Wyszukaj egzamin lub pytanie
Egzamin PES Chirurgia naczyniowa / wiosna 2014
120 pytań
Pytanie 1
Wskaż wczesne objawy zakrzepowo-zarostowego zapalenia naczyń:
Pytanie 2
Chory z cukrzycą został przyjęty do szpitala z powodu suchej martwicy palca V stopy prawej. Według klasyfikacji Wagnera jest to:
Pytanie 3
Wskaż prawdziwe stwierdzenia dotyczące amputacji:
1) amputacja palucha lub częściowa amputacja pierwszej kości śródstopia powodują takie zmiany w nacisku stopy, że niewymagany jest dobór odpowiedniego obuwia;
2) do amputacji śródstopia zalicza się amputacje transmetatarsalną, stępowo-śródstopową, poprzeczną stępu oraz Syme'a;
3) wydatek energetyczny związany z chodzeniem wzrasta wraz ze wzrostem poziomu amputacji od łydki do uda;
4) u starszych, niechodzących chorych z przykurczami zgięciowymi rewaskularyzacja wewnątrznaczyniowa stanowi rozsądne rozwiązanie;
5) amputacja transmetatarsalna pozostawia kikut, który wystarcza do chodzenia z minimalnymi modyfikacjami obuwia;
6) jeżeli kilka środkowych kości śródstopia jest niedokrwionych lub niedokrwienie jest proksymalne w stosunku do główek kości śródstopia, ale dystalnie w stosunku do stawów stępowo-śródstopowych, należy rozważyć amputację całego śródstopia.
Prawidłowa odpowiedź to:
Pytanie 4
W przypadku urazu można podwiązać bez negatywnych skutków tętnicę:
1) szyjną zewnętrzną;
2) udową głęboką;
3) śledzionową;
4) wątrobową wspólną;
5) żołądkową lewą.
Prawidłowa odpowiedź to:
Pytanie 5
Choroba Mondora to:
Pytanie 6
W klasyfikacji zakażeń zaproponowanej przez Szilagyiego i uzupełnionej (rozwiniętej) przez Samsona, zakażenie dotyczące części przeszczepu, ale nie zespoleń naczyniowych to stopień:
Pytanie 7
Wskaż prawdziwe stwierdzenia zespołu usidlenia tętnicy podkolanowej:
1) jest to wada wrodzona;
2) objawem sugerującym występowanie tego zespołu jest chromanie przestankowe u ludzi młodych;
3) jest to wada budowy ściany tętnicy;
4) u 80% chorych wada dotyczy obu kończyn dolnych;
5) w spoczynku tętno na obwodzie kończyny jest zazwyczaj wyczuwalne.
Prawidłowa odpowiedź to:
Pytanie 8
Jednym ze sposobów dostarczenia krwi do narządów jest wykonanie pomostu pozaanatomicznego. Wskaż prawdziwe stwierdzenia dotyczące wskazań do wykonania pomostu pozaanatomicznego:
1) płeć chorego;
2) zakażenie przeszczepu;
3) ciężki stan ogólny chorego uniemożliwiający przeprowadzenie operacji w sposób tradycyjny;
4) przewidywane trudności techniczne w wykonaniu operacji sposobem tradycyjnym;
5) wiek chorego.
Prawidłowa odpowiedź to:
Pytanie 9
Do planowej operacji tętniaka aorty brzusznej kwalifikuje się chorych:
Pytanie 10
Któremu stopniowi i której kategorii klasyfikacji Rutherforda odpowiada III stopień niedokrwienia kończyn dolnych wg. klasyfikacji Fontaine’a?
Pytanie 11
Przeciwwskazaniem bezwzględnym do trombolizy nie jest:
Pytanie 12
Lekiem o udowodnionym działaniu klinicznym w chromaniu przestankowym jest:
1) cilostazol;
2) pentoksyfilina;
3) naftidrofuryl;
4) ketanseryna;
5) awasimib.
Prawidłowa odpowiedź to:
Pytanie 13
Za względne przeciwwskazania do stentowania tętnic szyjnych uznaje się:
1) złożone zmiany obejmujące rozwidlenie tętnicy szyjnej z długimi i wieloogniskowymi zmianami;
2) zagięcie kątowe tętnicy wewnętrznej szyjnej;
3) rozległe blaszki miażdżycowe w obrębie aorty lub pnia ramienno-głowowego;
4) nawrót zwężenia po wykonanej wcześniej endarterektomii tętnicy szyjnej;
5) porażenie nerwu krtaniowego po stronie przeciwnej.
Prawidłowa odpowiedź to:
Pytanie 14
Głównymi przyczynami powstawania tętniaków rzekomych są:
1) zakażenie zespolenia;
2) materiał z którego wykonano protezę;
3) uszkodzenie ściany tętnicy lub protezy w miejscu zespolenia;
4) rodzaj użytego szwu chirurgicznego;
5) postępujące zmiany wsteczne w ścianie tętnicy w okolicy zespolenia.
Prawidłowa odpowiedź to:
Pytanie 15
Które ze stwierdzeń prawidłowo opisują charakter tętniaków piersiowo-brzusznych?
1) powstają na podłożu zmian miażdżycowych obejmujących głównie błonę wewnętrzną aorty;
2) większość zmian ma charakter degeneracyjny;
3) w ścianie tętniaka obserwuje się podwyższony poziom metaloproteinaz;
4) tętniaki piersiowo-brzuszne rzadko występują rodzinnie;
5) zakażone tętniaki w tym odcinku występują rzadko.
