Wyszukaj egzamin lub pytanie
Baza pytań CEM LEK Chirurgia ogólna
344 pytań
Pytanie 1
W przypadku gruczolakoraka zlokalizowanego w esicy możliwe jest wykonanie:
Pytanie 2
Pacjent przetransportowany na szpitalną Izbę Przyjęć w złym stanie ogólnym. Zgłasza dolegliwości bólowe za mostkiem, wysoko gorączkuje. W badaniu przedmiotowym wyczuwalne trzeszczenie skóry na szyi. W wywiadzie zaawansowany rak przełyku. W badaniu CT klatki piersiowej wykazano obecność powietrza w śródpiersiu, wyciek kontrastu w piersiowym odcinku przełyku oraz wysięk płynu w prawej jamie opłucnej. Jakie postępowanie chirurgiczne należy wykonać w tym przypadku?
Pytanie 3
II stopień w klasyfikacji powikłań zapalenia uchyłków jelita grubego wg Hinchey’a oznacza:
Pytanie 4
25-letnia kobieta w samobadaniu piersi wykryła guzek piersi prawej wielkości około 2cmx1cm znajdujący się w górnym bocznym kwadrancie, który zweryfikowano w biopsji jako rak przewodowy sutka. W związku ze spływem chłonki drogą Rotha u pacjentki można spodziewać się przerzutów w węzłach chłonnych:
Pytanie 5
Do wtórnych zapaleń otrzewnej nie zalicza się:
Pytanie 6
Wskazaniem do leczenia operacyjnego tętniaka aorty brzusznej jest:
Pytanie 7
Bezwzględnym wskazaniem do leczenia operacyjnego ostrego zapalenia trzustki nie jest:
Pytanie 8
Leczenie przetok tchawiczo-przełykowych będących patologicznym połączeniem światła tchawicy i przełyku przez kanał pokryty nabłonkiem jest bardzo trudne i związane z licznymi niepowodzeniami. Wskaż metody stosowane w leczeniu przetok tchawiczo-przełykowych: 1) założenie zgłębnika do żołądka lub jelita i prowadzenie żywienia dojelitowego; 2) założenie stałego samorozprężalnego stentu przełykowego; 3) założenie czasowego stentu samorozprężalnego do tchawicy i przełyku; 4) próby zamknięcia kanału przetoki za pomocą powtarzalnych ablacji, klejów biologicznych i obliteracji; 5) wycięcie przetoki z odcinkową resekcją tchawicy i pierwotnym szyciem przełyku ze wzmocnieniem uszypułowanym płatem tkankowym z sąsiedztwa. Prawidłowa odpowiedź to:
Pytanie 9
Najczęstszą przyczyną niedrożności mechanicznej dolnego odcinka przewodu pokarmowego jest/są:
Pytanie 10
Zespół ciasnoty wewnątrzbrzusznej nie powstaje na skutek:
Pytanie 11
Otyłość olbrzymia jest istotnym czynnikiem rozwoju raka:
Pytanie 12
27-letnia, nielecząca się przewlekle pacjentka została przywieziona do SOR z powoduzasłabnięcia i silnego bólu brzucha od 30 minut. CTK 80/60 mmHg, HR: 105 u/min. Wbadaniach krwi Hb: 12,5 g/dl, Hct: 41,5%, PLT: 251 tys/mm3, Na: 135 mmol/l, K: 4,5mmol/l, amylaza: 463 U/l, bilirubina całkowita: 0,7 mg/dl, β-hCG: 1,15 mIU/ml. W USGFAST ślad płynu okołośledzionowo i w zatoce Douglasa. Wskaż najbardziejprawdopodobną przyczynę bólu brzucha u tej pacjentki:
Pytanie 13
Wskaż fałszywe stwierdzenie dotyczące rodzinnej polipowatości gruczolakowatej (FAP):
Pytanie 14
Do wczesnych powikłań po zabiegach naczyniowych rozpoznawanych w USG należy:
Pytanie 15
Do szpitala został przyjęty 57-letni mężczyzna z objawami ostrego zapalenia trzustki. W wywiadzie brak cech kamicy pęcherzyka żółciowego, ale dzień przed przyjęciem nadużywał alkoholu. W badaniach laboratoryjnych przy przyjęciu: Hct 46%, WBC 16 300/mm3, glukoza 189 mg/dl, LDH 279 j.m/l, AspAT 193 j.m/l, Ca2+ w surowicy 1,95 mmol/l, mocznik 1,50 mmol/l, PaO2 67 mmHg. W trzeciej dobie hospitalizacji: Hct 40%, WBC 13 500/mm , glukoza 163 mg/dl, LDH 183 j.m/l, AspAT 170 j.m/l, Ca2+ w surowicy 1,85 mmol/l, mocznik 1,73 mmol/l, PaO2 57 mmHg. U powyższego pacjenta posługując się skalą Ransona można stwierdzić:
Pytanie 16
I stopień klasyfikacji uszkodzeń dróg żółciowych według Bismutha oznacza uszkodzenie:
Pytanie 17
Najczęstszą przyczyną przetok jelitowych jest/są:
Pytanie 18
Do przepuklin brzusznych wewnętrznych nie zalicza się przepukliny:
Pytanie 19
Wskazaniem nagłym do zabiegu operacyjnego w chorobie Crohna jest:
Pytanie 20
Najczęstszą bezpośrednią przyczyną ostrego zapalenia otrzewnej jest:
Pytanie 21
Względne przeciwwskazanie do leczenia oszczędzającego w raku piersi stanowi:
Pytanie 22
Wskaż fałszywe stwierdzenie dotyczące uchyłków przewodu pokarmowego:
Pytanie 23
Objawy kliniczne związane z uchyłkiem Zenker’a obejmują:
Pytanie 24
Najbardziej znane koncepcje dotyczące powstawania żylaków wiążą ich genezę z:
Pytanie 25
Wskazania do zastosowania całkowitego żywienia pozajelitowego obejmują: 1) przedłużającą się niedrożność porażenną jelit; 2) sepsę z ogniskiem zakażenia w jamie brzusznej; 3) przetokę proksymalnego odcinka jelita cienkiego o dużym wydzielaniu; 4) konieczność zaspokojenia zwiększonych potrzeb metabolicznych po ciężkim urazie; 5) porażenie rzekomoopuszkowe; 6) śpiączkę wskutek krwawienia podpajęczynówkowego; 7) izolowane odmrożenia palców kończyn dolnych. Prawidłowa odpowiedź to:
Pytanie 26
Profilaktyka przeciwzakrzepowa nie obejmuje:
Pytanie 27
Wskaż właściwe elementy postępowania w przypadku chorego z zażółconą skórą, który zgłosił się do poradni chirurgicznej: 1) badania laboratoryjne: bilirubiny, fosfatazy alkalicznej, ALAT, ASPAT, GGTP; 2) USG jamy brzusznej; 3) skierowanie do szpitala w celu wykonania endoskopowej wstecznej cholangiopankreatografii; 4) skierowanie do pracowni badań obrazowych w celu wykonania cholangio-NMR. Prawidłowa odpowiedź to:
Pytanie 28
36-letnia kobieta, potrącona przez samochód, trafiła na Szpitalny Oddział Ratunkowy z rozwijającym się wstrząsem krwotocznym. W wykonanym USG w algorytmie FAST stwierdzono znaczną ilość wolnego płynu w jamie otrzewnowej. CTK: nieoznaczalne, HR: 134 u/min. Na SOR rozpoczęto przetaczanie 4 jednostek krwi 0 Rh minus (-). Pacjentkę zakwalifikowano do pilnej laparotomii. W trakcie zabiegu przetoczono kolejne 4 jednostki koncentratu krwinek czerwonych oraz 4 jednostki świeżo mrożonego osocza. Powikłaniem takiego postępowania może być: 1) małopłytkowość; 2) koagulopatia; 3) hipokalcemia; 4) hiperkalcemia; 5) hipokaliemia; 6) hiperkaliemia; 7) hipotermia. Prawidłowa odpowiedź to:
Pytanie 29
Najczęstszą, bezpośrednią przyczyną ostrego zapalenia otrzewnej jest:
Pytanie 30
Zabieg przecięcia mięśniówki przełyku wraz z mięśniem zwieracza dolnego przełyku wykonuje się u chorych z:
Pytanie 31
54-letnia chora zgłosiła się do SOR z powodu wystąpienia krwistego stolca. W badaniu fizykalnym stwierdzono: kontakt słowny zachowany, apatia, tachykardia 120/min, ciśnienie tętnicze 90/60 mmHg, bladość powłok, powłoki jamy brzusznej w poziomie łuków żebrowych, brzuch miękki w palpacji bez objawów otrzewnowych, perystaltyka przyśpieszona, w badaniu per rectum świeża krew. W badaniach laboratoryjnych WBC 17 tys./mm3, RBC 2,9 mln/mm3, HGB 8,7 g/dl, PLT 60 tys./mm3, APTT 40 s, INR 1,9. Dodatkowo w wywiadzie chora podaje stan po przebytej infekcji WZW typu B kilka lat wcześniej. Wskaż prawdziwe stwierdzenia: 1) w pierwszej kolejności należy włączyć leczenie płynami infuzyjnymi oraz preparatami krwiopochodnymi w celu opanowania wstrząsu oligowolemicznego; 2) należy wykonać kolonoskopię z uwagi na najbardziej prawdopodobny punkt wyjścia krwawienia z dolnego odcinka przewodu pokarmowego; 3) należy wykonać w krótkim odstępie czasu kontrolne badania krwi w celu zdiagnozowania czynnego krwawienia; 4) wskazane jest wykonanie gastroskopii w trybie pilnym; 5) założenie sondy do żołądka w celu oceny treści żołądkowej umożliwi postawienie prawidłowego rozpoznania i podjęcie właściwego leczenia. Prawidłowa odpowiedź to:
Pytanie 32
Wrzodziejące zapalenie jelita grubego jest chorobą leczoną chirurgicznie. Złotym standardem w leczeniu planowym jest:
Pytanie 33
Pozawęzłowy chłoniak najczęściej lokalizuje się w:
Pytanie 34
Wskaż fałszywe stwierdzenie dotyczące chirurgii śledziony:
Pytanie 35
Do oddziału chirurgicznego zostaje przyjęty pacjent z oparzeniami termicznymi II stopnia przedniej powierzchni klatki piersiowej oraz obu kończyn górnych. Oblicz powierzchnię oparzeń zgodnie z regułą dziewiątek oraz objętość płynów konieczną do przetoczenia pacjentowi w ciągu 24 h zgodnie z regułą Parkland:
Pytanie 36
