Wyszukaj egzamin lub pytanie
Egzamin PES Chirurgia naczyniowa / jesień 2009
120 pytań
Pytanie 1
Jednym z powikłań operacji rekonstrukcyjnych tętnic odcinka aortalno-biodrowego jest martwica okrężnicy. Śródoperacyjny pomiar ciśnienia w tętnicy krezkowej dolnej może wskazać chorych, u których ryzyko wystąpienia tego powikłania jest duże. Jaką najniższą wartość ciśnienia przyjmiesz jako wystarczającą, aby nie rekonstruować tętnicy krezkowej dolnej?
Pytanie 2
Która informacja dotycząca przewlekłego rozwarstwienia aorty piersiowej jest nieprawdziwa?
Pytanie 3
APTT to:
1) wskaźnik czasu protrombinowego;
2) oznaczanie tego wskaźnika służy do kontroli leczenia heparyną niefrakcjonowaną;
3) standardowe dawki heparyn drobnocząsteczkowych zmieniają kilkakrotnie jego wartość;
4) prawidłowa wartość tego wskaźnika wynosi 27-35 sek.;
5) podczas leczenia heparyną oznaczenia należy powtarzać co 2 godziny.
Prawidłowa odpowiedź to:
Pytanie 4
Choroba Takayasu może przybiegać w różnych postaciach klinicznych - który z wymienionych objawów praktycznie nie jest obserwowany?
Pytanie 5
Które z wymienionych metod leczenia znajdują zastosowanie w leczeniu zespołu usidlenia tętnicy podkolanowej?
1) przecięcie mięśnia brzuchatego łydki;
2) przecięcie mięśnia brzuchatego łydki z rekonstrukcją tętnicy podkolanowej;
3) przecięcie mięśnia półbłoniastego;
4) przecięcie mięśnia półbłoniastego z rekonstrukcją tętnicy podkolanowej;
5) miejscowa tromboliza uzupełniona implantacją stentu.
Prawidłowa odpowiedź to:
Pytanie 6
Głównym celem leczenia chirurgicznego refluksu w przebiegu pierwotnej i wtórnej niewydolności żylnej jest przywrócenie wydolności określonego segmentu żylnego. Które z wymienionych metod leczenia mają zastosowanie w obu postaciach niewydolności zastawek żył głębokich?
1) walwuloplastyka wewnętrzna; 4) transpozycja segmentu żylnego;
2) walwuloplastyka zewnętrzna; 5) przeszczepianie zastawek.
3) „banding”;
Prawidłowa odpowiedź to:
Pytanie 7
„Corona phlebectatica” jest objawem występującym w:
Pytanie 8
Wieloośrodkowe badanie GALA miało rozwiać wątpliwości jaki rodzaj znieczulenia, miejscowe czy ogólne, do operacji udrożnienia tętnicy szyjnej wewnętrznej jest bezpieczniejsze dla chorego. Które informacje dotyczące wyników tego badania, opublikowane w 2008 roku, są nieprawdziwe?
1) nie było statystycznie istotnej różnicy we wczesnym okresie okołooperacyjnym jeśli chodzi o częstość występowania udaru mózgu;
2) ryzyko zawału mięśnia sercowego jest większe w grupie chorych operowanych w znieczuleniu ogólnym;
3) oceniana „jakość życia” chorych we wczesnym okresie pooperacyjnym jest jednakowa dla obu grup;
4) znieczulenie miejscowe może być korzystniejsze u chorych z niedrożną tętnicą szyjną wewnętrzna po przeciwnej stronie;
5) statystycznie istotną różnicę na niekorzyść grupy operowanej w znieczuleniu ogólnym odnotowano w odsetku zgonów we wczesnym okresie okołooperacyjnym.
Prawidłowa odpowiedź to:
Pytanie 9
Małopłytkowość poheparynowa (HIT) jest stosunkowo rzadkim powikłaniem, ale potencjalnie bardzo niebezpiecznym. Które z kryteriów diagnostycznych są istotne dla prawidłowego rozpoznania HIT?
1) oznaczenie przeciwciała HAAb;
2) spadek liczby płytek krwi o więcej niż 50 % w stosunku do wartości przed rozpoczęciem leczenia heparyną;
3) wykluczenie posocznicy;
4) wzrost liczby płytek krwi po odstawieniu heparyny;
5) czas wystąpienia małopłytkowości ³ 5 dni po rozpoczęciu leczenia heparyną.
Prawidłowa odpowiedź to:
Pytanie 10
Podczas laparotomii z powodu urazu jamy brzusznej stwierdzono podłużne rozerwanie żyły głównej dolnej, w odcinku poniżej żył nerkowych. Jakiej wielkości zwężenie żyły po jej zeszyciu jest dopuszczalne?
Pytanie 11
Wybierz właściwe postępowanie w poniższym przypadku:
Nieobciążony 70 letni chory, niebolesny tętniący opór w śródbrzuszu. Badanie USG wykazało tętniak aorty brzusznej średnicy 6 cm (badanie USG wykonane przed rokiem wykazało średnicę aorty brzusznej 4 cm). W badaniu angioTK tętniak aorty brzusznej średnicy 6 cm przechodzący na początkowe odcinki obu tętnic biodrowych wspólnych, tętnice biodrowe o krętym przebiegu z istotnymi zmianami miażdżycowymi. Szyja tętniaka 2 cm, kąt zagięcia szyi tętniaka 70°.
Jaki sposób postępowania należy zastosować?
Pytanie 12
Czynnikami predysponującymi do powstawania tętniaków w brzusznym odcinku aorty jest:
Pytanie 13
Chory lat 60, bóle kończyny dolnej lewej o typie chromania przestankowego (dystans 10-15 m), okresowe bóle nocne. W badaniu angio TK niedrożność tętnicy udowej powierzchownej na długości nieco ponad 16 cm, naczynia na obwodzie kończyny drożne. Jaki sposób postępowania należy zastosować?
