Wyszukaj egzamin lub pytanie
Egzamin PES Chirurgia naczyniowa / jesień 2013
120 pytań
Pytanie 1
Chory lat 60, bóle kończyny dolnej lewej, dystans chromania przestankowego 10-15 m. Wykonane badanie angio TK wykazało niedrożność tętnicy udowej powierzchownej na dł. ponad 15 cm, tętnice na obwodzie kończyny drożne. Jaki sposób leczenia postępowania należy zastosować?
Pytanie 2
Po 4 miesiącach od wszczepienia protezy aortalno-dwuudowej z powodu zespołu Leriche’a pojawiła się przetoka ropna w pachwinie lewej. W tomografii komputerowej stwierdzono obecność płynu wzdłuż całej protezy. Który z podanych niżej sposobów jest najbardziej efektywną metodą leczenia?
Pytanie 3
Angioplastyka i stentowanie tętnicy szyjnej wewnętrznej jest leczeniem z wyboru w następujących przypadkach:
1) w każdym przypadku zwężenia tętnicy > 70%;
2) przy ponownym zwężeniu tętnicy u chorych po zabiegach operacyjnych;
3) zwężenie tętnicy po radioterapii;
4) chorzy z całkowitą niedrożnością tętnicy szyjnej wewnętrznej po stronie przeciwnej;
5) bezobjawowe zwężenie tętnicy < 50%.
Prawidłowa odpowiedź to:
Pytanie 4
W wypadkach komunikacyjnych najczęściej dochodzi do pęknięcia aorty:
Pytanie 5
Główną przyczyną odległej niedrożności tętnicy po angioplastyce i stentowaniu jest:
Pytanie 6
Przy leczeniu acenokumarolem czas działania leku po jego odstawieniu wynosi:
Pytanie 7
Jedną z najczęstszych przyczyn wystąpienia zaburzeń czucia po operacji żylaków kończyny dolnej metodą Babcocka jest uszkodzenie nerwu:
Pytanie 8
W układzie żył kończyny dolnej występuje żyła Giacominiego, która najczęściej stanowi połączenie pomiędzy żyłami:
Pytanie 9
Wskaż w oparciu o obowiązującą klasyfikację, który z wymienionych poniżej typów przecieków krwi do worka tętniaka aorty brzusznej, występujący po implantacji stentgraftu jest stosunkowo najtrudniej uwidocznić w kontrolnej spiralnej tomografii komputerowej:
Pytanie 10
Tzw. łuk Riolana jest często wykorzystywany w radiologii jako droga dostępu do embolizacji naczyń. W leczeniu którego z wymienionych poniżej typów przecieków krwi do worka tętniaka aorty brzusznej po implantacji stentgraftu najczęściej stosuje się ten sposób postępowania?
Pytanie 11
Które z poniższych stwierdzeń jest fałszywe w odniesieniu do często stosowanego w chirurgii naczyniowej wskaźnika kostkowo-ramiennego /ABI/?
Pytanie 12
W której z wymienionych poniżej tętnic kończyny dolnej najczęściej lokalizują się zmiany o typie torbielowatości przydanki?
Pytanie 13
Które z poniższych stwierdzeń jest fałszywe w odniesieniu do wymienionych poniżej różnych rodzajów dostępu naczyniowego do hemodializ?
Pytanie 14
U 70-letniego chorego stwierdzono obecność w spiralnej tomografii komputerowej tętniaka obejmującego całą aortę zstępującą i brzuszną, bez poszerzenia tętnic biodrowych wspólnych. Który jest to typ tętniaka piersiowo-brzusznego według klasyfikacji Crawforda?
Pytanie 15
Który z wymienionych poniżej typów przecieku krwi uważany jest za statystycznie najczęstszą przyczynę pęknięcia tętniaka aorty brzusznej po implantacji stentgraftu?
Pytanie 16
Objawem, który zwykle występuje w zespole usidlenia tętnicy podkolanowej nie jest:
Pytanie 17
Najpoważniejsze upośledzenie czynnościowe kończyny dolnej w wyniku uszkodzenia reperfuzyjnego wywołuje ciasnota w obrębie przedziału powięziowego goleni:
Pytanie 18
Wskazaniem do leczenia interwencyjnego przewlekłego rozwarstwienia aorty nie jest:
Pytanie 19
Czynnikami predysponującymi do rozwarstwienia aorty są:
1) zespół Marfana;
2) zespół Ehlersa-Danlosa;
3) dwupłatkowa zastawka aorty;
4) zespół Noonan;
5) wielotorbielowate zwyrodnienie nerek;
6) zażywanie kokainy.
Prawidłowa odpowiedź to:
Pytanie 20
Który z niżej wymienionych parametrów ryzyka pęknięcia tętniaka aorty brzusznej ma największe znaczenie?
Pytanie 21
Zaznacz w kolejności malejącej najczęstsze przyczyny ostrego niedokrwienia jelit (ONJ):
1) marskość wątroby; 4) nieswoiste zapalenie jelit;
2) zator; 5) zabieg z zastosowaniem krążenia pozaustrojowego.
