Wyszukaj egzamin lub pytanie
Egzamin PES Chirurgia klatki piersiowej / jesień 2014
120 pytań
Pytanie 1
Które wskazanie do tracheostomii jest fałszywe?
Pytanie 2
Które zdanie o anatomii przewodu piersiowego jest nieprawdziwe?
Pytanie 3
„Catamenial pneumothorax” oznacza odmę opłucnową wywołaną przez:
Pytanie 4
62-letnia chora w pierwszej dobie po wycięciu górnego płata płuca prawego z powodu raka płaskonabłonkowego skarży się na bóle w prawej połowie klatki piersiowej, radiogram wykazuje zacienienie w polu górnym prawym mimo skutecznego drenażu opłucnej. Bronchoskopowo stwierdza się niewielką ilość wydzieliny oskrzelowej, oskrzele płata środkowego jest znacznie zwężone w kształcie „rybiego pyszczka”. Prawdopodobną przyczyną i postępowaniem z wyboru jest:
Pytanie 5
W niedrobnokomórkowym raku płuca, o ile nie ma przeciwwskazań natury technicznej lub wynikających ze znacznego zaawansowania choroby bądź ograniczeń wentylacyjnych chorego, zabiegiem z wyboru jest:
Pytanie 6
Ropień płuca:
Pytanie 7
Bronchoskopia sztywna ma następującą przewagę nad bronchoskopią fiberoskopową:
Pytanie 8
Powikłaniem biopsji aspiracyjnej cienkoigłowej transtorakalnej i przezoskrzelowej nie jest:
Pytanie 9
Najgroźniejszym powikłaniem odmy otwartej jest:
Pytanie 10
Sekwestracja wewnątrzpłucna charakteryzuje się:
1) zaopatrzeniem tętniczym od tętnicy płucnej;
2) zaopatrzeniem tętniczym od aorty;
3) ujściem żylnym do żyły płucnej;
4) ujściem żylnym do żyły głównej dolnej;
5) odrębną opłucną trzewną.
Prawidłowa odpowiedź to:
Pytanie 11
W czasie nakłucia opłucnej celem odessania płynu najczęstszym powikłaniem jest odma opłucnowa. Aby jej uniknąć, chory podczas zabiegu:
1) nie powinien kaszleć;
2) powinien kaszleć;
3) powinien oddychać głęboko;
4) powinien oddychać płytko;
5) powinien mówić do lekarza.
Prawidłowa odpowiedź to:
Pytanie 12
Zmiany gruźlicze najczęściej usadawiają się w segmentach:
Pytanie 13
Które z technik rtg ułatwiają uwidocznienie odmy opłucnowej?
Pytanie 14
Które postępowanie medyczne w przypadku samoistnej odmy opłucnowej jest nieprawidłowe?
1) odma opłucnowa radiologicznie odwarstwiająca jedno płuco na 2 cm od ściany kl.p.: leczenie spoczynkowe w warunkach domowych;
2) odma opłucnowa radiologicznie odwarstwiająca jedno płuco na 1 cm od ściany kl.p u chorego planowanego do laparotomii z powodu ostrego zapalenia wyrostka robaczkowego: intubacja po drenażu opłucnej;
3) odma opłucnowa radiologicznie odwarstwiająca jedno płuco na 1 cm od ściany klatki piersiowej: leczenie spoczynkiem w warunkach szpitalnych;
4) wideotorakoskopowe talkowanie opłucnej u 23-letniego chorego z pierwszym epizodem odmy samoistnej opłucnowej w życiu;
5) pleurektomia u 30-letniego lotnika z pierwszym epizodem odmy opłucnowej w życiu.
Prawidłowa odpowiedź to:
Pytanie 15
Ile nowych przypadków raka płuca (w przybliżeniu) rejestruje się rocznie w Polsce?
Pytanie 16
Ewentualną przyczyną zapalenia śródpiersia nie może być:
Pytanie 17
Wskazaniem do operacji w przypadku tamponady serca nie jest:
Pytanie 18
Objawem tamponady serca nie jest:
Pytanie 19
Które za zdań dotyczących raka płuca jest fałszywe?