Pytanie 14
Główną przyczyną odległej niedrożności tętnicy po angioplastyce i stentowaniu jest:
Pytanie 15
U chorego po wszczepieniu protezy aortalno-dwuudowej z powodu tętniaka aorty brzusznej, 4 miesiące po operacji pojawiła się przetoka ropna w pachwinie lewej. W tomografii komputerowej stwierdzono obecność płynu wzdłuż całej protezy (również wzdłuż drugiego ramienia protezy). Który z podanych niżej sposobów należy zastosować jako najbardziej efektywną metodę leczenia zakażenia protezy naczyniowej?
Pytanie 16
Angioplastyka i stentowanie tętnicy szyjnej wewnętrznej jest leczeniem z wyboru w następujących przypadkach:
1) w każdym przypadku zwężenia tętnicy > 70%;
2) przy ponownym zwężeniu tętnicy u chorych po zabiegach operacyjnych;
3) w zwężeniu tętnicy po radioterapii;
4) przy całkowitej niedrożności tętnicy szyjnej wewnętrznej po stronie przeciwnej;
5) w bezobjawowym zwężeniu tętnicy < 50%.
Prawidłowa odpowiedź to:
Pytanie 17
Wskazaniem do udrożnienia tętnicy szyjnej wewnętrznej są:
1) zwężenie 70% z pojedynczymi lub powtarzającymi się epizodami TIA;
2) bezobjawowe zwężenie 70% u chorych przy istnieniu zwężenia t. szyjnej wewnętrznej ponad 70% po stronie przeciwnej;
3) bezobjawowe zwężenie 70% u chorych poniżej 75 roku życia;
4) niedrożność tętnicy szyjnej wewnętrznej;
5) bezobjawowe zwężenie 50%.
Prawidłowa odpowiedź to:
Pytanie 18
Przeciekiem typu I po wszczepieniu stent-graftu aortalnego z powodu tętniaka aorty określamy:
Pytanie 19
Wskazaniem do leczenia endowaskularnego lub operacyjnego zwężenia tętnicy podobojczykowej jest:
Pytanie 20
Wykonanie fasciotomii jest koniecznym uzupełnieniem operacji naprawczej w następujących przypadkach:
1) masywny obrzęk kończyny przed operacją;
2) wielogodzinny (ponad 6 godzin) okres ostrego niedokrwienia kończyny;
3) porażenie lub upośledzenie czynności mięśni z obrzękiem;
4) ostre niedokrwienie spowodowane niedrożnością poniżej tętnicy podkolanowej;
5) narastający obrzęk kończyny po operacji naprawczej.
Prawidłowa odpowiedź to:
Pytanie 21
Wybierz, które z poniższych stwierdzeń jest fałszywe w odniesieniu do tętniaka aorty brzusznej:
Pytanie 22
Chromanie żylne jest wywołane:
1) żylakami kończyn dolnych; 4) nadciśnieniem żylnym;
2) niewydolnością głębokiego układu żylnego; 5) przewlekłym
3) refluksem w żyłach głębokich kończyn dolnych; niedokrwieniem kończyn.
Prawidłowa odpowiedź to:
Pytanie 23
W przypadku rozpoznania zespołu podkradania tętnicy podobojczykowej stwierdza się:
1) objawy niewydolności kręgowo-podstawnej mózgu;
2) odwrócenie przepływu krwi w tętnicy kręgowej po stronie zwężonej lub niedrożnej tętnicy podobojczykowej;
3) odwrócenie przepływu krwi w tętnicy kręgowej po stronie przeciwnej w stosunku do zwężonej lub niedrożnej tętnicy podobojczykowej;
4) objawy niedokrwienia splotu barkowego;
5) odwrócenie przepływu w tętnicy podstawnej mózgu.
Prawidłowa odpowiedź to:
Pytanie 24
Obecnie jedną z zalecanych metod w pierwotnej profilaktyce zakrzepicy żył głębokich jest podawanie drobnocząsteczkowej heparyny. Wskaż, który z wymienionych poniżej parametrów należy kontrolować podczas stosowania tego rodzaju heparyny:
Pytanie 25
Wskaż w oparciu o konsensus TASC II, kiedy leczenie wewnątrznaczyniowe jest postępowaniem z wyboru lub powinno być preferowane w przypadku stwierdzenia zmian miażdżycowych w odcinku aortalno-biodrowym:
Pytanie 26
W ostatnich latach implantacja protezy wewnątrznaczyniowej tzw. stent-graftu stała się uznaną metodą leczenia tętniaków aorty brzusznej. Wskaż, które z wymienionych poniżej powikłań występuje statystycznie najczęściej po tego rodzaju operacji:
Pytanie 27
U 75-letniego chorego po upływie sześciu miesięcy od leczenia tętniaka aorty brzusznej za pomocą stentgraftu stwierdzono w kontrolnej spiralnej tomografii komputerowej przeciek krwi zlokalizowany na wysokości szyi tętniaka. Wskaż, która z wymienionych poniżej metod może być skutecznym sposobem postępowania:
Pytanie 28
Wskaż, który z wymienionych poniżej typów przecieku krwi uważany jest za najczęstszą przyczynę występowania pęknięcia tętniaka aorty brzusznej po leczeniu wewnątrznaczyniowym przy użyciu stentgraftu:
Pytanie 29
Na ostry dyżur chirurgiczny zgłosił się 50-letni mężczyzna, u którego wystąpiły objawy ostrego niedokrwienia podudzia i stopy prawej. Wskaż, który z wymienionych poniżej tętniaków najczęściej powoduje zatorowość obwodową w tętnicach goleni:
Pytanie 30
Wybierz, która z wymienionych poniżej przetok tętniczo-żylnych uważana jest za najbardziej optymalny, pierwotny dostęp naczyniowy do przewlekłych hemodializ:
Pytanie 31
Wskaż, która z wymienionych poniżej prób służy do oceny wydolności tętniczego łuku dłoniowego ręki przed planowanym wytworzeniem przetoki tętniczo-żylnej do hemodializ:
Pytanie 32
Wskaż, które z poniższych stwierdzeń pozwala na rozpoznanie przykurczu Volkmana:
Pytanie 33
U 20-letniego mężczyzny w wyniku wypadku komunikacyjnego wystąpiło pourazowe pęknięcie aorty piersiowej. Wskaż najczęściej spotykaną lokalizacje urazu:
Pytanie 34
Wskaż, który z wymienionych poniżej nerwów jest najczęściej odpowiedzialny za wystąpienie objawów zespołu cieśni kanału nadgarstka:
Pytanie 35
U 72-letniego chorego z powodu zespołu Leriche’a przed 12 miesiącami wykonano rozwidlony przeszczep aortalno-dwuudowy z dakronu. Obecnie stwierdza się kliniczne i radiologiczne objawy zakażenia w okolicy zespolenia protezy naczyniowej z aortą brzuszną - który z wymienionych poniżej sposobów leczenia pozwala osiągnąć najlepsze wyniki?