3) zakrzepica tętnicza;
Prawidłowa odpowiedź to:
Pytanie 22
Wskaż zdanie fałszywe dotyczące charakterystyki stentów do tętnic szyjnych: Stent powinien:
Pytanie 23
Wskaż prawdziwe stwierdzenia dotyczące tętniaków aorty brzusznej:
1) średnica tętniaka 5,5 cm stanowi granicę bezpieczeństwa (ryzyka pęknięcia tętniaka);
2) szybki wzrost średnicy tętniaka powyżej 1 cm w ciągu roku stanowi o zwiększonym ryzyku jego pęknięcia;
3) średnica tętniaka aorty brzusznej 4 cm stanowi wskazanie do leczenia endowaskularnego;
4) w leczeniu tętniaków aorty nie stosuje się materiałów z PTFE;
5) locus minoris resistenciae w obrazie ściany tętniaka w badaniu angio CT świadczy o zwiększeniu ryzyka pęknięcia tętniaka.
Prawidłowa odpowiedź to:
Pytanie 24
Wskaż prawdziwe stwierdzenia dotyczące przeciwwskazań do wszczepienia stentgraftu w tętniaku aorty brzusznej:
1) średnica tętniaka w najszerszym miejscu 80 mm;
2) długość szyi tętniaka poniżej 10 mm;
3) obecność skrzepliny w szyi tętniaka i kształt szyi przypominający stożek;
4) kręty przebieg naczyń biodrowych z licznymi zwężeniami w tym powyżej 90%;
5) średnica szyi tętniaka 30 mm.
Prawidłowa odpowiedź to:
Pytanie 25
Jakie leczenie można zaproponować chorej lat 60 z objawową malformacją naczyniową podudzia, która w MRI i DSA przedstawia się jako bogato unaczyniony guz o dość ostrych granicach?
Pytanie 26
Zostałeś poproszony do oddziału dla przewlekle chorych do pacjentki trwale unieruchomionej z powodów neurologicznych, u której 3 godziny temu wystąpiło ostre niedokrwienie prawej kończyny dolnej. Chora ma migotanie przedsionków i tętno wykrywalne na lewej kończynie dolnej. Które postępowanie jest najwłaściwsze?
Pytanie 27
Mężczyzna 55-letni. Zespół metaboliczny, źle kontrolowane nadciśnienie tętnicze, palący od blisko 40 lat, cukrzyca leczona lekami doustnymi. Tętniakowate poszerzenie aorty brzusznej do 38 mm z obecnością skrzepliny przyściennej. Bóle spoczynkowe kończyny dolnej prawej. Z powodu niedrożności t. udowej powierzchownej na długości 20 cm wykonano bypass udowo-podkolanowy ze zbrojonego PTFE, z dolnym zespoleniem poniżej szpary stawu kolanowego. Po 3 tygodniach pacjent zgłosił się z powodu bólów spoczynkowych operowanej kończyny, bez cech martwicy obwodowej. Stwierdzono niedrożność wykonanego pomostu naczyniowego. Przyczynami niepowodzenia operacji są najprawdopodobniej:
1) przerost błony wewnętrznej tętnicy w okolicy zespoleń naczyniowych (intimal hyperplasia);
2) nieprawidłowa kwalifikacja chorego do zabiegu;
3) błąd techniczny polegający nieprawidłowym wykonaniu zespoleń naczyniowych;
4) postęp miażdżycy w naczyniach obwodowych;
5) niezaprzestanie palenia tytoniu;
6) embolizacja skrzeplinami pochodzącymi z tętniaka aorty brzusznej.
Prawidłowa odpowiedź to:
Pytanie 28
Aktywatorami procesu fibrynolizy powodującymi przejście plazminogenu w plazminę w obrębie zakrzepu są:
Pytanie 29
Która z wymienionych cech nie jest spotykana w zespole Parks-Weber?
Pytanie 30
Chory 64-letni. Choroba wieńcowa aktualnie bez ostrych objawów, zawał serca w wywiadzie przed 3 laty. Cukrzyca typu II leczona insuliną. Jakie zaproponować postępowanie wstępne w przypadku, jeśli chory wymaga leczenia operacyjnego (bypass udowo-obwodowy) z powodu przewlekłego, krytycznego niedokrwienia kończyny dolnej?
Pytanie 31
U kobiet powyżej 80. roku z objawowym zwężeniem tętnicy szyjnej wewnętrznej życia wzrasta odsetek powikłań po implantacji stentu do tętnicy szyjnej (A), z tego powodu powinny być raczej kwalifikowane do endarterektomii (B).
Pytanie 32
Które zdanie dotyczące techniki wykonania pomostu szyjno-podobojczykowego nie jest prawdziwe?
Pytanie 33
Chory z sinicznym bolesnym obrzękiem kończyn dolnych wywołanym masywną zakrzepicą żył głębokich kończyn dolnych, po przebytej 3 dni wcześniej operacji stawu biodrowego, został zakwalifikowany do trombektomii. Zalecenia dotyczące postępowania nie obejmują:
Pytanie 34
W czasie nefrektomii prawostronnej doszło do usunięcia 6 cm odcinka żyły głównej dolnej. Chirurga naczyniowego poproszono o pilną konsultację i ewentualną operację. Które z poniższych zdań jest prawdziwe?
