Wyszukaj egzamin lub pytanie
Egzamin PES Chirurgia szczękowo-twarzowa / wiosna 2024
120 pytań
Pytanie 1
Średni wymiar podstawy wyrostka kłykciowego żuchwy w płaszczyźnie strzałkowej wynosi:
Pytanie 2
Średnia szerokość w płaszczyźnie czołowej podstawy wyrostka kłykciowego żuchwy na wysokości linii Loukoty wynosi:
Pytanie 3
Które stwierdzenie przedstawia prawidłowy przebieg linii Loukoty?
Pytanie 4
Który z typów morfologicznych głowy żuchwy nie występuje w klasyfikacji wg Yale i Allison?
Pytanie 5
Do osteosyntezy złamań szyjki smukłych wyrostków kłykciowych (slender) nie wykorzystuje się:
Pytanie 6
Typ przysadzisty wyrostka kłykciowego żuchwy występuje, gdy szerokość podstawy szyjki wynosi powyżej:
Pytanie 7
Ile wynosi prawidłowa objętość płynu stawowego w zdrowym stawie skroniowo-żuchwowym?
Pytanie 8
W typie II podziału nerwu twarzowego w obszarze dostępu przedusznego wg Yang i Yoo na przebiegu linii V2:
Pytanie 9
W jakim odsetku przypadków występuje typ III podziału nerwu twarzowego w obszarze dostępu przedusznego wg Yang i Yoo?
Pytanie 10
W którym ze stopni popromiennego zapalenia skóry występują teleangiektazje?
Pytanie 11
Jaka jest najczęstsza przyczyna urazów twarzoczaszki w Polsce?
Pytanie 12
Najczęstszą przyczyną złamań żuchwy u kobiet w Polsce są:
Pytanie 13
Które ze złamań twarzowej części czaszki są najczęstsze?
Pytanie 14
Która z przyczyn złamań kości twarzowej części czaszki występuje najczęściej u osób w wieku senioralnym oraz u pacjentów długowiecznych w krajach Europy Wschodniej?
Pytanie 15
W jakim odsetku przypadków złamania żuchwy można rozpoznać w oparciu o komplet urazowy żuchwy?
Pytanie 16
Komplet urazowy żuchwy obejmuje zdjęcie:
Pytanie 17
Który z typów złamań wyrostka kłykciowego żuchwy, wg klasyfikacji Spiessl i Schroll opisuje złamanie bez przemieszczenia?
Pytanie 18
Typ 4 złamania wyrostka kłykciowego żuchwy wg Spiessl i Schroll to:
Pytanie 19
Która z konfiguracji typów złamań wyrostków kłykciowych żuchwy wg Spiessl i Schroll opisuje złamania ze zwichnięciem?
Pytanie 20
Który z parametrów jest czynnikiem wpływającym na wysokość dawki całkowitej w radykalnej radioterapii klasycznie frakcjonowanej pól węzłowych u pacjentów z rakiem płaskonabłonkowym obszaru głowy i szyi?
Pytanie 21
Rekomendacja dotycząca wskazań do leczenia zachowawczego złamań wyrostków kłykciowych żuchwy obejmuje przypadki z przemieszczeniem wyrażonym kątem zwichnięcia maksymalnie do:
Pytanie 22
Typ C złamania głowy żuchwy wg Neffa to:
Pytanie 23
Który z opisów zmian radiologicznych jest typowy dla wariantu obwodowego włókniaka zębopochodnego (POF)?
Pytanie 24
Do której z grup metod leczenia rogowaciejąco-torbielowatego guza zębopochodnego (KCOT) należy metoda resekcji kości wraz ze zmianą?
Pytanie 25
Jaka jest najczęstsza lokalizacja szkliwiaka desmoplastycznego (DA) w obrębie żuchwy?
Pytanie 26
Który z obrazów radiologicznych jest typowy dla szkliwiaka (SMA) kości szczękowych?
Pytanie 27
Która z metod leczenia szkliwiaka jednokomorowego (UA) jest optymalna w typie luminalnym?
Pytanie 28
Która z lokalizacji jest najczęstsza dla raka szkliwiakowego (ACp)?
Pytanie 29
Który z elementów nie należy do kryteriów rozpoznawczych zespołu McCune’a-Albrighta?
