Wyszukaj egzamin lub pytanie
Egzamin PES Anestezjologia i intensywna terapia / jesień 2023
120 pytań
Pytanie 1
Wartości średniego ciśnienia tętniczego rekomendowane jako prawidłowe dla pacjentów pediatrycznych wynoszą:
Pytanie 2
Wskaż prawdziwe stwierdzenie dotyczące oceny ośrodkowego ciśnienia żylnego (OCŻ) jako parametru służącego do monitorowania wypełnienia łożyska naczyniowego:
Pytanie 3
Wskaż fałszywe stwierdzenie dotyczące testu biernego uniesienia kończyn dolnych (PLR) w ocenie hemodynamicznej krytycznie chorego:
Pytanie 4
Wskaż prawdziwe stwierdzenie dotyczące terapii ECMO:
Pytanie 5
Spadek obciążenia wstępnego (preload) i zmniejszenie powrotu żylnego do serca jest przyczyną wstrząsu o charakterze obturacyjnym we wszystkich wymienionych poniżej sytuacjach, z wyjątkiem:
Pytanie 6
Wskaż fałszywe stwierdzenie dotyczące elektrycznej neurostymulacji w trakcie wykonywania blokady nerwu obwodowego:
Pytanie 7
Przy wykonywaniu blokady obwodowej, należy rozważyć zredukowanie podawanej pacjentowi dawki bupiwakainy do blokady w przypadku:
Pytanie 8
Wskaż prawdziwe stwierdzenie dotyczące pochodnych amidowych leków znieczulenia miejscowego:
Pytanie 9
Wskaż prawdziwe stwierdzenie dotyczące zmian fizjologicznych podczas ciąży:
Pytanie 10
26-letnia pacjentka w 23. tygodniu ciąży została zakwalifikowana do pilnego zabiegu urologicznego odbarczenia nerki lewej z powodu kamicy i wodonercza lewostronnego. Wskaż fałszywe stwierdzenie dotyczące postępowania anestezjologicznego z pacjentką:
Pytanie 11
42-letnia pacjentka została zakwalifikowana do zabiegu korekcji palucha koślawego stopy lewej wykonywanego w blokadzie okołokostkowej. W celu przeprowadzenia wyżej wymienionego zabiegu należy znieczulić wszystkie niżej wymienione nerwy, z wyjątkiem nerwu:
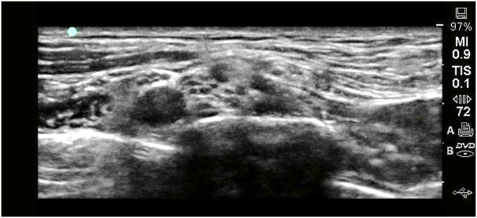
Pytanie 12
U 52-letniego mężczyzny z otyłością (BMI 44 kg/m2), zespołem hipowentylacji otyłych (terapia CPAP) wykonano blokadę splotu ramiennego z dostępu zaprezentowanego na załączonym obrazie sonoanatomicznym do zabiegu repozycji i stabilizacji złamania nasady bliższej kości ramiennej. W trakcie zabiegu doszło do dekompensacji oddechowej wymagającej natychmiastowej instrumentacji dróg oddechowych oraz przedłużonej wentylacji w okresie pooperacyjnym. Wskaż najbardziej prawdopodobną przyczynę zaistniałej sytuacji:

Pytanie 13
Po wykonaniu blokady przykręgowej w Poradni Leczenia Bólu u chorego z przetrwałym bólem pooperacyjnym po torakotomii, pacjent zgłosił drętwienie języka, dzwonienie w uszach, zaburzenia widzenia oraz kołatanie serca. Wskaż właściwe postępowanie:
Pytanie 14
Wskaż prawdziwe stwierdzenie dotyczące anatomii splotu ramiennego:
Pytanie 15
Wskaż prawdziwe stwierdzenie dotyczące temperatury ciała:
Pytanie 16
