Wyszukaj egzamin lub pytanie
Egzamin PES Chirurgia dziecięca / wiosna 2018
120 pytań
Pytanie 1
Złamanie nadkłykciowe kości ramiennej i brak tętna na tętnicy promieniowej utrzymujący się po repozycji wymaga:
Pytanie 2
Najczęstszym obrażeniem występującym u dzieci po tępym urazie klatki piersiowej jest:
Pytanie 3
O źle rokującej czynności nerek płodu z zastawkami cewki tylnej mogą świadczyć:
1) zwiększona ilość płynu owodniowego;
2) wzmożona echogeniczność nerek;
3) w moczu płodu: Na < 100 mEq/l, Cl < 90 mEq/l, osmolarność < 210 mOsm;
4) zmniejszona ilość płynu owodniowego;
5) w moczu płodu: Na > 100 mEq/l, Cl > 90 mEq/l, osmolarność > 210 mOsm.
Prawidłowa odpowiedź to:
Pytanie 4
Istnieje wiele metod leczenia operacyjnego choroby Hirschsprunga. Opis operacji: prawidłowy odcinek jelita sprowadzany jest w okolicę krocza przez kanał wytworzony między odbytem a kością krzyżową. Tylna ściana odbytnicy i przed- nia ściana sprowadzonego jelita miażdżone są między klemami lub zszywane i przecinane staplerem. Opis ten dotyczy operacji metodą:
Pytanie 5
Badaniem prenatalnym wykonanym w 26. tygodniu ciąży, stwierdzono jednostronne poszerzenie światła miedniczki nerkowej do 15 mm oraz niepra- widłowości w budowie serca. Jakie powinno być dalsze postępowanie?
Pytanie 6
Który z nowotworów złośliwych tarczycy występuje najczęściej u dzieci i młodzieży?
Pytanie 7
Porażenie nerwu strzałkowego powoduje:
Pytanie 8
Leczenie nerczaka u dzieci w przeważającej większości krajów Europy (wliczając Polskę) rozpoczyna się od:
1) usunięcia guza nerki w każdym przypadku;
2) usunięcia guza nerki u dzieci poniżej 6 m-ca życia;
3) chemioterapii przedoperacyjnej u każdego dziecka;
4) chemioterapii przedoperacyjnej u dzieci powyżej 6 m-ca życia.
Prawidłowa odpowiedź to:
Pytanie 9
Zabieg fundoplikacji wg Nissena należy do najczęściej wykonywanej operacji w przypadku choroby refluksowej przełyku u dzieci. Elementami tego zabiegu są:
1) założenie pojedynczych szwów niewchłanianych zwężających rozwór przełykowy;
2) wypreparowanie i wydłużenie odcinka podprzeponowego przełyku;
3) podłużne nacięcie błony mięśniowej przełyku nad wpustem;
4) podwiązanie naczyń żołądkowych krótkich i otoczenie mankietem z uwolnionego dna żołądka całego obwodu podprzeponowej części przełyku;
5) przecięcie więzadła trójkątnego wątroby;
6) podwieszenie dna żołądka do lewej kopuły przepony.
Prawidłowa odpowiedź to:
Pytanie 10
Wnętrostwo (niezstąpione jądra) to stan, w którym u osobników płci męskiej jądro po jednej lub po obu stronach pozostaje poza moszną, w wyniku zatrzymania gonady na drodze jej fizjologicznego zstępowania z jamy brzusznej do moszny w życiu płodowym. W etiopatogenezie tego stanu istotną rolę odgrywają następujące czynniki: 1) pierwotne choroby jądra: zaburzenia genetyczne (obojnactwo prawdzi- we i rzekome, dysgenezja gonad i inne) oraz zaburzenia rozwojowe u płodu (urazy, stany zapalne, przyczyny naczyniowe i inne); 2) niedobory hormonalne (hCG, LH i inne); 3) przyczyny anatomiczne: nieprawidłowa budowa jądra, nieprawidłowa budowa kanału pachwinowego, nieprawidłowy rozwój jądrowodu, obecność przepukliny pachwinowej; 4) zespoły chorobowe i genetyczne (Klinefeltera, Kallmanna, Patau, delecje chromosomów i inne); 5) palenie papierosów i picie alkoholu w czasie ciąży. Prawidłowa odpowiedź to:
Pytanie 11
W badaniu manometrycznym odbytu i odbytnicy za rozpoznaniem choroby Hirschsprunga przemawia:
1) obecność odruchu hamowania zwieracza wewnętrznego odbytu;
2) wysokie ciśnienie spoczynkowe w kanale odbytu;
3) brak odruchu hamowania zwieracza wewnętrznego odbytu;
4) ujemne ciśnienie w odbytnicy.
