Wyszukaj egzamin lub pytanie
Egzamin PES Chirurgia szczękowo-twarzowa / jesień 2023
120 pytań
Pytanie 1
Selektywna boczna operacja układu chłonnego szyi polega na usunięciu węzłów chłonnych z poziomów:
Pytanie 2
Klasycznym wskazaniem do rozszerzonej operacji nadłopatkowo-gnykowej układu chłonnego szyi jest rak:
Pytanie 3
Usunięcie układu chłonnego szyi z poziomów II-V to operacja węzłowa:
Pytanie 4
Która z kombinacji nie spełnia kryteriów formalnych rozszerzonej operacji radykalnej układu chłonnego szyi?
1) I-V + węzły zagardłowe;
2) I-V + węzły pachowe;
3) I-V + ślinianka podżuchwowa;
4) I-V + nerw błędny;
5) I-V + skóra szyi.
Prawidłowa odpowiedź to:
Pytanie 5
Która z operacji, wykonana po lewej stronie szyi nie może doprowadzić do chłonkotoku?
Pytanie 6
Jaką maksymalnie długość segmentu kostnego można pobrać w trakcie preparacji wolnego płata z grzebienia kości biodrowej w celu rekonstrukcji kości szczękowych?
Pytanie 7
Jaką maksymalnie wysokość segmentu kostnego można pobrać w trakcie preparacji wolnego płata z grzebienia kości biodrowej w celu rekonstrukcji kości szczękowych?
Pytanie 8
Tętnica okalająca biodro głęboka stanowiąca szypułę wolnego płata z grzebienia kości biodrowej odchodzi powyżej więzadła pachwinowego w około:
Pytanie 9
Który z mięśni powłok brzucha jest najczęściej pobierany wraz z talerzem kości biodrowej w celu rekonstrukcji wyciętych tkanek miękkich jamy ustnej i po przebudowie oraz pokryciu się nabłonkiem przejmuje funkcje błony śluzowej?
Pytanie 10
Szypułę wolnego płata perforatorowego przednio-bocznego uda stanowią naczynia odchodzące bezpośrednio od:
Pytanie 11
Preparowanie wolnego płata promieniowego rozpoczyna się na przedramieniu od strony:
Pytanie 12
Ościęgno, którego z mięśni przedramienia jest wykorzystywane do identyfikacji właściwej warstwy preparacji wolnego płata promieniowego po przecięciu powięzi?
Pytanie 13
W trakcie podwiązywania dystalnego końca pęczka promieniowego, stanowiącego szypułę wolnego płata promieniowego należy zidentyfikować i zachować:
Pytanie 14
Łuskę gipsową stosowaną w celu ograniczenia ruchomości nadgarstka po pobraniu wolnego płata promieniowego zakłada się na:
Pytanie 15
Maksymalna długość segmentu kostnego, który można pobrać jako wolny płat strzałkowy wynosi:
Pytanie 16
Jaki minimalny odcinek strzałki należy pozostawić obustronnie po pobraniu płata strzałkowego przenoszonego na połączeniach mikronaczyniowych dla pewnej stabilności stawu kolanowego z jednej i stawu skokowego górnego z drugiej?
Pytanie 17
Wskaż nowotwór rozwijający się w obrębie głowy i szyi, którego najbardziej charakterystyczne cechy kliniczne opisuje akronim AEIOU:
Pytanie 18
Wskaż najczęstszą lokalizację przerzutów raka z komórek Merkla:
Pytanie 19
Wskaż fałszywe stwierdzenie dotyczące rodzinnego zespołu znamion atypowych i czerniaka (FAMMM):
Pytanie 20
Podtypem raka podstawnokomórkowego skóry nie należącym do grupy nowotworów o agresywnym przebiegu jest podtyp:
Pytanie 21
Wskaż fałszywe stwierdzenie dotyczące szkliwiaka litego/wielokomorowego (SMA):
Pytanie 22
Wskaż prawdziwe stwierdzenie dotyczące jasnokomórkowego raka zębopochodnego:
Pytanie 23
Typem wapniejącego torbielowatego guza zębopochodnego (CCOT) nie jest:
Pytanie 24
Śruba Herberta stosowana do zespolenia złamań głowy wyrostka stawowego żuchwy jest:
Pytanie 25
W zespole Nevoid Basal Cell Carcinoma Syndrome może wystąpić:
1) wielkogłowie;
2) rozszczep wargi;
3) wysunięcie kości czołowej;
4) deformacja Sprengla;
5) anomalia kręgosłupa;
6) brodawczak jajnika.
Prawidłowa odpowiedź to:
Pytanie 26
W postaci czaszkowo-twarzowej dysplazji włóknistej (CFFD) nie występuje:
1) drętwienie w obrębie twarzy;
2) nawracający ból głowy;
3) opóźnione dojrzewanie płciowe;
4) obniżony poziom fosfatazy alkalicznej we krwi;
5) mutacja genu GMAS1 w komórkach osteoprogenitorowych;
6) złamanie patologiczne.
Prawidłowa odpowiedź to:
Pytanie 27
Wskaż fałszywe stwierdzenia dotyczące torbieli:
1) zębopochodna torbiel gruczołowa należy do zapalnych torbieli prawdziwych;
2) zapalna torbiel przyzębna jest rzekomą torbielą kości szczękowych;
3) torbiel samotna jest prawdziwą torbielą kości szczęk;
4) ortokeratotyczna torbiel rogowaciejąca jest torbielą zapalną;
5) torbiel resztkowa jest torbielą rzekomą;
6) torbiel potworniakowa nie należy do torbieli dermoidalnych.