Do powikłań cewnikowania tętnicy płucnej nie zalicza się:
Pytanie 17
Ostrej tamponady serca nie należy różnicować z:
Pytanie 18
Do zwiększenia przecieku z prawa na lewo prowadzi:
Pytanie 19
Do neurologicznych powikłań znieczulenia zewnątrzoponowego zalicza się:
Pytanie 20
Po usunięciu cewnika zewnątrzoponowego leczniczą dawkę heparyny drobnocząsteczkowej można podać:
Pytanie 21
Objawy ostrego krwiaka rdzeniowego w wyniku punkcji przestrzeni podpajęczynówkowej zlokalizowanego w przestrzeni zewnątrzoponowej w porównaniu z krwiakiem zlokalizowanym w przestrzeni podpajęczynówkowej:
Pytanie 22
W przypadku znieczulenia podpajęczynówkowego czynnik predysponujący do wystąpienia bradykardii to:
Pytanie 23
W przypadku znieczulenia podpajęczynówkowego do cięcia cesarskiego preferowany zasięg znieczulenia to:
Pytanie 24
Do wczesnych powikłań intubacji dotchawiczej nie należy:
Pytanie 25
W przypadku przewidywanej trudnej intubacji postępowaniem z wyboru jest:
Pytanie 26
U noworodków i małych dzieci odrębności anatomiczne utrudniające intubację to:
Pytanie 27
Orientacyjna odległość od warg do środka tchawicy u 4-letniego dziecka wynosi:
Pytanie 28
Łyżkę Jacksona-Wisconsina charakteryzuje:
Pytanie 29
W przypadku regurgitacji lub wymiotów podczas indukcji znieczulenia w pierwszej kolejności należy:
Pytanie 30
Brak oddechu zwrotnego i worka oddechowego charakteryzuje anestetyczny układ oddechowy:
Pytanie 31
Farmakologiczna profilaktyka aspiracji obejmuje podanie takich leków jak:
Pytanie 32
Komorowe zaburzenia rytmu serca, dusznica bolesna, zawał mięśnia sercowego lub nagła śmierć sercowa to objawy zespołu odstawienia:
Pytanie 33
U pacjentów z dystrofią mięśniową:
1) szczególnie zalecana jest indukcja wziewna;
2) do krótkich znieczuleń można zastosować sukcynylocholinę;
3) w przebiegu choroby może dochodzić także do zajęcia mięśni gładkich;
4) powikłaniem znieczulenia może być rabdomioliza i hiperkaliemia;
5) ryzyko aspiracji może być wyższe.
Prawidłowa odpowiedź to:
Pytanie 34
U pacjentów z zaburzoną czynnością wątroby stężenie bilirubiny charakterystyczne dla cholestazy to:
Pytanie 35
Luka anionowa powstaje na skutek obecności w surowicy:
Pytanie 36
Celem obliczenia luki anionowej konieczna jest znajomość stężenia jonów:
1) Na;
2) K;
3) Cl;
4) HCO3;
5) Ca.
Prawidłowa odpowiedź to:
Pytanie 37
Pobieranie CO2 w tkankach i jego oddawanie z krwi do pęcherzyków płucnych ułatwia efekt:
Pytanie 38
W trakcie II etapu postępowania diagnostycznego śmierci mózgu, analiza stwierdzeń dotyczy:
1) stwierdzenia, że pacjent jest w normotermii;
2) stwierdzenia, że perfuzja tkankowa jest prawidłowa;
3) stwierdzenia, że pacjent jest w śpiączce;
4) stwierdzenia, że wyrównano zaburzenia metaboliczne;
5) stwierdzenia, że pacjent jest wentylowany mechanicznie.