Prawidłowa odpowiedź to:
Pytanie 12
Zaciśnięcie więzadła wątrobowo-dwunastniczego w czasie resekcji wątroby nazywa się:
Pytanie 13
U 4-miesięcznego niemowlęcia po operacji wrodzonego zarośnięcia przełyku z dolną przetoką przełykowo-tchawiczą w krótkim czasie wystąpiło kilka epizodów zapaleń dróg oddechowych, pojawiło się też krztuszenie i kaszel podczas karmienia. W rozpoznaniu różnicowym należy brać pod uwagę: 1) achalazję przełyku; 2) wsteczny odpływ żołądkowo-przełykowy; tchawiczej; 3) pylorostenozę; 4) nawrót przetoki przełykowo- 5) astmę oskrzelową. Prawidłowa odpowiedź to:
Pytanie 14
O wzmożonym ciśnieniu wewnątrzczaszkowym świadczą:
1) bóle głowy, nudności/wymioty;
2) tachykardia, spadek ciśnienia tętniczego krwi;
3) bradykardia, wzrost ciśnienia tętniczego krwi;
4) zaburzenia stanu świadomości, obrzęk tarczy nerwu wzrokowego;
5) wąskie źrenice, zmiany w płynie mózgowo-rdzeniowym w punkcji lędźwiowej.
Prawidłowa odpowiedź to:
Pytanie 15
Do możliwych pooperacyjnych powikłań ostrego zapalenia wyrostka robaczkowego u dzieci należą:
1) krwawienie do jamy otrzewnowej;
2) ropień podprzeponowy;
3) niedrożność zrostowa przewodu pokarmowego;
4) zakażenie rany;
5) bezpłodność u kobiet.
Prawidłowa odpowiedź to:
Pytanie 16
Pacjent 15-letni w 2. dobie po urazie komunikacyjnym, upadek do przodu przez kierownicę w trakcie jazdy na quadzie, zgłasza dolegliwości bólowe w nad- brzuszu, okolicy lędźwiowej i grzbietu, z wymiotami o intensywności narastającej w czasie do objawów pełnej niedrożności przewodu pokarmowego. W badaniu fizykalnym nie stwierdza się objawów otrzewnowych, a jedynie umiarkowaną bolesność. W badaniach laboratoryjnych stwierdzono umiarkowaną anemizację oraz niewielkie przekroczenie normy stężenia amylazy w surowicy krwi. Za najbardziej prawdopodobną przyczynę dolegliwości należy uznać:
Pytanie 17
Niemowlę operowane z powodu zmian lito-torbielowatych w płacie dolnym płuca. Śródoperacyjnie stwierdzono naczynie tętnicze odchodzące od aorty do płata. Jakie rozpoznanie należy postawić u dziecka?
Pytanie 18
Które powikłania są wskazaniem do chirurgicznego leczenia choroby Leśniowskiego-Crohna w trybie planowym?
1) przetoki jelitowe;
2) perforacje;
3) zwężenie jelita z objawami niecałkowitej niedrożności przewodu pokarmowego;
4) guz zapalny w jamie brzusznej nie ustępujący pomimo leczenia zachowawczego;
5) krwotok z dolnego odcinka przewodu pokarmowego.
Prawidłowa odpowiedź to:
Pytanie 19
Wskazaniem do chirurgicznego leczenia nadczynności przytarczyc jest:
1) podwyższone stężenie wapnia w surowicy krwi;
2) zespół Di Georga;
3) pierwotna nadczynność przytarczyc;
4) obniżony poziom wapnia zjonizowanego w surowicy krwi u pacjentów z przewlekłą niewydolnością nerek;
5) stwierdzenie zespołu MEN 2B.
Prawidłowa odpowiedź to:
Pytanie 20
Triada Shallowa objawów klinicznych torbielowatego poszerzenia przewodu żółciowego wspólnego obejmuje:
Pytanie 21
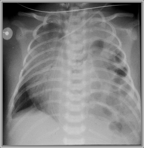
Poniższe zdjęcie rtg klatki piersiowej u noworodka przedstawia obraz typowy dla:

Pytanie 22
U dziecka z pęcherzem neurogennym po operacji przepukliny oponowo-rdzeniowej, u którego stwierdza się arefleksję wypieracza z hiperrefleksją zwieracza, należy zastosować:
Pytanie 23
U noworodka po porodzie stwierdza się cechy uszkodzenia splotu barkowego z ustawieniem kończyny górnej w odwróceniu z maksymalnym zgięciem dłoniowym ręki. Jaki to jest typ uszkodzenia?
Pytanie 24
Wady rozszczepowe podniebienia mogą się odnosić do podniebienia pierwotnego i wtórnego, mogą być całkowite i niecałkowite, jednostronne i obustronne. Punkt odniesienia w tym podziale stanowi:
Pytanie 25
Do guzów występujących u płodu, mogących spowodować wystąpienie nieimmunologicznego obrzęku uogólnionego (hydrops universalis) należą:
1) wrodzona torbielowatość płuc (CALM);
2) dużych rozmiarów naczyniak limfatyczny w okolicy podżuchwowej uciskający na krtań i tchawicę;
3) guz neuroblastoma wychodzący ze śródpiersia tylnego lub przestrzeni pozaotrzewnowej;
4) potworniak krzyżowo-ogonowy dużych rozmiarów;
5) torbiel jajnika o średnicy powyżej 4 cm;
6) obustronne moczowody olbrzymie.
Prawidłowa odpowiedź to:
Pytanie 26
Interwencja zabiegowa w przypadku rozpoznanej prenatalnie torbielowatości płuc lub potworniaka okolicy krzyżowo-ogonowej polega na:
1) założeniu przecieku torbielowo-owodniowego w przypadku znacznych rozmiarów zmiany torbielowatej;
2) wykonaniu kordocentezy - nakłucia naczyń pępowinowych płodu;
3) wymianie płynu owodniowego;
4) w przypadku zagrażającego obrzęku (hydrops universalis) ewentualnej redukcji masy guza;
5) okluzji tchawicy dla wspomożenia rozwoju płuc;
6) żadna interwencja prenatalna nie jest możliwa.
Prawidłowa odpowiedź to:
Pytanie 27
Samoistna odma opłucnowa:
1) powstaje w wyniku urazu kompresyjnego klatki piersiowej;
2) zawsze wymaga założenia drenażu jamy opłucnowej;
3) może być leczona operacyjnie;
4) często ma charakter nawrotowy;
5) występuje u dzieci do 10. roku życia.
Prawidłowa odpowiedź to:
Pytanie 28
W sznurze pępkowym (pępowinie), fizjologicznie w ciągu życia płodowego znajdują się następujące struktury:
Pytanie 29
Wskaż prawdziwe stwierdzenia dotyczące kamicy pęcherzyka żółciowego (KPŻ) u dzieci: 1) wskazaniem do operacji jest objawowa KPŻ; 2) cholecystektomię należy polecać u każdego pacjenta z KPŻ; 3) operowanie wszystkich osób z KPŻ należy uznać za przykład przesadnego leczenia (overtreatment); 4) za operowaniem wszystkich pacjentów z KPŻ przemawia niewielki odsetek powikłań w postaci uszkodzenia dróg żółciowych i zgonu; 5) cholecystektomię zaleca się u dzieci obciążonych np. niedokrwistością sierpowatokrwinkową i KPŻ. Prawidłowa odpowiedź to:
Pytanie 30
Wskazaniem do leczenia operacyjnego klatki piersiowej lejkowatej u dzieci jest:
Pytanie 31
Wskaż prawdziwe stwierdzenie dotyczące spodziectwa:
Pytanie 32
Zapaleniu wyrostka robaczkowego mogą towarzyszyć następujące objawy, z wyjątkiem:
Pytanie 33
Zgodnie z 'regułą 9' Wallace'a oparzenie głowy i całego tułowia obejmuje następujący procent powierzchni ciała:
Pytanie 34
Wskaż prawdziwe stwierdzenia dotyczące pylorostenozy:
1) występuje z częstotliwością 20-30 na 1000 noworodków;
2) częściej występuje u chłopców;
3) częściej występuje u dzieci z dodatnim wywiadem rodzinnym;
4) złotym standardem diagnostycznym jest badanie ultrasonograficzne;
5) leczenie jest operacyjne i polega na wykonaniu pyloroplastyki.
Prawidłowa odpowiedź to:
Pytanie 35
Złuszczenie chrząstki wzrostowej z klinem przynasadowym, wg klasyfikacji Saltera-Harisa to typ:
Pytanie 36
Wskaż fałszywe stwierdzenie dotyczące mięsaka kościotwórczego i mięsaka Ewinga:
Pytanie 37
U noworodka w 2. dobie życia pojawiły się wymioty treścią żółciową. W badaniu przedmiotowym nie stwierdzono odchyleń od stanu prawidłowego. Zdjęcie rtg przeglądowe jamy brzusznej w pozycji pionowej oceniono jako prawidłowe. Jaką przyczynę należy wziąć pod uwagę dla ukierunkowania badań diagnostycznych?
Pytanie 38
Technika operacji spodziectwa według Snodgrassa polega na:
Pytanie 39
Do typowych guzów śródpiersia przedniego nie należą:
Pytanie 40
Powstanie przepuklin pępowinowych jest spowodowane zahamowaniem procesu zamykania powłok w celosomii:
Pytanie 41
Drożny przewód tętniczy (PDA) bez innych wad serca i dużych naczyń, u noworodka ze skrajnie niską masą ciała i niewydolnością oddechową wymagającą oddechu zastępczego z użyciem respiratora, po nieskutecznej próbie zamknięcia farmakologicznego, jest wskazaniem do:
Pytanie 42
Do Izby Przyjęć zgłosili się rodzice z 2-letnim chłopcem z powodu urazu głowy i wymiotów po upadku z łóżka na podłogę ok. godz. wcześniej. Podczas badania na głowie stwierdzono: objaw Battle'a po stronie prawej, liczne zasinienia na kończynach dolnych i tułowiu, prawe przedramię w opatrunku gipsowym (zła- manie trzonów obu kości przedramienia 2 tygodnie temu). Dziecko jest wystraszo- ne, nieufne. Rodzice podają niespójne informacje. W rozpoznaniu różnicowym należy uwzględnić:
Pytanie 43
Okołoporodowe złamanie obojczyka wymaga: 1) unieruchomienia opatrunkiem gipsowym Desaulta na 3 tyg.; 2) unieruchomienia opatrunkiem gipsowym '8' na 3 tyg.; 3) stabilizacji przezskórnej odłamów; 4) jedynie przybandażowania kończyny górnej do tułowia lub umieszczenia jej wewnątrz śpioszka; 5) jedynie miękkiego opatrunku Desaulta. Prawidłowa odpowiedź to:
Pytanie 44
Wrodzone wytrzewienie to zwykle wada izolowana, której jednak zawsze towarzyszy:
Pytanie 45
Które z poniższych stwierdzeń dotyczących wnętrostwa są fałszywe? 1) wnętrostwo towarzyszy zespołowi brzucha śliwkowatego; 2) najczęstszym guzem w jądrach niezstąpionych jest teratoma; 3) wykonanie orchidopeksji zapobiega przemianie nowotworowej jądra; 4) zmiany nowotworowe rozwijają się głównie w wieku dojrzałym; 5) o braku jądra może świadczyć hipertrofia jądra przeciwległego. Prawidłowa odpowiedź to:
Pytanie 46
Tętnica wyrostka robaczkowego jest gałęzią tętnicy:
Pytanie 47
Do elementów triady Currarino należą:
Pytanie 48
Do możliwych sposobów leczenia operacyjnego wrodzonej niedrożności dwunastnicy należą:
1) gastro-jejunostomia;
2) duodeno-jejunostomia;
3) duodeno-duodenostomia;
4) pyloromyotomia;
5) duodenotomia.
Prawidłowa odpowiedź to:
Pytanie 49
Przyczyną zespołu krótkiego jelita może być:
1) martwicze zapalenie jelit;
2) wgłobienie krętniczo-kątnicze jelita;
3) wrodzona atrezja jelita cienkiego;
4) resekcja jelita z powodu zapalenia uchyłka Meckela;
5) gastroschisis.
Prawidłowa odpowiedź to:
Pytanie 50
Do najczęstszych późnych powikłań NEC należą: 1) pozapalne zwężenie jelita; 2) zespół krótkiego jelita; jelit; 3) perforacja przewodu pokarmowego; 4) zespół rzekomej niedrożności 5) nieszczelność zespolenia. Prawidłowa odpowiedź to:
Pytanie 51
Pooperacyjny ból barków po zabiegach laparoskopowych może wynikać z:
Pytanie 52
Torbiel środkowa szyi to:
Pytanie 53
Rozpoznanie przedoperacyjne raka w biopsji aspiracyjnej cienkoigłowej tarczycy nie jest możliwe w przypadku raka:
Pytanie 54
Najczęstszą postacią zarośnięcia przełyku w klasyfikacji według Grossa jest:
Pytanie 55
U dzieci w wieku poniżej 10. roku życia ryzyko zakrzepicy określa się jako wysokie w przypadku:
Pytanie 56
Wskaż prawdziwe stwierdzenie dotyczące sposobu postępowania (zachowawcze czy operacyjne) w przypadku urazu śledziony:
Pytanie 57
W przypadku dysfunkcji cewnika centralnego typu Broviac (brak aspiracji lub zatkanie cewnika) należy:
Pytanie 58
Zalecana długość jelita czczego odprowadzająca żółć, bez wytworzonej zastawki, w rekonstrukcji dróg żółciowych, po usunięciu torbieli dróg żółciowych typu I wg Todaniego, powinna wynosić:
Pytanie 59
U 1,5-letniej dziewczynki, w 5. dobie leczenia rany oparzeniowej - w większości III° ok. 55% TBSA, z której hoduje się Pseudomonas aeruginosa, otrzymującej drogą dożylną szerokowachlarzowe antybiotyki beta-laktamowe, doszło do obfitego krwawienia z górnego odcinka przewodu pokarmowego z wrzodu Curlinga. Zaburzenia ogólnoustrojowe w postaci spadku ciśnienia tętniczego, przyspieszonego oddechu i tętna oraz splątanie mogą sugerować wstrząs:
Pytanie 60
Do postawienia prawidłowego rozpoznania w typowym obrazie klinicznym nerczaka zarodkowego wystarcza badanie:
Pytanie 61
Jaką metodę leczenia należy zaproponować u dziecka 10-letniego w przypadku stwierdzenia złogu wielkości w największym wymiarze 5 mm, tkwiącego w przejściu miedniczkowo-moczowodowym, bez poszerzenia ukm?
Pytanie 62
Wskaż prawdziwe stwierdzenia: 1) podstawowym elementem diagnostyki w izolowanym wodonerczu jest ustalenie udziału nerki w oczyszczaniu; 2) po rutynowej pieloplastyce zawsze należy pozostawić cewnik szynujący przejście miedniczkowo-moczowodowe na okres około 7 dni; 3) jednostronne wodonercze spowodowane przeszkodą przejścia miednicz- kowo-moczowodowego stanowi wskazanie do pilnej operacji; 4) objawy wodonercza u dojrzewających chłopców związane z dolnobiegunowymi naczyniami krzyżującymi mogą być spowodowane zwiększonym przepływem moczu; 5) operacje naprawcze połączenia miedniczkowo-moczowodowego w wodonerczu powinny być wykonywane u dzieci, gdy pomiar w badaniu USG miedniczki nerkowej w projekcji ap przekroczy 20 mm. Prawidłowa odpowiedź to:
Pytanie 63
U małego chłopca, przywiezionego przez rodziców do szpitala z powodu złamania przedramienia, należy podejrzewać 'zespół dziecka malteretowanego', gdy: 1) matka dziecka jest roztrzęsiona i spięta; 2) wywiad od opiekunów jest niespójny i zmienny; 3) rodzice zgłosili się z chłopcem po pomoc z opóźnieniem; 4) widoczne są współistniejące w różnych okolicach tzw. stare obrażenia; 5) ojciec nie potrafi podać przyczyny doznanego urazu, ponieważ był w innym pomieszczeniu. Prawidłowa odpowiedź to:
Pytanie 64
Która z poniższych wad jest przykładem niedrożności czynnościowej przewodu pokarmowego u noworodka?
Pytanie 65
Przeciwwskazaniem do operacji bariatrycznych nie jest:
Pytanie 66
U 17-letniego pacjenta z polipowatością rodzinną jelita grubego, z bólami brzucha nasilającymi się od 2 miesięcy i anemizacją w badaniach laboratoryjnych, w wykonanej kolonoskopii stwierdzono mnogie polipy w całym jelicie grubym oraz rozległe owrzodzenie w okolicy zagięcia śledzionowego. W wycinkach pobranych z owrzodzenia stwierdzono obecność adenocarcinoma, w polipach pobranych z każdej części jelita grubego stwierdzono obecność dysplazji dużego stopnia. Właściwym postępowaniem chirurgicznym jest:
Pytanie 67
Które stwierdzenie dotyczące leczenia chirurgicznego choroby Crohna jest fałszywe?
Pytanie 68
Zespolenie jelitowe można wykonać:
Pytanie 69
Wskazaniem do laparotomii u pacjentów po urazie jamy brzusznej nie jest:
Pytanie 70
Wskazania do pilnej laparotomii u noworodka stanowią: 1) przepuklina przeponowa; 2) perforacja przewodu pokarmowego; 3) atrezja dwunastnicy; 4) wysoka atrezja jelita cienkiego; 5) skręt jelita. Prawidłowa odpowiedź to:
Pytanie 71
Operacja radykalna w chorobie Hirschsprunga, która jest wykonywana tylko od strony jamy brzusznej to operacja metodą:
Pytanie 72
Prawidłowa kolejność odejść naczyń od aorty brzusznej idąc od przepony to:
Pytanie 73
U pacjenta po wypadku samochodowym z urazem wielonarządowym stwierdzono krwiak nadtwardówkowy, odmę opłucnową, aktywne krwawienie z uszkodzonej śledziony oraz złamanie trzonu kości udowej. Prawidłowa kolejność zaopatrywania urazów to:
Pytanie 74
Do najczęściej występujących późnych powikłań leczenia chirurgicznego ostrego zapalenia wyrostka robaczkowego należy:
Pytanie 75
Pacjent przyjęty z dużego stopnia dusznością, oraz przyspieszoną czyn- nością serca. W badaniu klinicznym widoczna jest asymetria klatki piersiowej. Po stronie uwypuklenia stwierdza się wypuk stłumiony oraz osłabiony szmer pęche- rzykowy. Rtg przeglądowy klatki piersiowej wykazuje dużego stopnia zacienienie oraz przemieszczenie śródpiersia na stronę przeciwną. Na podstawie powyższych objawów należy u pacjenta podejrzewać: 1) odmę prężną; 2) krwiak jamy opłucnowej; 3) guz śródpiersia; 4) tętniak aorty piersiowej; 5) wysięk w jamie opłucnowej. Prawidłowa odpowiedź to:
Pytanie 76
W typie IIIb wrodzonej niedrożności jelita cienkiego wg klasyfikacji Grossfelda obraz śródoperacyjny przedstawia się następująco:
Pytanie 77
Dziecko przyjęte po uderzeniu w klatkę piersiową z dużego stopnia dusznością, przyspieszoną czynnością serca. W badaniu klinicznym widoczna jest asymetria klatki piersiowej. Po stronie uwypuklenia stwierdza się wypuk nadmier- nie jawny oraz zniesiony szmer pęcherzykowy. Widoczne są poszerzone żyły szyjne. Stan pacjenta ulega bardzo szybkiemu pogorszeniu. U pacjenta z powyższym obrazem klinicznym w pierwszej kolejności należy wykonać:
Pytanie 78
AFP (α-fetoproteina) jest uznanym markerem w następujących patologiach: 1) hepatocarcinoma; 2) hepatoblastoma; 3) yolk sac tumor; 4) neuroblastoma; 5) carcinoma embrionale. Prawidłowa odpowiedź to:
Pytanie 79
Wskaż prawdziwe stwierdzenia dotyczące guza krzyżowo-guzicznego: 1) guz krzyżowo-guziczny jest patologią dotyczącą wyłącznie okresu noworodkowego; 2) guz krzyżowo-guziczny wywodzi się z pluripotentnych komórek węzła Hensena zarodka; 3) guz krzyżowo-guziczny u noworodka zawiera najczęściej torbielowate elementy łagodnego potworniaka dojrzałego; 4) guz krzyżowo-guziczny może być przyczyną obrzęku płodu; 5) guz krzyżowo-guziczny u noworodka zawiera najczęściej torbielowate elementy potworniaka złośliwego. Prawidłowa odpowiedź to:
Pytanie 80
Najczęściej rozpoznawaną wadą układu moczowego w okresie prenatal- nym jest wodonercze jednostronne. Stwierdzenie u noworodka w 2. dobie życia w badaniu USG jednostronnego poszerzenia miedniczki nerkowej do 8 mm jest wskazaniem do:
Pytanie 81
Zespolenie Drapanasa, które jako jedno z nielicznych stosowane jest w leczeniu nadciśnienia wrotnego u dzieci polega na:
Pytanie 82
Do guzów endokrynnych trzustki należą m.in.: 1) insulinoma; 2) pancreatoblastoma; 3) guz Frantza; 4) glucagonoma; 5) gastrinoma. Prawidłowa odpowiedź to:
Pytanie 83
12-letni chłopiec został zakwalifikowany do badania endoskopowego dolnego odcinka przewodu pokarmowego z powodu nawracających dolegliwości bólowych brzucha, obecności krwistego śluzu w stolcu i objawów anemii. U chłopca dodatkowo występowały zmiany skórne o charakterze hiperpigmentacji. W badaniu kolonoskopowym stwierdzono obecność licznych polipów jelita grubego. W rozpoznaniu należy brać pod uwagę: 1) zespół Turcota; 2) zespół Cronkhite'a-Canady; 3) zespół Gardnera; 4) zespół Peutz-Jeghersa; 5) zespół Lyncha. Prawidłowa odpowiedź to:
Pytanie 84
Do charakterystycznych cech wytrzewienia wrodzonego należą: 1) ubytek zlokalizowany na prawo od sznura pępowinowego; 2) brak worka przepuklinowego; 3) często współistniejące wady genetyczne; 4) obecność poza jamą brzuszną jelita cienkiego, jelita grubego, wątroby; 5) rzadko współistniejące wady jelit; 6) często współistniejące wady jelit. Prawidłowa odpowiedź to:
Pytanie 85
Do najbardziej charakterystycznych cech zespołu VATER, współistniejącego z wrodzoną niedrożnością przełyku należą: 1) wady kręgów; 2) niedrożność odbytu; 3) szczelina twarzy; 4) wady serca; 5) dysplazja nerek; 6) hypoplazja narządów moczowo-płciowych. Prawidłowa odpowiedź to:
Pytanie 86
U noworodka, którego wygląd zewnętrznych narządów płciowych budził wątpliwości co do przynależności płciowej zlecono oznaczenia kariotypu. Dodat- kowo na podstawie wykonanego badania laboratoryjnego stwierdzono podwyż- szony poziom 17-hydroksyprogesteronu (17-0HP ) w surowicy. Najbardziej prawdopodobną przyczyną zaburzenia jest/są:
Pytanie 87
Utrudnienie odpływu krwi z obszaru żyły wrotnej powodujące nadciśnienie wrotne, może znajdować się na różnym poziomie w odniesieniu do wątroby. Do czynników powodujących tzw. blok wewnątrzwątrobowy nie należą: 1) niedrożność dróg żółciowych; 2) zespół Budda-Chiariego; 3) wrodzona jamistość żyły wrotnej; 4) zespół Alagille'a; 5) zakrzepica żyły śledzionowej. Prawidłowa odpowiedź to:
Pytanie 88
Do charakterystycznych cech złamania Malgaigne'a można zaliczyć:
Pytanie 89
W złamaniu młodzieńczym typu Tillaux w obrębie nasady dalszej goleni dochodzi do:
Pytanie 90
Do operacji radykalnych z dostępu brzuszno-kroczowego stosowanych w chorobie Hirschsprunga należą:
Pytanie 91
W syndromalnej postaci wrodzonej niedrożności dróg żółciowych mogą wystąpić następujące wady:
Pytanie 92
W przypadku stwierdzenia dużego guza naczyniowego wątroby u noworodka należy przeprowadzić następujące badania diagnostyczne:
Pytanie 93
W leczeniu farmakologicznym objawowych guzów naczyniowych wątroby w celu wywołania inwolucji guza stosuje się m. in.:
Pytanie 94
Warunkiem kwalifikacji dziecka z guzem wątroby typu hepatoblastoma do przeszczepienia wątroby jest:
Pytanie 95
W zespole Abernethy występuje/ą:
Pytanie 96
W leczeniu malformacji naczyniowych tętniczo-żylnych wątroby stosuje się:
Pytanie 97
W przypadku tępego urazu jamy brzusznej wskazaniem do pilnej laparotomii jest:
Pytanie 98
Zalecanym postępowaniem w przypadku skrętu jajnika jest:
Pytanie 99
Do technik chirurgicznych rehabilitacji krótkiego jelita nie należy:
Pytanie 100
Które ze stwierdzeń dotyczących guzów wątroby są prawdziwe? 1) najczęstszym guzem łagodnym wątroby występującym u dzieci jest gruczolak wątroby; 2) najczęstszym guzem złośliwym wątroby występującym u nastolatków jest wątrobiak zarodkowy; 3) czynnikiem ryzyka rozwoju raka z komórek wątrobowych (hepatocarcinoma) jest zespół Gardnera; 4) stopień zaawansowania i chirurgicznej resekcyjności guza wątroby u dzieci przed podjęciem jakiejkolwiek interwencji terapeutycznej określany jest według systemu RESPECT; 5) niezróżnicowany płodowy mięsak wątroby charakteryzuje się najniższą przeżywalnością spośród nowotworów złośliwych wątroby u dzieci. Prawidłowa odpowiedź to:
Pytanie 101
Najważniejszym elementem postępowania w pierwszych godzinach po ciężkim oparzeniu termicznym jest: 1) zastosowanie skutecznej resuscytacji płynowej wg reguły 3R; 2) podanie szerokospektralnych antybiotyków; 3) wykonanie nacięć odbarczających (przy oparzeniach okrężnych pełnej grubości skóry kończyn i klatki piersiowej); 4) jak najszybsze zastosowanie terapii podciśnieniowej; 5) zapobieganie wystąpieniu blizn. Prawidłowa odpowiedź to:
Pytanie 102
Które z podanych stwierdzeń dotyczących wrodzonej niedrożności dwunastnicy są prawdziwe? 1) 30% pacjentów z wrodzoną niedrożnością dwunastnicy prezentuje zespół Downa; 2) jeśli przyczyną jest żyła wrotna przeddwunastnicza, leczeniem z wyboru jest przecięcie żyły w miejscu ucisku dwunastnicy; 3) wymioty żółciowe są typowym objawem, ponieważ niedrożność jest zwykle poniżej brodawki Vatera; 4) w przypadku niepełnej przegrody rozpoznanie objawów zwykle jest opóźnione; 5) najlepszym sposobem odtworzenia ciągłości przewodu pokarmowego jest omijające zespolenie żołądkowo-czcze. Prawidłowa odpowiedź to:
Pytanie 103
Wskaż prawdziwe stwierdzenia dotyczące choroby Hirschsprunga: 1) charakteryzuje się brakiem komórek zwojowych w splotach Auerbacha i Meissnera; 2) częściej występuje u dzieci z trisomią 21 chromosomu; 3) częściej występuje u noworodków płci żeńskiej; 4) może być przyczyną perforacji jelita w okresie noworodkowym; 5) charakteryzuje się opóźnionym oddaniem smółki. Prawidłowa odpowiedź to:
Pytanie 104
Które ze stwierdzeń dotyczących współczesnych metod leczenia urazów trzustki u dzieci są prawdziwe? 1) stopień i rozległość urazu trzustki ocenia się według skali AAST (American Association for the Surgery of Trauma); 2) pacjenci kwalifikowani są do grup stopnia uszkodzenia trzustki wyłącznie na podstawie badania USG; 3) w trakcie leczenia zachowawczego nie stosuje się odżywiania pozajelitowego; 4) według wskazań AAST urazy trzustki leczy się wyłącznie zachowawczo; 5) powikłania w postaci torbieli trzustki stanowią wskazanie do leczenia operacyjnego w trybie ostrym. Prawidłowa odpowiedź to:
Pytanie 105
Które z poniższych stwierdzeń dotyczących wgłobienia są prawdziwe? 1) najczęściej występuje wgłobienie jelita grubego w jelito grube; 2) leczenie operacyjne stosuje się przy dłuższym niż 36 godzin wywiadzie chorobowym; 3) odgłabianie wlewem soli fizjologicznej wykonuje się pod kontrolą radiologiczną lub usg; 4) wgłobienie może być objawem choroby nowotworowej; 5) wlew kontrastowy jelita grubego jest najlepszą metodą diagnostyczną wykrywającą przyczyny wgłobienia. Prawidłowa odpowiedź to:
Pytanie 106
Dla zespołu suszonej śliwki typowe są: 1) obustronne wnętrostwo wewnątrzbrzuszne; 2) wielowodzie stwierdzane w życiu płodowym; 3) niedorozwój mięśni brzucha; 4) wady układu moczowego pod postacią obustronnych megaureterów i wodonercza; 5) powiększenie pęcherza moczowego, pęcherz przeszkodowy; 6) małowodzie stwierdzane w życiu płodowym. Prawidłowa odpowiedź to:
Pytanie 107
Najczęstszą metodą leczenia operacyjnego wodonercza wrodzonego jest: 1) zabieg Andersona-Hynessa; 2) zabieg Foleya; 3) zabieg polegający na wycięciu przejścia miedniczkowo-moczowodowego i redukcji miedniczki nerkowej oraz wszyciu podłużnie naciętego moczo- wodu do miedniczki w jej najniższym punkcie; 4) zabieg polegający na wycięciu przejścia miedniczkowo-moczowodowego oraz wszyciu podłużnie naciętego moczowodu do miedniczki; 5) zabieg polegający na nacięciu przejścia miedniczkowo-moczowodowego podłużnie oraz zszyciu naciętego moczowodu i miedniczki poprzecznie. Prawidłowa odpowiedź to:
Pytanie 108
'Twarz ptasia' z mikrognacją, makroglossią jest charakterystyczna dla:

Pytanie 109
W zespole Pierre-Robina postępowanie w wieku noworodkowym obejmuje:
Pytanie 110
Wskaż fałszywe stwierdzenie dotyczące wgłobienia jelitowego:
Pytanie 111
Warunkiem koniecznym do wystąpienia powikłania złamania kości sklepienia czaszki pod postacią 'złamania rosnącego' jest:
Pytanie 112
Wskaż fałszywe stwierdzenia dotyczące guzów trzustki u dzieci: 1) mogą współwystępować z zespołem wielogruczolakowatości wewnątrzwydzielniczej typu 1(MEN1); 2) dzielone są na guzy nabłonkowe (gruczolaki, gruczolakoraki, raki) i hormonalnie czynne (np. insulinoma, gastrinoma, glucagonoma, VIPoma); 3) należą do nich guzy neuroendokrynne wydzielające hormony peptydowe, zwane guzami APUD (amine precursor uptake and decarboxylation); 4) należą do heterogennej grupy guzów gruczołów dokrewnych; 5) nie występują w ogóle. Prawidłowa odpowiedź to:
Pytanie 113
Wskaż przetoki jednopętlowe: 1) przetoka końcowa; 2) przetoka Bishopa-Koopa; 3) przetoka Santulliego; 4) przetoka pętlowa; 5) przetoka Mikulicza. Prawidłowa odpowiedź to:
Pytanie 114
Do oceny stopnia nietrzymania stolca służą skale: 1) Glasgow; 2) Kelly'ego; 3) Silvermana; 4) Holschneidera; 5) Zargara. Prawidłowa odpowiedź to:
Pytanie 115
U 5-tygodniowego niemowlęcia płci męskiej wykryto miękki guz w jamie brzusznej bez objawów niedrożności przewodu pokarmowego. Dalsza diagnosty- ka obrazowa uwidoczniła owalną zmianę torbielowatą, położoną w prawym śród- brzuszu, wielkość 5x2 cm, bez kontaktu z przewodem pokarmowym, postawiono rozpoznanie - zdwojenie jelita. Najlepszą metodą leczenia tego dziecka jest:
Pytanie 116
Chłopiec w wieku 5 lat spadł z trampoliny i doznał urazu prawego łokcia. Badaniem przedmiotowym stwierdzono: - obrzęk i bolesność palpacyjną łokcia; - ograniczenie ruchów w stawie łokciowym; - porażenie zginacza nadgarstka łokciowego i części łokciowej zginacza palców głębokiego; - przeprost palca IV i V w stawach śródręczno-paliczkowych; - porażenie krótkich mięśni ręki z wyjątkiem dwóch bocznych mięśni glistowatych i mięśni kłębu kciuka. Obraz kliniczny wskazuje na:
Pytanie 117
Za podstawowe badanie w diagnostyce dziecka z poważnym urazem jamy brzusznej uważane jest:
Pytanie 118
Objawami krwiaka przymózgowego u niemowlęcia mogą być: 1) niedokrwistość; 2) uwypuklenie ciemiączka; 3) objaw zachodzącego słońca; 4) rozejście szwów czaszkowych; 5) zaburzone spojrzenie ku górze. Prawidłowa odpowiedź to:
Pytanie 119
Sączenie z pępka u noworodka, po odpadnięciu pępowiny, może być spowodowane: 1) moczownikiem; 2) ziarniniakiem pępka; 3) zachowaną omocznią; 4) krwawieniem z żyły pępkowej; 5) przetrwałym przewodem żółtkowo-jelitowym. Prawidłowa odpowiedź to:
Pytanie 120