Pytanie 30
Metodą z wyboru w leczeniu niewielkich rozmiarów ziarniniaka olbrzymiokomórkowego żuchwy jest:
Pytanie 31
Wskaż najczęstszą lokalizację zębiaka zestawnego (OCp):
Pytanie 32
Wskazaniem do otwartego anatomicznego nastawienia złamania szyjki wyrostka kłykciowego żuchwy i osteosyntezy jest:
Pytanie 33
Zespolenie odłamów złamania głowy żuchwy wykonuje się długimi wkrętami. Wskaż prawdziwe stwierdzenie:
Pytanie 34
Zespolenia odłamów kości można wykonać biodegradowalnymi wkrętami metalowymi. Wskaż prawdziwe stwierdzenie dotyczące tego materiału zespalającego:
Pytanie 35
Osteosynteza odłamów w złamaniu podstawy lub niskim złamaniu szyjki wyrostka kłykciowego żuchwy jest najstabilniejsza, gdy zastosuje się:
Pytanie 36
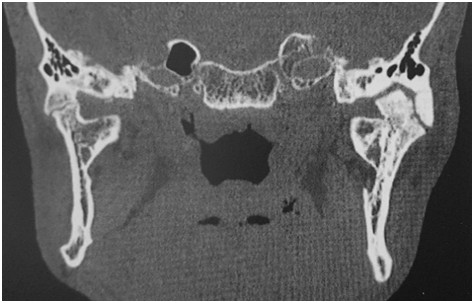
Rycina przedstawia badanie tomografii komputerowej w zakresie twarzowej części czaszki. Wskaż właściwe rozpoznanie:

Pytanie 37
Na rycinie przedstawiono jeden z uniwersalnych dostępów chirurgicznych do wyrostka kłykciowego. Jest to dostęp:

Pytanie 38
Rycina przedstawia czołowy skan z badania TK pacjenta, który przebył uraz głowy kilka lat wcześniej. Wskaż prawidłową interpretację tego obrazu:

Pytanie 39
Klasyfikacja Junipera z 1994 roku wyróżnia:
Pytanie 40
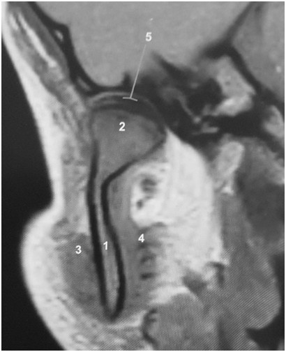
Rycina przedstawia obraz rezonansu magnetycznego, przekrój czołowy prawego stawu skroniowo-żuchwowego. Mięsień skrzydłowy przyśrodkowy jest oznaczony cyfrą:

Pytanie 41
Wskaż fałszywe stwierdzenie:
Pytanie 42
Cechą charakterystyczną dla zespołu stożka oczodołowego różnicującą z zespołem szczeliny oczodołowej górnej jest:
Pytanie 43
Wskaż fałszywe stwierdzenie dotyczące młodzieńczego piaszczakowatego włókniaka kostniejącego (JPOF):
Pytanie 44
Śruba Herberta stosowana do zespolenia złamań głowy wyrostka stawowego żuchwy nie jest:
Pytanie 45
Wskaż prawdziwe stwierdzenia dotyczące torbieli tętniakowatej kości:
1) szczyt zachorowania występuje w 4. dekadzie życia;
2) nie jest zmianą charakterystyczną dla kości szczękowych;
3) stwierdza się predylekcję jej występowania u mężczyzn;
4) umiejscowienie w kościach czaszki stanowi 12% przypadków;
5) w lokalizacji gnatycznej częściej występuje w żuchwie;
6) może umiejscawiać się w kości sitowej.
Prawidłowa odpowiedź to:
Pytanie 46
W postaci czaszkowo-twarzowej dysplazji włóknistej (CFFD) występują:
1) mutacje genu GNAS1 w komórkach osteoprogenitorowych w ogniskach dysplastycznych;
2) obliteracja zatoki szczękowej;
3) zaburzenia smaku;
4) przedwczesne dojrzewanie płciowe;
5) podwyższony poziom fosfatazy kwaśnej we krwi;
6) zmiany chemiczne białka Gs-β.
Prawidłowa odpowiedź to:
Pytanie 47
Wewnątrzkostna zmiana olbrzymiokomórkowa charakteryzuje się:
Pytanie 48
Wskaż prawdziwe stwierdzenia dotyczące torbieli:
1) zębopochodna torbiel groniasta należy do rozwojowych torbieli prawdziwych;
2) zapalna torbiel resztkowa jest prawdziwą torbielą kości szczękowych;
3) torbiel tętniakowata jest rzekomą torbielą kości szczęk;
4) zębopochodna torbiel przyzębna boczna jest torbielą rozwojową;
5) torbiel samotna jest torbielą rzekomą;
6) torbiel kanału przysiecznego jest torbielą rzekomą.
Prawidłowa odpowiedź to:
Pytanie 49
Przednio-boczna operacja układu chłonnego szyi polega na selektywnym usunięciu poziomu węzłowego:
Pytanie 50
Selektywna operacja środkowego przedziału węzłowego szyi nie obejmuje usunięcia węzłów chłonnych:
Pytanie 51
Złamania czaszkowo-oczodołowe to złamania:
Pytanie 52
Wskaż fałszywe stwierdzenie dotyczące ropnia przestrzeni skrzydłowo-podniebiennej:
Pytanie 53
Wskaż fałszywe stwierdzenie:
Pytanie 54
W gruźlicy typowej:
1) rezerwuarem prątka mogą być zakażone dzikie zwierzęta;
2) rezerwuarem prątka mogą być zakażone zwierzęta domowe;
3) miejscem wtargnięcia prątków może być jama ustna;
4) prątek po wniknięciu do tkanki wywołuje w niej zmiany zwyrodnieniowe;
5) gruzełek zawiera komórki olbrzymie Langhansa.