Do SOR zgłosił się 35-letni pacjent z silnymi dolegliwościami bólowymi w nadbrzuszu. Objawy utrzymują się od kilkunastu godzin. W badaniach laboratoryjnych: podwyższone stężenie WBC, CRP, bilirubiny, zmniejszone stężenie jonów wapnia, podwyższona aktywność aminotransferaz, amylazy, lipazy, LDH, GGTP i fosfatazy alkalicznej. W USG jamy brzusznej stwierdzono poszerzenie wewnątrzwątrobowych dróg żółciowych oraz zatarcie struktury trzustki. Właściwym postępowaniem będzie:
Pytanie 37
Laparoskopową alloplastykę przepukliny pachwinowej zalicza się do:
Pytanie 38
Najczęstszą, bezpośrednią przyczyną ostrego zapalenia otrzewnej jest:
Pytanie 39
Najczęstszą przyczyną krwawienia z górnego odcinka przewodu pokarmowego jest:
Pytanie 40
Najczęstszym powikłaniem po operacji tarczycy jest:
Pytanie 41
W klasyfikacji TNM raka jelita grubego cecha T1 oznacza naciekanie:
Pytanie 42
Typ IV choroby Takayasu charakteryzuje się zmianami zapalnymi w:
Pytanie 43
Wskaż prawdziwe stwierdzenia dotyczące raka trzustki: 1) laparoskopia jest przeciwwskazana w leczeniu operacyjnym; 2) żółtaczka może być jednym z pierwszych objawów i może świadczyć o ucisku na drogi żółciowe; 3) najczęstszą lokalizacją jest głowa trzustki; 4) wyleczalność szacuje się na poziomie 50%; 5) częściej chorują kobiety. Prawidłowa odpowiedź to:
Pytanie 44
Łuk Riolana stanowi połączenie:
Pytanie 45
Podczas resekcji żołądka sposobem Billroth I rekonstrukcja przewodu pokarmowego jest wykonywana z zespoleniem pomiędzy:
Pytanie 46
Najczęstszym guzem neuroendokrynnym trzustki jest:
Pytanie 47
52-letnia otyła kobieta zgłosiła się do ginekologa z powodu okresowego krwawienia z dróg rodnych. W czasie wykonywania przezbrzusznego USG przypadkowo stwierdzono 2,5 cm złóg w pęcherzyku żółciowym. Z wywiadu wynika, że kobieta nie wiedziała, że choruje na kamicę pęcherzyka żółciowego i nie miała dotychczas żadnych objawów, które mogłyby sugerować tą chorobę. Właściwym postępowaniem będzie:
Pytanie 48
Wskaż fałszywe stwierdzenie dotyczące uchyłku Meckela:
Pytanie 49
Wskaż fałszywe stwierdzenie dotyczące niedrożności jelit:
Pytanie 50
Do przyczyn odwodnienia hipertonicznego nie zalicza się:
Pytanie 51
Zator tętniczy najczęściej występuje w:
Pytanie 52
Najczęstszą przyczyną przewlekłego krwawienia do dolnego odcinka przewodu pokarmowego jest/są:
Pytanie 53
Standardem leczenia choroby wrzodowej żołądka jest:
Pytanie 54
Do najczęstszych objawów tzw. „ostrego brzucha” nie zalicza się:
Pytanie 55
Podczas zabiegu polegającego na wycięciu prawego płata wątroby, przez źle wykonane cięcie doszło do uszkodzenia zagięcia wątrobowego okrężnicy z perforacją jego ściany i wydostaniem się treści pokarmowej do jamy otrzewnej. Jak klasyfikuje się taką ranę?
Pytanie 56
Wskaż prawdziwe stwierdzenie dotyczące triady Charcota:
Pytanie 57
Wskaż fałszywe stwierdzenie dotyczące raka brodawki Vatera:
Pytanie 58
W przypadku torbieli trzustki wykonanie operacji chirurgicznej należy rozważać jeśli: 1) jest to torbiel rzekoma; 2) wykazano w badaniach RM (rezonans magnetyczny) oraz endoskopowej cholangiopankreatografii wstecznej (ECPW) połączenie z przewodem Wirsunga; 3) wystąpiły powikłania (zakażenie, krwawienie); 4) średnica torbieli jest większa niż 6 cm. Prawidłowa odpowiedź to:
Pytanie 59
Który z objawów klinicznych jest wskazaniem do pilnego leczenia operacyjnego w chorobie Leśniowskiego-Crohna?
Pytanie 60
Na częstość powikłań pooperacyjnych po leczeniu chirurgicznym perforacji wrzodu trawiennego podstawowy wpływ ma:
Pytanie 61
Tereny endemicznego niedoboru jodu charakteryzują się zwiększoną częstością występowania raka:
Pytanie 62
Późnym objawem ostrego niedokrwienia kończyny jest:
Pytanie 63
Przyczyną zespołu krótkiego jelita może być:
Pytanie 64
Trzeci stopień (ASA 3) w klasyfikacji ryzyka znieczulenia Amerykańskiego Towarzystwa Anestezjologicznego oznacza:
Pytanie 65
Niepowikłana choroba uchyłkowa jelita grubego wymaga:
Pytanie 66
Pacjent z niewyrównaną cukrzycą i kwasicą ketonową znacznego stopnia skarży się na silny ból brzucha, nudności i wymioty. W badaniu fizykalnym nie stwierdza się jednak ewidentnych objawów zapalenia otrzewnej. W pierwszej kolejności u tego pacjenta powinno się:
Pytanie 67
Które z wymienionych dostępów do przewodu pokarmowego mogą być stosowane w leczeniu żywieniowym?
Pytanie 68
Podwyższone ryzyko powikłań okołooperacyjnych występuje u chorych: 1) otyłych; 2) w wieku poniżej 30 lat; 3) z chorobą wieńcową; 4) z cukrzycą; 5) zaklasyfikowanych do grupy ASA I wg Amerykańskiego Towarzystwa Anestezjologicznego. Prawidłowa odpowiedź to:
Pytanie 69
Wskaż prawdziwe stwierdzenie dotyczące częstości występowania przepuklin:
Pytanie 70
Przeciwwskazaniem do wykonania zabiegu operacyjnego metodą laparoskopową są: 1) przebyty zabieg operacyjny; 2) pęknięcie wrzodu trawiennego żołądka; 3) niewydolność krążeniowo-oddechowa; 4) zabieg operacyjny z powodu choroby nowotworowej; 5) zaburzenia krzepnięcia krwi; 6) brak zgody pacjenta na taki zabieg. Prawidłowa odpowiedź to:
Pytanie 71
Najczęstszą przyczyną prowadzącą do wystąpienia zespołu krótkiego jelita jest:
Pytanie 72
Wskaż fałszywe stwierdzenie dotyczące epidemiologii raka trzustki:
Pytanie 73
Zespół zwiększonego ciśnienia śródbrzusznego nie prowadzi do:
Pytanie 74
Jaka jest najczęstsza pozajelitowa przyczyna niedrożności mechanicznej jelita cienkiego u dorosłych w krajach rozwiniętych?
Pytanie 75
Przyczyną wystąpienia objawów niedrożności jelit może być:
Pytanie 76
Przyczyną niedrożności porażennej może być:
Pytanie 77
Która z poniższych cech nie przemawia za rozwojem czerniaka ze znamienia barwnikowego?
Pytanie 78
Do lekarza zgłosił się 42-letni mężczyzna, skarżący się na spadek masy ciała - 15 kg w ciągu 3 miesięcy, biegunki, zwiększone wydalanie moczu, nawracające infekcje dróg moczowych oraz nawracające zapalenie błony śluzowej jamy ustnej. W wykonanym USG brzucha uwidoczniono guza głowy trzustki. Pod kontrolą endoskopowej ultrasonografii wykonano biopsję guza. Najbardziej prawdopodobnym wynikiem biopsji będzie:
Pytanie 79
Objawy takie jak: przyśpieszony i niemiarowy oddech, wyprostne reakcje kończyn na bodźce zewnętrzne, obustronny objaw Babińskiego, upośledzenie reakcji źrenic na światło, wzrost ciśnienia tętniczego i przyśpieszenie tętna oraz wzmożone pocenie wskazują na stłuczenie:
Pytanie 80
Maści zawierające nitroglicerynę znajdują zastosowanie w proktologii. W której z wymienionych chorób?
Pytanie 81
Do oddziału chirurgicznego został przyjęty pacjent o masie ciała 100 kg z oparzeniami termicznymi III stopnia przedniej powierzchni klatki piersiowej, brzucha oraz krocza. Oblicz powierzchnię oparzeń zgodnie z regułą dziewiątek oraz objętość płynów konieczną do przetoczenia pacjentowi w ciągu 24 h zgodnie z regułą Parkland.
Pytanie 82
Wskaż fałszywe stwierdzenie dotyczące raka trzustki:
Pytanie 83
Wskaż prawdziwe stwierdzenie dotyczące raka żołądka:
Pytanie 84
Do ambulatorium chirurgicznego został skierowany chory z powodu guzów: prawego nadnercza o średnicy 4,8 cm oraz lewego nadnercza o średnicy 2,1 cm (w badaniu TK j. brzusznej - obraz gruczolaków). Badania laboratoryjne wykluczyły czynność hormonalną guzów. Postępowaniem z wyboru u tego chorego będzie:
Pytanie 85
Do przyczyn hiperamylazemii należą: 1) ostre zapalenie trzustki; 2) perforacja wrzodu trawiennego; 3) złamanie nasady dalszej kości promieniowej; 4) pęknięta ciąża pozamaciczna; 5) niewydolność nerek; 6) zapalenie pęcherza moczowego; 7) ostre zapalenie wyrostka robaczkowego; 8) zanokcica palucha stopy prawej. Prawidłowa odpowiedź to:
Pytanie 86
W klasyfikacji zmian krwawiących stopień II według Forresta oznacza:
Pytanie 87
W klasyfikacji TNM raka jelita grubego cecha T4 oznacza naciekanie:
Pytanie 88
70-letni pacjent zgłosił się do lekarza POZ z powodu nawracających krwawień z dolnego odcinka przewodu pokarmowego. W wywiadzie pacjent zgłasza zwykle prawidłowe wypróżnienia, jednak okresowo występują śluzowate biegunki. Pacjent podejrzewa krwawienie z hemoroidów. Jakie jest właściwe postępowanie diagnostyczno-lecznicze?