Pytanie 36
Podaj procent występowania choroby Buergera u chorych z chorobami tętnic odwodowych:
Pytanie 37
Standardem w krytycznym zwężeniu tętnicy podobojczykowej jest:
Pytanie 38
Podaj wartości prawidłowe VRT /venous refiling time/ w teście wysiłkowym w badaniu pletyzmograficznym:
Pytanie 39
Do czynników ryzyka rozwoju tętniaka aorty brzusznej nie zaliczamy:
Pytanie 40
Zespół górnego otworu klatki piersiowej można zdiagnozować poniższymi próbami klinicznymi, z wyjątkiem:
1) próby Adsona; 4) objawu Kehra;
2) próby AER; 5) objawu Ballancea.
3) testu obojczykowo-żebrowego;
Prawidłowa odpowiedź to:
Pytanie 41
Chorym z miażdżycowym niedokrwieniem kończyn dolnych zaleca się trening marszowy. Wskazane jest by poprawna terapia obejmowała:
Pytanie 42
Wskazania do zabiegu operacyjnego udrożnienia tętnic szyjnych to wszystkie poniższe, z wyjątkiem:
1) objawowe zwężenie ICA 70% (po udarze, pojedyncze epizody TIA);
2) bezobjawowe zwężenie ICA 60% (niedoczynność tarczycy);
3) bezobjawowe zwężenie ICA 75%;
4) bezobjawowe zwężenie ICA 62% (wiek chorego 81 lat);
5) bezobjawowe zwężenie ICA 70% - wywiad neurologiczny, przed dużymi zabiegami operacyjnymi.
Prawidłowa odpowiedź to:
Pytanie 43
U chorego 60-letniego palacza (1 paczka/dobę), aktywnie pracującego zawodowo bez istotnych dodatkowych czynników ryzyka stwierdza się dystans chromania przestankowego lewej kończyny dolnej 350m. Dolegliwości od 4 lat uprzednio dystans chromania wynosił 450m. Aktualne pogorszenie od 3 miesięcy. W angioTK stwierdza się niedrożność tętnicy udowej wspólnej i głębokiej uda. U chorego:
Pytanie 44
U chorego 75-letniego, niepracującego zawodowo ocenianego jako NYHA III stwierdza się zmiany w zakresie lewej kończyny dolnej pod postacią martwicy palców od I do IV. W bezpośredniej angiografii dotętniczej stwierdza się niedrożność tętnicy udowej powierzchownej na odcinku 6 cm z drożnym dalszym odcinkiem tętnicy udowej oraz tętnic goleni. U chorego należy:
Pytanie 45
U 60-letniego chorego, z dyslipidemią, z chromaniem w obrębie lewej kończyny dolnej spowodowanym przez niedrożność tętnicy biodrowej zewnętrznej i leczonego zachowawczo z powodu braku zgody chorego na leczenie interwencyjne, następująca kombinacja leków jest najbardziej odpowiednia:
Pytanie 46
W przypadku wykrycia obecności bezobjawowego tętniaka tętnicy podkolanowej w terapii należy:
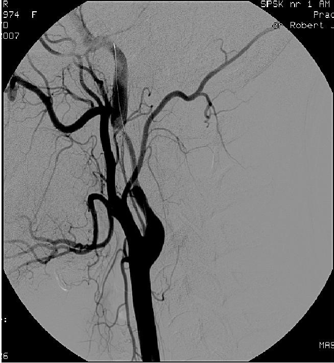
Pytanie 47
Na przedstawionej angiografii widoczne jest pourazowe objawowe zwężenie (krwiak śródścienny w obrębie tętnicy szyjnej wewnętrznej) u 55-letniej chorej. Najbardziej odpowiednią metodą leczenia jest:

Pytanie 48
Amputacja kończyny dolnej sposobem Boyda polega na:
Pytanie 49
W którym typie tętniaka piersiowo-brzusznego wg klasyfikacji Crawforda nie są zajęte tętnice nerkowe?
