Wyszukaj egzamin lub pytanie
Egzamin PES Chirurgia szczękowo-twarzowa / wiosna 2023
120 pytań
Pytanie 1
Wskaż, jaka jest częstość występowania raka masywu szczękowo-nosowo-sitowego w zatoce szczękowej:
Pytanie 2
Resekcja radykalna szczęki to wycięcie:
Pytanie 3
Czynnikiem negatywnym rokowniczo u pacjentów z czerniakiem skóry twarzy i szyi nie jest/nie są:
Pytanie 4
W przypadku raka obszaru głowy i szyi nie ma wskazań do wykonania elektywnej operacji węzłowej przy poziomie ryzyka wystąpienia przerzutów ukrytych:
Pytanie 5
Nowotwory łagodne wywodzące się z drobnych gruczołów ślinowych podniebienia w stosunku do wszystkich guzów o tym pochodzeniu, stanowią:
Pytanie 6
Wskaż prawidłową lokalizację oraz kolejność występowania przerzutów u pacjentów z przerzutującym gruczolakiem wielopostaciowym przyusznicy:
Pytanie 7
W jakim odsetku przypadków rak śluzowonaskórkowy umiejscawia się w śliniance przyusznej?
Pytanie 8
Rak gruczołowo-torbielowaty gruczołów ślinowych najczęściej przerzutuje do:
Pytanie 9
Który z wymienionych zabiegów jest leczeniem z wyboru u pacjentów z gruczolakiem wielopostaciowym płata głębokiego przyusznicy?
Pytanie 10
W trakcie zabiegów parotidektomii typowo pień nerwu twarzowego znajduje się 2-4 mm poniżej:
Pytanie 11
Płat z mięśnia smukłego uda przenoszony na zespoleniach mikronaczyniowych stanowi zabieg naprawczy z wyboru:
Pytanie 12
Który z wymienionych złośliwych nowotworów gruczołów ślinowych rokuje najlepiej wg 5-letniego wskaźnika OS (overall survival)?
Pytanie 13
Który z wymienionych nowotworów złośliwych jest najczęstszym nowotworem masywu szczękowo-nosowo-sitowego u dzieci?
Pytanie 14
Badanie kontrolne pacjenta do 6 miesięcy od wycięcia raka płaskonabłonkowego wargi dolnej powinno odbywać się:
Pytanie 15
Według podziału zaproponowanego przez Memorial Sloan-Kettering Cancer Center w modyfikacji Amerykańskiego Towarzystwa Otolaryngologów/ Chirurgów Głowy i Szyi, I poziom węzłowy szyi jest podzielony na grupę A i B poprzez:
Pytanie 16
W którym z poziomów węzłowych szyi wg klasyfikacji Memorial Sloan-Kettering Cancer Center zlokalizowane są węzły chłonne podżuchwowe?
Pytanie 17
Ryzyko wystąpienia przerzutów do węzłów u chorych z rakiem płaskonabłonkowym T3 obszaru głowy i szyi wynosi:
Pytanie 18
W którym z poziomów węzłowych szyi z największym prawdopodobieństwem mogą pojawić się przerzuty do węzłów chłonnych u pacjenta z rakiem płaskonabłonkowym skóry tylnej powierzchni małżowiny usznej?
Pytanie 19
Przerzutowo zmieniony węzeł dołu nadobojczykowego po stronie lewej z raka żołądka to objaw:
Pytanie 20
Jakie jest prawdopodobieństwo wystąpienia przerzutów pierwotnego raka płaskonabłonkowego obszaru głowy i szyi u pacjentów z guzem T2?
Pytanie 21
Która z lokalizacji jest drugim co do częstości umiejscowieniem raka płaskonabłonkowego błony śluzowej jamy ustnej?
Pytanie 22
Który z objawów nie występuje u pacjentów z rozpoznanym rakiem płaskonabłonkowym zatoki szczękowej umiejscowionym w I kwadrancie wg podziału topograficznego Öngrena?
Pytanie 23
Który z raków śliniankopochodnych najczęściej daje przerzuty drogą rozsiewu krwiopochodnego do narządów odległych?
Pytanie 24
Który z guzów śliniankopochodnych przyusznicy cechuje się znamiennie częstszym synchronicznym lub metachronicznym występowaniem obustronnym?
Pytanie 25
Pierwszym objawem rozwijającego się mięsaka kościopochodnego żuchwy jest/są:
Pytanie 26
Który z wymienionych nowotworów nie jest zaliczany do grupy nowotworów klinicznie półzłośliwych?
Pytanie 27
Najczęstszym miejscem występowania kostniaka jest:
Pytanie 28
Typowym objawem klinicznym złamania rozprężającego dna oczodołu jest:
Pytanie 29
Staw rzekomy jako powikłanie złamania żuchwy można rozpoznać przy wyraźnej ruchomości odłamów utrzymującej się powyżej:
Pytanie 30
Która z wymienionych torbieli jest torbielą rzekomą?
Pytanie 31
Która z wymienionych lokalizacji jest najczęstsza dla zębopochodnej torbieli gruczołowej (GOC)?
Pytanie 32
Wskaż fałszywe stwierdzenie dotyczące torbieli resztkowej:
Pytanie 33
Wskaż prawdziwe stwierdzenia dotyczące torbieli kanału przysiecznego (ICC):
1) ICC rozwija się z resztek nabłonkowych Malasseza i jest torbielą zapalną rozwijającą się w obrębie kanału przysiecznego, pozostającą w łączności z zębem z martwą miazgą;
2) ICC jest torbielą zastoinową drobnego gruczołu śluzowego wpuklającego się w światło kanału przysiecznego;
3) ICC jest torbielą rozwojową i powstaje z pozostałości nabłonka zarodkowego przewodu nosowo-podniebiennego;
4) ICC rozwija się częściej u kobiet niż u mężczyzn;
5) ICC jest drugą co do częstości występowania torbielą kości szczękowych.