Pytanie 35
W czasie operacji tętniaka głównego pnia tętnicy nerkowej polegającej na pomostowaniu aortalno-nerkowym do wytworzenia przeszczepu należy wykorzystać:
Pytanie 36
Które zdanie dotyczące rekonstrukcji wyciętego w czasie nefrektomii 5 cm odcinka żyły głównej dolnej jest prawdziwe?
Pytanie 37
60-letni chory z powodu zakażenia pomostu aortalno-dwuudowego został zakwalifikowany do usunięcia zainfekowanej protezy oraz wytworzenia pomostu pachowo-dwuudowego. Które zdanie dotyczące tego zabiegu jest fałszywe?
Pytanie 38
60-letni dotychczas nie leczony chory zgłosił się z tętniącym guzem zlokalizowanym po bocznej stronie szyi. W angiografii tomografii komputerowej stwierdzono tętniaka prawdziwego tętnicy szyjnej wewnętrznej średnicy 25 mm i długości 25 mm rozpoczynające się od rozwidlenia tętnicy szyjnej wspólnej (rozwidlenie położone na wysokości kręgu C3). Jakie powinno być leczenie?
Pytanie 39
Operacją stosowaną w leczeniu objawu Raynauda jest sympatektomia piersiowa obejmująca wycięcie:
Pytanie 40
Przewlekłe rozwarstwienie aorty piersiowej rozpoznaje się, gdy od jego wystąpienia upłynęło ponad:
Pytanie 41
W zespole ucisku żyły biodrowej lewej dochodzi do ucisku:
Pytanie 42
Szmer naczyniowy w nadbrzuszu zwiększający sie na wydechu może świadczyć o:
Pytanie 43
Współczynnik RAR (renal aortic ratio) jest stosunkiem szczytowej prędkości skurczowej w miejscu zwężenia tętnicy nerkowej do szczytowej prędkości skurczowej w aorcie. Za hemodynamicznie istotne zwężenie tętnicy nerkowej (powyżej 60%) uznaje się wartość:
Pytanie 44
Inhibitor czynnika Xa, który można stosować doustnie to:
Pytanie 45
Wskaż prawdziwe stwierdzenia dotyczące leczenia zwężeń tętnic szyjnych:
1) leczenie operacyjne zwężenia tętnicy szyjnej jest bezwzględnie wskazane u objawowych chorych ze zwężeniem przekraczającym 70%;
2) operacja zwężenia tętnicy szyjnej powinna być przeprowadzona w ciągu 2 tygodni od ostatniego wystąpienia objawów;
3) operacje tętnicy szyjnej można zalecić chorym mężczyznom, u których nie występują objawy w wieku poniżej 75. roku życia ze zwężeniem wynoszącym 70 - 99%, jeżeli ryzyko związane z zabiegiem jest mniejsze niż 9%;
4) nie ma dowodów na korzyści płynące z rutynowego stosowania czasowego przepływu wewnętrznego (shunt) w czasie operacji tętnicy szyjnej;
5) przed operacją tętnicy szyjnej i po niej należy podawać kwas acetylosalicylowy wraz ze statyną.
Prawidłowa odpowiedź to:
Pytanie 46
Założenie stentu do tętnicy szyjnej jest zalecane u chorych, u których doszło do ponownego zwężenia tętnicy szyjnej po operacji tej tętnicy, ze względu na:
Pytanie 47
Przyczyną zespołu górnego otworu klatki piersiowej jest:
Pytanie 48
Objaw Stemmera w kończynach dolnych związany jest z:
Pytanie 49
W przypadku chorych z niewydolnością żyły odpiszczelowej na udzie możliwe jest zastosowanie leczenia wewnątrznaczyniowego w oparciu o technikę EVLT(ablacja laserowa) i RF (radiofrequency). Wskaż zdanie fałszywe:
Pytanie 50
W przypadku tętniaka aorty piesiowo-brzusznej tętnice nerkowe nie są objęte procesem chorobowym w typie:
Pytanie 51
Wskaż zdanie prawdziwe dotyczące stosowania czasowego przepływu wewnętrznego (shunt) u chorych operowanych z powodu zwężenia tętnicy szyjnej metodą endarterektomii:
Pytanie 52
W przypadku konieczności pobrania i wykorzystania żyły udowej do rekonstrukcji naczyniowej w przypadku zakażenia protezy naczyniowej w odcinku aortalno-udowym najlepszym sposobem pozyskania odpowiedniej długości autogennego przeszczepu jest:
Pytanie 53
Wskaż zdanie nieprawidłowe dotyczące angioplastyki tętnicy nerkowej:
Pytanie 54
Kwalifikując chorych do implantacji filtra do żyły głównej dolnej uwzględnić należy warunki anatomiczne. Wskaż zdanie nieprawdziwe:
Pytanie 55
Wskaż zdanie nieprawdziwe:
Pytanie 56
Zakrzepowo-zarostowe zapalenie naczyń można rozpoznać według następujących kryteriów:
1) palenie tytoniu w wywiadzie i brak innych czynników ryzyka miażdżycy;
2) początek choroby przed 50. rokiem życia;
3) zmiany naczyniowe poniżej tętnicy podkolanowej;
4) nawracające wędrujące zapalenie żył powierzchownych w wywiadzie;
5) zajęcie naczyń kończyn górnych.