Pytanie 20
Rozedma (odma) śródpiersia nie jest typowym objawem:
Pytanie 21
Chory 50-letni, stoczniowiec, zgłosił się z uporczywie narastającym płynem w lewej jamie opłucnej. Leczony na pulmonologii powtarzanymi punkcjami bez uzyskania definitywnego rozpoznania histopatologicznego. W wywiadzie wada zastawkowa serca, niezakwalifikowana do leczenia operacyjnego. Jakie będzie optymalne postępowanie diagnostyczno-lecznicze?
Pytanie 22
Do oceny stopnia miejscowego zaawansowania grasiczaka wykorzystywana jest klasyfikacja:
Pytanie 23
Naciekanie osierdzia, wielkich naczyń lub płuca świadczy o tym, że grasiczak powinien być stopniowany jako stadium:
Pytanie 24
Chory 24-letni przyjęty z obrazem powiększonych węzłów chłonnych śródpiersia, stanami podgorączkowymi, poza tym bez odchyleń od stanu prawidłowego. W diagnostyce patologii należy przede wszystkim wykorzystać:
1) mediastinoskopię lub biopsję Danielsa;
2) EBUS lub EUS;
3) biopsję transtorakalną cienkoigłową
4) videotorakoskopię;
5) ślepą biopsję przezoskrzelową.
Prawidłowa odpowiedź to:
Pytanie 25
Najpowszechniejszymi ze skal wykorzystywanych do oceny nasilenia objawów miastenii są:
1) skala Masaoki;
2) skala Marino;
3) skala Ossermana i Genkinsa;
4) skala MGFA (Myasthenia Gravis Foundation of America);
5) skala Sugarbakera.
Prawidłowa odpowiedź to:
Pytanie 26
Miastenia w postaci uogólnionej, umiarkowanie ciężkiej, w której występują objawy opuszkowe, jest klasyfikowana jako typ:
Pytanie 27
Leczenie operacyjne miastenii grozi powikłaniami zarówno wczesnymi (niewydolność oddechowa), jak i trwałymi (uszkodzenie nerwu przeponowego lub krtaniowego wstecznego.). Przyjmuje się, że niewydolność oddechowa wymagająca po operacji zastosowania respiratora nie powinna po tymektomii przekraczać:
Pytanie 28
Badania doświadczalne Hermesa Grillo udowodniły, że z dostępu szyjnego można bezpiecznie usunąć następujący odcinek tchawicy:
Pytanie 29
Chory przywieziony w stanie ciężkim, z niskim ciśnieniem krwi, zanemizowany, postrzelony na polowaniu ze sztucera. Rana wlotowa znajduje się pod prawym sutkiem, wylotowa pod kątem prawej łopatki. W rozpoznaniu należy brać pod uwagę uszkodzenie:
Pytanie 30
Podczas resekcji tchawicy dotyczącej okolicy podgłośniowej, wymagającej resekcji chrząstki pierścieniowatej, podstawowym manewrem ochraniającym nerwy krtaniowe wsteczne oprócz generalnej zasady delikatnej, anatomicznej preparatyki tkanek jest:
Pytanie 31
Podstawowym objawem zwężenia tchawicy jest stridor. Przyjmuje się, że duszność spoczynkowa jako objaw zwężenia tchawicy pojawia się, gdy tchawica zwęzi się o:
Pytanie 32
W zwalczaniu bólu spowodowanego m.in. nowotworem złośliwym trzustki torakochirurg może zaoferować procedurę, którą nazywa się:
Pytanie 33
Pierwszą gałęzią prawej tętnicy płucnej jest w prawidłowych warunkach anatomicznych najczęściej pień górny prowadzący krew do następujących segmentów prawego płuca:
Pytanie 34
Odma wentylowa wymaga szybkiej interwencji w celu ratowania życia chorego, gdyż bezpośrednie zagrożenie zgonem jest spowodowane:
1) anemizacją;
2) uciskiem dużych pni żylnych i utrudnionym powrotem krwi do serca;
3) zespołem pustego serca;
4) zaciśnięciem oskrzela głównego po stronie odmy;
5) niedodmą płuca.