Prawidłowa odpowiedź to:
Pytanie 55
Wskaż prawdziwe stwierdzenie dotyczące mięśniakomięsaka prążkowanokomórkowego:
Pytanie 56
Wskaż prawdziwe stwierdzenie dotyczące chrzęstniakomięsaka I stopnia według zróżnicowania histologicznego:
Pytanie 57
Do nowotworów gruczołów ślinowych niskozróżnicowanych o wysokiej złośliwości nie należy:
Pytanie 58
Podczas osteogenezy dystrakcyjnej proces uwapnienia tkanki regeneracyjnej rozpoczyna się po upływie około:
Pytanie 59
Wg klasyfikacji Olsena do łagodnych guzów przestrzeni przygardłowej nie zalicza się:
Pytanie 60
Węzły VI poziomu węzłowego nie obejmują węzłów:
Pytanie 61
Wskaż prawdziwe stwierdzenia dotyczące antybiotykoterapii w chirurgii szczękowo-twarzowej:
1) zaleca się rutynowe stosowanie profilaktyki antybiotykowej w zabiegach w zakresie tkanek miękkich przeprowadzanych z dostępu zewnątrzustnego oraz w operacjach na układzie chłonnym szyi, w których nie dochodzi do wytworzenia połączenia z drogami oddechowymi;
2) zaleca się stosowanie osłony antybiotykowej w zabiegach z użyciem płatów uszypułowanych;
3) zaleca się podanie na 2 godziny przed zabiegiem ampicyliny z sulbaktamem drogą dożylną, u pacjentów dorosłych w dawce 1500 mg;
4) u pacjentów dorosłych przy zabiegach trwających ponad 4 godziny zaleca się podanie kolejnej dawki ampicyliny z sulbaktamem drogą dożylną;
5) u pacjentów uczulonych na antybiotyki penicylinowe zaleca się podanie amikacyny, u pacjentów dorosłych w dawce 1000 mg;
6) w przypadku bardzo rozległych zabiegów lub przy zabiegach przebiegających z dużą utratą krwi (powyżej 1000 ml) zaleca się kontynuowanie stosowania antybiotyku co 6-8 godzin w ciągu pierwszej doby od podania pierwszej dawki (tzw. profilaktyka ultrakrótka).
Prawidłowa odpowiedź to:
Pytanie 62
Wskaż prawdziwe stwierdzenia dotyczące antybiotykowej profilaktyki zakażeń miejsca operowanego w zabiegach obejmujących kości szczękowe u pacjentów przyjmujących leki antyresorpcyjne lub antyangiogenne, bądź po przebytej radioterapii obszaru szczękowo-twarzowego:
1) zaleca się rutynowe stosowanie profilaktyki antybiotykowej w zabiegach obejmujących kości szczękowe u pacjentów przyjmujących lek z grupy bisfosfonianów, denosumab lub bewacyzumab począwszy od dnia poprzedzającego zabieg, a następnie zastosowanie profilaktyki krótkoterminowej;
2) profilaktyka krótkoterminowa to wdrożenie antybiotykoterapii przez okres 5 dni po zabiegu chirurgicznym;
3) w przypadku współistniejących czynników ryzyka wystąpienia martwicy kości szczękowych (tj. stosowanie kwasu zoledronowego, stosowanie bisfosfonianu drogą dożylną, stosowanie leku od co najmniej 3 lat, wcześniejszy epizod zapalenia lub martwicy kości szczękowych) należy rozważyć profilaktykę długoterminową;
4) profilaktyka długoterminowa to wdrożenie antybiotykoterapii przez 10 dni;
5) zaleca się stosowanie amoksycyliny u pacjentów dorosłych w dawce 1000 mg co 12 godzin, u dzieci 40 mg/kg m.c./dobę w dwóch dawkach podzielonych;
6) zaleca się rutynowe stosowanie profilaktyki antybiotykowej przed zabiegiem obejmującym kości szczękowe u pacjentów po przebytej radioterapii obszaru szczękowo-twarzowego począwszy od dnia poprzedzającego zabieg, a następnie zastosowanie profilaktyki krótkoterminowej.
Prawidłowa odpowiedź to:
Pytanie 63
Które z nowotworów należą do grupy guzów zawierających nabłonek zębotwórczy i zębopochodną ektomezenchymę, mogących tworzyć twarde struktury tkankowe?
1) guz Pindborga;
2) pseudogruczołowy guz zębopochodny;
3) włókniak szkliwiakowy;
4) wapniejący torbielowaty guz zębopochodny;
5) kostniwiak;
6) zębiakoszkliwiak.