Prawidłowa odpowiedź to:
Pytanie 57
W leczeniu zakrzepowo-zarostowego zapalenia naczyń stosuje się:
1) glikokortykosteroidy;
2) kwas acetylosalicylowy;
3) wlewy prostaglandyn (PGE, PGI);
4) cilostazol;
5) bezwzględny zakaz palenia tytoniu.
Prawidłowa odpowiedź to:
Pytanie 58
Do głównych przyczyn nawrotów żylaków kończyn dolnych po leczeniu operacyjnym zalicza się:
1) pozostawienie niewydolnego ujścia odpiszczelowo-udowego;
2) pozostawienie niewydolnego perforatora w okolicy kanału przywodzicieli;
3) niewydolne żyły śródmięśniowe m. łydki;
4) pozostawione niewydolne perforatory goleni;
5) nierozpoznane przed operacją przetoki tętniczo-żylne w obrębie kończyny dolnej.
Prawidłowa odpowiedź to:
Pytanie 59
Przeciwwskazaniem do przezskórnej plastyki tętnicy szyjnej wewnętrznej z założeniem stentu są:
1) znacznego stopnia upośledzenie sprawności ruchowej;
2) obecność skrzepliny na blaszce miażdżycowej;
3) silnie uwapniona blaszka miażdżycowa;
4) krytyczne zwężenie tętnicy szyjnej wewnętrznej na długim odcinku (objaw struny);
5) niedrożność tętnicy szyjnej wewnętrznej po stronie przeciwnej.
Prawidłowa odpowiedź to:
Pytanie 60
Które ze stwierdzeń dotyczących pierwotnego fenomenu Raynauda są prawdziwe?
1) jest to napadowe niedokrwienie palców bez uchwytnej przyczyny organicznej;
2) choroba pojawia się najczęściej u młodych, nerwowych kobiet;
3) cechą charakterystyczną jest symetryczność napadów niedokrwienia palców;
4) w późnym okresie choroby mogą pojawiać się trudno gojące się owrzodzenia opuszek palców;
5) choroba dotyczy głównie palców stóp.
Prawidłowa odpowiedź to:
Pytanie 61
U chorego lat 89 rozpoznano w badaniu ultrasonograficznym bezobjawowego tętniaka aorty brzusznej o średnicy 65 mm. Badania dodatkowe oraz konsultacja kardiologiczna wykazały frakcję wyrzutową lewej komory poniżej 30%, dużego tętniaka lewej komory, niedomykalność zastawki aortalnej znacznego stopnia oraz rozległe zmiany w tętnicach wieńcowych stwierdzone w koronarografii niekwalifikujące się do operacji kardiochirurgicznej. Wskaż prawdziwe stwierdzenie:
Pytanie 62
Z trzech głównych tętnic trzewnych zator zamyka najczęściej światło:
Pytanie 63
Obserwacja i ocena wzrokowa ukrwienia okrężnicy esowatej po zaciśnięciu tętnicy krezkowej dolnej może być niewystarczająca, ponieważ zmiany niedokrwienne rozpoczynają się od śluzówki i mogą być początkowo niewidoczne.
Pytanie 64
Uszkodzenie tętnicy szyjnej spowodowane tępym urazem okolicy szyi, ze względu na brak objawów krwawienia może zostać rozpoznane z opóźnieniem. Wskaż prawdziwe stwierdzenia:
1) objawy neurologiczne mogą wystąpić w pewnym odstępie czasu od zdarzenia;
2) częstymi objawami neurologicznymi są: zespól Hornera oraz przemijające napady niedokrwienia mózgu z niedowładem kończyn;
3) uraz błony wewnętrznej uszkodzonej tętnicy może przebiegać bezobjawowo do momentu całkowitego zamknięcia tętnicy przez zakrzep;
4) należy operować w każdym przypadku urazu tętnicy szyjnej;
5) przeciwwskazaniem do operacji naprawczej jest dokonany udar mózgu i/lub niedrożność tętnicy powyżej miejsca urazu.
Prawidłowa odpowiedź to:
Pytanie 65
Naświetlanie celem leczenia nowotworów w obrębie tkanek szyi powoduje zwężenia w zakresie tętnic szyjnych, których charakter jest odmienny od tych powodowanych przez miażdżycę i inne czynniki. Wskaż prawdziwe stwierdzenia:
1) zmiany są długoodcinkowe i mogą sięgać nawet do odcinków wewnątrzczaszkowych;
2) zwężenia zlokalizowane są w nietypowych miejscach np. w środkowym odcinku tętnicy;
3) w badaniu usg zwykle zmiana ma charakter homogenny i stabilny;
4) znamiennie częściej w badaniu usg na powierzchni zmiany występują owrzodzenia;
5) zmiany są krótkoodcinkowe, ale rozsiane.
Prawidłowa odpowiedź to:
Pytanie 66
Guz kłębka szyjnego jest nowotworem zlokalizowanym zwykle na podziale tętnicy szyjnej wspólnej. Wskaż prawdziwe stwierdzenia:
1) naczynia doprowadzające krew do guza są gałęziami tętnicy szyjnej zewnętrznej lub wspólnej;
2) mężczyźni chorują trzykrotnie częściej niż kobiety;
3) jest unerwiony wyłącznie czuciowo, a włókna nerwowe łączą się z nerwem językowo-gardłowym;
4) jest unerwiony czuciowo i ruchowo, a włókna nerwowe łączą się z nerwem podjęzykowym;
5) jest rzadkim nowotworem o łagodnym charakterze niedającym przerzutów.
Prawidłowa odpowiedź to:
Pytanie 67
W przypadku chorych wymagających odstawienia leczenia antykoagulacyjnego warfaryną lub acenokumarolem przed zabiegiem operacyjnym oraz włączenia terapii pomostowej przy pomocy leczniczych dawek heparyny drobnocząsteczkowej:
Pytanie 68
U chorych z zakrzepicą żył głębokich kończyn dolnych związaną z chorobą nowotworową:
Pytanie 69
Zakażenia w obrębie aorty powodujące rozwój zakażonego tętniaka aorty brzusznej wywoływane są przez następujące drobnoustroje (kolejność wg malejącej częstości występowania):
Pytanie 70
Jednostronne zamknięcie tętnicy biodrowej zewnętrznej na całej jej długości (bez niedrożności tętnicy udowej wspólnej):
Pytanie 71
Do chorób wymienianych w grupie zapaleń dotyczących średnich naczyń należą:
1) guzkowe zapalanie tętnic; 4) choroba Behceta;
2) choroba Kawasaki; 5) olbrzymiokomórkowe zapalenie naczyń.
3) choroba Takayasu;
Prawidłowa odpowiedź to:
Pytanie 72
Do ostrych zespołów aortalnych nie należy:
Pytanie 73
Badania w kierunku trombofilii zaleca się u pacjentów z:
1) nawrotami zakrzepicy żył głębokich lub zakrzepicy żył powierzchownych;
2) pierwszym samoistnym epizodem zakrzepicy żył głębokich przed 45. rokiem życia;
3) martwicą skóry w trakcie stosowania doustnych antykoagulantów;
4) pierwszym epizodem zakrzepicy w nietypowym miejscu (np. żył krezkowych, układu żylnego mózgu);
5) pierwszym epizodem żylnej choroby zakrzepowo-zatorowej związanym ze stosowaniem doustnej terapii antykoncepcyjnej.
Prawidłowa odpowiedź to:
Pytanie 74
Wskaż prawdziwe stwierdzenia dotyczące zespołu żyły głównej górnej:
1) najczęstszym objawem jest obrzęk twarzy;
2) najczęstszą przyczyną jest choroba nowotworowa a wśród nowotworów najczęściej występuje rak płuca;
3) w leczeniu zachowawczym zastosowanie znajduje właściwe ułożenie pacjenta w pozycji półsiedzącej oraz stosowanie steroidów;
4) leczeniem z wyboru jest leczenie chirurgiczne - zabieg resekcyjny lub zespolenie omijające;
5) w przeciwieństwie do łagodnych zwężeń żyły głównej górnej, ze względu na charakter stwierdzanych zmian (naciek lub ucisk przez zaawansowany proces nowotworowy) próby leczenia wewnątrznaczyniowego są w większości przypadków skazane na niepowodzenie.
Prawidłowa odpowiedź to:
Pytanie 75
Wskaż fałszywe stwierdzenie dotyczące leczenia wewnątrznaczyniowego tętniaka aorty piersiowej:
Pytanie 76
Które z wymienionych uszkodzeń układu kostno-stawowego mogą być przyczyną uszkodzenia tętnic?
1) złamanie pierwszego żebra; 4) zwichnięcie stawu łokciowego;
2) złamanie podgłówkowe kości ramiennej; 5) złamanie obojczyka.
3) zwichnięcie stawu kolanowego;
Pytanie 77
Krytyczne niedokrwienie kończyn rozpoznaje się u chorych, którzy:
1) zgłaszają ból spoczynkowy nieustępujący po podaniu tradycyjnych leków przeciwbólowych i trwający co najmniej 2 tygodnie;
2) mają martwicę palców lub stopy, bądź owrzodzenie troficzne;
3) mają ciśnienie skurczowe mierzone na kostce mniejsze od 50 mmHg;
4) mają przezskórną prężność tlenu (TcPO2) w obszarze niedokrwienia niższą od 10 mmHg i niewzrastającą po inhalacji tlenu;
5) mają dystans chromania przestankowego 50 metrów.
Prawidłowa odpowiedź to:
Pytanie 78
W zespole stopy cukrzycowej stwierdzane są następujące zmiany:
1) zaburzenia ukrwienia tętniczego;
2) utrata lub zaburzenia czynności unerwienia;
3) ogniska martwicy i owrzodzenia skóry;
4) osłabienie siły mięśniowej i przykurcze;
5) zaniki kostne i ogniska martwicy jałowej bądź zakażonej.
Prawidłowa odpowiedź to:
Pytanie 79
We wczesnej postaci zespołu stopy cukrzycowej neuropatycznej stwierdza się:
1) obecność tętna na tętnicy grzbietowej stopy i tętnicy piszczelowej tylnej;
2) zmniejszenie lub brak czucia dotyku, temperatury i bólu;
3) powstawanie palców młoteczkowanych i wysokiego łuku sklepienia stóp;
4) modzele w punktach podparcia stóp;
5) zniekształcenie stawów typu Charcota.
Prawidłowa odpowiedź to:
Pytanie 80
U 65-letniego chorego przed tygodniem wystąpił epizod niedowładu lewej kończyny górnej. Objawy ustąpiły całkowicie po upływie 25 minut. W badaniu dopplerowskim z podwójnym obrazowaniem stwierdzono obecność zwężenia prawej tętnicy szyjnej wewnętrznej o ok. 80%. W celu istotnego zmniejszenia ryzyka wystąpienia ponownego epizodu niedokrwienia mózgu zabieg udrożnienia tętnicy szyjnej należy wykonać w ciągu kolejnych:
Pytanie 81
Przed 9 miesiącami wystąpił epizod TIA, z niedowładem prawej kończyny dolnej. W badaniu dopplerowskim stwierdzono zwężenie tętnicy szyjnej wewnętrznej lewej. Zabieg udrożnienia można zalecić pacjentowi spełniającemu następujące kryteria:
Pytanie 82
Wskaż prawdziwe stwierdzenie dotyczące treningu marszowego, jako podstawowej formy zachowawczego leczenia miażdżycowego niedokrwienia kończyn dolnych:
Pytanie 83
Przy uwzględnieniu chorób współistniejących, prawdziwe są następujące stwierdzenia, z wyjątkiem:
Pytanie 84
U 65-letniego chorego po przebyciu epizodu niedokrwienia mózgu stwierdzono blaszkę hipoechogeniczną z owrzodzeniem powierzchni, zwężającą światło naczynia o ok. 70%. Wykrycie tego rodzaju zmiany może skłaniać do preferowania:
Pytanie 85
58-letnią chorą z objawowym zwężeniem tętnicy szyjnej wewnętrznej zakwalifikowano do leczenia wewnątrznaczyniowego. W związku z wykazaniem przewagi stosowania podwójnego leczenia modyfikującego krzepliwość krwi w zmniejszaniu częstości powikłań zatorowych należy włączyć, niezależnie od podaży kwasu acetylosalicylowego:
Pytanie 86
Wskaż prawidłowy opis charakteryzujący kolonizację krytyczną wrzodu żylnego:
Pytanie 87
Do czynników ryzyka wystąpienia infekcji rany należą wszystkie poniższe, z wyjątkiem:
Pytanie 88
Do klinicznych objawów infekcji ran zaliczane są zwyczajowo następujące kryteria: miejscowe zaczerwienianie, ból, podniesienie ciepłoty ciała, uszkodzenie tkanek, obrzęk i ropny wysięk. Według skali Delphi dodatkowymi objawami infekcji ran przewlekłych są wszystkie poniższe, z wyjątkiem:
Pytanie 89
Wskaż fałszywe stwierdzenie odnoszące się do ran zagrożonych ryzykiem infekcji:
Pytanie 90
U 80-letniego chorego stwierdzono obecność rany przewlekłej goleni lewej. Głównymi sposobami leczenia są wszystkie poniższe, z wyjątkiem:
Pytanie 91
Do antyseptyków, które nie powinny być stosowane w leczeniu ran należą wszystkie poniższe, z wyjątkiem:
Pytanie 92
W kolejnych etapach leczenia rany przewlekłej stwierdzono obecność owrzodzenia troficznego z czystą ziarniną. Do jego przemycia można zastosować:
Pytanie 93
Opatrunki z zawartością srebra wykazują dużą skuteczność w leczeniu ran zakażonych i z dużym ryzykiem zakażenia. Wskaż zdanie nieprawidłowo opisujące te opatrunki:
Pytanie 94
Kobieta w wieku 52 lat zwróciła się do lekarza w celu rozważenia konieczności stosowania profilaktyki przeciwzakrzepowej. Planuje odbycie podróży samolotem w klasie ekonomicznej, trwającej 9 godzin. W wywiadzie podaje przyjmowanie estrogenów. W badaniu przedmiotowym stwierdzono otyłość. Wskaż prawidłowe postępowanie:
Pytanie 95
28-letni mężczyzna zgłosił się do poradni lekarza rodzinnego z powodu ciastowatego obrzęku lewego podudzia i poszerzenia żył powierzchownych na stopie. Dolegliwości utrzymują się od dwóch dni i mają stałe nasilenie. W wywiadzie pacjent nie podaje innych dolegliwości ani też zdarzeń mogących wpłynąć na wystąpienie stwierdzanych objawów. Na podstawie skali Wellsa uzyskano
2 punkty. Pacjentowi należy:
Pytanie 96
Po rozpoznaniu zakrzepicy żył głębokich (ZŻG) prowadzenie przewlekłego leczenia przeciwzakrzepowego jest wskazane w przypadku:
Pytanie 97
Do niezależnych czynników ryzyka krwawienia wewnątrzczaszkowego podczas prowadzenia leczenia trombolitycznego nie należy:
Pytanie 98
Po rozpoznaniu żylnej choroby zakrzepowo-zatorowej prowadzenie długoterminowego leczenia przeciwzakrzepowego jest wskazane w przypadku:
Pytanie 99
Jakkolwiek preferowaną formą leczenia świeżej proksymalnej zakrzepicy żył głębokich kończyn dolnych jest terapia przeciwzakrzepowa to dopuszczalne jest także zastosowanie leków fibrynolitycznych. Największą korzyść z celowanej trombolizy odnosi się we wszystkich wymienionych poniżej przypadkach, z wyjątkiem:
Pytanie 100
U 65-letniego pacjenta diagnozowanego w kierunku przerostu prostaty wykryto przypadkowo zakrzepicę żył wątrobowych. Sugerowane leczenie obejmuje:
Pytanie 101
U 57-letniej pacjentki rozpoznano zakrzepicę żył głębokich. Wdrożono leczenie przeciwzakrzepowe w postaci wlewu dożylnego heparyny niefrakcjonowanej w dawce 24000 jednostek na dobę. Po upływie 12 godzin od rozpoczęcia wlewu wystąpiło masywne krwawienie z dróg rodnych (APTT=100). Konsultant ginekolog zalecił zakończenie wlewu heparyny i zastosowanie leczenia znoszącego działanie przeciwkrzepliwe heparyny. W tym celu pacjentce należy podać dożylnie siarczan protaminy w dawce:
Pytanie 102
W przypadku konieczności wdrożenia lub kontynuacji leczenia przeciwzakrzepowego lub przeciwpłytkowego u kobiet w okresie laktacji i karmiących piersią zalecane jest stosowanie wszystkich wymienionych poniżej leków, z wyjątkiem:
Pytanie 103
U 22-letniego pacjenta z opatrunkiem gipsowym obejmującym stopę i podudzie od 3 tygodni prowadzona jest profilaktyka przeciwzakrzepowa w postaci podskórnych dawek heparyny drobnocząsteczkowej. Poza tym pacjent jest zdrowy i nie zgłasza innych dolegliwości. Podczas rutynowych badań laboratoryjnych w surowicy pacjenta wykryto obecność przeciwciał przeciwko kompleksowi heparyna-PF4. W związku z pozytywnym wynikiem badania należy:
Pytanie 104
Wartościami wskaźnika kostka-ramię (ABPI) i ciśnienia parcjalnego tlenu (TcpO2) potwierdzającymi prawidłowość rozpoznania krytycznego niedokrwienia kończyn dolnych są:
Pytanie 105
Wskaż stwierdzenia prawdziwe w odniesieniu do leczenia pacjentów z miażdżycowym niedokrwieniem kończyn dolnych:
Pytanie 106
Podczas kwalifikacji do leczenia zabiegowego tętnic szyjnych wskazane jest uwzględnienie morfologii blaszki. Obecność blaszek niestabilnych jest względnym przeciwwskazaniem do wykonania zabiegu wewnątrznaczyniowego. Cechą blaszki stabilnej jest:
Pytanie 107
Przeciwwskazaniem do planowej operacji tętniaka aorty brzusznej sposobem klasycznym nie jest:
1) wiek powyżej 65 lat;
2) III i IV stopień niewydolności krążenia;
3) spoczynkowa frakcja wyrzutowa lewej komory poniżej 50%;
4) przebyty zawał mięśnia sercowego;
5) tlenoterapia prowadzona w warunkach domowych;
6) marskość wątroby;
7) zwłóknienie pozaotrzewnowe.
Prawidłowa odpowiedź to:
Pytanie 108
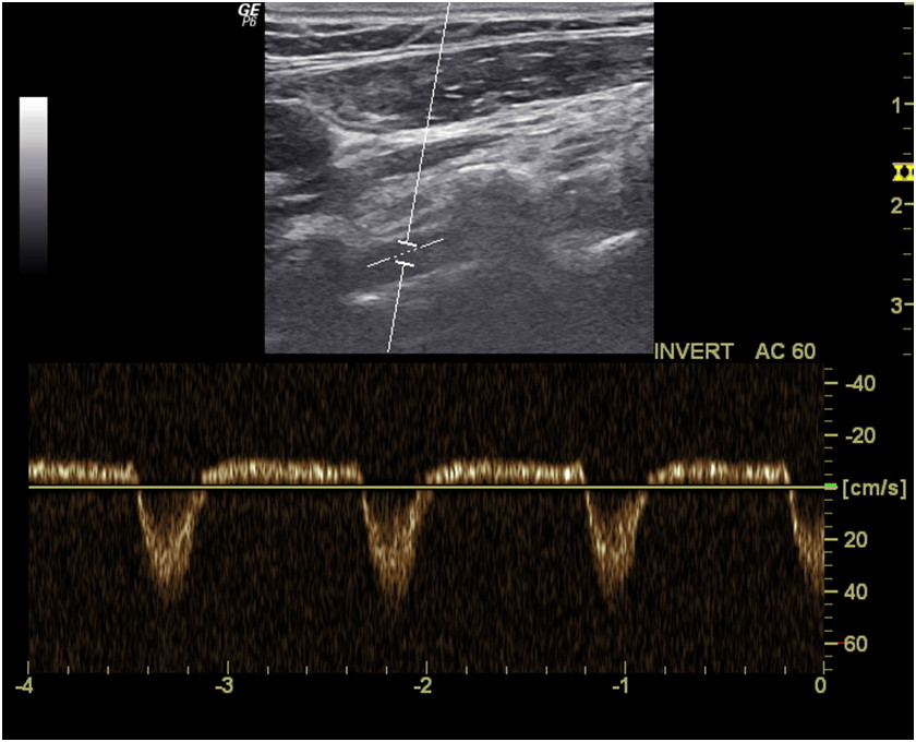
Pacjent zgłasza okresowe występowanie zawrotów głowy, szczególnie podczas prac fizycznych wykonywanych rękami. W badaniu przedmiotowym nie stwierdzono istotnych odchyleń od normy. Nie stwierdzono różnic w wyczuwaniu tętna na kończynach górnych ani też objawów ucisku w obrębie górnego otworu klatki piersiowej. Pacjenta skierowano na badanie dupleksowe tętnic szyjnych
i kręgowych. Oceniając prawą tętnicę kręgową stwierdzono obecność spektrum przedstawionego na poniższej rycinie. U pacjenta można podejrzewać:

Pytanie 109
W celu potwierdzenia prawidłowości rozpoznania postawionego w pytaniu nr 108 zalecane jest wykonanie następującej weryfikacji:
Pytanie 110
Podczas badania lewej tętnicy szyjnej stwierdzono obecność krótkoodcinkowego zwężenia w odcinku bliższym tętnicy szyjnej wewnętrznej (ICA). Po ustawieniu odpowiedniego kąta insonacji określono wartości prędkości szczytowo-skurczowej (PSV) i końcowo-rozkurczowej (EDV) w tt szyjnych wspólnej (CCA) i wewnętrznej. Wartości te wyniosły: PSVCCA=45 cm/s; EDVCCA=10 cm/s; PSVICA=92 cm/s i EDVICA=11 cm/s. Stopień zwężenia w ICA wynosi:
Pytanie 111
U 55-letniego pacjenta udrożniono tętnicę szyjną wewnętrzną prawą. Zabieg i okres pooperacyjny bez powikłań. Podczas pierwszej kontroli dupleksowej, wykonanej po upływie 4 tygodni, stwierdzono: „Ubytek kompleksu intima-media w udrożnionym obszarze, gładki zarys ścian, przepływ z turbulencjami”. Podczas kolejnej kontroli, wykonanej po upływie 3 miesięcy wykazano obecność: „hipoechogenicznej zmiany zwężającej dalszą część odcinka udrożnionego o ok. 50%; zmiana o gładkich zarysach”. Najbardziej prawdopodobną przyczyną powstania zmiany jest:
Pytanie 112
U 57-letniej pacjentki po wypadku komunikacyjnym i urazie kończyny dolnej założono gips udowy. Wdrożono profilaktykę przeciwzakrzepową z użyciem odpowiednich dawek heparyny drobnocząsteczkowej. W kontrolnym badaniu rentgenowskim stwierdzono przesunięcie odłamów wymagające interwencji operacyjnej. Planowane jest wykonanie nakłucia lędźwiowego, z wprowadzeniem cewnika do prowadzenia leczenia przeciwbólowego. Po podaniu dawki profilaktycznej zabieg można wykonać:
Pytanie 113
Po upływie 6 lat po implantacji protezy aortalno-dwubiodrowej u pacjenta rozpoznano jej zakażenie. Pacjenta zakwalifikowano do usunięcia protezy z jednoczasowym wykonaniem rekonstrukcji naczyniowej. Do rekonstrukcji w położeniu in situ można wykorzystać wszystkie poniżej wymienione materiały, z wyjątkiem:
Pytanie 114
U 26-letniej kobiety w 18. tygodniu ciąży wystąpił obrzęk kończyny dolnej lewej. Obrzęk pojawił się na stopie obejmując w kolejnych latach dalszą część podudzia. Początkowo obrzęk występował tylko w godzinach wieczornych, później uległ utrwaleniu. W badaniu stopy stwierdzono objaw widoczny na załączonym zdjęciu:
Całość obrazu klinicznego może świadczyć o wystąpieniu:

Pytanie 115
Na podstawie badania przedmiotowego u 52-letniego pacjenta z rozległymi żylakami goleni lewej rozpoznano zakrzepowe zapalenie żył powierzchownych. W badaniu dupleksowym zaobserwowano migrację skrzeplin do naczyń przestrzeni podpowięziowej. Niezależnie od koniecznej farmakoterapii pacjentowi należy zalecić stosowanie kompresjoterapii, np. w postaci produktów pończoszniczych o sile ucisku w przedziale:
Pytanie 116
Wskaż fałszywe stwierdzenie dotyczące drenażu limfatycznego, stanowiącego element kompleksowej terapii przeciwobrzękowej:
Pytanie 117
Objaw sznura pereł jest charakterystyczny dla obrazu USG tętnic nerkowych w przypadku:
Pytanie 118
Naczyniak prosty (portwine stain), którego etiologia wiąże się z zaburzeniem w dojrzewaniu włókien współczulnych, prowadzącym do stałego rozszerzenia naczyń danej okolicy w oparciu o klasyfikację malformacji naczyniowych wg Fishmana i Mullikena zaliczany jest do grupy zmian:
Pytanie 119
Dysplazja tętnicy nerkowej, czyli zwyrodnienie włóknisto-mięśniowe, stanowi przyczynę około 30% zwężeń tętnicy nerkowej. Zmiany histopatologiczne z odpowiadającymi im obrazami radiologicznymi podzielono wg Stanleya na typy. Najczęstszą postacią dysplazji (do 85% wszystkich przypadków) jest:
Pytanie 120