Prawidłowa odpowiedź to:
Pytanie 28
Do nowotworów miejscowo złośliwych okolicy szczękowo-twarzowej nie należy:
Pytanie 29
W złamaniach czołowo-oczodołowo-nosowych (ZCON) może wystąpić:
1) zaburzenie węchu;
2) wyciek płynu mózgowo-rdzeniowego przez nos;
3) zapadnięcie gładzizny;
4) obniżenie stropu oczodołu;
5) ślepota;
6) diplopia;
7) obniżenie kąta wewnętrznego powiek.
Prawidłowa odpowiedź to:
Pytanie 30
Neurapraksja według podziału uszkodzeń nerwów Seddona to:
Pytanie 31
Złamania czaszkowo-oczodołowe należą do złamań:
Pytanie 32
W skali House’a Brackmana hemispasmusfacialis należy do uszkodzeń grupy:
Pytanie 33
Wskaż prawdziwe stwierdzenie dotyczące czerniaka (MM - melanoma malignum):
Pytanie 34
Klasa V w klasyfikacji pionowej ubytków szczęk i środkowego piętra twarzy według J. Browna i R. Shawa dotyczy ubytku:
Pytanie 35
Wskaż prawdziwe stwierdzenie dotyczące odmian tłuszczakomięsaka:
Pytanie 36
Wskaż prawidłową kolejność występowania mięsaka Ewinga zaczynając od najczęstszej:
Pytanie 37
W przypadku niepowodzeń dystrakcji kości szczęk, na powierzchni i pomiędzy rozciąganymi segmentami kostnymi stwierdza się źle ukrwioną tkankę włóknistą i brak osteocytów. Dlatego też jednym z czynników warunkujących powodzenie osteogenezy dystrakcyjnej jest dostateczne ukrwienie tkanek, ponieważ osteocyty przeżywają tylko wtedy kiedy odległość od naczyń odżywczych nie przekracza:
Pytanie 38
Odsetek pacjentów z niedoczulicą w obszarze zaopatrywanym przez nerw zębodołowy dolny, rok po strzałkowej osteotomii żuchwy sposobem Obwegesera-Dal Ponta według T. Gedrange wynosi:
Pytanie 39
Zbyt krótki okres latencji pomiędzy kortykotomią a początkiem rozciągania segmentów osteotomijnych podczas osteogenezy dystrakcyjnej prowadzi do:
Pytanie 40
Według Krysta odsetek guzów złośliwych jamy brzusznej i klatki piersiowej dających przerzuty do głowy i szyi wynosi co najmniej:
Pytanie 41
Wprowadzenie w 2018 roku klasyfikacji złamań wyrostka kłykciowego żuchwy wg Kozakiewicza (przedstawiona na rycinie) było związane ze zniknięciem z obserwacji klinicznych złamań szyjki żuchwy (w klasyfikacji SORG/AO). Wszystkie wysokie złamania szyjki stały się złamaniami głowy żuchwy typu C, zaś niskie złamania szyjki, stały się złamaniami podstawy wyrostka kłykciowego. Nie odzwierciedlało to prawdziwej częstości występowania różnych złamań wyrostka kłykciowego. Wskaż prawdziwe stwierdzenie dotyczące klasyfikacji wg Kozakiewicza:

Pytanie 42
Wskaż prawdziwe stwierdzenie dotyczące przedstawionego złamania wyrostka kłykciowego:

Pytanie 43
Wskaż prawdziwe stwierdzenie dotyczące przedstawionego zespolenia
złamania wyrostka kłykciowego:

Pytanie 44
Przedstawiono zespolenie niskiego złamania szyjki wyrostka kłykciowego u pacjenta leczonego po urazie. Wskaż prawdziwe stwierdzenie dotyczące zaznaczonego miejsca:

Pytanie 45
Wskaż prawdziwe stwierdzenie dotyczące trudności w leczeniu chirurgicznym wysokiego złamania szyjki wyrostka kłykciowego:
Pytanie 46
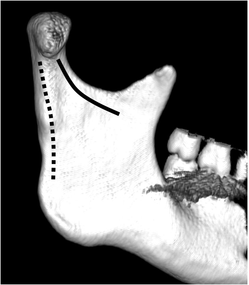
Budowa żuchwy jest przystosowana do przenoszenia obciążeń zgryzowych. Siła mięśni w czasie gryzienia powoduje naprężenia w wyrostku kłykciowym. Miejsca te zaznaczono 2 liniami (przerywaną i ciągłą). Wskaż prawdziwe stwierdzenie:

Pytanie 47
W złamaniu głowy żuchwy typu B w wariacie P (tj. ze zmniejszeniem wysokości gałęzi żuchwy) typowym zespoleniem odłamów jest:
Pytanie 48
W traumatologii i leczeniu chirurgicznym, zespolenie odłamów głowy żuchwy, po ich nastawieniu, wykonuje się długimi wkrętami. Najkorzystniejszy mechanicznie jest krzyżakowy wkrętak dla ich prawidłowego osadzenia. Wskaż prawdziwe stwierdzenie:
Pytanie 49
W traumatologii zespolenia płytkowe w złamaniach najczęściej mocuje się do kości w środkowej części twarzowej części czaszki wkrętami systemu 1,5 mm, zaś w dolnej części (żuchwa) systemem 2,0 mm. Wskaż prawdziwe stwierdzenie:
Pytanie 50
Przedstawiony wynik badania radiologicznego pokazuje złamanie głowy żuchwy po stronie prawej. Według klasyfikacji Neffa jest to złamanie typu B. Wskaż prawdziwe stwierdzenie dotyczące tego złamania:

Pytanie 51
Wskaż rycinę obrazującą metodę Abbe-Estlandera rekonstrukcji ubytku po wycięciu raka wargi dolnej:

Pytanie 52
Złamania wyrostka kłykciowego żuchwy można klasyfikować na różne sposoby. Schemat pokazuje podział na złamanie podstawy, niskie szyjki, wysokie szyjki i złamanie głowy żuchwy. Wskaż najczęściej występujące złamanie:

Pytanie 53
Czy wyrostek kłykciowy żuchwy posiada unaczynienie osiowe?
