowała się wartością:
Pytanie 112
U dziecka 5-letniego kryterium istotnego obniżenia skurczowego ciśnienia tętniczego wskazującego na wstrząs anafilaktyczny będzie wartość mniejsza lub równa:
Pytanie 113
Dla agenezji płuca lewego prawdziwe są stwierdzenia:
1) brak oskrzela głównego lewego;
2) szczątkowa obecność miąższu płucnego po stronie lewej;
3) szczątkowe wykształcenie tętnicy płucnej po stronie lewej;
4) przemieszczenie śródpiersia na stronę lewą;
5) selektywna bronchografia ustala rozpoznanie.
Prawidłowa odpowiedź to:
Pytanie 114
W badaniu rtg kl. piersiowej stwierdzono różnokształtne przejaśnienia i zacienienia z poziomami płynu zwłaszcza nadprzeponowo z zacienieniem kąta przeponowo-żebrowego po stronie lewej u niegorączkującego dziecka, w dobrym stanie ogólnym, z objawami kaszlowymi, sporadycznie wymiotującego, z pojedynczymi zmianami wilgotnymi nad polami płucnymi po stronie lewej. Najbardziej prawdopodobnym rozpoznaniem będzie:
Pytanie 115
Pewną, a zarazem najprostszą i najmniej jatrogenną metodą rozpoznania pierwotnej tracheomalacji u niemowlęcia będzie:
Pytanie 116
Najczęstszą przyczyną stridoru wdechowego u niemowlęcia jest:
Pytanie 117
Receptory kaszlowe występują w niżej wymienionych, z wyjątkiem:
Pytanie 118
Świst krtaniowy wdechowy występuje w niżej wymienionych chorobach, z wyjątkiem:
Pytanie 119
U 12-letniej, dotąd zdrowej dziewczynki wystąpiło w okresie ferii zimowych wirusowe zakażenie dróg oddechowych objawiające się gorączką, bólem gardła i kaszlem. W krótkim czasie po powrocie do szkoły pojawił się napadowy, bardzo głośny, nieproduktywny, dudniący, „krtaniowy” kaszel występujący wyłącznie w ciągu dnia. W badaniu fizykalnym, laryngologicznym, w badaniach laboratoryjnych i RTG klatki piersiowej nie stwierdzono odchyleń od stanu prawidłowego. Najbardziej prawdopodobnym rozpoznaniem jest:
Pytanie 120