Prawidłowa odpowiedź to:
Pytanie 64
Który z wariantów nie jest rodzajem raka płaskonabłonkowego jamy ustnej?
Pytanie 65
Dopasuj charakterystyczny obraz radiologiczny do jednostki chorobowej:
1) obraz kości powygryzanej przez mole;
2) obraz skórki pomarańczowej;
3) obraz szprychy koła rowerowego;
4) obraz naciągu rakiety tenisowej;
a) pseudogruczołowy guz zębopochodny;
b) śluzak zębopochodny;
c) kostniwiak;
d) dysplazja włóknista;
e) torbiel tętniakowata;
f) płaskonabłonkowy guz zębopochodny.
Prawidłowa odpowiedź to:
Pytanie 66
Które z torbieli należą do grupy torbieli rzekomych?
1) dziąsłowa niemowląt;
2) skórzasta;
3) samotna;
4) zębopochodna torbiel groniasta;
5) przyzębna boczna;
6) tętniakowata;
7) erupcyjna.
Prawidłowa odpowiedź to:
Pytanie 67
Szkliwiak B4, wg podziału Babarinde (2007) to szkliwiak wewnątrz kości:
Pytanie 68
Wskaż prawdziwe stwierdzenia dotyczące leczenia chirurgicznego raka płaskonabłonkowego jamy ustnej:
1) w przypadku dostępu pull-through wykonuje się mandibulotomię pośrodkową;
2) płat typu visor jest płatem podwójnie uszypułowanym;
3) mandibulotomię boczną wykonuje się pomiędzy drugim zębem siecznym a kłem;
4) resekcja części zębodołowej żuchwy to inaczej marginektomia;
5) resekcja dolnego brzegu żuchwy nazywana jest resekcją brzeżną od dołu.
Prawidłowa odpowiedź to:
Pytanie 69
Wskaż prawdziwe stwierdzenia dotyczące zasad obserwacji chorych na raka jamy ustnej po zakończeniu radyklanego leczenia onkologicznego:
1) chory w okresie od 1 do 2 lat po zakończeniu radykalnego leczenia onkologicznego z powodu raka płaskonabłonkowego jamy ustnej powinien zgłaszać się na kontrole co 2 miesiące;
2) u chorego leczonego w schemacie zabieg chirurgiczny + radioterapia uzupełniająca (PORT) badanie tomografii komputerowej powinno być wykonane po 6 miesiącach od zakończenia PORT;
3) u chorego leczonego tylko chirurgicznie powinno się zlecać badanie USG jamy brzusznej raz na 2 lata do 5 lat od zakończenia leczenia;
4) u chorego leczonego w schemacie zabieg chirurgiczny + PORT zdjęcia RTG klatki piersiowej powinno się zlecać raz na pół roku do 5 lat od zakończenia leczenia, a u chorego leczonego tylko chirurgicznie raz na rok do 5 lat od zakończenia leczenia;
5) u chorego leczonego w schemacie zabieg chirurgiczny + PORT pierwsze badanie USG szyi wykonuje się 2-3 miesiące po zabiegu, następnie co pół roku do 5 lat od zakończenia leczenia.
Prawidłowa odpowiedź to:
Pytanie 70
Które z wymienionych należą do raków podstawnokomórkowych (BCC) o wysokim ryzyku wznowy?
1) BCC guzkowy rozwijający się na skórze policzka o średnicy 6 mm;
2) BCC powierzchowny rozwijający się na nosie o średnicy 7 mm;
3) BCC twardzinopodobny rozwijający się na bródce o średnicy 5 mm;
4) BCC rogowaciejący rozwijający się na małżowinie usznej o średnicy 8 mm;
5) guz Pinkusa rozwijający się na czole o średnicy 9 mm;
6) BCC drobnoguzkowy rozwijający się w okolicy przedusznej o średnicy 4 mm.
Prawidłowa odpowiedź to:
Pytanie 71
Który z leków stosuje się w leczeniu systemowym chorych z rakiem podstawnokomórkowym, niekwalifikującym się do radykalnego leczenia chirurgicznego oraz radioterapii?
Pytanie 72
Do przeprowadzenia procedury węzła wartownika (SLNB) powinien zostać zakwalifikowany chory z czerniakiem w stopniu zaawansowania:
1) 1A;
2) 1B;
3) II;
4) III;
5) IV.
Prawidłowa odpowiedź to:
Pytanie 73
Do poradni chirurgii szczękowo-twarzowej zgłosił się pacjent z powodu bólu trzonu żuchwy po stronie prawej. Na wykonanym zdjęciu OPG uwidoczniono ubytek osteolityczny kości nie mający związku z korzeniami zębów. Ponadto chory zgłasza osłabienie siły mięśniowej, uczucie drętwienia palców dłoni, senność i ból głowy. Wskaż wstępne rozpoznanie:
Pytanie 74
Wskaż prawdziwe stwierdzenia dotyczące mepiwakainy:
1) charakteryzuje się wysoką zdolnością penetracji tkanek miękkich, z tego powodu polecana jest szczególnie do wykonywania znieczuleń przewodowych;
2) maksymalna, jednorazowa dawka czystej mepiwakainy u dorosłej osoby wynosi 200 mg oraz 400 mg w przypadku podania preparatu z epinefryną;
3) w dużych dawkach może mieć działanie neuro- oraz miotoksyczne;
4) powinno się ją stosować u kobiet ciężarnych ze względu na wysoki stopień wiązania z białkami osocza i niewielką penetrację przez łożysko;
5) podobnie jak lidokaina, posiada zdolności antyarytmiczne.