Pytanie 54
Podstawowym badaniem obrazowym znajdującym zastosowanie w rozpoznawaniu i leczeniu złamań wyrostka kłykciowego żuchwy jest:
Pytanie 55
Obustronne złamanie podstaw wyrostków kłykciowych żuchwy z przemieszczeniem, u osoby uzębionej, spowoduje zaburzenie zgryzowe:
Pytanie 56
Wskaż prawdziwe stwierdzenie dotyczące skali House’a-Brackmana:
Pytanie 57
Rycina przestawia skan czołowy z tomografii komputerowej pacjenta po urazie. Wskaż prawdziwe stwierdzenie dotyczące złamania widocznego na rycinie:

Pytanie 58
Stwierdzono, że jednym z najstabilniejszych sposobów zespolenia odłamów w złamaniu podstawy wyrostka kłykciowego żuchwy lub niskiego złamania szyjki jest osteosynteza dwupłytkowa. Wskaż prawdziwe stwierdzenie dotyczące tej operacji:

Pytanie 59
Rycina przestawia kliniczno-anatomiczny podział budowy wyrostka kłykciowego żuchwy. Jakie wskazówki kliniczne z niego wynikają dla leczenia złamań podstawy i szyjki?

Pytanie 60
Wskaż prawdziwe stwierdzenia dotyczące twardniejącego raka zębopochodnego:
1) ma wysoki stopnień złośliwości (high-grade);
2) rozwija się najczęściej w żuchwie, w okolicy zębów przedtrzonowych i trzonowych;
3) pierwszym objawem klinicznym jest najczęściej rozdęcie kości oraz następowe zaburzenia czucia;
4) często daje przerzuty odległe do płuc;
5) wymaga różnicowania z bogatonabłonkową postacią centralnego włókniaka zębopochodnego.
Prawidłowa odpowiedź to:
Pytanie 61
Wskaż prawdziwe stwierdzenia dotyczące pierwotnego guza zębopochodnego:
1) rozpoznawany jest głównie u osób starszych, w 6.-7. dekadzie życia;
2) wykazuje wyraźną predylekcję do płci żeńskiej;
3) rozwija się sześć razy częściej w żuchwie niż w szczęce;
4) ma charakter lity (nie posiada torbielowatego światła);
5) w jego obrębie stwierdza się obecność zatrzymanego zęba.
Prawidłowa odpowiedź to:
Pytanie 62
Wskaż prawdziwe stwierdzenia dotyczące kwasu traneksamowego:
1) jest stosowany w profilaktyce krwawień pozabiegowych u pacjentów ze skazami osoczowymi;
2) wykazuje działanie antyfibrynolityczne;
3) pobudza osoczowe aktywatory plazminogenu;
4) blokuje przemianę plazminogenu w plazminę;
5) hamuje zewnątrzpochodne mechanizmy rozpuszczania skrzepu.
Prawidłowa odpowiedź to:
Pytanie 63
W leczeniu raka podstawnokomórkowego skóry twarzy radioterapia:
Pytanie 64
Wskaż fałszywe stwierdzenie dotyczące raka z gruczołów łojowych skóry twarzy:
Pytanie 65
W klasyfikacji TNM mięsak kości o maksymalnej wielkości 6 cm, z obecnością przerzutów do regionalnych węzłów chłonnych oraz płuc określa się jako:
Pytanie 66
Wskaż prawdziwe stwierdzenie dotyczące tłuszczakomięsaka (LPS) regionu głowy i szyi:
1) postacią dającą najrzadziej przerzuty odległe jest typ dobrze zróżnicowany;
2) uzupełniającą chemioterapię należy rozważyć we wszystkich typach z wyjątkiem postaci odróżnicowanej;
3) większość przypadków dotyczy pacjentów po 50 roku życia, z wyjątkiem postaci śluzowatej/okrągłokomórkowej, która występuje najczęściej u chorych między 25. a 45. rokiem życia;
4) postacią charakteryzującą się najwyższym odsetkiem wznów (do 70%) jest typ wielopostaciowy;
5) postać śluzowata/okrągłokomórkowa charakteryzuje się wysoką promienioczułością.