Prawidłowa odpowiedź to:
Pytanie 16
Wskaż prawdziwe stwierdzenia dotyczące przecieków po wewnątrznaczyniowym zaopatrzeniu tętniaków aorty brzusznej:
1) przeciek do worka tętniaka może prowadzić do jego pęknięcia;
2) większość wczesnych przecieków ustępuje samoistnie w ciągu pierwszego miesiąca;
3) aby rozpoznać to powikłanie należy kontrolować chorych po zabiegu do końca życia;
4) przeciek typu III dotyczy proksymalnej strefy mocowania stentgraftu;
5) większość przecieków prowadzących do powiększania się worka tętniaka można leczyć metodą wewnątrznaczyniową.
Prawidłowa odpowiedź to:
Pytanie 17
Chorobą, która nie może być przyczyną niedokrwienia kończyny dolnej jest:
Pytanie 18
Angiografia rezonansu magnetycznego (MRA) w przeciwieństwie do angiografii tomografii komputerowej (angio-TK) umożliwia badanie mocno zwapniałych tętnic o rozlanych zmianach, występujących u chorych na cukrzycę i przewlekłą niewydolność nerek, ponieważ obecność wapnia w naczyniach w tym badaniu (MRA) nie powoduje artefaktów.
Pytanie 19
Zgodnie z zaleceniami TASC II wskaźnik kostka-ramię należy mierzyć u:
1) wszystkich pacjentów z wysiłkowymi objawami kończynowymi;
2) wszystkich pacjentów w wieku 50-69 lat z czynnikami ryzyka chorób układu sercowo-naczyniowego (zwłaszcza cukrzyca i palenie tytoniu);
3) wszystkich pacjentów powyżej 70. roku życia z czynnikami ryzyka chorób układu sercowo-naczyniowego (zwłaszcza cukrzyca i palenie tytoniu);
4) wszystkich pacjentów od 70. roku życia bez względu na występowanie czynników ryzyka;
5) wszystkich pacjentów z wynikiem w skali Framingham wynoszącym 10-20%.
Prawidłowa odpowiedź to:
Pytanie 20
Prowadzenie w okresie pooperacyjnym po klasycznej operacji tętniaka aorty brzusznej ciągłego znieczulenia nadoponowego zapewnia nie tylko zwalczanie bólu, ale również zmniejsza ryzyko powikłań kardiologicznych, ponieważ ten rodzaj znieczulenia stymuluje wydzielanie amin katecholowych.
Pytanie 21
46-letnia kobieta po licznych operacjach dostępów dializacyjnych na kończynie górnej lewej, od 9 miesięcy dializowana jest z wykorzystaniem przetoki ramienno-odłokciowej na kończynie górnej prawej. Od 2 tygodni stwierdzono narastające zaburzenia działania przetoki - zaburzenia tamowania po dializach, pojawienie się tętnienia nad przetoką oraz osłabienie szmeru. Wykonano angiografię, w której stwierdzono prawidłowo drożną przetokę oraz niedrożność żyły pachowej, drożną żyłę podobojczykową, ramienno-głowową i główną górną, dodatkowo drożny 10 cm odcinek bliższy żyły odpromieniowej. Wykonano nieskuteczną próbę udrożnienia wewnątrznaczyniowego żyły pachowej. W tej sytuacji najlepszym leczeniem jest:
Pytanie 22
U 60-letniego chorego ze schyłkową niewydolnością nerek dializowanego z wykorzystaniem przetoki ramienno-odpromieniowej na kończynie górnej lewej wystąpił znaczny obrzęk kończyny, poszerzenie żył powierzchownych i problemy z tamowaniem krwawienia po zakończeniu dializy. Wykonano flebografię w której stwierdzono krytyczne zwężenie żyły podobojczykowej lewej. Wykonano angioplastykę balonową uzyskując dobry efekt radiologiczny i kliniczny. Po 6 miesiącach od zabiegu u chorego wystąpił nawrót objawów. W USG stwierdzono nawrotowe zwężenie żyły podobojczykowej. W tej sytuacji należy:
Pytanie 23
U 25-letniej kobiety z powodu nawracającego zwężenia tętnicy nerkowej lewej objawiającego się źle kontrolowanym nadciśnieniem tętniczym wykonano kilkakrotne zabiegi wewnątrznaczyniowe tętnicy nerkowej - angioplastyki i wprowadzenie 2 stentów. W kontrolnym badaniu ultrasonograficznym stwierdzono nawrotowe zwężenie końcowego odcinka tętnicy nerkowej lewej oraz 15 mm tętniaka kończącego się około 1 cm od jej podziału. Chora powinna być zakwalifikowana do:
Pytanie 24
Do czynników ryzyka pęknięcia tętniaka aorty brzusznej nie należy:
Pytanie 25
Które z wymienionych poniżej powikłań występuje najczęściej u chorych z rozpoznaną trombocytopenią indukowaną heparyną /HIT/?
Pytanie 26
Który z wymienionych poniżej czynników patogenetycznych uważany jest za najczęstszą przyczynę występowania objawowego zwężenia pnia trzewnego?
Pytanie 27
Powikłaniem wewnątrznaczyniowego leczenia tętniaka aorty brzusznej może być wystąpienie po operacji zespołu poimplantacyjnego, który polega na:
Pytanie 28
Która z wymienionych poniżej przetok tętniczo-żylnych uważana jest za optymalny, pierwotny dostęp naczyniowy do przewlekłych hemodializ?
Pytanie 29
Do chirurga naczyniowego zgłosił się 30-letni chory z objawami chromania przestankowego. W wykonanej ultrasonografii rozpoznano zespół usidlenia tętnicy podkolanowej spowodowany uciskiem przez dodatkowy przyczep mięśnia brzuchatego łydki. Który jest to typ zmian w oparciu o obowiązującą klasyfikację?