Prawidłowa odpowiedź to:
Pytanie 75
Do chorób, których współistnienie wyklucza możliwości podania preparatów złożonych ze środka znieczulenia miejscowego i leku zwężającego naczynia należy:
1) nadczynność tarczycy;
2) rozedma płuc;
3) padaczka;
4) astma oskrzelowa;
5) niewydolność wątroby;
6) nerwica;
7) miastenia;
8) cukrzyca.
Prawidłowa odpowiedź to:
Pytanie 76
Wskaż prawdziwe stwierdzenia dotyczące płata promieniowego:
1) test Allena wykonywany przed zabiegiem pobrania płata z przedramienia ma na celu ocenę drożności tętnicy promieniowej;
2) w trakcie pobierania płata promieniowego należy zachować gałąź powierzchowną nerwu promieniowego;
3) pęczek naczyniowy biegnie w przegrodzie pomiędzy mięśniem dłoniowym długim a zginaczem promieniowym nadgarstka;
4) w obręb płata promieniowego można włączyć żyły układu powierzchownego przedramienia, np. żyłę odpromieniową;
5) podczas preparowania płata promieniowego zostają uwidocznione ścięgna mięśni: zginacza łokciowego nadgarstka, zginacza powierzchownego palców, dłoniowego długiego, zginacza promieniowego nadgarstka, ramienno-promieniowego.
Prawidłowa odpowiedź to:
Pytanie 77
Wskaż prawdziwe stwierdzenie:
Pytanie 78
Tętnica strzałkowa biegnie pomiędzy mięśniem:
Pytanie 79
Przyporządkuj podane plastyki płatowe do sposobu przemieszczenia ich do odtwarzanego ubytku:
1) A-T plastyka;
2) płat Rintala;
3) płat Mustarde’a;
4) płat Dufourmentala;
5) H-plastyka;
6) płat Penga;
a) płat zsunięty;
b) płat rotacyjny;
c) płat przełożony.
Prawidłowa odpowiedź to:
Pytanie 80
Wskaż prawdziwe stwierdzenia dotyczące chrzęstniakomięsaków:
1) częściej rozwijają się u kobiet;
2) najczęściej rozwijają się w szczęce;
3) najczęściej rozwijają się w 4., 5. oraz 6. dekadzie życia;
4) chrzęstniakomięsak G2 daje przerzuty odległe u 15-20% chorych;
5) metodą z wyboru w leczeniu chrzęstniakomięsaka jest leczenie chirurgiczne.
Prawidłowa odpowiedź to:
Pytanie 81
Wskaż fałszywe stwierdzenie dotyczące jasnokomórkowego raka zębopochodnego:
Pytanie 82
Wskaż prawdziwe stwierdzenia dotyczące litej postaci pierwotnego wewnątrzkostnego raka płaskonabłonkowego:
1) w żuchwie lokalizuje się najczęściej w odcinku bocznym trzonu, odwrotnie niż w szczęce, gdzie zwykle dotyczy odcinka przedniego;
2) rozwija się z pozostałości wysp Malasseza i nabłonka szkliwotwórczego otaczającego zatrzymany ząb;
3) przerzuty odległe najczęściej dotyczą płuc;
4) wykazuje zdolność do naciekania wzdłuż pni nerwowych;
5) w przypadku zastosowania radykalnej metody leczenia przeżycia 5-letnie wynoszą około 75-80%.
Prawidłowa odpowiedź to:
Pytanie 83
Wskaż prawdziwe stwierdzenia dotyczące melanotycznego neuroektodermalnego guza wieku niemowlęcego:
1) wywodzi się z komórek pierwotnej cewy nerwowej;
2) niemal wyłącznie rozwija się w obrębie głowy i szyi, a lokalizacja w innych obszarach anatomicznych jest incydentalna;
3) przypadki rozwijające się po 1. roku życia zazwyczaj mają umiejscowienie pozagnatyczne;
4) ryzyko zezłośliwienia wynosi około 25%;
5) objawem stałym nowotworu jest podwyższony poziom kwasu wanilinomigdałowego w moczu.
Prawidłowa odpowiedź to:
Pytanie 84
Skuteczność terapeutyczną w odniesieniu do włókniakomięsaka szkliwiakowego wykazuje:
1) doksorubicyna;
2) 5-fluorouracyl;
3) adriamycyna;
4) winkrystyna;
5) cyklofosfamid.
