Wyszukaj egzamin lub pytanie
Egzamin PES Anestezjologia i intensywna terapia / wiosna 2024
120 pytań
Pytanie 1
Zmniejszenie pooperacyjnej insulinooporności zapewnia wypicie 2 godziny przed znieczuleniem i operacją:
Pytanie 2
Decydując się na premedykację farmakologiczną, celem stłumienia aktywności układu współczulnego, stosuje się:
Pytanie 3
Które z poniższych czynników predysponują do wystąpienia PONV w okresie pooperacyjnym?
Pytanie 4
W celu pewnego odwrócenia koagulopatii spowodowanej warfaryną, przed operacją i znieczuleniem, należy zastosować:
Pytanie 5
U pacjenta kwalifikowanego do planowego zabiegu artroskopii kolana stwierdzono subkliniczną nadczynność tarczycy. W tej sytuacji:
Pytanie 6
Szacowane ryzyko wystąpienia powikłań okołooperacyjnych w operacjach głowy i szyi:
Pytanie 7
Wskazaniem do zastosowania manewru Esmarcha jest:
Pytanie 8
U dziecka o masie ciała 25 kg, nieotyłego, należy zastosować maskę krtaniową o rozmiarze:
Pytanie 9
Wskaż prawdziwe stwierdzenie dotyczące sewofluranu:
Pytanie 10
Opioidy znoszą odruch kaszlowy i wykrztuśny podczas laryngoskopii i intubacji w mechanizmie:
Pytanie 11
W ocenie chorego po znieczuleniu stwierdzono, że żywo reaguje na swoje imię, ma umiarkowanie spowolniałą mowę, umiarkowanie rozluźnione mięśnie twarzy, umiarkowane opadanie powiek, co złożyło się na końcową ocenę punktową równą 17. W jakiej skali sedacji oceniono pacjenta?
Pytanie 12
Zespół tętnicy rdzeniowej przedniej (zespół Becka), to powikłanie znieczulenia przewodowego będące następstwem:
Pytanie 13
Hiperalgezja to zaburzenie czucia, które charakteryzuje się następującymi objawami:
Pytanie 14
Wskaż prawdziwe stwierdzenie dotyczące nalbufiny:
Pytanie 15
Które z poniższych nie jest przyczyną fałszywych wartości odczytu pulsoksymetrii?
Pytanie 16
Zator tętnicy płucnej prowadzi do rozwoju wstrząsu:
Pytanie 17
Do grupy leków tzw. inodilatatorów nie należy/ nie należą:
Pytanie 18
Który z poniższych NLPZ jest szczególnie przydatny w uśmierzaniu bólów menstruacyjnych, poprzez znaczne obniżenie stężenia prostaglandyn w krwi miesiączkowej?
Pytanie 19
Na Oddział Intensywnej Terapii trafił 50-letni mężczyzna z ostrą niewydolnością oddechową w przebiegu wirusowego zapalenia płuc. Stwierdzono SpO2 88% podczas tlenoterapii biernej przez maskę twarzową. Pacjent nie prezentował istotnie wzmożonego wysiłku oddechowego. Wskaż prawdziwe stwierdzenia dotyczące opisanej sytuacji klinicznej:
1) zwiększenie wentylacji minutowej u tego pacjenta, przy niezmienionym przepływie tlenu, będzie skutkowało zmniejszeniem FiO2;
2) wobec niewystarczającej skuteczności zastosowanej tlenoterapii biernej, nie należy oczekiwać poprawy po zastosowaniu wysokoprzepływowej tlenoterapii donosowej;
3) stopień ogrzania i wilgotność wdychanego powietrza nie wpływają na wydatek energetyczny związany z oddychaniem;
4) wysokoprzepływowa tlenoterapia donosowa poprawia skuteczność eliminacji CO2 z organizmu;
5) jednym z efektów wysokoprzepływowej tlenoterapii donosowej jest wytwarzanie dodatnich ciśnień w drogach oddechowych.