Prawidłowa odpowiedź to:
Pytanie 35
Cykl rozwojowy bąblowca wymaga żywicieli pośrednich i żywicieli ostatecznych. Żywicielami ostatecznymi są:
Pytanie 36
Nazwę TEMLA tłumaczymy jako:
Pytanie 37
Parametry prawidłowego LES (Low Esophageal Sphincter) wynoszą:
Pytanie 38
W leczeniu choroby refleksowej przełyku stosuje się m. in. operacje D`Ora, Nissena, Toupeta. Różnią się one między sobą przede wszystkim:
Pytanie 39
Chory z rakiem przełyku na wysokości powyżej rozwidlenia tchawicy, zweryfikowany badaniami KT, PET/CT EUS i endoskopią jako ograniczony do warstwy śluzówki bez zajęcia węzłów chłonnych, bez istotnych schorzeń towarzyszących będzie w pierwszej kolejności kwalifikował się do operacji:
Pytanie 40
Jednym z podstawowych powikłań resekcji przełyku z powodu raka jest nieszczelność zespolenia, często spowodowana martwicą tkanek. Martwica dotyka częściej tkanek:
Pytanie 41
Chory po radykalnej resekcji przełyku sposobem Ivor Lewis, z utrzymanym drenem w prawej jamie opłucnej z powodu drenażu płynu surowiczo - krwistego w ilościach większych niż 500 ml/d. Badanie kontrastowe w 7. dobie pooperacyjnej wykazało szczelność zespolenia. Rozpoczęto żywienie doustne, co spowodowało zmętnienie drenowanego płynu i zwiększenie jego ilości. CRP, leukocytoza bez istotnych odchyleń, chory nie gorączkuje. W pierwszej kolejności należy podejrzewać:
Pytanie 42
Operacja raka przełyku sposobem Orringera charakteryzuje się następującą cechą:
Pytanie 43
W paliatywnym postępowaniu w raku przełyku między innymi mają zastosowanie terapia laserowa i fotodynamiczna (PDT). Po zastosowaniu terapii PDT w stosunku do laseroterapii jest:
Pytanie 44
Podczas szkieletowania żołądka przygotowywanego do roli graftu szczególnie ważne jest zachowanie możliwie najlepszego ukrwienia narządu, dlatego niedopuszczalne jest podwiązanie tętnicy/tętnic:
Pytanie 45
Metodą z wyboru w przypadkach ciał obcych przełyku jest próba endoskopowego usunięcia ciała obcego. W zasadzie jedynym
bezwzględnym przeciwwskazaniem do endoskopii jest/są:
Pytanie 46
Wskaż typ histologiczny raka płuca, któremu najczęściej towarzyszą objawy paranowotworowe:
Pytanie 47
U chorego z niedrobnokomórkowym rakiem płuca w badaniu PET/CT stwierdzono aktywny metabolicznie węzeł śródpiersiowy a mediastinoskopia potwierdziła obecność przerzutu raka w jednym węźle. Stopień zaawansowania określono na IIIA. Właściwym postępowaniem u tego chorego będzie:
Pytanie 48
Które z poniżej wymienionych stanów nie stanowią bezwzględnego przeciwwskazania do transplantacji płuc?
Pytanie 49
Który z następujących objawów nie dyskwalifikuje pacjenta od chirurgicznego leczenia raka płuca?
Pytanie 50
Guz śródpiersia przedniego to najczęściej:
Pytanie 51
U 68-letniej chorej z długoletnim wywiadem gruźliczym leczonej wielokrotnie z powodu grzybniaka kropidlakowego wystąpił kolejny krwotok z drzewa oskrzelowego. Stan ogólny chorej uniemożliwia leczenie chirurgiczne. Właściwe postępowanie powinno polegać na:
Pytanie 52
U 70-letniego chorego w badaniu rtg klatki piersiowej stwierdzono w górnym prawym płacie obwodowo położony guz śr. 3,5 cm. W bronchoskopii nie stwierdzono patologii w drzewie oskrzelowym. Tomografia komputerowa i PET nie wykazały innych zmian w płucach, aktywnych metabolicznie węzłów chłonnych śródpiersia oraz przerzutów odległych. Wykonano biopsję cienkoigłową uzyskując rozpoznanie raka niedrobnokomórkowego. Najwłaściwszym postępowaniem jest:
Pytanie 53
Które z poniższych stwierdzeń jest prawdziwe w stosunku do typowego rakowiaka oskrzela?
Pytanie 54
Która z następujących chorób płuc jest obecnie najczęstszym wskazaniem do transplantacji płuc?