Prawidłowa odpowiedź to:
Pytanie 39
W uszkodzeniach wtórnych u osób dorosłych odstęp czasu pomiędzy dwiema seriami badań potwierdzających brak odruchów pniowych i trwały bezdech powinien wynosić co najmniej:
Pytanie 40
W trakcie procedury stwierdzania śmierci mózgu wykonanie badania instrumentalnego pozwala skrócić czas pomiędzy dwiema seriami badań u pacjentów, z wyjątkiem:
Pytanie 41
Wykonanie badania instrumentalnego pozwala skrócić czas pomiędzy dwiema seriami badań klinicznych potwierdzających brak odruchów pniowych i trwały bezdech do:
Pytanie 42
W której z poniższych sytuacji próbę bezdechu można zakończyć po 5 minutach?
Pytanie 43
W premedykacji farmakologicznej, celem stłumienia aktywności układu współczulnego stosuje się:
Pytanie 44
Pacjentka lat 78 z chorobą lokomocyjną w wywiadzie, paląca papierosy, u której planowane jest wykonanie znieczulenia bezopioidowego, uzyska w skali Apfela następującą liczbę punktów:
Pytanie 45
Ryzyko zachłyśnięcia u chorego, u którego przewiduje się pooperacyjne nudności i wymioty jest szczególnie wysokie po operacjach:
Pytanie 46
Postępowanie okołooperacyjne u chorego z patologiczną otyłością obejmuje zastosowanie poniższego protokołu:
Pytanie 47
Który z poniższych, niezależnych czynników nie jest czynnikiem predykcyjnym niemożliwej wentylacji z użyciem maski twarzowej?
Pytanie 48
Pacjent został oceniony przed operacją w skali RCRI (Revised Cardiac Risk Index). Z wywiadu: choroba niedokrwienna serca, cukrzyca, przewlekła choroba nerek. Jaki będzie wskaźnik ryzyka śmierci sercowej, zawału mięśnia sercowego i zatrzymania akcji serca w okresie okołooperacyjnym?
Pytanie 49
Wskazaniem do zastosowania rurki nosowo-gardłowej jest podtrzymanie drożności dróg oddechowych:
Pytanie 50
Aby dobrać prawidłowy rozmiar rurki krtaniowej dla pacjenta z nadwagą lub otyłością:
Pytanie 51
Manewr BURP polega na:
Pytanie 52
Bólowi neuropatycznemu może towarzyszyć zjawisko dysestezji, definiowane jako:
Pytanie 53
Test FLUID CHALLENGE pozwala zidentyfikować chorych mogących odnieść korzyść z resuscytacji objętościowej. Test polega na przetoczeniu płynów w następujący sposób:
Pytanie 54
W przypadku masywnego zatoru tętnicy płucnej dochodzi do rozwoju wstrząsu:
Pytanie 55
Do przyczyn ARDS-u pierwotnie płucnego nie należy:
Pytanie 56
Przyczyną pogorszenia wentylacji po znieczuleniu podpajęczynówkowym jest zablokowanie przewodzenia w nerwach rdzeniowych:
Pytanie 57
Przeciwwskazaniem do zastosowania noradrenaliny jako dodatku do leków znieczulających miejscowo w stomatologii jest/są:
Pytanie 58
Blokada nerwu zasłonowego jest wskazana w następującym zabiegu:
Pytanie 59
Według wytycznych leczenia bólu PTAiIT (2018) dawka dożylna pojedynczego bolusa w systemie PCA dla nalbufiny wynosi:
Pytanie 60
Identyfikacja przestrzeni zewnątrzoponowej w odcinku piersiowym następuje poprzez:
Pytanie 61
Dawka doustna midazolamu odpowiednia do premedykacji 3-letniego dziecka o masie ciała 15 kg wynosi:
Pytanie 62
Wskaż fałszywe stwierdzenie dotyczące wstrząsu neurogennego:
Pytanie 63
Wskaż prawdziwe stwierdzenia dotyczące ostrego bólu porodowego:
1) ból pierwszej fazy porodu jest związany z rozwieraniem dolnych segmentów trzonu i szyjki macicy, jest bólem somatycznym, dobrze zlokalizowanym;
2) ból pierwszej fazy porodu jest przewodzony włóknami nerwu sromowego powstającego z nerwów krzyżowych S2-S4;
3) ból pierwszej fazy porodu jest przewodzony włóknami czuciowymi i współczulnymi przez nerwy podbrzuszne, a następnie korzenie Th10-L2;
4) ból drugiej fazy porodu jest przewodzony włóknami czuciowymi i współczulnymi przez nerwy podbrzuszne, a następnie korzenie Th10-L2;
5) ból drugiej fazy porodu jest przewodzony włóknami nerwu sromowego powstającego z nerwów krzyżowych S2-S4;
6) ból drugiej fazy porodu jest bólem trzewnym, wywołanym rozciąganiem dna miednicy i uciskiem płodu na pochwę i struktury miednicy.