Pytanie 50
Zespół rozwarstwienia aorty typu B polega na:
Pytanie 51
Jednym z powikłań po operacjach aorty brzusznej tętnic biodrowych jest niedokrwienne uszkodzenie rdzenia kręgowego z paraplegią. Częstość występowania tego powikłania to:
Pytanie 52
Zespół górnego otworu klatki piersiowej (TOS) - tzw. zespół Naffzinger’a to zespół:
Pytanie 53
Przeciwwskazaniem do terapeutycznej angiogenezy jest:
Pytanie 54
Zespół antyfosfolipidowy będący przyczyną zakrzepicy naczyń krwionośnych to:
Pytanie 55
Podczas strippingu żyły odpiszczelowej najczęściej dochodzi do uszkodzenia nerwu:
Pytanie 56
Istotnym zjawiskiem mogącym wystąpić po implantacji stent-graftu z powodu podnerkowego tętniaka aorty brzusznej jest przeciek (endoleak). Typ II tego powikłania należy wiązać z:
1) nieszczelnością przylegania stent-graftu do aorty lub naczyń biodrowych;
2) wstecznym napływem z naczyń lędźwiowych do worka tętniaka;
3) odwróceniem przepływu w tętnicy krezkowej dolnej;
4) rozłączeniem fragmentów stent-graftu;
5) wzrostem przepuszczalności powleczenia stent-graftu.
Prawidłowa odpowiedź to:
Pytanie 57
Przeciwwskazaniem do udrożnienia tętnicy szyjnej wewnętrznej jest:
1) ostra faza zawału mięśnia sercowego;
2) dokonany udar ze świeżym rozległym ogniskiem niedokrwiennym w badaniu KT;
3) niedrożność tętnicy szyjnej wewnętrznej;
4) bezobjawowe zwężenie równe 70% przy współistniejącej niedrożności przeciwległej tętnicy szyjnej wewnętrznej.
Prawidłowa odpowiedź to:
Pytanie 58
W przypadku uszkodzenia tętnicy z masywnym krwotokiem istnieje konieczność rekonstrukcji:
1) początkowego odcinka tętnicy krezkowej górnej;
2) obwodowego odcinka tętnicy krezkowej górnej;
3) tętnicy nerkowej;
4) tętnicy żołądkowej lewej;
5) początkowego odcinka tętnicy śledzionowej;
6) tętnicy wątrobowej wspólnej przy nieuszkodzonej żyle wrotnej;
7) tętnicy podkolanowej.
Prawidłowa odpowiedź to:
Pytanie 59
Jakie postępowanie należy zalecić u kobiety, która zaszła w ciążę podczas stosowania długotrwałej wtórnej profilaktyki przeciwzakrzepowej doustnym antykoagulantem z powodu żylnej choroby zakrzepowo-zatorowej?
Pytanie 60
Przewód piersiowy odprowadza chłonkę z:
Pytanie 61
Leki fibrynolityczne:
Pytanie 62
Chory lat 40, pasażer, przywieziony do szpitala tuż po wypadku komunikacyjnym - zderzenie czołowe pojazdów. Przytomny, skarży się na silny ból klatki piersiowej. Badaniem przedmiotowym: Stan ogólny ciężki, tętno 100/min, RR 130/60 mmHg, ostre niedokrwienie kończyn dolnych, niewyczuwalne tętno na tętnicach kończyn dolnych. Najbardziej prawdopodobne rozpoznanie wstępne:
Pytanie 63
U 25-letniego pacjenta po wypadku samochodowych stwierdzono wstrząs krwotoczny i podejrzenie, w badaniu CT z kontrastem klatki piersiowej, uszkodzenia aorty piersiowej. Najbardziej uzasadnionym postępowaniem z wymienionych u tego pacjenta będzie:
Pytanie 64
Wybierz najbardziej istotne czynniki ryzyka dla rozwoju choroby tętnic obwodowych (PAD):
Pytanie 65
Chory lat 58 po zawale m. sercowego przed rokiem, zgłosił się do poradni chirurgicznej z dolegliwościami bólowymi kończyn dolnych ustępującymi w ciągu dnia, z zaburzeniami równowagi, TIA. Z utrzymującym się od pewnego czasu, niewielkim drętwieniem palców ręki lewej i nieznacznym osłabieniem siły mięśniowej po tej stronie. Chory leczy się na nadciśnienie. Tętno dobrze wyczuwalne na tt. udowych i podkolanowych oraz tętnicach kończyny górnej prawej, Nie wyczuwalne na tt kończyny górnej lewej. Cukrzyca t.2 insulinoniezależna od około 2 lat. Najbardziej prawdopodobne rozpoznanie to:
Pytanie 66
Miarą wyniku leczenia chirurgicznego bloku udowo-podkolanowego jest ocena drożności wykonanego pomostu po 5 latach. Podaj odsetek drożności po 5 latach pomostu udowo-podkolanowego (nadkolanowego) w zależności typu zastosowanego materiału (wartości przybliżone):
Pytanie 67
Lekiem o udowodnionym działaniu klinicznym wpływającym na wydłużenie dystansu chromania przestankowego jest:
Pytanie 68
U 65-letniego chorego, w 6 dniu po operacji pomostowania aortalno-dwuudowego stwierdzono szybko narastający obrzęk kończyny dolnej z równoczesnym spadkiem liczby płytek krwi do < 100.000/mm3.
Pytanie 69
U chorego w wieku 70 lat z nadciśnieniem tętniczym (150/95mmHg) z chromaniem przestankowym < 50m i stężeniem cholesterolu frakcji LDL w surowicy krwi 145 mg/dl oraz rozpoznaną na podstawie badania angio TK niedrożnością tętnicy udowej powierzchownej na dł 11 cm najkorzystniej:
Pytanie 70
Zespół górnego otworu klatki piersiowej należy różnicować z wymienionymi niżej jednostkami chorobowymi, z wyjątkiem:
Pytanie 71
Przyczynami wędrującego zakrzepowego zapalenia żył są:
1) zakrzepowo-zarostowe zapalenie tętnic;
2) choroba nowotworowa;
3) żylaki kończyn dolnych;
4) pierwotna niewydolność żylna kończyn dolnych;
5) kolagenozy.