Prawidłowa odpowiedź to:
Pytanie 20
Na Blok Operacyjny trafia 40-letni pacjent po urazie komunikacyjnym celem zaopatrzenia krwawienia. W wykonanym KT trauma scan zdiagnozowano masywne krwawienie w obrębie płuca lewego. Ze względu na brak rurki dwuświatłowej pacjent zaintubowany jest rurką o średnicy 8,0; leży na prawym boku. W tym ułożeniu górne płuco:
Pytanie 21
Uwzględniając prawo Hagena-Poiseuille’a, wskaż prawdziwe stwierdzenia:
1) przepływ zależny jest od sumy ciśnień na końcach rury;
2) dwukrotny wzrost promienia rury prowadzi do dwukrotnego zmniejszenia przepływu;
3) dwukrotny wzrost promienia rury prowadzi do szesnastokrotnego zwiększenia przepływu;
4) głównym czynnikiem wpływającym na lepkość krwi jest liczba RBC;
5) głównym czynnikiem wpływającym na lepkość krwi jest liczba WBC.
Prawidłowa odpowiedź to:
Pytanie 22
Pacjent z urazem czaszkowo-mózgowym trafia na Oddział Anestezjologii i Intensywnej Terapii z zaburzeniami świadomości. Celem poprawy stanu chorego należy starać się:
1) utrzymać mózgowe ciśnienie perfuzji <30 mmHg;
2) uniknąć uszkodzeń wtórnych w obrębie OUN;
3) utrzymać mózgowe ciśnienie perfuzji w przedziale 60-70 mmHg;
4) tak długo jak to możliwe odwlekać sedację i intubację chorego;
5) stosować leczniczą hipowentylację.
Prawidłowa odpowiedź to:
Pytanie 23
Wskaż prawdziwe stwierdzenia dotyczące desfluranu:
1) ma najniższy współczynnik rozdziału krew/gaz spośród anestetyków wziewnych;
2) jest anestetykiem o najniższym współczynniku metabolizmu (ok. 0,02%);
3) ze względu na temperaturę wrzenia 39°C wymaga specjalnego parownika i podgrzania do temperatury 22,8°C;
4) jest najsilniejszym spośród obecnie stosowanych anestetyków wziewnych, (MAC w 100% O2 wynosi 0,6%);
5) zwiększa częstość pracy serca.
Prawidłowa odpowiedź to:
Pytanie 24
Prawidłowa kolejność struktur anatomicznych, przez które przechodzi igła w trakcie znieczulenia podpajęczynówkowego to:
1) więzadło nadkolcowe;
2) więzadło żółte;
3) opona podpajęcza;
4) przestrzeń zewnątrzoponowa;
5) więzadło międzykolcowe.
Prawidłowa odpowiedź to:
Pytanie 25
Wskaż prawdziwe stwierdzenia dotyczące hipertermii złośliwej (HZ):
1) do wystąpienia objawów może dojść zarówno w trakcie znieczulenia, jak i w okresie pooperacyjnym;
2) pierwszym objawem jest gwałtowne zwiększanie się ciepłoty ciała (>1°C/5 min);
3) desfluran należy do związków wyzwalających HZ;
4) rokuronium należy do związków bezpiecznych;
5) podstawą skutecznego leczenia jest dożylna podaż sugammadeksu (2 mg/kg).
Prawidłowa odpowiedź to:
Pytanie 26
Wskaż prawdziwe stwierdzenia dotyczące powinowactwa receptorowego wymienionych opioidów:
1) morfina jest czystym agonistą receptora opioidowego MOR;
2) oksykodon jest agonistą receptorów MOR i KOR;
3) nalbufina jest agonistą receptora KOR i antagonistą receptora MOR;
4) tramadol jest agonistą receptora MOR oraz aktywatorem układu noradrenergicznego i serotoninergicznego;
5) buprenorfina jest częściowym agonistą receptora opioidowego KOR oraz antagonistą receptora MOR.
Prawidłowa odpowiedź to:
Pytanie 27
Wskaż fałszywe stwierdzenie dotyczące encefalopatii wątrobowej:
Pytanie 28
Wskaż prawidłową dawkę adrenaliny i wstępną energię defibrylacji, którą należy zastosować podczas resuscytacji u 13-miesięcznego chłopca ważącego 10 kg:
Pytanie 29
Które z antybiotyków mogą wydłużyć blokadę nerwowo-mięśniową wywoływaną przez niedepolaryzujące środki zwiotczające mięśnie szkieletowe?