Pytanie 55
U 20-letniego pacjenta po wypadku komunikacyjnym w rtg kl. piersiowej wykonanym w dniu urazu stwierdzono złamanie trzonu mostka z niewielkim przemieszczeniem oraz miernym poszerzeniem cienia śródpiersia. Po 24 godzinach chory został wypisany ze szpitala z zaleceniem kontroli za 7 dni. Po 2 dniach przyjęty ponownie z objawami wstrząsu oligowolemicznego, operowany doraźnie z powodu pęknięcia cieśni aorty. Jaki błąd popełniono przy pierwszej hospitalizacji?
Pytanie 56
W badaniu KT klatki piersiowej stwierdzono guz śr. 8 cm w płacie dolnym płuca prawego oraz powiększone węzły chłonne śródpiersia grupy 4R i 7 śr. 2 cm. Z biopsji przezklatkowej guza uzyskano rozpoznanie raka niedrobnokomórkowego. Jakie postępowanie zalecisz?
Pytanie 57
Rak płuca śr. 2,5 cm naciekający opłucną płucną, z pojedynczym przerzutem do węzła chłonnego grupy 11 po stronie guza w klasyfikacji TNM raka płuca wg UICC z 2009 r. powinien być określony jako stadium:
Pytanie 58
Leczeniem z wyboru synchronicznego niedrobnokomórkowego raka płuca (jedno ognisko w płucu prawym, drugie w lewym) z potwierdzoną mutacją EGFR jest:
Pytanie 59
U chorego z nasilonymi dolegliwościami bólowymi w okolicy barku lewego w badaniu KT kl. piersiowej stwierdzono guz śr. 6 cm zlokalizowany w płacie górnym płuca lewego naciekający przykręgosłupowe odcinki żeber I i II, nie stwierdzono powiększonych węzłów chłonnych w śródpiersiu ani naciekania naczyń podobojczykowych. Z biopsji przezklatkowej guza uzyskano rozpoznanie raka płaskonabłonkowego. Optymalne postępowanie lecznicze to:
Pytanie 60
U chorego po nefrektomii z powodu raka jasnokomórkowego rozpoznano 8 przerzutów w płucu prawym i 6 w lewym (zmiany śr. od 1,5 do 2,5 cm zlokalizowane obwodowo). Nie stwierdzono przerzutów w innych narządach; w badaniu spirometrycznym nie stwierdzono odchyleń od normy. Jakie postępowanie zalecisz?
Pytanie 61
Przeciwwskazaniem do radykalnego leczenia chirurgicznego u chorego z rozpoznanym niedrobnokomórkowym rakiem płuca jest:
1) zespół Hornera;
2) chrypka z potwierdzonym w badaniu laryngologicznym porażeniem lewej struny głosowej;
3) naciekanie dwóch żeber;
4) zespół Pancoasta;
5) zespół żyły głównej górnej;
6) potwierdzony w badaniu EBUS przerzut w jednym z węzłów chłonnych grupy N2.
Prawidłowa odpowiedź to:
Pytanie 62
Przeciwwskazaniem do leczenia chirurgicznego niedrobnokomórkowego raka płuca metodą wideotorakoskopii jest/są:
Pytanie 63
Leczenie operacyjne odmy opłucnowej zalecane jest w przypadku:
1) pierwszego epizodu wtórnej samoistnej odmy opłucnowej;
2) każdej odmy pourazowej;
3) drugiego epizodu pierwotnej samoistnej odmy po tej samej stronie;
4) utrzymującego się przecieku powietrza po 24 godzinach drenażu;
5) pierwszego epizodu odmy samoistnej po stronie prawej u chorego z przebytym wcześniej epizodem odmy samoistnej po stronie lewej.
Prawidłowa odpowiedź to:
Pytanie 64
Najskuteczniejszym sposobem leczenia grzybniaka kropidlakowego płuca u chorego z nawracającym krwiopluciem jest:
Pytanie 65
Pooperacyjną chemioterapię u chorych po leczeniu chirurgicznym niedrobnokomórkowego raka płuca zaleca się:
Pytanie 66
Do czynników rokowniczych u chorych leczonych chirurgicznie z powodu niedrobnokomórkowego raka płuca należą:
1) obecność zatorów z komórek nowotworowych w naczyniach krwionośnych i limfatycznych;
2) naciekanie opłucnej płucnej;
3) zaburzenia zawartości DNA w komórkach raka (aneuploidia);
4) liczba zmienionych przerzutowo węzłów chłonnych;
5) mutacje genów K-ras i p53.