Prawidłowa odpowiedź to:
Pytanie 67
Wskaż prawdziwe stwierdzenie dotyczące mięśniakomięsaków gładkomórkowych obszaru głowy i szyi:
Pytanie 68
Wskaż prawdziwe stwierdzenia dotyczące mięsaka Ewinga:
1) leczenie rozpoczyna się od szerokiego wycięcia nowotworu, a następnie stosuje się wielolekową chemioterapię przez minimum 12 tygodni;
2) w diagnostyce należy uwzględnić poziom dehydrogenazy mleczanowej;
3) ulega rozsiewowi głównie do płuc i węzłów chłonnych, a przerzuty stwierdza się u 25% chorych w momencie rozpoznania;
4) wykazuje predylekcję do płci żeńskiej;
5) najczęściej rozpoznawany jest u pacjentów młodocianych pomiędzy 10. a 19. rokiem życia.
Prawidłowa odpowiedź to:
Pytanie 69
Wskaż fałszywe stwierdzenie dotyczące guza Warthina:
Pytanie 70
Jest drugim co do częstości występowania złośliwym nowotworem śliniankopochodnym. Najczęściej występuje w wieku średnim i senioralnym. Wzrasta powoli i może wywoływać dolegliwości bólowe. Charakteryzuje się dobrym rokowaniem 5-letnim, ale złym 15-letnim, gdyż 80-90% pacjentów umiera w okresie 10-15 lat od leczenia chirurgicznego z powodu wznowy choroby nowotworowej. Wskaż nowotwór, którego dotyczy opis:
Pytanie 71
Rak masywu szczękowo-nosowo-sitowego o cesze T3 wychodzący z błony śluzowej zatoki szczękowej nie nacieka:
Pytanie 72
W przebiegu zespołu Plummera-Vinsona można stwierdzić:
1) zanik błony śluzowej jamy ustnej;
2) zapalenie języka i kątów ust;
3) powiększenie śledziony i gruczołu tarczowego;
4) skurcz przełyku w okolicy zapierściennej;
5) anemię z niedoboru żelaza.
Prawidłowa odpowiedź to:
Pytanie 73
Torbiel kanału przysiecznego rozwija się najczęściej:
Pytanie 74
Zaawansowanie kliniczne III° raka błony śluzowej jamy ustnej według American Joint Committee on Cancer z 2010 roku odpowiada wszystkim niżej wymienionym kombinacjom cech klasyfikacji TNM z wyjątkiem:
Pytanie 75
Wskaż prawdziwe stwierdzenia dotyczące przerzutów lokoregionalnych i operacji węzłowych szyi w przypadku raków ślinianek:
1) częstość występowania przerzutów węzłowych w rakach wysokozróżnicowanych dużych gruczołów ślinowych sięga 15%;
2) u ⅓ chorych z rakiem ślinianki przyusznej cN+ stwierdza się przerzuty skaczące do V poziomu węzłowego szyi z pominięciem pierwszych stacji węzłowych;
3) w przypadku raków niskozróżnicowanych dużych gruczołów ślinowych ryzyko wystąpienia przerzutów utajonych sięga 50%;
4) w przypadku niskozróżnicowanego raka ślinianki przyusznej cN- nie wykonuje się elektywnej operacji węzłowej;
5) niskozróżnicowany rak ślinianki podżuchwowej cN- wymaga przeprowadzenia ipsilateralnej, elektywnej operacji węzłowej w zakresie od I do III poziomu węzłowego.
Prawidłowa odpowiedź to:
Pytanie 76
Po zabiegu nieradykalnej histologicznie resekcji z powodu raka masywu szczękowo-nosowo-sitowego stosuje się radioterapię w dawce:
Pytanie 77
Postacią raka skóry rozwijającego się na podłożu przewlekłych ran i blizn jest:
Pytanie 78
Wskaż prawdziwe stwierdzenie dotyczące raka płaskonabłonkowego skóry powieki o cesze T2:
Pytanie 79
Wskaż granicę odległości wtórnego od pierwotnego ogniska czerniaka złośliwego skóry pozwalającą na rozróżnienie pomiędzy guzkiem satelitarnym a przerzutem:
Pytanie 80
Wskaż nowotwory śliniankopochodne należące do grupy nowotworów o wysokiej złośliwości:
1) rak zrazikowokomórkowy;
2) rak jasnokomórkowy;
3) rak mioepitelialny;
4) rak wielkokomórkowy;
5) rak drobnokomórkowy;
6) rak onkocytarny;
7) gruczolakorak podstawnokomórkowy.
Prawidłowa odpowiedź to:
Pytanie 81
Wskaż nowotwory złośliwe śliniankopochodne najczęściej dające przerzuty odległe?
1) rak drobnokomórkowy;
2) rak płaskonabłonkowy;
3) rak zrazikowokomórkowy;
4) rak gruczołowato-torbielowaty;
5) rak śluzowo-naskórkowy high-grade;
6) gruczolakorak niesprecyzowany NOS.
Prawidłowa odpowiedź to:
Pytanie 82
Wskaż prawdziwe stwierdzenia dotyczące raka gruczołowato-torbielowatego (adenoid cystic carcinoma ACC):
1) może być klasyfikowany jako niskoróżnicowany (low-grade) oraz średniozróżnicowany (intermediate grade);
2) szerzy się poprzez naciekanie naczyń krwionośnych i limfatycznych, dlatego często daje przerzuty zarówno lokoregionalne jak i odległe;
3) jest drugim najczęstszym nowotworem złośliwym gruczołów ślinowych;
4) leczeniem z wyboru jest leczenie chirurgiczne z następową radioterapią uzupełniającą;
5) wyróżnia się trzy typy histologiczne: postać cewkową, sitowatą oraz torbielowatą;
6) najczęściej przerzutuje do kości, a w dalszej kolejności do płuc, mózgu i wątroby;
7) w okresie 10-15 lat od leczenia onkologicznego z powodu wznowy umiera niewielki odsetek chorych (5-10%).
Prawidłowa odpowiedź to:
Pytanie 83
Wskaż prawdziwe stwierdzenie dotyczące klasyfikacji ubytków szczęk i środkowego piętra twarzy według Browna i Shawa:
Pytanie 84
Wskaż prawdziwe stwierdzenia dotyczące brodawczaka odwróconego:
1) ulega malignizacji w 50-70% przypadków;
2) najczęstszym punktem wyjścia nowotworu jest sitowie oraz boczna ściana nosa;
3) podstawowym sposobem leczenia jest zabieg chirurgiczny radykalny wykonywany drogą rinotomii bocznej;
4) w przypadku penetracji guza w kierunku zatok czołowych wykonuje się zabieg typu Draf III;
5) minimalny okres obserwacji chorego po zabiegu usunięcia wynosi 2 lata;
6) podczas kontroli chorego po usunięciu nowotworu, badania obrazowe nie są wymagane, dopóki istnieje możliwość pełnej oceny endoskopowej wnętrza zatok przynosowych.
Prawidłowa odpowiedź to:
Pytanie 85
Do poradni chirurgii szczękowo-twarzowej zgłosiła się chora ze zweryfikowanym histopatologicznie rakiem gruczołów łojowych powieki dolnej oka lewego. W badaniu klinicznym stwierdzono obecność guza wielkości 8mm w największym wymiarze z naciekiem tarczki. Wskaż prawidłową cechę T według AJCC 2010:
Pytanie 86
Wskaż cechy raków płaskonabłonkowych (SCC) skóry będących w grupie wysokiego ryzyka wznowy?
1) średnica 7 mm, rozwijający się na skórze nosa;
2) średnica 10 mm, rozwijający się na skórze policzka;
3) II stopień w skali Clark’a;
4) naciekający na głębokość 5 mm;
5) średnica 5mm, rozwijający się na skórze małżowiny usznej;
6) guz Pinkusa.
Prawidłowa odpowiedź to:
Pytanie 87
Wskaż fałszywe stwierdzenia dotyczące czerniaka złośliwego (MM):
1) u chorych z podejrzaną w badaniu dermatoskopowym zmianą barwnikową powinno się wykonać zabieg jej wycięcia z co najmniej 5mm marginesem tkanek zdrowych;
2) nierównomierny kolor znamienia w badaniu dermatoskopowym zaliczany jest do kryteriów większych ryzyka transformacji w MM według klasyfikacji Glasgow;
3) cecha T3b w przypadku MM oznacza, że guz jest nieowrzodziały i nacieka na głębokość 2-4 mm;
4) wskazaniem do przeprowadzenia procedury węzła wartownika jest rozpoznanie MM w stopniu II według Breslowa;
5) określenie „przerzut in transit” odnosi się do przerzutu MM występującego w odległości do 2 cm od guza pierwotnego;
6) obecnie w leczeniu czerniaków, w stadium uogólnienia stosuje się terapie celowane w postaci inhibitorów BRAF i MEK oraz immunoterapię w wykorzystaniem ipilimumabu i pembrolizumabu.
Prawidłowa odpowiedź to:
Pytanie 88
Chory z rakiem płaskonabłonkowym dna jamy ustnej w stopniu zaawansowania cT3N3M0 zostanie zakwalifikowany do zabiegu wycięcia guza pierwotnego wraz z:
Pytanie 89
Dopasuj zespoły dziedziczne do głównych objawów występujących w ich przebiegu:
1) zespół Gardnera;
2) zespół Peutza-Jeghersa;
3) FAMMM;
4) zespół Muira-Torre’a;
a) znamiona dysplastyczne;
b) raki z gruczołów łojowych skóry twarzy, głowy i tułowia;
c) zmiany barwnikowe błony śluzowej jamy ustnej i skóry otoczenia ust;
d) kostniaki.
Prawidłowa odpowiedź to:
Pytanie 90
Wskaż prawdziwe stwierdzenia dotyczące unerwienia stawu skroniowo-żuchwowego:
1) tylna i przyśrodkowa część torebki stawu i krążka stawowego unerwiona jest przez nerw uszno-skroniowy;
2) nerw żwaczowy i skroniowy głęboki tylny unerwiają boczny i przedni odcinek torebki i chrząstki;
3) przednia i przyśrodkowa część torebki stawu i krążka stawowego unerwiona jest przez nerw uszno-skroniowy;
4) nerw żwaczowy i skroniowy głęboki tylny unerwiają boczny i tylny odcinek torebki i chrząstki;
5) nerw żwaczowy i skroniowy głęboki tylny unerwiają tylko krążek stawowy.
Prawidłowa odpowiedź to:
Pytanie 91
Do odgałęzień tętnicy szyjnej wewnętrznej przeznaczonych dla mózgowia zalicza się tętnicę:
1) naczyniówkową;
2) mózgu przednią;
3) mózgu środkową;
4) mózgu tylną;
5) oczną.
Prawidłowa odpowiedź to:
Pytanie 92
Wskaż prawdziwe stwierdzenia:
1) cecha T2 oznacza, że rak zatoki szczękowej nacieka na dolną ścianę oczodołu;
2) cecha T3 oznacza, że rak nosowo-sitowy nacieka na przyśrodkową ścianę lub dno oczodołu, zatokę szczękową, podniebienie lub blaszkę sitową;
3) cecha T4a oznacza, że rak zatoki szczękowej nacieka szczyt oczodołu;
4) resekcja totalna szczęki polega na usunięciu całej szczęki z zachowaniem dna oczodołu, najczęściej wykowana jest z dostępu Webera-Fergusona;
5) resekcja radykalna szczęki polega na resekcji całej szczęki z dnem oczodołu oraz egzenteracją oczodołu;
6) cięcie przez środek wargi górnej, okalające skrzydło nosa, biegnące na granicy policzka i bocznej ściany nosa do kąta przyśrodkowego powiek a następnie podrzęsowo to dostęp Webera-Moora z modyfikacją Barbosa.
Prawidłowa odpowiedź to:
Pytanie 93
Wskaż prawdziwe stwierdzenia dotyczące artykainy:
1) należy do aminoestrowych leków znieczulenia miejscowego;
2) dostępna jest w postaci chlorowodorków w stężeniu 4% o pKa=7,8 i pH 5,0-5,7;
3) wykazuje działanie kardiodepresyjne, po podaniu donaczyniowym;
4) maksymalnie, jednorazowo można podać 7 ampułek 4% artikainy o pojemności 1,7 ml;
5) ulega dwustopniowemu procesowi rozkładu: w osoczu i wątrobie;
6) nie należy jej podawać kobietom w ciąży, gdyż charakteryzuje się wysoką penetracją łożyska.
Prawidłowa odpowiedź to:
Pytanie 94
Wskaż prawdziwe stwierdzenia dotyczące niesterydowych leków przeciwzapalnych:
1) diklofenak można bezpiecznie podawać u chorych z chorobami wątroby;
2) ibuprofenu nie należy podawać chorym z chorobą wrzodową, gdyż wykazuje on silne działanie drażniące w stosunku do śluzówki żołądka;
3) ketoprofen jest dobrze tolerowany u chorych z astmą aspirynową;
4) maksymalna dobowa dawka paracetamolu wynosi 6g;
5) w przypadku zatrucia paracetamolem choremu podaje się acetylocysteinę;
6) przeciwbólowe działanie metamizolu wynika z jego aktywności ośrodkowej. Jego podanie drogą pozajelitową może prowadzić do gwałtownego spadku ciśnienia krwi, co jest związane w jego działaniem litycznym na mięśniówkę gładką naczyń krwionośnych.
Prawidłowa odpowiedź to:
Pytanie 95
Wskaż prawdziwe stwierdzenie dotyczące przetoki II łuku skrzelowego:
Pytanie 96
Wskaż kryteria główne zespołu Gorlina-Goltza:
1) włókniak jajnika;
2) rozszczepione, zlane lub szeroko rozstawione żebra;
3) zwapnienia w obrębie sierpa mózgu obejmujące obie jego blaszki;
4) krąg połowiczy;
5) hiperteloryzm dużego stopnia;
6) co najmniej 3 ogniska BCC u pacjenta poniżej 20 r.ż.
Prawidłowa odpowiedź to:
Pytanie 97
Wskaż prawdziwe stwierdzenia dotyczące torbieli kanału przysiecznego (ICC):
1) stanowi 15% wszystkich zmian torbielowatych kości;
2) punktem wyjścia mogą być reszty nabłonkowe Malasseza;
3) 3-krotnie częściej występuje u mężczyzn;
4) najczęściej rozwija w 2. dekadzie życia;
5) ryzyko wznowy waha się pomiędzy 20% a 30%.
Prawidłowa odpowiedź to:
Pytanie 98
Wskaż prawdziwe stwierdzenia dotyczące zakażeń chirurgicznych:
1) wywoływane są przez beztlenową florę bakteryjną;
2) mają skłonność do ograniczania się, co umożliwia nacięcie i sączkowanie ogniska zapalnego;
3) w przypadku wystąpienia zakażenia chirurgicznego, po wykonaniu zabiegu chirurgicznego wdraża się antybiotykoterapię empiryczną;
4) rozwijają się wskutek zadziałania mikrourazu z przerwaniem ciągłości tkanek;
5) przebycie zakażenia pozostawia odporność swoistą na patogen, który je wywołał;
6) występują tylko w obrębie twarzy, szyi i jamy ustnej.
Prawidłowa odpowiedź to:
Pytanie 99
Wskaż prawdziwe stwierdzenia dotyczące chorób nerwów czaszkowych:
1) uszkodzenie ośrodkowe nerwu VII cechuje się porażeniem dolnej części twarzy po stronie uszkodzenia;
2) zespół krokodylich łez powstaje na skutek uszkodzenia toksycznego nerwu twarzowego powyżej zwoju kolankowego;
3) zespół Tapia to połowicze porażenie nerwów XI i XII;
4) objawem Marcusa-Gunna nazywamy patologię polegającą na opadaniu powiek górnych przy opuszczaniu żuchwy;
5) zespołowi Möbiusa może towarzyszyć zespół Polanda, czyli niedorozwój mięśni piersiowych i oddechowych;
6) neuralgia Hunta zwana neuralgią nerwu pośredniego charakteryzuje się silnymi bólami strzelającymi, przeszywającymi głęboko w uchu z promieniowaniem do szczęki, wyrostka sutkowatego, korzenia języka i gardła.
Prawidłowa odpowiedź to:
Pytanie 100
Klasyfikacja Junipera z 1994 roku opisuje:
Pytanie 101
Wskaż elementy wchodzące w skład ściany przyśrodkowej przestrzeni przygardłowej:
1) mięsień dźwigacz podniebienia miękkiego;
2) mięsień napinacz podniebienia miękkiego;
3) mięsień skrzydłowy przyśrodkowy pokryty powięzią;
4) mięsień skrzydłowy boczny;
5) mięsień zwieracz gardła górny;
6) rozcięgno międzyskrzydłowe;
7) szew skrzydłowo-żuchwowy;
8) wyrostek rylcowaty wraz z odchodzącymi od niego mięśniami: rylcowo-gnykowym, rylcowo-językowym i rylcowo-gardłowym.
Prawidłowa odpowiedź to:
Pytanie 102
Do grupy nowotworów skóry z różnicowaniem apokrynowym i ekrynowym należy:
1) oblak skóry;
2) gruczolak łojowy;
3) włókniak trichoblastyczny;
4) choroba Pageta;
5) rak cewkowy;
6) choroba Bowena.
Prawidłowa odpowiedź to:
Pytanie 103
Rozszerzona nadłopatkowo-gnykowa operacja układu chłonnego szyi polega na usunięciu węzłów chłonnych:
Pytanie 104
W przypadku stwierdzenia przerzutów w węzłach chłonnych towarzyszących żyle szyjnej wewnętrznej na wysokości od poziomu kości gnykowej do chrząstki pierścieniowatej, najbardziej prawdopodobną lokalizacją ogniska pierwotnego jest:
1) dno jamy ustnej;
2) korzeń języka;
3) trzon języka;
4) krtaniowa część gardła;
5) nosogardło;
6) migdałek podniebienny;
7) nosowa część gardła.
Prawidłowa odpowiedź to:
Pytanie 105
Wskaż prawdziwe stwierdzenia dotyczące raków typu G3:
1) są niskozróżnicowane, typowe dla nosowej części gardła i jamy nosowej;
2) cechują się dużą dynamiką wzrostu oraz wysokim wynoszącym ponad 40% odsetkiem przerzutów odległych;
3) przerzuty odległe dają najczęściej do płuc;
4) są chemioczułe i radioczułe, ale nie jest to równoznaczne z chemio- czy promieniowyleczalnością;
5) metodą z wyboru jest leczenie chirurgiczne uzupełnione o radio- lub radiochemioterapię adiuwantową;
6) leczenie chirurgiczne nie jest stosowane, gdyż metodą z wyboru w leczeniu jest radykalna radio- lub radiochemioterapia.
Prawidłowa odpowiedź to:
Pytanie 106
Postępowaniem chirurgicznym w przypadku raka jamy ustnej w stopniu zaawansowania klinicznego T4aN2c jest wycięcie guza pierwotnego wraz z:
Pytanie 107
U pacjenta zdiagnozowano raka masywu szczękowo-nosowo-sitowego w stopniu zaawansowania klinicznego IVA. Spośród poniższych kombinacji TNM do grupy IVA należy:
1) T4aN0M1;
2) T4aN1M0;
3) T2N1M0;
4) T2N2M0;
5) T3N2M1;
6) T4aN0M0.
Prawidłowa odpowiedź to:
Pytanie 108
Zmodyfikowana klasyfikacja ubytków szczęk i środkowego piętra twarzy (stworzona przez Browna i R. Shawa) dzieli ubytki środkowego piętra twarzy w dwóch płaszczyznach - pionowej i poziomej oraz stanowi wskazówkę do wyboru metody rekonstrukcyjnej. W zależności od rodzaju ubytku (6 klas ubytków) zalecane są różne metody rekonstrukcji i rehabilitacji. Do ubytków klasy III zaleca się:
Pytanie 109
Wskaż prawdziwe stwierdzenie dotyczące operacji typu Draf III:
Pytanie 110
Wskaż choroby dziedziczne predysponujące do częstszego występowania czerniaka złośliwego:
1) skóra pergaminowa barwnikowa;
2) zespół rodzinnego występowania znamion atypowych;
3) zespół Cowdena;
4) zespół Muira-Torre’a;
5) zespół Blooma;
6) zespół Birt-Hogg-Dube.
Prawidłowa odpowiedź to:
Pytanie 111
Wskaż algorytm leczenia raka z komórek Merkla występującego w obrębie głowy i szyi:
1) leczeniem z wyboru jest chirurgiczne wycięcie zmiany z marginesem 0,5-1 cm do głębokości powięzi i okostnej oraz ocena histopatologiczna wszystkich marginesów lub zastosowanie metody Mohsa;
2) w przypadku stwierdzenia przerzutów w węźle wartowniczym należy wykonać selektywną operację węzłową z następową uzupełniającą radioterapią;
3) w przypadku stwierdzenia przerzutów w węźle wartowniczym należy wykonać zmodyfikowaną radykalną operację układu chłonnego szyi typu I z następową uzupełniającą radioterapią;
4) w przypadku stwierdzenia przerzutów w węźle wartowniczym należy wykonać selektywną operację węzłową z następową uzupełniającą chemioterapią;
5) jednoczasową rekonstrukcję ubytku przeszczepem skóry;
6) nie stosuje się jednoczasowej rekonstrukcji tkanek ze względu na uzupełniającą radioterapię;
7) w przypadku braku przerzutów do węzła wartowniczego, wskazana jest uzupełniająca radioterapia przy lokalizacji raka w obrębie skóry głowy i szyi.
Prawidłowa odpowiedź to:
Pytanie 112
Zespół Melnicka-Frasera to zespół wad dziedziczonych autosomalnie dominująco, w skład którego wchodzą: hipoplazja lub aplazja nerek, głuchota, dołeczki przeduszne, zwężenie przewodów łzowych, długa i pociągła twarz, wąskie podniebienie, rozdwojenie języczka i głęboki zgryz. Z grupy torbieli i guzów zębopochodnych obraz kliniczny uzupełniają:
Pytanie 113
Zmiana ta stanowi jedną z najszybciej rosnących i najbardziej destruktywnych patologii wewnątrzkostnych. Nie jest zmianą charakterystyczną dla kości szczękowych. W obrazie radiologicznym manifestuje się w postaci balonowatego ubytku kości, na ogół o dość wyraźnie zaznaczonych brzegach. Ubytek może być zarówno jednokomorowy, jak również wielokomorowy dający obraz baniek mydlanych lub plastra miodu. Podstawowym badaniem obrazowym dla tej zmiany jest rezonans magnetyczny. W diagnostyce różnicowej zmiany należy uwzględnić: wewnątrzkostną zmianę olbrzymiokomórkową, guz olbrzymiokomórkowy, torbiel samotną kości, naczyniaki oraz mięska kości. W chwili obecnej podstawową formą leczenia tej zmiany jest leczenie chirurgiczne. Oprócz leczenia chirurgicznego znaczenie mają również metody alternatywne leczenia, do których zaliczamy:
1) krioterapię;
2) radioterapię;
3) interferon-2α;
4) śródguzowe wstrzykiwanie glukokortykosteroidów;
5) elektrodysykację;
6) podskórne aplikacje kalcytoniny;
7) przezskórną skleroterapię.
Prawidłowa odpowiedź to:
Pytanie 114
U pacjenta wykonano wyłuszczenie niewielkiego (do 3 cm średnicy), jednokomorowego ubytku w żuchwie, podejrzanego o torbiel zębopochodną. Które rozpoznanie histopatologiczne wyłuszczonej zmiany nie wymaga uzupełnienia przez zabieg resekcji brzeżnej lub odcinkowej żuchwy?
1) rogowaciejąco-torbielowaty guz zębopochodny, ale brak radykalności w badaniu histopatologicznym;
2) szkliwiak jednokomorowy o typie śródściennym z głęboką proliferacją nabłonka ameloblastycznego w obręb torebki guza;
3) szkliwiak jednokomorowy o typie śródściennym z niewielką proliferacją nabłonka ameloblastycznego w obręb torebki guza;
4) szkliwiak jednokomorowy o typie intraluminalnym;
5) szkliwiak lity/wielokomorowy, radykalność potwierdzona w badaniu histopatologicznym.
Prawidłowa odpowiedź to:
Pytanie 115
Zdolność do naciekania tkanek w okolicy zmiany oraz skłonność do nawrotów wykazuje:
1) pseudogruczołowy guz zębopochodny;
2) wapniejący nabłonkowy guz zębopochodny;
3) włókniakozębiak szkliwiakowy;
4) młodzieńczy beleczkowaty włókniak kostniejący;
5) włókniak szkliwiakowy;
6) zębinopochodny guz zawierający komórki-cienie.
Prawidłowa odpowiedź to:
Pytanie 116
Obraz kliniczny torbieli nosowo-wargowej wymaga różnicowania z:
1) torbielą kanału przysiecznego;
2) zębopochodną torbielą groniastą;
3) czyrakiem skórnej części przedsionka nosa;
4) histiocytozą z komórek Langerhansa;
5) zespołem Melkerssona-Rosenthala;
6) limfatyczną malformacją naczyniową.
Prawidłowa odpowiedź to:
Pytanie 117
Wskazaniem do leczenia chirurgicznego (stabilnej osteosyntezy) złamania wyrostka kłykciowego jest:
1) bezzębie;
2) zaawansowana choroba przyzębia;
3) krwiak wewnątrztorebkowy w obrębie stawu skroniowo-żuchwowego;
4) złamanie obustronne głów żuchwy bez wpływu na zwarcie;
5) złamanie jednostronne bez przemieszczenia;
6) przemieszczenie odłamu proksymalnego do środkowego dołu czaszki;
7) wieloodłamowe złamanie części twarzowej czaszki.
Prawidłowa odpowiedź to:
Pytanie 118
W przypadku niskiego złamania szyjki żuchwy, podstawową drogą dostępu jest dostęp:
Pytanie 119
Wskaż objawy przetoki szyjno-jamistej powstałej w wyniku złamania podstawy czaszki:
1) płynotok nosowy z osłabieniem lub brakiem węchu;
2) upośledzenie wzroku;
3) przepuklina mózgowa;
4) odma mózgowa w mechanizmie wentylowym;
5) niedowład nerwu odwodzącego;
6) niedowład nerwu twarzowego;
7) wytrzeszcz tętniący gałki ocznej.
Prawidłowa odpowiedź to:
Pytanie 120