1) amoksycylina;
2) gentamycyna;
3) klindamycyna;
4) ceftriakson;
5) kolistyna;
6) cyprofloksacyna.
Prawidłowa odpowiedź to:
Pytanie 30
W procesie diagnostycznym rozpoznawania śmierci mózgu, w trakcie wykonywania badań przepływu mózgowego krwi średnie ciśnienie tętnicze badanego dorosłego pacjenta powinno wynosić:
Pytanie 31
Podczas procesu diagnostycznego rozpoznawania śmierci mózgu przed przystąpieniem do badania arefleksji pniowej należy skorygować wszystkie poniżej wymienione odchylenia w badaniach laboratoryjnych, z wyjątkiem:
Pytanie 32
Do grupy antybiotyków, których efekt działania zależy od czasu w jakim stężenie antybiotyku przekracza wartość minimalnego stężenia hamującego MIC (T>MIC) zalicza się wszystkie poniższe, z wyjątkiem:
Pytanie 33
W przypadku podejrzenia etiologii meningokokowej zapalenia opon mózgowo-rdzeniowych właściwe przeciwdrobnoustrojowe leczenie empiryczne na oddziale szpitalnym powinno być włączone w okresie nie dłuższym niż:
Pytanie 34
W pierwszej dobie po prawidłowo wykonanym znieczuleniu podpajęczynówkowym do zabiegu elektroresekcji przezcewkowej guza pęcherza moczowego pacjent zgłosił tępy ból pleców o średnim nasileniu z promieniowaniem do pośladków i ud, który utrzymywał się do kilkudziesięciu godzin. Dolegliwościom bólowym nie towarzyszyły deficyty neurologiczne. Wskaż najbardziej prawdopodobną przyczynę wyżej opisanego zespołu objawów:
Pytanie 35
Do najważniejszych zalet stymulacji elektrycznej nerwów obwodowych w blokadach regionalnych nie należy:
Pytanie 36
Wskaż prawdziwe stwierdzenie dotyczące znieczulenia zewnątrzoponowego przez rozwór krzyżowy:
Pytanie 37
Blokada między mięśniami pochyłymi jest wskazana przede wszystkim przy operacjach:
Pytanie 38
Do leków znieczulenia miejscowego posiadających metabolizm wątrobowy zalicza się wszystkie poniższe, z wyjątkiem:
Pytanie 39
Wskaż fałszywe stwierdzenie dotyczące ciągłego znieczulenia podpajęczynówkowego (CSA):
Pytanie 40
Wskaż fałszywe stwierdzenie dotyczące znieczulenia w okresie ciąży:
Pytanie 41
Wskaż fałszywe stwierdzenie dotyczące blokady okołokostkowej:
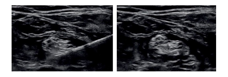
Pytanie 42
Poniżej na zdjęciach przedstawiono obraz sonoanatomiczny blokady nerwu obwodowego. Wskaż sytuację kliniczną, w której zastosowanie tej blokady będzie najbardziej uzasadnione:

Pytanie 43
Anestezjolog na dyżurze został wezwany do interwencji na oddziale ortopedycznym u pacjentki po zabiegu protezoplastyki stawu kolanowego. Pacjentka znieczulana była tego samego dnia rano, do zabiegu wykonano znieczulenie podpajęczynówkowe oraz blokadę ciągłą nerwu udowego z zastosowaniem wlewu 0,125% bupiwakainy w przepływie 5 ml/h. Kilka godzin po przekazaniu pacjentki z sali nadzoru poznieczuleniowego doszło do NZK w mechanizmie asystolii poprzedzonego epizodem uogólnionych drgawek. Postępowanie anestezjologa na miejscu wezwania powinno obejmować:
Pytanie 44
Wskaż fałszywe stwierdzenie dotyczące anatomii splotu lędźwiowo-krzyżowego:
Pytanie 45
Wskaż prawdziwe stwierdzenie dotyczące zjawiska redystrybucji:
Pytanie 46
Po 4 okresach półtrwania w organizmie pozostaje:
Pytanie 47
W mieszaninie zawierającej 70% podtlenku azotu 1 MAC dla desfluranu wynosi:
Pytanie 48
Przy niezmienionym oddychaniu zwiększenie pojemności minutowej serca:
1) powoduje większe pobieranie anestetyku z pęcherzyków płucnych;
2) powoduje szybsze narastanie stężenia anestetyku w pęcherzykach płucnych;
3) powoduje wolniejsze narastanie stężenia anestetyku w pęcherzykach płucnych;
4) powoduje, że wprowadzenie do znieczulenia trwa dłużej;
5) przyspiesza wprowadzenie do znieczulenia.
