Wyszukaj egzamin lub pytanie
Egzamin PES Chirurgia dziecięca / jesień 2010
120 pytań
Pytanie 1
Który z nerwów jest najbardziej narażony na uszkodzenie w złamaniu przedstawionym na zdjęciu RTG?

Pytanie 2
9-letni chłopiec ze stanem podgorączkowym, stracił apetyt i na wadze 5kg w ciągu 3 tygodni. Skarży się na ból lewego uda i w pachwinie, szczególnie w nocy. Widoczny znaczny obrzęk okolicznych tkanek miękkich. W RTG stwierdza się obecność guza o nieregularnym utkaniu z ogniskami litycznymi i nieostro ograniczonych konturach wywodzącego się z tkanki kostnej. Guz nacieka tkanki miękkie ze zniszczeniem warstwy korowej kości. Widoczny duży lamelarny odczyn okostnowy. W badaniu histopatologicznym stwierdzono małe okrągłe komórki z pojedynczym hiperchromatycznym okrągłym jądrem. Który z poniżej wymienionych stanów patologicznych odpowiada opisowi przypadku?
Pytanie 3
Optymalnym postępowaniem w obustronnym braku jąder w mosznie u niemowlęcia z kariotypem XY jest:
Pytanie 4
Która z następujących wrodzonych wad ścian brzucha zwykle się zamyka samoistnie w pierwszych latach życia?
Pytanie 5
Wybierz prawidłową nazwę przedstawionej przetoki stosowanej w niedrożności smółkowej przewodu pokarmowego:

Pytanie 6
Po urazie brzucha w badaniu RTG jamy brzusznej powietrze stwierdzone w przestrzeni zaotrzewnowej świadczy o uszkodzeniu ściany:
Pytanie 7
Dysplazja wielotorbielowata nerki u noworodka jest wskazaniem do:
Pytanie 8
Co stanowi przeciwwskazanie do założenia układu zastawkowego zamkniętego w wodogłowiu?
Pytanie 9
Najczęstszą przyczyną obecności krwi w stolcu u dzieci w wieku szkolnym jest:
Pytanie 10
Który z wymienionych nowotworów nie jest charakterystyczny dla wieku dziecięcego?
Pytanie 11
Granice podziału podniebienia na pierwotne i wtórne wyznacza:
Pytanie 12
Niemowlę z wrodzonym przerostem odźwiernika przed zabiegiem operacyjnym zwykle wymaga:
Pytanie 13
W których sytuacjach nie występuje prawidłowy odruch relaksacji zwieracza wewnętrznego?
1) brak autonomicznych zwojów nerwowych w ścianie odbytnicy (aganglionoza);
2) u dziecka po operacji przepukliny oponowo-rdzeniowej w odcinku lędźwiowo-krzyżowym z porażeniem kończyn dolnych;
3) u noworodka z niedojrzałością układu autonomicznego jelita grubego;
4) u każdego wcześniaka urodzonego poniżej 32 tygodnia ciąży;
5) u każdego noworodka z atrezją jelita, bez względu na poziom niedrożności.
Prawidłowa odpowiedź to:
Pytanie 14
Jakie postępowanie uznasz za najlepsze u dziecka 10-letniego, po tępym urazie brzucha (upadek z roweru), z bolesnością uciskową w nadbrzuszu po stronie prawej, z obroną mięśniową w tej okolicy, tętnem ok. 90-110/min., ciśnieniem tętniczym 100/80 mmHg, oraz stwierdzonym pęknięciem miąższu wątroby z krwiakiem wielkości 6 cm w obrębie prawego płata wątroby i niewielką ilością wolnego płynu w jamie otrzewnej w badaniu ultrasonograficznym i tomografii komputerowej?
Pytanie 15
Noworodek z wrodzonym wytrzewieniem został zoperowany z pierwotnym zamknięciem powłok w 3. godzinie po urodzeniu. Dziecko pozostaje na sztucznej wentylacji, odstawiono leki zwiotczające. Po kolejnych 6 godzinach u dziecka pojawiły się następujące objawy: przyspieszenie tętna do 180/min, obrzęki podudzi, anuria pomimo odpowiedniej do masy ciała podaży płynów dożylnych. Wybierz sposób postępowania u tego noworodka:
1) budzenie dziecka, przejście na własny oddech i podanie leków moczopędnych;
2) podanie leków przeciwbólowych, włączenie wlewu dopaminy i podanie mannitolu 0,5 g/kg mc oraz furosemidu;
3) ponowne włączenie leków zwiotczających, włączenie wlewu dożylnego albumin 5%, dopaminy oraz podanie furosemidu iv. W przypadku braku diurezy przez kolejne 2-3 godziny reoperacja noworodka sposobem Schustera (silo);
4) reoperacja noworodka sposobem Schustera (silo), równoległe włączenie wlewu dożylnego albumin 5%, dopaminy oraz podanie furosemidu iv po otwarciu jamy brzusznej;
5) rozległe otwarcie powłoki brzusznej w linii pośrodkowej.
Prawidłowa odpowiedź to:
Pytanie 16
Manewrem Pringle’a jest:
Pytanie 17
Wskazaniem do transplantacji wątroby u dzieci nie jest:
Pytanie 18
Noworodek płci męskiej, urodzony o czasie prezentuje wymioty w 1. dobie życia podbarwione żółcią. Jednocześnie wykazuje on cechy fenotypowe mogące wskazywać na trisomię 21 pary chromosomów. Najbardziej prawdopodobne wstępne rozpoznanie kliniczne to:
Pytanie 19
Na jakie schorzenie wieku dziecięcego wskazuje zespół Sandifera obejmujący zespół objawy neurobehawioralne (odchylanie głowy i szyi)?
Pytanie 20
Pod pojęciem bariery antyrefluksowej kryje się złożony mechanizm zapobiegający cofaniu się treści żołądkowej do przełyku. Które z wymienionych poniżej elementów anatomicznych są elementami tej bariery?
1) więzadło przeponowo-śledzionowe;
2) rozwór przełykowy przepony;
3) rozwór aortalny przepony;
4) śródpiersiowy odcinek przełyku;
5) dolny zwieracz przełyku.
Prawidłowa odpowiedź to:
Pytanie 21
Jest Pan/Pani poproszona o konsultację dziecka 2-letniego, którego ojciec był operowany z powodu raka tarczycy w przebiegu zespołu MEN II B. Dane z wywiadu rodzinnego wskazują, że zarówno dziadek (ojciec ojca) i wujek (brat ojca) obarczeni byli chorobami wchodzącymi w zakres zespołu MEN II B. Zleca Pan/Pani badanie molekularne, które potwierdza mutację protonkogenu ret. Jaka powinna być decyzja odnośnie postępowania u tego dziecka?
Pytanie 22
Do cech urodynamicznych stwierdzanych u dzieci z pęcherzem neurogennym i określanych jako cechy ryzyka uszkodzenia górnych dróg moczowych nie należą:
1) obniżenie lub brak czucia zwieraczy;
2) niska podatność pęcherza;
3) hiperrefleksja wypieracza;
4) dyssynergia wypieracz-zwieracz;
5) „leak point pressure” poniżej 40 cm H2O.
Prawidłowa odpowiedź to:
Pytanie 23
Które z poniższych twierdzeń jest prawdziwe w odniesieniu do noworodka z wrodzoną niedrożnością przełyku?
Pytanie 24
Które z objawów najczęściej towarzyszą torbieli przewodu żółciowego, wspólnego?
1) bóle brzucha; 4) zaparcia;
2) podwyższona temperatura ciała; 5) guz w nadbrzuszu.
3) zażółcenie powłok;
Prawidłowa odpowiedź to:
Pytanie 25
Które z poniższych następstw urazu nie jest wskazaniem do wczesnej torakotomii po urazie klatki piersiowej?
Pytanie 26
Elementami leczenia chirurgicznego złośliwego nowotworu jądra u dzieci są:
1) dostęp pachwinowy;
2) dostęp mosznowy;
3) odcięcie powrózka nasiennego po zaklemowaniu w pierścieniu pachwinowym wewnętrznym;
4) odcięcie powrózka nasiennego po zaklemowaniu w pierścieniu pachwinowym zewnętrznym;
5) radykalne usunięcie jądra.
Prawidłowa odpowiedź to:
Pytanie 27
Znanym, stosunkowo często występującym, ciężkim, niekiedy nawet letalnym powikłaniem choroby Hirschsprunga jest stan zapalny jelita (enterocolitis), który może się pojawić nawet po ostatecznym leczeniu chirurgicznym choroby podstawowej.
U podstaw etiopatogenetycznych tego powikłania leżą:
1) niedokrwienie ściany jelita w wyniku niedrożności;
2) zalegające w świetle jelita masy kałowe;
3) wtargnięcie do ściany jelita drobnoustrojów obecnych w jego świetle;
4) zmiany w strukturze bariery ochronnej śluzu jelitowego (mucyny, wydzielnicza immunoglobulina A);
5) zaburzenia w gospodarce wodno-elektrolitowej;
6) zaburzenia wchłaniania zwrotnego wody w jelicie grubym.
Prawidłowa odpowiedź to:
Pytanie 28
Które z dostępów chirurgicznych nie wymagają przecięcia mięśni?
1) technika Kochera; 4) sternotomia;
2) technika Pfannenstiela; 5) cięcie piersiowo brzuszne.
3) technika Kehra;
Prawidłowa odpowiedź to:
Pytanie 29
Złamanie obojczyka jest najczęściej spotykanym następstwem urazu okołoporodowego. Najbardziej racjonalne postępowanie polega na:
Pytanie 30
Prawdziwe są następujące stwierdzenia dotyczące wrodzonej niedrożności przełyku:
1) zwężenie przełyku jako powikłanie pooperacyjne występuje w 8-10% przypadków;
2) najczęstszymi przyczynami powstania pooperacyjnego zwężenia przełyku są: zespolenie pod napięciem, nieszczelność zespolenia oraz refluks żołądkowo-przełykowy;
3) metodą z wyboru leczenia zwężenia przełyku jest jego wycięcie i ponowne zespolenie;
4) nieszczelność zespolenia przełykowego wymaga w pierwszym rzędzie wytworzenia przetoki ślinowej;
5) nawroty przetok przełykowo-tchawiczych występują w 20-25% przypadków.
Prawidłowa odpowiedź to:
Pytanie 31
W odniesieniu do wnętrostwa prawdziwe są następujące zdania:
1) wnętrostwo należy operować pomiędzy 3 a 6 rokiem życia;
2) wnętrostwo obustronne należy operować pomiędzy 2 a 3 rokiem życia;
3) w myśl najnowszych tendencji wnętrostwo najlepiej operować około 12-18 miesiąca życia, a nawet wcześniej;
4) wnętrostwo zawsze prowadzi do zwiększonego ryzyka zachorowań na nowotwory, nawet po operacyjnym sprowadzeniu jądra do moszny;
5) azoospermia lub oligospermia występują u 5-10% pacjentów z wnętrostwem.
Prawidłowa odpowiedź to:
Pytanie 32
W przypadku wielokomorowego ropniaka opłucnej właściwym postępowaniem jest:
1) antybiotykoterapia;
2) założenie drenażu jamy opłucnowej;
3) doopłucnowe zastosowanie środków fibrynolitycznych;
4) torakoskopia;
5) torakotomia z dekortykacją płuca w przypadku jego „opancerzenia”.
Prawidłowa odpowiedź to:
Pytanie 33
W odniesieniu do zastawki cewki tylnej prawdziwe są następujące twierdzenia:
1) zastawka cewki tylnej występuje z częstością 1:5.000-8.000 urodzeń;
2) najczęstszym typem zastawki cewki tylnej jest typ III;
3) w znacznej części przypadków zastawce cewki tylnej towarzyszą zmiany dysplastyczne w nerkach;
4) we wszystkich przypadkach wskazane jest po urodzeniu wyłonienie przetok moczowodowo-skórnych;
5) metodą z wyboru w leczeniu zastawek cewki tylnej jest ich elektroresekcja połączona z wesikostomią.
Prawidłowa odpowiedź to:
Pytanie 34
Dla rozpoznania u dziecka nowotworu wątroby typu „hepatoblastoma” wystarczy, aby były spełnione następujące warunki:
1) obecność guza wątroby w badaniach obrazowych;
2) podwyższony poziom alfafetoproteiny w surowicy;
3) wiek dziecka pomiędzy 6 m.ż. a 3 r.ż.;
4) dodatni wynik badania histopatologicznego;
5) podwyższony poziom betaHCG w surowicy.
Prawidłowa odpowiedź to:
Pytanie 35
Podstawowymi miejscami dla zakładania długoterminowych dostępów dożylnych u dzieci są w pierwszej kolejności:
1) żyła udowa; 4) żyła nabrzuszna;
2) żyła szyjna wewnętrzna; 5) żyła nieparzysta.
3) żyła podobojczykowa;
Prawidłowa odpowiedź to:
Pytanie 36
Noworodek urodził się ze wskaźnikiem Apgar=10; w pierwszej dobie życia oddał prawidłową smółkę. W drugiej dobie stan ogólny dziecka gwałtownie się pogorszył. Wystąpiły objawy wstrząsu. Zdjęcie przeglądowe jamy brzusznej wykazało obecność powietrza w żołądku i w niewielkiej ilości w jelicie grubym. Pozostałe odcinki przewodu pokarmowego były niemal bezpowietrzne. W badaniu per rectum stwierdzono ślad krwi. Racjonalne postępowanie u tego dziecka powinno polegać na:
Pytanie 37
Zdrowy do tej pory trzydniowy noworodek płci męskiej skierowany został do chirurga z powodu niepokoju, płaczu, kilkakrotnych wymiotów od wieczora dnia poprzedniego. Badaniem fizykalnym stwierdzono bolesne uwypuklenie w prawej okolicy pachwinowej, brak prawego jądra w mosznie. Jak powinien postąpić chirurg dziecięcy?
Pytanie 38
Anomalie naczyniowe dzielą się na dwie podstawowe grupy zmian patologicznych: guzy naczyniowe (naczyniaki) i malformacje naczyniowe. Posiadają one następujące cechy, wspólne dla obu grup:
1) mogą obejmować całe spektrum zmian - od pojedynczych, położonych powierzchownie naczyniaków lub malformacji naczyniowych, po zmiany mnogie, dotyczące także narządów wewnętrznych i wchodzące w skład złożonych zespołów chorobowych;
2) w obu przypadkach pierwsza faza - proliferacyjna przechodzić może następnie w fazę inwolucyjną;
3) taka dynamika anomalii naczyniowych umożliwia postępowanie zachowawcze w oczekiwaniu na zanik naczyniaka lub malformacji naczyniowej;
4) rozległe naczyniaki i malformacje naczyniowe, zwłaszcza położone w obrębie narządów wewnętrznych, mogą powodować zaburzenia hemodynamiczne i stanowić zagrożenie dla życia;
5) w obu grupach, w przypadku podjęcia decyzji o leczeniu zachowawczym, przydatna może być terapia wspomagająca: stosowanie sterydoterapii i miejscowa krioterapia.
Prawidłowa odpowiedź to:
Pytanie 39
Następstwem utrzymującego się odpływu wstecznego pęcherzowo-moczowodowego może być nefropatia refluksowa, której istotą są zmiany bliznowate, włókniste, rozpoczynające się wokół brodawek nerkowych, prowadzące do zniekształcenia kielichów nerkowych i zaniku miąższu nerkowego. Do czynników usposabiających do wystąpienia nefropatii refluksowej należą:
1) wysoki stopień odpływu wstecznego, nawet jałowego;
2) nawracające infekcje układu moczowego;
3) podwyższone stężenie β2-makroglobuliny w moczu;
4) specyficzny typ budowy brodawek nerkowych (brodawki płaskie);
5) zwężenie podmiedniczkowe moczowodu;
6) młody wiek dziecka (poniżej 1-2 lat).
Prawidłowa odpowiedź to:
Pytanie 40
Do złośliwych guzów nerek u dzieci, poza zdecydowanie najczęściej występującym nerczakiem płodowym, należą m.in.:
1) nerczak mezoblastyczny;
2) złośliwy guz fibrohistiocytarny;
3) mięsak jasnokomórkowy;
4) prymitywny guz neuroektodermalny (PNET);
5) carcinoma embryonale;
6) Yolk sac tumor.
Prawidłowa odpowiedź to:
Pytanie 41
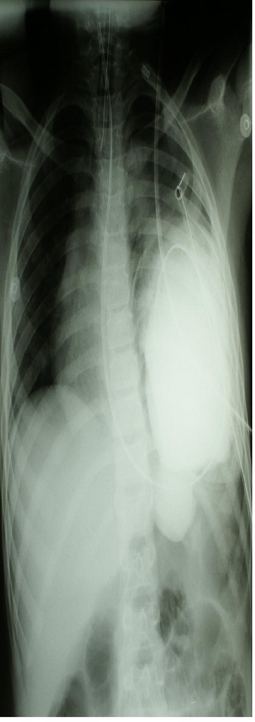
Dziewięcioletnia dziewczynka w wyniku potrącenia przez samochód osobowy doznała urazu wielonarządowego dotyczącego głowy (bez objawów krwawienia śródczaszkowego), klatki piersiowej i brzucha oraz lewego podudzia. Nieprzytomną dziewczynkę zaintubowano. Zdjęcie przeglądowe klatki piersiowej i brzucha wykazało trudny do zinterpretowania obraz. Zdecydowano wykonać badanie radiologiczne z podaniem przez sondę kontrastu do żołądka. Uzyskano następujący wynik:
Zaproponuj optymalne postępowanie chirurgiczne:

Pytanie 42
Zabieg fundoplikacji wg Nissena należy do najczęściej wykonywanej operacji w przypadku choroby refluksowej przełyku. Która z przedstawionych poniżej manipulacji operacyjnych nie należy do elementów fundoplikacji Nissena?
Pytanie 43
U noworodka urodzonego w 28. tygodniu ciąży z masą urodzeniową 990 g, przebywającego w cieplarce w oddziale neonatologicznym, w 8. dniu życia stwierdzono zaleganie treści żołądkowej, wymioty treścią pokarmowo-żółciową z domieszką krwi. W następnej dobie pojawiło się narastające wzdęcie i tkliwość jamy brzusznej, naciekanie w okolicy pępka, stwierdzono brak perystaltyki. Stan ogólny noworodka znacznie się pogorszył, a neonatolog rozważa rozpoczęcie antybiotykoterapii, planową intubację dziecka z prowadzeniem wentylacji mechanicznej oraz wspomaganie układu krążenia lekami presyjnymi. Chirurg dziecięcy poproszony o konsultację podejrzewając obumierające zapalenie jelit, podjął decyzję o leczeniu zabiegowym. Kluczowym badaniem dla podjęcia takiej decyzji jest:
Pytanie 44
U noworodka badaniem USG w drugiej dobie życia stwierdzono obustronne wodonercze z szerokimi, poskręcanymi moczowodami, w odcinkach przypęcherzowych szerokości 15 mm. Poziom kreatyniny w surowicy krwi 1,5 mg%. Założono cewnik do pęcherza moczowego i wykonano cystouretrografię mikcyjną nie stwierdzając wstecznych odpływów pęcherzowo-moczowodowych. Obraz radiologiczny przemawia za obecnością zastawek cewki tylnej. Taki stan kliniczny jest wskazaniem do:
Pytanie 45
Zespół żyły głównej górnej jest ostrym stanem zagrożenia życia w przebiegu rozwijającego się nowotworu klatki piersiowej. Wskaż nieprawdziwe twierdzenie:
Pytanie 46
Która z wymienionych opcji wykazuje prawidłową kolejność odejścia od łuku aorty?
Pytanie 47
Wrodzone zarośnięcie odbytu u chłopców bez przetoki przy odległości jelita od skóry odbytu w inwertogramie powyżej 1 cm jest wskazaniem do:
Pytanie 48
Przerostowe zwężenie odźwiernika ujawnia się najczęściej:
Pytanie 49
Które z poniższych stwierdzeń są prawdziwe w odniesieniu do rozpoznania torbieli dróg żółciowych?
1) jednym ze sposobów leczenia jest zespolenie torbieli z dwunastnicą;
2) rozpoznanie torbieli niezależnie od nasilenia objawów stanowi wskazanie do leczenia operacyjnego;
3) wada ujawnia się najczęściej w wieku przedszkolnym i szkolnym;
4) pozostawienie ściany torbieli stwarza ryzyko rozwoju nowotworu złośliwego;
5) objawy choroby w postaci żółtaczki, bólów brzucha, wyczuwalnego guza i podwyższonej temperatury są zmienne i mogą występować w różnej sekwencji
Prawidłowa odpowiedź to:
Pytanie 50
„Glasgow coma scale" służy do oceny:
1) ciężkości stanu pacjenta po urazie głowy, im więcej punktów tym cięższy stan;
2) ciężkości stanu pacjenta po urazie głowy, im mniej punktów tym cięższy stan;
3) zaburzeń hemodynamicznych w przebiegu krwotoku;
4) zaburzeń świadomości w przebiegu zatruć;
5) u niemowląt w klasycznej formie jest mało przydatna.
Prawidłowa odpowiedź to:
Pytanie 51
Które z poniższych sformułowań jest prawdziwe?
1) w Polsce i większości krajów Europy leczenie nerczaka zarodkowego zaczynamy zawsze od chemioterapii;
2) w Polsce i większości krajów Europy leczenie nerczaka zarodkowego zaczynamy od chemioterapii u dzieci powyżej
6 miesiąca życia;
3) w Polsce i większości krajów Europy diagnostyka nerczaka zarodkowego obejmuje otwartą biopsję chirurgiczną;
4) w Polsce i większości krajów Europy diagnostyka nerczaka zarodkowego obejmuje otwartą biopsję chirurgiczną, jeśli jest on w stadium 4.
Prawidłowa odpowiedź to:
Pytanie 52
Które z poniższych sformułowań jest lub są prawdziwe?
1) prawa żyła jądrowa uchodzi do żyły czczej pod kątem ostrym;
2) prawa żyła jądrowa uchodzi do prawej żyły nerkowej pod kątem prostym;
3) lewa żyła jądrowa uchodzi do żyły czczej pod kątem ostrym;
4) lewa żyła jądrowa uchodzi do lewej żyły nerkowej pod kątem prostym;
5) obie żyły uchodzą do żyły czczej pod kątem zbliżonym do prostego.
Prawidłowa odpowiedź to:
Pytanie 53
Czy możliwe jest leczenie operacyjne choroby Hirschsprunga bez otwierania jamy brzusznej i bez użycia laparoskopii?
Pytanie 54
Po porodzie stwierdzono u noworodka złamanie trzonu prawej kości udowej z widocznym klinicznie przemieszczeniem odłamów.
U dziecka przed leczeniem należy wykonać:
Pytanie 55
Zespół krótkiego jelita występuje zwykle, jeżeli po leczeniu operacyjnym pozostał odcinek jelita cienkiego krótszy niż 30 cm. W leczeniu operacyjnym tego zespołu stosowane są operacje:
Pytanie 56
Unaczynienie tętnicze śledziony może pochodzić od:
Pytanie 57
Potworniak okolicy krzyżowo - ogonowej jest wskazaniem do operacji w trybie pilnym, gdy:
Pytanie 58
W trzydziestym tygodniu ciąży w badaniu USG u płodu stwierdzono, że miedniczka prawej nerki ma rozmiar ok. 19 mm. Po porodzie w trzeciej dobie życia u dziecka (płeć męska) w USG przednio-tylny rozmiar miedniczki wyniósł 20 mm. Optymalnym postępowaniem u dziecka jest:
Pytanie 59
16-letniemu pacjentowi z obecnością pourazowego krwiaka lewej jamy opłucnej założono dren. Uzyskano wypływ 550 ml krwi. W kolejnych 3 godzinach z drenu wypływało po 220-240 ml krwi. Właściwym leczeniem jest:
Pytanie 60
15-letni chłopiec został skierowany do poradni chirurgicznej z powodu znamienia barwnikowego skóry pleców. Które z cech znamienia budzą podejrzenie w kierunku czerniaka złośliwego skóry?
Pytanie 61
Chirurg dziecięcy został wezwany do oddziału OIT na konsultację noworodka z powodu szybko narastających u niego objawów niewydolności oddechowej w pierwszych godzinach życia. W badaniu fizykalnym znaczne osłabienie szmerów oddechowych po lewej stronie. Wykonane rtg zamieszczono poniżej. Właściwe leczenie polega na:

Pytanie 62
Pediatra skierował na konsultację chirurgiczną 7-tygodniowe niemowlę z powodu występujących od kilku dni wymiotów treścią żołądkową bez domieszki żółci. Wymioty początkowo sporadyczne, obecnie chlustające, występują po każdym karmieniu. Rodzice są zaniepokojeni progresją objawów. Badaniem diagnostycznym o najwyższej wartości predykcyjnej wyniku dodatniego w tej jednostce chorobowej jest:
Pytanie 63
Wskazaniem do wieloetapowego leczenia chirurgicznego i wyłonienia dwulufowego sztucznego odbytu w I etapie u noworodka z ch. Hirschsprunga nie jest:
Pytanie 64
Po każdym karmieniu ulewania przechodzące w wymioty bez domieszki żółci, które pojawiły się ostatnio, u 5-tygodniowego niemowlęcia wskazują na:
Pytanie 65
Które zdanie jest fałszywe?
Pytanie 66
Rokowanie co do przeżycia w rozległych oparzeniach zależy od:
1) powierzchni i głębokości oparzenia;
2) wieku oparzonego;
3) współistnienia urazów dodatkowych w tym urazu wziewnego lub innych chorób;
4) czasu rozpoczęcia odpowiedniej resuscytacji płynowej;
5) doświadczenia ośrodka, w którym leczony jest oparzony.
Prawidłowa odpowiedź to:
Pytanie 67
W badaniu prenatalnym stwierdzone jednostronne wodonercze u płodu. Wskazaniem do przezskórnej nefrostomii po porodzie jest utrzymujące się masywne wodonercze ze znacznie ścieńczałą warstwą korową w badaniu postnatalnym. Należy rozważyć wykonanie tej nefrostomii w trybie pilnym, gdy w USG w projekcji AP szerokość miedniczki wynosi:
Pytanie 68
Które z podanych schorzeń mogą być wskazaniem do laparoskopii diagnostycznej?
1) ostre choroby jamy brzusznej;
2) guzy i niektóre choroby wątroby, w których konieczne jest wykonanie biopsji celowanej;
3) urazy jamy brzusznej;
4) niewyjaśnione dolegliwości bólowe w zakresie jamy brzusznej - szczególnie w prawym dole biodrowym, po wyczerpaniu innych metod diagnostycznych;
5) posocznica o nieznanym punkcie wyjścia u pacjentów leczonych na oddziałach intensywnej terapii.
Prawidłowa odpowiedź to:
Pytanie 69
Przepuklina mostkowo - żebrowa dotyczy ubytku w przeponie zlokalizowanym w:
Pytanie 70
Istotnym elementem w operacji Rehbeina jest:
Pytanie 71
W diagnostyce wrodzonej niedrożności dróg żółciowych istotne znaczenie mają badania laboratoryjne określające funkcję wątroby. Który z wymienionych wskaźników nie odnosi się do tego stwierdzenia?
Pytanie 72
Które z wymienionych cech są charakterystyczne dla II stadium zaawansowania neuroblastoma?
Pytanie 73
Złamanie typu Monteggia charakteryzuje się:
Pytanie 74
U noworodka z wrodzoną niedrożnością przełyku operację znacznie ułatwia:
Pytanie 75
Optymalne leczenie noworodka z zastawką cewki tylnej jest oparte na:
Pytanie 76
Pheochromocytoma najczęściej powstaje z:
1) zwojów współczulnych okołoaortalnych w przestrzeni pozaotrzewnowej;
2) rdzenia nadnerczy;
3) zwojów współczulnych na szyi;
4) zwojów współczulnych w klatce piersiowej;
5) zwojów pęcherza i moczowodu.
Prawidłowa odpowiedź to:
Pytanie 77
Tętnica szyjna wewnętrzna oddaje na szyi:
Pytanie 78
Operacja wg techniki Tannera jest stosowana u dzieci do leczenia:
Pytanie 79
Pięciomiesięczne niemowlę, dobrze odżywione, które w ciągu ostatniej doby płakało z przerwami, podciągało nóżki i napinało powłoki brzucha, jeden raz wymiotowało oraz oddało przez odbyt śluz z domieszką krwi, trafiło do Izby Przyjęć. Jakie rozpoznanie jest najbardziej prawdopodobne?
Pytanie 80
Chłopiec 14-letni został przyjęty do Izby Przyjęć po urazie brzucha w wyniku przygniecenia przez betonową płytę na placu budowy. Nie może oddać moczu, a w okolicy ujścia zewnętrznego cewki moczowej widoczna jest niewielka ilość krwi. Co przede wszystkim należy podejrzewać?
1) złamanie kości miednicy; 3) uszkodzenie cewki moczowej;
2) uszkodzenie moczowodu; 4) stłuczenie nerek.
Prawidłowa odpowiedź to:
Pytanie 81
Obrzęk, zaczerwienienie, żywa bolesność okolicy jądra i moszny u chłopca jest określana jako zespół „ostrej moszny”. Stan ten często wymagający kontroli operacyjnej moszny może być spowodowany:
Pytanie 82
U chłopca po upadku z roweru wystąpił ból w okolicy lewego podżebrza. W wykonanym badaniu usg stwierdzono krwiak podtorebkowy śledziony wielkości 5 cm oraz niewielką ilość płynu w okolicy śledziony. Najwłaściwszym postępowaniem będzie:
Pytanie 83
Tracheostomia u pacjenta z pourazowym masywnym stłuczeniem płuc ma na celu:
1) poprawę toalety drzewa oskrzelowego;
2) poprawę utlenowania krwi;
3) prowadzenie przedłużonej sztucznej wentylacji;
4) umożliwienie podawania dotchawiczo antybiotyków;
5) wyłączenie z wentylacji jamy ustnej i nosa.
Prawidłowa odpowiedź to:
Pytanie 84
Metoda Fokkera w leczeniu długoodcinkowej niedrożności przełyku polega na:
Pytanie 85
Najczęstszym powikłaniem odległym po operacji wysokiego przecięcia żyły jądrowej w leczeniu żylaków powrózka nasiennego jest:
Pytanie 86
Pobranie materiału do badania histopatologicznego stanowi niezmiernie istotny element w diagnostyce i leczeniu guzów wywodzących się z tkanki chłonnej (chłoniaków). Które z podanych niżej metod nie mają zastosowania
w pobraniu materiału do diagnostyki w tych przypadkach?
1) chirurgiczna biopsja obwodowego węzła chłonnego;
2) trepanobiopsja szpiku kostnego;
3) laparoskopowa biopsja węzła chłonnego;
4) torakoskopowa biopsja węzła śródpiersiowego;
5) biopsja igłowa wątroby.