Pytanie 30
Rozpoznanie zespołu Pageta-Schroettera oznacza wystąpienie pierwotnej zakrzepicy w żyle:
Pytanie 31
Która z wymienionych poniżej odpowiedzi jest fałszywa w odniesieniu do chemodectoma?
Pytanie 32
U 75-letniego chorego po upływie 6 miesięcy od leczenia wewnątrznaczyniowego tętniaka aorty brzusznej uwidoczniono w kontrolnej angiotomografii komputerowej obecność przecieku krwi z tętnic lędźwiowych i brak powiększania się średnicy worka tętniaka. Wskaż optymalny sposób postępowania:
Pytanie 33
Nabytymi czynnikami ryzyka predysponującymi do zakrzepicy są:
Pytanie 34
Który z przecieków stanowi największe zagrożenie, po wszczepieniu stentgraftu z powodu tętniaka aorty brzusznej, ze względu na ryzyko powiększenia tętniaka i możliwość jego pęknięcia?
1) typu 1;
2) typu 2;
3) typu 3;
4) typu 4;
5) każdy rodzaj przecieku stanowi zagrożenie powiększania tętniaka.
Prawidłowa odpowiedź to:
Pytanie 35
Wskazaniem do udrożnienia tętnicy szyjnej wewnętrznej nie jest:
1) zwężenie 70% z pojedynczymi lub powtarzającymi się epizodami TIA;
2) bezobjawowe zwężenie 70% u chorych przy istnieniu zwężenia t. szyjnej wewnętrznej ponad 70% po stronie przeciwnej;
3) bezobjawowe zwężenie 70% u chorych poniżej 75. roku życia;
4) niedrożność tętnicy szyjnej wewnętrznej;
5) bezobjawowe zwężenie 50%.
Prawidłowa odpowiedź to:
Pytanie 36
Chory lat 16, w wywiadzie bóle łydki o typie chromania przestankowego, które nasiliły się po intensywnych treningach sportowych. Badaniem przedmiotowym stwierdza się tętno na tętnicach stopy zanikające przy jej grzbietowym zgięciu. Najbardziej prawdopodobnym rozpoznaniem jest:
Pytanie 37
Które z wymienionych poniżej stwierdzeń jest prawdziwe dla małopłytkowości immunologicznej wywołanej przez heparynę (HIT)?
1) zwiększone ryzyko zakrzepicy żylnej;
2) zwiększone ryzyko krwawień pooperacyjnych;
3) obecność przeciwciał przeciwko kompleksowi heparyna-PF 4;
4) ujemny wynik testu heparyna-PF 4 wyklucza rozpoznanie HIT;
5) obecność p/ciał przeciwko kompleksowi heparyna-PF4 przy braku małopłytkowości nie wystarcza do rozpoznania HIT.
Prawidłowa odpowiedź to:
Pytanie 38
Głównym odległym powikłaniem po skutecznej angioplastyce i stentowaniu tętnic jest:
Pytanie 39
Wskaż prawidłowy sposób postępowania u chorego z krytycznym niedokrwieniem kończyny spowodowanym niedrożnością tętnicy udowej powierzchownej na długości 5 cm z cukrzycą i martwicą palca stopy:
Pytanie 40
Chory lat 65 skarży się na powtarzające się od 6 miesięcy napady przemijającej ślepoty jednoocznej oka lewego. Od chwili pierwszego epizodu amaurosis fugax leczony przewlekle małymi dawkami kwasu acetylosalicylowego. W dwukrotnie wykonanym badaniu ultrasonograficznym tętnic szyjnych stwierdzono silnie uwapnioną blaszkę miażdżycową w początkowym odcinku lewej tętnicy szyjnej wewnętrznej oraz podejrzenie jej niedrożności w przedczaszkowym odcinku. Postępowaniem z wyboru u takiego chorego jest:
Pytanie 41
Do czynników ryzyka żylnej choroby zakrzepowo-zatorowej należą:
1) wrzodziejące zapalenie jelita grubego;
2) zespół nerczycowy;
3) niewydolność serca;
4) obecność cewnika w żyle głównej;
5) rodzaj znieczulenia zastosowanego do operacji.
Prawidłowa odpowiedź to:
Pytanie 42
Chory lat 36 przebył zakrzepicę żył głębokich goleni i żyły podkolanowej jako powikłanie artroskopii. Był to pierwszy epizod zakrzepicy w życiu. Początkowo leczony heparyną drobnocząsteczkową a następnie doustnymi antykoagulantami. Leczenie acenokumarolem powinno być prowadzone przez:
Pytanie 43
Po udrożnieniu tętnicy szyjnej wewnętrznej tętnice zeszyto szwem pierwotnym. W czasie śródoperacyjnego ultrasonograficznego badania kontrolnego stwierdzono 70% zwężenie w połowie linii szwów oraz przyścienną skrzeplinę powyżej zwężenia. W takim przypadku postępowaniem z wyboru jest:
Pytanie 44
50-letnia chora skarży się na stopniowo nasilające się od kilku tygodni chromanie i ból spoczynkowy dłoni lewej. Okresowo pojawiają się silne zawroty głowy i zaburzenia równowagi. Dotychczas leczona przewlekle pentoksyfiliną i kwasem acetylosalicylowym. Różnica RR na obu ramionach wynosi 80 mmHg, nie stwierdza się tętna w miejscach typowych na tętnicach kończyny górnej lewej, przy obecnym tętnie na kończynie górnej prawej i obu tętnicach szyjnych. W tym przypadku najbardziej prawdopodobnym rozpoznaniem jest:
Pytanie 45
W opisywanym w poprzednim pytaniu (nr 44) przypadku chorej należy zaproponować:
1) wykonanie arteriografii tomografii komputerowej tętnic szyjnych i łuku aorty;
2) wykonanie przezskórnej plastyki balonowej z założeniem stentu;
3) pomost szyjno-podobojczykowy lub transpozycję tętnicy podobojczykowej, gdy zabieg wewnątrznaczyniowy będzie niemożliwy do wykonania;
4) dalsze leczenie pentoksyfiliną i kwasem acetylosalicylowym;
5) leczenie fibrynolityczne.