Prawidłowa odpowiedź to:
Pytanie 67
Najlepszym dostępem operacyjnym do 1/3 dolnej tchawicy jest:
Pytanie 68
Grasiczak naciekający torebkę guza i ścianę worka osierdziowego wg klasyfikacji Masaoka powinien zostać zakwalifikowany do stadium:
Pytanie 69
Optymalnym sposobem postępowania u chorego z rozpoznanym inwazyjnym grasiczakiem w stopniu III wg Masaoka (guz nacieka miąższ płuca) jest:
Pytanie 70
Która z poniższych informacji dotyczących pourazowego uszkodzenia aorty w odcinku piersiowym jest nieprawdziwa?
Pytanie 71
Podczas płukania oskrzelowo-pęcherzykowego (BAL) podajemy do oskrzela segmentalnego porcje płynu. Przy takim postępowaniu nie należy przekraczać całkowitej objętości płynu:
Pytanie 72
Jatrogenna odma opłucnej powstała podczas zabiegu przezklatkowej biopsji aspiracyjnej cienkoigłowej może być odmą:
Pytanie 73
Największa śmiertelność pooperacyjna po zabiegach resekcyjnych miąższu płuca w przebiegu raka występuje po:
Pytanie 74
Bezwzględnym wskazaniem do leczenia operacyjnego przetoki chłonnej (chłonkotoku) jest drenaż chłonki:
Pytanie 75
W diagnostyce obrazowej guzów nowotworowych płuca badanie rezonansu magnetycznego (MRI) przewyższa dokładnością badanie tomografii komputerowej (TK) w ocenie:
Pytanie 76
W badaniach obrazowych takich jak tomografia komputerowa (TK) i rezonans magnetyczny (MRI) wielkość węzłów chłonnych śródpiersia może sugerować obecność w nich przerzutów nowotworowych:
Pytanie 77
Wskaż prawdziwe stwierdzenia dotyczące przezklatkowej biopsji aspiracyjnej cienkoigłowej (BAC) guza płuca:
1) najczęstszym powikłaniem biopsji jest odma opłucnej i występuje ona u 34%-45% pacjentów;
2) krwioplucie występuje rzadko w pierwszych kilku minutach po biopsji i ustępuje w większości przypadków samoistnie;
3) czułość biopsji w diagnostyce guzów płuca jest wysoka i wynosi 64%-97%;
4) drugim najczęstszym powikłaniem biopsji jest wszczepienie komórek nowotworowych przez kanał po wkłuciu igły i dotyczy 25%-35% pacjentów.
Prawidłowa odpowiedź to:
Pytanie 78
Sekwestracją płuca nazywa się:
Pytanie 79
Paliatywna radioterapia ma zastosowanie w przypadkach nieresekcyjnego raka płuca przy występowaniu poniższych objawów, z wyjątkiem:
Pytanie 80
Wskazaniami do leczenia chirurgicznego raka drobnokomórkowego płuca są:
1) wycięcie pojedynczej zmiany resztkowej w płucu po radykalnym leczeniu systemowym (chemioterapia);
2) przerzuty raka drobnokomórkowego do drugiego płuca;
3) pojedynczy guz w płucu w stopniu T1N0;
4) wycięcie przerzutowego węzła chłonnego nadobojczykowego.
Prawidłowa odpowiedź to:
Pytanie 81
Najczęściej występującymi późnymi powikłaniami po resekcji mankietowej z plastyką oskrzeli są:
1) krwawienie wewnątrzoskrzelowe;
2) wznowa miejscowa raka;
3) nienowotworowe zwężenie zespolenia;
4) zapalenie płuca;
5) przetoka oskrzelowo-naczyniowa.
Prawidłowa odpowiedź to:
Pytanie 82
Wskaż fałszywe zdanie dotyczące resekcji anatomicznej tkanki płucnej z wykorzystaniem techniki VATS:
Pytanie 83
Powikłaniem po wycięciu węzłów chłonnych śródpiersia podczas zabiegów anatomicznej resekcji miąższu płuca z powodu raka nie jest:
Pytanie 84
Nowotworowy wysięk w jamie opłucnej często występuje w przebiegu nowotworu złośliwego odległego narządu. U kobiet najrzadziej taki wysięk występuje w:
Pytanie 85
Wskazaniami do drenażu jamy opłucnej są:
1) samoistna pierwotna odma opłucnej;
2) całkowita niedodma płuca;
3) wysięk w opłucnej w przebiegu udokumentowanej marskości wątroby;
4) ropniak opłucnej;
5) otwarta odma opłucnej.