Prawidłowa odpowiedź to:
Pytanie 72
Ważnym elementem leczenia pacjentów z chromaniem przestankowym, są ćwiczenia fizyczne (najlepiej ujęte w postaci nadzorowanych programów rehabilitacyjnych), które mogą znacznie zwiększyć dystans przejścia do pojawienia się bólu. Według rekomendacji TASC II, intensywne ćwiczenia, aż do pojawienia się bólu, powinny trwać:
Pytanie 73
W chromaniu przestankowym oprócz leczenia rewaskularyzacyjnego i rehabilitacyjnego stosuje się leki objawowe, które mają wydłużać dystans chromania. Wśród nich wyróżniono leki, które mają pewne, udowodnione klinicznie działanie:
Pytanie 74
Hipoteza „pułapki leukocytarnej” zawiera poniższe twierdzenia, z wyjątkiem:
1) teoria pułapki leukocytarnej nie dostarcza teoretycznie możliwego mechanizmu uszkodzenia skóry w chorobach żył;
2) teorię tę można traktować jako odmianę uszkodzenia tkanek w następstwie modelu niedokrwienia i reperfuzji;
3) spychanie leukocytów na boki łącznie z agregacją krwinek czerwonych jest zjawiskiem charakteryzującym stany wolnego przepływu;
4) nadciśnienie żylne sprzyja adhezji krwinek białych do śródbłonka, a kontakt jest uznawany za cechę ostrej reakcji zapalnej;
5) aktywność fibrynolityczna jest zwiększona.
Prawidłowa odpowiedź to:
Pytanie 75
W pachwinie, po angioplastyce tętnic wieńcowych, na wysokości więzadła pachwinowego stwierdza się tętniący guz w miejscu wprowadzenia prowadnicy. Słyszalny szmer nad guzem oraz wyczuwalne tętno na stopie. Rozpoznajemy możliwe powikłania po wykonanej angioplastyce:
1) tętniak rzekomy tętnicy udowej; 4) rozwarstwienie tętnicy udowej;
2) przetoka tętniczo-żylna; 5) krwiak po zabiegu endowaskularnym.
3) zakażenie skóry i tkanki podskórnej;
Prawidłowa odpowiedź to:
Pytanie 76
Głównymi składnikami nacieku zapalnego występującego w tętniaku zapalnym nie są:
Pytanie 77
Heparyna nie hamuje:
Pytanie 78
Do udowodnionych przyczyn wrodzonej trombofilii nie należą:
Pytanie 79
Za najbardziej udokumentowaną pierwotną przyczynę powstawania tętniaka aorty - spośród podanych niżej - obecnie uważa się:
Pytanie 80
Inhibitorem aktywacji płytek nie jest:
Pytanie 81
W rozwoju miażdżycy tętnic kończyn dolnych najczęściej najdłużej pozostaje drożna:
Pytanie 82
Po operacji tętniaka aorty i tętnic biodrowych i wszyciu protezy dostrzeżono, że lewy moczowód jest uszkodzony. Błędnym postępowaniem jest:
Pytanie 83
W pierwszej dobie po wykonaniu przeszczepu żylnego udowo-podkolanowego, w rozpoznaniu ostrego niedokrwienia kończyny najmniejsze znaczenie ma stwierdzenie:
Pytanie 84
Przewlekła niedrożność tętnicy krezkowej górnej może przebiegać pod postacią:
1) bezobjawową; 4) zwężenia niedokrwiennego jelit;
2) bólową; 5) zawału jelita.
3) zaburzeń wchłaniania;
Prawidłowa odpowiedź to:
Pytanie 85
Podśródbłonkowa proliferacja włóknisto-mięśniowa jest główną przyczyną utraty drożności 20-30 % przeszczepów udowo- podkolanowych w okresie do 24 miesięcy po operacji. Do związków pobudzających ten proces zaliczamy:
1) prostacyklinę (PGI2);
2) angiotensynę II (AII);
3) zasadowy czynnik wzrostowy fibroblastów (bFGF);
4) siarczan heparanu;
5) tlenek azotu (NO);
6) płytkowopochodny czynnik wzrostu typ A (PDGF-A);
7) peptydy natriuretyczne;
8) transformujący czynnik wzrostu b (TGFβ).
Prawidłowa odpowiedź to:
Pytanie 86
Chory po implantacji stentu do tętnicy biodrowej wspólnej - bez wcześniejszych interwencji naczyniowych, leczony w sposób przewlekły kwasem acetylosalicylowym w dawce 325mg/dobę, zgłosił z objawami krwawienia z przewodu pokarmowego. Do możliwych źródeł tego krwawienia zaliczysz poniższe, z wyjątkiem:
1) wrzodu żołądka;
2) wrzodu opuszki XII-cy;
3) krwotocznego zapalenia błony śluzowej żołądka;
4) przetoki protezowo-dwunastniczej;
5) zespołu Mallory-Weiss’a.
Prawidłowa odpowiedź to:
Pytanie 87
Krytyczne niedokrwienie kończyn dolnych spowodowane może być:
1) niedrożnością aorty;
2) niedrożnością tętnicy biodrowej wspólnej;
3) niedrożnością tętnicy biodrowej zewnętrznej;
4) niedrożnością tętnicy powierzchownej uda;
5) niedrożnością tętnicy podkolanowej.