Prawidłowa odpowiedź to:
Pytanie 49
Ryzyko hipoksji dyfuzyjnej związane jest z zastosowaniem:
Pytanie 50
Do działań niepożądanych propofolu nie należy:
Pytanie 51
Bezwzględnym przeciwwskazaniem do użycia ketaminy nie jest:
Pytanie 52
U pacjenta przyjmującego inhibitory monoaminooksydazy po operacji przeprowadzonej w znieczuleniu ogólnym wystąpiły pobudzenie, tachykardia, znaczne wahania ciśnienia tętniczego, wzrost temperatury ciała, sztywność mięśni. Należy podejrzewać wystąpienie:
Pytanie 53
Do czynników ryzyka hiperkaliemii spowodowanej podaniem sukcynylocholiny zalicza się:
Pytanie 54
W trakcie znieczulenia ogólnego blokadę nerwowo-mieśniową wywołano poprzez poddanie rokuronium i następnie odwrócono podając sugammadeks. Jeśli konieczne będzie ponowne wywołanie blokady nerwowo-mięśniowej rokuronium może zostać użyte po upływie:
Pytanie 55
U pacjenta z dystrofią mięśniową Duchenne’a:
Pytanie 56
Rozszerzenie źrenicy wywołane jest poprzez:
Pytanie 57
Najsilniejszym agonistą receptora beta-1, z niżej wymienionych, jest:
Pytanie 58
Wskaż fałszywe stwierdzenie dotyczące deksmedetomidyny:
Pytanie 59
Enoksymon:
1) rozszerza naczynia krwionośne w płucach;
2) zwiększa ciśnienie zaklinowania w kapilarach płucnych;
3) zwiększa pojemność minutową serca;
4) wywiera dodatnie działanie inotropowe;
5) wywiera ujemne działanie chronotropowe.
Prawidłowa odpowiedź to:
Pytanie 60
Zjawisko Bowditcha opisuje:
Pytanie 61
Anatomiczna przestrzeń martwa u człowieka dorosłego wynosi:
Pytanie 62
Krążenie płucne charakteryzuje się:
Pytanie 63
Wskaż prawdziwe stwierdzenie dotyczące przesunięcia krzywej dysocjacji hemoglobiny w prawo:
Pytanie 64
Wskaż prawdziwe stwierdzenie:
1) stopień ekstrakcji tlenu określa stosunek podaży tlenu do jego zużycia;
2) stopień ekstrakcji tlenu fizjologicznie wynosi 50%;
3) stopień ekstrakcji tlenu ma wpływ na wartość saturacji żylnej;
4) fizjologicznie saturacja krwi żylnej wynosi 72%;
5) liniowa zależność pomiędzy podażą tlenu a jego zużyciem jest zjawiskiem fizjologicznym.