Prawidłowa odpowiedź to:
Pytanie 86
Wskazaniem do leczniczej wideotorakoskopii nie jest:
Pytanie 87
Tradycyjny podział anatomiczny śródpiersia na cztery przedziały nie obejmuje śródpiersia:
Pytanie 88
Do badań kwalifikujących do leczenia operacyjnego guza Pancoasta zaliczamy następujące metody, z wyjątkiem:
Pytanie 89
Do przeciwwskazań leczenia chirurgicznego guza Pancoasta zalicza się następujące cechy, z wyjątkiem:
Pytanie 90
Przyczyną pozytywnego wyniku badania PET CT w obrębie klatki piersiowej mogą być następujące jednostki chorobowe, z wyjątkiem:
Pytanie 91
Leczeniem z wyboru przetoki tchawiczo-przełykowej w przebiegu raka przełyku jest:
Pytanie 92
Leczenie „catamenial pneumothorax” obejmuje wszystkie niżej wymienione metody, z wyjątkiem:
Pytanie 93
Do leczenia operacyjnego chłonkotoku nie zalicza się:
Pytanie 94
Do czynników ryzyka wystąpienia przetoki w kikucie po pneumonektomii nie zalicza się:
Pytanie 95
Za pomocą EUS można zlokalizować i wykonać biopsję następujących grup węzłów:
Pytanie 96
Do metod leczenia odoskrzelowego raka płuca in situ u chorych z przeciwwskazaniem do leczenia operacyjnego nie zalicza się:
Pytanie 97
Do diagnostyki endoskopowej odoskrzelowego raka płuca in situ metodą z wyboru jest:
Pytanie 98
Do powikłań znieczulenia zewnątrzoponowego po torakotomii nie zalicza się:
Pytanie 99
Do wskazań resekcji odcinkowej tchawicy zalicza się:
1) przetokę tchawiczo-przełykową;
2) odcinkową malację tchawicy;
3) odcinkowe łagodne zwężenie tchawicy;
4) przetokę między tchawicą a pniem ramienno-głowowym;
5) łagodny guz tchawicy;
6) wielopoziomowe zwężenia obejmujące co najmniej połowę długości tchawicy.
Prawidłowa odpowiedź to:
Pytanie 100
Do późnych komplikacji po przeprowadzonej tracheostomii nie zalicza się:
1) zwężenia tchawicy;
2) zwężenia przełyku;
3) przetoki tchawiczo-przełykowej;
4) przetoki między tchawicą a pniem ramienno-głowowym;
5) przełyku Barretta;
6) zespołu Boerhaave.
Prawidłowa odpowiedź to:
Pytanie 101
Do późnych powikłań po implantacji stentu tchawiczego nie zalicza się:
Pytanie 102
Które ze stwierdzeń dotyczących stopniowania niedrobnokomórkowego raka płuca są poprawne?
1) stopień IIIA wiąże się zawsze z występowaniem cechy N2;
2) obecność przerzutu do węzła chłonnego szyjnego po stronie lewej u chorego na raka lewego płuca oznacza cechę N3;
3) płyn w jamie opłucnej z obecnością licznych komórek raka oznacza cechę M1b;
4) występowanie raka górnego płata prawego płuca oraz ognisk przerzutowych w prawym płucu oznacza cechę M1a;
5) naciekanie ściany klatki piersiowej, worka osierdziowego i rozwidlenia tchawicy określone są tą samą cechą T.
Prawidłowa odpowiedź to:
Pytanie 103
Które ze stwierdzeń dotyczących tzw. małoinwazyjnej operacji Nussa stosowanej w leczeniu operacyjnym lejkowatej klatki piersiowej jest prawdziwe?
1) chrząstki żebrowe w części przymostkowej resekowane są torakoskopowo;
2) w metodzie tej do odkształcenia ściany klatki piersiowej stosowana jest zawsze jedna płyta metalowa;
3) najczęstszym późnym powikłaniem pooperacyjnym jest przemieszczenie płyty;
4) w większości chorzy nie wymagają leków przeciwbólowych od 2. doby po zabiegu;
5) bardzo dobry i dobry efekt kosmetyczny po zabiegu dotyczy ponad 90% operowanych.
Prawidłowa odpowiedź to:
Pytanie 104
W chorego w drugiej dobie po wycięciu dolnego płata lewego płuca z powodu raka występuje chłonkotok opłucnowy 1100 ml/dobę. Który z elementów postępowania należy uznać za prawidłowy?
1) całkowite odżywianie dożylne przez 5-7 dni;
2) adekwatny drenaż lewej opłucnej i dążenie do rozprężenia pozostałego miąższu lewego płuca;
3) podanie preparatów somatostatyny;
4) pilna retorakotomia i podwiązanie przewodu piersiowego;
5) retorakotomia w przypadku chłonkotoku powyżej 1000 ml/dobę po przywróceniu odżywiania po 5-7 dniach.
Prawidłowa odpowiedź to:
Pytanie 105
U chorej, lat 55, u której przed rokiem wykonano pneumonektomię lewostronną z powodu mięsaka, stwierdzono obecnie guz średnicy 8 cm naciekający żebra 6, 7 i 8 w okolicy przykręgosłupowej po stronie lewej. Wartości spirometrii: VC 55%, FEV1 54%, PEF: 60%, MVV 55%. BAC guza potwierdziła utkanie mięsaka. Brak innych ognisk nowotworowych w badaniu PET. Za najwłaściwsze postępowanie należy uznać:
Pytanie 106
Chory, lat 62 z prawidłową wydolnością. Rak płaskonabłonkowy płata dolnego prawego płuca (BAC przezskórna). PET: aktywny metabolicznie guz płuca i węzeł nr 4R. EBUS-TBNA: przerzut raka do węzła nr 4R. Za najwłaściwsze należy uznać:
Pytanie 107
Chora, 55 lat po prawostronnej pneumonektomii z powodu marskości płuca w przebiegu gruźlicy. Przed operacją FEV1 1,2l. Podczas operacji wykonano rozległą limfadenektomię śródpiersia (powiększone węzły chłonne), po operacji chora wymagała mechanicznej wentylacji przez 2 doby. Który z czynników nie jest istotny dla wystąpienia przetoki oskrzelowo-opłucnowej?
Pytanie 108
W następstwie stłuczenia płuc, zachłystowego zapalenia płuc, wdychania substancji toksycznych może rozwinąć się ARDS. Jest to stan kliniczny wymagający pilnego i właściwego leczenia, w którym są spełnione określone kryteria. Które z nich uważasz za prawdziwe?
1) obecność ostrej niewydolności oddechowej wymagającej mechanicznej wentylacji;
2) występowanie zmian naciekowych w obu płucach na zdjęciu rtg klatki piersiowej;
3) ciśnienie zaklinowania w tętnicy płucnej > 18 mmHg;
4) podatność płuc > 50 ml/cm H2O;
5) cechy kliniczne posocznicy.
Prawidłowa odpowiedź to:
Pytanie 109
W czasie konsultacji chorej leczonej z powodu raka piersi w klinice onkologicznej stwierdza się duszność, przyspieszony oddech, niepokój chorej, poszerzenie żył szyjnych, czynność serca 130/min., głuche tony serca, RR 80/60 mmHg. W rtg klatki piersiowej poszerzenie sylwetki serca, płyn w lewym kącie przeponowo-żebrowym. Za właściwe postępowanie uznać należy:
Pytanie 110
Dokładne zamknięcie kikuta oskrzela po resekcji miąższu płuca jest bardzo ważnym etapem operacji. Wskaż sytuacje, które szczególnie predysponują do powstania nieszczelności kikuta oskrzela:
1) konieczność wewnątrzosierdziowego zaopatrywania naczyń;
2) wykonanie systemowego wycięcia węzłów chłonnych śródpiersia;
3) stosowanie neoadjuwantowej chemioterapii;
4) podkłuwanie tętnicy oskrzelowej przy podstawie kikuta;
5) wykorzystanie szwu mechanicznego do zamknięcia oskrzela.
Prawidłowa odpowiedź to:
Pytanie 111
Robotnik, lat 40, spadł z rusztowania i uderzył prawym bokiem o belkę. Zgłasza duszność, jest niespokojny. W trakcie badania stwierdza się u chorego podczas oddychania paradoksalny ruch fragmentu ściany klatki piersiowej wielkości ok. 20 cm x 15 cm. Jaki czynnik ma najmniejszy wpływ na hipoksemię u pacjenta?
Pytanie 112
Które z metod zwalczania bólu w przypadku złamania urazowego żeber 5, 6 i 7 w linii pachowej środkowej po stronie lewej uznaje się za prawidłowe?
1) blokada nerwów międzyżebrowych;
2) znieczulenie zewnątrzoponowe;
3) znieczulenie doopłucnowe;
4) założenie opasek elastycznych wokół tułowia na wysokości złamania;
5) założenie plastrów obejmujących miejsce złamania (jednostronnie od kręgosłupa do mostka).
Prawidłowa odpowiedź to:
Pytanie 113
Rozedma śródpiersia jest stanem wymagającym wzmożonego nadzoru torakochirurgicznego oraz najczęściej pilnej diagnostyki i leczenia. Który stan nie jest związany z tzw. pierwotną samoistną rozedmą śródpiersia?

Pytanie 114
Które elementy postępowania leczniczego są ważne w przypadku stłuczenia płuca (płuc)?
1) tlenoterapia;
2) wczesna tracheostomia;
3) stosowanie wentylacji selektywnej (niestłuczonego płuca);
4) częsta bronchofiberoaspiracja;
5) intensywna podaż płynów dożylnie.
Prawidłowa odpowiedź to:
Pytanie 115
Chory, lat 30, spadł z wysokości uderzając lewym bokiem o konstrukcję rusztowania. Bladość skóry. Umiarkowana duszność. Czynność serca 120/min. RR 90/70 mmHg. Otwarte złamanie podudzia prawego - stopa prawa chłodna, bez tętna. Usg brzucha: płyn (około 1000 ml) wokół śledziony. Rtg klatki piersiowej: niewielka odma płaszczowa lewej jamy opłucnej. Optymalna jest następująca kolejność zaopatrywania obrażeń:
Pytanie 116
Chory, lat 58, w dobrym stanie ogólnym diagnozowany z powodu guza 4 cm srednicy położonego obwodowo w dolnym płacie lewego płuca, na wysokości łopatki. W PET-KT jest to jedyna zmiana hipermetaboliczna. BAC wykonywana 3 razy - bez potwierdzenia nowotworu. Bronchoskopia - zmiana pozaoskrzelowa. W trakcie operacji ustalono rozpoznanie z wycinka guza (naciek na opłucną płucną): rak drobnokomórkowy. Wskaż właściwe postępowanie:
Pytanie 117
Pilna konsultacja torakochirurgiczna w OIOM. Kilkanaście minut po rozintubowaniu chorego, lat 80, (hemikolektomia prawa z powodu raka jelita grubego) anestezjolog zauważył narastanie rozedmy podskórnej (zdjęcie poniżej). Wykonałeś rtg klatki piersiowej: nie ma cech odmy opłucnej. Wykonałeś bronchoskopię: podłużne, długości 4 cm pełnościenne uszkodzenie części błoniastej tchawicy. W trakcie dalszej obserwacji rozedma narasta podczas kaszlu. Co należy zrobić?

Pytanie 118
Które ze stwierdzeń dotyczących pojedynczego guzka płuca są prawdziwe?
1) symetryczne rozmieszczenie zwapnień w guzku przemawia za łagodnym charakterem guzka;
2) wiek poniżej 30 lat, palenie tytoniu i nowotwór złośliwy w wywiadzie przemawiają za złośliwym charakterem guzka;
3) materiał do badania mikroskopowego można pobrać z guzka położonego obwodowo w miąższu płuca wykorzystując bronchoskopię z nawigacją;
4) guzek o charakterze mlecznej szyby (GGO) średnicy = 4 mm nie musi być dalej diagnozowany i obserwowany w TK;
5) w ocenie prawdopodobieństwa nowotworowego charakteru guzka uwzględnia się: wiek, palenie tytoniu, wielkość guzka, kształt brzegu guzka, lokalizację guzka w określonym płacie.
Prawidłowa odpowiedź to:
Pytanie 119
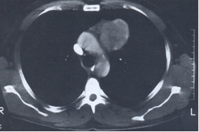
U chorego, lat 33, bez dolegliwości, w dobrym stanie ogólnym wykonano rutynowo rtg klatki piersiowej (przed rozpoczęciem nowej pracy), a następnie KT (obraz poniżej). Jakie jest najbardziej właściwe dalsze postępowanie?

Pytanie 120