Prawidłowa odpowiedź to:
Pytanie 85
Wskaż fałszywe stwierdzenie dotyczące zębinopochodnego raka zawierającego komórki-cienie:
Pytanie 86
Wskaż prawdziwe stwierdzenia dotyczące typu pierwotnego raka szkliwiakowego:
1) występuje głównie u pacjentów po 50. roku życia;
2) najczęściej rozwija się w przednim odcinku trzonu szczęki lub żuchwy;
3) wczesnym objawem jego rozwoju są dolegliwości bólowe;
4) w jego komórkach stwierdza się amplifikację w locus 5q13;
5) przerzuty lokoregionalne i odległe w jego przebiegu dotyczą około 75% pacjentów.
Prawidłowa odpowiedź to:
Pytanie 87
Do składowych tzw. syndromu HPT-JT (hyperparathyroidism-jaw tumor syndrome) nie należy:
Pytanie 88
Wskaż fałszywe stwierdzenie dotyczące wapniejącego nabłonkowego guza zębopochodnego:
Pytanie 89
Najczęstszą lokalizacją śluzowiaka jest:
Pytanie 90
Wskaż prawdziwe stwierdzenie dotyczące torbieli samotnej kości szczękowych:
Pytanie 91
Wskaż prawdziwe stwierdzenie dotyczące zapalnej postaci torbieli zawiązkowej:
Pytanie 92
„Torbiel ta najczęściej lokalizuje się w obrębie korzeni częściowo zatrzymanych lub całkowicie wyrzniętych trzecich zębów trzonowych w żuchwie. Może także rozwijać się w obrębie powierzchni policzkowej korzeni pierwszego lub drugiego zęba trzonowego w żuchwie. Jej wystąpienie najczęściej poprzedzone jest epizodem zapalenia okołokoronowego”. Opis dotyczy:
Pytanie 93
Wskaż fałszywe stwierdzenie dotyczące anomalii skrzelopochodnych rozwijających się na podłożu IV łuku skrzelowego:
Pytanie 94
Czerniak złośliwy w stopniu IV w skali Breslowa, z obecnym owrzodzeniem oraz przerzutowym pakietem w obrębie okolicznych węzłów chłonnych, a także potwierdzoną obecnością przerzutów do płuc należy zaklasyfikować jako:
Pytanie 95
Rak z komórek Merkla o średnicy 3 cm w największym wymiarze, z obecnością przerzutów in transit oraz do płuc należy zaklasyfikować jako:
Pytanie 96
Wskaż fałszywe stwierdzenie dotyczące włókniakomięsaka guzowatego:
Pytanie 97
Jakie jest ryzyko wystąpienia przerzutów do węzłów chłonnych mięśniakomięsaka prążkowanokomórkowego oczodołu u dzieci?
Pytanie 98
Która z metod leczenia rekonstrukcyjnego ma zastosowanie w przypadku ubytku wargi dolnej, który przekracza ⅔ jej długości?
1) McIntosha;
2) Karapandzica;
3) Brunsa-Szymanowskiego;
4) Abbe-Estlandera;
5) Diffenbacha.
Prawidłowa odpowiedź to:
Pytanie 99
Leczenie chirurgiczne po rozpoznaniu nisko- lub niezróżnicowanego raka płaskonabłonkowego błony śluzowej jamy ustnej stosuje się w przypadku:
1) naciekania podłoża kostnego;
2) braku całkowitej regresji guza pierwotnego po radykalnej radio- lub chemioradioterapii;
3) obecności przetrwałych przerzutowych węzłów chłonnych na szyi po radykalnej radio- lub chemioradioterapii;
4) stwierdzenia przerzutów odległych;
5) I i II stopnia zaawansowania klinicznego.
Prawidłowa odpowiedź to:
Pytanie 100
Jakie jest szacowane 5-letnie przeżycie w raku śluzowo-naskórkowym typu low-grade?
Pytanie 101
Spośród poniższych nowotworów złośliwych gruczołów ślinowych największe ryzyko przerzutów odległych cechuje:
1) raka gruczołowato-torbielowatego;
2) raka drobnokomórkowego;
3) raka płaskonabłonkowego;
4) niskozróżnicowanego raka śluzowo-naskórkowego;
5) gruczolakoraka bliżej niesprecyzowanego NOS.
Prawidłowa odpowiedź to:
Pytanie 102
Badaniem pomocnym w ocenie węzłów chłonnych przerzutowych jest badanie USG w opcji Doppler. Objawem, który może sugerować obecność węzłów chłonnych przerzutowych po tym badaniu jest:
1) okrągły lub owalny kształt węzła chłonnego;
2) brak zatoki tłuszczowej;
3) brak naczyń odwnękowych;
4) wzmożony przepływ na obwodzie węzła chłonnego;
5) niejednorodna echogeniczność z obecnością stref hipoechogenicznych/bezechowych - ogniska rozpadu.