Prawidłowa odpowiedź to:
Pytanie 64
W których przypadkach można bezpiecznie wykonać blokadę centralną, uwzględniając czas, jaki minął od podania leków wpływających na hemostazę, u pacjenta z prawidłową funkcją nerek i wątroby?
1) heparyna niefrakcjonowana podana w dawce 5000j. podskórnie - po 2h;
2) heparyna drobnocząsteczkowa podana podskórnie w dawce profilaktycznej - po 6h;
3) heparyna drobnocząsteczkowa podana podskórnie w dawce leczniczej - po 12h;
4) heparyna niefrakcjonowana podawana dożylnie w dawce leczniczej - po 6h od przerwania wlewu i przy prawidłowym APTT;
5) heparyna drobnocząsteczkowa podawana podskórnie w dawce leczniczej - po 24h lub wcześniej, gdy prawidłowy APTT;
6) warfaryna podawana doustnie - po 4-5 dniach przy INR<1,4.
Prawidłowa odpowiedź to:
Pytanie 65
Lekami mogącymi powodować hiperkaliemię przez upośledzenie wydalania potasu przez nerki są:
Pytanie 66
Wskaż prawdziwe stwierdzenia dotyczące mioklonii:
1) są to ruchy kończyn o stałej częstotliwości i amplitudzie;
2) mogą rozpoczynać się spontanicznie lub pod wpływem bodźców;
3) są najbardziej charakterystyczne dla uszkodzenia mózgu po zatrzymaniu krążenia;
4) wiążą się z charakterystycznymi wyładowaniami obserwowanymi w badaniu elektroencefalograficznym;
5) ich występowanie jest jednym z czynników prognostycznych przy ocenie rokowania neurologicznego po zatrzymaniu krążenia.
Prawidłowa odpowiedź to:
Pytanie 67
Wskaż prawdziwe stwierdzenia dotyczące podawanego dożylnie furosemidu:
1) może przekształcić oligouryczne ostre uszkodzenie nerek w nieoligouryczne, które lepiej rokuje;
2) może poprawić funkcję nerek w ostrym uszkodzeniu i w ten sposób pozwolić uniknąć terapii nerkozastępczej;
3) może pozwolić uniknąć akumulacji płynów w ostrym uszkodzeniu nerek;
4) zmniejsza obciążenie następcze dla lewej komory serca;
5) jest lekiem pierwszego rzutu w ostrej niewydolności lewokomorowej niezależnie od statusu płynowego pacjenta (hypo-, eu-, hiperwolemii).
Prawidłowa odpowiedź to:
Pytanie 68
Konsekwencją wewnątrzpłucnego przecieku krwi na poziomie 50% jest:
Pytanie 69
Do czynników wpływających na szybkość przepływu płynu przez kaniulę dożylną należą:
Pytanie 70
38-letni pacjent z urazem czaszkowo-mózgowym hospitalizowany jest na OAiIT. Założono monitorowanie ICP, którego poziom wynosi 60 mmHg. Parametry krążenia tego pacjenta to HR 70/min, RR 90/60 mmHg. Mózgowe ciśnienie perfuzji u pacjenta:
Pytanie 71
Wskaż prawdziwe stwierdzenia dotyczące noradrenaliny:
1) pobudza receptory alfa, wywołuje zależny od dawki spadek oporu naczyniowego;
2) wywołuje skurcz naczyń, zwykle zmniejsza przepływ krwi w narządach;
3) to lek z wyboru stosowany we wstrząsie septycznym, celem podwyższenia ciśnienia perfuzji narządowej;
4) wpływa na zwiększenie przeżywalności chorych we wstrząsie;
5) jest inaktywowana w środowisku kwaśnym.