Prawidłowa odpowiedź to:
Pytanie 46
Które ze stwierdzeń dotyczących zastosowania czasowego przepływu wewnętrznego (shuntu) są prawdziwe?
1) może utrudniać wykonanie udrożnienia tętnicy szyjnej wewnętrznej;
2) jego założenie może spowodować uszkodzenie tętnicy szyjnej wewnętrznej w miejscu niedostępnym chirurgicznie;
3) zakładając shunt, w pierwszej kolejności najczęściej wprowadza się koniec dogłowowy a w drugiej kolejności dosercowy;
4) rodzaj stosowanego shuntu należy dostosowywać do warunków anatomicznych;
5) wskazaniem do założenia shuntu nie jest wystąpienie objawów niedokrwienia mózgu po założeniu zacisków na tętnice szyjne.
Prawidłowa odpowiedź to:
Pytanie 47
Które ze stwierdzeń dotyczących udrożnienia tętnicy szyjnej przez wynicowanie są prawdziwe?
1) niewielkie nacięcie powstałe po odcięciu tętnicy szyjnej wewnętrznej utrudnia usunięcie blaszek miażdżycowych z tętnicy szyjnej wspólnej;
2) zaopatrzenie dogłowowego progu powstałego po udrożnieniu tętnicy szyjnej wewnętrznej z reguły jest trudne;
3) w odległej obserwacji daje mniejszy odsetek nawrotowych zwężeń w porównaniu do udrożnienia klasycznego;
4) umożliwia jednoczesne skrócenie tętnicy szyjnej wewnętrznej;
5) założenie czasowego przepływu wewnętrznego nie stwarza trudności.
Prawidłowa odpowiedź to:
Pytanie 48
Uwypuklenie ściany tętniaka aorty brzusznej w postaci „pęcherzyka”:
1) stwarza większe ryzyko pęknięcia tętniaka niezależnie od jego średnicy;
2) jest podstawą do przyspieszenia daty operacji lub zabiegu wewnątrznaczyniowego;
3) stanowi miejsce zmniejszonej oporności w ścianie tętniaka;
4) w badaniu histopatologicznym wykazuje wybitne ścieńczenie warstwy środkowej z zanikiem włókien elastycznych;
5) może być stwierdzone w badaniu ultrasonograficznym lub tomografii komputerowej.
Prawidłowa odpowiedź to:
Pytanie 49
Zatrzymanie krwotoku z pękniętego tętniaka aorty brzusznej można osiągnąć przez:
Pytanie 50
W drugiej dobie po operacji pękniętego tętniaka aorty brzusznej stwierdzono wzdęcie brzucha oraz bolesność w lewym dole biodrowym z wyraźnymi objawami otrzewnowymi. Chory zagorączkował do 39°C, oddał trzy krwistośluzowe stolce. Nastąpiło wyraźne pogorszenie stanu ogólnego. W takim przypadku najwłaściwszym postępowaniem będzie:
Pytanie 51
Zwyrodnienie torbielowate przydanki (cystic adventitial disease):
1) jest rzadką patologią tętnic obwodowych;
2) polega na torbielowatym zwyrodnieniu i rozwarstwieniu przydanki i błony środkowej upośledzającym przepływ;
3) może powodować napadowe chromanie przystankowe;
4) występuje w 85% przypadków w tętnicy podkolanowej;
5) charakteryzuje się osłabieniem lub zanikiem tętna obwodowego przy zginaniu stawu kolanowego (objaw Ishikawy).
Prawidłowa odpowiedź to:
Pytanie 52
Najczęstsze błędy techniczne wywołujące śródoperacyjne zakrzepy pomostów naczyniowych w okresie okołooperacyjnym to:
1) zbyt wąskie zespolenie pomostu naczyniowego z tętnicą;
2) zbyt szerokie zespolenie pomostu naczyniowego z tętnicą;
3) za długi lub krótki pomost naczyniowy;
4) skręcenie protezy naczyniowej;
5) wszycie nieodwróconej żyły z zachowanymi zastawkami.
Prawidłowa odpowiedź to:
Pytanie 53
Krytyczne niedokrwienie kończyn rozpoznaje się u chorych:
Pytanie 54
Do zespołu górnego otworu klatki piersiowej zalicza się:
1) zespół żebra szyjnego;
2) zespół mięśnia pochyłego przedniego;
3) zespół ciasnoty przedziałów powięziowych;
4) zespół żebrowo-obojczykowy;
5) wysiłkową zakrzepicę żyły pachowej.
Prawidłowa odpowiedź to:
Pytanie 55
Chory lat 66 został obudzony w nocy przez ból i drętwienie stopy lewej, które ustępowało po opuszczeniu kończyny. Wcześniej leczony przewlekle z powodu chromania przestankowego lewej kończyny dolnej o dystansie 50-100 metrów. W badaniu przedmiotowym po 3 godzinach od chwili wystąpienia dolegliwości lewa stopa i goleń nieco chłodniejsze od prawej, zaburzona, ale obecna gra naczyniowa, skóra blada, żyły powierzchowne wypełnione znacznie słabiej niż po stronie prawej. Obie łydki miękkie, niebolesne. Tętno na kończynach dolnych obecne jedynie na tętnicach udowych. W EKG bez zaburzeń rytmu serca. Najbardziej prawdopodobnym rozpoznaniem w tym przypadku jest:
Pytanie 56
W rehabilitacji chorych z niedokrwieniem kończyn dolnych stosuje się następujące zabiegi fizykoterapeutyczne:
1) galwanizację;
2) elektroforezę leczniczą (np. jonoforeza jodowa, wapniowa);
3) wodolecznictwo;
4) kinezyterapię;
5) prądy diadynamiczne i interferencyjne.
Prawidłowa odpowiedź to:
Pytanie 57
Do ostrych zespołów aortalnych zalicza się wszystkie poniższe, z wyjątkiem:
Pytanie 58
Czynnikiem ryzyka żylnej choroby zakrzepowo-zatorowej nie jest:
Pytanie 59
Systemowe leczenie trombolityczne w przypadku zatoru tętnicy płucnej jest wskazane przede wszystkim w przypadku:
Pytanie 60
Wskaż zdanie nieprawdziwe dotyczące trombocytopenii indukowanej podawaniem heparyny (HIT):
Pytanie 61
Wskaż zdanie nieprawdziwe dotyczące żylnej choroby zakrzepowo-zatorowej i leczenia antykoagulacyjnego kobiet ciężarnych:
Pytanie 62
W przypadku zatoru tętnicy płucnej leczonego fibrynolitycznie dawka rt-PA powinna wynosić:
Pytanie 63
W przypadku stosowania rywaroksabanu właściwy sposób podawania leku u chorych z zakrzepicą żył głębokich obejmuje:
Pytanie 64
U 55-letniego chorego po podróży z wakacji w Chorwacji doszło do bolesnego obrzęku kończyny, który utrzymuje się w dniu następnym po powrocie do domu (różnica obwodów podudzia + 3 cm). W przypadku braku możliwości doraźnego wykonania badania USG dupleks Doppler kierując chorego do ośrodka specjalistycznego należy:
Pytanie 65
W sytuacji przypadkowo wykrytej bezobjawowej zakrzepicy żyły biodrowej u chorego w 2 miesiące po operacji z powodu nowotworu jelita grubego (w trakcie kontrolnego badania TK jamy brzusznej) postępowaniem właściwym jest:
Pytanie 66
U 63-letniej pacjentki przed rokiem przeprowadzono nefrektomię lewostronną z powodu torbielowatości. Obecnie z powodu utrzymującego się nadciśnienia tętniczego wykonano diagnostykę stwierdzając istotne zwężenie prawej tętnicy nerkowej. W leczeniu nadciśnienia u tej pacjentki przeciwwskazane jest stosowanie:
Pytanie 67
U 64-letniego pacjenta rozpoznano nadciśnienie nerkowo-pochodne. W badaniach obrazowych potwierdzono istotne zwężenie tętnicy nerkowej. Przeprowadzenie zabiegu rewaskularyzacyjnego nie jest uzasadnione w następującym przypadku:
Pytanie 68
Powszechnie uznanymi objawami marskości nerki, dyskwalifikującymi pacjenta z rewaskularyzacji tętnicy nerkowej, są wszystkie poniższe, z wyjątkiem:
Pytanie 69
Częstość powikłań po wewnątrznaczyniowym leczeniu zwężenia tętnicy nerkowej wynosi ok. 10%. Najrzadziej występującym powikłaniem jest:
Pytanie 70
Dotychczas przeprowadzone badania epidemiologiczne umożliwiły rozpoznanie szeregu czynników ryzyka rozwoju tętniaka rozwarstwiającego aorty. Spośród poniżej wymienionych nie stwierdzono zależności pomiędzy powstaniem rozwarstwienia aorty a:
Pytanie 71
35-letnia pacjentka zgłosiła się do poradni chirurga naczyniowego z powodu chromania kończyny górnej lewej. W badaniu przedmiotowym stwierdzono osłabienie tętna na lewej tętnicy promieniowej, różnicę ciśnienia skurczowego na kończynach górnych >10 mm Hg oraz szmer skurczowy w nadbrzuszu i w klatce piersiowej. W badaniu angiograficznym stwierdzono zwężenie aorty piersiowej i odcinka bliższego lewej tętnicy podobojczykowej. Najbardziej prawdopodobnym rozpoznaniem jest:
Pytanie 72
Dodatni wynik próby żołnierskiej wykonanej u pacjenta z podejrzeniem zespołu górnego otworu klatki piersiowej sugeruje obecność ucisku na pęczek naczyniowo-nerwowy wywieranego przez:
Pytanie 73
Podczas operacji wycięcia 1. żebra z dostępu pachowego należy przecięć przyczep mięśnia:
Pytanie 74
32-letni narciarz upadł podczas zawodów sportowych. W wyniku upadku wystąpiły objawy ostrego niedokrwienia lewego podudzia i stopy. Na podstawie badań obrazowych rozpoznano stłuczenie tętnicy udowej w dalszej części kanału przywodzicieli. Wykonano rewaskularyzację implantując wstawkę żylną. Po upływie 3 godzin zaobserwowano narastanie obrzęku goleni oraz narastające zaburzenia czucia obejmujące całą stopę. Rozpoznano zespół ciasnoty wewnątrzpowięziowej goleni. Postępowanie obejmuje rozcięcie powięzi przestrzeni międzypowięziowych:
1) przedniej powierzchownej;
2) bocznej strzałkowej;
3) tylnej głębokiej;
4) tylnej powierzchownej.
W przypadku opisanego pacjenta należy rozciąć następujące przestrzenie:
Pytanie 75
Podczas operacji sympatektomii lędźwiowej wycina się odcinek pnia współczulnego. Nerwem przebiegającym w pobliżu, na powierzchni mięśnia lędźwiowego, który można pomyłkowo wyciąć zamiast pnia współczulnego jest nerw:
Pytanie 76
Uważa się, że najbardziej trwały wynik odnerwienia współczulnego kończyny górnej można uzyskać wycinając odcinek pnia współczulnego pomiędzy:
Pytanie 77
Na SOR przywieziono 55-letnią kobietę z powodu zaburzenia widzenia lewego oka oraz niedowładu prawej kończyny dolnej. Objawy ustąpiły całkowicie po upływie 20 minut. W badaniu dopplerowskim stwierdzono zwężenie lewej tętnicy szyjnej wewnętrznej > 70%. Najbardziej istotnego zmniejszenia ryzyka wystąpienia ponownego epizodu niedokrwienia mózgu można oczekiwać w przypadku przeprowadzenia zabiegu udrożnienia tętnicy szyjnej w ciągu:
Pytanie 78
Przed 7 miesiącami u pacjentki wystąpił epizod niedowładu lewej kończyny górnej. Objawy ustąpiły całkowicie w ciągu 12 godzin. W dalszym przebiegu bez dolegliwości neurologicznych. W angio-KT stwierdzono zwężenie tętnicy szyjnej wewnętrznej prawej. Zabieg udrożnienia można zalecić pacjentowi spełniającemu następujące kryteria:
Pytanie 79
W badaniu tomograficznym mózgu u 58-letniej pacjentki wykryto kilka starych ognisk niedokrwiennych w prawej półkuli mózgu. W wywiadzie podaje kilkukrotne epizody zaburzenia widzenia oka prawego. Dotychczas leczona lekiem przeciwpłytkowym i statyną. W badaniu dopplerowskim z podwójnym obrazowaniem w prawej tętnicy szyjnej wewnętrznej stwierdzono obecność hipoechogenicznej zmiany z owrzodzeniem powierzchni, zwężającej światło naczynia > 70%. Wykrycie tego rodzaju zmiany może skłaniać do preferowania:
Pytanie 80
W określeniu sposobu prowadzenia terapii pomostowej stosuje się m.in. skalę CHADS2. Została ona opracowana w celu oszacowania długoterminowego ryzyka udaru mózgu u chorych z migotaniem przedsionków. Obejmuje ona 5 parametrów. Największą wartość punktową przypisuje się następującemu zdarzeniu:
Pytanie 81
Pacjenta ze stabilną blaszką miażdżycową i zwężeniem odcinka bliższego tętnicy szyjnej wewnętrznej lewej zakwalifikowano do leczenia wewnątrznaczyniowego. Niezależnie od kontynuacji terapii przeciwpłytkowej z wykorzystaniem kwasu acetylosalicylowego przed zabiegiem należy włączyć pacjentowi:
Pytanie 82
31-letni mężczyzna zgłosił się do poradni lekarza rodzinnego z powodu ciastowatego obrzęku goleni i poszerzenia żył powierzchownych na stopie lewej. Dolegliwości utrzymują się od dwóch dni i mają stałe nasilenie. W wywiadzie pacjent nie podaje innych dolegliwości ani też zdarzeń mogących wpłynąć na wystąpienie stwierdzanych objawów. Na podstawie skali Wellsa uzyskano 2 punkty. Pacjentowi należy zalecić:
Pytanie 83
U osoby z zakrzepicą tętniczą kończyny dolnej prawej planowane jest wdrożenie leczenia fibrynolitycznego. Podczas rozmowy z pacjentem przed rozpoczęciem leczenia poinformowano go o czynnikach ryzyka wystąpienia krwawienia wewnątrzczaszkowego. Należą do nich wszystkie wymienione poniżej, z wyjątkiem:
Pytanie 84
U 60-letniego pacjenta rozpoznano zakrzepicę żył głębokich w przebiegu wrzodziejącego zapalenia jelit. Wdrożono leczenie przeciwzakrzepowe w postaci wlewu dożylnego heparyny niefrakcjonowanej w dawce 12000 jednostek na dobę. Po upływie 6 godzin od rozpoczęcia wlewu wystąpiło masywne krwawienie z dolnego odcinka przewodu pokarmowego. Gastroenterolog zalecił zakończenie wlewu heparyny i zastosowanie leczenia znoszącego działanie przeciwkrzepliwe heparyny. W tym celu pacjentowi należy podać dożylnie siarczan protaminy w dawce:
Pytanie 85
Według obecnych zaleceń stosowanie leczenia fibrynolitycznego u pacjentów z zakrzepicą żył głębokich powinno być ograniczone do wybranych przypadków. Osobami mogącymi odnieść największą korzyść z celowanej trombolizy są wszystkie wymienione poniżej, z wyjątkiem pacjentów:
Pytanie 86
W poradni naczyniowej diagnozowany jest pacjent podający w wywiadzie występowanie stałego bólu stopy lewej. Ucieplenie skóry oraz gra naczyniowa na stopie są prawidłowe. Tętno w dole podkolanowym, za kostką przyśrodkową i na grzbiecie stopy jest niewyczuwalne. Wartościami wskaźnika kostka-ramię (ABPI) i ciśnienia parcjalnego tlenu (TcpO2) umożliwiającymi rozpoznanie krytycznego niedokrwienia stopy i różnicowanie ze stopą neurogenną są wartości:
Pytanie 87
Podczas preparowania podziału tętnicy szyjnej po stronie prawej w celu udrożnienia odcinka bliższego tętnicy szyjnej wewnętrznej uszkodzeniu mogą podlegać wymienione poniżej nerwy, z wyjątkiem:
Pytanie 88
U pacjenta stwierdzono zakażenie protezy naczyniowej biodrowo-udowej. Podjęto decyzję o jej usunięciu i wykonaniu rewaskularyzacji z użyciem żyły udowej. W celu jej pobrania wykonano długie cięcie podłużne wzdłuż przebiegu kanału przywodzicieli. W części dalszej pobranie naczynia jest utrudnione przez mięsień przebiegający skośnie nad pęczkiem naczyniowo-nerwowym. Mięśniem tym jest:
Pytanie 89
W celu wykonania zespolenia wrotno-czczego konieczne jest wypreparowanie żyły głównej dolnej. W tym celu konieczne jest wykonanie:
Pytanie 90
Jednym z najczęstszych powikłań miejscowych po zabiegach wewnątrznaczyniowych jest powstanie jatrogennego tętniaka rzekomego. Jednym z preferowanych sposobów jego zaopatrzenia jest wstrzyknięcie do komory tętniaka trombiny. Zabieg wykonuje się pod kontrolą usg. Do przeciwwskazań do przeprowadzenia zabiegu nie należy:
Pytanie 91
U pacjenta przed 24 godzinami wykonano badanie angiograficzne z dostępu przez tętnicę udową. Z powodu szmeru słyszalnego w pachwinie wykonano badania dupleksowe stwierdzając obecność wielokomorowego tętniaka rzekomego (trzy komory zlokalizowane bezpośrednio jedna nad drugą). Jednym z preferowanych sposobów zaopatrzenia powikłania jest ostrzyknięcie tętniaka trombiną. Podczas zabiegu trombinę należy:

Pytanie 92
70-letniego pacjenta przywieziono na oddział ratunkowy z powodu objawowego tętniaka aorty brzusznej. Z powodu schorzeń towarzyszących został zakwalifikowany do implantacji stentgraftu. W badaniach laboratoryjnych stwierdzono podwyższone stężenie kreatyniny w surowicy. W celu zabezpieczenia nerek przed toksycznym działaniem środka cieniującego należy pacjenta nawodnić oraz podać:
Pytanie 93
Podczas kwalifikacji do konkretnej postaci leczenia zabiegowego tętnic szyjnych wskazane jest uwzględnienie morfologii blaszki miażdżycowej. Względnym przeciwwskazaniem do wykonania zabiegu wewnątrznaczyniowego jest niestabilność złogu. Cechami opisującymi złogi niestabilne są wszystkie poniższe, z wyjątkiem:
Pytanie 94
Podczas badania USG lewej tętnicy szyjnej stwierdzono obecność krótkoodcinkowego zwężenia odcinka bliższego tętnicy szyjnej wewnętrznej (ICA). Po ustawieniu odpowiedniego kąta insonacji określono wartości prędkości szczytowo-skurczowej (PSV) i końcowo-rozkurczowej (EDV) w tt szyjnych wspólnej (CCA) i wewnętrznej. Wartości te wyniosły: PSVCCA=45 cm/s; EDVCCA=10 cm/s; PSVICA=130 cm/s i EDVICA=25 cm/s. Stopień zwężenia w ICA wynosi:
Pytanie 95
Pacjent zgłosił się do poradni chirurga naczyniowego z powodu okresowo występujących zaburzeń równowagi oraz osłabienia siły mięśniowej ręki lewej. W badaniu przedmiotowym stwierdzono podobne wyczuwanie tętna na obu tętnicach promieniowych. Różnica ciśnienia skurczowego mierzonego na obu kończynach górnych wynosiła 10 mm Hg. Pacjenta skierowano na badanie dupleksowe tętnic szyjnych i kręgowych. Oceniając tętnice szyjną wspólną (A) i kręgową (B) po stronie prawej stwierdzono obecność spektrum przedstawionego na poniższych rycinach. U pacjenta można podejrzewać:

Pytanie 96
Na rycinie przedstawiono obraz uzyskany po poprzecznym przyłożeniu liniowej głowicy ultrasonograficznej w pachwinie lewej. Zaznaczone cyframi struktury odpowiadają:

Pytanie 97
U pacjentki udrożniono tętnicę szyjną wewnętrzną prawą. Podczas pierwszej kontroli dopplerowskiej, wykonanej po upływie 4 tygodni, stwierdzono: „Brak objawów restenozy, gładki zarys ścian, przepływ z turbulencjami”. Podczas kontroli wykonanej po upływie 6 miesięcy stwierdzono obecność: „hipoechogenicznej zmiany o gładkich zarysach zwężającej odcinek udrożniony o ok. 50%”. Najbardziej prawdopodobną przyczyną powstania zmiany jest:
Pytanie 98
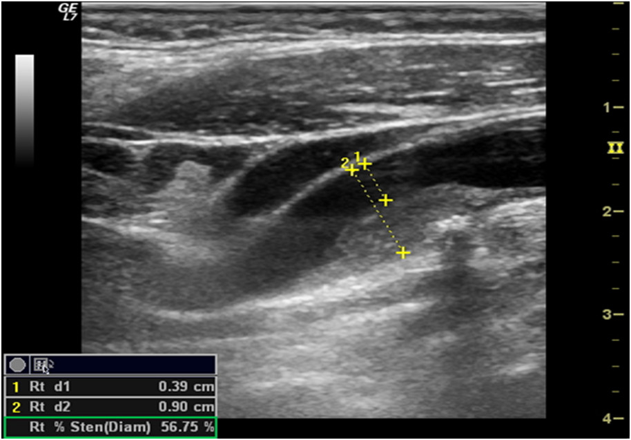
Podczas badania ultrasonograficznego tętnic szyjnych stwierdzono obecność miernie uwapnionych blaszek miażdżycowych w odcinku bliższym tętnicy szyjnej wewnętrznej (ICA). Na jednym przekroju poprzecznym ICA zmierzono średnicę naczynia i kanału drożnego (patrz rycina). Uzyskany wynik jest:

Pytanie 99
W oparciu o badanie d-dimerów i dupleksowe u 55-letniego pacjenta rozpoznano zakrzepicę żył udowej i podkolanowej. Przed wdrożeniem leczenia heparyną drobnocząsteczkową określono wydolność nerek - wzrost 170 cm, waga 80 kg, stężenie kreatyniny w surowicy 100 mg/dl. Mając podane powyższe parametry ustal postępowanie przy określeniu dawki rywaroksabanu:
Pytanie 100
U 16-letniej dziewczynki w okresie dojrzewania wystąpił obrzęk kończyny dolnej lewej. Obrzęk pojawił się na stopie obejmując w kolejnych latach dalszą część podudzia. Początkowo obrzęk występował tylko w godzinach wieczornych, później uległ utrwaleniu. W badaniu stopy stwierdzono objaw widoczny ma załączonym zdjęciu. Całość obrazu klinicznego może świadczyć o wystąpieniu:

Pytanie 101
Cechami charakteryzującymi drenaż limfatyczny, stanowiący element kompleksowej terapii przeciwobrzękowej są wszystkie poniższe, z wyjątkiem:
Pytanie 102
Kolonizację krytyczną rany najlepiej charakteryzuje następujące stwierdzenie:
Pytanie 103
Do klinicznych objawów infekcji ran zaliczane są zwyczajowo następujące kryteria: miejscowe zaczerwienianie, ból, podniesienie ciepłoty ciała, uszkodzenie tkanek, obrzęk i ropny wysięk. Według skali Delphi dodatkowymi objawami infekcji ran przewlekłych są wszystkie poniższe, z wyjątkiem:
Pytanie 104
U 80-letniego pacjenta stwierdzono obecność rany przewlekłej goleni lewej. Głównymi sposobami leczenia są wszystkie poniższe, z wyjątkiem:
Pytanie 105
Wskaż zdanie nieprawidłowo charakteryzujące opatrunki z zawartością srebra:
Pytanie 106
73-letni pacjent z czynnikami ryzyka sercowo-naczyniowego został zakwalifikowany do leczenia operacyjnego tętniaka aorty brzusznej. Lekami, których wdrożenie w okresie przedoperacyjnym należy uwzględnić w celu zmniejszenia ryzyka wystąpienia powikłań kardiologicznych są:
1) klopidogrel;
2) statyny;
3) kwas acetylosalicylowy;
4) blokery kanału wapniowego;
5) ß-blokery.
Prawidłowa odpowiedź to:
Pytanie 107
Tętniak piersiowo-brzuszny rozpoczynający się na wysokości XII przestrzeni międzyżebrowej i kończący poniżej tętnic nerkowych (obejmujący całą aortę brzuszną) jest klasyfikowany jako typ:
Pytanie 108
W klasyfikacji przecieków wewnętrznych (endoleaks) będących powikłaniem po zabiegach implantacji stentgraftów w leczeniu tętniaków aorty piersiowej i brzusznej, nadciśnienie wewnątrz worka tętniaka (endotension) - bez wykazanego przecieku wewnętrznego klasyfikuje się jako typ:
Pytanie 109
Przeciwwskazaniem do przeprowadzenia wewnątrzżylnej ablacji niewydolnej żyły odpiszczelowej z użyciem prądu o częstotliwości radiowej (RF - radiofrequency) nie jest:
Pytanie 110
Przeciwwskazaniem do wyłączenia jatrogennego tętniaka tętnicy udowej poprzez wstrzyknięcie trombiny nie jest:
Pytanie 111
Amputację Lisfranca wykonuje się na poziomie stawu:
Pytanie 112
Roczna drożność pierwotna i wtórna dostępu naczyniowego do hemodializy na kończynach górnych, wytwarzanego z naczyń własnych chorego, w porównaniu do rocznej drożności pierwotnej i wtórnej dostępu wytwarzanego z użyciem protezy PTFE jest:
Pytanie 113
Najlepszą - o udokumentowanej skuteczności - metodą leczenia zakażenia aortalnych protez naczyniowych w wysokospecjalistycznych ośrodkach jest wymiana zakażonej protezy na:
Pytanie 114
Do technik operacyjnych, które mogą potencjalnie poprawić długoterminową drożność zespolenia dystalnego w pomostach udowo-podkolanowych z tworzywa sztucznego poniżej stawu kolanowego należy zaliczyć:
1) łatę Lintona;
2) łatę Carella;
3) łatę Taylora;
4) mankiet Millera;
5) wytworzenie dystalnej przetoki tętniczo-żylnej.
Prawidłowa odpowiedź to:
Pytanie 115
Tętnica błądząca (arteria lusoria) to odmiana anatomiczna polegająca na:
Pytanie 116
Do udowodnionych przyczyn wrodzonej trombofilii nie należy:
Pytanie 117
Tętnica Adamkiewicza (arteria radicularis magna) najczęściej odchodzi od aorty na wysokości:
Pytanie 118
Elementem zespołu Klippela-Trenaunaya nie jest/nie są:
Pytanie 119
Do klasycznej operacji tętniaka aorty brzusznej nie należy kwalifikować chorych ze znacznymi obciążeniami ogólnymi, które istotnie zwiększają ryzyko wystąpienia powikłań. Należą do nich:
1) III i IV stopień niewydolności krążenia wg NYHA;
2) złożona ciężka wada zastawkowa;
3) mała frakcja wyrzutowa (<30%);
4) rozległe zmiany w tętnicach wieńcowych niekwalifikujące się do operacji lub plastyki przezskórnej;
5) ciężka niewydolność oddechowa.
Prawidłowa odpowiedź to:
Pytanie 120