Prawidłowa odpowiedź to:
Pytanie 87
W przypadku podejrzenia krwawienia z uchyłka Meckela, najbardziej przydatnym badaniem w ustaleniu rozpoznania jest :
Pytanie 88
Stadium IVs zwojaka zarodkowego współczulnego dotyczy pacjentów:
Pytanie 89
Aby w czasie laparotomii urazowej uwidocznić w całości trzustkę należy:
1) przeciąć więzadło żołądkowo-okrężnicze;
2) przeciąć więzadło żołądkowo-śledzionowe;
3) wykonać szeroki manewr Kochera;
4) przeciąć więzadło żołądkowo-wątrobowe;
5) wykonać manewr Pringle’a.
Prawidłowa odpowiedź to:
Pytanie 90
W sekwencji Pierre Robin, pierwszym zaburzeniem w życiu płodowym, w następstwie którego pojawiają się kolejne zaburzenia jest:
Pytanie 91
Klasyfikacja Altmana, która ma znaczenie w planowaniu operacji oraz w ocenie rokowania, jest stosowana w:
Pytanie 92
Najczęstszy nowotwór złośliwy okresu noworodkowo-niemowlęcego to:
Pytanie 93
Najczęstsza lokalizacja guza w neuroblastoma to:
Pytanie 94
Objawami ultrasonograficznymi wrodzonego zarośnięcia przełyku u płodu są:
1) małowodzie; 4) niewidoczny lub mały żołądek płodu;
2) wielowodzie; 5) rozdęte pętle jelitowe.
3) obrzęk płodu;
Prawidłowa odpowiedź to:
Pytanie 95
Aktualnie najlepszym sposobem wszczepienia sztucznej gonady u chłopców z brakiem jądra jest:
1) dostęp pachwinowy;
2) dostęp mosznowy;
3) dostęp pachwinowo-mosznowy;
4) z doszyciem gonady do dna moszny;
5) swobodne umieszczenie gonad bez doszycia.
Prawidłowa odpowiedź to:
Pytanie 96
Nerka położona ektopowo wykazuje większą skłonność do rozwoju:
1) kamicy; 4) nadciśnienia;
2) nowotworu; 5) odpływu pęcherzowo-moczowodowego.
3) wodonercza;
Prawidłowa odpowiedź to:
Pytanie 97
Podanie błękitu metylenowego w osłonki jądra u chłopców z żylakami powrózka nasiennego pomaga w czasie operacji w identyfikacji:
Pytanie 98
Nieuchronnym powikłaniem wady dysraficznej jest:
Pytanie 99
W leczeniu wodonercza w nerce podkowiastej postępowaniem z wyboru jest:
Pytanie 100
U noworodka, u którego w pierwszych godzinach po urodzeniu narasta niewydolność oddechowa, nad polem płucnym po stronie prawej stwierdza się osłabienie szmerów oddechowych oraz odgłos opukowy nadmiernie jawny podejrzewa się przede wszystkim:
Pytanie 101
Które z przedstawionych skrótem literowym określeń dotyczących zakażenia zinterpretowane jest nieprawidłowo?
Pytanie 102
W achalazji przełyku objawy kliniczne zależą od następujących zaburzeń:
1) nadmiernego napięcia dolnego zwieracza przełyku;
2) zaburzeń motoryki trzonu przełyku;
3) wstecznego odpływu żołądkowo-przełykowego;
4) zaburzeń opróżniania żołądka;
5) braku relaksacji dolnego zwieracza przełyku w odpowiedzi na akt połykania.
Prawidłowa odpowiedź to:
Pytanie 103
Do złośliwych lub potencjalnie złośliwych guzów trzustki zalicza się:
Pytanie 104
Do najczęstszych powikłań żywienia pozajelitowego należą:
1) zakażenie drogi dożylnej;
2) niewydolność nerek;
3) zaburzenia gospodarki wapniowo-fosforanowej;
4) nadciśnienie tętnicze;
5) cholestaza.
Prawidłowa odpowiedź to:
Pytanie 105
Zespół ciasnoty przestrzeni międzypowięziowych, niezależnie od wywołującej go przyczyny, jest ciężkim powikłaniem i grozi utratą kończyny. Wymaga niezwłocznego wdrożenia energicznego leczenia zachowawczego.
Pytanie 106
Podstawą rozpoznania niezstąpienia jądra jest badanie kliniczne. Jego uzupełnieniem (nawet, gdy jądro jest badalne) jest:
Pytanie 107
Do odległych następstw chemicznego oparzenia przełyku należą:
1) zwężenie przełyku;
2) przełyk Barretta;
3) żylaki przełyku;
4) przemiana nowotworowa - rak płaskonabłonkowy;
5) zapalenie przełyku;
6) przepuklina okołoprzełykowa.
Prawidłowa odpowiedź to:
Pytanie 108
Wykazano, że choroba Hirschsprunga może mieć tło genetyczne, wiąże się np. z mutacjami genu RET. Stąd częstsze niż w populacji ogólnej występowanie choroby Hirschsprunga u ludzi obciążonych zespołem MEN 2A i zagrożonych rakiem tarczycy. W którym z zespołów genetycznych, w których obserwuje się wady mające aspekt chirurgiczny, występuje także choroba Hirschsprunga?