Pytanie 89
Leczenie operacyjne przepukliny pachwinowej metodą Lichtensteina:
Pytanie 90
35-letni pacjent został przyjęty do oddziału chirurgicznego z rozpoznaniem ostrego zapalenia trzustki w przebiegu choroby alkoholowej. Chory zgłasza wymioty i bóle w nadbrzuszu. W badaniach obrazowych wykluczono kamicę przewodów żółciowych, potwierdzono postać obrzękową zapalenia trzustki i wykluczono obecność patologicznych zbiorników w okolicy trzustki. U chorego nie występują objawy zapalenia dróg żółciowych, a wykładniki stanu zapalnego utrzymują się na niskim poziomie. Jakie powinno być dalsze postępowanie?
Pytanie 91
Najczęstszym powikłaniem po wycięciu tarczycy jest:
Pytanie 92
Przednią ścianę kanału pachwinowego stanowi:
Pytanie 93
Do znieczulenia regionalnego nie zalicza się:
Pytanie 94
Chory był hospitalizowany przez dwa tygodnie z powodu ostrego zapalenia trzustki. W trzy tygodnie po wypisaniu do domu zaczął odczuwać bóle w nadbrzuszu, pojawiła się narastająca powoli gorączka. W nadbrzuszu wyczuwa się bolesny, nieruchomy guz. Najbardziej prawdopodobne rozpoznanie to:
Pytanie 95
Do beznapięciowych technik operacyjnych przepukliny pachwinowej należy:
Pytanie 96
Do poradni zgłosił się młody mężczyzna, który zauważył okresowy wyciek treści ropnej w górnej części szpary pośladkowej, któremu towarzyszy ból. W badaniu ujawniono kilka otworów na skórze w opisanym miejscu, w chwili badania bez wycieku jakiejkolwiek treści. Wskaż prawdopodobne rozpoznanie:
Pytanie 97
Wskaż badania, które winny poprzedzić wykonanie punkcji jamy brzusznej u chorego z marskością wątroby:
Pytanie 98
Rekomendowana minimalna wartość BMI, kwalifikująca do chirurgicznego leczenia otyłości bez współistniejących schorzeń wynosi:
Pytanie 99
U pacjentki pilnie operowanej z powodu krwawienia z pękniętego miąższu wątroby w trakcie zabiegu zastosowano manewr Pringle’a. Polega on na uciśnięciu: 1) tętnicy śledzionowej; 2) tętnicy wątrobowej właściwej; 3) tętnicy żołądkowej prawej; 4) żyły śledzionowej; 5) żyły wątrobowej właściwej; 6) żyły wrotnej; 7) przewodu żółciowego wspólnego. Prawidłowa odpowiedź to:
Pytanie 100
Wskaż prawdziwe stwierdzenie dotyczące ostrego zapalenia trzustki (OZT):
Pytanie 101
Objawy Jaworskiego, Rovsinga i Blumberga to typowe objawy:
Pytanie 102
I stopień klasyfikacji morfologicznej wg Bormanna oznacza zaawansowanego raka żołądka w postaci:
Pytanie 103
Do powikłań znieczulenia i zabiegu chirurgicznego zalicza się: 1) nudności i wymioty; 2) czkawkę; 3) zapalenie płuc; 4) niewydolność oddechową; 5) delirium; 6) zatrzymanie moczu; 7) zatorowość płucną; 8) zakażenie rany. Prawidłowa odpowiedź to:
Pytanie 104
Trzeciorzędowa nadczynność przytarczyc jest wynikiem:
Pytanie 105
Wskaż prawdziwe stwierdzenie dotyczące uchyłka Meckela:
Pytanie 106
Wskaż czynniki predysponujące do powikłań zakrzepowo-zatorowych: 1) wiek; 2) otyłość; 3) długi czas trwania operacji; 4) zabiegi w obrębie miednicy i stawu biodrowego; 5) zabiegi w obrębie kończyny górnej; 6) niedobór wit K; 7) ciąża; 8) stosowanie doustnej antykoncepcji hormonalnej; 9) żylaki kończyn dolnych; 10) choroba nowotworowa. Prawidłowa odpowiedź to:
Pytanie 107
Które z wymienionych objawów wskazują na konieczność diagnostyki w kierunku raka odbytnicy? 1) smoliste stolce; 2) krwawienie podczas oddawania stolca; 3) zmiana rytmu wypróżnień; 4) świąd odbytu; 5) wysoka leukocytoza; 6) oddawanie „ołówkowatych” stolców. Prawidłowa odpowiedź to:
Pytanie 108
Do charakterystycznych objawów zakrzepicy żył głębokich nie należy:
Pytanie 109
Kwashiorkor wynika z niedoboru:
Pytanie 110
68-letnia pacjentka zgłosiła się w godzinach wieczornych do Szpitalnego Oddziału Ratunkowego z powodu kolkowego bólu brzucha, wymiotów kałowych, naprzemiennych biegunek i zaparć od 7 dni, obecności świeżej krwi w stolcu. Podaje, że schudła 12 kg w ciągu ostatnich 3 miesięcy, nie stosuje żadnej diety. W badaniu fizykalnym brzuch wzdęty, bez obrony mięśniowej, szmery perystaltyczne słyszalne, dźwięczne. W badaniu per rectum - bańka odbytnicy pusta. Jakie powinno być dalsze postępowanie?
Pytanie 111
Wskaż prawdziwe stwierdzenia dotyczące zespołu Lyncha (dziedziczny niepolipowaty rak jelita grubego): 1) dziedziczy się w sposób autosomalny, dominujący; 2) jedną z jego odmian jest zespół Gardnera; 3) rozpoznanie opiera się na kryteriach amsterdamskich; 4) wiek zachorowania przypada zwykle na 20.-30. rok życia; 5) częściej występuje rak nadnercza. Prawidłowa odpowiedź to:
Pytanie 112
40-letni mężczyzna o masie ciała 80 kg został przywieziony do SOR z oparzeniami III stopnia lewej kończyny górnej, lewej kończyny dolnej i krocza. Jaką objętość płynów należy przetoczyć choremu w ciągu 24 godzin?
Pytanie 113
58-letnia, otyła pacjentka zgłosiła się do lekarza POZ z powodu bólu brzucha, wysokiej gorączki z dreszczami oraz zażółcenia białkówek, które dołączyło się kilka godzin przed wizytą. Po przewiezieniu na SOR u pacjentki pojawiły się zaburzenia ze strony ośrodkowego układu nerwowego pod postacią zaburzeń świadomości. Opisane objawy pozwalają rozpoznać:
Pytanie 114
Punkt McBurneya to:
Pytanie 115
W przypadku krwawienia z żylaków przełyku, którego nie udało się zatamować endoskopowo lub brak jest możliwości wykonania doraźnego zaopatrzenia endoskopowego, najskuteczniejszą hemostazę można uzyskać stosując:
Pytanie 116
Do miejscowych powikłań ostrego zapalenia trzustki należą: 1) zakrzepica układu wrotnego; 2) torbiel prawdziwa trzustki; 3) torbiel rzekoma trzustki; 4) przetoka trzustkowa; 5) ropień. Prawidłowa odpowiedź to:
Pytanie 117
W różnicowaniu ostrego zapalenia wyrostka robaczkowego nie uwzględnia się:
Pytanie 118
Sonda Sengstakena-Blakemore’a jest stosowana w:
Pytanie 119
Na przestrzeni ostatnich lat występowanie chirurgicznych powikłań choroby wrzodowej żołądka i dwunastnicy zmniejszyło się. Co jest tego główną przyczyną?
Pytanie 120
Najczęstszym miejscem występowania zatorów w obrębie tętnic jest podział:
Pytanie 121
35-letni motocyklista został przyjęty do SOR po wypadku komunikacyjnym. Pacjent jest nieprzytomny. W badaniu stwierdzono: brzuch deskowaty, HR 140/min, BP 60/40 mmHg, GCS 3, osłuchowo brak szmeru oddechowego nad lewą jamą opłucnową. W FAST płyn w jamie otrzewnej. W gazometrii szacowane stężenie Hb około 6,5 g/dl. Jaka powinna być kolejność postępowania?
Pytanie 122
W której części gruczołu piersiowego najczęściej lokalizuje się rak tego narządu?
Pytanie 123
W przypadku rozpoznanego raka kątnicy w stadium T3, zalecanym zabiegiem jest:
Pytanie 124
Operacja sposobem Mayo wykonywana jest z powodu przepukliny:
Pytanie 125
Gastrektomia totalna jest jedną z metod leczenia operacyjnego raka żołądka. Wykonanie tego zabiegu wymaga odtworzenia ciągłości przewodu pokarmowego. Jakie zespolenia wykonuje się podczas tej operacji?
Pytanie 126
Który ze sposobów resekcji żołądka jest stosowany w chirurgicznym leczeniu otyłości patologicznej?
Pytanie 127
W przypadku stwierdzenia nieresekcyjnego guza głowy trzustki, powodującego żółtaczkę mechaniczną oraz niedrożność dwunastnicy, optymalnym paliatywnym postępowaniem operacyjnym będzie:
Pytanie 128
Siniczy bolesny obrzęk kończyny (phlegmasia caerulea dolens) spowodowany jest:
Pytanie 129
Wskaż prawdziwe stwierdzenie dotyczące raka okrężnicy:
Pytanie 130
Wczesny rak żołądka to:
Pytanie 131
Do SOR przyjęto 27-letnią pacjentkę z silnym bólem brzucha. Pacjentka zasłabła w domu. Pacjentka podaje ból całego brzucha, który trwa od 2 godzin. Ból rozpoczął się nagle, początkowo w podbrzuszu. Pacjentka nie pamięta daty ostatniej miesiączki, ale twierdzi, że nie miesiączkuje od ponad miesiąca. W badaniu palpacyjnym stwierdza się wzmożone napięcie mięśni brzucha oraz tkliwość, poza tym bladość powłok, BP 80/60 mmHg, HR 120/min. Co należy wykluczyć w pierwszej kolejności?
Pytanie 132
Sondę Sengstakena-Blakemore'a zakłada się przy:
Pytanie 133
Wskaż fałszywe stwierdzenie dotyczące ostrego zapalenia pęcherzyka żółciowego:
Pytanie 134
56-letnia chora została poddana zabiegowi tyreoidektomii całkowitej z powodu choroby Gravesa-Basedowa. Bezpośrednio po usunięciu rurki intubacyjnej występują objawy ostrej niewydolności oddechowej w postaci stridoru i duszności. Najbardziej prawdopodobną przyczyną wystąpienia takich objawów jest:
Pytanie 135
Rak jelita grubego najczęściej lokalizuje się w:
Pytanie 136
Uchyłek Meckela składa się:
Pytanie 137
Wskaż prawdziwe stwierdzenie dotyczące keloidu:
Pytanie 138
Pacjent zgłasza tępy, uciążliwy, rozlany, głęboko umiejscowiony ból brzucha, którego lokalizacji nie potrafi dokładnie określić, najsilniejszy w linii pośrodkowej ciała. Pacjent zgłasza, że jest to ból taki, jaki wystąpił 20 lat temu, kiedy pojawiły się pierwsze objawy ostrego zapalenia wyrostka robaczkowego. Jak określa się taki rodzaj bólu?
Pytanie 139
30-letnia kobieta o masie ciała 60 kg została przywieziona do SOR z oparzeniami III stopnia lewej kończyny górnej, lewej kończyny dolnej i krocza. Jaką objętość płynów należy przetoczyć chorej w ciągu 24 godzin?
Pytanie 140
Pacjent 65-letni po wszczepieniu 10 lat wcześniej protezy aortalno-aortalnej z powodu pękniętego tętniaka aorty brzusznej. Od około 3 miesięcy okresowo gorączkuje. W dniu dzisiejszym został przywieziony do SOR-u z objawami masywnego krwawienia z górnego odcinka przewodu pokarmowego. W TK stwierdza się cechy nacieku zapalnego wokół protezy z pęcherzykami gazu. U pacjenta należy podejrzewać w pierwszej kolejności:
Pytanie 141
Złamanie Monteggii to złamanie:
Pytanie 142
Właściwym postępowaniem w przypadku perforacji odbytnicy z towarzyszącym kałowym zapaleniem otrzewnej jest:
Pytanie 143
Wskazaniem do leczenia operacyjnego przewlekłego zapalenia trzustki w każdym przypadku nie jest:
Pytanie 144
Do objawów ostrego zapalenia wyrostka robaczkowego położonego zakątniczo zalicza się:
Pytanie 145
Wskazaniem do drenażu opłucnej nie jest:
Pytanie 146
Sonda Sengstakena-Blakemore’a służy do:
Pytanie 147
Mitotan jest stosowany jako leczenie uzupełniające w:
Pytanie 148
W której z wymienionych przepuklin dochodzi do zniesienia anatomicznego kąta Hissa?
Pytanie 149
Wskaż prawdziwe stwierdzenia dotyczące raka przełyku: 1) zalicza się go do nowotworów o dobrym rokowaniu; 2) najczęstszym typem raka przełyku jest adenocarcinoma; 3) jednym z czynników ryzyka wystąpienia raka przełyku jest achalazja; 4) rak przełyku wcześnie nacieka otaczające tkanki i daje przerzuty do węzłów chłonnych; 5) podstawowym sposobem leczenia raka przełyku jest leczenie chirurgiczne. Prawidłowa odpowiedź to:
Pytanie 150
Do przepuklin wewnętrznych nie zalicza się:
Pytanie 151
Powikłaniem po operacji usunięcia tarczycy może być:
Pytanie 152
Operacja Whipple'a w modyfikacji Traverso to resekcja:
Pytanie 153
Dren Kehra stosowany jest w:
Pytanie 154
Wskazaniem do przeszczepienia wątroby nie jest:
Pytanie 155
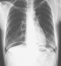
Mężczyzna w wieku 48 lat zgłosił się do izby przyjęć szpitala z powodu nagłego silnego bólu w nadbrzuszu. W badaniu fizykalnym stwierdzono żywą bolesność z obroną mięśniową i objawem otrzewnowym w nadbrzuszu, śródbrzuszu i podbrzuszu. Tętno i ciśnienie tętnicze wynosiły odpowiednio 120/min i 100/60 mmHg. W badaniach laboratoryjnych krwi stwierdzono WBC 18,3 K/µL, stężenie amylazy 85 U/L, stężenie lipazy 42 U/L, CRP 183 mg/dL, stężenie bilirubiny 0,56 mg/dL. W badaniach obrazowych jamy brzusznej stwierdzono bezkamiczy pęcherzyk żółciowy, PŻW szerokości 5 mm oraz niejednorodną trzustkę o prawidłowych wymiarach z obecnością wolnego płynu w górnych obszarach jamy otrzewnej. Wynik badania radiologicznego klatki piersiowej przedstawiono na rysunku. Jakie postępowanie należy zaproponować u tego chorego?

Pytanie 156
U pacjentki skarżącej się na cykliczne, regularnie pojawiające się od dłuższego czasu dolegliwości bólowe podbrzusza i towarzyszące miesiączce krwawienia z odbytnicy powinno się podejrzewać:
Pytanie 157
W przypadku zatoru tętnicy płucnej nie dochodzi do:
Pytanie 158
W przypadku guza wątroby stwierdzonego przypadkowo w badaniu USG i podejrzenia przerzutu nowotworowego niezbędnym jest wykonanie w pierwszej kolejności:
Pytanie 159
45-letni pacjent nadużywający alkoholu, palący papierosy, został przyjęty do SOR z silnym bólem brzucha. Przy przyjęciu pacjent blady, spocony, zgłasza ból całego brzucha, który jest nie do zniesienia i nasila się przy poruszaniu się. W badaniu brzuch deskowaty, osłuchowo brak perystaltyki. W wywiadzie pacjent podaje nagły silny ból w nadbrzuszu, który następnie rozlał się na całą jamę brzuszną. Które z badań należy wykonać w pierwszej kolejności?
Pytanie 160
W czasie operacji guza przerzutowego wątroby chirurg wykonał, jak objaśnił studentom, manewr Pringle’a. Polega on na:
Pytanie 161
W przypadku wystąpienia ostrych objawów brzusznych u pacjenta w ciężkim stanie, wyniszczonego, z perforacją jelita grubego na tle zapalenia uchyłków esicy, operacją z wyboru jest:
Pytanie 162
Wskaż fałszywe stwierdzenie dotyczące róży (erysipelas):
Pytanie 163
Wskaż fałszywe stwierdzenie dotyczące hemoroidów:
Pytanie 164
Do objawów pozajelitowych towarzyszących chorobie Crohna należy:
Pytanie 165
Manewr Pringle’a polega na uciśnięciu:
Pytanie 166
Przepuklina Richtera to:
Pytanie 167
Do gabinetu chirurgicznego trafił 55-letni chory z następującymi dolegliwościami: od wielu lat krwawienia świeżą krwią z odbytu, ostatnio nasiliły się, okresowo świąd i pieczenie w tej okolicy, ostatnio po opróżnieniu odprowadza palcem wypadające na zewnątrz guzki. Na tej podstawie można rozpoznać guzki krwawnicze:
Pytanie 168
W niedrożności dolnego odcinka przewodu pokarmowego dominującymi objawami są: 1) wymioty we wczesnym okresie choroby; 2) początkowo zasadowica, a potem kwasica metaboliczna; 3) unieruchomienie płynu pozakomórkowego w tzw. trzeciej przestrzeni; 4) zwiększenie stężenia hemoglobiny i hematokrytu; 5) rozdęte pętle jelitowe, w których gromadzi się płyn. Prawidłowa odpowiedź to:
Pytanie 169
Który z podanych dostępów nie jest wykorzystywany w leczeniu żywieniowym?
Pytanie 170
U pacjenta z urazem głowy po wypadku samochodowym stwierdza się: - anizokorię L>P; - otwieranie oczu tylko na silny bodziec bólowy; - pacjent wydaje niezrozumiałe dźwięki; - przy zakładaniu dostępu żylnego, pacjent wycofuje rękę. Wskaż punktację w skali GCS i czy pacjent wymaga intubacji dotchawiczej:
Pytanie 171
Zespolenie żołądkowo-jelitowe sposobem Rydygiera (Billrotha I) polega na:
Pytanie 172
Dorosły mężczyzna po upadku z 3 piętra budynku mieszkalnego jest nieprzytomny: nie otwiera oczu na bodziec bólowy, nie wydaje dźwięków, napręża mięśnie prostowniki kończyn, odwodzi i obraca ramiona do wewnątrz - ustawia kończyny w pozycji wyprostnej. Ile punktów otrzyma ten pacjent w skali GCS?
Pytanie 173
Wskaż fałszywe stwierdzenie dotyczące guzów stromalnych - GIST (Gastrointestinal Stromal Tumors):
Pytanie 174
Zgodnie z regułą “dziewiątek” oparzenie obu kończyn dolnych i krocza u dorosłego to oparzenie:
Pytanie 175
Co nie jest wskazaniem do pilnej laparotomii zwiadowczej po urazie brzucha?
Pytanie 176
Wskaż fałszywe stwierdzenie dotyczące raka tarczycy:
Pytanie 177
W zespole Lynch 1 typowe jest występowanie następujących nowotworów:
Pytanie 178
Wskaż fałszywe stwierdzenie dotyczące niedożywienia typu kwashiorkor:
Pytanie 179
Najczęstszym źródłem przerzutów w wątrobie jest:
Pytanie 180
Obecnie klasyczne zdjęcie radiologiczne jamy brzusznej ma nadal znaczenie w diagnostyce następujących ostrych chorób jamy brzusznej: 1) perforacji przewodu pokarmowego; 2) krwawienia do jamy otrzewnej; 3) niedrożności jelit; 4) ostrego zapalenia wyrostka robaczkowego; 5) skrętu i perforacji torbieli jajnika. Prawidłowa odpowiedź to:
Pytanie 181
Objawy żółtaczki mechanicznej obejmują:
Pytanie 182
Złamanie Collesa to złamanie:
Pytanie 183
Zespół z niedokrwienia Volkmanna jest zwykle obserwowany jako powikłanie złamania:
Pytanie 184
Wskaż elementy składowe tzw. triady Virchowa (czynniki wpływające na wykrzepianie krwi): 1) zwolnienie przepływu krwi; 2) zmiany składu krwi (np. podwyższony hematokryt); 3) uszkodzenie ściany naczynia (śródbłonka); 4) wzrost ciśnienia krwi; 5) wzrost stężenia potasu w surowicy. Prawidłowa odpowiedź to:
Pytanie 185
Który z wymienionych sposobów leczenia przywraca barierę antyrefluksową w chorobie refluksowej przełyku?
Pytanie 186
Dodatni objaw Homansa jest charakterystycznym wykładnikiem:
Pytanie 187
Leczenie chirurgiczne bezobjawowej kamicy pęcherzyka żółciowego należy rozważyć w przypadku: 1) chorego w młodym wieku; 2) chorego na cukrzycę; 3) chorego przed rozległymi operacjami kardiochirurgicznymi albo przeszczepieniem narządów; 4) gdy współwystępuje choroba wrzodowa żołądka lub dwunastnicy; 5) wyraźnego życzenia chorego. Prawidłowa odpowiedź to:
Pytanie 188
Do cech klinicznych charakterystycznych dla choroby Buergera nie należy:
Pytanie 189
Wrotami przepukliny udowej jest pierścień udowy, w jego skład wchodzą następujące struktury, z wyjątkiem:
Pytanie 190
Wskaż prawdziwe stwierdzenia dotyczące żółciowego zapalenia otrzewnej: 1) jest wynikiem drażniącego działania żółci na otrzewną; 2) diagnostyczne nakłucie otrzewnej z obecnością krwiście podbarwionego płynu pozwala na postawienie rozpoznania; 3) dynamika objawów (czasowa regresja dolegliwości) może przypominać perforację wrzodu trawiennego; 4) przy pewnym rozpoznaniu, podstawą leczenia jest leczenie zachowawcze, z szerokowidmową antybiotykoterapią; 5) obecność perforacji ściany pęcherzyka jest warunkiem rozpoznania; 6) stan po wycięciu pęcherzyka żółciowego w przeszłości pozwala na wykluczenie rozpoznania. Prawidłowa odpowiedź to:
Pytanie 191
Badanie palpacyjne tętna w warunkach klinicznych jest możliwe na wszystkich wymienionych poniżej tętnicach, z wyjątkiem:
Pytanie 192
Mianem wczesnego raka żołądka określa się:
Pytanie 193
Który z poniższych objawów nie jest powikłaniem poprzetoczeniowym?
Pytanie 194
Wskaż cechy charakteryzujące chorobę Leśniowskiego-Crohna: 1) zmiany chorobowe mogą występować w każdym odcinku przewodu pokarmowego; 2) zmiany są ograniczone jedynie do błony śluzowej i podśluzowej; 3) często w przebiegu choroby występują przetoki okołoodbytnicze; 4) w jej leczeniu chirurgicznym obowiązuje zasada wykonywania zabiegów oszczędzających; 5) w jej leczeniu chirurgicznym wskazane są rozległe zabiegi resekcyjne. Prawidłowa odpowiedź to:
Pytanie 195
Bóle spoczynkowe w skali Fontaine’a są określone stopniem:
Pytanie 196
W przypadku uporczywych wymiotów może dojść do:
Pytanie 197
W profilaktyce raka jelita grubego w przebiegu rodzinnej polipowatości gruczolakowatej stosowane są:
Pytanie 198
Zespół Mallory-Weissa to:
Pytanie 199
Która z poniższych metod operacyjnych jest najczęściej stosowana u chorego operowanego w trybie pilnym z powodu perforacji uchyłka esicy?
Pytanie 200
Chory lat 24 z rozpoznanym od 3 lat wrzodziejącym zapaleniem jelita zgłasza uporczywy świąd skóry, przewlekłe zmęczenie, osłabienie. Najbardziej prawdopodobną przyczyną zgłaszanych dolegliwości jest:
Pytanie 201
Wskaż zestaw cech charakteryzujących chorobę Leśniowskiego-Crohna: 1) zmiany chorobowe mogą występować w każdym odcinku przewodu pokarmowego; 2) zmiany są ograniczone jedynie do błony śluzowej i podśluzowej; 3) często w przebiegu choroby występują przetoki okołoodbytnicze; 4) w leczeniu chirurgicznym tej choroby obowiązuje zasada wykonywania zabiegów oszczędzających; 5) w leczeniu chirurgicznym tej choroby wskazane są rozległe zabiegi resekcyjne. Prawidłowa odpowiedź to:
Pytanie 202
Klasyczne objawy ostrego zapalenia dróg żółciowych wchodzące w skład triady Charcota obejmują:
Pytanie 203
Chirurg po konsultacji stwierdził, że u chorego występuje objaw Courvoisiera. Oznacza to:
Pytanie 204
Rak jelita grubego najczęściej lokalizuje się w obrębie:
Pytanie 205
Ostre zapalenie trzustki (OZT): 1) w około 80% przypadków ma przebieg łagodny; 2) często charakteryzuje się objawami rozlanego zapalenia otrzewnej; 3) nawraca zwykle u osób spożywających często alkohol; 4) powoduje zazwyczaj niewydolność wielonarządową; 5) w większości przypadków leczone jest zachowawczo. Prawidłowa odpowiedź to:
Pytanie 206
Do następstw ciężkich obrażeń ciała nie należy:
Pytanie 207
Która z wymienionych technik operacyjnych nie dotyczy operacji przepukliny pachwinowej?
Pytanie 208
Która z wymienionych chorób nie ma związku z obecnością polipów w jelicie grubym?
Pytanie 209
W trakcie ostrego dyżuru chirurgicznego przyjęto na oddział chorego w trakcie przewlekłej terapii przeciwzakrzepowej prowadzonej doustnymi antagonistami witaminy K, którego trzeba zoperować ze wskazań życiowych. Aby w krótkim czasie odwrócić działanie doustnych antykoagulantów należy zastosować:
Pytanie 210
Rakowiak jest nowotworem nabłonkowym wywodzącym się z komórek układu neuroendokrynnego i najczęściej lokalizuje się w:
Pytanie 211
Który rodzaj krwiaka wewnątrzczaszkowego jest spowodowany uszkodzeniem tętnicy oponowej środkowej?
Pytanie 212
Adnotacja na wypisie 'stan po operacji Hartmanna' oznacza, że pacjent:
Pytanie 213
Naczyniak wątroby:
Pytanie 214
Wskaźnik ciśnienia kostka:ramię (ABPI) u osób zdrowych wynosi co najmniej 1. Stwierdzenie ABPI < 0,5 wskazuje na:
Pytanie 215
Zespół Sudecka może rozwinąć się w wyniku:
Pytanie 216
Choroba Ménétriera należy do stanów przedrakowych:
Pytanie 217
Czynnikiem ryzyka raka piersi nie jest:
Pytanie 218
Najczęstszym nowotworem złośliwym tarczycy jest rak:
Pytanie 219
Choroba zwykle dotyczy młodych mężczyzn uzależnionych od nikotyny. Objawia się bólami mięśni stóp i palców, które nasilają się przy ich poruszaniu. Może współistnieć zapalenie żył powierzchownych. W arteriografii stwierdza się niedrożność i zwężenia tętnic małego kalibru. W jej przebiegu może dojść do martwicy kończyn. Choroba nie jest związana z miażdżycą. Opis jakiej choroby podano powyżej?
Pytanie 220
Który stopień niedokrwienia kończyny dolnej w skali Fontaine’a charakteryzuje chromanie przestankowe?
Pytanie 221
Cechą charakterystyczną zespołu Leriche’a jest niedrożność:
Pytanie 222
Drugim co do częstości występowania rakiem tarczycy jest rak:
Pytanie 223
Zakrzepowo-zarostowe zapalenie tętnic to:
Pytanie 224
W klasyfikacji zmian krwawiących w niszy wrzodowej stopień I według Forresta oznacza:
Pytanie 225
Którą z wymienionych poniżej zmian jelita grubego charakteryzuje największe ryzyko przemiany nowotworowej?
Pytanie 226
Objawem ostrego zapalenia wyrostka robaczkowego nie jest:
Pytanie 227
Do objawów triady Whipple’a należą: 1) zaburzenia świadomości; 2) hipoglikemia; 3) hiperglikemia; 4) ustąpienie objawów po podaniu dożylnym glukozy; 5) kamica żółciowa. Prawidłowa odpowiedź to:
Pytanie 228
Zespół Ogilviego to:
Pytanie 229
Najczęstszy nowotwór złośliwy stwierdzany w wątrobie to:
Pytanie 230
Wskaż fałszywe stwierdzenie dotyczące róży (erysipelas):
Pytanie 231
Klasyfikacja Lauren dotyczy:
Pytanie 232
Mianem zespołu Ogilviego określa się:
Pytanie 233
Wskaż fałszywe stwierdzenie dotyczące triady Whipple’a:
Pytanie 234
Stwierdzenie dodatnich objawów Chvostka, Trousseau i Erba może wskazywać na:
Pytanie 235
Linitis plastica jest określeniem:
Pytanie 236
Guz Klatskina to:
Pytanie 237
U 68-letniego chorego, dotychczas nie chorującego, nie korzystającego w ciągu ostatniego roku z pomocy lekarskiej, który zgłosił się do ambulatorium chirurgicznego z powodu zaobserwowanego od 7 dni zażółcenia powłok, w badaniu fizykalnym wykrywa się powiększony, niebolesny pęcherzyk żółciowy. Obraz taki wskazywać może najpewniej na:
Pytanie 238
Wskaż prawdziwe stwierdzenia dotyczące nadnerczy: 1) incydentaloma zawsze wymaga leczenia operacyjnego; 2) badaniem z wyboru w diagnostyce obrazowej nadnerczy jest USG; 3) guzów nadnerczy nie należy operować laparoskopowo; 4) guz chromochłonny nadnercza rozwija się z komórek kory nadnercza; 5) zespół Conna najczęściej związany jest z łagodnym gruczolakiem kłębkowej warstwy nadnercza. Prawidłowa odpowiedź to:
Pytanie 239
Zatrzymanie moczu jest częstym powikłaniem po zabiegach operacyjnych w obrębie jamy brzusznej. U pacjenta stwierdza się dolegliwości bólowe podbrzusza oraz nadmierne wypełnienie pęcherza moczowego, a rozpoczęcie mikcji nie jest możliwe. Prawidłowym postępowaniem w przypadku wystąpienia pooperacyjnego zatrzymania moczu jest w pierwszej kolejności:
Pytanie 240
Wskazaniami do wdrożenia antybiotykoterapii w ostrym zapaleniu trzustki są: 1) każdy przypadek ostrego zapalenia trzustki związanego z kamicą przewodową; 2) każdy przypadek ostrego zapalenia trzustki związanego z alkoholem; 3) potwierdzenie obecności zakażonej martwicy w przebiegu OZT; 4) powikłanie OZT pod postacią rzekomej torbieli trzustki. Prawidłowa odpowiedź to:
Pytanie 241
Pacjent po upadku z wysokości 5 metrów:- otwiera oczy na bodziec bólowy;- jest splątany, nie umie powiedzieć, gdzie się znajduje i co się stało;- nie spełnia poleceń ruchowych, ale potrafi zlokalizować bodziec bólowy.W skali GCS pacjent otrzyma:
Pytanie 242
Wskazaniem do splenektomii może być:
Pytanie 243
Mężczyzna lat 83, leczący się z powodu zaburzeń rytmu serca i nadciśnienia tętniczego został przywieziony do SOR z powodu bardzo silnych dolegliwości bólowych brzucha. Ból pojawił się nagle, około godziny temu, najpierw był umiejscowiony w nadbrzuszu i miał charakter napadowy, jednak w chwili badania obejmuje całą jamę brzuszną i ma charakter ciągły. Brzuch jest wzdęty, dodatnie objawy otrzewnowe są obecne we wszystkich kwadrantach brzucha. Pacjent ma nudności, wymiotuje treścią pokarmową. Perystaltyka nie jest słyszalna. W badaniu fizykalnym duża przepuklina pachwinowa prawostronna oraz per rectum stolec brązowy w bańce odbytnicy. HR: 96/min, CTK 103/57 mmHg, RR: 18/min, WBC: 33 tys/mm3, Hgb 11,2 g/dl, Hct 31%, amylaza 140 U/l. D-dimery 15000 µg/l, TnI <0,001 ng/ml. EKG bez odchyleń od normy. Co jest przyczyną dolegliwości pacjenta?
Pytanie 244
Do SOR zgłosił się 53-letni mężczyzna z powodu dolegliwości bólowych pod prawym łukiem żebrowym. Ból jest napadowy, pojawił się w dniu wczorajszym, towarzyszą mu nudności i wymioty. W dniu dzisiejszym pojawiła się gorączka z dreszczami, aktualnie 39,2 °C. Pacjent dodatkowo zgłasza ciemniejsze zabarwienie moczu. W badaniu fizykalnym dodatni objaw Chełmońskiego, zażółcenie twardówek oczu, per rectum odbarwiony stolec w bańce odbytnicy. W badaniach laboratoryjnych: Hgb 12,5 g/dl, Hct 36%, CRP 120 mg/l, bilirubina 80 µmol/l (4,68 mg/dl). W usg przewód żółciowy wspólny szerokości 11 mm, pęcherzyk cienkościenny z licznymi złogami. Wskaż prawidłowe rozpoznanie i postępowanie:
Pytanie 245
Wskaż fałszywe stwierdzenie dotyczące owrzodzeń żylnych kończyn dolnych:
Pytanie 246
Do powikłań choroby uchyłkowej zalicza się:
Pytanie 247
Wskaż prawdziwe stwierdzenia dotyczące ropnia: 1) zasadniczym sposobem leczenia jest jego ewakuacja; 2) leczenie chirurgiczne jest przeciwwskazane, większe korzyści daje antybiotykoterapia; 3) powikłaniem ropnia okołoodbytniczego może być przetoka okołoodbytnicza; 4) powikłaniem ropnia okołoodbytniczego może być szczelina odbytu; 5) ropnie okołoodbytowe występują częściej u mężczyzn. Prawidłowa odpowiedź to:
Pytanie 248
Najczęstsza przyczyna nadczynności tarczycy to:
Pytanie 249
Operacja sposobem Whipple’a oznacza:
Pytanie 250
Powstanie ropniaka pęcherzyka żółciowego może być wynikiem:
Pytanie 251
Najczęściej występujące polipy jelita grubego to:
Pytanie 252
Ocena stanu odżywienia pozwala odpowiednio przygotować pacjenta do leczenia operacyjnego poprzez planowe włączenie leczenia żywieniowego. Wskaż parametr, który nie stanowi podstawy zaklasyfikowania pacjenta do grupy chorych niedożywionych:
Pytanie 253
Które z jednostek chorobowych powinno się brać pod uwagę przy diagnostyce różnicowej ostrego zapalenia pęcherzyka żółciowego? 1) perforacja wrzodu żołądka lub dwunastnicy; 2) zapalenie uchyłków esicy; 3) zapalenie dróg żółciowych; 4) OZT; 5) niedrożność mechaniczna. Prawidłowa odpowiedź to:
Pytanie 254
Wskaż prawdziwe stwierdzenia dotyczące incydentaloma: 1) jest to przypadkowo wykryta zmiana guzowata, najczęściej zlokalizowana w nadnerczach; 2) zawsze jest wskazaniem do leczenia operacyjnego; 3) stwierdzając incydentaloma w nadnerczu należy zawsze zweryfikować jego potencjalną aktywność hormonalną; 4) najlepszym badaniem obrazowym weryfikującym guz nadnercza jest TK; 5) jeśli guz jest duży (powyżej 5 cm) należy chorego zakwalifikować do pilnej operacji nie zważając na badania aktywności hormonalnej. Prawidłowa odpowiedź to:
Pytanie 255
Opiekując się w SOR pacjentem z przedziurawieniem wrzodu trawiennego (żołądka lub dwunastnicy) należy: 1) założyć sondę do żołądka celem zmniejszenia objętości treści, która może wylać się z żołądka do jamy otrzewnej; 2) założyć sondę Sengstakena-Blakemore’a celem zamknięcia ubytku w żołądku; 3) wykonać RTG przeglądowe brzucha na stojąco celem potwierdzenia rozpoznania; 4) wykonać gastroskopię celem potwierdzenia rozpoznania; 5) uzupełnić płyny i elektrolity. Prawidłowa odpowiedź to:
Pytanie 256
Proces zapalny, zwykle ropny toczący się w obrębie wału paznokciowego to:
Pytanie 257
Do poradni zgłosił się 56-letni chory z rozpoznanym w badaniu histopatologicznym gruczolakorakiem trzonu żołądka. Które badanie należy zlecić w celu oceny miejscowego zaawansowania choroby (ocena stagingu)?
Pytanie 258
Do przyszpitalnej poradni zgłosiła się 73-letnia pacjentka, która 3 lata wcześniej była operowana z powodu raka odbytnicy. Ma przy sobie dwa ostatnie wyniki oznaczenia stężenia CEA: pierwszy wynosił 8,45 ng/ml, kolejny wykonany po 3 miesiącach wynosił 19,39 ng/ml (norma: <5,0 ng/ml). W wykonanym dwufazowym TK jamy brzusznej i klatki piersiowej oraz w kolonoskopii nie stwierdzono patologii. Wskaż, na które badanie należy skierować chorą:
Pytanie 259
Do poradni zgłasza się 34-letnia chora leczona od kilku lat z powodu napadowego nadciśnienia tętniczego. Podczas napadów nadciśnienia skarży się między innymi na wzmożone pragnienie, zlewne poty, kołatania serca. W badaniach laboratoryjnych stwierdzono znaczne podwyższenie metoksykatecholamin we krwi, a w wykonanym dwufazowym TK jamy brzusznej w lewym nadnerczu 3 cm guz. Wskaż, właściwe postępowanie:
Pytanie 260
Do czynników zwiększających ryzyko wystąpienia raka trzustki nie należy:
Pytanie 261
Badaniem określanym jako „złoty standard” do przedoperacyjnej oceny miejscowego zaawansowania gruczolakoraka odbytnicy jest:
Pytanie 262
Wskaż prawdziwe stwierdzenie/a dotyczące gruczolakoraka trzustki: 1) najczęściej wywodzi się z komórek zrazikowych trzustki; 2) operacja Whipple’a jest metodą z wyboru w leczeniu resekcyjnego raka głowy trzustki; 3) w jego przebiegu może dochodzić do tzw. wędrującego zakrzepowego zapalenia żył; 4) może rozwijać się na podłożu wewnętrzprzewodowego brodawkowatego nowotworu śluzowego (IPMN); 5) objaw Courvoisiera jest charakterystyczny dla raka trzonu trzustki. Prawidłowa odpowiedź to:
Pytanie 263
Badanie histopatologiczne BAC guza powłok jamy brzusznej u młodej kobiety w wieku rozrodczym wykazało desmoid. Wskaż najwłaściwszą opcję leczenia:
Pytanie 264
Guz włóknisty powłok współistniejący z zespołem Gardnera występujący u młodych kobiet w wieku rozrodczym to najprawdopodobniej:
Pytanie 265
Przepuklina u starszego mężczyzny z chorobą obturacyjną płuc uwypuklająca się na zewnątrz jamy brzusznej przez powięź poprzeczną stanowiącą tylną ścianę kanału pachwinowego w miejscu ograniczonym od góry przez ścięgno łączące, od dołu przez więzadło pachwinowe, a bocznie przez naczynia nabrzuszne dolne - jest rozpoznawana jako:
Pytanie 266
Wskaż fałszywe stwierdzenie dotyczące raka brodawki Vatera:
Pytanie 267
Wskaż fałszywe stwierdzenie dotyczące dziedzicznego, niepolipowatego raka jelita grubego (HNPCC, zespół Lyncha):
Pytanie 268
Wskaż prawdziwe stwierdzenia dotyczące raka tarczycy: 1) rak anaplastyczny jest najrzadszym, ale najbardziej złośliwym z raków tarczycy; 2) najczęstszym nowotworem tarczycy jest rak wywodzący się z komórek typu C; 3) uszkodzenie nerwu krtaniowego wstecznego jest klasycznym powikłaniem po operacji występującym u 1-2% chorych po subtotalnej resekcji; 4) wyleczalność w raku pęcherzykowym jest najwyższa i wynosi 90%; 5) standardowym badaniem w ocenie zmian w obrębie gruczołu tarczowego jest scyntygrafia.
Pytanie 269
W klasyfikacji TNM dotyczącej nowotworów opis T3N2M0 oznacza:
Pytanie 270
Rak żołądka jest gruczolakorakiem rozwijającym się na podłożu zmian patologicznych w błonie śluzowej żołądka: dysplazji i metaplazji. Wskaż czynniki ryzyka rozwoju raka żołądka:
Pytanie 271
Wskaż prawdziwe stwierdzenie dotyczące rozsiewu raka żołądka:
Pytanie 272
Wskaż prawdziwe stwierdzenie dotyczące leczenia chirurgicznego zaawansowanego raka żołądka:
Pytanie 273
Wskaż prawdziwe stwierdzenie dotyczące niedrożności jelit:
Pytanie 274
61-letnia pacjentka bez istotnego obciążenia chorobowego zgłosiła się do poradni chirurgii ogólnej z rozpoznanym guzem typu MALT okolicy wpustu żołądka. Pacjentka nie zgłasza dolegliwości, zmiana została wykryta w badaniach przesiewowych. Wskaż prawidłowe postępowanie lecznicze w tym przypadku:
Pytanie 275
Wskaż możliwe zaburzenia zrostu kości:
Pytanie 276
Wskaż fałszywe stwierdzenie dotyczące raka żołądka:
Pytanie 277
Podstawowym leczeniem z wyboru drobnokomórkowego raka płuca jest:
Pytanie 278
Proces zapalny, zwykle ropny toczący się na powierzchni dłoniowej ręki to:
Pytanie 279
Do SOR zgłosił się 53-letni mężczyzna z powodu dolegliwości bólowych jamy brzusznej w nadbrzuszu po posiłku oraz świądu skóry. Pacjent dodatkowo zgłasza ciemne zabarwienie moczu. W badaniu zażółcenie twardówek oczu oraz skóry, per rectum odbarwiony stolec w bańce odbytnicy. W badaniach laboratoryjnych: Hgb 12,5 g/dl, Hct 36%, CRP 5 mg/l, bilirubina 80 μmol/l (4,68 mg/dl). W USG przewód żółciowy wspólny szerokości 11 mm z obecnym kamieniem, pęcherzyk cienkościenny bez złogów, bez pogrubienia ściany. Wskaż prawidłowe rozpoznanie i postępowanie:
Pytanie 280
W klasyfikacji TNM dotyczącej nowotworów opis T4N2M1 oznacza:
Pytanie 281
80-letni pacjent przewlekle leżący. W badaniu w okolicy kości krzyżowej stwierdza się pęcherz z otarciem. Według klasyfikacji odleżynę należy zaliczyć do stopnia:
Pytanie 282
62-letni pacjent z potwierdzonym w badaniu gastroskopowym rakiem żołądka zlokalizowanym w okolicy trzonu żołądka, bez przerzutów odległych, (T2N0M0), po cyklach chemioterapii przedoperacyjnej, został przyjęty na oddział chirurgii ogólnej celem dalszego leczenia operacyjnego. Wskaż prawidłowe postępowanie:
Pytanie 283
Wskaż prawdziwe stwierdzenie/a dotyczące leczenia raka żołądka: 1) w niektórych przypadkach rozpoznania wczesnego raka żołądka można wykonać endoskopową resekcję śluzówkową; 2) w przypadku zmian wieloogniskowych lub zmian umiejscowionych w okolicy wpustu żołądka należy wykonać całkowitą resekcję żołądka; 3) w przypadku raka ograniczonego do 1/3 dalszej części żołądka należy wykonać prawie całkowitą resekcję żołądka; 4) bez względu na umiejscowienie zmiany należy wykonać całkowitą resekcję żołądka aby zminimalizować ryzyko przerzutów nowotworowych; 5) decyzję o wykonaniu rozległości zabiegu podejmuje się na podstawie doświadczenia i wiedzy chirurga, lokalizacja w tym przypadku nie ma znaczenia. Prawidłowa odpowiedź to:
Pytanie 284
Która z poniższych cech guzka tarczycy o średnicy około 15 mm widzianego w USG budzi podejrzenie nowotworu?
Pytanie 285
Która metoda chirurgiczna może być formą leczenia u chorego z rozpoznaną przetoką okołoodbytniczą?
Pytanie 286
U pacjenta z chorobą uchyłkową esicy wskazaniem do planowej operacji jest:
Pytanie 287
Wskazaniem do wycięcia pęcherzyka żółciowego (cholecystektomii) jest objawowa (udokumentowana) kamica pęcherzyka żółciowego. Planową cholecystektomię należy wykonać w przypadku kamicy bezobjawowej u pacjentów:
Pytanie 288
48-letnia kobieta zgłasza się do szpitala z objawami zapalenia żył powierzchownych prawej kończyny dolnej. Która z poniższych metod nie jest metodą leczenia tej choroby?
Pytanie 289
Wskaż prawidłową metodę leczenia pacjenta z zespołem Mallory’ego-Weissa:
Pytanie 290
W Polsce badania przesiewowe prowadzi się w kierunku kilku nowotworów. Dla którego z poniższych nowotworów nie ma programu badań przesiewowych w Polsce?
Pytanie 291
Która z poniżej wymienionych skal służy do oceny ogólnej sprawności chorych?
Pytanie 292
38-letni chory z objawami wysokiej niedrożności przewodu pokarmowego na podłożu zwężenia odźwiernika jako powikłania choroby wrzodowej zgłasza się z powodu obfitych wymiotów treścią żołądkową. Jakie zaburzenie wodno-elektrolitowe jest u chorego najbardziej prawdopodobne?
Pytanie 293
W leczeniu chorych z otyłością olbrzymią wykonywane są operacje bariatryczne. Która z poniższych chorób jest przeciwwskazaniem do takiego zabiegu operacyjnego?
Pytanie 294
Uszkodzenie dróg żółciowych na poziomie ostrogi łączącej przewody wątrobowe to wg klasyfikacji Bismutha stopień:
Pytanie 295
Wskaż prawdziwe stwierdzenia dotyczące postępowania z pacjentami po operacji usunięcia tarczycy: 1) u każdego pacjenta po wycięciu tarczycy należy włączyć substytucję tyroksyny w dawce 1 μg/ kg mc. / 24h; 2) u każdego pacjenta po wycięciu tarczycy należy wykonać oznaczenie stężenia TSH ok. 6-8 tygodni od operacji; 3) u każdego pacjenta po wycięciu tarczycy należy włączyć substytucję tyroksyny w dawce 3 μg/ kg mc. / 24h; 4) stridor jest częstym powikłaniem po operacji tarczycy i zwykle mija po 24-48 godzinach; 5) krwawienie po operacji tarczycy jest niebezpieczne, ponieważ może spowodować ucisk na drogi oddechowe. Prawidłowa odpowiedź to:
Pytanie 296
Przetokę odbytu należy różnicować z poniższymi jednostkami chorobowymi, z wyjątkiem:
Pytanie 297
Do izby przyjęć zgłosiła się 56-letnia, otyła kobieta z dolegliwościami bólowymi brzucha, zażółceniem powłok ciała i gorączką z dreszczami. Jakie badanie diagnostyczne należy zalecić?
Pytanie 298
Stałym elementem wchodzącym w skład zespołu mnogich nowotworów gruczołów dokrewnych typu 2A (MEN2A) jest:
Pytanie 299
Manewr Pringle’a polega na uciśnięciu:
Pytanie 300
Endoskopowa papillotomia (sphincterotomia) ułatwia dostęp do przewodów żółciowych, umożliwiając usunięcie z nich złogów. Który z wymienionych stanów jest przeciwwskazaniem do tego zabiegu?
Pytanie 301
Do SOR zgłosił się 56-letni pacjent z silnymi bólami brzucha i zażółceniem skóry. Na jakie badanie w pierwszej kolejności należy skierować pacjenta?
Pytanie 302
U 27-letniego pacjenta leczonego z powodu zespołu zależności alkoholowej rozwinęły się objawy nadciśnienia wrotnego. Podczas badania przedmiotowego wyczuwana jest powiększona śledziona (splenomegalia). Które z poniższych objawów będą świadczyły o hipersplenizmie? 1) hiperurykemia; 2) leukopenia; 3) małopłytkowość; 4) hiperaldosteronizm; 5) niedokrwistość; 6) hipokaliemia; 7) hiperkalcemia; 8) hiponatremia. Prawidłowa odpowiedź to:
Pytanie 303
Krwotok do jamy otrzewnej może być spowodowany urazem. Który z poniżej wymienionych urazów jest najczęstszą przyczyną takiego krwotoku?
Pytanie 304
66-letni pacjent przebył splenektomię pourazową. Z tego powodu przy wypisie ze szpitala powinien otrzymać zalecenie szczepień profilaktycznych. Szczepienia przeciw jakim z niżej wymienionych drobnoustrojów należy zastosować u tego chorego?
Pytanie 305
Najczęstszym późnym powikłaniem oparzenia przełyku jest:
Pytanie 306
Do SOR zgłasza się matka z 6-letnim dzieckiem i podaje, że syn połknął dwuzłotową monetę. Dziecko ma trudności w połykaniu. Postępowaniem terapeutycznym z wyboru będzie:
Pytanie 307
Do objawów pozajelitowych towarzyszących chorobie Crohna należy/ą:
Pytanie 308
Następstwem hipokaliemii może/mogą być:
Pytanie 309
Przetoki jelitowe mogą być wynikiem:
Pytanie 310
Wskaż prawdziwe stwierdzenie dotyczące ran postrzałowych: 1) charakteryzują się powstawaniem przestrzeni w wyniku kawitacji; 2) prędkość początkowa pocisku, w przypadku broni palnej jest najwyższa; 3) charakteryzują się mniejszym potencjałem urazu z dużej odległości; 4) charakteryzują się większym potencjałem urazu z dużej odległości; 5) liczba ran postrzałowych śmiertelnych jest wyższa, niż ran nieprowadzących do śmierci. Prawidłowa odpowiedź to:
Pytanie 311
Wskaż prawdziwe stwierdzenia dotyczące urazów powstałych upadkiem z wysokości: 1) rozległość urazu zależy od masy ciała osoby upadającej oraz charakteru powierzchni, na którą spadła; 2) wielkość urazu zależy tylko od ułożenia ciała w chwili upadku; 3) miękka, plastyczna powierzchnia potrafi zmniejszyć siłę wyhamowania 10-20 razy; 4) odzież nie wpływa na rozległość urazu; 5) upadek z wysokości ponad 20 metrów, na twardą powierzchnie obarczony jest niską śmiertelnością. Prawidłowa odpowiedź to:
Pytanie 312
Do objawów klinicznych odmy prężnej zalicza się: 1) zaburzenia krążeniowo-płucne (bradykardia, nadciśnienie); 2) poszerzone żyły szyjne; 3) asymetria ruchomości klatki piersiowej; 4) nadmiernie jawny odgłos opukowy po stronie odmy; 5) nadmiernie wzmożone szmery oddechowe po stronie odmy. Prawidłowa odpowiedź to:
Pytanie 313
W badaniu per rectum, u chorego po urazie oceniane jest: 1) napięcie zwieraczy odbytu; 2) spoistość prostaty; 3) obecność krwi w odbytnicy; 4) złamania kości miednicy; 5) uszkodzenia okolicy krocza. Prawidłowa odpowiedź to:
Pytanie 314
Wskaż prawdziwe stwierdzenia dotyczące objawów klinicznych, związanych z przepuklinami u pacjentów dorosłych: 1) przepukliny pachwinowe przebiegają najczęściej bezobjawowo, a przyczyną zgłaszania się do lekarza są objawy guza w okolicy pachwinowej, a nie dolegliwości bólowe; 2) obustronne przepukliny pachwinowe nie należą do rzadkości, ale najczęściej maja rożne rozmiary; 3) przepuklina mosznowa jest jednym z typów przepukliny pachwinowej prostej; 4) przepuklina udowa uwypukla się poniżej i bocznie od guzka łonowego; 5) podczas kaszlu wyczuwalny jest ucisk przepukliny na opuszkę badającego palca. Prawidłowa odpowiedź to:
Pytanie 315
Wskaż prawdziwe stwierdzenia dotyczące leczenia przepuklin pachwinowych 1) większość zabiegów wykonywana jest w trybie jednodniowym; 2) laparoskopowe zaopatrzenie przepuklin pachwinowych związane jest z większym nasileniem dolegliwości bólowych bezpośrednio po zabiegu; 3) stosowanie dostępu laparoskopowego w leczeniu przepuklin wymaga znieczulenia ogólnego; 4) technika laparoskopowa zaopatrywania przepuklin jest szczególnie korzystna u chorych z przepuklinami nawrotowymi lub obustronnymi; 5) w przypadku tzw. przepukliny sportowców wymagane jest leczenie operacyjne w trybie nagłym. Prawidłowa odpowiedź to:
Pytanie 316
W leczeniu szczeliny odbytu stosuje się następujące postępowanie: 1) leczenie farmakologiczne; 2) plastyka z wykorzystaniem płata przesuniętego; 3) krem z diltazemem; 4) wewnetrzna sfinkterotomia; 5) chirurgiczne wycięcie odbytu. Prawidłowa odpowiedź to:
Pytanie 317
Według klasyfikacji urazów śledziony wg American Association for the Surgery of Truma, stopień III opisywany jest jako:
Pytanie 318
Do przyczyn dysfagii nie należy:
Pytanie 319
Do objawów klinicznych przepukliny rozworu przełykowego nie należy:
Pytanie 320
W ocenie różnicowej ostrego zapalenia wyrostka robaczkowego najczęściej ujmowane są schorzenia za wyjątkiem:
Pytanie 321
Wskaż metodę leczenia, której nie stosuje się w paliatywnym leczeniu chorych z rakiem przełyku:
Pytanie 322
Wskaż prawdziwe stwierdzenia dotyczące leczenia chorych z chorobą wrzodową żołądka lub dwunastnicy: 1) infekcja Helicobacter Pylori odgrywa istotną role w powstawaniu wrzodów dwunastnicy, a leczenie eradykacyjne jest podstawą leczenia takich chorych; 2) zespół poposiłkowy, u chorych po resekcji żołądka występuje 15-30 min po jedzeniu i objawia się biegunką, wymiotami, tachykardią, poceniem się i kołataniem serca; 3) niedokrwistość często występuje u chorych po całkowitej resekcji żołądka; 4) leczenie operacyjne choroby wrzodowej zwiększa ryzyko rozwoju raka gruczołowego żołądka; 5) resekcja żołądka nie prowadzi do zaburzeń wchłaniania witaminy D i wapnia. Prawidłowa odpowiedź to:
Pytanie 323
Wskaż prawdziwe stwierdzenia dotyczące raka żołądka: 1) najczęstszym nowotworem złośliwym żołądka u dorosłych jest gruczolakorak; 2) statystycznie w ostatnich latach doszło do znacznego podwyższenia zachorowalności na raka żołądka; 3) rak żołądka częściej występuje u kobiet niż u mężczyzn; 4) eradykacja Helicobacter pylori zmniejsza ryzyko zachorowania na raka żołądka; 5) przewlekłe zanikowe zapalenie błony śluzowej żołądka jest czynnikiem ryzyka rozwoju raka żołądka. Prawidłowa odpowiedź to:
Pytanie 324
Wskaż prawdziwe stwierdzenia dotyczące chorych z kamicą pęcherzyka żółciowego: 1) ostre zapalenie pęcherzyka żółciowego charakteryzuje się większymi dolegliwościami, o dłuższym czasie trwania niż kolka żółciowa; 2) objawy wodniaka pęcherzyka są takie same jak przewlekłego zapalenia pęcherzyka żółciowego; 3) ostre bezkamicze zapalenie pęcherzyka żółciowego występuje częściej niż zapalenie na tle kamicy; 4) wieloletnia kamica pęcherzykowa nie wpływa na zapadalność na raka pęcherzyka żółciowego; 5) „pęcherzyk truskawkowy” jest jedną z postaci kamicy pęcherzyka z obecnością kamieni cholesterolowych. Prawidłowa odpowiedź to:
Pytanie 325
Wskaż zabieg chirurgiczny stosowany w leczeniu otyłości olbrzymiej:
Pytanie 326
IPMN (Intraductal papillary mucinous neoplasm) jest to śluzowy nowotwór brodawczakowaty:
Pytanie 327
Klasyfikacja Hincheya dotyczy:
Pytanie 328
Wybierz prawdziwe stwierdzenie dotyczące guzów łagodnych odbytu:
Pytanie 329
Klasyfikacja Duksa ma zastosowanie głównie w ocenie:
Pytanie 330
W leczeniu ostrego ropniaka jamy opłucnej metodą z wyboru jest:
Pytanie 331
Klasyfikacja Dukesa służy do określenia stopnia zaawansowania raka jelita grubego. Stopień B w tej skali oznacza:
Pytanie 332
Do bezwzględnych przeciwwskazań w przeszczepach wątroby nie należy:
Pytanie 333
28-letni chory trafił na SOR z objawami: RR 80 mmHg, tętno 110/min, bez dolegliwości bólowych. Twierdzi, że wymiotował „na czarno”, zrobiło mu się słabo, ale bez omdlenia. Co należy podejrzewać?
Pytanie 334
Do najczęstszych powikłań systemowych ciężkiego przebiegu ostrego zapalenia trzustki nie należy:
Pytanie 335
Wskaż rodzaj polipów, których na ogół nie trzeba usuwać:
Pytanie 336
Wskaż klasyczne objawy ostrego zapalenia dróg żółciowych:
Pytanie 337
Wskaż najbardziej charakterystyczne wczesne objawy raka prawej połowy okrężnicy:
Pytanie 338
W badaniu przedmiotowym jamy brzusznej chorego słyszalne są tzw. „metaliczne tony” (wysokie) perystaltyczne z następującą po pewnym okresie ciszą w brzuchu jest to objaw charakterystyczny dla:
Pytanie 339
Wskaż zespół objawów występujących u chorego z odmą prężną:
Pytanie 340
Wskaż leki stosowane do znieczuleń miejscowych/przewodowych:
Pytanie 341
Choroba, która dotyczy całego przewodu pokarmowego, od jamy ustnej po okolicę odbytu to:
Pytanie 342
70-letni chory przyjęty na SOR zgłasza ból umiejscowiony w nadbrzuszu środkowym o stałym charakterze. Chory jest spokojny, nie porusza się, gdyż ból nasila się w trakcie poruszania się. Nasilenie bólu pojawia się po spożyciu posiłku. Wskaż opisywany ból:
Pytanie 343
U 65-letniego chorego doszło do zatoru tętnicy krezkowej dolnej. W trakcie operacji stwierdzono rozległą martwicę przewodu pokarmowego. W związku z wykonaną operacją wycięcia prawie całkowicie jelita cienkiego i prawej połowy okrężnicy chory będzie musiał być na:
Pytanie 344