Prawidłowa odpowiedź to:
Pytanie 65
Przykładem kwasicy mleczanowej typu B jest kwasica występująca w wyniku:
Pytanie 66
Operacje o niskim ryzyku powikłań kardiologicznych to:
Pytanie 67
U pacjenta ocenionego w skali ASA na 4 umieralność okołooperacyjna wynosi:
Pytanie 68
U pacjenta ocenionego w skali Apfel na 0 punktów ryzyko pooperacyjnych nudności i wymiotów wynosi:
Pytanie 69
U dorosłego pacjenta z cukrzycą, w przebiegu śpiączki hipoglikemicznej wysunięto podejrzenie śmierci mózgu. Okres obserwacji wstępnej powinien wynosić:
Pytanie 70
U pacjenta z ciężkim i nieodwracalnym uszkodzeniem centralnego układu nerwowego, u którego ciepłota ciała wynosi 30°C okres obserwacji wstępnej można rozpocząć:
Pytanie 71
W procedurze rozpoznawania śmierci mózgu wykonanie badań instrumentalnych jest konieczne:
Pytanie 72
Stwierdzenie podstawowej arefleksji pniowej obejmuje:
Pytanie 73
Wskaż prawdziwe stwierdzenie dotyczące próby bezdechu u pacjenta z wysuniętym podejrzeniem śmierci mózgu w trakcie terapii VV-ECMO:
Pytanie 74
Zgodnie z wytycznymi ERC 2021, najczęstszym mechanizmem okołooperacyjnego nagłego zatrzymania krążenia podczas zabiegów kardiochirurgicznych jest:
Pytanie 75
Podczas resuscytacji krążeniowo-oddechowej u 9-miesięcznego niemowlęcia zaintubowano tchawicę. Zalecana, zgodnie z wytycznymi ERC 2021, częstość wentylacji płuc to:
Pytanie 76
Zgodnie z wytycznymi ERC 2021, najczęstszym mechanizmem nagłego zatrzymania krążenia u chorych z zatorowością płucną jest:
Pytanie 77
Wskaż zgodne z wytycznymi ERC 2021 stwierdzenie dotyczące resuscytacji krążeniowo-oddechowej niemowląt:
Pytanie 78
Zgodnie z wytycznymi ERC 2021, postępowaniem ratunkowym w przypadkach wystąpienia różnokształtnego częstoskurczu komorowego z szerokimi zespołami QRS (torsade de pointes) jest dożylna podaż:
Pytanie 79
Niesterydowe leki przeciwzapalne znajdują zastosowanie w łagodzeniu bólu ostrego u dzieci. Ograniczeniem ich użycia jest wiek dziecka. Dla którego z poniższych zgodnie z Wytycznymi uśmierzania bólu u dzieci PTAiIT granica wieku jest najniższa?
Pytanie 80
Zgodnie z Wytycznymi uśmierzania bólu u dzieci PTAiIT większość skal oceny natężenia bólu u dzieci opartych na samoocenie (np. FACES, NRS, VAS) ma zastosowanie od:
Pytanie 81
Zgodnie z Wytycznymi uśmierzania bólu u dzieci PTAiIT jednorazowa oraz maksymalna dobowa dawka nimesulidu u dzieci wynoszą (w mg na kg mc.) odpowiednio:
Pytanie 82
Wskaż prawdziwe stwierdzenie dotyczące lidokainy stosowanej jako koanalgetyk w terapii bólu u dzieci, zgodnie z Wytycznymi uśmierzania bólu u dzieci PTAiIT:
Pytanie 83
Spośród poniższych glikokortykoidów najsilniejsze działanie przeciwzapalne wykazuje:
Pytanie 84
Wazokonstrykcyjne działanie wazopresyny wynika z pobudzenia receptorów:
Pytanie 85
Chory poddawany wentylacji mechanicznej płuc sedowany jest m.in. wlewem 1% propofolu w dawce 200 mg/h. Dobowa dawka energii dostarczana tą drogą wynosi około:
Pytanie 86
W zespole Guillaina-Barrégo:
Pytanie 87
W leczeniu zespołu Guillaina-Barrégo stosuje się:
Pytanie 88
W leczeniu drugiego rzutu stanu padaczkowego stosuje się:
Pytanie 89
Fidaksomycyna jest antybiotykiem stosowanym w leczeniu zakażeń wywołanych przez:
Pytanie 90
Zastosowania w leczeniu zapalenia płuc nie ma:
Pytanie 91
Permisywna hiperkapnia:
Pytanie 92
Wskaż fałszywe stwierdzenie dotyczące gospodarki tlenem:
Pytanie 93
Wskaż fałszywe stwierdzenie:
Pytanie 94
W wentylacji w pozycji odwróconej na brzuchu (pozycji prone) efekt terapeutyczny opiera się na poniższych mechanizmach, z wyjątkiem:
Pytanie 95
Wskaż prawdziwe stwierdzenie dotyczące wziewnych wazodylatatorów:
Pytanie 96
Wskaż fałszywe stwierdzenie dotyczące neuropatii krytycznie chorych:
Pytanie 97
Wskaż prawdziwe stwierdzenie dotyczące hemofiltracji żylno-żylnej:
Pytanie 98
Zaburzenie hemodynamiki wewnątrznerkowej jest głównym mechanizmem nefrotoksycznego działania:
Pytanie 99
U chorego z ostrym zapaleniem trzustki odnotowano następujące parametry: akcja serca 112/min., RR 120/60 mmHg, OCŻ 8 mmHg, ciśnienie śródbrzuszne 24 mmHg. Wyliczony gradient filtracji wynosi u tego pacjenta:
Pytanie 100
Zespół ciasnoty śródbrzusznej rozpoznaje się przy przekroczeniu pewnej wartości ciśnienia śródbrzusznego (IAP) i współistniejącej dysfunkcji narządów. Wspomniana wartość IAP wynosi (w mmHg):
Pytanie 101
Standardowo wartości ciśnienia śródbrzusznego (IAP) mierzone są w:
Pytanie 102
Przyczyną kwasicy metabolicznej z prawidłową luką anionową jest:
Pytanie 103
W kwasicy metabolicznej z prawidłową luką anionową utrata wodorowęglanów wyrównywana jest zwiększeniem stężenia:
Pytanie 104
Zapis EKG widoczny na rycinie przedstawia:

Pytanie 105
Najskuteczniejszym sposobem usunięcia z organizmu nadmiaru jonów potasu jest:
Pytanie 106
Kryterium dyskwalifikacji z planowego znieczulenia stanowi sytuacja, w której u dziecka stwierdza się infekcję górnych dróg oddechowych z następującymi cechami:
Pytanie 107
W diagnostyce zakażeń łożyska krwi i ustaleniu czy źródłem zakażenia jest cewnik wewnątrznaczyniowy stosuje się metodę ilościowego posiewu krwi. W przypadku wyhodowania tego samego drobnoustroju w posiewach z cewnika i krwi obwodowej, za źródło zakażenia przyjmuje się cewnik o ile liczba CFU:
Pytanie 108
Wskaż parę drobnoustrój - lek przeciwdrobnoustrojowy, na który ten drobnoustrój jest oporny:
Pytanie 109
U pacjenta dokonano obliczenia wskaźnika oporu naczyniowego w krążeniu płucnym. Wyniósł on 160 dyna x s-1 x cm-5/m2. W jednostkach Wooda wartość ta wynosi około:
Pytanie 110
Na rycinie przedstawiono zapis krzywej ciśnienia zaklinowania w tętnicy płucnej. Strzałkami zaznaczono składową o największym wychyleniu. Jest to:

Pytanie 111
Aby zmianę wartości ciśnienia zaklinowania w tętnicy płucnej uznać za istotną klinicznie (niespontaniczną), musi ona przekroczyć wartość:
Pytanie 112
Dyna jest jednostką:
Pytanie 113
Do wyliczenia klirensu kreatyniny wg wzoru Cockcrofta i Gaulta potrzebna jest znajomość:
1) stężenia mocznika w surowicy;
2) stężenia kreatyniny w surowicy;
3) stężenia cystatyny C w surowicy;
4) wieku;
5) płci;
6) masy ciała;
7) wzrostu;
8) BMI (indeksu masy ciała).
Prawidłowa odpowiedź to:
Pytanie 114
Prawidłowo, całkowita zawartość wody w ustroju kobiety i mężczyzny stanowi odpowiednio następujący procent beztłuszczowej masy ciała:
Pytanie 115
Najwcześniejszą zmianą krzywej elektrokardiograficznej w przebiegu hiperkaliemii jest:
Pytanie 116
Wskaż prawdziwe stwierdzenie dotyczące mannitolu podawanego pacjentom ze wzmożonym ciśnieniem śródczaszkowym:
Pytanie 117
Ryfaksymina znajduje zastosowanie w leczeniu:
Pytanie 118
Spośród wymienionych leków przeciwdrobnoustrojowych, istotną klinicznie aktywność wobec Mycoplasma pneumoniae wykazuje:
Pytanie 119
Chory po urazie głowy nie otwiera oczu nawet na ból, nie wydaje żadnych dźwięków, najlepsza odpowiedź ruchowa to nieprawidłowe zgięcie kończyn. Punktacja w skali śpiączki Glasgow (GCS) wynosi u pacjenta:
Pytanie 120