Prawidłowa odpowiedź to:
Pytanie 103
Zgodnie z obowiązującą klasyfikacją TNM raka jamy ustnej, stopień zaawansowania klinicznego określony jako: T4a N2c M0 oznacza, że:
1) guz pierwotny nacieka przestrzeń żwaczy, wyrostki skrzydłowate kości klinowej, podstawę czaszki i/lub obejmuje tętnicę szyjną wewnętrzną;
2) guz pierwotny jest większy niż 4 cm w największym wymiarze;
3) guz pierwotny nacieka otoczenie (blaszkę korową szczęki lub żuchwy, mięśnie głębokie języka, zatokę szczękową, skórę twarzy);
4) są liczne przerzuty w węzłach po stronie guza, do 6 cm w największym wymiarze;
5) jest przerzut w węźle chłonnym powyżej 6 cm w największym wymiarze;
6) są przerzuty obustronne lub po przeciwnej stronie od guza pierwotnego, do 6 cm średnicy w największym wymiarze;
7) brak przerzutów odległych.
Prawidłowa odpowiedź to:
Pytanie 104
Wskaż fałszywe stwierdzenia dotyczące nowotworów gruczołów ślinowych:
1) guz Warthina w 2,3-8% przypadków występowania lokalizuje się węzłach chłonnych od I do III przedziału;
2) histologicznie złośliwą komponentę guza mieszanego złośliwego najczęściej stanowią niskozróżnicowane gruczolakoraki;
3) w obrębie brodawczakowatego torbielakogruczolaka limfatycznego mogą występować przerzuty czerniaka złośliwego skóry głowy;
4) postać lita raka gruczołowato-torbielowatego rokuje lepiej niż postać cewkowa oraz sitowata;
5) rak śluzowo-naskórkowy stanowi najczęstszy nowotwór złośliwy gruczołów ślinowych, w 53% przypadków lokalizuje się w dużych gruczołach ślinowych, wykazując predylekcję do ślinianki podżuchwowej;
6) przerzutujący gruczolak wielopostaciowy najczęściej przerzutuje do płuc, a w dalszej kolejności do kości i wątroby.
Prawidłowa odpowiedź to:
Pytanie 105
Po wykonaniu resekcji chirurgicznej raka zatoki szczękowej o stopniu zaawansowania klinicznego T2 N0 otrzymano wynik badania histopatologicznego: rak gruczołowato-torbielowaty w zakresie suprastruktury (zabieg radykalny). Leczeniem uzupełniającym będzie:
Pytanie 106
Do podtypów raka podstawnokomórkowego o agresywnym typie wzrostu zalicza się podtyp:
1) rogowaciejący;
2) rylcowaty;
3) podstawno-kolczystokomórkowy;
4) guzkowy;
5) twardzinopodobny;
6) barwnikowy;
7) drobnoguzkowy.
Prawidłowa odpowiedź to:
Pytanie 107
Wskaż prawdziwe stwierdzenia dotyczące leczenie nowotworów nabłonkowych głowy i szyi:
1) samodzielna radioterapia jest metodą równorzędną z chirurgią u większości chorych na niezaawansowanego raka płaskonabłonkowego głowy i szyi (T1-2N0), szczególnie dotyczy to raka skóry, krtani i wargi;
2) samodzielne leczenie systemowe charakteryzuje się wysoką skutecznością i jest stosowane w przypadku nawrotów lub rozsiewu w przebiegu raka płaskonabłonkowego głowy i szyi;
3) wskazaniem do radioterapii pooperacyjnej jest stwierdzenie co najmniej trzech przerzutów w usuniętych węzłach chłonnych szyi w przypadku raka płaskonabłonkowego głowy i szyi;
4) chemioradioterapia jest rekomendowana jako leczenie oszczędzające narząd w lokoregionalnie zaawansowanych rakach krtani oraz krtaniowej części gardła;
5) chemioradioterapia jest stosowana jako uzupełnienie zabiegu operacyjnego w przypadku obciążających czynników patomorfologicznych (przejście nacieku poza torebkę węzła, brak odpowiedniego marginesu resekcyjnego lub kilku niekorzystnych czynników rokowniczych takich jak: niski stopień zróżnicowania, liczne przerzuty w węzłach chłonnych, naciekanie mięśni głębokich);
6) przeciwciało monoklonalne (cetuksymab) powoduje zwiększenie ekspresji EGFR (receptora naskórkowego czynnika wzrostu) powodując wyższą skuteczność radioterapii w skojarzeniu z cetuksymabem niż samej radioterapii.
Prawidłowa odpowiedź to:
Pytanie 108
Zmodyfikowana operacja Sistrunka to:
Pytanie 109
W rozpoznaniu różnicowym czerniaka złośliwego należy uwzględnić:
1) chorobę Bowena;
2) raka podstawnokomórkowego twardzinopodobnego;
3) brodawki łojotokowe;
4) ziarniniaka naczyniowego;
5) rogowacenie starcze;
6) rogowacenie słoneczne;
7) raka z komórek Merkla.
Prawidłowa odpowiedź to:
Pytanie 110
Wskaż objawy idiopatycznej resorpcji wyrostków kłykciowych:
1) żuchwa ustawia się w dotylnej pozycji, w klasie II zgryzowej z otwieraniem się zgryzu w odcinku przednim;
2) żuchwa ustawia się w dotylnej pozycji, w klasie II zgryzowej z powstaniem zgryzu głębokiego w odcinku przednim;
3) pomniejszone górne drogi oddechowe;
4) w rezonansie magnetycznym widać dotylne przemieszczenie krążka stawowego.
Prawidłowa odpowiedź to:
Pytanie 111
Strzałkowa osteotomia żuchwy obarczona jest ryzykiem wystąpienia wielu potencjalnych powikłań. Do powikłań po zabiegu BSSO (obustronnej strzałkowej osteotomii żuchwy) nie należy:
Pytanie 112
Diagnostyka obrazowa guzów i torbieli opiera się głównie na tomografii komputerowej i rezonansie magnetycznym. Rezonans magnetyczny uważa się za lepsze badanie od tomografii w przypadku:
1) zębopochodnej torbieli gruczołowej;
2) torbieli tętniakowatej kości;
3) ubytku Stafnego;
4) torbieli przewodu tarczowo-językowego;
5) torbieli dermoidalnej;
6) melanotycznego neuroektodermalnego guza wieku niemowlęcego;
7) przewodowej torbieli ślinowej.
Prawidłowa odpowiedź to:
Pytanie 113
Torbiele rozwijające się na podłożu II łuku skrzelowego klasyfikuje się w zależności od lokalizacji. Typ III lokalizuje się:
Pytanie 114
Wskaż prawdziwe stwierdzenia dotyczące anatomii stawu skroniowo-żuchwowego:
1) krążek stawowy nie zawiera w swojej strukturze naczyń, ani nerwów;
2) anatomiczną część stawu skroniowo-żuchwowego stanowią trzy więzadła funkcjonalne: oboczne, torebkowe i rylcowo-żuchwowe;
3) stałe i główne unerwienie stawu skroniowo-żuchwowego pochodzi od nerwu uszno-skroniowego;
4) staw skroniowo-żuchwowy jest jedynym stawem w organizmie człowieka, którego powierzchnie stawowe tworzy chrząstka szklista;
5) unaczynienie wyrostka kłykciowego pochodzi od tętnicy zębodołowej dolnej, gałązek tętnicy skroniowej powierzchownej oraz tętnic usznych głębokich;
6) błona maziowa pokrywająca torebkę stawową jest bogato unaczyniona i jej podstawową rolą jest produkcja płynu stawowego.
Prawidłowa odpowiedź to:
Pytanie 115
Do powikłań śródzabiegowych w leczeniu wyrostka kłykciowego zalicza się:
1) kondylektomię;
2) aksonotmezę nerwu twarzowego (lub jego gałęzi);
3) obrzęki limfatyczne;
4) zespół Łucji Frey;
5) uszkodzenie tętnicy żwaczowej;
6) uszkodzenie żyły poprzecznej twarzy;
7) przetokę tętniczo-żylną.
Prawidłowa odpowiedź to:
Pytanie 116
Objawy nerwobólu o charakterze: bóle nagłe, rwące i przeszywające umiejscowione jednostronnie w górnej części jamy gardłowej, łuku podniebiennym, migdałku i tylnej części języka, promieniujące do ucha lub karku po tej samej stronie z towarzyszącymi objawami wegetatywnymi objawiającymi się najczęściej bradykardią i niepoddające się leczeniu zachowawczemu wymagają leczenia chirurgicznego w postaci:
Pytanie 117
Postać cherubizmu oznaczona jako 3 stopień w skali Marcka-Kudryka oznacza:
Pytanie 118
Obraz radiologiczny wapniejącego torbielowatego guza zębopochodnego wymaga różnicowania z:
1) torbielą zawiązkową;
2) włókniakiem zębopochodnym;
3) włókniakozębiniakiem szkliwiakowym;
4) płaskonabłonkowym guzem zębopochodnym;
5) zębiakoszkliwiakiem;
6) ortokeratotyczą torbielą zębopochodną.
Prawidłowa odpowiedź to:
Pytanie 119
Wskaż prawdziwe stwierdzenia dotyczące mikrotorbielowatego raka przydatkowego:
1) jego cechą charakterystyczną jest naciekanie nerwów;
2) cechuje go szybki wzrost z miejscowym głębokim naciekaniem tkanek;
3) cechuje go wysoki odsetek wznowy po standardowym wycięciu chirurgicznym sięgającym 47%;
4) rzadko przerzutuje;
5) jest wrażliwy na radioterapię i jest ona metodą z wyboru w leczeniu;
6) wraz z nowotworami układu pokarmowego wchodzi w skład zespołu Muira-Torre’a.
Prawidłowa odpowiedź to:
Pytanie 120