Prawidłowa odpowiedź to:
Pytanie 34
Wykrycie pojedynczej jamy wewnątrzkostnej, która nie posiada wyściółki nabłonkowej, ograniczona jest z każdej strony kością (która na pewnych odcinkach może być ścieńczała) i zawiera w swoim wnętrzu jedynie treść płynną bez tkanek miękkich, przy zgodności z wynikiem badania histopatologicznym, wskazuje na rozpoznanie:
Pytanie 35
Które z wymienionych kryteriów rozpoznania zespołu Gorlina-Goltza nie jest kryterium głównym?
Pytanie 36
Ryzyko nawrotu torbieli z wynaczynienia śluzu ślinianki podjęzykowej leczonej metodą marsupializacji wynosi:
Pytanie 37
Torbiel erupcyjna jest postacią torbieli:
Pytanie 38
Najrzadziej śluzowiak zatok przynosowych występuje w:
Pytanie 39
Wskaż prawdziwe stwierdzenia dotyczące ubytku Stafnego (SBD).
1) SBD umiejscawia się w bocznym odcinku trzonu żuchwy nawet w 90% przypadków;
2) cechą charakterystyczną SBD jest fakt, że nigdy nie występuje obustronnie;
3) SBD w niewielkim odsetku przypadków może mieć charakter wieloogniskowy;
4) obraz radiologiczny SBD to wielokształtne nieregularnego kształtu zacienienie w kości;
5) leczenie SBD polega na wyłuszczeniu z radykalizacja brzeżną.
Prawidłowa odpowiedź to:
Pytanie 40
W jakim odsetku przypadków rak błony śluzowej jamy ustnej lokalizuje się w trzonie języka?
Pytanie 41
Wskaż lokalizację, kóra znajduje się na drugim miejscu pod względem częstości występowania nowotworów drobnych gruczołów ślinowych:
Pytanie 42
Które z badań obrazowych jest opcją diagnostyczną drugiego wyboru u pacjenta z objawami wskazującymi na obecność ogniska pierwotnego nowotworu w zatoce szczękowej?
Pytanie 43
Wskaż prawidłowe przyporządkowanie zaburzeń potencjalnie złośliwych (PMD) występujących w obrębie głowy i szyi do dopowiedniej grupy ryzyka transformacji nowotworowej - niskiego (1-5%), średniego (10-20%) lub wysokiego (40-50%):
1) liszaj płaski;
2) gruźlica toczniowa;
3) leukoplakia;
4) choroba Bowena;
5) skóra pergaminowa;
6) włókniak pourazowy;
7) zapalenie warg gruczołowe (cheilitis glandularis);
8) zapalenie słoneczne czerwieni i błony śluzowej warg (cheilitis actinica);
9) plama soczewicowata;
10) erytroplakia;
11) brodawczak płaskonabłonkowy.
Prawidłowa odpowiedź to:
Pytanie 44
Wskaż prawdziwe stwierdzenia dotyczące teleradioterapii u chorych na raka płaskonabłonkowego głowy i szyi (RPGS):
1) we współczesnych aparatach do teleradioterapii wykorzystuje się techniki modulacji intensywności wiązki (IMRT) oraz terapię łukową z modulacją intensywności wiązki (VMAT), wykorzystując promieniowanie fotonowe o energiach 6 i 15 MV pochodzące z bomb kobaltowych;
2) pacjent zakwalifikowany do teleradioterapii paliatywnej otrzyma dawkę promieniowania 20 Gy podaną w 4-5 frakcjach w technice hiperfrakcjonowania;
3) w typowym sposobie radykalnej teleradioterapii RPGS chory otrzyma dawkę 60-70 Gy promieniowania w 30 frakcjach w czasie 6 tygodni;
4) do chemioradioterapii pooperacyjnej zostanie zakwalifikowany chory z rakiem płaskonabłonkowym błony śluzowej jamy ustnej DOI 15 mm, w stopniu zaawansowania pT2N1(ECI)M0, R0 Pn1,V1;
5) w RPGS rutynowa chemioradioterapia polega na podaniu cisplatyny w dawce 100 mg/m2 powierzchni ciała w 1, 7, 14, 21, 28 i 35 dniu napromieniania;
6) obecnie w chemioradioterapii chorych z RPGS wykorzystuje się przeciwciało monoklonalne cemiplimab.
Prawidłowa odpowiedź to:
Pytanie 45
Wskaż prawdziwe stwierdzenia dotyczące chemioterapii u chorych z rakami płaskonabłonkowymi głowy i szyi (RPGS):
1) w programie TPF wykorzystuje się cisplatynę, 5-fluorouracyl oraz docetaksel;
2) program TPF wykorzystuje się jako chemioterapię neoadiuwantową oraz u chorych z przerzutami odległymi lub nawrotem po leczeniu radykalnym;
3) program TPF charakteryzuje się małą toksycznością i pozwala na uzyskanie 70% odpowiedzi na leczenie;
4) program PF polega na podawaniu cisplatyny w dawce 100 mg/m2 powierzchni ciała w I dniu wraz z 5-fluorouracylem w dawce 1000 mg/m2 podawanym w ciągłym wlewie przez 96 godzin;
5) program PF wykorzystuje się w chemioterapii adiuwantowej u chorych z RPGS;
6) w chemioterapii chorych z rakami gruczołów ślinowych wykorzystuje się cisplatynę, 5-fluorouracyl oraz doksorubicynę.