Prawidłowa odpowiedź to:
Pytanie 72
Resuscytacja płynowa w OAiIT odgrywa kluczowe znaczenie. Wskaż fałszywe stwierdzenia:
1) skutkiem terapii płynami krystaloidowymi jest głównie wzrost objętości płynu pozakomórkowego;
2) dożylny wlew 0,9% NaCl może być przyczyną zasadowicy metabolicznej;
3) wapń zawarty w roztworze Ringera może wiązać się z niektórymi lekami, zmniejszając ich skuteczność;
4) głównym następstwem przetoczenia 5% roztworu glukozy jest odwodnienie komórkowe.
Prawidłowa odpowiedź to:
Pytanie 73
Zmiany fizjologiczne zachodzące u kobiety ciężarnej w obrębie układu oddechowego i krążenia obejmują:
1) zwiększenie czynnościowej pojemności zalegającej o ok. 20%;
2) zwiększenie objętości oddechowej;
3) zmniejszenie oporu dróg oddechowych;
4) zmniejszenie obciążenia wstępnego;
5) zmniejszenie obwodowego oporu naczyniowego.
Prawidłowa odpowiedź to:
Pytanie 74
Wskaż fałszywe stwierdzenie dotyczące zespołu TUR:
Pytanie 75
Pacjent o masie ciała 70 kg, znieczulony ogólnie do zabiegu cholecystektomii metodą laparoskopową. Przy indukcji znieczulenia, w celu zwiotczenia podano 35 mg atrakurium. Po trwającym ok. 45 minut zabiegu stwierdzono utrzymującą się blokadę nerwowo-mięśniową z TOFR = 4 odpowiedzi/35%. Zdecydowano o konieczności przerwania bloku resztkowego, w tym celu właściwe będzie zastosowanie:
Pytanie 76
Z widocznych poniżej parametrów wentylacji mechanicznej pacjenta w trakcie znieczulenia ogólnego można stwierdzić:
1) wentylacja prowadzona jest w trybie objętościowo zależnym;
2) podatność wynosi poniżej 30 ml/cmH2O;
3) wentylacja prowadzona jest w trybie ciśnieniowo zależnym;
4) zastosowano znieczulenie techniką low-flow (z niskim przepływem);
5) stosunek czasu wdechu do wydechu (I:E) wynosi około 2:1.
Prawidłowa odpowiedź to:

Pytanie 77
Wskaż fałszywe stwierdzenie dotyczące wybranych analgetyków nieopioidowych:
Pytanie 78
Czynniki wpływające na MAC anestetyku wziewnego to:
1) wiek;
2) płeć;
3) ciepłota ciała;
4) ciąża;
5) czas trwania znieczulenia.
Prawidłowa odpowiedź to:
Pytanie 79
Zgodnie z Wytycznymi ERC 2021, do objawów zagrożenia zatrzymaniem krążenia u pacjentów z ciężkim napadem astmy należą:
1) częstość oddechów > 25/min;
2) tachykardia (akcja serca >110/min.);
3) podwyższone paCO2;
4) szczytowy przepływ wydechowy (PEF) < 33% wartości najlepszej lub przewidywanej;
5) konieczność wentylacji płuc z użyciem wysokich ciśnień wdechowych.
Prawidłowa odpowiedź to:
Pytanie 80
Ocena skuteczności ogrzewania pacjenta przy użyciu pozaustrojowych technik podtrzymywania funkcji narządów (Extracorporeal Life Support - ECLS) powinna opierać́ się̨ na punktacji w skalach HOPE lub ICE. Jakie wartości tych skal stanowią podstawę do wdrożenia terapii pozaustrojowej oksygenacji membranowej (ECMO) u pacjentów z zatrzymaniem krążenia spowodowanym ciężką hipotermią?