Pytanie 109
Pojedyncze, proste torbiele wątroby, w odróżnieniu od wielotorbielowatości wątroby, która jest rzadką chorobą dziedziczną, spotyka się stosunkowo często także u dzieci. Do typowych objawów torbieli należą:
Pytanie 110
W rozpoznaniu i leczeniu ropniaka opłucnej prawdziwe są stwierdzenia:
1) najczęściej rozwija się u dzieci do 3-go roku życia;
2) podstawowym badaniem diagnostycznym jest rtg klatki piersiowej;
3) w początkowym okresie choroby wystarczająca jest antybiotykoterapia;
4) objawem charakterystycznym jest krwioplucie;
5) w zawansowanych postaciach ropniaka możliwe jest podawanie do jamy opłucnej środków fibrynolitycznych.
Prawidłowa odpowiedź to:
Pytanie 111
Najbardziej niekorzystny wpływ na górne drogi moczowe mają następujące okoliczności uchwytne w badaniu urodynamicznym:
Pytanie 112
Następujące stwierdzenia dotyczące nadciśnienia wrotnego u dzieci są prawdziwe:
1) najczęstszą przyczyną nadciśnienia wrotnego u dzieci jest blok śródwątrobowy;
2) zespół Budd-Chari to przykład bloku nadwątrobowego;
3) endoskopowa sklerotyzacja lub założenie gumowych podwiązek jest obecnie metodą z wyboru w leczeniu krwawień z żylaków przełyku;
4) sondę Sengstakena-Blakemora należy utrzymać 4 do 6 godzin;
5) operacja Warrena to zespolenie żyły śledzionowej z żyłą nerkową.
Prawidłowa odpowiedź to:
Pytanie 113
Charakterystyczne dla wrodzonego przerostowego zwężenia odźwiernika są:
1) zdecydowana przewaga płci męskiej;
2) początek choroby w wieku 2-3 miesięcy;
3) grubość mięśniówki odźwiernika w badaniu USG powyżej 3-4 mm;
4) kwasica metaboliczna kompensowana oddechowo;
5) wymioty bez domieszki żółci.
Prawidłowa odpowiedź to:
Pytanie 114
W drugiej dobie życia wystąpiły u noworodka wymioty treścią zawierającą żółć, oddał niewielką ilość smółki zbliżonej w wyglądzie do prawidłowej, brzuch jest miernie zapadnięty, na zdjęciu przeglądowym jamy brzusznej widoczne są dwa poziomy płynu w nadbrzuszu oraz pojedyncze „bańki” powietrza w śród i podbrzuszu. Jako najbardziej prawdopodobne rozpoznanie należy przyjąć:
Pytanie 115
W przypadku rozpoznanej prenatalnie otwartej przepukliny rdzeniowej podejmuje się próby (także w Polsce) wykonywania prenatalnych zabiegów jej zamknięcia. Zgromadzone do tej pory obserwacje wykazują niewątpliwe korzyści wynikające z takiego zabiegu:
1) prenatalne zamknięcie przepuklin likwiduje niebezpieczeństwo zakażenia płynu mózgowo-rdzeniowego u noworodka;
2) nie obserwuje się po urodzeniu porażenia kończyn dolnych;
3) nie obserwuje się po urodzeniu niewydolności zwieraczy przewodu pokarmowego;
4) tylko sporadycznie zanotowano poronne objawy pęcherza neurogennego;
5) znacznie rzadziej występowały u dzieci operowanych prenatalne objawy wodogłowia (Zespół Arnolda Chiariego).
Prawidłowa odpowiedź to:
Pytanie 116
W przypadku prenatalnego rozpoznania potworniaka krzyżowo-ogonowego o bardzo dużych rozmiarach podejmuje się, w szczególnych przypadkach, próby prenatalnej częściowej resekcji guza. Wskazania takie można postawić w sytuacji, gdy:
Pytanie 117
Określenie splenosis oznacza ektopowo położoną tkankę o budowie śledziony. Powstanie ognisk splenosis jest zwykle wynikiem urazu śledziony i może mieć następstwa kliniczne, do których należą:
1) niedokrwistość w wyniku wychwytywania erytrocytów przez ektopową tkankę śledziony;
2) objawy hipersplenizmu: małopłytkowość, leukopenia;
3) nadciśnienie wrotne w następstwie zaburzeń krążenia żylnego w obrębie jamy brzusznej;
4) defekt immunologiczny w efekcie wadliwego składu odsetkowego limfocytów T (CD4/CD8);
5) ogniska splenozy nie powodują zwykle objawów klinicznych;
6) w przypadku, gdy ognisko takie osiągnie znaczne rozmiary, może powodować objawy guza brzucha. U dzieci zdarza się to jednak wyjątkowo.
Prawidłowa odpowiedź to:
Pytanie 118
Alfa-fetoproteina (AFP) jest markerem nowotworowym, którego poziom wzrasta w następujących guzach:
1) potworniak niedojrzały; 4) wątrobiak zarodkowy;
2) potworniak dojrzały; 5) rak rdzeniasty tarczycy.
3) nerwiak zarodkowy;
Prawidłowa odpowiedź to:
Pytanie 119
Markerem jakich guzów nowotworowych są α-fetoproteina i β-HCG?
Pytanie 120