Prawidłowa odpowiedź to:
Pytanie 46
Do poradni chirurgii szczękowo-twarzowej zgłosił się pacjent z rozpoznanym rakiem płaskonabłonkowym G2 trzonu języka po stronie prawej o rozmiarach guza pierwotnego 3,5 cm. W badaniu klinicznym oraz badaniu tomografii komputerowej szyi stwierdza się pojedynczy przerzut na szyi po stronie lewej o średnicy 7 cm. W badaniach tomografii komputerowej klatki piersiowej i jamy brzusznej wykluczono rozsiew uogólniony. Wskaż poprawną klasyfikację TNM oraz stopień zaawansowania klinicznego AJCC raka u tego chorego:
Pytanie 47
Chory z rakiem płaskonabłonkowym ustnej części języka po stronie prawej cT4aN3M0 z naciekaniem tkanek dna jamy ustnej powinien być zakwalifikowany do zabiegu:
Pytanie 48
Wskaż prawdziwe stwierdzenia dotyczące przerzutów lokoregionalnych raków płaskonabłonkowych głowy i szyi:
1) określenie przerzut ukryty (occult metastasis) odnosi się do przerzutu o średnicy poniżej 2 mm, nie powodującego powiększenia węzła chłonnego;
2) w przypadku guza pierwotnego T2 ryzyko występowania przerzutów lokoregionalnych wynosi 15%-30%;
3) ryzyko wystąpienia przerzutów lokoregionalnych znaczenie wzrasta, gdy grubość nacieku raka płaskonabłonkowego jamy ustnej przekracza 4 mm;
4) do II poziomu węzłowego szyi w pierwszej kolejności przerzutują raki korzenia języka, migdałka podniebiennego i jamy nosowej;
5) do I poziomu węzłowego szyi w pierwszej kolejności przerzutują raki trzonu języka, jamy nosowej i zatoki szczękowej;
6) przerzutowo zmienione węzły chłonne są twarde, zlewają się w pakiety i są bolesne w trakcie badania palpacyjnego.
Prawidłowa odpowiedź to:
Pytanie 49
Wskaż guzy, które należą do raków podstawnokomórkowych (BCC) z grupy wysokiego ryzyka wznowy?
1) BCC o średnicy 3 mm rozwijający się w strefie H;
2) BCC o średnicy 10 mm rozwijający się w strefie L;
3) podtyp drobnoguzkowy BCC;
4) podtyp rogowaciejący BCC;
5) podtyp mieszany BCC;
6) BCC o średnicy 10 mm podwijający się w strefie M;
7) guz Pinkusa;
8) podtyp twardzinopodobny BCC.
Prawidłowa odpowiedź to:
Pytanie 50
Wskaż fałszywe stwierdzenia dotyczące raka z komórek Merkla (MCC):
1) MCC rozwija się 30-krotnie częściej u chorych z chłoniakiem Hodgkina;
2) MCC najczęściej rozwija się w obrębie głowy i szyi, nieco rzadziej na skórze kończyn i tułowiu;
3) MCC rozwija się pod postacią perłowego guza z widocznymi teleangiektazjami w obrębie zmiany i przylegającej skóry;
4) u prawie 1/3 chorych występują mikroprzerzuty w chwili rozpoznania, dlatego w przypadku MCC zaleca się wykonanie procedury biopsji węzła wartowniczego;
5) 5-letnie przeżycie chorych z MCC wynosi 80%;
6) MCC może rozwijać się na błonie śluzowej jamy ustnej.
Prawidłowa odpowiedź to:
Pytanie 51
Zalecany margines wycięcia czerniaka złośliwego Clark III, Breslow III wynosi:
Pytanie 52
Do grupy chłoniaków nieziarniczych indolentnych należą:
1) chłoniak strefy brzeżnej;
2) chłoniak z komórek płaszcza;
3) chłoniak Burkitta;
4) chłoniak grudkowy;
5) chłoniak Hodgkina;
6) chłoniak z małych limfocytów;
7) chłoniak limfoblastyczny.
Prawidłowa odpowiedź to:
Pytanie 53
Unaczynienie wolnego płata chińskiego pochodzi od pęczka promieniowego, który biegnie w przegrodzie pomiędzy:
Pytanie 54
Płat Abbego jest przykładem płata:
Pytanie 55
Wskaż prawdziwe stwierdzenia dotyczące przeszczepów skóry:
1) przeszczep Wolfa zawiera naskórek i skórę właściwą;
2) przeszczepy Ollier-Thierscha wgajają się lepiej niż przeszczepy pełnej grubości, ale po wgojeniu ulegają retrakcji;
3) faza krążenia plazmatycznego w procesie wgajania się przeszczepów skóry trwa 5 dni;
4) przeszczepy złożone są wariantem przeszczepu Humby’ego i zawierają oprócz skóry tkankę tłuszczową, ochrzęstną oraz chrząstkę;
5) przeszczepy skóry pośredniej grubości pobiera się najczęściej z przedniej powierzchni uda, pleców i okolicy podpośladkowej;
6) jeżeli pod przeszczepem skóry powstanie krwiak o grubości 0,5 mm, to czas dotarcia włośniczek do przeszczepu wydłuża się o 12 godzin, co może być przyczyną jego martwicy.
Prawidłowa odpowiedź to:
Pytanie 56
Do poradni chirurgii szczękowo-twarzowej zgłosił się niesłyszący pacjent z powodu znamienia o charakterze niebieskawej plamy obejmującej skórę powiek, policzka, wargi górnej oraz błonę śluzową policzka po stronie prawej. Przedstawiony opis wskazuje na znamię:
Pytanie 57
Wskaż prawdziwe stwierdzenia dotyczące oczodołu:
1) ściana przyśrodkowa oczodołu zbudowana jest przez tylny odcinek wyrostka czołowego szczęki, kość łzową, blaszkę oczodołową kości sitowej, skrzydło mniejsze kości klinowej;
2) ściana dolna oczodołu zbudowana jest z powierzchni oczodołowej trzonu szczęki, części powierzchni oczodołowej kości jarzmowej, wyrostka oczodołowego kości podniebiennej;
3) ściana boczna oczodołu zbudowana jest z powierzchni oczodołowej kości jarzmowej, powierzchni oczodołowej skrzydła większego kości klinowej;
4) ściana górna oczodołu zbudowana jest z części oczodołowej kości czołowej, skrzydła mniejszego kości klinowej;
5) szczelina oczodołowa górna znajduje się pomiędzy skrzydłem większym i mniejszym kości klinowej;
6) kanał wzrokowy biegnie w obrębie kości sitowej.
Prawidłowa odpowiedź to:
Pytanie 58
Wskaż prawdziwe stwierdzenia:
1) przez szczelinę oczodołową górną przechodzą: nerw okoruchowy, nerw bloczkowy, nerw odwodzący oraz nerw podoczodołowy;
2) przez szczelinę oczodołową dolną przechodzą: nerw jarzmowy oraz nerw oczny;
3) zespół szczeliny oczodołowej górnej charakteryzuje się wytrzeszczem gałki ocznej, oftalmoplegią, rozszerzeniem źrenicy, opadnięciem powieki, zaburzeniami czucia okolicy oczodołu i czoła, zniesieniem odruchu rogówkowego oraz bólem głębokim w oczodole;
4) zespół szczeliny oczodołowej górnej ma charakter jedynie pourazowy;
5) w zespole szczytu oczodołu do objawów zespołu szczeliny oczodołowej górnej dołącza się znaczne upośledzenie ostrości wzroku lub ślepota jednostronna.
Prawidłowa odpowiedź to:
Pytanie 59
Wskaż prawdziwe stwierdzenia dotyczące tężca:
1) tężec jest chorobą układu nerwowego o charakterze sepsy, związanej z zakażeniem rany Gram-dodatnimi laseczkami Clostridium tetani;
2) w około 30% przypadków zakażeń pełny obraz kliniczny tężca poprzedza okres objawów prodromalnych;
3) okres wylęgania tężca wynosi 14-60 dni;
4) w celu uodpornienia czynnego podaje się anatoksynę tężcową w dawce 0,5 ml podskórnie;
5) w celu uodpornienia biernego podaje się antytoksynę tężcową w dawce 250-500 j.m. podskórnie;
6) antytoksyna tężcowa to toksoid czyli inaktywowana neurotoksyna laseczki tężca;
7) w przypadku leczenia tężca podaje się antytoksynę przeciw tężcową w ilości 5000-10 000 j.m. jednorazowo lub w kilku wstrzyknięciach.
Prawidłowa odpowiedź to:
Pytanie 60
Wskaż prawdziwe stwierdzenia dotyczące unaczynienia skóry:
1) skóra twarzy zaopatrywana jest przez perforatory mięśniowo-skórne;
2) zachowanie splotów naczyniowych powierzchownych skóry ma kluczowe znaczenie dla prawidłowego ukrwienia tkanek formowanych płatów chirurgicznych;
3) prawidłowa perfuzja skóry jest dziesięciokrotnie większa niż jej potrzeby odżywcze;
4) naczyniowe sploty skórne głębokie przekraczają linię środkową ciała, dlatego linia ta nie jest uważana za barierę w wyznaczaniu płatów miejscowych;
5) sploty naczyniowe podbrodawkowe skóry nazywane są splotami Langerhansa.
Prawidłowa odpowiedź to:
Pytanie 61
Wskaż prawdziwe stwierdzenia dotyczące torbieli dermoidalnych:
1) grupa torbieli dermoidalnych obejmuje 3 jednostki chorobowe: torbiel skórzastą, torbiel naskórkową oraz torbiel tricholemmalną;
2) torbiele dermoidalne w obszarze głowy i szyi najczęściej lokalizują się w okolicy dna jamy ustnej;
3) torbiele dermoidalne nigdy nie rozwijają się w obrębie kości szczękowych;
4) torbiel dermoidalną zlokalizowaną ponad mięśniem żuchwowo-gnykowym, poniżej mięśnia bródkowo-gnykowego w linii pośrodkowej powinno usunąć się z dostępu wewnątrzustnego;
5) torbiel dermoidalną w lokalizacji poniżej mięśnia żuchwowo-gnykowego w położeniu bocznym powinna zostać usunięta z dostępu podżuchwowego;
6) torbiel dermoidalna otaczająca mięsień żuchwowo-gnykowy w linii pośrodkowej ciała powinna zostać usunięta z dostępu podbródkowego;
7) podział torbieli dermoidalnych według Copla wyróżnia trzy możliwe lokalizacje torbieli a według Teszler sześć.
Prawidłowa odpowiedź to:
Pytanie 62
Według podziału Kaczmarzyka i wsp. do torbieli prawdziwych rozwojowych zalicza się:
Pytanie 63
Do klinicznych typów raka podstawnokomórkowego zalicza się typ:
1) guzkowy;
2) barwnikowy;
3) rogowaciejący;
4) wrzodziejący;
5) drobnoguzkowy;
6) torbielowaty.
Prawidłowa odpowiedź to:
Pytanie 64
Plamy Hutchinsona będące przedinwazyjnym czerniakiem, to plamy:
Pytanie 65
Rak kolczystokomórkowy śródnaskórkowy to:
Pytanie 66
W zespole Łucji Frey wg Zabłockiego nie występuje:
Pytanie 67
Zabiegi chirurgiczne wykonywane w przypadku trwałego porażenia nerwu twarzowego obejmują:
1) zespolenie nerwu podjęzykowego i twarzowego;
2) skrócenie SMAS;
3) obniżenie punktu modiolus;
4) tarsorafia przyśrodkowej części powiek;
5) uniesienie punktu modiolus;
6) zespolenie nerwu językowego i twarzowego.
Prawidłowa odpowiedź to:
Pytanie 68
Wskaż prawdziwe stwierdzenia dotyczące włókniakozębiaka szkliwiakowego:
1) częściej występuje u chłopców;
2) częściej występuje u płci żeńskiej;
3) może występować wielomiejscowo;
4) nie występuje rodzinnie;
5) nie ma tendencji do naciekania otaczających tkanek;
6) może powodować perforację blaszki zbitej kości.
Prawidłowa odpowiedź to:
Pytanie 69
Wskaż prawdziwe stwierdzenia dotyczące rodzinnego kostniwiaka olbrzymiego:
1) jest zmianą ekspansywną;
2) dotyczy zwykle osób dorosłych;
3) nie wykazuje predylekcji do rasy czarnej;
4) występuje jednostronnie w szczęce i w żuchwie;
5) występuje obustronnie tylko w żuchwie;
6) najczęściej dziedziczy się w sposób autosomalny recesywny;
7) najczęściej dziedziczy się w sposób autosomalny dominujący.
Prawidłowa odpowiedź to:
Pytanie 70
Guz Pinkusa to:
Pytanie 71
Obecność bazofilnej, słabo uwapnionej macierzy kości jest charakterystyczna dla:
Pytanie 72
Do metod leczenia chirurgicznego zespołu Łucji Frey nie zalicza się:
Pytanie 73
Według klasyfikacji Junipera dotyczącej kształtu głów żuchwy nie występuje typ:
Pytanie 74
Nagłe zwolnienie akcji serca podczas napadu bólu może wystąpić w:
Pytanie 75
Blizny typu Christmas tree deformity po operacji obustronnego rozszczepu wargi mogą wystąpić po zabiegu sposobem:
Pytanie 76
W leczeniu zniekształceń porozszczepowych jednoczesną korekcję wargi i nosa można uzyskać wykonując operację sposobem:
Pytanie 77
Przy przedwczesnym symetrycznym skostnieniu szwu wieńcowego powstaje czaszka:
Pytanie 78
W leczeniu niedostatecznego zwarcia podniebienno-gardłowego najbardziej fizjologiczną jest metoda:
Pytanie 79
Guz Arninga jest to postać raka:
Pytanie 80
Do złożonych wad rozwojowych zalicza się:
1) dyzostozę żuchwowo-twarzową;
2) syndrom Saethre-Chotzena;
3) progenię;
4) makrognację;
5) makrogenię;
6) dysplazję ektodermalną.
Prawidłowa odpowiedź to:
Pytanie 81
Geny kojarzone z występowaniem wady zgryzu klasy III zlokalizowane są na chromosomach:
Pytanie 82
Histiocytoza zatokowa z uogólnioną limfadenopatią jest zaliczana do histiocytoz klasy:
Pytanie 83
W tworzeniu ściany przyśrodkowej oczodołu nie bierze udziału:
1) wyrostek czołowy szczęki;
2) kość łzowa;
3) trzon kości klinowej;
4) skrzydło większe kości klinowej;
5) skrzydło mniejsze kości klinowej.
Prawidłowa odpowiedź to:
Pytanie 84
Wskaż prawdziwe stwierdzenia dotyczące stosunków topograficznych mięśni i podskórnej tkanki tłuszczowej w okolicy oczodołowej:
1) ciało tłuszczowe pozaoczodołowe (ROOF) umiejscowione jest pod górnym brzegiem mięśnia okrężnego oka;
2) ciało tłuszczowe podoczodołowe (SOOF) umiejscowione jest nad policzkowym brzegiem mięśnia okrężnego oka;
3) poduszką jarzmową (malar bag) określa się przestrzeń pomiędzy więzadłem podpierającym mięsień okrężny oka a przegrodą oczodołową;
4) obecność tkanki tłuszczowej w zakresie poduszki jarzmowej powoduje powstanie na skórze bruzdy powiekowo-jarzmowej;
5) więzadło jarzmowo-skórne łączy powierzchowny układ mięśniowo-rozcięgnowy twarzy w zakresie powięzi przyuszniczo-żwaczowej, z policzkowym brzegiem mięśnia okrężnego oka.
Prawidłowa odpowiedź to:
Pytanie 85
Które z wymienionych struktur nerwowych nie biorą udziału w unerwieniu czuciowym skóry okolicy nosowej?
1) nerw podoczodołowy;
2) nerw podbloczkowy;
3) nerw nadbloczkowy;
4) nerw sitowy przedni;
5) nerw nadoczodołowy.
Prawidłowa odpowiedź to:
Pytanie 86
W tworzeniu ściany bocznej jamy nosowej nie bierze udziału:
1) wyrostek czołowy szczęki;
2) kość łzowa;
3) trzon kości klinowej;
4) blaszka przyśrodkowa wyrostka skrzydłowatego kości klinowej;
5) blaszka boczna wyrostka skrzydłowatego kości klinowej.
Prawidłowa odpowiedź to:
Pytanie 87
Wskaż fałszywe stwierdzenia dotyczące mięsaków tkanek miękkich regionu głowy i szyi:
1) większość tłuszczakomięsaków rozwija się u osób po 50. r.ż., z wyjątkiem typu śluzowatego (okrągłokomórkowego), który rozwija się u młodszych pacjentów pomiędzy 25. a 45. rokiem życia;
2) najczęściej spotykaną postacią mięśniakomięsaka prążkowanokomórkowego w rejonie głowy i szyi jest typ pęcherzykowy;
3) lokalizacja mięśniakomięsaka prążkowanokomórkowego w obrębie zatoki szczękowej jest korzystnym czynnikiem rokowniczym;
4) najczęstszą lokalizacją mięsaka maziówkowego w rejonie głowy i szyi jest ślinianka przyuszna;
5) włókniakomięsaki tkanek miękkich u dzieci wiążą się z dużo gorszym rokowaniem niż u dorosłych.
Prawidłowa odpowiedź to:
Pytanie 88
Wskaż fałszywe stwierdzenia dotyczące mięsaków kości regionu głowy i szyi:
1) chrzęstniakomięsak o stopniu zróżnicowania histopatologicznego G1 jest najmniej agresywną miejscowo postacią nowotworu, gdyż wzrasta wolno i tylko sporadycznie daje przerzuty odległe;
2) chemioterapia adjuwantowa w postaci przykostnej mięsaka kościopochodnego stosowana jest tylko w typie low-grade;
3) wielkość guza pierwotnego nieprzekraczająca 4 cm jest pomyślnym czynnikiem prognostycznym w mięsaku kościopochodnym;
4) u 25% chorych z mięsakiem Ewinga stwierdza się przerzuty w momencie postawienia diagnozy;
5) według wytycznych National Comprehensive Cancer Network, leczenie mięsaka Ewinga rozpoczyna się od szerokiego wycięcia guza, a następnie włącza się chemioterapię.
Prawidłowa odpowiedź to:
Pytanie 89
Wskaż prawdziwe stwierdzenia na temat nowotworów gruczołów ślinowych:
1) rak rozwijający się na podłożu gruczolaka wielopostaciowego, którego naciek poza torebkę guza wynosi 1 mm określa się jako nieinwazyjny;
2) guz Warthina może rozwijać się w obrębie węzłów chłonnych i w takim przypadku najczęstszym jego umiejscowieniem są węzły od I do III poziomu węzłowego szyi;
3) w przypadku rozpoznania raka śluzowo-naskórkowego low-grade cN0 wykonuje się jedynie elektywną nadłopatkowo-gnykową operację węzłową;
4) przy lokalizacji raka śluzowo-naskórkowego high-grade cN0 w obrębie ślinianki przyusznej przeprowadza się ipsilateralne elektywne usunięcie węzłów chłonnych w zakresie od I do III poziomu węzłowego szyi;
5) ognisko raka śluzowo-naskórkowego low-grade ślinianki przyusznej o średnicy 3 cm, z dwumilimetrowym naciekiem poza torebkę gruczołu określa się jako T3.
Prawidłowa odpowiedź to:
Pytanie 90
Które cechy z badania mikroskopowego preparatu po chirurgicznym usunięciu raka wargi dolnej z operacją węzłową są wskazaniem do zastosowania uzupełniającej radioterapii?
1) obecność jednego przerzutu węzłowego z naciekiem pozatorebkowym;
2) obecność dwóch przerzutów węzłowych bez nacieku pozatorebkowego;
3) obecność zatorów z komórek raka w świetle naczyń;
4) dyspersyjny charakter wzrostu guza;
5) szerzenie się perineuralne.
Prawidłowa odpowiedź to:
Pytanie 91
Wskaż fałszywe stwierdzenia dotyczące metod leczenia rekonstrukcyjnego chorych po wycięciu raka wargi dolnej:
1) w metodzie Abbe-Estlandera wykorzystuje się materiał tkankowy z wargi górnej;
2) w metodzie Gilliesa przy wytwarzaniu płatów policzkowych w okolicy spoidła warg zaoszczędza się wrzeciono mięśniowe;
3) w metodzie Karapandziča wykorzystuje się obustronnie wytworzone pionowe płaty skórno-mięśniowo-śluzówkowe, które po zrotowaniu o 90º odtwarzają wargę;
4) metodę McIntosha stosuje się w przypadku, gdy ognisko raka nie przekracza dwóch trzecich długości wargi dolnej;
5) metoda Brunsa-Szymanowskiego pozwala na zaoszczędzenie gałęzi czuciowych nerwu trójdzielnego i ruchowych nerwu twarzowego.
Prawidłowa odpowiedź to:
Pytanie 92
Który stopień zaawansowania raka błony śluzowej jamy ustnej według klasyfikacji TNM nie odpowiada stopniowi IV A zaawansowania klinicznego według American Joint Committee on Cancer?
Pytanie 93
Wskaż prawdziwe stwierdzenia dotyczące torbieli nosowo-wargowej:
1) metodą diagnostyczną z wyboru jest badanie BACC przeprowadzane pod kontrolą USG;
2) do rozróżniania torbieli nosowo-wargowej od torbieli kanału przysiecznego wykorzystuje się badanie rezonansem magnetycznym;
3) zawartość torbieli stanowi bezwonny, surowiczy lub śluzowy płyn;
4) rozwój tej torbieli może doprowadzić do niedrożności łzowej;
5) śluzowiak nosowo-łzowy jest synonimem torbieli nosowo-wargowej.
Prawidłowa odpowiedź to:
Pytanie 94
Wskaż prawdziwe stwierdzenia dotyczące torbieli zatok szczękowych:
1) pseudotorbiel zatoki szczękowej może ustąpić samoistnie na skutek pęknięcia i opróżnienia zawartości;
2) płyn stanowiący zawartość śluzowiaka zatoki szczękowej jest jałowy;
3) mukowiscydoza może predysponować do wystąpienia śluzaka zatoki szczękowej;
4) najczęstszą lokalizacją pooperacyjnej torbieli zatoki szczękowej jest jej dno;
5) na przekrojach tomografii komputerowej cechą pozwalającą na różnicowanie śluzowiaka od torbieli zastoinowej zatoki szczękowej jest brak obecności powietrza na górnym obwodzie w przypadku śluzowiaka.
Prawidłowa odpowiedź to:
Pytanie 95
Wskaż prawdziwe stwierdzenia dotyczące ubytku Stafnego:
1) wykazuje predylekcję do płci żeńskiej;
2) jednym z pierwszych objawów klinicznych jest objaw Vincenta;
3) może lokalizować się w przednim odcinku trzonu żuchwy na wysokości siekaczy i kłów;
4) wymaga różnicowania z przerzutem odległym nowotworu złośliwego;
5) najczęściej wykrywany jest pomiędzy 5. a 7. dekadą życia.
Prawidłowa odpowiedź to:
Pytanie 96
Wskaż fałszywe stwierdzenia dotyczące więzadeł stawu skroniowo-żuchwowego:
1) więzadło klinowo-żuchwowe rozciąga się pomiędzy kolcem kości klinowej a kątem żuchwy;
2) więzadło klinowo-żuchwowe może posiadać przyczep w obrębie przyśrodkowej powierzchni torebki stawowej;
3) więzadło klinowo-żuchwowe jest pozostałością embriologicznej chrząstki Meckela;
4) więzadło rylcowo-żuchwowe łączy wyrostek rylcowaty kości skroniowej z języczkiem żuchwy;
5) więzadło górne zakrążkowej strefy dwuwarstwowej łączy krążek stawowy ze szczeliną skalisto-bębenkową.
Prawidłowa odpowiedź to:
Pytanie 97
Która spośród podjednostek jednorodnie estetycznych twarzy charakteryzuje się największą - 2,5 mm grubością skóry?
Pytanie 98
Wskaż prawdziwe stwierdzenia dotyczące antybiotyków penicylinowych:
1) wspólną cechą karboksypenicylin jest aktywność wobec Pseudomonas aeruginosa;
2) grupą antybiotyków penicylinowych o najszerszym spektrum działania są ureidopenicyliny;
3) metycylinooporne szczepy gronkowca złocistego są wrażliwe na kloksacylinę;
4) penicyliny naturalne charakteryzują się wąskim spektrum obejmującym bakterie Gram-ujemne;
5) penicylina V (fenoksymetylopenicylina) jest wrażliwa na działanie soku żołądkowego, może być zatem podawana jedynie drogą parenteralną.
Prawidłowa odpowiedź to:
Pytanie 99
Spośród wymienionych niesteroidowych leków przeciwzapalnych, do zrównoważonych inhibitorów obu izoform cyklooksygenazy (COX-1 i COX-2) należą:
1) nimesulid;
2) diklofenak;
3) naproksen;
4) ketoprofen;
5) ibuprofen.
Prawidłowa odpowiedź to:
Pytanie 100
Czerniak złośliwy skóry o grubości nacieku 2,5 mm, bez obecnego owrzodzenia, z przerzutem in transit, bez przerzutów w węzłach chłonnych, ale z przerzutem do płuc, przy prawidłowym stężeniu LDH w surowicy w klasyfikacji TNM określa się:
Pytanie 101
W klasyfikacji TNM chrzęstniakomięsak high-grade o maksymalnej wielkości 6 cm, z obecnością trzech przerzutów do regionalnych węzłów chłonnych po stronie zmiany oraz przerzutem do płuc, określa się jako:
Pytanie 102
Wskaż prawdziwe stwierdzenia dotyczące mięsaka:
1) najczęstszym mięsakiem tkanek miękkich rozwijającym się po napromienianiu jest mięsak włóknisto-histiocytarny;
2) charakterystycznym wczesnym objawem mięsaków tkanek miękkich są dolegliwości bólowe;
3) mięsakami wrzecionowatokomórkowe o niskim stopniu złośliwości leczy się poprzez radykalne napromienianie;
4) leczenie mięsaków drobnokomórkowych rozpoczyna się od wielolekowej chemioterapii;
5) podstawowymi cytostatykami stosowanymi w leczeniu mięsaków są antracykliny, do których należy doksorubicyna.
Prawidłowa odpowiedź to:
Pytanie 103
Wskazaniem do zachowawczego leczenia jest:
Pytanie 104
Wskaż prawdziwe stwierdzenie dotyczące unieruchomienia szczękowo-żuchwowego w leczeniu ortopedycznym złamania wyrostka kłykciowego żuchwy:
Pytanie 105
W przypadku raka zatoki szczękowej, który rozprzestrzenia się do dołu skrzydłowo-podniebiennego obserwuje się:
Pytanie 106
Pacjent po upadku (bez utraty przytomności) i urazie okolicy bródkowej zgłosił się z powodu obustronnego bólu ucha. Proteza zębowa uległa złamaniu w czasie urazu. Ząb 18 zaczął uciskać dziąsło dolne w okolicy po zębach trzonowych. ASA II. Na podstawie przedstawionego obrazu tomografii komputerowej (FBCT) wskaż prawidłowe postępowanie:

Pytanie 107
Zespolenia odłamów kości można wykonać biodegradowalnymi wkrętami metalowymi. Wskaż prawdziwe stwierdzenie dotyczące tego materiału zespalającego:
Pytanie 108
Wskaż prawidłową ocenę przedstawionego badania obrazowego:

Pytanie 109
Jednym z dostępów chirurgicznych do głowy żuchwy jest opracowany przez Bockenheimera w 1920 r. i zmodyfikowany przez Axhausena w 1931 r. dostęp zauszny. Ważnym aspektem tego dostępu jest zabezpieczenie przed zwężeniem przewodu słuchowego zewnętrznego. Wskaż prawdziwą wskazówkę pozwalającą uniknąć tego powikłania:
Pytanie 110
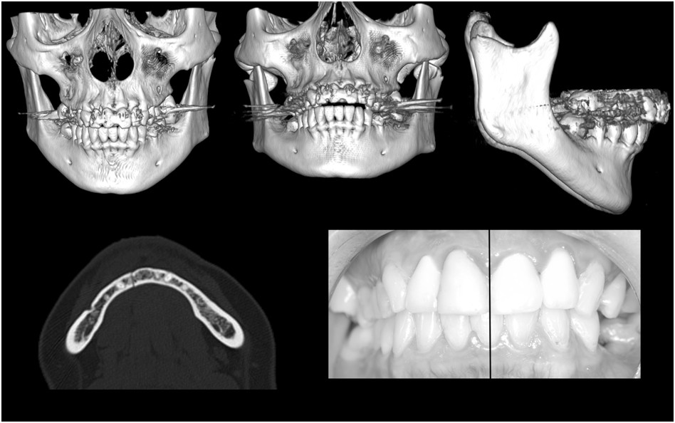
Pacjentka, która przed urazem miała zgryz I klasy Angle’a, doznała urazu okolicy bródkowej i złamania trzonu żuchwy w odcinku przednim oraz obu wyrostków kłykciowych żuchwy. Wskaż prawdziwe stwierdzenie dotyczące wyniku leczenia zachowawczego przedstawionego na poniższym obrazie (stan 6 tyg. po urazie):

Pytanie 111
Ciężkim powikłaniem złamania wyrostka kłykciowego jest zesztywnienie stawu skroniowo-żuchwowego. Wskaż czynnik podwyższający ryzyko ankylozy pourazowej (wg Yan i He):
Pytanie 112
Pacjent jest młody, ASA I, ma łuki zębowe uzębione w zakresie zębów 17-27 i 37-46. Nie ma innych obrażeń ciała. Doznał urazu 2 dni temu. Wskaż prawdziwe stwierdzenie dotyczące pojedynczego złamania żuchwy widocznego na rycinie:

Pytanie 113
Dostęp zauszny zapewnia dobre ukrycie blizny, jest bezpieczny dla nerwu twarzowego i można go szybko wykonać. Przecina się w nim skórę przewodu słuchowego zewnętrznego. Wskaż prawdziwe stwierdzenia dotyczące postępowania pozabiegowego:
Pytanie 114
Wprowadzenie w 2018 roku klasyfikacji złamań wyrostka kłykciowego żuchwy wg Kozakiewicza (przedstawiona na rycinie) było związane z usunięciem z obserwacji klinicznych złamań szyjki (obecnych w klasyfikacji SORG/AO). Wszystkie wysokie złamania szyjki wyrostka kłykciowego stały się złamaniami głowy żuchwy typu C, zaś niskie złamania szyjki stały się złamaniami podstawy wyrostka kłykciowego. Nie odzwierciedla to prawdziwej częstości występowania różnych złamań wyrostka kłykciowego. Wskaż prawdziwe stwierdzenia dotyczące klasyfikacji wg Kozakiewicza:

Pytanie 115
Rycina przedstawia obraz otrzymany ze spiralnej tomografii komputerowej - widok z tyłu złamania wyrostka kłykciowego żuchwy. Wskaż prawdziwe stwierdzenie:

Pytanie 116
Wskaż prawdziwe stwierdzenie dotyczące przedstawionego poniżej złamania wyrostka kłykciowego:

Pytanie 117
Wskaż prawdziwe stwierdzenia dotyczące zespolenia odłamów złamania głowy żuchwy wykonywanego się długimi wkrętami:
Pytanie 118
Na rycinie przedstawiono kilka badań obrazowych wykonanych u pacjentów leczonych chirurgicznie z powodu złamania podstawy wyrostka kłykciowego żuchwy (ponumerowane od 1 do 5). Badania biomechaniczne wskazały, że zespolenie w tym złamaniu najstabilniej można wykonać stosując 2 proste płytki. Ich położenie jest uwarunkowane przebiegiem linii naprężeń w kości. Wskaż, które położenie płytek jest najlepsze ze względów mechanicznych:

Pytanie 119
Izolowane wysokie złamanie szyjki żuchwy nastąpiło 4 dni temu. Pacjent został zakwalifikowany do leczenia chirurgicznego. Nie występują odłamy pośrednie. Wskaż prawidłowe postępowanie:
Pytanie 120