Pytanie 81
Zgodnie z Wytycznymi ERC 2021, zaawansowane zabiegi resuscytacyjne u pacjentki ciężarnej obejmują następujące zasady/czynności:
Pytanie 82
W przypadku wystąpienia wstrząsu anafilaktycznego, opornego na powtarzane dawki adrenaliny, u chorego przyjmującego propranolol, zgodnie z Wytycznymi ERC 2021 w celu optymalizacji leczenia należy rozważyć podanie:
Pytanie 83
W trakcie dyżuru anestezjolog został wezwany na oddział okulistyczny w celu przeprowadzenia pilnej konsultacji u 82-letniego pacjenta z ostrymi zaburzeniami świadomości. Z dostępnej dokumentacji medycznej wynikało, że chory był przyjęty w trybie planowym w celu przeprowadzenia zabiegu fakoemulsyfikacji zaćmy oka prawego, był obciążony nadciśnieniem tętniczym, stabilną chorobą wieńcową oraz rakiem gruczołu krokowego z licznymi przerzutami do kości. Przebieg zabiegu w znieczuleniu miejscowym był niepowikłany, po kilku godzinach chory zaczął zgłaszać osłabienie, ból brzucha, a następnie pojawiły się zaburzenia świadomości. W badaniu przedmiotowym chory był przytomny, splątany, oceniony w skali Glasgow na 13 pkt (4/4, 4/5, 5/6). Zwracała uwagę hipotensja, a w wykonanym badaniu EKG stwierdzono skrócenie odstępu QT, wydłużenie czasu trwania zespołu QRS, płaski załamek T oraz blok przedsionkowo-komorowy I stopnia. Na podstawie wywiadu oraz badania przedmiotowego wskaż najwłaściwsze postępowanie terapeutyczne u tego pacjenta:
Pytanie 84
Przyczyną fałszywego odczytu pulsoksymetrii nie jest:
Pytanie 85
O zadowalającym stopniu utlenowania hemoglobiny świadczy wartość saturacji krwi tętniczej większa niż:
Pytanie 86
Kontrolowana podaż tlenu w mieszaninie oddechowej z zachowaniem dodatnich ciśnień wydechowych przez cały cykl wentylacji przynosi pozytywne efekty w poniższych sytuacjach, z wyjątkiem:
Pytanie 87
Funkcja transportowa oskrzeli ulega zakłóceniu wskutek stosowania:
Pytanie 88
Wskaż fałszywe stwierdzenie dotyczące wentylacji ograniczanej ciśnieniem:
Pytanie 89
Do kwasicy metabolicznej ze zwiększoną luką anionową nie prowadzi:
Pytanie 90
Początkowe dawki naloksonu stosowane w przypadku zaburzeń przytomności (bez depresji oddechowej) i w przypadkach depresji oddechowej wynoszą w podaniu dożylnym odpowiednio:
Pytanie 91
Dawkowania którego z antybiotyków nie modyfikuje się w niewydolności nerek?
Pytanie 92
Wskaż prawidłowe dopasowanie cefalosporyny do grupy (generacji):
Pytanie 93
Który z wymienionych antybiotyków nie wykazuje klinicznie istotnej aktywności wobec pałeczek ropy błękitnej?
Pytanie 94
Zgodnie z Wytycznymi uśmierzania bólu u dzieci PTAiIT, glikokortykoidem, który jest najszerzej stosowany w łagodzeniu bólu pooperacyjnego u dzieci jest:
Pytanie 95
Niesterydowe leki przeciwzapalne znajdują zastosowanie w łagodzeniu bólu ostrego u dzieci. Ograniczeniem ich użycia jest wiek dziecka. Wskaż, dla którego z poniższych zgodnie z Wytycznymi uśmierzania bólu u dzieci PTAiIT granica wieku jest najwyższa:
Pytanie 96
Zgodnie z Wytycznymi uśmierzania bólu u dzieci PTAiIT deksketoprofen stosowany jest w dawce:
Pytanie 97
Do skal oceny bólu opartych na zachowaniu dziecka lub zachowaniu i parametrach fizjologicznych nie należy:
Pytanie 98
Przy jakiej ciepłocie ciała rozpoznaje się gorączkę u chorych leczonych na OIT, u których stwierdza się zaburzenia odporności?
