Wyszukaj egzamin lub pytanie
Egzamin PES Chirurgia ogólna / wiosna 2017
120 pytań
Pytanie 1
U 55-letniego mężczyzny z bezbólową żółtaczką (bilirubina 3,6 mg%, N <1,0 mg%), bez poważnych obciążeń chorobowych w badaniu tomografii komputerowej stwierdzono guz trzustki wielkości 3,5 cm, nienaciekający naczyń krezkowych ani żyły wrotnej. Nie stwierdzono zmian przerzutowych w obrębie jamy brzusznej i klatki piersiowej. Wskaż właściwe postęowanie:
Pytanie 2
U pacjentki w I dobie po cholecystektomii laparoskopowej stwierdzono obecność żółci w drenie w ilości około 100 ml/dobę. W badaniu fizykalnym brzuch jest miękki, bez objawów otrzewnowych, pacjentka nie gorączkuje, jest w dobrym stanie ogólnym. Które stwierdzenie dotyczące zaistniałej sytuacji i dalszego postępowania jest prawdziwe?
Pytanie 3
U 23-letniej pacjentki w ramach diagnostyki dyspepsji wykonano usg jamy brzusznej, w którym opisano 5 mm polip w pęcherzyku żółciowym. Wywiad rodzinny pacjentki w kierunku nowotworów dróg żółciowych jest negatywny. Jakie powinno być dalsze postępowanie u tej pacjentki?
Pytanie 4
U 52-letniego pacjenta po polipektomii polipa uszypułowanego w esicy uzyskano wynik badania histopatologicznego z rozpoznaniem raka wczesnego w polipie w klasyfikacji Hagitta 2 stopień. Ponadto opisano naciekanie naczyń chłonnych i krwionośnych. Dalsze postępowanie u tego pacjenta polega na:
Pytanie 5
U 65-letniego pacjenta z potwierdzonym histopatologicznie rakiem trzustki w ocenie przedoperacyjnej stwierdzono utratę około 12% masy ciała w ostatnich 3 miesiącach, obniżone stężenie prealbuminy oraz zmniejszoną liczbę limfocytów. Dalsze postępowanie u tego pacjenta powinno polegać na:
Pytanie 6
Wskaż prawdziwe stwierdzenia dotyczące ropni wewnątrzbrzusznych:
1) najczęściej lokalizują się w narządach jamy brzusznej (wątroba, śledziona) wtórnie do perforacji przewodu pokarmowego;
2) głównym patogenem obecnym w posiewach jest gronkowiec złocisty MRSA;
3) ropnie w przebiegu choroby Leśniowskiego-Crohna w posiewie najczęściej charakteryzuje wzrost grzybów z rodzaju Candida;
4) najczęściej lokalizują się podprzeponowo i międzypętlowo;
5) ropnie w przebiegu zapalenia wyrostka robaczkowego świadczą o trzeciorzędowym zapaleniu otrzewnej.
Prawidłowa odpowiedź to:
Pytanie 7
Przeciwwskazanie do wykonania przezskórnej endoskopowej gastrostomii (PEG) stanowią:
1) masywne wodobrzusze;
2) nowotwór trzustki naciekający dwunastnicę;
3) nowotwór przełyku z naciekiem osierdzia;
4) zaburzenia połykania po udarze mózgu;
5) brak możliwości wyznaczenia bezpiecznego miejsca wprowadzenia igły na powłokach brzucha.
Prawidłowa odpowiedź to:
Pytanie 8
U pacjentki z wyrównaną marskością wątroby, bez wodobrzusza, z prawidłową wartością bilirubiny i INR stwierdzono w badaniu tomografii komputerowej pojedynczą zmianę ogniskową w wątrobie wielkości 3 cm w prawym płacie (segment VI), wzmacniającą się w fazie tętniczej oraz wypłukującą się z kontrastu w opóźnionej fazie żylnej badania. Dalsze postępowanie polega na:
Pytanie 9
Kiedy należy zacząć podawać choremu ciężko oparzonemu inhibitory pompy protonowej?
Pytanie 10
Oparzenie IV stopnia powłok ciała obejmuje:
Pytanie 11
Wskaż zalecane ułożenie kończyny górnej w przypadku oparzenia dołu pachowego:
Pytanie 12
Presoterpia u pacjentów z bliznami pooparzeniowymi powinna być stosowana:
Pytanie 13
Odma prężna jamy opłucnej występuje gdy:
Pytanie 14
W leczeniu przewlekłego bólu u chorych z zaawansowanych rakiem trzustki lub przewlekłym zapaleniem trzustki, u których leczenie farmakologiczne jest nieskuteczne, można wykonać:
1) sympatektomię piersiową;
2) splanchnicektomię;
3) sympatektomię lędźwiową;
4) neurolizę splotu trzewnego;
5) resekcję ogona trzustki.
Prawidłowa odpowiedź to:
Pytanie 15
Wskaż stany chorobowe sprzyjające rozwojowi raka żołądka:
1) przewlekłe zanikowe zapalenie błony śluzowej żołądka z metaplazją jelitową;
2) dysplazja błony śluzowej;
3) polipy kosmkowe żołądka;
4) choroba Menetriera (gastropatia przerostowa).
Prawidłowa odpowiedź to:
Pytanie 16
II typ przecieku krwi do worka tętniaka aorty brzusznej po jego wewnątrznaczyniowym zaopatrzeniu za pomocą stentgraftu polega na:
Pytanie 17
Które z poniższych parametrów uwzględnia się jako kryterium pilności transplantacji w modelu oceny schyłkowych chorób wątroby (model for end-stage liver disease - MELD)?
1) stężenie bilirubiny w osoczu;
2) stężenie kreatyniny w osoczu;
3) stężenie mocznika w osoczu;
4) czas protrombinowy (INR);
5) czas kaolinowo-kefalinowy (APTT).
Prawidłowa odpowiedź to:
Pytanie 18
Wg metaanalizy z 2015 roku profilaktyczne stosowanie opatrunków podciśnieniowych u pacjentów po operacjach brzusznych zmniejsza ryzyko:
Pytanie 19
W metaanalizie z 2015 roku oceniano różne metody depilacji - golenie, strzyżenie, depilację chemiczną oraz brak depilacji jako potencjalny czynnik zwiększający częstość zakażenia miejsca operowanego. W przypadku której metody stwierdzano największą częstość zakażeń?
Pytanie 20
Do charakterystycznych objawów zakrzepicy żył głębokich nie należy:
Pytanie 21
Wskaż fałszywe stwierdzenie dotyczące zatoru tętnicy:
Pytanie 22
Wskaż prawidłową charakterystykę typu rozwarstwienia aorty według klasyfikacji Stanforda:
Pytanie 23
Typ II tętniaków piersiowo-brzusznych według klasyfikacji Crawforda oznacza:
Pytanie 24
Do wczesnych powikłań zabiegów naczyniowych rozpoznawanych w USG zalicza się wszystkie, z wyjątkiem:
Pytanie 25
Do Szpitalnego Oddziału Ratunkowego przywieziono nałogowego alkoholika wymiotującego obficie żywoczerwoną krwią. Z zebranego wywiadu wynika, że chorego w ostatnim czasie trapiły uporczywe wymioty. Poza objawami wstrząsu, w badaniu fizykalnym zwraca uwagę zażółcenie skóry. W per rectum - stolec brązowy. W badaniach laboratoryjnych HCT 23%; HGB 6,8 g/dl; PT 1,7 INR; APTT 36 s. Wskaż najbardziej prawdopodobną przyczynę krwawienia w przypadku tego chorego:
Pytanie 26
Do ambulatorium chirurgicznego zgłasza się 67-letni chory z guzami prawego nadnercza o wymiarach 4,2 cm oraz lewego nadnercza o wymiarach 2,1 cm. W badaniu tomografii komputerowej jamy brzusznej - typowy obraz gruczolaków. Badania laboratoryjne wykluczyły czynność hormonalną guzów. Postępowaniem z wyboru u tego chorego będzie:
Pytanie 27
Wskaż prawdziwe stwierdzenia dotyczące przepukliny udowej:
1) występuje częściej u kobiet;
2) jest typową przepukliną wrodzoną;
3) z uwagi na to, że najczęściej ma szerokie wrota, rzadko dochodzi do uwięźnięcia;
4) w badaniu fizykalnym prezentuje się jako kuliste uwypuklenie poniżej więzadła pachwinowego.
Prawidłowa odpowiedź to:
Pytanie 28
Co jest wskazaniem do zabiegu operacyjnego w przebiegu ostrego zapalenia trzustki?
Pytanie 29
Z uwagi na to, iż przewód pokarmowy jest potencjalnym źródłem uogólnionej reakcji zapalnej (SIRS), w przypadku krytycznie chorych najlepszym możliwym leczeniem żywieniowym jest:
Pytanie 30
Do najczęstszych objawów ropnia śledziony należą:
1) splenomegalia;
2) zaburzenia rytmu wypróżnień;
3) ból brzucha pod lewym łukiem żebrowym lub w śródbrzuszu;
4) wysięk w lewej jamie płucnej;
5) gorączka.
Prawidłowa odpowiedź to:
Pytanie 31
Najczęstszymi przyczynami perforacji przełyku są:
Pytanie 32
Bezwzględnymi przeciwwskazaniami do pobrania nerek są:
1) niewydolność wielonarządowa;
2) cukrzyca insulinozależna;
3) uogólnione zakażenie;
4) zakażenie HCV.
Prawidłowa odpowiedź to:
Pytanie 33
SOFA to skala oceny:
Pytanie 34
Do obrazu klinicznego ostrej zatorowości płucnej należą:
1) ból zamostkowy;
2) objawy lewokomorowej niewydolności krążenia;
3) objawy prawokomorowej niewydolności krążenia;
4) wzrost ciśnienia tętniczego;
5) spadek ciśnienia tętniczego.
Prawidłowa odpowiedź to:
Pytanie 35
Kryteriami rozpoznawania rodzin podejrzanych o HNPCC są:
1) stwierdzenie zachorowania na raka jelita grubego, raka trzonu macicy, jelita cienkiego lub dróg moczowych wśród krewnych I stopnia;
2) wystąpienie jednego z ww. nowotworów u osoby poniżej 50. r.ż.;
3) wystąpienie jednego z ww. nowotworów u pacjenta płci męskiej;
4) wykluczenie polipowatości rodzinnej.
Prawidłowa odpowiedź to:
Pytanie 36
W klasyfikacji wg WHO patologicznych torbielowatych zmian trzustki do wewnątrzprzewodowych nowotworów brodawkowato-śluzotwórczych trzustki (IPMN) nie zalicza się:
Pytanie 37
Guz naciekający miejsce połączenia obu przewodów wątrobowych i obejmujący prawy przewód wątrobowy w klasyfikacji guzów wnęki wątroby wg Bismutha i Corlette’a stanowi typ:
Pytanie 38
Wskaż prawdziwe stwierdzenie dotyczące triady Charcota:
Pytanie 39
Zespół Bouvereta to:
Pytanie 40
Skala Childa-Pugha nie uwzględnia:
Pytanie 41
We wczesnym raku jelita grubego:
Pytanie 42
Czynnikiem patogenetycznym niedokrwiennego zapalenia jelita grubego są:
1) nadciśnienie tętnicze;
2) cukrzyca;
3) zaburzenia lipidowe;
4) nadmierne nagromadzenie tkanki tłuszczowej w obrębie trzewi.
Prawidłowa odpowiedź to:
Pytanie 43
W przypadku najniżej położonych raków odbytnicy, alternatywę dla operacji Milesa stanowi:
Pytanie 44
Wskaż prawdziwe zdania dotyczące wrzodziejącego zapalenia jelita grubego (WZJG):
1) zmiany powstające w przebiegu WZJG jedynie u 20-30% chorych zlokalizowane są w odbytnicy;
2) ryzyko zachorowania na raka jelita grubego wynosi 30-40% po 10 latach trwania WZJG;
3) przy braku poprawy po intensywnym leczeniu zachowawczym w przypadku megacolon toxicum operacją z wyboru jest proktokolektomia odtwórcza;
4) objawy pozajelitowe WZJG zawsze występują kilka lat po rozpoznaniu choroby;
5) obecnie we wszystkich postaciach WZJG lekiem z wyboru są glikokortykosteroidy.
Prawidłowa odpowiedź to:
Pytanie 45
W przypadku przedoperacyjnej oceny miejscowego stopnia zaawansowania raka odbytnicy do 10 cm od brzegu odbytu badaniem z wyboru jest:
Pytanie 46
Wskaż prawdziwe stwierdzenie dotyczące programu nadzoru pooperacyjnego (follow-up) po chirurgicznym leczeniu raka jelita grubego z zamysłem radykalnej resekcji:
Pytanie 47
Do późnych powikłań rekonstrukcji przełyku nie należą:
1) zaburzenia z strony układu oddechowego (m.in. zaleganie wydzieliny w drzewie oskrzelowo-tchawiczym wymagające bronchoaspiracji, niedodma, zapalenie płuc, ARDS);
2) zwężenie w obrębie zespolenia;
3) zaleganie treści w żołądku (gdy nie wykonano pyloroplastyki lub pyloromiotomii);
4) gromadzenie się chłonki w jamie opłucnej;
5) zespół poposiłkowy;
6) wpuklanie się narządów trzewnych do klatki piersiowej przez poszerzony rozwór przełykowy;
7) biegunki;
8) przetoka w zespoleniu przełykowym.
Prawidłowa odpowiedź to:
Pytanie 48
Badanie komputerowej tomografii klatki piersiowej u 52-letniego mężczyzny w dobrym stanie ogólnym, który przed trzema laty przebył resekcję esicy z powodu gruczolakoraka (adenocarcinoma) ujawniło dwa cienie okrągłe w płacie górnym płuca lewego. Badanie ultrasonograficzne jamy brzusznej (USG) prawidłowe. Dalsze właściwe postępowanie to:
Pytanie 49
Choremu w zadowalającym stanie ogólnym z rozpoznanym rakiem głowy trzustki i synchronicznymi, mnogimi przerzutami do wątroby, u którego w badaniach dodatkowych stwierdzono podwyższony poziom aminotransferazy asparaginianowej (GOT) i alaninowej (GPT) w surowicy krwi obwodowej przy prawidłowych pozostałych parametrach czynności wątroby należy zaproponować:
Pytanie 50
Kobieta lat 70 w dobrym stanie ogólnym i bez istotnych obciążeń internistycznych zgłosiła się do ambulatorium konsultacyjnego szpitala z powodu obecności krwi w stolcu od 15 dni bez zaparć. Badanie palcem przez odbyt (per rectum) ujawniło owrzodzenie na przedniej ścianie odbytnicy średnicy około 3 cm, ruchome w stosunku do podłoża. Jakie badania należy wykonać aby ustalić optymalny sposób postępowania?
Pytanie 51
Przyczyną krwawienia z jelita grubego nie jest/nie są:
Pytanie 52
Jakie jest właściwe dalsze postępowanie, które powinno być zalecone 50-letniemu mężczyźnie, u którego z powodu incydentu obecności krwi w stolcu wykonano sigmoidoskopię ujawniającą pojedynczy uszypułowany polip średnicy 1 cm w esicy?
1) oznaczenie antygenu rakowo-płodowego (CEA-carcino-embryonic antigen);
2) zaproponowanie operacji wycięcia esicy;
3) wyciąć polip w całości przy pomocy diatermicznej pętli (polipektomia) i posłać go do badania histopatologicznego;
4) zalecić kontrolne badanie sigmoidoskopowe za 6 miesięcy;
5) zalecić wykonanie w najbliższym czasie całkowitej kolonoskopii, aby wykluczyć obecność polipów w pozostałych odcinkach jelita grubego.
Prawidłowa odpowiedź to:
Pytanie 53
Węzeł chłonny wartowniczy jest to pierwszy węzeł chłonny na drodze spływu chłonki z obszaru pierwotnego guza nowotworowego do regionalnych węzłów chłonnych. W świetle aktualnego stanu wiedzy biopsja węzła wartowniczego jest standardem postępowania w:
1) czerniaku złośliwym (melanoma malignum);
2) raku piersi (carcinoma mammae);
3) raku płuca;
4) raku tarczycy;
5) raku jelita grubego.
Prawidłowa odpowiedź to:
Pytanie 54
Mianem incidentaloma w przypadku guza nadnerczy określa się:
Pytanie 55
W leczeniu zespołu ślepej pętli jelitowej stosuje się:
Pytanie 56
Uszkodzenie śledziony, w wyniku urazu tępego, w stopniu III obejmuje:
Pytanie 57
Do SOR zgłasza się 40-letnia kobieta z silnymi bólami brzucha w podbrzuszu i w prawej okolicy lędźwiowej. Jest w trakcie miesiączki. Zgłasza stany podgorączkowe i możliwość domieszki krwi w moczu. W rozpoznaniu różnicowym należy uwzględnić:
Pytanie 58
Wskaż prawdziwe stwierdzenie dotyczące przepuklin okołostomijnych:
Pytanie 59
Wskaż możliwe przyczyny wyłonienia ileostomii :
Pytanie 60
Wskaż fałszywe stwierdzenie dotyczące leczenia ropnia okołoodbytniczego:
Pytanie 61
Pacjent lat 70, w czternastej dobie po operacji Hartmanna z powodu perforacji uchyłków esicy, zgłasza się do poradni chirurgicznej na kontrolę celem zdjęcia szwów. Dotychczas przebieg pooperacyjny bez powikłań. Chory podaje, że od kilku dni zaczął wysoko gorączkować, zgłasza nudności i wymioty, silniejsze niż do tej pory bóle brzucha, narastają parametry zapalne w badaniach laboratoryjnych. Co w pierwszej kolejności należy podejrzewać?
Pytanie 62
Kobieta lat 35, w 20. tygodniu ciąży, zgłasza się do poradni chirurgicznej z powodu wykrytej w usg brzucha kamicy pęcherzyka żółciowego. Miewała w przeszłości bóle w prawym podżebrzu po tłustych posiłkach, obecnie dolegliwości o słabym nasileniu zdarzają się sporadycznie. W badaniu brzuch miękki, niebolesny. Wskaż prawidłowe postępowanie:
Pytanie 63
Preparowanie wstępnicy w trakcie prawostronnej hemikolektolii może sprzyjać uszkodzeniom jatrogennym narządów jamy brzusznej. Najbardziej narażonymi są:
Pytanie 64
Sporadyczne raki jelita grubego, bez obserwowanych uwarunkowań genetycznych stanowią:
Pytanie 65
Najczęstszą przyczyną niedrożności dolnego odcinka przewodu pokarmowego jest/są:
Pytanie 66
U operowanego pacjenta po urazie przeszywającym jamy brzusznej stwierdzono uszkodzenie esicy z towarzyszącym całkowitym odnaczynieniem tego fragmentu jelita. Stan chorego stabilny, brak cech zapalenia otrzewnej i innych obrażeń. Dopuszczalnym postępowaniem chirurgicznym jest:
Pytanie 67
Zapalenie uchyłków jelita grubego z rozlanym ropnym zapaleniem otrzewnej to w skali Hinchey'a stopień:
Pytanie 68
Wskaż najczęstszą przyczynę krwawienia z dolnego odcinka przewodu pokarmowego:
Pytanie 69
Metodą diagnostyczną, która umożliwia najbardziej precyzyjną ocenę stopnia zaawansowania raka odbytnicy a także przebiegu kanału przetoki odbytu jest:
Pytanie 70
Minimalną hemostatyczną liczbą płytek jest:
Pytanie 71
IV stopień klasyfikacji morfologicznej zaawansowanego raka żołądka wg Bormanna oznacza:
Pytanie 72
Wskaż prawdziwe stwierdzenia dotyczące uchyłku Meckela:
1) jest przykładem uchyłka rzekomego;
2) jest pozostałością przewodu pępkowo-jelitowego;
3) uchyłek Meckela może zawierać tkankę trzustki;
4) uchyłek Meckela może prowadzić do wystąpienia objawów niedrożności przewodu pokarmowego;
5) uchyłek Meckela jest najrzadszą przyczyną krwawienia do światła przewodu pokarmowego u dzieci.
Prawidłowa odpowiedź to:
Pytanie 73
Łuk Riolana:
Pytanie 74
Wskaż prawdziwe stwierdzenia dotyczące zespołu głodnych kości:
1) zawsze występuje po usunięciu przytarczyc;
2) częściej występuje po operacji z powodu trzeciorzędowej nadczynności przytarczyc, aniżeli pierwotnej nadczynności przytarczyc;
3) występuje zwykle u chorych, u których stwierdza się cechy osteitis fibrocystica;
4) częściej występuje u osób po usunięciu dużych gruczolaków przytarczyc, u których przed zabiegiem stwierdzono niską aktywność ALP.
Prawidłowa odpowiedź to:
Pytanie 75
Do objawów zespołu Ogliviego należą:
Pytanie 76
Operacja sposobem Freya:
Pytanie 77
Do objawów „zespołu ślepej pętli” nie należy/ą:
Pytanie 78
Postępowanie w przypadku wykrycia w USG bezobjawowych polipów pęcherzyka żółciowego obejmuje:
1) leczenie operacyjne w przypadku polipów o średnicy powyżej 1 cm;
2) leczenie operacyjne w przypadku polipów o średnicy poniżej 1 cm i dodatkowych czynników ryzyka transformacji nowotworowej;
3) leczenie operacyjne w przypadku wykrycia każdej wielkości polipów;
4) kontrolę ultrasonograficzną co 6 miesięcy w przypadku polipów o średnicy powyżej 1 cm;
5) kontrolę ultrasonograficzną co 6 miesięcy w przypadku polipów o średnicy poniżej 1 cm.
Prawidłowa odpowiedź to:
Pytanie 79
Wskaż fałszywe zdanie dotyczące raka żołądka:
Pytanie 80
Zalecana wartość ciśnienia dwutlenku węgla w jamie otrzewnej podczas zabiegów laparoskopowych wynosi:
Pytanie 81
Które z wymienionych przetok przewodu pokarmowego są wykorzystywane w celu żywienia dojelitowego?
Pytanie 82
Po którym zabiegu chirurgicznym zalecane jest rutynowe stosowanie profilaktycznego drenażu?
Pytanie 83
Który z wymienionych sposobów leczenia chirurgicznego choroby uchyłkowej okrężnicy jest postępowaniem zalecanym w IV stopniu zapalenia uchyłków wg klasyfikacji Hinchey’a?
Pytanie 84
Które z poniższych propozycji postępowania w leczeniu przepuklin pachwinowych są zgodne z zaleceniami Towarzystwa Chirurgów Polskich?
Pytanie 85
Które z wymienionych sposobów postępowania w krwawieniu z górnego odcinka przewodu pokarmowego pochodzenia żylakowego charakteryzują się najbardziej trwałym efektem hemostatycznym?
Pytanie 86
Leczenie skojarzone z przedoperacyjną chemioradioterapią i resekcją przełyku należy zaproponować u chorych:
Pytanie 87
Zastosowanie technik minimalnie inwazyjnych w resekcji przełyku wiąże się z następującymi korzyściami, oprócz:
Pytanie 88
Zasadniczym źródłem ukrwienia narządu najczęściej wykorzystywanego do rekonstrukcji przewodu pokarmowego po resekcji przełyku jest:
Pytanie 89
W których nowotworach układu pokarmowego i w jakim schemacie leczenia przydatne jest oznaczenie receptora HER2?
Pytanie 90
Jaki zakres resekcji należy zaproponować w przypadku raka obejmującego górną część żołądka wzdłuż krzywizny większej z zajęciem połączenia przełykowo-żołądkowego i otrzewnej trzewnej przedniej ściany żołądka?
Pytanie 91
Które z wymienionych stwierdzeń dotyczących układu chłonnego w raku żołądka są prawdziwe?
1) limfadenektomia D2 zalecana jest dla raka żołądka cT1;
2) limfadenektomia D2 zalecana jest dla raka żołądka cT2-3;
3) N1 definiuje zajęcie 1 lub 2 regionalnych węzłów chłonnych;
4) N1 definiuje zajęcie od 1 do 6 regionalnych węzłów chłonnych;
5) minimalna liczba usuniętych węzłów chłonnych dla ustalenia stopnia zajęcia regionalnego układu chłonnego w raku żołądka wynosi 12;
6) minimalna liczba usuniętych węzłów chłonnych dla ustalenia stopnia zajęcia regionalnego układu chłonnego w raku żołądka wynosi 16.
Prawidłowa odpowiedź to:
Pytanie 92
Najczęstszą kliniczną postacią czerniaka w Polsce jest:
Pytanie 93
Formuła Parkland określona jest następującym wzorem:
Pytanie 94
Rak jelita grubego najczęściej rozwija się w odbytnicy i esicy, w zależności od jego umiejscowienia występują różne objawy kliniczne sugerujące możliwą lokalizację guza. Wskaż prawdziwe stwierdzenie porównujące objawy raka w prawej i lewej połowie okrężnicy:
Pytanie 95
Do szpitalnego oddziału ratunkowego zgłosiła się pacjentka lat 77 z powodu uciążliwych wymiotów treścią żołądkową nawet po niewielkich ilościach przyjętych płynów, z dysfagią na pokarmy stałe od kilku godzin. W badaniu fizykalnym brzuch miękki, niebolesny palpacyjnie, bez oporów patologicznych, bez objawów podrażnienia otrzewnej. W trakcie badania w pozycji leżącej pacjentka ma uczucie cofania się treści do jamy ustnej. W wykonanym przeglądowym radiogramie klatki piersiowej widoczny poziom płynu do tyłu od cienia serca. Parametry zapalne w granicach normy. Możliwą przyczyną objawów może być:
Pytanie 96
Do chemicznego zapalenia otrzewnej dochodzi w:
Pytanie 97
W przypadku podejrzenia zapalenia uchyłków jelita grubego rozpoznanego w badaniu podmiotowym i przedmiotowym po ustąpieniu ostrych objawów należy zweryfikować rozpoznanie. Najlepszym badaniem oceniającym przyczynę jest:
Pytanie 98
Najsilniejszym czynnikiem ryzyka raka przełyku (adenocarcinoma) jest:
Pytanie 99
Najczęstszym guzem wyrostka robaczkowego jest:
Pytanie 100
Która z wymienionych chorób jest powiązana z pierwotnym stwardniającym zapaleniem dróg żółciowych?
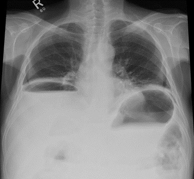
Pytanie 101
Poniższy radiogram jest charakterystyczny dla:

Pytanie 102
Uszkodzenia w mnogich obrażeniach ciała najczęściej dotyczą:
Pytanie 103
„Objaw ptasiego dzioba” jest charakterystyczny dla:
Pytanie 104
Operacja Pateya dotyczy:
Pytanie 105
Drugi stopień otyłości definiuje się jako BMI:
Pytanie 106
Ze względu na mechanizm działania ściśle restrykcyjną procedurą chirurgii bariatrycznej jest:
Pytanie 107
Wskaż prawdziwe stwierdzenie dotyczące kamicy pęcherzyka żółciowego:
Pytanie 108
Nadczynność tarczycy może być spowodowana przez:
1) chorobę Gravesa-Basedowa;
2) gruczolak toksyczny;
3) chorobę Plummera;
4) chorobę Hashimoto;
5) chorobę de Quervaina.
Prawidłowa odpowiedź to:
Pytanie 109
Wskazania do leczenia operacyjnego nadczynności tarczycy obejmują:
1) duże wole z objawami ucisku, zwłaszcza zamostkowe lub śródpiersiowe;
2) podejrzenie nowotworu złośliwego;
3) życzenie chorego;
4) ciążę, okres karmienia.
Prawidłowa odpowiedź to:
Pytanie 110
Do objawów i oznak hipokalcemii należą:
1) objaw Chvostka;
2) objaw Graefego;
3) objaw „ręki położnika”;
4) objaw Dalrymple’a;
5) objaw Trousseau.
Prawidłowa odpowiedź to:
Pytanie 111
U 45-letniego pacjenta z objawami krwawienia do górnego odcinka przewodu pokarmowego pod postacią fusowatych wymiotów i smolistych stolców wykonano badanie endoskopowe górnego odcinka przewodu pokarmowego, stwierdzając treść krwistą w żołądku oraz owrzodzenie okolicy przedodźwiernikowej z niszą pokrytą skrzepem. W klasyfikacji Forresta to stopień:
Pytanie 112
Jeśli u chorego leczonego w oddziale chirurgii żywienie dojelitowe nie pokrywa docelowego zapotrzebowania na białko i energię należy:
Pytanie 113
Zakażenia odcewnikowe krwi w ponad 90% są spowodowane:
Pytanie 114
Chory jest żywiony pozajelitowo przez cewnik w żyle głównej górnej. Nagle wystąpiły dreszcze, gorączka i kaszel. Należy:
Pytanie 115
W okresie rozpoczynania leczenia żywieniowego chorych wyniszczonych należy brać pod uwagę wystąpienia tzw. refeeding syndrome (szok żywieniowy). Zespół ten jest spowodowany:
Pytanie 116
Bezwzględnym przeciwwskazaniem do żywienia dojelitowego jest/są:
Pytanie 117
Ryzyko metaboliczne powikłań chirurgicznych pojawia się, gdy wynik w skali NRS 2002 wynosi:
Pytanie 118
Objawami zwężenia odźwiernika są:
1) odwodnienie;
2) wymioty pokarmem, które przynoszą ulgę choremu;
3) wzdęcie brzucha;
4) utrata wagi ciała.
Prawidłowa odpowiedź to:
Pytanie 119
Wskaż prawdziwe stwierdzenia dotyczące pierwotnego zwężającego zapalenia dróg żółciowych (primary sclerosing cholangitis - PSC):
1) w przebiegu choroby nie obserwuje się zwiększonego ryzyka występowania raka pęcherzyka żółciowego;
2) współistnieje z nieswoistymi chorobami zapalnymi jelit;
3) częściej chorują mężczyźni;
4) w przebiegu choroby może wystąpić rak dróg żółciowych;
5) stopień zaawansowania choroby ocenia się według klasyfikacji Todaniego.
Prawidłowa odpowiedź to:
Pytanie 120