Prawidłowa odpowiedź to:
Pytanie 88
Prawidłowa wartość współczynnika kostka/ramię wg definicji zaproponowanej w konsensusie TASC II, u pacjenta bez miażdżycy i bez cukrzycy to:
Pytanie 89
Wg konsensus TASC II, zalecenie dotyczące zmian typu A oznacza:
Pytanie 90
O niestabilności blaszki miażdżycowej w tętnicy szyjnej wewnętrznej świadczyć może:
1) obecność niehomogennej struktury blaszki w badaniu USG;
2) obecność skrzepliny na powierzchni blaszki lub owrzodzenia;
3) blaszka gładka hyperechogeniczna;
4) rekanalizacja tętnicy szyjnej po zakrzepicy;
5) współistniejący kinking tętnicy szyjnej i blaszki hyperechogennej.
Prawidłowa odpowiedź to:
Pytanie 91
Pod pojęciem „objawowy tętniak aorty brzusznej” rozumiesz:
1) przyrost średnicy tętniaka > 10mm/rok;
2) bolesność palpacyjną tętniaka w czasie badania fizykalnego;
3) ból okolicy lędźwiowej z promieniowaniem do miednicy lub łopatek przy lub bez towarzyszącego wzrostu RR;
4) nudności i wymioty w pozycji kucznej u chorego z tętniakiem aorty brzusznej o średnicy > 65mm;
5) zaparcia z naprzemiennie występującymi biegunkami u chorego z tętniakiem aorty brzusznej o średnicy > 65mm.
Prawidłowa odpowiedź to:
Pytanie 92
Pełnym zespołem Leriche’a określa się niedrożność:
1) dystalnego odcinka aorty brzusznej;
2) lewej tętnicy biodrowej wspólnej oraz biodrowej wewnętrznej prawej;
3) lewej tętnicy biodrowej zewnętrznej;
4) tętnic udowych powierzchownych;
5) tętnic biodrowych wewnętrznych.
Prawidłowa odpowiedź to:
Pytanie 93
Owrzodzenie goleni może być spowodowane:
1) zespołem pozakrzepowym;
2) przewlekłym niedokrwieniem na tle miażdżycy;
3) powikłaniami cukrzycy;
4) chorobą nowotworową skóry;
5) na tle uszkodzenie włókien nerwowych obwodowych tzw. Owrzodzenie neurogenne.
Prawidłowa odpowiedź to:
Pytanie 94
W klasyfikacji CEAP: C-5 oznacza:
Pytanie 95
W jakich sytuacjach klinicznych balotująca skrzeplina w żyle głównej dolnej (VCI) jest bezwzględnym wskazaniem do implantacji czasowego lub stałego filtra do VCI?
1) objawowa zatorowość płucna nawracająca mimo prawidłowego leczenia;
2) przed planowanym dużym zabiegiem chirurgicznym w obrębie jamy brzusznej;
3) przed porodem przez cięcie cesarskie;
4) przed rozpoczęciem lizy lokoregionalnej;
5) u chorych po epizodach zatorowości płucnej u których występują przeciwwskazania do stosowania doustnych antykoagulantów.
Prawidłowa odpowiedź to:
Pytanie 96
Do naprawy pourazowego ubytku tętnicy udowej powierzchownej o długości 5 cm u 25-letniego pacjenta powinieneś użyć:
Pytanie 97
Uraz tętnicy udowej wspólnej u 5 letniego dziecka powinien być zaopatrzony:
Pytanie 98
Zespolenie protezy dakronowej z tętnicą wykonasz przy użyciu szwu ciągłego:
Pytanie 99
Zespół Klippela-Trenaunaya:
1) charakteryzuje się triadą objawów: przerostem kończyny, żylakami i znamionami naczyniowymi;
2) objawy są następstwem przetok tętniczo-żylnych;
3) objawy są następstwem zaburzeń rozwojowych żył;
4) często dochodzi do przerostu prawej komory.
Prawidłowa odpowiedź to:
Pytanie 100
Dostęp operacyjny do tętnicy ramiennej prowadzi się w:
1) w jednej trzeciej górnej długości ramienia w bruździe przyśrodkowej;
2) w dole łokciowym w kształcie litery S;
3) w jednej drugiej długości ramienia w bruździe bocznej;
4) w jednej drugiej długości ramienia w bruździe przyśrodkowej.
Prawidłowa odpowiedź to:
Pytanie 101
Podstawową przyczyną ostrego niedokrwienia jelit jest:
1) nagłe zamknięcie napływu krwi do jelit;
2) hipoperfuzja jelit;
3) zamknięcie odpływu krwi z jelit;
4) ucisk nowotworowy na tętnicę krezkową;
5) miażdżycowe zwężenie tętnicy krezkowej.
Prawidłowa odpowiedź to:
Pytanie 102
Do pierwotnych zaburzeń naczynioruchowych skóry zalicza się:
1) chorobę wibracyjną;
2) sinicę marmurkowatą;
3) zaburzenia naczynioruchowe skóry z nadmiernej potliwości;
4) bolesna czerwienica kończyn.
Prawidłowa odpowiedź to:
Pytanie 103
Choroba Takayashu:
1) dotyczy głównie młodych mężczyzn w Ameryce Północnej i krajach arabskich;
2) dotyczy głównie młodych kobiet z krajów Azji Wschodniej i krajów arabskich;
3) zmiany występują przede wszystkim w łuku aorty i jej gałęziach;
4) objawy pierwotne pojawiają się najczęściej powyżej 40 roku życia.
Prawidłowa odpowiedź to:
Pytanie 104
Wskaż prawdziwe twierdzenia dotyczące olbrzymiokomórkowego zapalenia tętnic:
1) częstymi objawami klinicznymi są bóle głowy, widoczna twarda tętnica skroniowa, chromanie żwaczy i języka;
2) dotyczy osób poniżej 50 roku życia;
3) dotyczy tętnic o średniej i dużej średnicy;
4) podstawą leczenia jest stosowanie glikokortykosteroidów z cyclofosfamidem.
Prawidłowa odpowiedź to:
Pytanie 105
Choroba Mondora jest to:
1) powrózkowe zapalenie zakrzepowe żyły piersiowo-nabrzusznej;
2) zapalenie innej powierzchownej żyły przedniobocznej powierzchni klatki piersiowej;
3) etiologia choroby jest dokładnie poznana;
4) choroba trwa zwykle 3-6 miesięcy.
Prawidłowa odpowiedź to:
Pytanie 106
W przygotowaniu chorego do angioplastyki i stentowania tętnic łuku aorty stosujemy:
Pytanie 107
Przeciwwskazaniem najbardziej istotnym do stentowania zwężenia tętnicy szyjnej jest:
Pytanie 108
Wskazaniem do zabiegu stentowania tętnic trzewnych jest:
1) nawrót zwężenia po wcześniej wykonanej angioplastyce balonowej;
2) Elastic recoil;
3) przewlekła niedrożność tętnicy;
4) rozwarstwienie po PTA - istotne;
5) zwężęnie ostialne.
Prawidłowa odpowiedź to:
Pytanie 109
Najbardziej czułą metodą monitorowania funkcji dostępu naczyniowego do hemodializ jest:
Pytanie 110
Zespół podkradania to termin określający:
1) odwrócenie przepływu w tętnicy kręgowej spowodowane zwężeniem tętnicy podobojczykowej po tej samej stronie;
2) niedokrwienie ręki u chorych dializowanych z wykorzystaniem przetoki tętniczo-żylnej wytworzonej na kończynie górnej;
3) czasowe odwrócenie przepływu w tętnicy głębokiej uda u chorych po skutecznej angioplastyce przezskórnej zwężeń tętnicy udowej powierzchownej w jej początkowym odcinku;
4) odwrócenie przepływu w tętnicy piersiowej wewnętrznej spowodowane zwężeniem tętnicy podobojczykowej u chorych po operacyjnym leczeniu choroby wieńcowej;
5) odwrócenie przepływu w tętnicy wątrobowej u chorych po splenektomii.
Prawidłowa odpowiedź to:
Pytanie 111
Zespół podkradania tętnicy podobojczykowej:
Pytanie 112
60-letni mężczyzna z tętniakiem aorty brzusznej o wymiarze 40 mm przed 6 miesiącami, nadciśnieniem tętniczym i reumatoidalnym zapaleniem stawów, leczony od lat sterydami, zgłosił się do oddziału ratunkowego z powodu pogorszenia wydolności fizycznej, bólu, sinicy i obrzęku lewej kończyny dolnej. Od trzech dni nasiliły się bóle kręgosłupa, które pacjent interpretuje, jako zaostrzenie reumatoidalnego zapalenia stawów. Po trzech godzinach pobytu w oddziale ratunkowym wystąpiły objawy wstrząsu krwotocznego. Towarzyszący lekarzowi student zauważył poszerzenie żył na szyi i dynamiczne żylaki kończyn dolnych, które zapadają się i powiększają. Żona pacjenta twierdzi, że zwróciła uwagę na bieliznę pacjenta poplamioną krwią.
1) należy natychmiast rozpocząć resuscytację płynami pod kontrolą ośrodkowego centralnego ciśnienia żylnego i podawanie leków działających inotropowo dodatnio;
2) dla oceny tych zmian najbardziej charakterystyczny jest szmer naczyniowy, możliwy obrzęk płuc;
3) w badaniu Duplex Doppler stwierdza się zmniejszenie przepływu w aorcie i zwiększenie w żyle głównej dolnej;
4) jeśli zmiany trwają przewlekle w wycinkach z nieposzerzonej aorty brzusznej występuje przerost mięśni gładkich w błonie środkowej, wzrost liczby naczyń odżywczych (vasa vasorum) i pogrubienie włókien kolagenowych;
5) przy ustaleniu wskazań do laparotomii i operacji naczyniowej należy szczególnie dokładnie wypreparować obwód żyły głównej dolnej w celu zaklemowania i oceny ściany tylnej.
Prawidłowa odpowiedź to:
Pytanie 113
Rezydent w chirurgii naczyniowej został poproszony o konsultację chorego z oddziału nefrologii w celu wytworzenia przetoki do hemodializy. Chory lat 75, cierpi na nefropatię cukrzycową, aktualny klirens kreatyniny (GFR) wynosi 40 ml/min. Informacje, jakich udzielił lekarzowi prowadzącemu są następujące:
1) jest zbyt wcześnie na wytwarzanie przetoki, należy rozważać przetokę w stadium 4 schyłkowej niewydolności nerek, przy GFR < 20-25 ml/ min.;
2) współcześnie zaleca się wytworzenie przetoki z naczyń własnych na około 6 miesięcy, natomiast z użyciem protezy na 3-6 tygodni przed planowaną hemodializą;
3) warunkiem wytworzenia przetoki jest minimalna średnica tętnicy wynosząca 4 mm;
4) jeśli konieczne będzie wytworzenie przetoki na udzie należy skonfigurować zespolenie o długości powyżej 6 mm w celu zapewnienia prawidłowego przepływu;
5) wytwarzając przetokę należy podwiązać wszystkie bocznice żylne, żeby ograniczyć zjawisko podkradania i zwiększyć szanse na zahartowanie przetoki.
Prawidłowa odpowiedź to:
Pytanie 114
25-letnia kobieta bardzo szczupła i wysoka została skierowana do chirurga naczyniowego z prośbą o kwalifikację do operacji żylaków kończyny dolnej lewej i żylaków sromu. Chora od wielu lat jest pacjentką ginekologa z powodu nieregularnych menstruacji i dyspareuni. W badaniach okresowych wykryto krwiomocz, bez białkomoczu. Badaniem duplex doppler stwierdzono żylaki miednicy mniejszej i niewydolną żyłę odpiszczelową. Chirurg naczyniowy zlecił wykonanie flebografii, w której rozpoznano niewydolną żyłę jajnikową lewą z bardzo silnie rozwiniętymi żylakami przymacicza.
1) należy poszerzyć diagnostykę o tomografię komputerową z kontrastem;
2) choroba jest rodzajem zespołu usidlenia i określana jest powszechnie tytułem znanego baletu romantycznego;
3) wariant anatomiczny w postaci poza aortalnego położenia lewej żyły nerkowej wyklucza możliwość powstania tego zespołu;
4) poza zmianami dynamicznymi, zespół charakteryzuje się występowaniem białkomoczu ortostatycznego;
5) najlepsze wyniki w leczeniu tego zespołu daje angioplastyka bez stentu i podwiązanie żyły jajnikowej.
Prawidłowa odpowiedź to:
Pytanie 115
70-letni mężczyzna doznał udaru przed dwoma dniami. Rozpoznano udar niedokrwienny na skutek zakrzepu z zamknięciem tętnicy szyjnej wewnętrznej. Rodzina nalega na operację udrożnienia tętnicy. Konsultujący chirurg naczyniowy powinien:
1) poinformować rodzinę, że operacja jest absolutnie przeciwwskazana z uwagi na rozległość zakrzepu;
2) ocenić stan świadomości pacjenta, wykonać tomografię komputerową głowy i ustalić, czy czas od wystąpienia udaru nie przekroczył trzech dni;
3) najważniejszym parametrem dla podjęcia decyzji o ewentualnej operacji będzie rezonans mózgu z identycznym ogniskiem niedokrwiennym zarówno w fazie perfuzji i jaki i dyfuzji;
4) uzasadnienie dla ewentualnej operacji we wczesnym udarze z niedrożnością tętnicy szyjnej wewnętrznej jest objętość ogniska udarowego przekraczająca 1/3 zaopatrywania tętnicy mózgu środkowej;
5) operację można rozważać, jeżeli poza ostrą niedrożnością tętnicy szyjnej wewnętrznej, niewidoczny jest syfon i tętnica mózgu środkowa.
Prawidłowa odpowiedź to:
Pytanie 116
Wnioski z szeroko komentowanych badań klinicznych: EVAR 1, EVAR 2, DREAM, OVER, ACE, dotyczących wewnątrznaczyniowego leczenia bezobjawowych tętniaków aorty brzusznej są następujące:
1) operacja wewnątrznaczyniowa nie poprawia przeżycia u chorych z bezobjawowym tętniakiem aorty brzusznej o wymiarze < 55mm;
2) operacja wewnątrznaczyniowa związana jest z mniejszą śmiertelnością okołooperacyjną niż operacja klasyczna;
3) implantacja stentgraftu do tętniaka aorty brzusznej daje podobne wyniki w kategorii, jakości życia i ogólnej chorobowości jak operacja klasyczna;
4) operacja wewnątrznaczyniowa nie poprawia przeżycia u pacjentów, którzy mają przeciwwskazania internistyczne do operacji klasycznej;
5) operacje wewnątrznaczyniowe związane są ze znacznie większą ilością zabiegów wtórnych niż operacje klasyczne.
Prawidłowa odpowiedź to:
Pytanie 117
Wskazaniami do leczenia operacyjnego lub wewnątrznaczyniowego zwężeń tętnic nerkowych i niewydolności nerek są:
1) udokumentowane w angiografii zwężenie > 50% tętnicy nerkowej i gradient ciśnień wywołane przez zwężenie 10% w stosunku do ciśnienia systemowego;
2) zła funkcja obu nerek lub dializoterapia;
3) zmniejszenie wymiaru nerki w wymiarze podłużnym poniżej 65mm;
4) epizody ciężkiego obrzęku płuc (tzw. flush edema) u pacjentów z nadciśnieniem nerkopochodnym i/lub mocznicy, chorobą wieńcową i obustronnym zwężeniem tętnic nerkowych;
5) niestabilna dławica piersiowa i zwężeniem tętnicy nerkowej.
Prawidłowa odpowiedź to:
Pytanie 118
50-letni mężczyzna z zespołem Leriche’a krótkim dystansem i martwicą opuszek palców stopy (zespół sinego palucha) został zakwalifikowany do operacji klasycznej. W badaniu angioTK stwierdzono typ I zespołu, w badaniu ultrasonograficznym słabo uwapnione blaszki. Pacjent cierpi na nawracające zakażenia dróg moczowych z powodu nieleczonej wady refluksowej. Pracuje fizycznie, jest żonaty i ma 2 małych dzieci.
1) pacjent jest dobrym kandydatem do operacji endarterektomii dystalnego odcinka aorty i tętnic biodrowych;
2) pacjent powinien mieć wykonany przeszczep rozwidlony z zespoleniem proksymalnym z wyboru koniec do boku;
3) lekarz zakładowy, który badał pacjenta ze zdumieniem stwierdził, że wyczuwa tętno na tętnicach stopy, a zmierzony wskaźnik kostka-ramię wynosił 0.89;
4) materiałem z wyboru dla przeszczepu sztucznego u tego pacjenta jest poliester (dacron). A ze względu na obwodowe zmiany wskazane jest wykonanie sympatektomii lędźwiowej;
5) materiałem z wyboru dla przeszczepu sztucznego u tego pacjenta jest PTFE, jednak zespolenie proksymalne należy wykonać koniec do końca ze względu na lepszą hemodynamikę i młody wiek chorego.
Prawidłowa odpowiedź to:
Pytanie 119
Podaj sposoby pomiaru refluksu żylnego:
1) flebografia wstępująca; 4) DSA;
2) flebografia zstępująca; 5) rezonans magnetyczny.
3) ultrasonografia;
Prawidłowa odpowiedź to:
Pytanie 120