Pytanie 99
W kryteriach RIFLE pod literą E kryje się:
Pytanie 100
Chory po urazie głowy otwiera oczy na ból, nie wydaje żadnych dźwięków, najlepsza odpowiedź ruchowa to nieprawidłowy wyprost. Punktacja w skali śpiączki Glasgow (GCS) wynosi u niego:
Pytanie 101
Do przyczyn obrzęku naczynioruchowego mózgu zalicza się:
Pytanie 102
Zapis EKG widoczny na rycinie przedstawia:

Pytanie 103
Który z wymienionych leków powoduje wydłużenie odstępu QT i może wyzwolić napad częstoskurczu torsade de pointes?
Pytanie 104
Odstęp QT w krzywej EKG odzwierciedla czas:
Pytanie 105
Przyczyną zasadowicy opornej na chlorki jest/są:
Pytanie 106
U chorego z masą ciała 70 kg i zasadowicą metaboliczną spowodowaną długo trwającymi wymiotami stwierdzono stężenie chlorków w surowicy 80 mEq/l. Przy założeniu, że prawidłowe stężenie chlorków w surowicy wynosi 100 mEq/l, wyliczony niedobór wyniesie (w mEq):
Pytanie 107
Pierwiastkiem śladowym w organizmie człowieka nie jest:
Pytanie 108
Wskaż prawdziwe stwierdzenie dotyczące mocznika:
Pytanie 109
Wskaż prawdziwe stwierdzenie dotyczące osmolalności:
Pytanie 110
Stężenie białka w płynie mózgowo-rdzeniowym:
Pytanie 111
U 72-letniego chorego z cukrzycą i przewlekłą chorobą nerek (niewymagającą dializoterapii) leczono, przy użyciu wentylacji mechanicznej, niewydolność oddechową, która rozwinęła się w wyniku pourazowego stłuczenia płuc. W piątej dobie stwierdzono cechy bakteryjnego zapalenia płuc, rozpoznano VAP i wdrożono typowe leczenie empiryczne. Chorego zakwalifikowano do grupy ryzyka zakażenia gronkowcem złocistym MRSA. Który lek należy wybrać jako optymalny do empirycznego poszerzenia antybiotykoterapii?
Pytanie 112
Charakterystyczna/e dla zespołu HELLP nie jest:
Pytanie 113
Wskaż wartości graniczne ciśnienia tętniczego, przy których należy zrezygnować z planowego znieczulenia:
Pytanie 114
Do operacji umiarkowanego ryzyka wystąpienia powikłań okołooperacyjnych należy:
Pytanie 115
Kryteria qSOFA (quick SOFA, szybka SOFA) obejmują:
Pytanie 116
Chory otyły z BMI 39 kg/m2 nie podaje innych obciążeń. Do jakiej grupy w skali ASA zostanie zakwalifikowany?
Pytanie 117
Spośród wymienionych anestetyków wziewnych w najmniejszym stopniu metabolizuje się w organizmie człowieka:
Pytanie 118
Przedstawiony na rycinie układ oddechowy to układ:

Pytanie 119
Reguła 4H obejmująca potencjalne przyczyny śródoperacyjnego zatrzymania krążenia nie obejmuje:
Pytanie 120
Struktura nerwowa zaopatrująca czuciowo przyśrodkowy obszar podudzia oraz obszar w obrębie kostki przyśrodkowej (ciemniejszy obszar na dołączonym zdjęciu) to:




