Wyszukaj egzamin lub pytanie
Baza pytań CEM LDEK Stomatologia zachowawcza
732 pytań
Pytanie 1
Które z wymienionych poniżej preparatów należą do samotrawiących systemów wiążących?
Pytanie 2
Które ze zdań zawiera nieprawdziwe informacje o tetracyklinowych przebarwieniach zębów?
Pytanie 3
Która odpowiedź szereguje składniki ćwieków gutaperkowych w porządku od największej do najmniejszej ich zawartości? 1) gutaperka; 2) środki kontrastowe; 3) tlenek cynku; 4) plastyfikatory. Prawidłowa odpowiedź to:
Pytanie 4
Który z niżej wymienionych związków wchodzi w skład systemu łączącego 5. generacji?
Pytanie 5
Które z podanych struktur chronią tkanki twarde zęba przed rozwojem resorpcji wewnętrznej?
Pytanie 6
Wskaż prawdziwe stwierdzenia dotyczące okrężnego poszerzania kanału (ang. circumferential filing): 1) technikę tę stosuje się do opracowania kanałów szerokich; 2) technika ta jest szczególnie wskazana do opracowania kanałów, których kształt na przekroju jest okrągły; 3) technika ta opiera się na wykonywaniu ruchów posuwisto-zwrotnych; 4) w trakcie wykonywania tej techniki wywiera się nacisk jedynie na dwie wybrane przeciwległe ściany kanału korzeniowego. Prawidłowa odpowiedź to:
Pytanie 7
Który ząb spośród poniżej wymienionych jest najdłuższym zębem ludzkim?
Pytanie 8
Wskaż fałszywe stwierdzenie dotyczące procesu próchnicowego:
Pytanie 9
Zapalenie zatok szczękowych jest prawdopodobnie jedną z najczęstszych zewnątrzustnych przyczyn dolegliwości bólowych u pacjentów zgłaszających się do dentysty. Które z poniższych objawów są najbardziej charakterystyczne dla bólu zatok szczękowych i umożliwiają różnicowanie z bólem zębopochodnym? 1) nasilenie bólu przy pochylaniu głowy; 2) ból podczas nagryzania („zęby zbyt długie”); 3) wrażliwość zębów na opukiwanie; 4) nadwrażliwość zębów na zimno; 5) przenoszenie bólu na zęby sąsiednie. Prawidłowa odpowiedź to:
Pytanie 10
Pacjent lat 63 zgłosił się z powodu silnych dolegliwości bólowych zęba 43, występujących od około 2 tygodni podczas spożywania ciepłych pokarmów. W badaniu klinicznym: ząb 43 niebolesny opukowo, prawidłowo reaguje na chlorek etylu. W RTG nie stwierdzono obecności zmian patologicznych. Wskaż najbardziej prawdopodobne rozpoznanie:
Pytanie 11
Wskaż prawdziwe stwierdzenia dotyczące techniki opracowywania kanałów narzędziami ProTaper: 1) technika ta dedykowana jest opracowywaniu wąskich i zakrzywionych kanałów; 2) narzędzia te występują w wersji ręcznej i maszynowej; 3) narzędzia F2 mają na przekroju poprzecznym kształt wypukłego trójkąta; 4) system ProTaper jest zalecany do opracowania tylko przywierzchołkowej części kanałów; 5) produkowane są narzędzia SX o długości 19 mm, 21 mm i 25 mm. Prawidłowa odpowiedź to:
Pytanie 12
U pacjentki przeprowadzono leczenie endodontyczne zęba 11. Zdecydowano o odbudowie korony zęba z użyciem kompozytowego wkładu koronowo-korzeniowego wzmocnionego włóknem szklanym. Jaka jest minimalna odległość od wierzchołka do cementowanego wkładu, która pozwala na wystarczające uszczelnienie okolicy wierzchołkowej korzenia?
Pytanie 13
Które z wymienionych właściwości mikroskopu nie są ważne podczas usuwania złamanych narzędzi endodontycznych z kanału korzeniowego??
Pytanie 14
Wskaż prawdziwe stwierdzenia dotyczące bezpośredniego pokrycia miazgi: 1) pod wpływem MTA po dwóch tygodniach tworzy się most zębinowy; 2) twardniejący wodorotlenek wapnia nie inicjuje tworzenia mostu zębinowego; 3) nie zaleca się wykonywania tego zabiegu, jeśli ząb wykazuje dodatnią reakcję na opukiwanie; 4) do zahamowania krwawienia można użyć podchlorynu sodu; 5) nie zaleca się stosowania MTA w przypadku próchnicowego obnażenia miazgi. Prawidłowa odpowiedź to:
Pytanie 15
Wskazania do przeprowadzenia ponownego leczenia kanałowego zęba obejmują:
Pytanie 16
Wskaż cechy charakterystyczne dentinogenesis imperfecta typ II (źródło polskie) na RTG 1) krótkie korzenie; 2) długie korzenie; 3) obliteracja jam zębowych; 4) małe, baniaste korony zębów; 5) duże, baniaste korony zębów. Prawidłowa odpowiedź to:
Pytanie 17
Jakie zastosowanie podczas zakładania koferdamu mogą mieć pierścienie ortodontyczne?
Pytanie 18
W jakim kierunku najczęściej zagina się wierzchołkowa część korzenia językowego pierwszego zęba trzonowego szczęki?
Pytanie 19
Kiedy w procesie dojrzewania płytki bakteryjnej pojawiają się struktury zwane palisadami bakterii G+?
Pytanie 20
Które z poniższych stwierdzeń najlepiej charakteryzuje próchnicę wtórną?
Pytanie 21
Prawidłowo opracowany kanał korzeniowy powinien spełniać następujące kryterium:
Pytanie 22
Na podstawie danych przedstawionych poniżej wskaż średnią liczbę PUWz dla populacji złożonej z 10 osób (wartości liczby PUWz dla poszczególnych osób wynoszą: 3, 5, 0, 0, 0, 7, 0, 0, 12, 8):
Pytanie 23
Wskaż prawdziwe stwierdzenie dotyczące mikrofilowych materiałów kompozytowych:
Pytanie 24
Na zdjęciu ortopantomograficznym 28-letniego pacjenta zaobserwowano obliterację jamy zęba 22 i poszerzenie szpary ozębnej w okolicy okołowierzchołkowej. Ząb nie reagował na chlorek etylu, objaw opukowy był ujemny. Korona zęba w porównaniu do sąsiednich zębów była bardziej żółta. Pacjent nie zgłaszał samoistnych dolegliwości bólowych. Jaka jest najbardziej prawdopodobna przyczyna opisanych zmian w zębie 22?
Pytanie 25
Po ostatecznym wypełnieniu systemu kanałowego z użyciem uszczelniacza na bazie żywic komorę zęba należy oczyścić watką nasączoną:
Pytanie 26
Której postaci próchnicy dotyczy następujący opis: „Niekiedy, z niewyjaśnionych przyczyn, przewlekły proces próchnicowy ulega zahamowaniu nawet na wiele lat. Często spostrzega się zahamowanie procesu próchnicowego na powierzchni stycznej, po usunięciu sąsiedniego zęba, na skutek lepszego oczyszczania szczoteczką i wymywania śliną”?
Pytanie 27
Wskaż poprawną definicję otworu fizjologicznego:
Pytanie 28
Wskaż niedogodność związaną z techniką znieczulenia domiazgowego stosowanego w leczeniu endodontycznym:
Pytanie 29
Które elementy wchodzą w skład układu DIFOTI? 1) laserowe źródło światła; 2) lampa światłowodowa; 3) źródło prądu zmiennego; 4) źródło emitujące światło o długości fali 655 nm; 5) światłowód; 6) kamera cyfrowa; 7) komputer. Prawidłowa odpowiedź to:
Pytanie 30
Amalgamaty wysokomiedziowe:
Pytanie 31
Zalecany czas pozostawienia EDTA w kanale w celu usunięcia warstwy mazistej po zakończeniu instrumentacji wynosi:
Pytanie 32
Do gabinetu zgłasza się 22-letni pacjent skarżący się na ból zęba, który obudził go o godzinie 4.00 i nieustannie trwa. W badaniu wewnątrzustnym stwierdza się obecność klinicznie akceptowalnego, rozległego wypełnienia na powierzchni dystalnej zęba 22. Pacjent podaje, że wypełnienie było założone miesiąc temu, a zabieg wykonano w znieczuleniu nasiękowym. W opisanej sytuacji należy:
Pytanie 33
Które z wymienionych stanowią przeciwwskazanie do wybielania zębów metodą nakładkową? 1) nadwrażliwość zębiny; 2) recesje dziąseł; 3) obecność licówki porcelanowej; 4) obecność korony pełnoceramicznej; 5) ciąża; 6) obecność korony metalowej. Prawidłowa odpowiedź to:
Pytanie 34
Przy wykonywaniu zdjęcia rtg z ćwiekiem przed rozpoczęciem wypełniania kanału korzeniowego techniką kondensacji bocznej gutaperki, maksymalna różnica pomiędzy zakresem preparacji a końcem wprowadzonego ćwieka może wynosić:
Pytanie 35
Dlaczego przy opracowaniu i wypełnieniu ubytków preferowane jest użycie ciemnych kolorów gumy do koferdamu?
Pytanie 36
Który czynnik jest bez znaczenia dla oceny ryzyka powstania nowych ubytków próchnicowych?
Pytanie 37
Jaka jest główna zaleta narzędzi pokrytych azotkiem tytanu stosowanych do wypełniania ubytków materiałem kompozytowym?
Pytanie 38
Wskaż prawdziwe stwierdzenia dotyczące narzędzi służących do opracowania kanałów korzeniowych: 1) zastosowanie giętkich pilników o nietnących wierzchołkach (Flexofile) i wykonanie nimi trzech określonych ruchów obrotowych dotyczy opracowywania kanałów techniką balanced forces; 2) zastosowanie giętkich pilników o nietnących wierzchołkach (Flexofile) i wykonanie nimi trzech określonych ruchów obrotowych dotyczy opracowywania kanałów techniką hybrydową; 3) system Profile charakteryzuje przekrój poprzeczny narzędzi przypominający trzy odwrócone i połączone litery U; 4) system Protaper charakteryzuje przekrój poprzeczny narzędzi przypominający trzy odwrócone i połączone litery U. Prawidłowa odpowiedź to:
Pytanie 39
Największe prawdopodobieństwo wystąpienia niepełnej analgezji, mimo zastosowania odpowiedniej techniki znieczulenia zęba z nieodwracalnym zapaleniem miazgi dotyczy zęba:
Pytanie 40
Pacjentka w wieku 22 lat zgłosiła się do gabinetu stomatologicznego w celu leczenia ubytku próchnicowego klasy II wg Blacka zlokalizowanego na powierzchni żującej i dystalnej w zębie 45. Po opracowaniu ubytku uwidoczniona została biała plama próchnicowa na powierzchni mezjalnej zęba 46 z nienaruszoną powierzchnią szkliwa. Wykonano zdjęcie skrzydłowo-zgryzowe, które wykazało niewielką demineralizację znajdującą się pod szkliwem. U pacjentki nie odnotowano innych aktywnych ubytków próchnicowych, zaś higiena jamy ustnej była optymalna. Jakie postępowanie należy zaproponować w odniesieniu do zęba 46?
Pytanie 41
Płyny płuczące mogą dotrzeć do okolicy wierzchołkowej kanału korzeniowego tylko w przypadku, jeśli zostanie on poszerzony do rozmiaru minimum:
Pytanie 42
Ile powinna wynosić minimalna grubość warstwy wypełnienia tymczasowego na bazie tlenku cynku, zabezpieczającego ząb w trakcie leczenia endodontycznego?
Pytanie 43
Wskaż prawdziwe stwierdzenie dotyczące adhezji materiałów złożonych do zębiny:
Pytanie 44
Wskaż, co nie jest zaletą pracy z mikroskopem endodontycznym:
Pytanie 45
Maksymalna akceptowalna odległość pomiędzy zakresem preparacji a końcem ćwieka głównego przy wypełnianiu kanału metodą kondensacji bocznej gutaperki na zimno wynosi:
Pytanie 46
Wskaż czynniki, które kwalifikują pacjenta do grupy wysokiego ryzyka próchnicy: 1) zmniejszone wydzielanie śliny; 2) duża liczba wypełnień; 3) niskie stężenie bakterii Actinomyces; 4) obecność stałego aparatu ortodontycznego; 5) wysokie działanie buforujące śliny; 6) wysokie stężenie Streptococcus mutans (SM) w ślinie; 7) zdrowe zęby boczne. Prawidłowa odpowiedź to:
Pytanie 47
Przy zakładaniu wkładki wybielającej do zęba po leczeniu endodontycznym, dziąsło w celu ochrony należy pokryć:
Pytanie 48
U pacjenta z wysokim ryzykiem próchnicy na zdjęciu skrzydłowo-zgryzowym stwierdzono obecność próchnicy. Zmiana zlokalizowana była na powierzchni mezjalnej zęba 36 i nieznacznie przekraczała połączenie szkliwno-zębinowe. Jakie postepowanie należy wdrożyć w leczeniu zęba 36?
Pytanie 49
40-letni pacjent zgłasza się do gabinetu dentystycznego z powodu uporczywych dolegliwości bólowych po lewej stronie. Pacjent nie potrafi wskazać konkretnego zęba/zębów jako źródła bólu. Ważną diagnostyczną informacją jest fakt, że ból promieniuje do okolicy szyi. Jaką grupę zębów należy podejrzewać jako potencjalne źródło dolegliwości w tym przypadku?
Pytanie 50
Wskaż fałszywe stwierdzenie dotyczące znieczulenia domiazgowego:
Pytanie 51
Który z poniższych wykładników jest nietypowy dla procesu zapalnego zainicjowanego w przyzębiu i wtórnie rozwijającego się w miazdze (endo-perio)?
Pytanie 52
Wskaż prawdziwe stwierdzenia dotyczące trawienia zębiny przed aplikacją materiału złożonego: 1) trawienie sprzyja usunięciu warstwy mazistej ze światła kanalików zębinowych; 2) trawienie nie powoduje demineralizacji zębiny okołokanalikowej, gdyż jest ona silniej zmineralizowana niż zębina międzykanalikowa; 3) długotrwałe trawienie zębiny nie wpływa na lepszą jakość warstwy hybrydowej; 4) użycie systemu samotrawiącego VII generacji nie jest wskazane w przypadku stosowania chemoutwardzalnego materiału złożonego; 5) kosmki żywicy łączącej wnikającej w odsłonięte po trawieniu kanaliki zębinowe mają decydujące znaczenie dla adhezji materiałów złożonych. Prawidłowa odpowiedź to:
Pytanie 53
Jaki sposób dostępu do próchnicy na powierzchni stycznej zębów bocznych można wybrać podczas otwarcia ubytku? 1) przez powierzchnię policzkową lub językową, gdy zniszczony jest punkt styczny i zmiana szerzy się w kierunku brzegu dziąsła, pozostawiając zdrową krawędź brzeżną; 2) od powierzchni żującej z pozostawieniem nienaruszonej krawędzi brzeżnej; 3) przez usunięcie krawędzi brzeżnej, gdy zmiana jest duża; 4) przez bezpośredni dostęp w przypadku usuniętego zęba sąsiedniego. Prawidłowa odpowiedź to:
Pytanie 54
Którą z wymienionych diet można zaliczyć do czynników wysokiego ryzyka próchnicy wg Kidd?
Pytanie 55
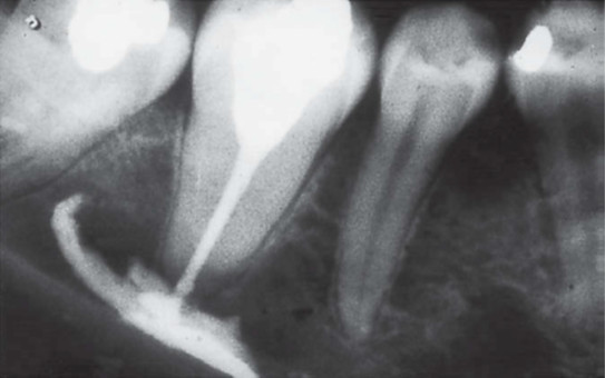
Jaką sytuację kliniczną przedstawiono na poniższym zdjęciu rtg?

Pytanie 56
35-letnia pacjentka zgłasza się do gabinetu dentystycznego z powodu dolegliwości na nagryzanie zębów 15 i 16. Wykonano test opukiwania, który wykazał wzmożoną reakcję obu zębów. W badaniu klinicznym i radiologicznym wykazano brak ubytków próchnicowych oraz brak wypełnień w obu zębach. Okolica okołowierzchołkowa - bez zmian a status periodontologiczny - w granicach normy. Przeprowadzono również test termiczny na zimno, który wykazał lekko obniżony próg wrażliwości. Jakie dalsze postępowanie należy wdrożyć w tym przypadku?
Pytanie 57
Który środek do płukania kanałów może zastąpić stosowanie EDTA w kombinacji z podchlorynem sodu w celu usunięcia warstwy mazistej?
Pytanie 58
Co jest najwcześniej dostrzegalną klinicznie zmianą próchnicową?
Pytanie 59
Wskaż fałszywe stwierdzenie dotyczące procesu erozji:
Pytanie 60
Wskaż prawdziwe stwierdzenia dotyczące procesu polimeryzacji kompozytu: 1) wartość współczynnika C - faktor dla ubytków klasy IV wynosi 1; 2) kompozyty samoutwardzalne wymagają zmieszania dwóch składników; 3) trzeciorzędowe aminy w kompozytach chemoutwardzalnych nadają im jasnożółtą barwę; 4) skurcz polimeryzacyjny zależy od odległości między źródłem światła a kompozytem; 5) konsekwencją napięcia skurczowego jest uszkodzenie połączenia adhezyjnego pomiędzy zębem a kompozytem. Prawidłowa odpowiedź to:
Pytanie 61
W jakim kierunku prowadzi się cięcie korony podczas zabiegu hemisekcji w zębach dolnych?
Pytanie 62
Wskaż fałszywe stwierdzenie dotyczące adhezji materiałów odtwórczych do tkanek zęba:
Pytanie 63
Niektóre bakterie zawarte w płytce mają zdolność fermentowania dostarczanych z dietą węglowodanów, do których należy:
Pytanie 64
Który z poniższych objawów może być obserwowany w przypadku pionowego złamania korzenia?
Pytanie 65
Jama dostępu do leczenia endodontycznego pierwszego trzonowca szczęki ma kształt:
Pytanie 66
Wskaż prawdziwe informacje dotyczące pracy igłą Lentulo: 1) igła Lentulo służy do maszynowego opracowywania kanałów; 2) igła Lentulo służy do wypełniania kanałów; 3) igłę wprowadza się bez obrotów do kanału na długość roboczą; 4) igłę wprowadza się bez obrotów do kanału na długość krótszą od długości roboczej; 5) igłę wprowadza się na wolnych obrotach (300-500/min) do kanału na długość krótszą od długości roboczej. Prawidłowa odpowiedź to:
Pytanie 67
Wskaż stwierdzenie fałszywe dotyczące kompozytów modyfikowanych polikwasem (kompomerów):
Pytanie 68
Ile wynosi rozmiar cząstek wypełniacza w kompozytach mikrofilowych?
Pytanie 69
54-letni pacjent w dobrym stanie ogólnym zgłasza się w celu leczenia zęba 47. W wywiadzie podaje, że choruje na cukrzycę i jest pod stałą kontrolą diabetologa. W badaniu wewnątrzustnym w zębie 47 stwierdza się obecność rozległego ubytku i eksponowaną gutaperkę w ujściu kanałów. Pacjent nie ma innych potrzeb leczniczych, a jego stan higieny jamy ustnej jest zadowalający. W obrazie radiologicznym stwierdza się prawidłowe wypełnienie kanałów zęba 47 i brak zmian w obrazie tkanek okołowierzchołkowych. W opisanym przypadku należy:
Pytanie 70
Wskaż fałszywe stwierdzenie dotyczące zębiny sklerotycznej fizjologicznej:
Pytanie 71
W którym z poniższych przypadków pacjent może nie odczuwać żadnych dolegliwości bólowych, a zaburzenie można zauważyć przypadkowo na zdjęciu rtg?
Pytanie 72
Który z wymienionych czynników wywołuje odczuwanie bólu u pacjentów z wrażliwością zębiny?
Pytanie 73
Wskaż prawdziwe stwierdzenia dotyczące warstwy mazistej: 1) posiada jednolitą amorficzną strukturę; 2) zawiera tylko resztki organiczne; 3) jej obecność zmniejsza ryzyko przecieku bakteryjnego; 4) jej obecność zmniejsza stopień penetracji uszczelniacza do kanalików zębinowych. Prawidłowa odpowiedź to:
Pytanie 74
Wskaż stwierdzenie uzasadniające problem obrzęku miazgi zęba występującego w stanie zapalnym miazgi:
Pytanie 75
Po zabiegu profesjonalnego wybielania zębów żywych w gabinecie stomatologicznym istnieje duże prawdopodobieństwo wystąpienia efektów ubocznych. Które z poniżej wymienionych powikłań są najczęściej obserwowane po tym zabiegu? 1) resorpcja wewnętrzna; 2) resorpcja przyszyjkowa; 3) nadwrażliwość zębów; 4) podrażnienie dziąseł. Prawidłowa odpowiedź to:
Pytanie 76
Który z podanych związków może na skutek wiązania jonów wodorowych spowodować wzrost pH w jamie ustnej?
Pytanie 77
Która z przedstawionych poniżej rycin przedstawia kanał korzeniowy typu C oraz których zębów najczęściej dotyczy?

Pytanie 78
Którymi narzędziami nie powinno się wykonywać ruchów obrotowych ze względu na ryzyko zablokowania lub złamania narzędzia? 1) ręcznymi pilnikami Hedströma; 2) ręcznymi pilnikami Kerra; 3) ręcznymi poszerzaczami Kerra; 4) maszynowymi pilnikami NiTi. Prawidłowa odpowiedź to:
Pytanie 79
Dla lepszej adaptacji głównego ćwieka gutaperkowego w kanale korzeniowym, przed wprowadzeniem go do kanału można zanurzyć jego część wierzchołkową w rozpuszczalniku. Jakie są wskazania do zastosowania tej techniki?
Pytanie 80
Wskaż, w której warstwie wczesnej zmiany próchnicowej w szkliwie zachodzą procesy remineralizacji:
Pytanie 81
Wskaż zalecaną metodę ostatecznego wypełniania kanału w przypadku leczenia resorpcji wewnętrznej:
Pytanie 82
Przebarwienia spowodowane zastosowaniem preparatu AH26 spowodowane były obecnością w tym preparacie jonów:
Pytanie 83
Preparaty remineralizujące zawierające jony fluorkowe są istotnym środkiem leczenia próchnicy korzenia:
Pytanie 84
Wskaż najbardziej miarodajny objaw sugerujący nieodwracalne zapalenie miazgi:
Pytanie 85
Rozpuszczalność w płynach tkankowych i stopniowa resorpcja materiału to wady uszczelniaczy kanałowych na bazie: 1) tlenku cynku z eugenolem; 2) żywic syntetycznych; 3) żywic naturalnych; 4) wodorotlenku wapnia. Prawidłowa odpowiedź to:
Pytanie 86
Wskaż prawdziwe stwierdzenia dotyczące kwasu cytrynowego, stosowanego jako środek płuczący w leczeniu endodontycznym: 1) jest alternatywnym środkiem płuczącym dla EDTA; 2) dobrze rozpuszcza części nieorganiczne; 3) ma działanie wybielające; 4) w połączeniu z NaOCl skutecznie usuwa warstwę mazistą; 5) wykazuje działanie przeciwko bakteriom beztlenowym. Prawidłowa odpowiedź to:
Pytanie 87
Decyzję o konieczności wdrożenia inwazyjnego leczenia zmian próchnicowych podejmuje się na podstawie:
Pytanie 88
Wskaż fałszywe stwierdzenie dotyczące koferdamu:
Pytanie 89
W jakiej odległości od powierzchni wypełnienia powinna znajdować się końcówka lampy, aby zapewnić efektywną polimeryzację materiału kompozytowego?
Pytanie 90
Wskaż prawdziwe informacje dotyczące rozpychaczy w leczeniu endodontycznym: 1) stosowane są w celu pionowej kondensacji gutaperki; 2) stosowane są w celu bocznej kondensacji gutaperki; 3) rozpychacze ze stali szlachetnej stosowane są do wypełniania kanałów o znacznym stopniu zakrzywienia; 4) rozpychacze niklowo-tytanowe stosowane są do wypełniania kanałów o znacznym stopniu zakrzywienia. Prawidłowa odpowiedź to:
Pytanie 91
Który spośród wymienionych czynników nie ma wpływu na aktualną ocenę ryzyka próchnicy?
Pytanie 92
Której metody opracowania kanału korzeniowego dotyczy poniższa rycina oraz następujący opis: “Metoda ta polega na poszerzaniu okolicy przywierzchołkowej kanału do określonego rozmiaru (na rycinie umieszczonej poniżej do 25) pilnikami wprowadzanymi na pełną długość roboczą. Kolejne narzędzia wprowadza się do kanału na coraz krótszą głębokość”?

Pytanie 93
Jaki materiał jest najbardziej polecany do zamykania perforacji systemu kanałowego?
Pytanie 94
Które z wymienionych objawów mogą świadczyć o perforacji? 1) nagle krwawienie w trakcie leczenia endodontycznego; 2) nagły ból w trakcie leczenia endodontycznego; 3) ropień i liza kości; 4) ból i przetoka pochodząca od zęba leczonego kanałowo; 5) rozrost dziąsła w kierunku domniemanej perforacji; 6) wypełnienie kanałowe z nadmiarem; 7) gojenie zmiany. Prawidłowa odpowiedź to:
Pytanie 95
Wskaż prawdziwe stwierdzenia dotyczące klasyfikacji Blacka: 1) nie obejmuje próchnicy korzenia; 2) nie obejmuje próchnicy wtórnej; 3) nie obejmuje ubytków twardych tkanek niepróchnicowego pochodzenia; 4) nie rozpoznaje zmian kwalifikujących się do remineralizacji (zaawansowanie w stadium 0) i z powodu braku materiałów adhezyjnych zmian w stadium 1; 5) zmiany przyszyjkowe w rejonie stycznym zalicza do ubytków klasy II (zęby boczne) i III (zęby przednie). Prawidłowa odpowiedź to:
Pytanie 96
Ubytek próchnicowy klasy V wg Blacka sięgający do połączenia szkliwno-zębinowego w klasyfikacji Lasfarguesa i współpracowników będzie odpowiadał:
Pytanie 97
Wskaż zalecaną metodę ustalenia zęba przyczynowego odpowiedzialnego za przewlekłe ropne zapalenie tkanek okołowierzchołkowych z wytworzeniem przetoki:
Pytanie 98
Które z badań powinny być wykonane w trakcie wizyty kontrolnej po zabiegu przykrycia bezpośredniego miazgi? 1) ocena szczelności wypełnienia; 2) badanie laserowym przepływomierzem Dopplera; 3) badanie rentgenowskie w kierunku obecności mostu zębinowego; 4) badanie rentgenowskie w kierunku oceny szerokości kanałów w porównaniu ze zdrowymi zębami sąsiednimi; 5) badanie z użyciem ECM; 6) badanie z użyciem Periotestu. Prawidłowa odpowiedź to:
Pytanie 99
Jakie postępowanie należy zaproponować w przypadku sytuacji widocznej na poniższej rycinie?

Pytanie 100
W skład preparatu GLUMA wchodzi:
Pytanie 101
Wskaż prawdziwe stwierdzenia dotyczące metody walking bleach: 1) stosuje się ją w zębach leczonych kanałowo; 2) jest to metoda wybielania zębów żywych z defektami szkliwa; 3) jest to metoda wybielania zębów żywych z przebarwieniami zlokalizowanymi w zębinie; 4) w tej metodzie stosowany jest perhydrol; 5) zazwyczaj wymaganych jest kilka wizyt; 6) zazwyczaj wymagana jest jedna wizyta. Prawidłowa odpowiedź to:
Pytanie 102
W przypadku wykonywania wybielania metodą walking bleach, przed wprowadzeniem substancji wybielającej do komory zęba, materiał wypełniający kanał korzeniowy należy usunąć i zastąpić szczelnym materiałem na głębokość około:
Pytanie 103
Wskaż zasady obowiązujące przy pracy maszynowymi narzędziami niklowo-tytanowymi: 1) konieczność weryfikacji drożności kanału narzędziami ręcznymi; 2) przestrzeganie właściwego momentu obrotowego; 3) utrzymanie stałej prędkości 700 obrotów na minutę; 4) wykonywanie ruchów obrotowych w zakresie nie większym niż 90°; 5) płukanie kanałów po każdym użytym narzędziu. Prawidłowa odpowiedź to:
Pytanie 104
Który materiał najlepiej nadaje się do zamknięcia perforacji powstałej podczas tworzenia dostępu w leczeniu endodontycznym?
Pytanie 105
Użycie jakiego rodzaju klamer do koferdamu jest rekomendowane w przypadku leczenia zęba częściowo wyrzniętego?
Pytanie 106
Wskaż prawdziwe stwierdzenia dotyczące powikłań leczenia endodontycznego: 1) perforacja to niezamierzone wykonanie połączenia pomiędzy jamą zęba a środowiskiem jamy ustnej; 2) niecałkowicie wyłuszczona miazga zęba może być przyczyną resztkowego zapalenia miazgi; 3) w przypadku odmy nie zaleca się antybiotykoterapii, tylko stosowanie niesteroidowych leków przeciwzapalnych; 4) złamanie narzędzia w trakcie wypełniania kanału skutkuje koniecznością ekstrakcji zęba; 5) przepchnięcie materiału wypełniającego poza otwór wierzchołkowy może wymagać interwencji chirurgicznej. Prawidłowa odpowiedź to:
Pytanie 107
Co jest czynnikiem etiologicznym resorpcji zewnętrznej korzenia zęba, w której występuje charakterystyczne płaskie „ścięcie” wierzchołków korzeni?
Pytanie 108
Wskaż możliwą przyczynę uzyskania fałszywie ujemnego wyniku testu elektrycznego miazgi:
Pytanie 109
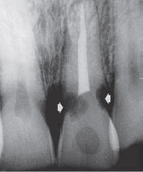
Jakie objawy mogą występować w sytuacji przedstawionej na poniższym zdjęciu rtg?

Pytanie 110
Pacjent zgłasza się z okresowymi dolegliwościami bólowymi na nagryzanie ze strony zęba 32. Ząb był leczony endodontycznie pół roku wcześniej. Na zdjęciu rtg widoczny jest kanał prawidłowo wypełniony oraz zmiana okołowierzchołkowa. Stan przyzębia brzeżnego nie budzi zastrzeżeń. Jakie postępowanie można w tym przypadku zaproponować?
Pytanie 111
Wskaż, które z działań niepożądanych towarzyszących wybielaniu przebarwionych zębów leczonych endodontycznie występuje najczęściej:
Pytanie 112
Do zmian zachodzących w endodontium w wyniku starzenia nie należy:
Pytanie 113
Wskaż prawdziwe stwierdzenie dotyczące próchnicy wtórnej:
Pytanie 114
Podniesiona temperatura ciała i ogólne złe samopoczucie najczęściej towarzyszą:
Pytanie 115
Wskaż prawdziwe stwierdzenia dotyczące morfologii zębów stałych: 1) w żuchwie siekacz centralny jest większy niż siekacz boczny; 2) najdłuższym zębem w uzębieniu człowieka jest kieł górny; 3) korzeń siekacza górnego bocznego często zagięty jest w stronę dystalną lub podniebienną; 4) ząb drugi przedtrzonowy w szczęce najczęściej posiada 2 kanały. Prawidłowa odpowiedź to:
Pytanie 116
Wskaż prawdziwe stwierdzenie dotyczące pilnika głównego MAF:
Pytanie 117
Których zębów najczęściej dotyczy jednostka chorobowa, tzw. hipomineralizacja trzonowcowo-siekaczowa, manifestująca się morfologicznymi defektami szkliwa?
Pytanie 118
Wskaż prawidłowe postępowanie w przypadku zęba 24 z wypełnionymi homogennie, aczkolwiek z nadmiarem, kanałami korzeniowymi, szczelną odbudową protetyczną, z oznakami resorpcji wierzchołka w obrazie, z dodatnią reakcją na opukiwanie:
Pytanie 119
Wskaż fałszywe stwierdzenie dotyczące zastosowania płukanek z chlorheksydyną w profilaktyce próchnicy:
Pytanie 120
Które komórki biorą udział w tworzeniu zębiny reparacyjnej?
Pytanie 121
Proszek wodorotlenku wapnia wymieszany do konsystencji pasty z solą fizjologiczną, położony bezpośrednio na żywy obnażony róg miazgi w warunkach sterylnych powoduje: 1) niewielkie zapalenie tkanek niebędących w bezpośrednim kontakcie z preparatem; 2) początkowo martwicę tkanek będących w bezpośrednim kontakcie z materiałem, ostatecznie po procesach gojenia powstanie całkowicie zdrowej, prawidłowo ukształtowanej tkanki miazgowej; 3) martwicę powierzchownej części miazgi, następnie wytworzenie linii demarkacyjnej i na końcu zmineralizowanej bariery; 4) ostatecznie powstanie zmineralizowanej bariery nazywanej mostem zębinowym; 5) uogólnione ostre zapalenie miazgi lub martwicę miazgi. Prawidłowa odpowiedź to:
Pytanie 122
Jakie jest pH wersenianu sodu - płynu do irygacji stosowanego w endodoncji?
Pytanie 123
Ostry, silny ból pojawiający się w wypełnionym zębie podczas nagryzania, w szczególności w fazie zwalniania ucisku oraz pod wpływem zimnych bodźców może wskazywać na:
Pytanie 124
Cementy szkłojonomerowe modyfikowane żywicą, w odróżnieniu od konwencjonalnych cementów szkłojonomerowych:
Pytanie 125
Które powikłanie jest najczęściej obserwowane po wybielaniu zębów leczonych endodontycznie?
Pytanie 126
Według klasyfikacji ICDAS II kod 3 oznacza:
Pytanie 127
Do wad znieczulenia domiazgowego zalicza się: 1) krótki czas działania; 2) dużą bolesność podczas wykonywania znieczulenia; 3) konieczność osiągnięcia właściwego ciśnienia podczas deponowania środka znieczulającego; 4) możliwość powstania odmy tkanek miękkich w okolicy znieczulanego zęba. Prawidłowa odpowiedź to:
Pytanie 128
Wskaż zalecane postępowanie podczas zdejmowania koferdamu, jeśli był on założony na kilka zębów, z osobno wykonanymi otworami:
Pytanie 129
Wskaż fałszywe stwierdzenie odnoszące się do procesu apeksogenezy:
Pytanie 130
W celu uniknięcia niepowodzeń w mechanicznym opracowaniu zakrzywionych kanałów należy:
Pytanie 131
Wskaż prawdziwe stwierdzenia dotyczące materiałów szkło-jonomerowych: 1) materiały szkło-jonomerowe wykazują adhezję mikromechaniczną oraz chemiczną; 2) materiały szkło-jonomerowe modyfikowane żywicą można ostatecznie opracować bezpośrednio po utwardzeniu światłem; 3) konwencjonalne materiały szkło-jonomerowe uwalniają więcej fluoru niż szkło-jonomery modyfikowane żywicą; 4) dodanie kwasu tartarowego do konwencjonalnych materiałów szkło-jonomerowych zwiększa uwalnianie fluoru; 5) kompomer to inna nazwa materiału szkło-jonomerowego modyfikowanego żywicą. Prawidłowa odpowiedź to:
Pytanie 132
Wskaż fałszywe stwierdzenie dotyczące procesu starcia zębów:
Pytanie 133
Jakie nazwy noszą przedstawione na rycinach rodzaje preparacji ubytku w zębie przedtrzonowym?

Pytanie 134
Wskaż prawdziwe stwierdzenia dotyczące dróg śmierci (dead tracts) obserwowanych w tkance zęba: 1) występują w szkliwie; 2) występują w zębinie; 3) są to pory w podpowierzchniowej, zdemineralizowanej warstwie szkliwa; 4) są to puste kanaliki zębinowe; 5) utworzone są przez komórki odontoblastopodobne wyróżnicowane z komórek mezenchymalnych miazgi. Prawidłowa odpowiedź to:
Pytanie 135
Wskaż prawdziwe stwierdzenie dotyczące mechanizmu powstawania fluorozy:
Pytanie 136
Które ze zjawisk są skutkiem przesuszenia zębiny po wytrawieniu? 1) zapadnięcie włókien kolagenowych; 2) powstanie zjawiska emulgacji; 3) zwiększone nasączenie hydrofilnym primerem włókien kolagenowych; 4) ograniczenie penetracji monomeru w kanały powstałe po rozpuszczeniu kryształów hydroksyapatytu; 5) spadek siły adhezji. Prawidłowa odpowiedź to:
Pytanie 137
Jak długo utrzymuje się zakwaszenie płytki nazębnej, zanim powróci do normalnych wartości, tj. pH ok. 7?
Pytanie 138
Wskaż prawdziwe stwierdzenia dotyczące podchlorynu sodu (NaOCl): 1) może być stosowany podczas leczenia endodontycznego w stężeniu 0,5-5,25%; 2) podgrzanie NaOCl powoduje obniżenie efektywności jego działania; 3) NaOCl rozpuszcza martwą i żywą tkankę organiczną; 4) NaOCl nie ma działania bakteriobójczego. Prawidłowa odpowiedź to:
Pytanie 139
W obturacji kanału opartej na stosowaniu ciepłej gutaperki różnymi metodami występuje: 1) możliwość przepchnięcia materiału poza otwór wierzchołkowy; 2) skurcz gutaperki po ochłodzeniu; 3) brak wypełnienia kanałów bocznych; 4) konieczność stosowania uszczelniacza; 5) szkodliwe działanie uplastycznionej termicznie gutaperki na tkanki okołowierzchołkowe. Prawidłowa odpowiedź to:
Pytanie 140
Ząb pierwszy trzonowy żuchwy posiada najczęściej:
Pytanie 141
Jakie stężenie chlorheksydyny jest zalecane w leczeniu endodontycznym?
Pytanie 142
Kondensację boczną zimnych ćwieków gutaperkowych można zakończyć, gdy:
Pytanie 143
Termin „wypełnienie zapobiegawcze” może obejmować wykonanie następujących procedur: 1) zabieg fisurotomii; 2) zabieg infiltracji; 3) zabieg enameloplastyki; 4) zabieg oszczędnej preparacji ubytku na powierzchni wargowej; 5) lakowanie bruzd; 6) preparacja tunelowa. Prawidłowa odpowiedź to:
Pytanie 144
Który z wymienionych czynników może mieć negatywny wpływ na wynik leczenia endodontycznego?
Pytanie 145
Wskaż prawdziwe stwierdzenie dotyczące zębiniaków:
Pytanie 146
Hemisekcja polega na odcięciu i usunięciu:
Pytanie 147
Która z wymienionych substancji w połączeniu z preparatem na bazie wodorotlenku wapnia stosowanym w leczeniu endodontycznym, zwiększa jego działanie bakteriobójcze?
Pytanie 148
Na rycinie poniżej pokazano wessanie komórki odontoblastu do kanalika zębinowego. W jakiej sytuacji takie niepożądane zdarzenie może nastąpić?

Pytanie 149
Który z preparatów najskuteczniej wybieli zęby pacjenta przebarwione na szaro w wyniku przyjmowania w dzieciństwie tetracyklin?
Pytanie 150
Którego z wymienionych poniżej objawów nie obserwuje się u pacjentów ze zmniejszonym wydzielaniem śliny?
Pytanie 151
Wskaż, jaki parametr opisuje wskaźnik PUWz w badaniach epidemiologicznych:
Pytanie 152
Wskaż niewłaściwe zastosowanie drewnianych klinów używanych jako akcesoria stomatologiczne:
Pytanie 153
Podczas płukania podchlorynem sodu kanału korzeniowego zęba 11 u 33-letniego pacjenta doszło do nagłego obrzęku okolicy podnosowej oraz silnego bólu, który uniemożliwiał kontynuację leczenia w dniu wizyty. W jaki sposób można zapobiec takim zdarzeniom? 1) wprowadzać igłę maksymalnie do połowy długości kanału korzeniowego; 2) zapewnić odpływ z kanału aplikowanemu płynowi; 3) dostosować średnicę igły do średnicy kanału, by igła szczelnie zamykała światło kanału korzeniowego; 4) powoli wprowadzać płyn płuczący do kanału korzeniowego; 5) podczas płukania stosować igły endodontyczne z otworem bocznym. Prawidłowa odpowiedź to:
Pytanie 154
Do gabinetu stomatologicznego przyszedł pacjent na kontrolę radiologiczną zęba uprzednio leczonego endodontycznie i wypełnianego metodą kondensacji bocznej gutaperki z uszczelniaczem na bazie żywicy epoksydowej. Zdjęcie rtg ujawniło powiększenie się zmiany okołowierzchołkowej przy korzeniu zęba z niedopełnionym kanałem. Jakie będzie prawidłowe postępowanie?
Pytanie 155
Opracowanie kanału korzeniowego polegające na rotacji narzędzia zgodnie z kierunkiem ruchu zegara o 90-180 stopni i następnie w kierunku przeciwnym o 120-180 stopni nazwane jest metodą:
Pytanie 156
Wskaż prawdziwe stwierdzenia dotyczące chlorheksydyny: 1) posiada silne właściwości bakteriostatyczne, bakteriobójcze i przeciwgrzybicze; 2) łączy się z błoną cytoplazmatyczną bakterii za pomocą sił elektrostatycznych, powoduje wyciek substancji wewnątrzkomórkowej i w efekcie śmierć komórki; 3) wiąże się z hydroksyapatytem, zmienia jego właściwości, przez co uniemożliwia przyczepianie się bakterii; 4) stosowany w leczeniu kanałowym 2% roztwór skutecznie eliminuje E. faecalis. Prawidłowa odpowiedź to:
Pytanie 157
Uszereguj czynności wykonywane podczas zakładania koferdamu we właściwej kolejności: 1) zaznaczenie na gumie miejsca wycięcia otworu; 2) rozpięcie gumy na ramce; 3) sprawdzenie utrzymania klamry na zębie; 4) dobranie odpowiedniej klamry i próba jej założenia; 5) przywiązanie do łuku klamry nici dentystycznej; 6) przeciągnięcie gumy poniżej punktów stycznych. Prawidłowa odpowiedź to:
Pytanie 158
Wskaż fałszywe stwierdzenie dotyczące próchnicy korzenia zęba:
Pytanie 159
Które z poniższych cech zalicza się do wad uszczelniaczy kanałowych na bazie tlenku cynku z eugenolem? 1) rozpuszczalność w płynach tkankowych; 2) homogenna konsystencja; 3) łatwość aplikacji; 4) brak kontroli co do objawów pozabiegowych; 5) cytotoksyczność; 6) efekt antybakteryjny. Prawidłowa odpowiedź to:
Pytanie 160
Wskaż fałszywe stwierdzenie dotyczące składników nieorganicznych śliny:
Pytanie 161
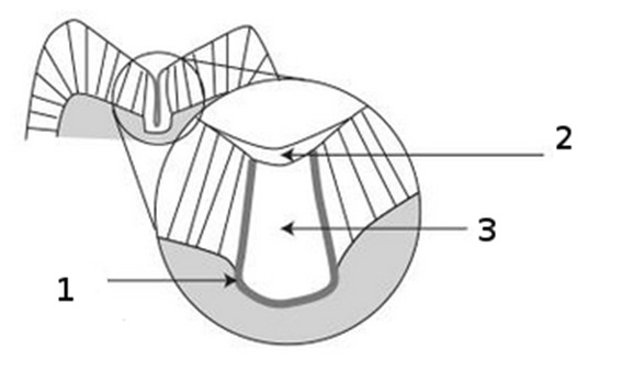
Spośród podanych poniżej wskaż nazwy odpowiadające strukturom wskazanym na schemacie: 3- 2+

Pytanie 162
Który ze środków stosowanych do odkażania kanałów korzeniowych może zmniejszyć dolegliwości bólowe pacjenta?
Pytanie 163
Zabieg pokrycia pośredniego można przeprowadzić w przypadku, gdy:
Pytanie 164
Która z wymienionych jest najmniej prawdopodobną przyczyną wystąpienia resorpcji 2 zewnętrznej?
Pytanie 165
Do gabinetu stomatologicznego zgłosił się 28-letni mężczyzna podając ostry ból zęba 34 występujący podczas jedzenia, zwłaszcza lodów. W badaniu wewnątrzustnym w zębie 34 na powierzchni policzkowej w okolicy szyjki zęba stwierdzono ubytek abrazyjny. Zaobserwowano, że stymulacja na zimno powoduje intensywny ból, który ustępuje szybko po zaprzestaniu drażnienia. Nie stwierdzono reakcji na opukiwanie. Jakie jest prawidłowe rozpoznanie w tym przypadku?
Pytanie 166
Do zalet NaOCl zalicza się:
Pytanie 167
Wskaż skutki przedłużonego osuszania ubytku sprężonym powietrzem: 1) zmniejszenie siły wiązania systemu łączącego; 2) korzystny wpływ na tworzenie warstwy hybrydowej; 3) przesuniecie odontoblastów w głąb miazgi; 4) opadnięcie odsłoniętych włókien kolagenowych. Prawidłowa odpowiedź to:
Pytanie 168
Która z wymienionych sytuacji klinicznych stanowi przeciwwskazanie do lakowania bruzd?
Pytanie 169
Jon fluoru wpływa na metabolizm komórki bakteryjnej Streptococcus mutans na drodze poniżej wymienionych mechanizmów, z wyjątkiem:
Pytanie 170
Wskaż prawdziwe stwierdzenia dotyczące działania 2% chlorheksydyny stosowanej w endodoncji: 1) może być użyta jako alternatywa podchlorynu sodu; 2) wiąże się z dodatnio naładowaną błoną cytoplazmatyczną komórek bakterii; 3) jest neutralizowana w obecności tkanki organicznej w kanale korzeniowym; 4) posiada właściwości przeciwgrzybicze; 5) ma zdolność wiązania z hydroksyapatytem. Prawidłowa odpowiedź to:
Pytanie 171
Która z poniższych metod jest wskazana w leczeniu pionowego złamania korzenia? 1) zamknięcie linii złamania MTA; 2) zamknięcie linii złamania cementem szklano-jonomerowym; 3) adhezyjne połączenie odłamów; 4) ortodontyczna ekstruzja zęba w celu odsłonięcia linii złamania i zaopatrzenia złamania materiałem biozgodnym; 5) ekstrakcja zęba. Prawidłowa odpowiedź to:
Pytanie 172
Wskaż prawdziwe stwierdzenie dotyczące całkowitego zwichnięcia zęba:
Pytanie 173
„Jest to narzędzie ręczne, jednorazowego użytku, wykonane ze stali nierdzewnej. Zbudowane jest ze stożkowatego rdzenia (drutu), na którym są spiralnie ułożone kolce/ząbki. Narzędziem tym należy pracować bardzo ostrożnie, gdyż może ulec zaklinowaniu w kanale i złamaniu”. Wskaż narzędzie kanałowe, którego dotyczy powyższy opis:
Pytanie 174
Po spożyciu pokarmu kariogennego, powrót wartości pH płytki do poziomu neutralnego trwa około:
Pytanie 175
Wskaż fałszywe stwierdzenie dotyczące znieczulenia domiazgowego:
Pytanie 176
Bakterie kojarzone z próchnicą korzenia to: 1) Streptococcus mutans; 2) Lactobacillus acidophilus; 3) Gram-dodatnie Actinomyces; 4) Gram-ujemne Actinomyces. Prawidłowa odpowiedź to:
Pytanie 177
Wskaż właściwy moment opracowywania cementów glasjonomerowych modyfikowanych żywicą:
Pytanie 178
Zjawisko „płynięcia“ (creep), pod wpływem cyklicznego obciążania wypełnienia siłami żucia, dotyczy wypełnień:
Pytanie 179
Aby we właściwy sposób przygotować materiał MTA do użytku, należy wymieszać proszek z:
Pytanie 180
Wskaż prawdziwe stwierdzenia dotyczące płukania kanałów korzeniowych: 1) zaleca się płukanie kanału po każdym użytym narzędziu; 2) zastosowanie igieł endodontycznych zwiększa bezpieczeństwo, ale znacznie obniża efekt płuczący; 3) optymalny efekt płuczący uzyskuje się po wprowadzeniu igły do 1/3 długości roboczej kanału; 4) środki płuczące stosowane w endodoncji szybko ulegają dezaktywacji; 5) efekt czystości okolicy przyszczytowej można uzyskać, gdy płukanie odbywa się w kanale opracowanym do numeru ISO 25. Prawidłowa odpowiedź to:
Pytanie 181
Mężczyzna, lat 42, zgłosił się do gabinetu z powodu silnego samoistnego bólu zęba 25. W badaniu stwierdzono bolesność przy opukiwaniu i nieprawidłową - przedłużoną reakcję na zimno. Jakiego rodzaju leczenie powinno być przeprowadzone u pacjenta?
Pytanie 182
Jakie są stężenia fluorku sodu w płynach do płukania jamy ustnej zalecanych do codziennego użytku (1) oraz do stosowania pod kontrolą (2)?
Pytanie 183
Wskaż najbardziej miarodajny test kliniczny służący do diagnostyki stanu miazgi:
Pytanie 184
Wskaż prawdziwe stwierdzenia dotyczące kondensacji bocznej zimnej gutaperki: 1) główny ćwiek gutaperkowy powinien klinować się w okolicy wierzchołka, a podczas wyciągania z kanału powinien być wyczuwalny delikatny opór; 2) ćwieki dodatkowe wprowadzane są do kanału na tę samą długość, co ćwiek główny; 3) spreader wprowadzany jest do kanału na większą długość niż wyznaczona długość robocza; 4) po usunięciu spreadera natychmiast należy wprowadzić do kanału przygotowany wcześniej ćwiek dodatkowy. Prawidłowa odpowiedź to:
Pytanie 185
Na rycinie pokazano schemat wypełniania zapobiegawczego (PRR). Przyporządkuj numerom zaznaczonym na rycinie materiały, które są stosowane w tej procedurze:

Pytanie 186
Kanał uznaje się za niedopełniony, gdy uszczelniacz z gutaperką znajduje się w odległości:
Pytanie 187
Które z wymienionych czynników mają wpływ na efektywność polimeryzacji światłoutwardzalnego materiału kompozytowego? 1) grubość warstwy materiału; 2) stężenie fotoinicjatora; 3) odcień materiału; 4) wielkość i ilość cząstek wypełniacza. Prawidłowa odpowiedź to:
Pytanie 188
W jakich sytuacjach pomiar długości roboczej za pomocą współcześnie używanych endometrów może być nieprawidłowy? 1) kontakt narzędzia z metalowymi rekonstrukcjami; 2) obecność środka płuczącego w kanale; 3) obecność krwi w kanale; 4) ząb z niezakończonym rozwojem wierzchołka korzenia. Prawidłowa odpowiedź to:
Pytanie 189
Leki antydepresyjne, obniżające ciśnienie krwi oraz diuretyki:
Pytanie 190
Terminem „próchnica ukryta” określa się ubytki próchnicowe:
Pytanie 191
U 18-letniego pacjenta stwierdzono niewielki ubytek próchnicowy na powierzchni okluzyjnej zęba 47. Ubytek opracowano, wypełniono materiałem kompozytowym, a zdrowe bruzdy powierzchni żującej i dołek na powierzchni policzkowej zalakowano. Jak nazywa się wykonana procedura?
Pytanie 192
Wskaż prawdziwe stwierdzenie dotyczące warstwy hybrydowej:
Pytanie 193
Wskaż zalecenia dedykowane osobom dorosłym z wysokim ryzykiem próchnicy:
Pytanie 194
Wskaż zestawy płynów płuczących, w których znajdują się wyłącznie te, które stosuje się w podanych stężeniach podczas leczenia endodontycznego: 1) 0,2% chlorheksydyna (CHX), 5,25% kwas etylenotetraaminooctowy (EDTA); 2) 2,5% podchloryn sodu, 15% kwas cytrynowy; 3) 17% EDTA, 5,25% NaOCl; 4) 0,9% NaCl, 15% EDTA; 5) 50% kwas cytrynowy, 2% CHX; 6) 3% H O , 5,25% NaCl. Prawidłowa odpowiedź to:
Pytanie 195
Wskaż wady znieczulenia domiazgowego: 1) bardzo bolesna iniekcja; 2) krótki czas trwania znieczulenia; 3) konieczność użycia specjalnego instrumentu; 4) konieczność trepanacji komory zęba. Prawidłowa odpowiedź to:
Pytanie 196
Wskaż zdanie fałszywe dotyczące ksylitolu:
Pytanie 197
Po jakim czasie od spożycia węglowodanów pH płytki bakteryjnej wraca do poziomu wyjściowego, który nie inicjuje demineralizacji twardych tkanek zęba?
Pytanie 198
Przy opracowywaniu ubytków klasy III pod wypełnienia adhezyjne, szkliwo należy zukośnić pod kątem wynoszącym około:
Pytanie 199
Wskaż poprawną odpowiedź dotyczącą zębów, w których może występować konfiguracja ujść kanałowych przedstawiona na poniższych rycinach:

Pytanie 200
Jaka reakcja chemiczna odpowiedzialna jest za proces wybielania twardych tkanek zębów?
Pytanie 201
Wskaż prawdziwe stwierdzenia dotyczące warstwy mazistej: 1) jest to luźno przylegająca warstwa powstająca podczas skrawania zębiny i dotyczy tylko ubytków opracowywanych w koronie zęba; 2) jest to luźno przylegająca warstwa powstająca podczas skrawania zębiny i dotyczy ubytków opracowywanych w koronie zęba oraz opracowanych ścian kanału korzeniowego; 3) jest to mocno przylegająca warstwa powstająca podczas skrawania zębiny i dotyczy ubytków opracowywanych w koronie zęba; 4) powstawanie korków warstwy mazistej jest korzystne ze względu na blokowanie kanalików zębinowych i znoszenie nadwrażliwości zębiny; 5) warstwa mazista sprzyja adhezji materiałów wypełniających do tkanek zęba. Prawidłowa odpowiedź to:
Pytanie 202
Wskaż definicję erozji zębów:
Pytanie 203
Który z wymienionych poniżej materiałów jest szczególnie zalecany do wykonywania wypełnień u osób z wysokim ryzykiem próchnicy w celu uzyskania kontroli procesu próchnicowego?
Pytanie 204
Wskaż prawdziwe stwierdzenie dotyczące próchnicy początkowej:
Pytanie 205
Wskaż fałszywą informację dotyczącą powtórnego leczenia kanałowego:
Pytanie 206
Wskaż prawdziwe stwierdzenie dotyczące procedury przykrycia bezpośredniego miazgi:
Pytanie 207
Laserowy przepływomierz Dopplera wykorzystywany w endodoncji służy do: 1) oceny obecności krążenia krwi w miazdze; 2) oceny żywotności miazgi; 3) biostymulacji gojenia zmian okołowierzchołkowych; 4) wykonania testu transiluminacji korony zęba; 5) wyjaławiania kanału korzeniowego. Prawidłowa odpowiedź to:
Pytanie 208
Metodę tradycyjną opracowania kanałów korzeniowych zastosować można w przypadkach kanałów, których kształt jest:
Pytanie 209
Wskaż fałszywe stwierdzenie dotyczące nadtlenku karbamidu:
Pytanie 210
Wskaż typowy dla anoreksji i przewlekłego alkoholizmu obraz zmian w szkliwie zębów, będący wynikiem działania kwasów endogennych:
Pytanie 211
37-letni pacjent został skierowany z innej placówki w celu leczenia zęba 11. Zgłasza złe samopoczucie i gorączkę. Skarży się na uporczywy ból, który wzmagają ciepłe posiłki i napoje, a zimno łagodzi dolegliwości. Dotyk językiem nasila ból. Wskaż najbardziej prawdopodobną diagnozę:
Pytanie 212
Połącz podane poniżej formy chlorheksydyny z właściwymi dla nich stężeniami chlorheksydyny: a) 2%; b) 1%; c) 0,2%; 1) środek do płukania kanałów korzeniowych; 2) żel lub pasta; 3) roztwór do płukania jamy ustnej. Prawidłowa odpowiedź to:
Pytanie 213
Która z podanych metod leczenia przebarwień zębów wiąże się z najwyższym ryzykiem wystąpienia zewnętrznej resorpcji przyszyjkowej?
Pytanie 214
Zukośnienie brzegu ubytku klasy IV wg Blacka, przed aplikacją materiału złożonego, nie wpływa na:
Pytanie 215
Wskaż prawdziwe stwierdzenie dotyczące postępowania diagnostycznego w przypadku stwierdzenia przetoki w jamie ustnej:
Pytanie 216
Kwas fosforowy jest stosowany w celu wytrawienia zębiny i usunięcia warstwy mazistej przed zastosowaniem systemu łączącego:
Pytanie 217
Wskaż nieprawidłowy sposób otwarcia i wykonania dostępu do ubytku próchnicowego obecnego na powierzchni stycznej zęba bocznego:
Pytanie 218
Który z wymienionych symptomów nie jest objawem perforacji w środkowym odcinku korzenia?
Pytanie 219
W którym przypadku należy wykonać ponownie zdjęcie z narzędziem w celu określenia długości roboczej w trakcie leczenia endodontycznego? 1) gdy koniec narzędzia znajduje się 4 mm przed wierzchołkiem radiologicznym; 2) gdy koniec narzędzia przechodzi przez wierzchołek radiologiczny i znajduje się 3,5 mm poza nim; 3) gdy wierzchołek narzędzia jest ułożony 1,5 mm od wierzchołka anatomicznego; 4) gdy koniec narzędzia znajduje się dokładnie w miejscu wierzchołka radiologicznego. Prawidłowa odpowiedź to:
Pytanie 220
Które z poniższych stwierdzeń zawiera fałszywe informacje o zastosowaniu urządzeń ultradźwiękowych do płukania kanałów korzeniowych?
Pytanie 221
Które komórki znajdujące się w ozębnej rozrastają się w warunkach patologicznych, wyścielając jamę torbieli?
Pytanie 222
Pacjent zgłosił się do gabinetu na badanie kontrolne. W wywiadzie podaje przebyty 3 lata temu zawał serca. Ocena obrazu rtg wykazała obecność resorpcji wewnętrznej typu A w zębie 22. Ząb jest bezobjawowy i prawidłowo reaguje na bodźce mechaniczne i termiczne. Pacjent utrzymuje higienę jamy ustnej na zadowalającym poziomie. Wskaż postępowanie zalecane w opisanym przypadku:
Pytanie 223
Jaki materiał zalecany jest do odbudowy ubytków zlokalizowanych w miejscu widocznym na poniższej rycinie?

Pytanie 224
Które powierzchnie zębów są objęte zmianami w przypadku próchnicy klasy I wg Blacka? 1) powierzchnie okluzyjne zębów bocznych; 2) brzegi sieczne zębów przednich; 3) szczyty guzków zębów bocznych; 4) powierzchnie podniebienne trzonowców górnych; 5) powierzchnie językowe trzonowców dolnych; 6) dołki i bruzdy związane z obecnością dodatkowych guzków. Prawidłowa odpowiedź to:
Pytanie 225
Wskaż prawdziwe stwierdzenia dotyczące diagnostyki urazów zębów: 1) wykonuje się zdjęcia rentgenowskie tkanek twardych i miękkich; 2) wykonuje się zdjęcia rentgenowskie tylko tkanek twardych; 3) wykonuje się testy żywotności miazgi; 4) wykonuje się testy na ruchomość. Prawidłowa odpowiedź to:
Pytanie 226
Wskaż fałszywe stwierdzenie dotyczące płynów płuczących stosowanych w endodoncji:
Pytanie 227
Krótkie korzenie, obliteracja jam zębowych oraz małe, baniaste korony zębów to radiologiczny obraz:
Pytanie 228
Płytka nazębna jest przykładem błony biologicznej, zwanej obecnie biofilmem. Wskaż prawdziwe stwierdzenie charakteryzujące kolonie drobnoustrojów w niej występujące:
Pytanie 229
Jaki rodzaj zmian może powstać pod wypełnieniem w przypadku pozostawienia na dnie ubytku tkanki próchnicowej?
Pytanie 230
Do gabinetu zgłosiła się 34-letnia pacjentka z głębokim ubytkiem próchnicowym w zębie 46. W badaniu stwierdzono brak reakcji zęba na bodźce termiczne, a w jego okolicy obecność niewielkiej aktywnej przetoki. Stan tkanek przyzębia - w granicach normy. Jakie leczenie powinno zostać przeprowadzone?
Pytanie 231
Wskaż, co nie jest możliwym następstwem przepchnięcia środków płuczących i materiałów wypełniających kanał korzeniowy poza otwór anatomiczny:
Pytanie 232
Wskaż prawdziwe stwierdzenia dotyczące wypełnień amalgamatowych: 1) zwiększenie zawartości miedzi w amalgamatach skutkuje zwiększoną odpornością na korozję; 2) zmniejszenie zawartości miedzi w amalgamatach skutkuje zwiększoną odpornością na korozję; 3) faza cynowo-rtęciowa jest najmniej odporną na korozję fazą amalgamatu; 4) faza srebrowo-rtęciowa jest najmniej odporną na korozję fazą amalgamatu; 5) faza miedziowo-cynowa jest najmniej odporną na korozję fazą amalgamatu. Prawidłowa odpowiedź to:
Pytanie 233
Narzędzie endodontyczne ma biały uchwyt, jest oznaczone liczbą 15 oraz symbolem koła. Jaki to rodzaj narzędzia i jaka jest średnica jego wierzchołka?
Pytanie 234
Wskaż, co nie należy do zalet chlorheksydyny stosowanej jako środek płuczący do kanału korzeniowego:
Pytanie 235
Wskaż fałszywe stwierdzenie dotyczące zębiniaków:
Pytanie 236
Brak reakcji zęba na testy termiczne przy jednoczesnym bólu sprowokowanym nagryzaniem może sugerować:
Pytanie 237
Które z wymienionych poniżej związków stosuje się w leczeniu nadwrażliwości zębiny? 1) szczawian potasu; 2) fosforan wapnia; 3) żywice adhezyjne; 4) związki aldehydowe. Prawidłowa odpowiedź to:
Pytanie 238
W którym z wymienionych przypadków klinicznych możliwe jest wykonanie przykrycia bezpośredniego miazgi? 1) złamanie korony zęba z niewielkim odsłonięciem miazgi (< 1 mm) w pierwszych godzinach po urazie; 2) ząb z ubytkiem próchnicowym z polipem miazgi; 3) przypadkowe obnażenie miazgi w ubytku niepróchnicowego pochodzenia; 4) obnażenie miazgi w ubytku próchnicowym. Prawidłowa odpowiedź to:
Pytanie 239
Wskaż oczekiwaną reakcję żywej, niezakażonej miazgi po przykryciu bezpośrednim nietwardniejącym wodorotlenkiem wapnia:
Pytanie 240
Wskazaniem do zabiegu bikuspidacji jest:
Pytanie 241
Obecności jakich kanałów należy się spodziewać w przypadku, gdy w pierwszym przedtrzonowcu szczęki występuje dodatkowy kanał?
Pytanie 242
Które z poniższych informacji na temat procedury pre-wedging w stomatologii zachowawczej są prawdziwe? 1) polega na umieszczeniu pomiędzy sąsiadującymi zębami klina; 2) polega na uszczelnieniu paska formówki za pomocą klina; 3) pozwala na niewielką separację zębów; 4) chroni dziąsło i gumę koferdamu; 5) stosowana jest w celu retrakcji dziąsła w ubytkach klasy V wg Blacka. Prawidłowa odpowiedź to:
Pytanie 243
Które z procedur powinny być realizowane w ramach wstępnego planu leczenia? 1) ekstrakcja korzenia zgorzelinowego zęba 24; 2) wykonanie licówki kompozytowej na zębie 11; 3) instruktaż higieny jamy ustnej; 4) zabieg pokrycia recesji w zębie 32; 5) ekstyrpacja w znieczuleniu po zdiagnozowaniu w zębie 12 nieodwracalnego zapalenia miazgi; 6) usunięcie złamanego narzędzia z kanału medialnego zęba 27, przed planowanym wykonaniem odbudowy protetycznej. Prawidłowa odpowiedź to:
Pytanie 244
Wskaż zdania prawdziwe dotyczące zukośnienia brzegu ubytku w obrębie szkliwa przed założeniem wypełnienia z materiału kompozytowego: 1) jest zalecane w przypadku opracowywania ubytków w zębach przednich; 2) w zębach bocznych zukośnienie powinno być wykonane na powierzchniach żujących lub w obrębie innych miejsc obciążonych siłami żucia; 3) zukośnienie opracowywane jest pod kątem 45° do zewnętrznej powierzchni zęba za pomocą wiertła diamentowego o kształcie płomyka lub kulki; 4) jeśli w ubytkach stycznych preparacja rozszerza się dodziąsłowo na strukturę korzenia, zukośnienie należy wykonać w obrębie cementu; 5) w wyniku zukośnienia zwiększa się powierzchnia szkliwa dla wiązania i poprawia efekt estetyczny połączenia wypełnienia z zębem. Prawidłowa odpowiedź to:
Pytanie 245
U pacjenta przeprowadzono leczenie endodontyczne zęba 46. Ze względu na procesy zapalne w okolicy furkacji ząb ten rozdzielono cięciem przedsionkowo-językowym w dnie komory. Pozostawiono obydwie części zęba, a następnie odbudowano je protetycznie. Jak nazywa się procedura przeprowadzona u tego pacjenta?
Pytanie 246
Wskaż prawdziwe stwierdzenia dotyczące neuralgii nerwu trójdzielnego: 1) spotykana jest najczęściej u osób w młodym wieku; 2) dotyczy osób powyżej 50. roku życia; 3) charakteryzuje się silnym atakiem bólu po dotknięciu skóry lub błony śluzowej; 4) charakteryzuje się silnym samoistnym atakiem bólu; 5) zęby w dotkniętym bólem obszarze nie reagują prawidłowo na bodźce. Prawidłowa odpowiedź to:
Pytanie 247
Wskaż grupę leków, które nie powodują hiposaliwacji:
Pytanie 248
Wskaż fałszywe stwierdzenie dotyczące pionowego złamania korzenia zęba:
Pytanie 249
Transiluminacja jest badaniem wykorzystywanym w endodoncji głównie w celu:
Pytanie 250
40-letni pacjent zgłosił się do gabinetu stomatologicznego z powodu trwającego od tygodnia bólu zęba 34 o znacznym nasileniu. W badaniu wewnątrzustnym stwierdzono rozległy ubytek próchnicowy zęba 34, zaś na dnie ubytku zdemineralizowaną zębinę próchnicową. Ząb wykazywał zwiększoną wrażliwość na zimno i brak reakcji na opukiwanie. Badanie radiologiczne nie wykazało zmian okołowierzchołkowych. Wskaż właściwe postępowanie w tym przypadku:
Pytanie 251
W celu zminimalizowania skurczu polimeryzacyjnego kompozytu należy używać: 1) lamp polimeryzacyjnych typu soft-start; 2) lamp polimeryzacyjnych o dużej mocy; 3) dedykowanego systemu wiążącego do używanego materiału kompozytowego; 4) cienkiej warstwy materiału typu flow jako podkładu; 5) nie grubszej niż 2 mm warstwy materiału kompozytowego; 6) warstwy materiału kompozytowego o grubości 2-5 mm; 7) nie grubszej niż 6 mm warstwy materiału kompozytowego. Prawidłowa odpowiedź to:
Pytanie 252
Pacjent lat 23 zgłosił się z powodu samoistnego bólu zęba 46 trwającego ok. 7 dni. W ciągu ostatniej doby ból bardzo się nasilił. W oparciu o badanie kliniczne i radiologiczne postawiono diagnozę nieodwracalnego zapalenia miazgi. W przypadku ograniczonego czasu, jaki można poświęcić pacjentowi, zalecanym postępowaniem jest:
Pytanie 253
Podczas opracowywania ubytku klasy II wg Blacka zlokalizowanego na powierzchni żującej i mezjalnej w zębie 36 u 25-letniego pacjenta, zauważono plamę próchnicową na powierzchni dystalnej zęba 35 z nienaruszoną powierzchnią szkliwa. Na zdjęciu rtg widoczna jest niewielka demineralizacja szkliwa i brak demineralizacji w obrębie zębiny. U pacjenta nie stwierdza się więcej aktywnych ubytków próchnicowych, zaś higiena jamy ustnej jest optymalna. Jakie postępowanie można zaproponować w odniesieniu do zęba 35?
Pytanie 254
Wskaż zdanie prawdziwe dotyczące środków płuczących stosowanych w leczeniu endodontycznym:
Pytanie 255
Które z wymienionych poniżej tkanek są wyspecjalizowanymi tkankami łącznymi pochodzenia mezodermalnego, utworzonymi z brodawki zębowej?
Pytanie 256
Zmiana pH płytki wywołana płukaniem roztworem glukozy została stwierdzona przez Stephana. Jak długo utrzymuje się jej zakwaszenie zanim powróci do normalnych wartości, ok. 7?
Pytanie 257
Wskaż temperaturę, powyżej której gutaperka staje się płynna:
Pytanie 258
Które z podanych czynników są odpowiedzialne za powstawanie ubytków abrazyjnych? 1) działanie kwasów endogennych; 2) działanie kwasów egzogennych; 3) nadużywanie wykałaczek do oczyszczania przestrzeni międzyzębowych; 4) trzymanie fajki między zębami; 5) działanie ekscentrycznych sił okluzyjnych powodujących ugięcie zęba. Prawidłowa odpowiedź to:
Pytanie 259
Złamania instrumentu w kanale można uniknąć przez: 1) niedoginanie narzędzia stalowego przed wprowadzeniem do kanału zgodnie z przebiegiem jego krzywizny; 2) doginanie narzędzia stalowego przed wprowadzeniem do kanału zgodnie z przebiegiem jego krzywizny; 3) nieużywanie zużytych narzędzi; 4) nieomijanie rozmiarów kolejno stosowanych narzędzi; 5) wywieranie znacznego nacisku na narzędzie. Prawidłowa odpowiedź to:
Pytanie 260
Wskaż prawdziwe informacje dotyczące standardów ISO dla narzędzi kanałowych: 1) numer narzędzia kanałowego odnosi się do średnicy jego wierzchołka, która mierzona jest w setnych częściach milimetra; 2) numer narzędzia kanałowego odnosi się do średnicy jego wierzchołka, która mierzona jest w dziesiątych częściach milimetra; 3) tradycyjne narzędzia kanałowe rozszerzają się na każdym kolejnym milimetrze długości o 0,04 mm; 4) tradycyjne narzędzia kanałowe rozszerzają się na każdym kolejnym milimetrze długości o 0,2 mm; 5) stożkowatość tradycyjnych narzędzi kanałowych wynosi 2%. Prawidłowa odpowiedź to:
Pytanie 261
Wskaż prawdziwe stwierdzenie dotyczące zabiegów endodontycznych:
Pytanie 262
Wskaż nazwy narzędzi endodontycznych widocznych na poniższej rycinie:

Pytanie 263
Jaka jest stożkowatość standardowych ręcznych stalowych pilników endodontycznych?
Pytanie 264
Który płyn najszybciej i najbardziej efektywnie zmiękcza gutaperkę w kanale?
Pytanie 265
Wskaż objawy, które zwykle towarzyszą perforacji wytworzonej w obrębie kanału korzeniowego: 1) nagły ból; 2) nagłe krwawienie; 3) obrzęk tkanek miękkich; 4) zwiększenie długości roboczej wskazywanej przez endometr w stosunku do wcześniej ustalonej długości roboczej; 5) zmiana położenia narzędzia endodontycznego na zdjęciu rtg. Prawidłowa odpowiedź to:
Pytanie 266
Którą część dolnego zęba trzonowego pozostawia się w jamie ustnej po zabiegu premolaryzacji?
Pytanie 267
Największe ilości fluoru z cementów glass-jonomerowych uwalniane są:
Pytanie 268
Do usunięcia gutaperki z kanału podczas powtórnego leczenia kanałowego służą: 1) pilnik Hedströma; 2) narzędzia maszynowe niklowo-tytanowe; 3) igła Lentulo; 4) rozgrzany pilnik Hedströma; 5) 2% chlorheksydyna. Prawidłowa odpowiedź to:
Pytanie 269
Wskaż zdania prawdziwe dotyczące dopasowywania głównego ćwieka gutaperkowego standardowego do ścian kanału: 1) wielkość ćwieka powinna być mniejsza o jeden rozmiar od ostatniego użytego do opracowania kanału na długości roboczej narzędzia; 2) podczas usuwania dopasowanego ćwieka gutaperkowego z kanału powinno się pokonać niewielki opór; 3) jeśli ćwiek umieszczony w kanale nie wchodzi na właściwą długość - powinno się wybrać o numer większy; 4) jeśli ćwiek przechodzi poza otwór fizjologiczny - powinno się wybrać o numer większy; 5) po dopasowaniu ćwieka zaleca się wykonanie zdjęcia rentgenowskiego. Prawidłowa odpowiedź to:
Pytanie 270
W celu poprawy skuteczności roztworu podchlorynu sodu zaleca się: 1) podgrzanie roztworu do temperatury ciała; 2) schłodzenie roztworu do temp. 15°C; 3) zmieszanie roztworu z CHX; 4) zmieszanie roztworu z H O ; 5) aktywację roztworu ultradźwiękami; 6) zwiększenie objętości roztworu. Prawidłowa odpowiedź to:
Pytanie 271
22-letni pacjent został skierowany do specjalisty endodoncji w celu leczenia kanałowego zęba 16. Lekarz dentysta w trakcie leczenia chciał zwiększyć efektywność 2 2 płukania kanału korzeniowego za pomocą 2% podchlorynu sodu. Które z wymienionych poniżej metod może wykorzystać? 1) schładzanie roztworu NaOCl poniżej 20°C; 2) zwiększenie objętości NaOCl stosowanej podczas płukania; 3) aktywację poprzez mieszanie NaOCl z 2% roztworem chlorheksydyny; 4) mieszanie roztworu NaOCl poprzez opracowywanie kanału pilnikami. Prawidłowa odpowiedź to:
Pytanie 272
Metoda obwodowa (ang. circumferential) stosowana w leczeniu endodontycznym to metoda: 1) opracowywania kanałów korzeniowych; 2) wypełniania kanałów korzeniowych; 3) stosowana w kanałach dużych, o innym kształcie niż okrągły; 4) polecana szczególnie w kanałach wąskich, zakrzywionych i okrągłych. Prawidłowa odpowiedź to:
Pytanie 273
2% ćwieki gutaperkowe mają największą procentową zawartość:
Pytanie 274
Obecność wąskiej kieszonki patologicznej jest charakterystycznym objawem zespołu endo-perio:
Pytanie 275
Do gabinetu zgłosiła się 25-letnia pacjentka skarżąc się na obecność niebolesnego wygórowania na błonie śluzowej przedsionka jamy ustnej, w rzucie wierzchołka korzenia zęba 14. Podczas badania, w wyniku ucisku wyrostka zębodołowego pojawił się wysięk z przetoki, początkowo ropny, a następnie krwisto-ropny. Najbardziej prawdopodobna diagnoza to:
Pytanie 276
Wskaż prawdziwe stwierdzenia dotyczące zębiny sklerotycznej: 1) jest wynikiem reakcji obronnej miazgi; 2) jest wynikiem penetracji bakterii do kanalików zębinowych; 3) powstaje w przypadku próchnicy o szybkim przebiegu; 4) powstaje w przebiegu próchnicy wolno postępującej; 5) cechuje ją obniżenie zawartości minerałów; 6) powstaje w obrębie zębiny pierwotnej. Prawidłowa odpowiedź to:
Pytanie 277
Jakie jest stężenie jonów fluoru w preparacie zawierającym 2500 ppm F ?
Pytanie 278
35-letni pacjent zgłosił się z powodu zmiany o średnicy ok. 3 mm na błonie śluzowej, która pojawiła się przed tygodniem w okolicy przedsionkowej, w rzucie wierzchołka korzenia zęba 23. Ząb 23 niebolesny samoistnie i na opukiwanie. W RTG widoczne przejaśnienie w okolicy wierzchołka korzenia zęba 23. Powyższa zmiana to najprawdopodobniej:
Pytanie 279
Wskaż prawdziwe stwierdzenie dotyczące reguł stosowania koferdamu w procedurach endodontycznych: -
Pytanie 280
Które z wymienionych poniżej tkanek zalicza się do endodontium? 1) szkliwo; 2) zębina; 3) cement; 4) miazga. Prawidłowa odpowiedź to:
Pytanie 281
Jaki jest sposób leczenia pionowego złamania korzenia siekacza szczęki?
Pytanie 282
Jaka mogła być przyczyna resorpcji zęba widocznego na poniższym zdjęciu rentgenowskim?

Pytanie 283
Żółtawe przebarwienie korony zęba u pacjenta po urazie spowodowane jest:
Pytanie 284
Wskaż prawdziwe stwierdzenia dotyczące chlorheksydyny stosowanej do płukania podczas leczenia kanałowego: 1) ze względu na swoje właściwości może być stosowana zamiast podchlorynu sodu; 2) posiada silne właściwości antybakteryjne; 3) nie rozpuszcza tkanek organicznych; 4) usuwa warstwę mazistą. Prawidłowa odpowiedź to:
Pytanie 285
Wskaż informacje fałszywe dotyczące procedury przykrycia bezpośredniego: 1) wskazaniem do przykrycia bezpośredniego jest obecność głębokiej próchnicy; 2) odsłoniętą miazgę pokrywa się preparatem wodorotlenku wapnia lub tlenkiem cynku z eugenolem; 3) polega na zaopatrzeniu obnażonej lub zranionej miazgi opatrunkiem biologicznym z wodorotlenkiem wapnia lub MTA; 4) efektem przykrycia bezpośredniego powinno być wytworzenie zębiny reparacyjnej; 5) przeciwwskazaniem do zabiegu jest próchnicowe obnażenie miazgi. Prawidłowa odpowiedź to:
Pytanie 286
Wskaż prawdziwe stwierdzenia dotyczące blokady Gow-Gates: 1) wymaga użycia systemu WAND; 2) wymaga wkłucia do otworu żuchwowego; 3) wykonywana jest w pozycji siedzącej pacjenta; 4) umożliwia znieczulenie dolnych zębów trzonowych; 5) wymaga jednego wkłucia; 6) ogranicza prawdopodobieństwo szczękościsku. Prawidłowa odpowiedź to:
Pytanie 287
Której struktury dotyczy opis: „Jest warstwą niezmineralizowanej zębiny, położoną najbliżej miazgi, odkłada się przez całe życie dopóki miazga jest żywa”?
Pytanie 288
Wskaż prawdziwe stwierdzenia dotyczące benzodiazepin stosowanych do sedacji w przypadku długich zabiegów stomatologicznych u pacjentów nadwrażliwych: 1) wywołują niepamięć; 2) zapewniają działanie uspokajające; 3) zapewniają działanie przeciwbólowe; 4) najczęściej stosowanym lekiem jest artykaina. Prawidłowa odpowiedź to:
Pytanie 289
Wskaż prawdziwe stwierdzenia dotyczące zębiny: 1) przestaje być tworzona po wyrznięciu korony zęba; 2) tworzona jest do czasu ukształtowania korzeni zęba; 3) tworzona jest przez całe życie, dopóki miazga jest żywa; 4) niezmineralizowana warstwa nowo powstałej zębiny nosi nazwę zębiny okołokanalikowej; 5) niezmineralizowana warstwa nowo powstałej zębiny nosi nazwę prazębiny. Prawidłowa odpowiedź to:
Pytanie 290
Wskaż prawdziwe stwierdzenie dotyczące znieczuleń stosowanych podczas leczenia endodontycznego:
Pytanie 291
Który z wymienionych poniżej objawów jest najbardziej charakterystyczny dla pionowego złamania korzenia zęba?
Pytanie 292
Wskaż precyzyjną definicję erozji:
Pytanie 293
Wskaż prawdziwą informację o endodontium:
Pytanie 294
Wskaż zdania prawdziwe dotyczące zasad leczenia endodontycznego: 1) zastosowanie narzędzi rotacyjnych niklowo-tytanowych podczas opracowania kanału nie eliminuje całkowicie konieczności wykorzystania narzędzi ręcznych; 2) kanał korzeniowy z martwą miazgą powinien być opracowany do wierzchołka radiologicznego; 3) przykoronowa część kanału powinna być opracowana w większym stopniu niż część przywierzchołkowa; 4) rekapitulację przeprowadza się w celu utrzymania drożności kanału korzeniowego; 5) płukanie kanału należy rozpocząć po zakończeniu jego mechanicznego opracowania. Prawidłowa odpowiedź to:
Pytanie 295
Materiałem stosowanym z wyboru do wypełnienia ubytków w korzeniu u pacjentów z dużym ryzykiem próchnicy powinien być: 1) materiał kompozytowy z mikrowypełniaczem; 2) cement szkło-jonomerowy; 3) cement szkło-jonomerowy modyfikowany żywicą; 4) ormocer; 5) recaldent. Prawidłowa odpowiedź to:
Pytanie 296
Wskaż, który z wymienionych może być składnikiem gotowych preparatów naoliwiających (lubrykantów) stosowanych w endodoncji:
Pytanie 297
Jak określane są klinicznie miejsca, które nie są narażone na działanie czynników mechanicznych i gdzie bakterie mają tendencję do zasiedlenia?
Pytanie 298
Który system umożliwia wykonanie kondensacji pionowej ciepłą gutaperką według Schildera?
Pytanie 299
Do objawów towarzyszących przewlekłym zapaleniom tkanek okołowierzchołkowych należy: 1) sklerotyzacja kości w okolicy ogniska zapalnego; 2) ścieńczenie warstwy cementu korzeniowego; 3) powstanie kostniwiaków; 4) powstanie szkliwiaków; 5) obecność przetoki. Prawidłowa odpowiedź to:
Pytanie 300
Wskaż prawdziwe stwierdzenie opisujące metodę zmniejszenia ryzyka wystąpienia resorpcji w metodzie stopniowego wybielania zębów bezmiazgowych (walking bleach):
Pytanie 301
Którego z poniższych czynników nie bierze się pod uwagę przy ocenie złamania korony zęba z obnażeniem miazgi?
Pytanie 302
Wskaż cechy, które charakteryzują obraz wczesnej zmiany próchnicowej w szkliwie określany jako „białe plamy”: 1) kredowo-białe, nieprzezroczyste obszary szkliwa; 2) utrata przezierności; 3) powierzchniowa demineralizacja; 4) występowanie na gładkiej powierzchni szkliwa w obrębie korony; 5) brak utraty minerałów w strefie centralnej. Prawidłowa odpowiedź to:
Pytanie 303
Wskaż prawdziwe stwierdzenia dotyczące tomografii komputerowej wiązki stożkowej (obrazowania wolumetrycznego): 1) nie generuje promieniowania jonizującego; 2) w porównaniu ze zdjęciami rentgenowskimi pozwala dokładniej określić anatomię korzeni i kanałów; 3) pozwala na wykrycie zmian zapalnych w tkankach okołowierzchołkowych niewidocznych na zdjęciach rentgenowskich; 4) daje możliwość analizy obrazu w dwóch płaszczyznach: osiowej i strzałkowej, ale nie można dokonać analizy w płaszczyźnie czołowej. Prawidłowa odpowiedź to:
Pytanie 304
Wskaż prawdziwe informacje dotyczące apeksyfikacji: 1) dotyczy zębów dojrzałych; 2) można wykonać zabieg przykrycia bezpośredniego, amputacji przyżyciowej częściowej lub całkowitej; 3) dotyczy zębów z martwą miazgą; 4) dotyczy zębów z żywą miazgą; 5) oznacza formowanie zmineralizowanej bariery w okolicy wierzchołka korzenia zęba pod wpływem leków. Prawidłowa odpowiedź to:
Pytanie 305
U 29-letniego pacjenta wykonano zabieg replantacji zęba 11 oraz leczenie kanałowe zęba. Na rtg kontrolnym wykonanym po roku zaobserwowano brak szpary ozębnej i zatarcie obrazu struktur korzenia w stosunku do tkanki kostnej. Wskaż diagnozę i zalecane postępowanie lekarza:
Pytanie 306
Jaki kształt przyjmuje mikroskopowy obraz plamy próchnicowej na powierzchniach gładkich zęba?
Pytanie 307
Jak nazywają się mikroanatomiczne nierówności na powierzchni szkliwa, biegnące w przybliżeniu równolegle do granicy szkliwno-cementowej, porozdzielane rzędami dołków będącymi zakończeniami wyrostków Tomesa?
Pytanie 308
Które z poniższych nie powodują zmniejszenia wydzielania śliny?
Pytanie 309
Wskaż prawdziwe stwierdzenie dotyczące lizozymu będącego składnikiem śliny:
Pytanie 310
Na jaką długość powinien być wsunięty rozpychacz podczas wypełniania kanału korzeniowego metodą kondensacji bocznej gutaperki na zimno?
Pytanie 311
Jak rozszerza się kształt ręcznych pilników K i poszerzaczy?
Pytanie 312
Wskaż stwierdzenie prawdziwe dotyczące testów oceniających stan miazgi i tkanek okołowierzchołkowych:
Pytanie 313
U 19-letniego pacjenta w badaniu klinicznym stwierdzono uogólnione starcie zębów. Korony zębów miały opuszkowaty kształt i bursztynowy kolor. Na zdjęciu rtg zaobserwowano skrócone i cienkie korzenie oraz zobliterowane komory i kanały korzeniowe. Na jakie schorzenie wskazują opisane objawy?
Pytanie 314
W zębie 11 stwierdzono resorpcję typu B wg Jeannereta. Która z niżej wymienionych metod może być zastosowana w tym przypadku? 1) wypełnienie kanału na całej długości preparatem MTA; 2) metoda CWT (Continuous Wave Technique); 3) wypełnienie kanału samym uszczelniaczem. Prawidłowa odpowiedź to:
Pytanie 315
Wskaż zęby, w których mogą występować konfiguracje ujść kanałowych przedstawione na poniższych rycinach:

Pytanie 316
Wskaż prawdziwe stwierdzenia dotyczące techniki opracowywania kanałów korzeniowych metodą crown-down: 1) opracowywanie kanału zaczyna się od największych rozmiarów pilników; 2) opracowywanie kanału zaczyna się od najmniejszych rozmiarów pilników; 3) początkowo opracowywana jest wierzchołkowa 1/3 długości kanału; 4) często używane są narzędzia rotacyjne; 5) należy do metod wierzchołkowo-koronowych. Prawidłowa odpowiedź to:
Pytanie 317
Badanie żywotności miazgi na ciepło (test termiczny) wykonuje się bardzo często przy użyciu rozgrzanej gutaperki. Wskaż prawidłowy sposób przygotowania zęba do przeprowadzenia tego testu:
Pytanie 318
Które z wymienionych poniżej przebarwień zębów nie należą do grupy przebarwień endogennych?
Pytanie 319
Wskaż prawdziwe stwierdzenia dotyczące anatomii okolicy okołowierzchołkowej: 1) otwór fizjologiczny zazwyczaj jest zgodny z otworem anatomicznym; 2) otwór fizjologiczny zazwyczaj nie znajduje się w miejscu otworu anatomicznego; 3) u osób starszych poprzez apozycję cementu otwór fizjologiczny przybliża się do otworu anatomicznego; 4) u osób starszych poprzez apozycję cementu otwór fizjologiczny oddala się od otworu anatomicznego; 5) odległość pomiędzy otworem fizjologicznym a anatomicznym wynosi najczęściej od 0,5 mm do 2 mm; 6) odległość pomiędzy otworem fizjologicznym a anatomicznym wynosi najczęściej od 0,8 mm do 5,5 mm. Prawidłowa odpowiedź to:
Pytanie 320
Wskaż prawdziwe stwierdzenia dotyczące adhezji do szkliwa: 1) jest oparta na zakotwiczeniu mikromechanicznym; 2) wytrawione szkliwo mikroskopowo ma wygląd plastra miodu; 3) najczęściej używanym kwasem w adhezji jest 37% kwas fosforowy; 4) wytrawianie przekształca gładką powierzchnię szkliwa w nieregularny twór, umożliwiając wnikanie żywicy; 5) wytrawiacz umożliwia włączenie warstwy mazistej do struktury wiązania szkliwa; 6) szkliwo łączy się chemicznie z kolagenem systemu wiążącego. Prawidłowa odpowiedź to:
Pytanie 321
Wskaż fałszywe stwierdzenie dotyczące czuciowego unerwienia więzadła ozębnowego:
Pytanie 322
Która technika jest najbardziej polecaną metodą ręcznego opracowania zakrzywionych i częściowo zobliterowanych kanałów korzeniowych?
Pytanie 323
Wskaż zdanie fałszywe dotyczące techniki pre-wedging:
Pytanie 324
Wskaż prawdziwe stwierdzenia dotyczące opracowania kanałów korzeniowych techniką „step-back”: 1) po opracowaniu kanału pilnikiem MAF, kolejne pilniki wprowadza się do kanału na mniejszą długość niż wyznaczona wcześniej długość robocza; 2) po opracowaniu kanału pilnikiem MAF, kolejne pilniki wprowadza się na tę samą, wyznaczoną wcześniej długość kanału; 3) kanał po opracowaniu techniką „step-back” uzyskuje kształt stożka; 4) technika ta jest gorsza od standardowego (klasycznego) opracowania kanału, gdyż nie zapewnia odpowiedniego kształtu i oczyszczenia kanału. Prawidłowa odpowiedź to:
Pytanie 325
Dopasuj cechę charakteryzującą zębiniaka do jego rodzaju: 1) jest w całości otoczony przez miazgę; 2) jest częściowo związany z zębiną; 3) jest otoczony przez zębinę. a) zębiniak wolny; b) zębiniak przylegający; c) zębiniak śródmiąższowy. Prawidłowa odpowiedź to:
Pytanie 326
Wskaż fałszywe stwierdzenie dotyczące pilników niklowo-tytanowych:
Pytanie 327
Która z wymienionych poniżej patologii może przebiegać bezobjawowo?
Pytanie 328
Wskaż, co nie charakteryzuje zmiany przywierzchołkowej pochodzenia endodontycznego na zdjęciu rtg:
Pytanie 329
Wskaż wadę lusterka stomatologicznego przedniopowierzchniowego:
Pytanie 330
Wskaż fałszywe stwierdzenie dotyczące odontoblastów:
Pytanie 331
Główną przyczyną reinfekcji kanału korzeniowego jest obecność:
Pytanie 332
Wskaż prawdziwe stwierdzenia dotyczące efektów stosowania gumy do żucia zawierającej substytuty cukru jako dodatkowego zabiegu higienicznego: 1) redukcja próchnicy na poziomie niższym niż 30%; 2) ograniczenie miana drobnoustrojów próchnicotwórczych; 3) obniżenie stężenia jonów wodorowęglanowych w ślinie; 4) wzrost stężenia laktoperoksydazy ślinowej; 5) wzrost stężenia jonów Ca2+ w ślinie. Prawidłowa odpowiedź to:
Pytanie 333
Próchnicotwórczy efekt węglowodanów w diecie jest modyfikowany przez inne składniki pożywienia. Który składnik mleka, w pewnym stopniu, zwalnia proces próchnicowy? 2+
Pytanie 334
Wskaż fałszywe stwierdzenie dotyczące pionowego złamania korzenia (VRF):
Pytanie 335
Do gabinetu stomatologicznego zgłosił się pacjent z powodu nieestetycznego wyglądu wszystkich zębów. W trakcie badania wewnątrzustnego stwierdzono obecność bursztynowo-brązowych, opalizujących, startych zębów z prawidłowym, ale w wielu miejscach odkruszonym szkliwem. Na zdjęciu rtg zaobserwowano baniasty kształt koron, skrócone korzenie oraz obliterację komór i kanałów. Wskaż właściwą diagnozę dla opisanego przypadku:
Pytanie 336
Wskaż prawdziwe stwierdzenia dotyczące kompozytów mikrofilowych: 1) średnia wielkość cząsteczki wypełniacza w kompozytach mikrofilowych to 0,04 μm; 2) polimeryzacja kompozytu światłoutwardzalnego odbywa się pod wpływem światła widzialnego niebieskiego ze szczytem długości fali 470-480 nm; 3) średnia wielkość cząsteczki wypełniacza w kompozytach mikrofilowych to 0,4 μm; 4) cementy glass-jonomerowe modyfikowane żywicą stosowane są w technice ART; 5) kompozyty hybrydowe znane są jako kompomery. Prawidłowa odpowiedź to:
Pytanie 337
Który z wymienionych nie odgrywa żadnej roli w procesie remineralizacji tkanek zęba?
Pytanie 338
W pierwszym górnym zębie trzonowym ujście kanału dodatkowego w komorze miazgi występuje najczęściej:
Pytanie 339
Co oznacza termin premolaryzacja?
Pytanie 340
Wskaż, które powierzchnie zębów ulegają zużyciu w przebiegu atrycji: 1) brzegi sieczne; 2) powierzchnie styczne; 3) powierzchnie żujące; 4) powierzchnie językowe zębów żuchwy; 5) powierzchnie policzkowe zębów szczęki. Prawidłowa odpowiedź to:
Pytanie 341
Co jest najczęstszą przyczyną resorpcji zamiennej (ankylozy)?
Pytanie 342
Wskaż fałszywe stwierdzenia dotyczące gutaperki: 1) gutaperka wykazuje samoistną adhezję do ścian kanału korzeniowego; 2) gutaperka ulega skurczeniu podczas chłodzenia; 3) ćwieki gutaperkowe składają się w ok. 20% z gutaperki; 4) standaryzacja ćwieków jest bardzo dokładna - wszystkie ćwieki oznaczone danym kolorem mają ten sam rozmiar; 5) gutaperka ulega rozpuszczeniu wskutek działania rozpuszczalników organicznych, np. chloroformu. Prawidłowa odpowiedź to:
Pytanie 343
Podczas badania klinicznego 33-letniej pacjentki na podniebiennych powierzchniach zębów szczęki oraz na powierzchniach żujących zębów bocznych żuchwy odnotowano ubytki szkliwa o cienkich brzegach lub szkliwo wyglądało jak wypolerowane. Jakie czynniki etiologiczne należy wziąć w tym przypadku pod uwagę? 1) ciąża; 2) bulimia; 3) spożywanie produktów zawierających witaminę C; 4) częste spożywanie soków owocowych; 5) częste pływanie na basenie; 6) alkoholizm; 7) zaburzenia żołądkowo-jelitowe. Prawidłowa odpowiedź to:
Pytanie 344
Wskaż prawdziwe stwierdzenia dotyczące odontoblastów: 1) odontoblasty są komórkami miazgi; 2) odontoblasty występują w większej liczbie w koronowej części miazgi, niż w jej części korzeniowej; 3) odontoblasty tworzą pojedynczą warstwę komórek na obrzeżach miazgi; 4) odontoblasty mogą ulegać licznym podziałom, gdyż nie są komórkami ostatecznymi; 5) odontoblasty nie są wrażliwe na procesy chorobowe toczące się w zębie i nawet próchnica nie powoduje zmian w tych komórkach. Prawidłowa odpowiedź to:
Pytanie 345
Wskaż prawdziwe stwierdzenia dotyczące mostu zębinowego powstającego przy bezpośrednim przykryciu miazgi zęba: 1) tworzy się między warstwą martwiczą miazgi a żywą miazgą przy zastosowaniu preparatu o wysokim pH; 2) składa się z dwu warstw - tworzącej się wcześniej kanalikowej części zębiny reparacyjnej oraz odkładanej po likwidacji stanu zapalnego bezkanalikowej zębiny włóknistej; 3) most zębinowy po zastosowaniu materiału MTA jest grubszy i bardziej jednorodny w porównaniu z cieńszym mostem zębinowym po zastosowaniu wodorotlenku wapnia. Prawidłowa odpowiedź to:
Pytanie 346
Ręczne narzędzie kanałowe koloru żółtego może mieć w punkcie DO średnicę:
Pytanie 347
Wśród podanych poniżej wskaż prawdziwe informacje dotyczące rekapitulacji podczas leczenia kanałowego metodą step-back: 1) rekapitulacja polega na usunięciu najbardziej koronowo położonej części miazgi kanałowej; 2) rekapitulacja polega na zapewnieniu drożności kanału do przewężenia fizjologicznego; 3) rekapitulacja wykonywana jest za pomocą ostrego ekskawatora; 4) rekapitulacja wykonywana jest za pomocą narzędzia o jeden rozmiar większego niż MAF; 5) rekapitulacja wykonywana jest za pomocą narzędzia MAF. Prawidłowa odpowiedź to:
Pytanie 348
Terminem „warstwa hybrydowa” określa się:
Pytanie 349
Nowo utworzona warstwa niezmineralizowanej zębiny, położona najbliżej miazgi jest nazywana:
Pytanie 350
Do gabinetu stomatologicznego zgłosiła się pacjentka w piętnastym tygodniu ciąży z powodu znacznej nadwrażliwości zębów występującej zwłaszcza w odpowiedzi na bodźce termiczne. W badaniu klinicznym zaobserwowano ubytki szkliwa o cienkich brzegach i bardzo gładkiej, jakby wypolerowanej powierzchni, widoczne na powierzchni podniebiennej zębów górnych, natomiast w żuchwie na powierzchniach policzkowych i żujących. Jakie rozpoznanie można postawić w powyższym przypadku?
Pytanie 351
Wskaż prawdziwe stwierdzenia dotyczące cementu korzeniowego: 1) cement bezkomórkowy pokrywa bezpośrednio zębinę korzeniową; 2) w okolicy wierzchołka korzenia grubość cementu jest najmniejsza; 3) macierz pozakomórkowa cementu zawiera czynniki wzrostu, będące źródłem regeneracji ozębnej; 4) cement pokrywający korzeń jest najbardziej unaczyniony w okolicy szyjki zęba. Prawidłowa odpowiedź to:
Pytanie 352
Wskaż prawdziwe stwierdzenia dotyczące kanałów typu C: 1) częstość ich występowania jest zależna od pochodzenia etnicznego; 2) występują najczęściej w pierwszych zębach trzonowych szczęki; 3) ujście kanałowe znajduje się poniżej szyjki zęba; 4) korzenie zawierające kanały typu C są krótkie i beczkowate; 5) kategoria III kanałów typu C wg Moltona dotyczy jednego szerokiego kanału rozciągającego się od dna komory do wierzchołka korzenia. Prawidłowa odpowiedź to:
Pytanie 353
Którego z wymienionych działań leczniczych nie osiąga się po zastosowaniu w leczeniu endodontycznym preparatu wodorotlenku wapnia?
Pytanie 354
Wskaż prawdziwe stwierdzenie dotyczące abfrakcji:
Pytanie 355
Wskaż prawdziwe stwierdzenie dotyczące warstwy centralnej wczesnej zmiany próchnicowej:
Pytanie 356
Obrót pilnika zgodnie z ruchem wskazówek zegara (90-180 stopni), następnie w stronę przeciwną do ruchu wskazówek zegara (120-360 stopni) z niewielkim naciskiem. Która z technik opracowywania kanału najlepiej odpowiada opisowi?
Pytanie 357
Które procesy zachodzą w miazdze i zębinie wraz z wiekiem (starzeniem się organizmu)?
Pytanie 358
W której warstwie wczesnej zmiany próchnicowej w szkliwie występuje największa utrata substancji mineralnej?
Pytanie 359
Ile typów konfiguracji kanałów w pojedynczym korzeniu obejmuje klasyfikacja wg Vertucciego?
Pytanie 360
Antykrzywiznowa metoda opracowania kanału polega na:
Pytanie 361
Obronnymi reakcjami kompleksu miazgowo-zębinowego są: 1) zębina pierwotna; 2) zębina wtórna fizjologiczna; 3) zębina sklerotyczna (przezroczysta); 4) zębina III-rzędowa (reakcyjna); 5) zapalenie miazgi. Prawidłowa odpowiedź to:
Pytanie 362
Wskaż fałszywe stwierdzenie dotyczące zębiny sklerotycznej (przezroczystej):
Pytanie 363
Jak bezcukrowa guma do żucia z ksylitolem wpływa na wydzielanie śliny?
Pytanie 364
Ubytku której klasy wg Blacka dotyczy najniższa wartość współczynnika konfiguracyjnego ubytku (C-factor) odnoszącego się do napięcia skurczowego?
Pytanie 365
Wskaż prawdziwe stwierdzenie dotyczące testów stosowanych w badaniach stomatologicznych:
Pytanie 366
Który z wymienionych preparatów posiada właściwości wysuszające kanał korzeniowy w przypadku obecności obfitego wysięku zapalnego?
Pytanie 367
Wskaż prawdziwe stwierdzenia dotyczące płytki nazębnej: 1) błonka nabyta, nieskolonizowana przez bakterie osłonka białkowa, jest pierwszym stadium powstawania płytki nazębnej; 2) Streptococcus salivarius jest bakterią najwcześniej zasiedlającą jamę ustną noworodka; 3) we wczesnym stadium tworzenia płytki są obecne bakterie tlenowe, natomiast w miarę dojrzewania płytki pojawia się więcej gatunków beztlenowych; 4) „kolby kukurydzy” są zbudowane z bakterii z rodzaju Staphylococcus i Streptococcus; 5) wzrost płytki nazębnej jest przypadkowym nagromadzeniem bakterii i ich produktów. Prawidłowa odpowiedź to:
Pytanie 368
W których zębach pojawia się najczęściej dens invaginatus (dens in dente)?
Pytanie 369
Wskaż prawdziwe stwierdzenia dotyczące anatomii zębów trzonowych żuchwy: 1) w zębach trzonowych żuchwy najczęściej występują trzy korzenie; 2) zarys poszerzenia ułatwiającego ma kształt owalny; 3) dolny pierwszy trzonowiec może posiadać dodatkowy, oddzielny korzeń dystalny; 4) w korzeniu mezjalnym mogą występować trzy kanały korzeniowe. Prawidłowa odpowiedź to:
Pytanie 370
Wskaż stwierdzenia prawidłowe dotyczące pilnika Hedströema: 1) pilniki typu H wykazują większą łamliwość niż pilniki K; 2) ze względu na swoją budowę, pilnik H jest bardzo efektywny w trakcie wykonywania ruchu obrotowego; 3) na przekroju poprzecznym pilnik H ma kształt trójkąta; 4) pilnik H skrawa zębinę głównie w momencie wprowadzania instrumentu do kanału. Prawidłowa odpowiedź to:
Pytanie 371
W której grupie zębów najczęściej można zaobserwować system kanałów typu C?
Pytanie 372
Jaki jest zarys poszerzenia endodontycznego w siekaczu centralnym szczęki u młodych ludzi?
Pytanie 373
Metoda ta wykorzystuje ksenonową mikrolampę produkującą niebieskie światło, analizator obrazu i monitor. W wyniku analizy komputerowej uzyskuje się ilościową ocenę utraty tkanek twardych zęba (demineralizacja). W badaniu zdrowy ząb wykazuje fluorescencję, natomiast demineralizacja manifestuje się jako ciemna plama. Której metody diagnozowania próchnicy dotyczy powyższy opis?
Pytanie 374
Wskaż prawdziwe stwierdzenia dotyczące środków poślizgowych na bazie EDTA i mocznika, stosowanych w endodoncji: 1) działają silnie bakteriobójczo; 2) mają zdolność wiązania jonów wapnia z powierzchni zębiny korzeniowej; 3) nie wymagają wypłukania przed wypełnieniem kanału; 4) mogą być przyczyną ostrych objawów zapalnych ze strony tkanek okołowierzchołkowych. Prawidłowa odpowiedź to:
Pytanie 375
Do gabinetu stomatologicznego zgłosił się pacjent z dolegliwościami bólowymi zęba 44, które pojawiły się po założeniu tydzień wcześniej wypełnienia z materiału złożonego. Wstępna diagnoza to: ostre surowicze zapalenie tkanek okołowierzchołkowych. Którego z wymienionych objawów nie zaobserwuje się u tego pacjenta?
Pytanie 376
Wskaż prawdziwe stwierdzenia dotyczące atrycji: 1) dotyczy okolicy przyszyjkowej powierzchni policzkowych zębów; 2) dotyczy powierzchni stycznych zębów; 3) dotyczy powierzchni żujących i brzegów siecznych zębów; 4) jest wynikiem żucia i kontaktu zęba z zębem; 5) jest wynikiem kontaktu zęba z ciałem obcym. Prawidłowa odpowiedź to:
Pytanie 377
Parachloroanilina (PCA) powstaje w trakcie płukania kanałów wskutek interakcji pomiędzy:
Pytanie 378
Które z poniższych cech właściwie określają działanie chlorheksydyny? 1) silne właściwości antybakteryjne; 2) właściwości wybielające; 3) skuteczne usuwanie warstwy mazistej (części organicznej); 4) skuteczne usuwanie warstwy mazistej (części nieorganicznej); 5) właściwości rozpuszczania tkanek organicznych. Prawidłowa odpowiedź to:
Pytanie 379
Dodatni wynik przy opukiwaniu poziomym zęba bez reakcji na opukiwanie pionowe może świadczyć o:
Pytanie 380
Jednoczasowe płukanie systemu kanałów korzeniowych podchlorynem sodu i chlorheksydyną prowadzi do:
Pytanie 381
Wskaż prawdziwe stwierdzenia dotyczące otwarcia ubytku (dostępu do zmiany próchnicowej) na powierzchni stycznej zębów przednich: 1) zazwyczaj ubytki na powierzchniach stycznych zębów przednich są otwierane od powierzchni wargowej; 2) w przypadku stłoczenia zębów i łatwiejszego dostępu mogą być otwierane od powierzchni wargowej; 3) dostęp wargowy jest dozwolony w przypadkach, gdy wymiany wymaga już istniejące wypełnienie na powierzchni wargowej; 4) dostęp językowy/ podniebienny jest zalecany w każdym przypadku. Prawidłowa odpowiedź to:
Pytanie 382
Wskaż prawdziwe stwierdzenia dotyczące składników śliny: 1) lizozym obecny w ślinie wiąże żelazo; 2) laktoferyna nie posiada właściwości antybakteryjnych; 3) wydzielnicze IgA i mucyny zawarte w ślinie posiadają właściwości aglutynujące; 4) lizozym i wydzielnicze IgA to enzymy ślinowe; 5) mucyny, laktoferyna, wydzielnicze IgA biorą udział w procesie remineralizacji. Prawidłowa odpowiedź to:
Pytanie 383
Które z poniższych zdań dotyczących konwencjonalnych, chemoutwardzalnych cementów glass-jonomerowych jest nieprawdziwe?
Pytanie 384
Które stwierdzenie dotyczące wykonywania bezpośredniego pokrycia miazgi z wykorzystaniem MTA jest prawdziwe?
Pytanie 385
Wskaż prawdziwe stwierdzenie dotyczące metod opracowania kanałów korzeniowych:
Pytanie 386
Który z wymienionych środków płuczących nie usuwa żadnej części warstwy mazistej?
Pytanie 387
Wskaż prawdziwe stwierdzenie dotyczące resorpcji wewnętrznej:
Pytanie 388
Które z wymienionych poniżej są usuwane dzięki zastosowaniu EDTA?
Pytanie 389
Które powierzchnie zębów są objęte zmianami w przypadku próchnicy klasy VI wg Blacka? 1) powierzchnie okluzyjne zębów bocznych; 2) brzegi sieczne zębów przednich; 3) szczyty guzków zębów bocznych; 4) dołki i bruzdy związane z obecnością dodatkowych guzków. Prawidłowa odpowiedź to:
Pytanie 390
W metodzie nakładkowego wybielania zębów żywych współcześnie często stosowanym środkiem jest nadtlenek karbamidu. W kontakcie ze śliną i płynami środowiska jamy ustnej związek ten ulega rozkładowi. Który z produktów reakcji rozpadu nadtlenku karbamidu jest czynnym składnikiem odpowiedzialnym za rozjaśnienie tkanek zęba?
Pytanie 391
Urządzenie Diagnodent, służące do wykrywania próchnicy, wykorzystuje zjawisko:
Pytanie 392
Wskaż prawdziwe stwierdzenia dotyczące cementu korzeniowego: 1) cement korzeniowy jest formowany przez całe życie człowieka; 2) cement korzeniowy może wnikać przez otwór okołowierzchołkowy do wnętrza kanału korzeniowego; 3) cement komórkowy dominuje w części koronowej korzenia zęba; 4) cement korzeniowy jest unerwiony i unaczyniony. Prawidłowa odpowiedź to:
Pytanie 393
Wskaż fałszywe stwierdzenie dotyczące fluorozy zębów:
Pytanie 394
Spośród wymienionych poniżej środków do płukania kanałów korzeniowych wskaż te, które rozpuszczają tkankę organiczną: 1) podchloryn sodu; 2) chlorheksydyna; 3) kwas cytrynowy; 4) EDTA; 5) nadtlenek wodoru. Prawidłowa odpowiedź to:
Pytanie 395
Do którego typu konfiguracji kanałów korzeniowych wg Vertucciego należy zakwalifikować ząb z trzema oddzielnymi kanałami rozpoczynającymi się w komorze i kończącymi się w okolicy wierzchołkowej?
Pytanie 396
Wskaż stwierdzenie prawdziwe dotyczące zębiny wtórnej fizjologicznej:
Pytanie 397
Połącz obraz histologiczny z właściwym rozpoznaniem: 1) centralna jama wypełniona eozynochłonnym płynem, otoczona nabłonkiem wielowarstwowym płaskim; 2) wzrost zagęszczenia struktury kości i stan zapalny; 3) zlokalizowana martwica rozpływna zawierająca liczne granulocyty obojętnochłonne i resztki komórkowe oraz gromadzący się wysięk ropny; 4) kanał przetoki wysłany tkanką nabłonkową i otoczony tkanką łączną w stanie zapalnym; 5) granulocyty obojętnochłonne i makrofagi w przestrzeni wierzchołkowej. a) osteoskleroza kości; b) torbiel okołowierzchołkowa; c) zapalenie przewlekłe ropne; d) zapalenie ostre surowicze; e) ropień okołowierzchołkowy. Prawidłowa odpowiedź to:
Pytanie 398
Wskaż stwierdzenie prawidłowe dotyczące hipoplazji szkliwa:
Pytanie 399
Dla lepszej adaptacji głównego ćwieka gutaperkowego w kanale korzeniowym można jego część wierzchołkową zanurzyć w rozpuszczalniku, przed wprowadzeniem do kanału. Jaki płyn jest rekomendowany jako rozpuszczalnik w tym przypadku?
Pytanie 400
Dlaczego podczas opracowania ubytku nie należy pozostawiać zdemineralizowanej tkanki próchnicowej w rejonie połączenia szkliwno-zębinowego? 1) ponieważ żaden z materiałów nie zapewnia idealnie szczelnego zamknięcia ubytku; 2) ponieważ postępujący proces próchnicowy spowoduje obliterację kanalików zębinowych w rejonie DEJ; 3) ponieważ proces próchnicowy będzie się szybko rozszerzać; 4) ponieważ kolor zęba może ulec zmianie. Prawidłowa odpowiedź to:
Pytanie 401
Wskaż prawdziwe stwierdzenia dotyczące ćwieków gutaperkowych: 1) ćwieki gutaperkowe wykazują bardzo dobrą adhezję do zębiny; 2) ćwieków gutaperkowych nie można sterylizować; 3) dostępne są ćwieki gutaperkowe standardowe i dodatkowe; 4) standardowe ćwieki gutaperkowe mogą występować w rozmiarach: XF, MF, F, FM, M, L; 5) ćwieki gutaperkowe można dezynfekować w roztworze podchlorynu sodu. Prawidłowa odpowiedź to:
Pytanie 402
Charakterystyczną cechą próchnicy szkliwa w obrazie histologicznym jest pokrycie początkowego uszkodzenia warstwą:
Pytanie 403
Chemomechaniczne opracowanie kanału z płukaniem kanału dużą ilością 5,25% roztworu podchlorynu sodu, czasowe wypełnienie nietwardniejącym wodorotlenkiem wapnia, a następnie ostateczne wypełnienie kanału metodą termiczną z użyciem płynnej gutaperki, stanowi standard postępowania w przypadku:
Pytanie 404
Przyporządkuj funkcje wybranym składnikom śliny: 1) peroksydaza; 2) amylaza; 3) lizozym; 4) lipaza; 5) glikoproteiny; 6) laktoferyna. a) powoduje lizę komórek bakteryjnych; b) hydrolizuje triglicerydy do wolnych kwasów tłuszczowych; c) rozcina wiązania glikozydowe; d) aglutynuje bakterie obecne w jamie ustnej; e) hamuje wzrost niektórych drobnoustrojów zależnych od żelaza; f) utlenia tiocyjanki w obecności nadtlenku wodoru. Prawidłowa odpowiedź to:
Pytanie 405
Wskaż prawdziwe stwierdzenia dotyczące wodorotlenku wapnia: 1) jest jednym z najlepszych preparatów w leczeniu biologicznym obnażonej miazgi; 2) charakteryzuje się dużym stężeniem jonów OH ; 3) jego czas wiązania to 4-6 godzin; 4) w zetknięciu z miazgą wywołuje powierzchowną martwicę; 5) jego zastosowanie na obnażoną miazgę wymaga dwuetapowego postępowania. Prawidłowa odpowiedź to:
Pytanie 406
Wskaż fałszywe stwierdzenie dotyczące próchnicy zatrzymanej:
Pytanie 407
W celu mechanicznego opracowania kanałów korzeniowych można wykorzystać technikę zrównoważonych sił. Wskaż prawdziwe stwierdzenia dotyczące tej techniki: 1) kolejność ruchu to: ruch zgodny z ruchem wskazówek zegara (CW) - ruch przeciwny do ruchu wskazówek zegara (CCW) - ruch zgodny z ruchem wskazówek zegara (CW); 2) kolejność ruchu to: CCW - CW - CCW; 3) ruch wykonuje się w takim samym zakresie stopni (np. 90 stopni CW i 90 stopni CCW); 4) w trakcie ruchu CCW należy wywierać nacisk w kierunku dowierzchołkowym; 5) technikę zrównoważonych sił stosuje się głównie do opracowania kanałów prostych i szerokich. Prawidłowa odpowiedź to:
Pytanie 408
Wskaż poprawne wyjaśnienie mechanizmu adhezji materiałów kompozytowych do szkliwa:
Pytanie 409
Który z opatrunków wewnątrzkanałowych jest opatrunkiem z wyboru, posiada silnie zasadowe pH i ma zdolności rozpuszczania resztek martwej tkanki?
Pytanie 410
Jaka jest długość pracującej części narzędzia endodontycznego, jeśli długość narzędzia bez uchwytu wynosi 21 mm?
Pytanie 411
Wskaż prawdziwe stwierdzenia dotyczące próchnicy wtórnej: 1) jest próchnicą pierwotną zlokalizowaną przy brzegu wypełnienia; 2) spowodowana jest metaboliczną aktywnością biofilmu rozwijającego się na powierzchni zęba; 3) nie ulega zatrzymaniu w wyniku usuwania płytki i aplikacji fluorków; 4) rozwija się z powodu pozostawienia zdemineralizowanej zębiny na dnie ubytku. Prawidłowa odpowiedź to:
Pytanie 412
Wskaż środki płuczące stosowane w celu usunięcia resztek organicznych z kanału korzeniowego:
Pytanie 413
Wskaż przyczyny nieskutecznego połączenia materiału kompozytowego z tkankami zęba związane ze stosowaniem systemów łączących IV i V generacji: 1) zbyt głębokie wytrawianie; 2) przesuszenie zębiny; 3) niedosuszenie zębiny; 4) konieczność stosowania samotrawiących primerów. Prawidłowa odpowiedź to:
Pytanie 414
Wskaż elementy reakcji kompleksu miazgowo-zębinowego w odpowiedzi na czynniki patogenne: 1) zwapnienia kanalików zębinowych w postaci warstwy przezroczystej; 2) wytworzenie na granicy z miazgą warstwy zębiny obronnej; 3) wytworzenie mostu zębinowego; 4) zapalenie miazgi; 5) wytworzenie zębiny reparacyjnej. Prawidłowa odpowiedź to:
Pytanie 415
Wskaż prawdziwe stwierdzenie dotyczące warstwy mazistej powstającej podczas leczenia endodontycznego: 1) jest to warstwa zanieczyszczeń organicznych i nieorganicznych pokrywająca ściany kanału korzeniowego po jego mechanicznym opracowaniu; 2) warstwa mazista może utrudniać penetrację środków antyseptycznych stosowanych między wizytami; 3) obecność warstwy mazistej zapewnia lepszą adaptację materiałów wypełniających do ścian kanału korzeniowego; 4) usunięcie warstwy mazistej zmniejsza przeciek w wypełnionym kanale; 5) najskuteczniejszym środkiem usuwającym całkowicie warstwę mazistą jest EDTA. Prawidłowa odpowiedź to:
Pytanie 416
Wskaż prawdziwe stwierdzenie dotyczące testów termicznych miazgi:
Pytanie 417
Wskaż preparat stosowany wewnątrzkanałowo o działaniu przeciwbakteryjnym, zasadowym pH, rozpuszczający resztki martwej miazgi, bakterie i produkty ich rozpadu:
Pytanie 418
Jakie jest pochodzenie włókien nerwowych odpowiedzialnych za regulację przepływu krwi w miazdze zębowej?
Pytanie 419
W której grupie zębów występuje najczęściej tzw. ząb wynicowany (dens evaginatus)?
Pytanie 420
Przedstawiony na rycinie model systemu kanałowego występujący w pojedynczym korzeniu, który charakteryzuje się dwoma oddzielnymi kanałami wychodzącymi z komory, łączącymi się w korzeniu, aby ponownie w okolicy wierzchołka podzielić się na 0 dwa kanały, kończące się odrębnymi otworami anatomicznymi to wg klasyfikacji Vertucciego typ:
Pytanie 421
Ile wynosi poziom pH krytyczny dla zębiny?
Pytanie 422
Począwszy od pilnika w rozmiarze 60, średnica wierzchołka narzędzia w punkcie D rośnie (w stosunku do kolejnego narzędzia) o:
Pytanie 423
Wskaż fałszywe stwierdzenie dotyczące próchnicy w szkliwie:
Pytanie 424
Wskaż prawidłowe zestawienie rozpoznania z zalecanym sposobem leczenia:
Pytanie 425
Który z wymienionych stanów zapalnych tkanek okołowierzchołkowych może przebiegać przy zębie z żywą miazgą?
Pytanie 426
Które z wymienionych poniżej leków mogą spowodować zmniejszenie ilości wydzielanej śliny lub wywołać suchość jamy ustnej (kserostomię)? 1) antydepresanty; 2) leki obniżające ciśnienie krwi; 3) diuretyki; 4) leki antyhistaminowe; 5) tetracyklina, doksycyklina, preparaty żelaza, niesteroidowe leki przeciwzapalne. Prawidłowa odpowiedź to:
Pytanie 427
Wskaż prawdziwe informacje dotyczące błonki nabytej (pellicle): 1) jest to bezkomórkowa, białkowa osłonka; 2) jest to nieorganiczna osłonka wytrącająca się z minerałów śliny; 3) początkowym jej kolonizatorem jest S. sanguinis; 4) powstaje po 24-48 godzinach po mechanicznym oczyszczeniu zębów. Prawidłowa odpowiedź to:
Pytanie 428
Wskaż prawdziwe stwierdzenia dotyczące użycia rozpychaczy w leczeniu endodontycznym: 1) stosowane są w metodzie wypełniania za pomocą obturatora termoplastycznego Thermafil; 2) stosowane są w celu pionowej kondensacji gutaperki; 3) rozpychacze ze stali szlachetnej stosowane są do wypełniania kanałów o znacznym stopniu zakrzywienia; 4) pierwszy rozpychacz powinien wsuwać się do kanału na głębokość 1-2 mm krótszą od długości roboczej; 5) występują w wersji ręcznej i palcowej. Prawidłowa odpowiedź to:
Pytanie 429
Wskaż fałszywe zdania dotyczące składników śliny: 1) laktoferryna w ślinie wiąże żelazo; 2) lizozym działa w ślinie antybakteryjnie; 3) wydzielnicza IgA i mucyny w ślinie mają właściwości aglutynujące; 4) lizozym i wydzielnicza IgA to enzymy ślinowe; 5) lizozym, laktoferryna, wydzielnicza immunoglobulina A wspomagają remineralizację. Prawidłowa odpowiedź to:
Pytanie 430
Wskaż rolę lipazy ślinowej:
Pytanie 431
Która z wymienionych poniżej zmian bądź struktur nie manifestuje się jako przejaśnienie w obrazie rentgenowskim?
Pytanie 432
Przyczyną zaostrzenia przewlekłego zapalenia tkanek OKW nie jest:
Pytanie 433
Wskaż prawdziwe stwierdzenia dotyczące zapalnej resorpcji przyszyjkowej: 1) w jej przebiegu pacjent zgłasza najczęściej silne dolegliwości bólowe ze strony zęba; 2) pojawia się najczęściej jako powikłanie wybielania gabinetowego zębów żywych; 3) jest przykładem resorpcji wewnętrznej; 4) może być klinicznie zauważona jako różowy ząb (pink tooth); 5) w jej terapii duże znaczenie odgrywa leczenie chirurgiczne. Prawidłowa odpowiedź to:
Pytanie 434
Wskaż prawdziwe stwierdzenia dotyczące kształtu oporowego nadawanego ubytkowi podczas jego opracowania: 1) zapewnia odporność tkanek zęba na zniszczenie podczas żucia pokarmów; 2) zapewnia odporność wypełnienia na zniszczenie podczas żucia pokarmów; 3) zapewnia lepsze utrzymanie wypełnienia w ubytku; 4) kształt oporowy można osiągnąć przez zaokrąglenie lub zukośnienie kątów ubytku; 5) kształt oporowy można osiągnąć poprzez lekko zbieżne w kierunku powierzchni żującej opracowanie ścian ubytku. Prawidłowa odpowiedź to:
Pytanie 435
Zębina sklerotyczna:
Pytanie 436
Która z wymienionych metod nie jest zalecana w przypadku leczenia zębów niedojrzałych?
Pytanie 437
Możliwą przyczyną fałszywie dodatniego wyniku testu elektrycznego miazgi nie jest:
Pytanie 438
Wypełnienie zapobiegawcze to działanie minimalnie inwazyjne zaproponowane przez Simonsena, które jest metodą łączącą:
Pytanie 439
Który z wymienionych składników śliny nie wykazuje działania antybakteryjnego?
Pytanie 440
Resorpcja ta jest uznana za fizjologiczny proces naprawy drobnych uszkodzeń na zewnętrznej powierzchni korzenia. Pojawia się niekiedy w trakcie leczenia ortodontycznego. Nie daje objawów klinicznych, najczęściej jest niewidoczna na zdjęciach rtg. Na powierzchni korzenia widoczne są małe zagłębienia w cemencie, powierzchownej warstwie zębiny i jednoczesna ich reparacja nowym cementem. Jak nazywa się ten typ resorpcji?
Pytanie 441
Jakich zmian nie obserwuje się w miazdze u starzejących się pacjentów?
Pytanie 442
Po założeniu koferdamu na ząb przeznaczony do leczenia endodontycznego, pole zabiegowe należy zdezynfekować:
Pytanie 443
Wskaż poprawną definicję abfrakcji:
Pytanie 444
Z podanych poniżej wybierz te czynniki, od których zależy kształt oporowy nadawany w trakcie opracowania ubytku próchnicowego pod wypełnienie amalgamatowe: 1) podparcie szkliwa przez zębinę; 2) lekko zbieżny układ ścian w kierunku wlotu ubytku; 3) grubość wypełnienia proporcjonalna do rozległości jego powierzchni; 4) eliminacja prostych i ostrych kątów; 5) dodatkowe nacięcia w postaci rowków i dołków. Prawidłowa odpowiedź to:
Pytanie 445
Działanie preparatu GLUMA w znoszeniu nadwrażliwości zębiny opiera się na:
Pytanie 446
Na co wskazuje obecność tzw. „przejaśnienia (przeświecania) przyszyjkowego” na zdjęciu radiologicznym?
Pytanie 447
Który ze środków do płukania kanałów korzeniowych może być stosowany jako ostatni ze względu na przedłużone działanie przeciwbakteryjne?
Pytanie 448
Do gabinetu stomatologicznego zgłosił się młody człowiek w celu leczenia zęba 37. W badaniu stwierdzono miękką, czerwonawą, kalafiorowatą narośl wystającą z rozległego ubytku próchnicowego w koronie zęba 37. Zmiana jest niebolesna, ale pacjent podaje epizody spontanicznego bólu w przeszłości. Test termiczny na zimno wykazał osłabioną wrażliwość miazgi zęba. W przebiegu jakiej sytuacji klinicznej może powstać zmiana opisana powyżej?
Pytanie 449
Który z poniższych stanów jest wskazaniem do leczenia metodą przykrycia pośredniego, jeśli miazga wykazuje prawidłową reakcję na test żywotności?
Pytanie 450
Wskaż prawdziwe stwierdzenia dotyczące testu elektrycznego wykonywanego w badaniu stanu miazgi zęba: 1) badania elektropobudliwości nie należy wykonywać u pacjentów z rozrusznikiem serca; 2) zęby z całkowitą martwicą miazgi wykazują obniżony próg pobudliwości; 3) badanie tą metodą nie określa rodzaju zapalenia miazgi; 4) wynik fałszywie dodatni może być spowodowany obecnością złogów mineralnych w jamie zęba. Prawidłowa odpowiedź to:
Pytanie 451
Wskaż właściwą nazwę procesu zużycia tkanek twardych zębów, który manifestuje się skróceniem koron zębów, starciem brzegów siecznych zębów przednich oraz guzków zębów bocznych i towarzyszy jako objaw bruksizmowi:
Pytanie 452
Wskaż prawdziwe stwierdzenia dotyczące opracowania ubytku metodą tunelową: 1) stosuje się ją w zębach wychylonych przedsionkowo lub językowo; 2) pozwala zachować niepodminowaną krawędź brzeżną; 3) może być zastosowana w przypadku próchnicy pierwotnej na powierzchni stycznej zębów bocznych; 4) dostęp do ubytku preparuje się od powierzchni przedsionkowej lub językowej. Prawidłowa odpowiedź to:
Pytanie 453
Wskaż fałszywe stwierdzenie dotyczące adhezji do szkliwa i zębiny:
Pytanie 454
Wskaż prawdziwe stwierdzenia dotyczące bólu promieniującego: 1) ból ten jest charakterystyczny dla nieodwracalnych zapaleń miazgi; 2) w wyniku promieniowania bólu chory określa stronę, z której ból pochodzi, choć nie zawsze jest w stanie wskazać, czy zębem przyczynowym jest ząb górny czy dolny; 3) ból pochodzący od zęba 35 może promieniować do oka i skroni; 4) ból pochodzący od zęba 46 może promieniować do ucha; 5) ból pochodzący od zęba 26 może promieniować do potylicy i szyi. Prawidłowa odpowiedź to:
Pytanie 455
Zębina wtórna fizjologiczna:
Pytanie 456
Typ III wg klasyfikacji Vertuciego oznacza następujący układ kanałów korzeniowych:
Pytanie 457
Wskaż prawdziwe stwierdzenie dotyczące kompomerów:
Pytanie 458
Do usunięcia warstwy mazistej z kanału korzeniowego można zastosować:
Pytanie 459
Wskaż prawdziwe stwierdzenie/a dotyczące wybielania zębów metodą termokatalityczną: 1) ta metoda wybielania może być stosowana w domu, samodzielnie przez pacjenta lub w gabinecie stomatologicznym przez personel medyczny; 2) zabieg można wykonać podczas jednej wizyty; 3) podczas zabiegu stosuje się 30% roztwór perhydrolu; 4) źródło światła należy skierować na ząb i naświetlać jednorazowo ok. 30 minut; 5) zabieg należy wykonać tylko w osłonie wałków ligninowych, ponieważ koferdam ulega degradacji pod wpływem perhydrolu. Prawidłowa odpowiedź to:
Pytanie 460
W przypadku całkowitego zwichnięcia zęba stałego, z ukształtowanym wierzchołkiem, który po wybiciu znajdował się w suchym środowisku do 30 minut, replantowany ząb należy unieruchomić na czas:
Pytanie 461
Jeśli wartość tzw. wskaźnika efektywnego leczenia jest równa 100%, oznacza to, że:
Pytanie 462
Wskaż prawdziwe stwierdzenia dotyczące resorpcji wewnętrznej: 1) obecność objawów w badaniu klinicznym i RTG świadczy o tym, że proces jest zaawansowany; 2) we wczesnych stadiach miazga reaguje prawidłowo na bodźce; 3) tylko zaawansowane stadia są wskazaniem do leczenia endodontycznego; 4) wskazaną metodą wypełnienia kanałów korzeniowych jest metoda termiczna; 5) zmiany tego rodzaju mają nierówne, poszarpane brzegi i nie łączą się ze światłem komory, a jedynie ścianą kanału korzeniowego. Prawidłowa odpowiedź to:
Pytanie 463
W urządzeniu DIAGNOdent do diagnostyki próchnicy wykorzystuje się zjawisko:
Pytanie 464
Wskaż fałszywe stwierdzenie/a dotyczące znieczulenia domiazgowego: 1) igła musi być luźno umieszczona w komorze; 2) znieczulenie to nie może stanowić jedynego i podstawowego znieczulenia w trakcie leczenia endodontycznego; 3) jest bolesne; 4) można je wykonać dopiero po obnażeniu miazgi; 5) można je wykonać karpulą. Prawidłowa odpowiedź to:
Pytanie 465
Wskaż fałszywe stwierdzenie dotyczące kompozytów:
Pytanie 466
Wskaż prawdziwe stwierdzenia dotyczące izolacji pola zabiegowego w stomatologii: 1) zastosowanie wkładki Dry Tips jest bezwzględną metodą izolacji ponieważ blokuje całkowicie ujście ślinianki przyusznej; 2) przeciwwskazaniem do założenia koferdamu jest padaczka; 3) klamry motylkowe stosowane są do izolacji zębów przednich; 4) guma silikonowa stosowana w koferdamie jest grubsza niż lateksowa i jest zalecana jako izolacja pola zabiegowego w endodoncji; 5) OptiDam to rodzaj płynnego, światłoutwardzalnego koferdamu stosowanego w uszczelnieniu koferdamu konwencjonalnego. Prawidłowa odpowiedź to:
Pytanie 467
Ubytek w korzeniu o głębokości poniżej 0,5 mm przeznaczony do leczenia nieinwazyjnego, według klasyfikacji Billingsa, należy do klasy:
Pytanie 468
Wskaż fałszywe stwierdzenie dotyczące nadwrażliwości zębiny:
Pytanie 469
Wskaż prawidłowe zestawienie czynników etiologicznych oraz zmian, które wywołują: 1) bakterie; 2) kwaśne pokarmy i napoje; 3) nadmierne i nieprawidłowe szczotkowanie zębów; 4) nadużywanie wykałaczek; 5) refluks żołądkowy-przełykowy. a) erozja; b) próchnica; c) abrazja. Prawidłowa odpowiedź to:
Pytanie 470
Który z wymienionych składników śliny nie wykazuje działania przeciwbakteryjnego?
Pytanie 471
20-letni pacjent zgłosił się do gabinetu stomatologicznego na badanie kontrolne. U pacjenta w trakcie badania wewnątrzustnego zauważono płytkę nazębną w okolicy szyjek zębów 14 i 24. Po oczyszczeniu zębów stwierdzono występowanie białych plam o kredowym, matowym wyglądzie (bez utraty ciągłości szkliwa) w rejonach, gdzie zalegała płytka bakteryjna. Widoczne były bez konieczności osuszania zęba. Wskaż zalecane postępowanie:
Pytanie 472
Ręczne narzędzie endodontyczne, z czerwonym uchwytem i graficznym oznaczeniem w kształcie trójkąta to:
Pytanie 473
Wskaż fałszywe stwierdzenie dotyczące bólu zębowego:
Pytanie 474
Wskaż fałszywe stwierdzenia dotyczące szkliwiaka: 1) występuje głównie w bocznym odcinku żuchwy; 2) w końcowym etapie rozwoju nie wykazuje cech charakterystycznych w obrazie RTG; 3) nie powoduje resorpcji korzeni zębów leczonych kanałowo; 4) wymaga leczenia chirurgicznego. Prawidłowa odpowiedź to:
Pytanie 475
Wskaż prawdziwe stwierdzenie dotyczące środków płuczących stosowanych w leczeniu endodontycznym:
Pytanie 476
Diagnostyka różnicowa ogniska osteolitycznego zlokalizowanego w przednim odcinku żuchwy nie powinna uwzględniać:
Pytanie 477
36-letni pacjent zgłosił się do lekarza dentysty z powodu trwającego od 12 godzin samoistnego bólu zęba 12, występującego pod wpływem nagryzania. W dniu poprzednim przeprowadzone zostało jednowizytowe leczenie kanałowe zęba 12 z powodu planowanej odbudowy protetycznej części koronowej zęba. Poprawność leczenia została pozytywnie zweryfikowana w obrazie RTG. Właściwym postępowaniem w opisanym przypadku jest:
Pytanie 478
Która z wymienionych metod terapeutycznych jest rekomendowana do leczenia zmiany próchnicowej określanej w klasyfikacji Lasfarguesa i wsp. jako 2.1.?
Pytanie 479
Powikłania po radioterapii w obrębie głowy i szyi to: 1) próchnica zębów; 2) atrycje zębów; 3) nadwrażliwość zębiny; 4) zewnętrzne i wewnętrzne resorpcje zębów; 5) suchość jamy ustnej; 6) przebarwienia zębów. Prawidłowa odpowiedź to:
Pytanie 480
Wskaż prawdziwe stwierdzenia dotyczące kanałów typu C: 1) występują najczęściej w drugich zębach trzonowych szczęki; 2) dno komory w zębach z kanałami typu C może schodzić poniżej szyjki zęba; 3) kanały typu C kategorii I to dwa kanały tworzące na dnie komory pełną literę C; 4) w obrazie RTG zlanie korzeni w jeden stożek może sugerować obecność kanałów typu
Pytanie 481
Materiały bioaktywne wykorzystywane w leczeniu biologicznym miazgi powinny charakteryzować się: 1) wysoką biozgodnością; 2) niską biokompatybilnością; 3) wysoką mutagennością; 4) dobrą adhezją. Prawidłowa odpowiedź to:
Pytanie 482
Wskaż prawdziwe stwierdzenie dotyczące zjawisk zachodzących podczas wypełniania kanałów termicznie uplastycznioną gutaperką:
Pytanie 483
Wskaż prawdziwe stwierdzenie dotyczące metody diagnostycznej DI-FOTI:
Pytanie 484
Wskaż fałszywe stwierdzenie dotyczące bakterii próchnicotwórczych:
Pytanie 485
Giomer to:
Pytanie 486
Wskaż prawdziwe stwierdzenia dotyczące adhezji materiałów kompozytowych: 1) wytrawianie szkliwa 37% kwasem ortofosforowym pozwala uzyskać mikroretencję chemiczną żywicy do szkliwa; 2) wiązania krzyżowe monomerów z kolagenem występują w warstwie hybrydowej w zębinie; 3) wytrawianie zębiny usuwa warstwę mazistą, odwapnia powierzchowną warstwę zębiny oraz kanaliki zębinowe; 4) OptiBond Solo Plus należy do systemów samotrawiących VII generacji; 5) warstwa mazista powstaje po mechanicznym skrawaniu zębiny na grubości od 0,5 do 5 µm.
Pytanie 487
Który z wymienionych etapów wybielania zębów martwych jest nieprawidłowy?
Pytanie 488
Który z niżej wymienionych preparatów stosowanych w biologicznym leczeniu miazgi posiada najniższe pH?
Pytanie 489
Wskaż prawdziwe stwierdzenia dotyczące warstwy mazistej: 1) występuje na powierzchni zębiny, tylko w obrębie korony zęba; 2) występuje na powierzchni zębiny koronowej i korzeniowej po jej mechanicznym opracowaniu; 3) może być usunięta poprzez mechaniczne opracowanie; 4) może być usunięta za pomocą środków chemicznych; 5) składa się wyłącznie ze składników nieorganicznych; 6) składa się ze składników organicznych i nieorganicznych.
Pytanie 490
Wskaż jakiej długości są najczęściej ręczne narzędzia endodontyczne oznaczone jako L1 w standaryzacji ISO:

Pytanie 491
Wskaż prawdziwe stwierdzenie/a dotyczące anatomii kła szczęki: 1) kieł szczęki jest najdłuższym zębem człowieka; 2) przekrój poprzeczny kanału jest owalny prawie na całej długości korzenia a owal jest wydłużony w kierunku przedsionkowo-podniebiennym; 3) zarys dostępu do jamy zęba ma kształt elipsy, u osób starszych jest większy i bardziej wydłużony w kierunku brzegu siecznego niż w zębach osób młodszych; 4) prosty przebieg kanału występuje w ok. 90% przypadków. Kanał korzeniowy kła rzadko jest zakrzywiony.
Pytanie 492
Jeśli część pracująca pilnika (do leczenia kanałowego) ma stożkowatość 2%, to oznacza, że narzędzie rozszerza się na każdym kolejnym milimetrze długości o:
Pytanie 493
Wskaż prawdziwe stwierdzenia dotyczące próchnicy korzenia: 1) cechuje ją wolniejszy progres niż próchnicy szkliwa; 2) rozwija się przy zębach ze zdrowym przyzębiem, bez objawów recesji dziąsła; 3) częściej występuje u osób starszych; 4) ubytki te mają tendencję do większej rozległości niż głębokości, na przekroju mają kształt zbliżony do litery U; 5) na powierzchni korzenia szybciej dochodzi do akumulacji płytki.
Pytanie 494
Jak określa się klinicznie rejony uzębienia, zasiedlane przez bakterie, które nie są narażone na działanie czynników mechanicznych? 1) retencji; 2) stagnacji; 3) sukcesji bakteryjnej; 4) kontroli płytki bakteryjnej.
Pytanie 495
Wskaż najwcześniej dostrzegalną klinicznie postać zmiany próchnicowej:
Pytanie 496
Wskaż fałszywe stwierdzenia dotyczące próchnicy korzenia: 1) eksponowany cement i zębina, są mniej zmineralizowane niż szkliwo i bardziej podatne na czynniki próchnicotwórcze; 2) mikroflora próchnicy korzenia jest odmienna od mikroflory związanej z próchnicą szkliwa; 3) krytyczne pH przy którym dochodzi do rozpuszczenia zębiny korzeniowej wynosi 5,0–5,5; 4) świeżo obnażona powierzchnia korzenia ma niższe stężenie fluoru niż szkliwo.
Pytanie 497
Zęby cechuje charakterystyczna opalizacja, są koloru bursztynowobrązowego. Szkliwo łatwo się odkrusza lub szybko ulega starciu. Na zdjęciu RTG w zębach stałych występuje obliteracja jam zębowych oraz skrócone korzenie”. Którego zaburzenia dotyczy powyższy opis?
Pytanie 498
Wskaż fałszywe stwierdzenie dotyczące hipomineralizacji trzonowcowo-siekaczowej:
Pytanie 499
Wskaż fałszywe stwierdzenie dotyczące preparacji ubytków:
Pytanie 500
Które z wymienionych nowotworów złośliwych mogą występować w kościach szczęk w postaci guzów przerzutowych?
Pytanie 501
Który z wymienionych nowotworów związanych z aparatem zębowym daje w obrazie RVG charakterystyczny obraz plastra miodu?
Pytanie 502
Preparację policzkową szczelinową można zastosować w ubytkach:
Pytanie 503
Który/e z wymienionych bodźców, wg teorii hydrodynamicznej, powoduje/ą przepływ płynu kanalikowego w kierunku domiazgowym?
Pytanie 504
Dentinogenesis imperfecta typ II określana jest również mianem:
Pytanie 505
Wskaż fałszywe stwierdzenia dotyczące diagnostyki próchnicy zębów: 1) podczas badania aparatem Diagnodent uzyskuje się obraz fluorescencji; 2) CarieScan Pro jest urządzeniem służącym do diagnostyki próchnicy, którego działanie oparte jest na impedancji spektroskopowej wykorzystującej prąd zmienny o zmiennej częstotliwości; 3) Diagnodent Pen służy do wykrywania próchnicy na powierzchniach gładkich i żujących; 4) metoda DI - FOTI pozwala na komputerową, ilościową analizę otrzymanego obrazu; 5) urządzenie ECM służy do diagnostyki próchnicy i opiera się na zjawisku obrazowania wielofotonowego. Prawidłowa odpowiedź to:
Pytanie 506
Racjonalny podział czynności między lekarzem stomatologiem a asystentką w pracy „na cztery ręce” zakłada, że lekarz zajmuje zwykle na symbolicznym zegarze pozycję:
Pytanie 507
Wskaż prawdziwe stwierdzenia dotyczące zęba wynicowanego: 1) określany jest również jako ząb guzkowy, tuberculate tooth oraz dens evaginatus; 2) manifestuje się dodatkowym stożkowatym guzkiem w bruździe centralnej lub na językowej krawędzi policzkowego guzka; 3) najczęściej dotyczy zębów przedtrzonowych dolnych oraz trzonowych stałych; 4) guzek jest zbudowany wyłącznie ze szkliwa i zębiny; 5) zawsze wymaga interwencji leczniczej, gdyż powoduje zaburzenie okluzji i wady zgryzu. Prawidłowa odpowiedź to:
Pytanie 508
Wskaż prawdziwe stwierdzenia dotyczące ogólnoustrojowej toksyczności leków znieczulenia miejscowego (LAST): 1) klinicznie manifestuje się kaskadą objawów, rozpoczynających się od nadmiernego pobudzenia; 2) klinicznie manifestuje się kaskadą objawów, rozpoczynających się od nadmiernego otępienia; 3) klinicznie manifestuje się kaskadą objawów, rozpoczynających się od omdlenia; 4) łagodny odczyn toksyczny obejmuje m.in.: gadatliwość, uczucie lekkości, zawroty głowy, szum w uszach; 5) nasilony odczyn toksyczny obejmuje m.in.: drgawki, spadek ciśnienia tętniczego, bezdech, utratę przytomności. Prawidłowa odpowiedź to:
Pytanie 509
Symbol L2 na narzędziu do leczenia kanałowego określa:
Pytanie 510
Wskaż prawdziwe stwierdzenie dotyczące ręcznej aktywacji dynamicznej (RAD):
Pytanie 511
Wskaż prawdziwe stwierdzenia dotyczące resorpcji zamiennej: 1) główną przyczyną resorpcji zamiennej jest urazowe zwichnięcie zęba; 2) forma zamienna resorpcji przebiega z objawami bólowymi w postaci epizodów, nasilającymi się przy nagryzaniu; 3) na zdjęciu RTG obserwuje się poszerzenie szpary ozębnowej; 4) zakres i postęp procesu ma związek z wiekiem pacjenta oraz rodzajem i rozległością uszkodzenia tkanek. Prawidłowa odpowiedź to:
Pytanie 512
Wskaż prawdziwe stwierdzenie dotyczące preparacji tunelowej:
Pytanie 513
Do technik wierzchołkowo-koronowych opracowania kanałów korzeniowych zalicza się: 1) metodę wstecznego stopniowania; 2) technikę z zastosowaniem narzędzi Mtwo; 3) technikę z użyciem narzędzi ProTaper; 4) technikę z użyciem narzędzi Flex Master. Prawidłowa odpowiedź to:
Pytanie 514
Wskaż prawdziwe stwierdzenia dotyczące metabolizmu płytki bakteryjnej: 1) głównym źródłem pożywienia bakterii w jamie ustnej jest ślina; 2) „śmierć przyspieszona substratem” związana jest z 10-krotnym wzrostem normalnego stężenia glukozy w jamie ustnej; 3) bakterie kwasotwórcze posiadają aktywny system transportowy cukru; 4) w warunkach permanentnego głodzenia flora jamy ustnej ginie. Prawidłowa odpowiedź to:
Pytanie 515
Wskaż prawdziwe stwierdzenia dotyczące kwestionariusza CAMBRA: 1) opiera się tylko na wynikach badania klinicznego; 2) pozwala na analizę prognozy i ryzyka próchnicy; 3) na podstawie zebranych danych pozwala zakwalifikować pacjenta do jednej z trzech grup ryzyka; 4) uwzględnia czynniki predysponujące do rozwoju próchnicy korzenia. Prawidłowa odpowiedź to:
Pytanie 516
W których z poniższych przypadków endometr może wskazywać „zbyt krótki” w stosunku do rzeczywistego pomiar długości kanału? 1) obliteracja kanału; 2) ząb z szerokim otworem wierzchołkowym; 3) zmiany zapalne w tkankach okołowierzchołkowych; 4) perforacja kanału. Prawidłowa odpowiedź to:
Pytanie 517
W których z poniższych stanów patologicznych uzyskuje się dodatni test nawiercania zębiny? 1) odwracalne zapalenie miazgi; 2) nieodwracalne zapalenie miazgi; 3) okołowierzchołkowa dysplazja kostna; 4) przewlekłe zaostrzone zapalenie tkanek okołowierzchołkowych; 5) klasa I endo-perio wg Guldenera i Langelanda; 6) torbiel korzeniowa. Prawidłowa odpowiedź to:
Pytanie 518
Skuteczność działania roztworów płuczących stosowanych podczas leczenia kanałowego można zwiększyć poprzez: 1) ręczną aktywację ćwiekiem papierowym; 2) naświetlanie laserem; 3) podwyższenie temperatury roztworu; 4) aktywację ultradźwiękami; 5) zmniejszenie objętości roztworu i wzrost stężenia preparatów. Prawidłowa odpowiedź to:
Pytanie 519
Porażenie nerwu twarzowego podczas znieczulenia może wynikać z: 1) podania środka znieczulającego w okolice ślinianki przyusznej; 2) niewłaściwego podania anestetyku podczas znieczulania nerwu policzkowego; 3) podania anestetyku poza tylny brzeg gałęzi żuchwy; 4) stosowania zbyt krótkiej igły iniekcyjnej. Prawidłowa odpowiedź to:
Pytanie 520
20-letni, ogólnie zdrowy pacjent zgłosił się do gabinetu w celu leczenia zęba 13. W wywiadzie nie zgłasza dolegliwości bólowych. W badaniu wewnątrzustnym stwierdzono rozległy ubytek próchnicowy w zębie 13 i ślad przetoki w przedsionku jamy ustnej w okolicy zęba przyczynowego. W tym przypadku należy: 1) zlecić pacjentowi antybiotykoterapię osłonową; 2) zaproponować leczenie otwarte przez 2 dni; 3) zaproponować leczenie endodontyczne jednoseansowe; 4) zaproponować leczenie endodontyczne dwuseansowe. Prawidłowa odpowiedź to:
Pytanie 521
U 23-letniego pacjenta pojawiły się mlecznobiałe plamy na powierzchniach wargowych siekaczy górnych, w okolicy przydziąsłowej. Jednocześnie występuje stan zapalny dziąseł i obecność płytki nazębnej. Planowane postępowanie powinno uwzględniać usunięcie złogów, instruktaż higieny jamy ustnej oraz:
Pytanie 522
Wskaż fałszywe stwierdzenia dotyczące pilników typu C: 1) narzędzia te mają na przekroju kształt czworokąta; 2) charakteryzują się stosunkowo niską sztywnością; 3) zakończone są prowadzącym wierzchołkiem w kształcie piramidy; 4) produkowane są w jednej długości. Prawidłowa odpowiedź to:
Pytanie 523
Wskaż prawdziwe stwierdzenia dotyczące bólu promieniującego: 1) jest charakterystyczny dla nieodwracalnych zapaleń miazgi; 2) jest charakterystyczny dla martwicy miazgi; 3) ból pochodzący od zęba 46 może promieniować do ucha; 4) ból pochodzący od zęba 26 może promieniować do potylicy i szyi. Prawidłowa odpowiedź to:
Pytanie 524
Wskaż prawdziwe stwierdzenie dotyczące podobieństw i różnic pomiędzy narzędziami endodontycznymi oznaczonymi symbolami .02 i .04:
Pytanie 525
Wskaż prawdziwe stwierdzenia dotyczące roli diety w rozwoju próchnicy: 1) w rozwoju próchnicy istotny jest poerupcyjny wpływ odżywiania; 2) spożycie surowej skrobi wpływa na znaczne obniżenie pH płytki nazębnej; 3) jednakowy schemat podaży cukrów wywołuje podobny poziom nasilenia próchnicy u wszystkich pacjentów; 4) polifenole zmniejszają potencjał próchnicotwórczy S. mutans. Prawidłowa odpowiedź to:
Pytanie 526
Gdzie zwykle znajduje się ujście kanału MB2 w komorze pierwszego górnego zęba trzonowego?
Pytanie 527
Do gabinetu zgłasza się 20-letni pacjent z wysokim ryzykiem próchnicy i licznymi ubytkami próchnicowymi. W celu stabilizacji procesu próchnicowego u tego pacjenta zaleca się zastosowanie metody:
Pytanie 528
Jakie są skutki przesuszenia ubytku przed aplikacją systemu wiążącego?
Pytanie 529
Wskaż fałszywe stwierdzenie dotyczące warstwy mazistej:
Pytanie 530
Wskaż fałszywe stwierdzenie dotyczące oceny ryzyka próchnicy:
Pytanie 531
Wskaż fałszywe stwierdzenie dotyczące tkanki mieszanej:
Pytanie 532
Zgłosił się pacjent cierpiący z powodu bólu zębów 34 i 33, który pojawia się podczas ich szczotkowania oraz w trakcie spożywania kwaśnych napojów. W badaniu wewnątrzustnym nie stwierdzono patologii choć zęby 34 i 33 reagują bólem podczas badania sondą stomatologiczną okolicy szyjek. Obserwowane objawy związane są prawdopodobnie z: 1) wysychaniem płynu tkankowego w kanalikach zębinowych; 2) zainicjowanym procesem erozyjnym; 3) występowaniem próchnicy początkowej; 4) reakcją włókien czuciowych wnikających do kanalików zębinowych; 5) przenoszeniem jąder odontoblastów na teren zębiny; 6) ze zmianą ciśnienia na obwodowym końcu kanalika zębinowego. Prawidłowa odpowiedź to:
Pytanie 533
Wskaż fałszywe stwierdzenia dotyczące bruzd podniebienno-dziąsłowych: 1) występują na skutek niedoboru fluoru w życiu płodowym; 2) występują najczęściej w zębach stałych siecznych bocznych szczęki; 3) są anomalią rozwojową; 4) ich dno pozbawione jest szkliwa; 5) powstają na skutek urazu zębów leczonych endodontycznie. Prawidłowa odpowiedź to:
Pytanie 534
Wskaż fałszywe stwierdzenie dotyczące zabiegu określanego jako rebonding:
Pytanie 535
Wskaż prawdziwe stwierdzenia dotyczące fotoaktywnej dezynfekcji kanałów korzeniowych: 1) zabieg przeprowadza się z użyciem laserów wysokoenergetycznych; 2) aktywacja barwników inicjuje powstanie tlenu singletowego; 3) skuteczność zabiegu wzrasta ze wzrostem długości fali wzbudzenia; 4) najczęściej stosowanym fotouczulaczem jest błękit toluidyny. Prawidłowa odpowiedź to:
Pytanie 536
Wskaż prawdziwe stwierdzenia dotyczące metod kondensacji termomechanicznej gutaperki: 1) zalicza się do nich boczną kondensację gutaperki, gdzie pod wpływem wytworzonego tarcia wzrasta temperatura gutaperki; 2) wymagają zastosowania maszynowych lub ultradźwiękowych upychadeł; 3) po zastosowaniu upychaczy ultradźwiękowych wymagają zastosowania uszczelniacza; 4) wykorzystanie kalibrowanego kompaktora nie wymaga stosowania ćwieków dodatkowych. Prawidłowa odpowiedź to:
Pytanie 537
Wskaż fałszywe stwierdzenie dotyczące procesu remineralizacji plamy próchnicowej:
Pytanie 538
U 30-letniego pacjenta od 3 dni występują nasilające się bóle samoistne zęba 15. W badaniu klinicznym stwierdzono rozległy ubytek próchnicowy oraz obecność żywej miazgi, która wykazuje zwiększoną wrażliwość na bodźce. Równocześnie występuje silna reakcja na opukiwanie. W badaniu RTG widoczne niewielkie poszerzenie szpary ozębnowej. Wskaż rozpoznanie dotyczące stanu miazgi i tkanek okołowierzchołkowych:
Pytanie 539
Do potencjalnych przyczyn powstawania resorpcji wewnętrznej zalicza się: 1) leczenie biologiczne miazgi metodą przykrycia bezpośredniego z zastosowaniem wodorotlenku wapnia; 2) przewlekłe stany zapalne miazgi oraz małe ogniska martwicy w miazdze powstałe na skutek procesu próchnicowego; 3) zabiegi skalingu poddziąsłowego; 4) wybielanie przebarwionych zębów z żywą miazgą 10-16% nadtlenkiem karbamidu; 5) czynniki urazowe, np. źle dopasowane wypełnienia, uzupełnienia protetyczne, nadmierne ciepło powstające w trakcie opracowywania ubytków i szlifowania zębów. Prawidłowa odpowiedź to:
Pytanie 540
Wskaż fałszywe stwierdzenie dotyczące próchnicy korzenia:
Pytanie 541
Wskaż prawdziwe stwierdzenia dotyczące cementów szkłojonomerowych: 1) są stosowane do stabilizacji próchnicy; 2) twardnienie szkłojonomerów opiera się na reakcji kwas-zasada; 3) efekt wybuchu dotyczy wiązania cementu z jonami fosforanowymi i wapniowymi szkliwa i zębiny; 4) ilość jonów fluorkowych uwalnianych z cementów szkłojonomerowych nie ulega zmianie wraz z upływem czasu. Prawidłowa odpowiedź to:
Pytanie 542
Wskaż prawdziwe stwierdzenia dotyczące procesu polimeryzacji materiałów złożonych: 1) odcienie nieprzezierne kompozytów polimeryzują na mniejszą głębokość niż ich przezierne odpowiedniki, gdyż zmniejszają transmisję światła; 2) głębokość penetracji światła w wypełnieniu kompozytowym nie zależy od jego rozproszenia wewnątrz wypełnienia; 3) zawartość wypełniacza wpływa na rozproszenie światła; 4) ciemniejsze kolory kompozytów wymagają krótszego czasu polimeryzacji ze względu na mniejszą zawartość wypełniacza. Prawidłowa odpowiedź to:
Pytanie 543
Wskaż prawdziwe stwierdzenia dotyczące próchnicy korzenia: 1) aktywne zmiany są zlokalizowane w pobliżu brzegu dziąsłowego; 2) we wczesnej zmianie próchnicowej w obrębie korzenia nie występuje wysoko zmineralizowana warstwa powierzchowna; 3) zmiany próchnicowe w obrębie korzenia są mniej odporne na uszkodzenia mechaniczne; 4) podpowierzchniowa inwazja bakteryjna następuje w późniejszych stadiach rozwoju zmiany w porównaniu z próchnicą szkliwa. Prawidłowa odpowiedź to:
Pytanie 544
Wskaż prawdziwe stwierdzenia dotyczące próchnicy korzenia: 1) aktywne zmiany są zlokalizowane w pobliżu brzegu dziąsłowego; 2) we wczesnej zmianie próchnicowej w obrębie korzenia nie występuje wysoko zmineralizowana warstwa powierzchowna; 3) zmiany próchnicowe w obrębie korzenia są mniej odporne na uszkodzenia mechaniczne; 4) podpowierzchniowa inwazja bakteryjna następuje w późniejszych stadiach rozwoju zmiany w porównaniu z próchnicą szkliwa. Prawidłowa odpowiedź to:
Pytanie 545
Wskaż prawdziwe stwierdzenie dotyczące czynników ryzyka próchnicy:
Pytanie 546
Pasty o zawartości fluoru rzędu 1,1% zalecane są w przypadku pacjentów: 1) którzy ukończyli pierwszy rok życia; 2) w okresie wyrzynania zębów szóstych; 3) użytkujących stałe aparaty ortodontyczne; 4) z obniżoną koordynacją motoryczną. Prawidłowa odpowiedź to:
Pytanie 547
Wskaż fałszywe stwierdzenie dotyczące ochronnej funkcji śliny w aspekcie inicjowania procesu próchnicowego:
Pytanie 548
Wskaż prawdziwe stwierdzenia dotyczące metody wypełniania kanałów „płynną” gutaperką na zimno: 1) metoda ta nie wymaga stosowania spreaderów; 2) przed wprowadzeniem do kanału gutaperki, konieczne jest pokrycie ścian kanału uszczelniaczem; 3) przed wypełnieniem, kanał należy przepłukać 70% roztworem alkoholu izopropylowego; 4) z czasem materiał może ulegać resorpcji z kanału. Prawidłowa odpowiedź to:
Pytanie 549
Wskaż prawdziwe stwierdzenie dotyczące próchnicy ukrytej:
Pytanie 550
Który stopień fluorozy w klasyfikacji Deana charakteryzują nieprzezierne plamy (zmętnienia) obejmujące powyżej 50% powierzchni zęba?
Pytanie 551
Wtórny dostęp endodontyczny oznacza:
Pytanie 552
Wskaż prawdziwe stwierdzenia dotyczące wymogów stawianych materiałom do ostatecznego wypełniania kanału: 1) brak efektu cytotoksycznego; 2) brak zdolności pęcznienia pod wpływem wilgoci; 3) działanie antybakteryjne; 4) brak zdolności pochłaniania promieniowania rentgenowskiego. Prawidłowa odpowiedź to:
Pytanie 553
Wskaż prawdziwe stwierdzenia dotyczące materiału Geristore: 1) jest to cement szkłojonomerowy wzmocniony żywicą; 2) posiada własności hydrofilowe; 3) wymaga trawienia zębiny i stosowania systemu wiążącego; 4) uwalnia fluor; 5) jest stosowany do odbudowy rozległych ubytków próchnicowych. Prawidłowa odpowiedź to:
Pytanie 554
Wskaż materiały stosowane do wypełniania kanałów w zębach mlecznych: 1) materiały typu MTA; 2) pasty jodoformowe; 3) materiały wodorotlenkowo-wapniowe; 4) cementy szkłojonomerowe; 5) pasty tlenkowo-cynkowo-eugenolowe. Prawidłowa odpowiedź to:
Pytanie 555
U 30-letniej pacjentki stwierdzono utratę twardych tkanek zębów na podniebiennych i żujących powierzchniach zębów w szczęce oraz policzkowych i żujących powierzchniach zębów w żuchwie. Jakie jest najbardziej prawdopodobne rozpoznanie w opisanym przypadku?
Pytanie 556
Do oceny zaawansowania procesu próchnicowego korzenia używa się klasyfikacji: 1) Tronstada; 2) ICDAS II; 3) Billingsa; 4) Cohena i Burnsa. Prawidłowa odpowiedź to:
Pytanie 557
Wskaż prawdziwe stwierdzenie dotyczące płytki nazębnej:
Pytanie 558
Kod 2 w klasyfikacji zmian próchnicowych ICDAS II oznacza: 1) w przypadku próchnicy korzenia - wyraźnie odgraniczone pole na powierzchni korzenia lub w okolicy połączenia szkliwno-cementowego przebarwione na jasny kolor, bez ubytku lub z ubytkiem <0,5 mm; 2) w przypadku powierzchni stycznych - nieprzezierność w obrębie szkliwa dostrzegalna na wilgotnej powierzchni; 3) w przypadku powierzchni żujących - zmiana widoczna na wilgotnym obszarze bruzdy jako zlokalizowane odłamanie szkliwa; 4) w przypadku powierzchni policzkowej - zmiana zlokalizowana przy brzegu dziąsła, bardziej widoczna na wilgotnej powierzchni. Prawidłowa odpowiedź to:
Pytanie 559
W ramach wtórnego dostępu endodontycznego uzyskuje się: 1) usunięcie nawisów sklepienia i usunięcie zębiniaków z obszaru komory; 2) lokalizację ujść kanałów korzeniowych; 3) usunięcie językowej wypukłości komory w przypadku zębów przedtrzonowych; 4) ograniczenie ryzyka perforacji „z przetarcia”; 5) opracowanie ujść kanałów i ich fragmentów przykomorowych; 6) stworzenie swobodnego dostępu do środkowego i wierzchołkowego odcinka kanału. Prawidłowa odpowiedź to:
Pytanie 560
Wskaż prawdziwe stwierdzenia dotyczące szkliwiaka: 1) występuje głównie w bocznym odcinku żuchwy; 2) w końcowym etapie rozwoju nie prezentuje specyficznego obrazu na zdjęciach RTG; 3) powoduje resorpcję zewnętrzną korzeni; 4) wymaga leczenia chirurgicznego; 5) nie ulega zezłośliwieniu. Prawidłowa odpowiedź to:
Pytanie 561
Zgodnie z klasyfikacją próchnicy według miejsca i stadium ubytek próchnicowy klasy IV wg Blacka w zębie 21 należy oznaczyć jako:
Pytanie 562
42-letnia pacjentka zgłosiła się w celu leczenia zęba 36. W wywiadzie podaje, że choruje na cukrzycę i jest pod stałą opieką diabetologa. W badaniu wewnątrzustnym w zębie 36 stwierdzono rozległy ubytek próchnicowy. Ząb prawidłowo reaguje na testy żywotności. Stan higieny jamy ustnej pacjentki jest zadawalający. W trakcie preparacji ubytku doszło do próchnicowego obnażenia miazgi. W opisanym przypadku należy:
Pytanie 563
Dopasuj rodzaj bólu do określonej patologii miazgi: 1) ból tętniący; 2) ból świeży; 3) ból nocny; 4) ból promieniujący; a) zapalenia miazgi z towarzyszącym przekrwieniem; b) zapalenia odwracalne miazgi o ostrym przebiegu; c) nieodwracalne procesy zapalne miazgi; d) zapalenie miazgi z wysiękiem ropnym. Prawidłowa odpowiedź to:
Pytanie 564
Zgodnie z klasyfikacją próchnicy według miejsca i stadium ubytek próchnicowy klasy IV wg Blacka w zębie 21 należy oznaczyć jako:
Pytanie 565
42-letnia pacjentka zgłosiła się w celu leczenia zęba 36. W wywiadzie podaje, że choruje na cukrzycę i jest pod stałą opieką diabetologa. W badaniu wewnątrzustnym w zębie 36 stwierdzono rozległy ubytek próchnicowy. Ząb prawidłowo reaguje na testy żywotności. Stan higieny jamy ustnej pacjentki jest zadawalający. W trakcie preparacji ubytku doszło do próchnicowego obnażenia miazgi. W opisanym przypadku należy:
Pytanie 566
Wskaż prawdziwe stwierdzenia dotyczące początkowego pilnika roboczego: 1) jest narzędziem, które wprowadzone na długość roboczą ulega delikatnemu zakleszczeniu; 2) jest pilnikiem 2-4 rozmiary węższym niż MAF; 3) odpowiada średnicy kanału w okolicy otworu wierzchołkowego; 4) pilnik ten powinien być używany jednorazowo; 5) jego średnica jest o 1 mniejsza od narzędzia końcowego GPR. Prawidłowa odpowiedź to:
Pytanie 567
Wskaż prawdziwe stwierdzenia dotyczące procesu konwersji monomeru w polimer: 1) stopień konwersji wpływa na własności fizykalne materiału złożonego; 2) stopień konwersji wpływa na mikrotwardość materiału złożonego; 3) stopień konwersji nie zależy od koloru kompozytu; 4) stopień konwersji nie wpływa na trwałość wypełnień. Prawidłowa odpowiedź to:
Pytanie 568
Wskaż prawdziwe stwierdzenia dotyczące bakterii próchnicotwórczych: 1) lepkie zewnątrzkomórkowe polisacharydy produkowane przez bakterie próchnicotwórcze chronią kwasy przed neutralizującym działaniem śliny; 2) bakterie próchnicotwórcze mają zdolność bezpośredniej adherencji do powierzchni zęba; 3) obserwuje się dodatnią korelację występowania bakterii próchnicotwórczych w płytce nazębnej z nasileniem próchnicy; 4) w bezzębnej jamie ustnej nie występują bakterie próchnicotwórcze. Prawidłowa odpowiedź to:
Pytanie 569
Wskaż prawdziwe stwierdzenie dotyczące nieprawidłowości zębowych w zakresie kształtu i liczby korzeni:
Pytanie 570
Wskaż fałszywe stwierdzenia dotyczące nadwrażliwości zębiny: 1) diagnoza nadwrażliwości zębiny polega na zastosowaniu bodźca dehydratacyjnego; 2) nadwrażliwość zębiny należy różnicować z wrażliwością pozabiegową; 3) szczyt występowania nadwrażliwości zębiny przypada na piątą dekadę życia; 4) nadwrażliwość zębiny wywołana jest aktywacją włókien C. Prawidłowa odpowiedź to:
Pytanie 571
Wskaż fałszywe stwierdzenia dotyczące podchlorynu sodu stosowanego w procedurach endodontycznych: 1) rozkłada włókna kolagenowe zębiny; 2) skutecznie usuwa warstwę mazistą; 3) posiada silne właściwości korodujące; 4) zaburza krzepnięcie krwi; 5) jest obojętny dla tkanki żywej; 6) może być stosowany jako ostateczny środek do płukania kanałów korzeniowych. Prawidłowa odpowiedź to:
Pytanie 572
Narzędzie kanałowe, którego uchwyt ma kolor czerwony i jest oznaczony symbolem kwadratu to: 1) poszerzacz typu K, którego średnica wierzchołka wynosi 0,2; 2) pilnik typu K o numerze 25; 3) pilnik typu K, którego średnica wierzchołka wynosi 0,55; 4) poszerzacz typu K o numerze 30; 5) pilnik typu K o numerze 30; 6) poszerzacz typu K o numerze 110. Prawidłowa odpowiedź to:
Pytanie 573
Klasa 3 w klasyfikacji rekonstrukcji zębów po leczeniu endodontycznym wg Żarowa i wsp. wymaga:
Pytanie 574
Wskaż przyczyny powstawania resorpcji wewnętrznej: 1) leczenie biologiczne miazgi metodą przykrycia bezpośredniego z zastosowaniem wodorotlenku wapnia; 2) przewlekłe stany zapalne miazgi oraz małe ogniska martwicy w miazdze powstałe na skutek procesu próchnicy; 3) zabiegi periodontologiczne; 4) wybielanie przebarwionych zębów z żywą miazgą z użyciem 10-16% nadtlenku karbamidu; 5) bodźce jatrogenne spowodowane wysoką temperaturą generowaną podczas preparacji ubytku. Prawidłowa odpowiedź to:
Pytanie 575
Wskaż fałszywe stwierdzenia dotyczące ropnia nawracającego: 1) jest postacią przewlekłego zaostrzonego surowiczego zapalenia tkanek okołowierzchołkowych; 2) nie jest spotykany w zębach leczonych kanałowo; 3) przebiega bez obecności przetoki; 4) towarzyszy mu ognisko osteolizy o stosunkowo niewielkich rozmiarach. Prawidłowa odpowiedź to:
Pytanie 576
43-letni pacjent zgłosił się na wizytę kontrolną do lekarza dentysty. W badaniu wewnątrzustnym stwierdzono, że pacjent ma 24 zęby, w tym 9 zębów z ubytkami próchnicowymi i 3 z wypełnieniami. Wskaźnik leczenia uzębienia u tego pacjenta wynosi:
Pytanie 577
63-letni pacjent z wszczepionym sztucznym stawem biodrowym zgłasza się w celu leczenia kanałowego zęba 36. W wywiadzie podaje przebyty epizod IZW. W opisanym przypadku należy wdrożyć następujące postępowanie:
Pytanie 578
Wskaż przyczyny powstawania resorpcji wewnętrznej: 1) leczenie biologiczne miazgi metodą przykrycia bezpośredniego z zastosowaniem wodorotlenku wapnia; 2) przewlekłe stany zapalne miazgi oraz małe ogniska martwicy w miazdze powstałe na skutek procesu próchnicy; 3) zabiegi periodontologiczne; 4) wybielanie przebarwionych zębów z żywą miazgą z użyciem 10-16% nadtlenku karbamidu; 5) bodźce jatrogenne spowodowane wysoką temperaturą generowaną podczas preparacji ubytku. Prawidłowa odpowiedź to:
Pytanie 579
W technice infiltracji żywicą zmian próchnicowych do usunięcia powierzchniowej warstwy szkliwa stosuje się:
Pytanie 580
Do gabinetu zgłosił się 19-letni pacjent po wypadku komunikacyjnym w wyniku którego doznał urazu zęba 12. W badaniu wewnątrzustnym stwierdzono ruchomość zęba 1-2 mm w kierunku wargowo-językowym, delikatny ból przy nagryzaniu. Reakcja miazgi na testy żywotności była prawidłowa. W obrazie RTG widoczne było poprzeczne złamanie korzenia w 1/5 dowierzchołkowej długości zęba. Wskaż zalecane postępowanie:
Pytanie 581
Wskaż prawdziwe stwierdzenia dotyczące chlorheksydyny: 1) rozpuszcza martwą tkankę w kanale; 2) posiada szerokie spektrum działania wobec bakterii, wirusów i grzybów; 3) usuwa warstwę mazistą w połączeniu z NaOCl; 4) najlepiej, gdy stosuje się ją bezpośrednio po użyciu NaOCl; 5) jest bardziej skuteczna w eliminacji E. faecalis niż NaOCl; 6) w leczeniu kanałowym zaleca się stosowanie jej 2% stężenia. Prawidłowa odpowiedź to:
Pytanie 582
32-letni pacjent zgłosił się z powodu obrzmienia okolicy przynosowej, podoczodołowej prawej oraz temperatury 38,5°C. W badaniu stwierdzono wygórowanie w przedsionku jamy ustnej na wysokości zębów 11-14 oraz głęboki ubytek próchnicowy w zębie 13. Ząb jest niebolesny samoistnie, wrażliwy na opukiwanie. W RTG widoczne ognisko osteolizy w okolicy wierzchołka korzenia. Wskaż prawidłowe postępowanie:
Pytanie 583
Wskaż fałszywe stwierdzenie dotyczące cementu korzeniowego, kostniwa:
Pytanie 584
Bodźce radioaktywne są czynnikami szkodliwie działającymi na miazgę zęba i inne struktury jamy ustnej. Wskaż powikłanie, które nie wystąpi w trakcie leczenia radioaktywnego, nowotworu złośliwego zlokalizowanego w zakresie twarzoczaszki:
Pytanie 585
W etiopatogenezie chorób endodontium i okołowierzchołkowych tkanek zęba procesy destrukcyjno-zapalne są regulowane przez liczne czynniki komórkowe i humoralne. Wskaż czynniki humoralne: 1) cytokiny; 2) chemokiny; 3) limfocyty; 4) monocyty; 5) eikozanoidy. Prawidłowa odpowiedz to:
Pytanie 586
Zmiany wsteczne są wynikiem powolnego obumierania tkanek lub komórek. Przyczyną tych zmian są z reguły zaburzenia w odżywianiu i przemianie materii. Jaką postać mogą przybierać zmiany wsteczne w miazdze zęba? 1) rozrostu; 2) zwyrodnienia; 3) zaniku; 4) przerostu; 5) martwicy. Prawidłowa odpowiedz to:
Pytanie 587
Połącz rozpoznanie stanu miazgi z rodzajem terapii przyżyciowej zgodnie z wytycznymi Europejskiego Towarzystwa Endodontycznego
Pytanie 588
Wskaż czynniki miejscowe odpowiedzialne za zwyrodnienie miazgi: 1) Bodźce chemiczne; 2) Niezbyt intensywne bodźce mechaniczne; 3) Zaburzenia przemiany materii; 4) Patologiczne starcie; 5) Niedobory pokarmowe i witaminowe. Prawidłowa odpowiedz to:
Pytanie 589
Wskaż prawdziwe stwierdzenia dotyczące zębiniaków: 1) złogi soli mineralnych występujące w miazdze zębowej to dentikalie lub kamienie miazgowe; 2) szczególnie często powstają w przebiegu przewlekłych zapaleń miazgi oraz po leczeniu zachowawczym; 3) szczególnie często powstają w przebiegu ostrych zapaleń miazgi oraz po leczeniu zachowawczym; 4) można je znaleźć tylko w zębach wyrzniętych; 5) najczęściej występują w zębach trzonowych i zębach siecznych dolnych. Prawidłowa odpowiedz to:
Pytanie 590
Wskaż prawdziwe stwierdzenia dotyczące hipercementozy: 1) ma ona miejsce w przypadku odtwarzania ubytków spowodowanych patologiczną resorpcją; 2) występuje w przypadku gojenia złamania korzenia; 3) polega na większym niż w warunkach fizjologicznych przyroście nowo tworzonych warstw cementu; 4) może występować w zębach z prawidłową, chorą lub martwą miazgą; 5) nowe warstwy cementu w szparze złamania spajają odłamy korzenia. Prawidłowa odpowiedz to:
Pytanie 591
Wskaż prawdziwe stwierdzenia dotyczące ankylozy: 1) to nadmierny rozrost kości i cementu i może prowadzić do zrostu obu tych tkanek; 2) występuje w przebiegu gojenia się przewlekłych zapaleń w tkankach okołowierzchołkowych; 3) tworzeniu się ankylozy towarzyszy zanik ozębnej; 4) towarzyszy gojeniu ran poekstrakcyjnych lub złamań kości; 5) nierozpoznana może być przyczyną złamania korzenia lub blaszki kostnej wyrostka zębodołowego. Prawidłowa odpowiedz to:
Pytanie 592
Połącz rozpoznanie stanu miazgi z rodzajem terapii przyżyciowej zgodnie z wytycznymi Europejskiego Towarzystwa Endodontycznego.
Pytanie 593
Wskaż fałszywe stwierdzenie dotyczące kostniwiaka:
Pytanie 594
Wskaż prawdziwe stwierdzenia dotyczące zębiniaków: 1) tworzą się w zębach zarówno wyrzniętych jak i zatrzymanych; 2) rozwijają się w zębach z żywą miazgą; 3) zaliczane są do zmian postępowych w miazdze; 4) zarówno bezobjawowe jak i objawowe są wskazaniem do leczenia endodontycznego zęba; 5) charakterystyczne są dla dysplazji zębiny typu II. Prawidłowa odpowiedz to:
Pytanie 595
Dla której jednostki chorobowej miazgi lub tkanek okołowierzchołkowych charakterystyczny jest ból promieniujący?
Pytanie 596
Które warstwy zębiny, z których ścian ubytku należy usunąć w przypadku selektywnego opracowania ubytku do zębiny zbitej? 1) zbitą ze ścian bocznych; 2) zbitą ze ściany dokomorowej; 3) miękką ze ścian bocznych; 4) miękką ze ściany dokomorowej; 5) twardą ze ścian bocznych. Prawidłowa odpowiedz to:
Pytanie 597
Wskaż powikłania lub patologie, które nie poddają się leczeniu i powodują utratę zęba jednokorzeniowego: 1) pionowe złamanie korzenia; 2) poprzeczne złamanie korzenia w części wierzchołkowej; 3) ankyloza i resorpcja zastępcza; 4) resorpcja wewnętrzna typu A; 5) stłuczenie zęba. Prawidłowa odpowiedz to:
Pytanie 598
Jaką postać przyjmuje przerzut nowotworowy do kości szczęki lub żuchwy w początkowym okresie rozwoju?
Pytanie 599
W którym z nowotworów zębopochodnych znajdują się komórki miazgi?
Pytanie 600
Wskaż prawdziwe stwierdzenia charakteryzujące grupę szkliwiaków: 1) histologicznie łagodne; 2) klinicznie miejscowo złośliwe lub złośliwe; 3) klinicznie łagodne; 4) histologicznie złośliwe; 5) histologicznie łagodne lub złośliwe. Prawidłowa odpowiedz to:
Pytanie 601
Z jakich struktur mogą powstawać zębopochodne raki? 1) szkliwiak; 2) wyściółka torbieli zawiązkowej; 3) kostniwiak; 4) zębiniak; 5) przetrwały w kości nabłonek szkliwny. Prawidłowa odpowiedz to:
Pytanie 602
Która z cech nie zwiększa ryzyka wystąpienia przerzutów szkliwiaka?
Pytanie 603
Wskaż prawdziwe stwierdzenia dotyczące abrazji powietrznej stosowanej do opracowywania ubytków w twardych tkankach zęba: 1) jest to technika określana jako kinetyczna preparacja ubytków; 2) metody tej nie stosuje się do opracowywania zmian próchnicowych na powierzchni stycznej zęba; 3) jej zastosowanie zastępuje trawienie kwasem tkanek zęba; 4) może służyć jako narzędzie diagnozujące podejrzewaną w bruzdach próchnicę; 5) nie wpływa szkodliwie na miazgę zęba. Prawidłowa odpowiedź to:
Pytanie 604
W endodoncji, ozon stosuje się w postaci gazu lub ozonowanej wody. Wskaż prawdziwe stwierdzenia dotyczące stosowania ozonu do dezynfekcji kanałów korzeniowych: 1) wodę ozonowaną zaleca się stosować na etapie opracowania kanału, najlepiej równocześnie z płukaniem kanału podchlorynem sodu; 2) stosowanie wody ozonowanej na etapie opracowania kanału, wyklucza równoczesne płukanie kanału podchlorynem sodu; 3) wodę ozonowaną stosuje się po całkowitym mechanicznym opracowaniu, podczas ostatecznego płukania z dodatkową aktywacją ultradźwiękami; 4) ozon w postaci gazowej stosuje się bezpośrednio przed wypełnieniem kanału, gdy jest on już osuszony; 5) przed wypełnieniem kanału, w celu jego wysuszenia stosuje się ozon w postaci gazowej. Prawidłowa odpowiedź to:
Pytanie 605
Do dezynfekcji kanałów korzeniowych stosuje się jod i jego pochodne w postaci wodnych roztworów, które działają silnie odkażająco. Wskaż prawdziwe stwierdzenia dotyczące tych preparatów: 1) są stosowane w leczeniu kanałowym pomiędzy wizytami; 2) charakteryzują się powolną utratą właściwości bakteriobójczych i mogą przebywać w kanale dłużej niż 2 dni; 3) silne odkażające działanie spowodowane jest łączeniem się jodu z białkami komórek bakteryjnych oraz wydzielaniem tlenu i jodowodoru w wyniku reakcji jodu z wodą; 4) wytwarzane z roztworów pary wnikają na głębokość nawet do 1000 μm w odgałęzienia boczne kanałów oraz w kanaliki zębinowe; 5) we względnie małych stężeniach bardzo szybko i skutecznie niszczą bakterie i ich toksyny, ale uszkadzają przy tym żywe komórki. Prawidłowa odpowiedź to:
Pytanie 606
Wskaż fałszywe stwierdzenia dotyczące świeżej infekcji zębiny w przebiegu nieodwracalnych zapaleń miazgi:
Pytanie 607
Wskaż fałszywe stwierdzenia dotyczące okrężnego opracowania kanału: 1) techniki tej nie stosuje się przy opracowaniu bardzo szerokich i prostych kanałów; 2) ta technika pracy pilnikiem znajduje zastosowanie w wielu metodach, ẁ tym również przy opracowaniu kanałów bardzo szerokich i prostych; 3) ruchy piłujące góra–dół należy wykonać wokół całego obwodu kanału; 4) aby zapewnić w tej metodzie bezpieczne skrawanie zębiny, pracującego narzędzia nie należy dociskać do ścian kanału; 5) aby zapewnić skuteczne skrawanie zębiny, należy pracujące narzędzie lekko dociskać do ścian kanału. Prawidłowa odpowiedź to:
Pytanie 608
Na podstawie klasyfikacji szerokości światła kanałów w poszczególnych korzeniach zębów wyróżnia się kanały wąskie, średnio szerokie i szerokie. Do kanałów średnio szerokich zalicza się kanały znajdujące się w: 1) zębach siecznych żuchwy; 2) zębach siecznych szczęki; 3) policzkowych korzeniach zębów szczęki; 4) kłach szczęki i żuchwy; 5) drugich zębach przedtrzonowych szczęki; 6) przyśrodkowych korzeniach zębów trzonowych żuchwy. Prawidłowa odpowiedź to:
Pytanie 609
Wskaż prawdziwe stwierdzenie dotyczące procesu formowania wierzchołków korzeni w następstwie leczenia endodontycznego:
Pytanie 610
Podczas formowania wierzchołków korzeni pod nieobecność żywej miazgi w kanale, może dojść do: 1) zaburzenia prawidłowego rozwoju korzeni i pojawienia się powikłań; 2) opóźnienia formowania wierzchołka korzenia; 3) całkowitego zahamowanie procesu formowania wierzchołka korzenia; 4) skrócenia fizjologicznej długości korzenia; 5) powstania zmian zapalnych w tkankach okołowierzchołkowych z patologiczną resorpcją twardych tkanek korzenia włącznie. Prawidłowa odpowiedź to:
Pytanie 611
Wskaż prawdziwe stwierdzenia dotyczące właściwości ćwieków gutaperkowych: 1) cechują się dużą plastycznością ułatwiającą ich kondensację, łatwość wprowadzania ì usuwania z kanału; 2) podobnie jak czysta gutaperka, są zgodne tkankowo; 3) im bardziej rozwinięta jest powierzchnia wierzchołka stykającego się z ozębną (tzn. im więcej znajduje się na nim rowków, zagłębień, szczelin itp.), tym większa jest jego cytotoksyczność; 4) Activ GP (EndoSequence) stosowane są w postaci pojedynczego ćwieka w połączeniu z uszczelniaczem szkło-jonomerowym; 5) Greater Taper (stopień zbieżności <2%) przeznaczone są do wypełniania kanałów opracowanych zazwyczaj rotacyjnymi narzędziami niklowo-tytanowymi o większej stożkowatości. Prawidłowa odpowiedź to:
Pytanie 612
Wskaż prawdziwe stwierdzenia dotyczące ćwieków tytanowych stosowanych do wypełniania kanałów w zębach stałych: 1) wykazują znakomitą biozgodność tkankową; 2) nie ulegają korozji; 3) dają dobry kontrast w obrazie rentgenowskim; 4) stopień uszczelnienia materiału plastycznego ćwiekami tytanowymi jest wysoki; 5) stosuje się je w bardzo wąskich kanałach korzeniowych, których nie można na tyle opracować, aby wypełnić je gutaperką. Prawidłowa odpowiedź to:
Pytanie 613
Narzędzia do opracowania kanałów są zakończone wyraźnie zwężającym się wierzchołkiem, który może być zaokrąglony i nietnący (safety tip). Wskaż prawdziwe stwierdzenia dotyczące narzędzi o tym kształcie wierzchołka: 1) narzędzia o tym kształcie wierzchołka przeznaczone są do opracowywania kanałów zakrzywionych; 2) dzięki krawędziom tnącym, znajdującym się na powierzchni wierzchołka narzędzia, umożliwione jest cięcie zębiny; 3) na powierzchni wierzchołka krawędzie tnące są zeszlifowane, co zapewnia gładkość jego powierzchni; 4) nietnący wierzchołek warunkuje centralne położenie narzędzia w kanale, a więc przesuwanie go wzdłuż naturalnego światła kanału; 5) ten typ wierzchołka utrudnia centralne położenie narzędzia w kanale, a tym samym uniemożliwia jego zaklinowanie; 6) ten typ wierzchołka chroni przed powstaniem powikłań w postaci wywierconych nisz lub perforacji kanału. Prawidłowa odpowiedź to:
Pytanie 614
Wskaż fałszywe stwierdzenie dotyczące przewlekłych zapaleń tkanek okołowierzchołkowych:
Pytanie 615
Przyczyną obserwowanego na obrazie rentgenowskim poszerzenia przestrzeni ozębnowej może być:
Pytanie 616
Do chorób ogólnoustrojowych, którym mogą towarzyszyć patologiczne resorpcje zmineralizowanych tkanek zęba (zarówno wewnętrzne, jak i zewnętrzne) zalicza się:
Pytanie 617
Resorpcja korzeni zębów jest często niepożądanym następstwem leczenia ortodontycznego. Wskaż prawdziwe stwierdzenia dotyczące tego powikłania jest prawidłowe: 1) jest to resorpcja wywołana działaniem przewlekłych urazów mechanicznych; 2) na proces resorpcji bardziej podatne są zęby żuchwy niż szczęki; 3) najczęściej występuje w zębach siecznych szczęki; 4) resorpcje mogą być umiejscowione na ścianach korzenia w postaci niewielkich ubytków; 5) resorpcje te nie prowadzą do skrócenia wierzchołków korzeni. Prawidłowa odpowiedź to:
Pytanie 618
Resorpcja korzeni sąsiadujących zębów może być spowodowana przez przewlekły uraz mechaniczny w postaci nacisku, który jest wywierany przez: 1) zęby zatrzymane; 2) zęby nieprawidłowo wyrzynające się; 3) rozrastające się torbiele; 4) łagodne guzy; 5) złośliwe guzy. Prawidłowa odpowiedź to:
Pytanie 619
Resorpcja przyszyjkowa jest postacią zewnętrznej, postępującej resorpcji, która pojawia się zawsze w miejscu uszkodzenia przyczepu nabłonkowego i powstania kieszonki przyzębnej. Ten typ resorpcji nie występuje:
Pytanie 620
Przedwczesne starzenie miazgi i związane z nim obniżenie jej sił obronnych i reparacyjnych, może być wynikiem szkodliwego wpływu czynników ogólnoustrojowych miejscowych, które wyczerpały siły obronne miazgi. Wskaż prawdziwe stwierdzenia dotyczące przedwczesnego starzenia miazgi: 1) występuje przy zaburzeniach przemiany materii; 2) występuje przy wewnątrzwydzielniczych chorobach ogólnoustrojowych; 3) nie występuje przy nerwowych chorobach ogólnoustrojowych; 4) nie występuje przy niedoborach pokarmowych; 5) nie występuje przy niedoborach witaminowych. Prawidłowa odpowiedź to:
Pytanie 621
Przy radiologicznej ocenie zmian zapalnych struktury kostnej wyrostka zębodołowego w zapaleniach tkanek okołowierzchołkowych należy brać pod uwagę, że podobny obraz może dawać: 1) przerzutowy guz nowotworowy; 2) ziarniniak olbrzymiokomórkowy; 3) blaszka zbita zębodołu; 4) okostna; 5) większe jamki szpikowe. Prawidłowa odpowiedź to:
Pytanie 622
Patologiczny zanik ozębnej może być spowodowany: 1) nadmiernym przeciążeniem zęba; 2) wyłączeniem zęba z jego czynności; 3) uciskiem ozębnej przez rozrastające się guzy szczęk i torbiele; 4) rozrostem cementu oraz kości zębodołu i powstaniem zrostu między tymi tkankami. Prawidłowa odpowiedź to:
Pytanie 623
W trakcie badania żywotności miazgi testem elektrycznym istnieje ryzyko uzyskania wyniku fałszywie negatywnego. Przyczyną uzyskania takiego wyniku może być: 1) niewłaściwa izolacja i niedokładne osuszenie zębów przed rozpoczęciem badania; 2) martwica częściowa miazgi; 3) miazga w stanie martwicy rozpływnej; 4) zęby niedojrzałe z nieuformowanymi wierzchołkami korzeni; 5) rozległe złogi mineralne w kanale. Prawidłowa odpowiedź to:
Pytanie 624
Wodorotlenek wapnia po zmieszaniu z wodą ulega dysocjacji na jony Ca2+ i OH−, co powoduje stały wzrost odczynu alkalicznego nietwardniejącej pasty założonej do kanału korzeniowego. Wskaż prawdziwe stwierdzenia dotyczące mechanizmu działania tej pasty w kanale: 1) bezpośrednio po założeniu pasty do kanału dochodzi do nasycenia zębiny grupami OH− i do zniszczenia drobnoustrojów obecnych w kanalikach zębinowych; 2) mechanizm działania grup OH− polega na uszkadzaniu ścian komórkowych bakterii oraz niszczeniu ich struktur białkowych; 3) pasty na bazie Ca(OH)2 są w znacznym stopniu unieczynnione przez resztki organiczne; 4) bezpośrednio po założeniu pasty do kanału, jony OH− nie wnikają głęboko w zębinę, gdyż zawarte w zębinie hydroksyapatyty mają zdolności buforujące; 5) resztki organiczne pozostające w kanale, po zastosowaniu Ca(OH)2, dają się łatwiej usuwać nie tylko płynami płuczącymi, lecz także narzędziami mechanicznymi. Prawidłowa odpowiedź to:
Pytanie 625
W przypadku opracowywania zakrzywionego kanału korzeniowego często dochodzi do „wyprostowania” jego przebiegu, co wymaga skorygowania długości roboczej (RDK). Wskaż prawdziwe stwierdzenia dotyczące „wyprostowania” brzegu kanału: 1) jest wynikiem usunięcia większej ilości zębiny w obrębie krzywizny mniejszej; 2) jest wynikiem usunięcia większej ilości zębiny w obrębie krzywizny większej; 3) dochodzi do wydłużenia długości roboczej kanału; 4) RDK mierzona przed opracowaniem kanału może okazać się za długa po opracowaniu nawet o 1 mm; 5) narzędzie również ulega wyprostowaniu. Prawidłowa odpowiedź to:
Pytanie 626
Przeciwwskazaniem do określania roboczej długości kanału (RDK) za pomocą metod radiologicznych jest: 1) bardzo silny odruch wymiotny prowokowany obecnością kliszy rentgenowskiej w jamie ustnej; 2) ciąża (przeciwskazanie względne); 3) proteza stawu biodrowego; 4) rozrusznik serca; 5) przebyta niedawno radioterapia; 6) przeszczep nerki. Prawidłowa odpowiedź to:
Pytanie 627
Sklerotyczne/zagęszczające zapalenie kości jest to swoistego rodzaju odczyn kostnotwórczy, którego istota polega na postępującym zwapnieniu kości zlokalizowanej wokół wierzchołka korzenia. Wskaż prawdziwe stwierdzenia dotyczące tego schorzenia: 1) schorzenie to określane jest również jako sklerotyczne zapalenie szpiku kostnego; 2) najczęściej dotyczy pierwszego zęba trzonowego szczęki; 3) zdecydowanie częściej występuje u mężczyzn; 4) jest wynikiem pobudzenia czynności cementoblastów przez bodźce chorobotwórcze wywodzące się z chorej lub martwej miazgi; 5) w zaawansowanej postaci kość zbita przyjmuje charakter kości gąbczastej; 6) należy je różnicować z nowotworem cementoblastoma, ze względu na bardzo podobny obraz w RTG. Prawidłowa odpowiedź to:
Pytanie 628
W końcowej fazie opracowywania ubytku próchnicowego w zębie 47 doszło do przypadkowego obnażenia i zranienia miazgi u pacjenta znieczulonego preparatem zawierającym środki obkurczające naczynia. W wyniku tego znieczulenia doszło do anemizacji miazgi. Wskaż prawdziwe stwierdzenia dotyczące tej sytuacji: 1) miejsce obnażenia ma kolor ciemnoczerwony; 2) miejsce obnażenia miazgi ma kolor biało-różowy (blady); 3) krwawienie jest mniej intensywne; 4) w tym przypadku krwawienie jest niewielkie, ale trudno je zatamować; 5) krwawienie może nie wystąpić. Prawidłowa odpowiedź to:
Pytanie 629
Wskaż prawdziwe stwierdzenia: 1) warstwa bogatokomórkowa w miazdze zwana jest pasmem Weila; 2) warstwa Weila jest bardziej widoczna w miazdze korzeniowej; 3) warstwa bogatokomórkowa zaznaczona jest wyraźniej w miazdze koronowej; 4) w warstwie bogatokomórkowej tworzą się z włókien retikulinowych włókna Korffa; 5) w warstwie ubogokomórkowej tworzą się z włókien retikulinowych włókna Korffa.
Pytanie 630
Lidokaina jest jednym z najczęściej stosowanych środków znieczulenia miejscowego. Zmniejszoną dawkę znieczulenia tym preparatem stosuje się w przypadku: 1) niewydolność nerek; 2) niewydolność wątroby; 3) choroby nowotworowe; 4) ciąża; 5) kliniczne objawy niewydolności serca; Prawidłowa odpowiedź to:
Pytanie 631
Podawanie środka znieczulenia miejscowego z wazokonstryktorem jest przeciwwskazane u pacjentów z:
Pytanie 632
Wskaż fałszywe stwierdzenie dotyczące przeciwwskazań do zastosowania którejkolwiek z metod leczenia biologicznego:
Pytanie 633
Wybierz prawdziwe stwierdzenia dotyczące punktu granicznego wyznaczającego zakres leczenia kanałowego: 1) jest otwór mniejszy; 2) jest przewężenie wierzchołkowe; 3) jest otwór fizjologiczny; 4) jest otwór wierzchołkowy. Prawidłowa odpowiedź to:
Pytanie 634
Wskaż prawdziwe stwierdzania dotyczące kanału typu C: 1) jest najczęstszą anomalią morfologiczną systemu kanałowego obserwowaną w pierwszym zębie trzonowym żuchwy; 2) ich rozpoznanie ustala się na podstawie badania klinicznego i radiologicznego; 3) ich rozpoznanie ustala się tylko na podstawie badania klinicznego; 4) najdokładniejszym badaniem w przypadku ich diagnostyki jest CBCT. Prawidłowa odpowiedź to:
Pytanie 635
Wskaż prawdziwe stwierdzenia: 1) warstwa bogatokomórkowa w miazdze zwana jest pasmem Weila; 2) warstwa Weila jest bardziej widoczna w miazdze korzeniowej; 3) warstwa bogatokomórkowa zaznaczona jest wyraźniej w miazdze koronowej; 4) w warstwie bogatokomórkowej tworzą się z włókien retikulinowych włókna Korffa; 5) w warstwie ubogokomórkowej tworzą się z włókien retikulinowych włókna Korffa.
Pytanie 636
Wskaż narzędzia służące do otwierania/opracowywania ujść kanałowych: 1) wiertła typu Beuterlock; 2) Peeso-Largo; 3) Gates-Glidden; 4) Micro-Opener; 5) Endo Acess Bur. Prawidłowa odpowiedź to:
Pytanie 637
W laseroterapii biostymulacyjnej pulpopatii odwracalnych stosuje się następujące techniki aplikacji:
Pytanie 638
Wskaż prawdziwe stwierdzenia: 1) udar mózgu przebyty w okresie do 6 m-cy przed wizytą stomatologiczną nie jest przeciwskazaniem do stosowania wazokonstryktorów przy znieczuleniu miejscowym; 2) zawał serca przebyty w okresie do 6 m-cy przed wizytą stomatologiczną jest przeciwskazaniem do stosowania wazokonstryktorów przy znieczuleniu miejscowym; 3) tachykardia nie jest przeciwskazaniem do stosowania wazokonstryktorów przy znieczuleniu miejscowym; 4) reakcja krzyżowa adrenaliny z lekami psychotropowymi z grupy inhibitorów MAO jest przeciwskazaniem do stosowania adrenaliny przy znieczuleniu miejscowym. Prawidłowa odpowiedź to:
Pytanie 639
Wskaż prawdziwe stwierdzenie dotyczące znieczulenia śródwięzadłowego:
Pytanie 640
Wskaż fałszywe stwierdzenie dotyczące torbieli korzeniowych:
Pytanie 641
Wiąże w ciągu ok. 12 min, jest materiałem na bazie krzemianów wapnia, ma parametry wytrzymałościowe zbliżone do zębiny i dobrą szczelność brzeżną. Wskaż preparat, którego dotyczy opis:
Pytanie 642
Wskaż prawdziwe stwierdzenia dotyczące radioterapii chorób nowotworowych w obrębie głowy i szyi: 1) może wywoływać skutki uboczne w postaci uszkodzeń kości wyrostka zębodołowego; 2) może wywoływać skutki uboczne w postaci uszkodzeń miazgi; 3) nasilenie skutków ubocznych po radioterapii nie jest zależne od dawki promieniowania; 4) ogniskowa martwica oraz zmiany zwyrodnieniowe mogą wystąpić po radioterapii; 5) usunięcie zęba po radioterapii jest często jedynym słusznym sposobem. Prawidłowa odpowiedź to:
Pytanie 643
Wskaż przypadki kliniczne wymagające natychmiastowego leczenia endodontycznego: 1) ostre nieodwracalne zapalenie miazgi; 2) ostre początkowe zapalenie tkanek OKW; 3) ostre ropne zapalenie tkanek OKW; 4) pourazowe uszkodzenia zębów. Prawidłowa odpowiedź to:
Pytanie 644
Wskaż prawidziwe stwierdzenia dotyczące mikroskopu zabiegowego: 1) filtr zielony pozwala zwiększyć kontrast w przypadku pracy w zakrwawionym polu zabiegowym; 2) filtr polaryzacyjny poprawia widoczność małych struktur anatomicznych; 3) filtr polaryzacyjny pozwala zwiększyć kontrast w przypadku pracy w zakrwawionym polu zabiegowym; 4) filtr pomarańczowy ułatwia identyfikację tkanek dotkniętych zmianami chorobowymi; 5) filtry nie powodują zmian ostrości i głębi ostrości obserwowanego pola. Prawidłowa odpowiedź to:
Pytanie 645
Opierając się na klasyfikacji rekonstrukcji zębów wg Żarowa i wsp. konieczność wcześniejszego przeprowadzenia ekstruzji ortodontycznej lub wydłużenia korony klinicznej charakteryzuje odbudowy klasy:
Pytanie 646
Do preparatów służących do odkażania kanałów korzeniowych będących mieszaniną wodorotlenku wapnia z wodą nie należy:
Pytanie 647
Wskaż prawidziwe stwierdzenia dotyczące centralnego ziarniniaka olbrzymiokomórkowego: 1) należy do grupy nowotworów łagodnych; 2) należy do grupy nowotworów złośliwych; 3) postać wieloogniskowa może rozsuwać korzenie zębów; 4) postać jednoogniskowa nie rozsuwa korzeni zębów; 5) postać jednoogniskowa może przypominać ziarniniaka okołowierzchołkowego. Prawidłowa odpowiedź to:
Pytanie 648
Wskaż fałszywe stwierdzenia dotyczące raka płaskonabłonkowego: 1) należy do grupy nowotworów łagodnych; 2) należy do grupy nowotworów złośliwych; 3) na zdjęciu RTG daje obraz „plastra miodu”; 4) w początkowym stadium obraz radiologiczny może przypominać zapalenie kości; 5) w zaawansowanym stadium obraz może przypominać niszczenie kości przez ziarniniaka okołowierzchołkowego. Prawidłowa odpowiedź to:
Pytanie 649
Wskaż prawdziwe stwierdzenie dotyczące śluzaka:
Pytanie 650
Wskaż prawidziwe stwierdzenia: 1) ameloblastoma należy do grupy nowotworów złośliwych; 2) odczyny okostnowe występują w nowotworach złośliwych; 3) odczyny okostnowe występują w zapaleniach kości; 4) z resorpcją kości mamy do czynienia w przypadku torbieli i nowotworów; 5) osteolysis oznacza zanik kości. Prawidłowa odpowiedź to:
Pytanie 651
Do czynników środowiskowych powodujących powstanie rozwojowych zaburzeń szkliwa nie należy/ą:
Pytanie 652
Wskaż prawidziwe stwierdzenia: 1) zasada ortoradialności mówi, aby promień centralny ustawić prostopadle do stycznej fragmentu łuku zębowego i równolegle do detektora, jak również osi długiej zęba; 2) zasada ortoradialności mówi, aby promień centralny ustawić równolegle do stycznej fragmentu łuku zębowego i równolegle do detektora, jak również osi długiej zęba; 3) zasada ortoradialności mówi, aby promień centralny ustawić prostopadle do stycznej fragmentu łuku zębowego i prostopadle do detektora, jak również osi długiej zęba; 4) projekcja skośna to odchylenie promienia centralnego o 20 stopni w kierunku mezjalnym lub dystalnym w płaszczyźnie poziomej; 5) najważniejszym zastosowaniem projekcji skośnych jest uwidacznianie kanałów korzeniowych zlokalizowanych w płaszczyźnie językowo-przedsionkowej. Prawidłowa odpowiedź to:
Pytanie 653
Wskaż prawdziwe stwierdzenia: 1) wykorzystując regułę SLOB można łatwo zidentyfikować poszczególne kanały na radiogramie; 2) metoda KCP i CMCR wykorzystywane są w endodoncji; 3) system SonicSys Approx służy do opracowywania ujść kanałów; 4) aparat Touch’n Heat służy do badania żywotności miazgi. Prawidłowe odpowiedzi to:
Pytanie 654
Wskaż składnik past do zębów działający przeciwko odkładaniu się kamienia nazębnego:
Pytanie 655
Wskaż prawdziwe stwierdzenie: 1) u pacjenta niskiego ryzyka próchnicy, po potwierdzeniu braku próchnicy w badaniu radiologicznym, poleca się obserwację bruzdy; 2) wykorzystanie abrazji powietrznej do „zwiadowczego” otwarcia bruzdy jest odradzane; 3) metoda abrazji powietrznej efektywnie usuwa zarówno tkankę szkliwną, jak i zębinę próchnicową; 4) nie ma możliwości zatrzymania próchnicy początkowej pod lakami szczelinowymi. Prawidłowe odpowiedzi to:
Pytanie 656
W przypadku, gdy w kościach szczęk pojawią się ogniska osteolityczne niezwiązane przyczynowo z zębami lub takie, które mimo prawidłowego leczenia endodontycznego nie uległy całkowitemu wygojeniu, należy wykluczyć tło nowotworowe:
Pytanie 657
Szkliwiak może rozwijać się z:
Pytanie 658
Guz o dużej złośliwości. W obrazie rentgenowskim brak jest linii demarkacyjnej oddzielającej guz od prawidłowego utkania kostnego. Przebieg kliniczny cechuje się zniszczeniem kości, rozchwianiem i resorpcją zębów. Opis dotyczy:
Pytanie 659
Wskaż prawdziwe stwierdzenia dotyczące sedacji wziewnej: 1) nie ma przeciwwskazań wiekowych; 2) brak współpracy z pacjentem nie jest przeciwwskazaniem; 3) stężenia stosowane w stomatologii 30-40% podtlenku azotu i 60-70% tlenu; 4) stężenia stosowane w stomatologii 60-70% podtlenku azotu i 30-40% tlenu; 5) możemy stosować u pacjentów z padaczką. Prawidłowe odpowiedzi to:
Pytanie 660
Wskaż fałszywe stwierdzenie dotyczące procesu „zatrzymania próchnicy”:
Pytanie 661
Który z wymienionych czynników nie wywiera wpływu na obniżenie wartości liczby PUW w badanej populacji ?
Pytanie 662
Dokończ zdanie „Wypełnienia z materiałów złożonych, w ubytkach klasy II opracowuje się, rozpoczynając od …”
Pytanie 663
U 20-letniego pacjenta, w zębie 46, zdiagnozowano zmiany demineralizacyjne szkliwa wokół założonego przed rokiem wypełnienia klasy I. W badaniu dodatkowo stwierdzono liczne złogi nazębne i zaleganie płytki bakteryjnej dookoła wypełnień. Właściwym rozpoznaniem będzie próchnica:
Pytanie 664
Wskaż, widoczne na zdjęciu RTG, cechy charakterystyczne dla zapalnych resorpcji wewnętrznych, które pozwalają je zróżnicować z resorpcjami zewnętrznymi: 1) wyraźnie regularne ograniczone przejaśnienie; 2) nieregularne zaciemnienie o poszarpanych brzegach; 3) umiejscowienie symetryczne względem osi zęba; 4) umiejscowienie asymetryczne względem osi zęba; 5) widoczne połączenie ze światłem kanału; 6) wyraźne oddzielenie od światła kanału. Prawidłowa odpowiedź to:
Pytanie 665
Wskaż rodzaj resorpcji, w której powstawaniu miazga zęba nie odgrywa żadnej roli i w zdecydowanej większości jest żywa, natomiast spowodowana jest uszkodzeniem cementu i oderwaniem włókien ozębnej lub ich martwicą w wyniku urazu jatrogennego.
Pytanie 666
Wskaż cechę, której nie posiadają bakterie próchnicotwórcze:
Pytanie 667
Wskaż, którą nieprawidłowość zębów opisują poniższe stwierdzenia: - spowodowana jest chronologiczną hipomineralizacją pochodzenia systemowego; - przyczyną jej powstania mogą być m.in. zaburzenia w przebiegu ciąży, okołoporodowe, dioksyny zawarte w mleku matki; - obejmuje przynajmniej jeden ząb stały trzonowy i/lub ⅓ powierzchni przysiecznej zębów siecznych; - defekty mogą mieć postać nieprzeziernych zmian barwy od białej do beżowej lub ciemnożółtej; - zęby są łamliwe i podatne na rozwój próchnicy, nadwrażliwe.
Pytanie 668
Wskaż prawdziwe stwierdzenia charakteryzujące zębiniaki rzekome: 1) budową przypominają zębinę; 2) zbudowane są z koncentrycznie przebiegających linii zwapnienia; 3) wykazują obecność odontoblastów na obwodzie zmiany; 4) wykazują obecność zwapniałych komórek w centrum zmiany; 5) umiejscowione są w okolicy otworu wierzchołkowego; 6) otoczone są przez miazgę lub zębinę. Prawidłowa odpowiedź to:
Pytanie 669
Wskaż te wymagania stawiane materiałom do biologicznego leczenia miazgi, które preparaty na bazie wodorotlenku wapnia spełniają w sposób zadawalający. 1) biozgodność tkankowa; 2) działanie przeciwbakteryjne i przeciwzapalne; 3) działanie odontotropowe; 4) dobre przyleganie do zębiny i materiałów do wypełniania ubytków; 5) odporność na czynniki chemiczne; 6) odporność na siły mechaniczne; 7) dobra widoczność na RTG. Prawidłowa odpowiedź to:
Pytanie 670
Wskaż cechy charakteryzujące MTA: 1) dobra wytrzymałość mechaniczna; 2) biozgodność; 3) dobre przyleganie brzeżne; 4) resorbuje się i rozpuszcza w płynach ustrojowych; 5) nie wykazuje działania odontotropowego; 6) działa przeciwbakteryjnie i przeciwgrzybiczo. Prawidłowa odpowiedź to:

Pytanie 671
Stopień konwersji monomeru w polimer jest istotny dla trwałości wypełnienia, ponieważ ma istotny wpływ na właściwości fizyko-mechaniczne materiału kompozytowego. Wskaż co jest następstwem konwersji. 1) nadanie materiałowi kompozytowemu barwy ciemnożółtej; 2) skurcz materiału kompozytowego; 3) zmniejszenie objętości materiału 4) zwiększenie zdolności do rozpływania się materiału, w ubytku, w końcowym etapie procesu polimeryzacji. Prawidłowa odpowiedź to:
Pytanie 672
Dokończ zdanie „W metodzie warstw skośnych odbudowy ubytków w zębach bocznych kolejne warstwy materiału są…”
Pytanie 673
Wskaż prawdziwe stwierdzenie opisujące termin „stabilizacja próchnicy”:
Pytanie 674
Do gabinetu zgłosił się 35-letni pacjent, który w wywiadzie podał następujące informacje dotyczące bolącego go zęba: ból samoistny trwający od tygodnia, wzmaga się przy poziomym ułożeniu ciała, krótkie przerwy w nasileniu bólu, gorące napoje nasilają ból. Wskaż poprawne rozpoznanie i leczenie:
Pytanie 675
Dopasuj właściwe nazwy klamer używanych do ślinochronu z ich odpowiednimi zdjęciami przedstawionymi poniżej: 1) klamra bezskrzydłowa; 2) dwułukowa klamra do zębów przednich; 3) klamra skrzydłowa.
Pytanie 676
Do gabinetu zgłosił się 30-letni pacjent, który w wywiadzie podał następujące informacje dotyczące bolącego go zęba: 1) ból bez udziału bodźców zewnętrznych, trwa od tygodnia; 2) ból zęba trwa od tygodnia; 3) ból wzmaga się przy poziomym ułożeniu ciała; 4) ząb boli cały czas bez przerw jedynie zmienia się jego natężenie; 5) ból wzmaga się podczas picia gorących napojów. Nazwij rodzaje bólu podane w wywiadzie przez pacjenta:
Pytanie 677
Wskaż prawdziwe stwierdzenie charakteryzujące morfologię kanałów zębów siecznych, przyśrodkowych i bocznych w żuchwie
Pytanie 678
Wskaż prawdziwe stwierdzenie dotyczące płukania kanałów korzeniowych podczas leczenia endodontycznego: 1) całkowita objętość NaOCl użyta podczas opracowania jednego kanału nie powinna być mniejsza niż 10 ml; 2) całkowita objętość NaOCl użyta podczas opracowania jednego kanału nie powinna być mniejsza niż 6-7 ml; 3) czas kontaktu 2% NaOCl podczas leczenia endodontycznego powinien wynosić co najmniej 30 minut; 4) czas kontaktu 2% NaOCl podczas maszynowego opracowywania kanału może być krótszy stosowanie do czasu pracy instrumentu rotacyjnego; 5) po całkowitym opracowaniu kanału należy usunąć warstwę mazistą; 6) po całkowitym opracowaniu kanału warstwę mazistą należy pozostawić wykorzystując ją w adhezji uszczelniacza do ścian kanału korzeniowego. Prawidłowa odpowiedź to:
Pytanie 679
Dokończ zdanie dotyczące wypełniania kanałów korzeniowych: w metodzie tradycyjnej pojedynczego ćwieka oraz w metodzie kondensacji bocznej zimnych ćwieków gutaperkowych do wprowadzenia uszczelniacza należy stosować…
Pytanie 680
Jakie zmiany występują w tkankach przyzębia wierzchołkowego w zapaleniu przewlekłym ropnym podczas badania rentgenowskiego?
Pytanie 681
Jakie są wskazania do jednoseansowego leczenia endodontycznego? 1) pulpopatie toczące się w żywej miazdze zębów o nieskomplikowanym systemie kanałów korzeniowych; 2) pierwotnie ostre zapalenie tkanek okołowierzchołkowych; 3) zęby przednie i przedtrzonowe z pourazowym złamaniem korony, wymagające natychmiastowej odbudowy; 4) przypadki, których oszacowany czas leczenia nie będzie zbyt długi; 5) bezobjawowe zęby trzonowe z martwą miazgą oraz przewlekłymi zmianami zapalnymi, z towarzyszącą resorpcją okołowierzchołkowej kości, ale bez przetoki; 6) martwica miazgi i zmiany zapalne w tkankach okołowierzchołkowych( z obecnością przetoki) zęba o nieskomplikowanym systemie kanałów korzeniowych. Prawidłowa odpowiedź to:
Pytanie 682
Wskaż prawdziwe stwierdzenia dotyczące procedury nadawania ubytkowi kształtu oporowego: 1) to takie uformowanie ubytku, aby założone wypełnienie i otaczające je tkanki zęba nie zostały zniszczone przez siły żucia; 2) dotyczy ubytków wypełnianych materiałem nieadhezyjnym (amalgamat); 3) polega na takim ukształtowaniu ubytku, aby wypełnienie utrzymało się w nim, czyli nie wypadło lub nie zostało wyważone w całości przez siły żucia; 4) w odniesieniu do wypełnienia stosunek rozległości ubytku do jego głębokości powinien być wprostproporcjonalny; 5) eliminacja prostych i ostrych kątów (zaokrąglenie ich) przy przejściu jednej ściany w drugą; 6) dno ubytku powinno być płaskie. Prawidłowa odpowiedź to:
Pytanie 683
Wskaż prawdziwe stwierdzenia dotyczące zębiny trzeciorzędowej: 1) tworzy się między miazgą a zębiną w sposób zlokalizowany, ograniczony do projekcji działania bodźca; 2) tworzy się w odpowiedzi na patologiczne bodźce zewnętrzne (atrycja, abrazja, erozja, próchnica, opracowanie i wypełnienie ubytku); 3) zawiera większą liczbę kanalików, ułożonych faliście lub nieregularnie, niekiedy nie ma kanalików a czasem przypomina wyglądem tkankę kostną; 4) dzieli się ją na zębinę reakcyjną i naprawczą; 5) tworzy się podczas rozwoju zęba, aż do zakończenia rozwoju korzenia; 6) stanowi najbardziej zewnętrzną część zębiny, znajduje się przy połączeniu szkliwno-zębinowym. Prawidłowa odpowiedź to:
Pytanie 684
Wskaż testy, które należą do badania stanu miazgi zębowej. 1) elektryczny; 2) termiczny; 3) Smrekera; 4) znieczulenia; 5) nagryzania; 6) nawiercania zębiny. Prawidłowa odpowiedź to:
Pytanie 685
Wskaż prawdziwe stwierdzenie charakteryzujące stan zapalny w miazdze zęba:
Pytanie 686
Wskaż zastosowanie laserowego przepływomierza Dopplera (LDF).
Pytanie 687
Stopień 2 próchnicy korzenia wg Billingsa oznacza:
Pytanie 688
Drugi stopień fluorozy, zgodnie z klasyfikacją Deana świadczy o jej bardzo łagodnej postaci. Wskaż jego cechy charakterystyczne:
Pytanie 689
Wskaż na jakich zdjęciach radiologicznych można dokonać pomiarów długości kanałów korzeniowych?
Pytanie 690
Wskaż przeciwwskazania do leczenia biologicznego miazgi: 1) obniżona reakcja miazgi na testy wrażliwości miazgi; 2) fizjologiczna resorpcja zębów; 3) utrzymujące się powyżej 5 minut krwawienie miazgi podczas próby leczenia biologicznego; 4) dojrzały wiek pacjenta; 5) samoistny, promieniujący ból utrzymujący się po zadziałaniu bodźca. Prawidłowa odpowiedz to:
Pytanie 691
Wskaż prawdziwe stwierdzenia dotyczące zabiegu bezpośredniego pokrycia miazgi klasy II: 1) zabieg należy wykonać po nieselektywnym opracowaniu zębiny próchnicowej; 2) zabieg należy wykonać po selektywnym opracowaniu zębiny próchnicowej; 3) zaleca się by zabieg był przeprowadzony w powiększeniu; 4) w celu uzyskania hemostazy należy zastosować peletki nasączone roztworem NaOCl; 5) w celu uzyskania hemostazy należy zastosować peletki nasączone roztworem NaCl. Prawidłowa odpowiedz to:
Pytanie 692
Wskaż jakie powinno być postępowanie w przypadku przepchnięcia podchlorynu sodu do tkanek okołowierzchołkowych podczas leczenia endodontycznego u pacjentów ze słabo nasilonymi objawami: 1) zimne okłady w pierwszej dobie; 2) w celu zmniejszenia bólu stosowanie leków z grupy NLPZ np. paracetamol; 3) w celu zmniejszenia obrzęku zastosowanie leków przeciwhistaminowych; 4) zastosowanie antybiotykoterapii ogólnej; 5) zastosowanie glikokortykoterapii ogólnej. Prawidłowa odpowiedz to:
Pytanie 693
Wskaż prawdziwe stwierdzenia dotyczące błonki nabytej: 1) szybkość powstawania błonki jest zależna od składu śliny; 2) grubość błonki jest taka sama na wszystkich powierzchniach zębów; 3) pełni funkcję błony dyfuzyjnej; 4) chroni zęby przed abrazją, erozją i atrycją; 5) powstaje około 24 godzin po szczotkowaniu zębów. Prawidłowa odpowiedz to:
Pytanie 694
Pacjent zgłosił się do gabinetu z powodu dolegliwości bólowych zęba 36. Na podstawie badania klinicznego i radiologicznego postawiono rozpoznanie, nieodwracalne zapalenie miazgi. Ze względu na brak czasu w znieczuleniu wyekstyrpowano żywą miazgę jedynie z kanału dalszego. Jakie powinno być postępowanie do czasu następnej wizyty?
Pytanie 695
Jednym z powikłań znieczulenia miejscowego stosowanego w stomatologii jest anemizacja skóry twarzy. Wskaż prawdziwe stwierdzenia dotyczące tego powikłania: 1) jest następstwem donaczyniowego podania leku znieczulenia miejscowego z lub bez wazokonstryktorów; 2) ustępuje po około 5-45 minutach; 3) w celu uniknięcia tego powikłania zaleca się wykonać aspirację co najmniej w dwóch płaszczyznach; 4) wykonanie aspiracji jest zawsze skuteczną metodą uniknięcia tego powikłania; 5) powikłanie to występuje około 30-60 minut po podaniu środka znieczulającego do światła naczynia. Prawidłowa odpowiedz to:
Pytanie 696
Wskaż prawdziwe stwierdzenia dotyczące badania stanu miazgi testem termicznym na zimno: 1) stosując chlorek etylu należy po nasączeniu kuleczki z waty odczekać chwilę, aż pojawi się na niej szron, a następnie przyłożyć do zęba; 2) ból sprowokowany ustępujący po 1-2 sekundach od odstawienia bodźca jest prawidłową odpowiedzią zdrowej miazgi; 3) kuleczkę z waty nasączoną chlorkiem etylu należy przykładać do powierzchni zęba nie dłużej niż 5 sekund; 4) do badania testem termicznym nie jest wymagane osuszanie powierzchni badanego zęba; 5) brak reakcji miazgi na bodziec termiczny zawsze świadczy o obecności martwej miazgi. Prawidłowa odpowiedz to:
Pytanie 697
Wskaż prawdziwe stwierdzenia dotyczące wykonywania dostępu pierwotnego i wtórnego w zębach siecznych: 1) punkt trepanacyjny w zębach siecznych szczęki u osób młodych znajduje się na guzku językowym; 2) podczas opracowania ujścia kanału w zębach siecznych szczęki należy usunąć zębinę tworzącą wypukłość komorową od strony wargowej; 3) w zębach siecznych żuchwy o konfiguracji typ II według Vertucciego, kanał przedsionkowy jest kanałem głównym, a kanał językowy jest kanałem dodatkowym; 4) w przypadku obecności dwóch kanałów w zębach siecznych żuchwy, poszerzenie endodontyczne należy przesunąć w kierunku brzegu siecznego i dojęzykowo; 5) zarys poszerzenia endodontycznego we wszystkich zębach siecznych ma kształt owalny, a jego wielkość jest zależna od wieku pacjenta. Prawidłowa odpowiedz to:
Pytanie 698
Wskaż prawdziwe stwierdzenie dotyczące zębów leczonych metodami biologicznymi:
Pytanie 699
Wskaż prawdziwe stwierdzenia dotyczące płukania kanałów korzeniowych roztworem NaOCl w trakcie leczenia endodontycznego: 1) całkowita objętość NaOCl użyta podczas opracowania jednego kanału korzeniowego powinna wynosić minimum 1-2 ml; 2) stosując roztwór o stężeniu 2% czas kontaktu preparatu ze ścianą kanału powinien wynosić minimum 30 minut; 3) zbyt długie płukanie kanału NaOCl prowadzi do osłabienia ścian kanału i zwiększa ryzyko powikłań podczas jego mechanicznego opracowania; 4) w kanałach zainfekowanych należy zawsze stosować preparaty o dużym stężeniu; 5) zaleca się płukanie kanału preparatem o niskim stężeniu po stosowaniu chelatorów. Prawidłowa odpowiedz to:
Pytanie 700
Wskaż właściwości cementów tlenkowo-cynkowo-eugenolowych:
Pytanie 701
Wskaż prawdziwe stwierdzenie dotyczące preparatów na bazie wodorotlenku wapnia:
Pytanie 702
VII, jak również VIII generacja systemów adhezyjnych charakteryzuje się:
Pytanie 703
Do postnatalnych ogólnoustrojowych przyczyn rozwojowych wad szkliwa i zębiny, zalicza się:
Pytanie 704
Wskaż prawdziwe stwierdzenia: 1) w ocenie wizualnej zębina nadwrażliwa nie różni się od zębiny niewrażliwej, różni się natomiast nasileniem odpowiedzi na nieszkodliwy bodziec zewnętrzny; 2) wrażliwość pozabiegowa zębiny spowodowana jest skurczem polimeryzacyjnym; 3) nadwrażliwość zębiny w zębach bocznych wypełnionych materiałem kompozytowym wynika najczęściej z przeciążeń zgryzowych lub mikroprzecieku brzeżnego; 4) nadwrażliwość zębiny po zabiegu wybielania zębów z żywą miazgą wynika z wytworzeni kanałów dyfuzyjnych sięgających zębiny i zwiększonej porowatości szkliwa; 5) ból zęba po zacementowaniu koron, zwłaszcza cementami szkło-jonomerowymi, wynika ze skurczu polimeryzacyjnego materiału stosowanego do cementowania; Prawidłowa odpowiedź to:
Pytanie 705
Wskaż prawdziwe stwierdzenia: 1) bakterie metabolizujące cukry do kwasu masłowego lub propionowego mniej zakwaszają środowisko niż bakterie, które wytwarzają kwas octowy, mlekowy i mrówkowy; 2) synteza wewnątrzkomórkowych polisacharydów jest jednym z mechanizmów obronnych S. mutans w sytuacji wysokiej podaży cukru w diecie; 3) w warunkach tlenowych S. mitis i S. sanguis pod wpływem dehydrogenazy pirogronianowej tworzą wyłącznie nadtlenek wodoru i etanol; 4) w warunkach beztlenowych i przy niskiej podaży cukru w diecie paciorkowce, pałeczki kwasu mlekowego i promieniowce wytwarzają kwas mrówkowy, octowy i etanol drogą przemian liazy mrówczanowej; 5) przy wysokim i stałym dowozie cukru do jamy ustnej dominują S. sanguis i S. salivarius. Prawidłowa odpowiedź to:
Pytanie 706
Wskaż prawdziwe stwierdzenia: 1) ryzyko próchnicy wzrasta przy niskim tempie wydzielania śliny niestymulowanej, co związane jest z tempem usuwania węglowodanów z jamy ustnej; 2) mieloperoksydaza i peroksydaza to enzymy syntetyzowane przez komórki pęcherzykowe ślinianek, cechuje je podwójny mechanizm działania: przecibakteryjny i neutralizujący nadtlenek wodoru; 3) dominującym układem buforującym śliny są fosforany nieorganiczne, mniejsze znaczenie mają dwuwęglany i białka; 4) o bardzo małym wydzielaniu śliny stymulowanej mówimy w sytuacji, gdy tempo wydzielania tego rodzaju śliny jest poniżej 0,7 ml/min; 5) stateryna i białka anionowe bogate w prolinę warunkują, obok wapnia i fosforu, remineralizacyjne właściwości śliny; Prawidłowa odpowiedź to:
Pytanie 707
Wskaż prawdziwe stwierdzenia: 1) ból zęba na opukiwanie jest objawem typowym dla zapaleń ostrych i przewlekle zaostrzonych tkanek okołowierzchołkowych, którym towarzyszy tworzenie się wysięku; 2) w początkowej fazie zapalenia ostrego tkanek okołowierzchołkowych ból na nagryzanie jest nieznaczny i nasila się w miarę jak przyjmuje ono charakter ropny; 3) w zapaleniach przewlekłych ropnych tkanek okołowierzchołkowych, ząb reaguje bólem jedynie na opukiwanie poziome; 4) ostre zapalenie miazgi, z silnym odczynem naczyniowym skutkuje pojawieniem się niewielkiej wrażliwości zęba na opukiwanie pionowe; 5) z chorób tkanek okołowierzchołkowych o nietraumatycznej etiologii największą ruchomość powoduje przewlekłe zapalenie ropne. Prawidłowa odpowiedź to:
Pytanie 708
Do gabinetu stomatologicznego zgłosił się 18-letni pacjent. Z wywiadu wiadomo, że ostatnia wizyta stomatologiczna miała miejsce rok temu. Pacjent choruje na cukrzycę typu 1. W badaniu klinicznym stwierdzamy widoczną bez osuszania powierzchni zębów próchnicę styczną na powierzchni dystalnej zęba 24 i białe plamy w okolicy przyszyjkowej zębów 11,12, 21,22. Białe plamy w okolicy przyszyjkowej są twarde bez widocznego ubytku w szkliwie. W badaniu RTG (zdjęcie skrzydłowo-zgryzowe): ubytek na powierzchni dystalnej zęba 24 obejmuje całe szkliwo i powyżej ⅓ grubości zębiny. Widoczny jest również ubytek na powierzchni proksymalnej zęba 25, który obejmuje całe szkliwo i mniej niż ⅓ grubości zębiny. Wskaż prawdziwe stwierdzenie dotyczące leczenia stomatologicznego:
Pytanie 709
Rozpoznawanie próchnicy w gabinecie stomatologicznym wymaga osuszenia zębów. Ta procedura powoduje:
Pytanie 710
Wskaż prawdziwe stwierdzenia dotyczące zaleceń terapeutycznych w zależności od poziomu ryzyka próchnicy wg CAMBRA: 1) przy bardzo wysokim ryzyku próchnicy wizyty kontrolne powinny mieć miejsce co 4 miesiące; badanie RTG skrzydłowo-zgryzowe co 6 miesięcy; badanie śliny jednorazowe na pierwszej wizycie pacjenta w gabinecie, stosowanie pasty z kazeinianem peptydowym i amorficznym raz dziennie; 2) przy niskim ryzyku próchnicy wizyty kontrolne powinny mieć miejsce co 6-12 miesięcy, badanie RTG skrzydłowo-zgryzowe co 24-36 miesięcy, badanie śliny jednorazowe na pierwszej wizycie pacjenta w gabinecie, stosowanie pasty z kazeinianem peptydowym i amorficznym opcjonalne; 3) przy umiarkowanym ryzyku próchnicy wizyty kontrolne powinny mieć miejsce co 4-6 miesięcy, badanie RTG skrzydłowo-zgryzowe co 18-24 miesięcy, badanie śliny w trakcie każdej wizyty pacjenta w gabinecie, stosowanie pasty z kazeinianem peptydowym i amorficznym opcjonalne; 4) przy wysokim ryzyku próchnicy wizyty kontrolne powinny mieć miejsce co 3-4 miesiące, badanie RTG skrzydłowo-zgryzowe co 3 miesiące, badanie śliny jednorazowe na pierwszej wizycie pacjenta w gabinecie, stosowanie pasty z kazeinianem peptydowym i amorficznym opcjonalne. Prawidłowa odpowiedź to:
Pytanie 711
Na skutek wypukłości powierzchni wargowej i podniebiennej komora tego zęba jest obszerniejsza i mniej spłaszczona w wymiarze przedsionkowo-podniebiennym. Miazga ma największe wymiary na granicy komory i korzenia. Kończy się jednym rogiem schodzącym w kierunku punktu siecznego. Z reguły posiada jeden korzeń z kanałem typu I. Sporadycznie ząb ten ma dwa korzenie z dwoma kanałami typu I konfiguracji lub też dwa kanały w jednym korzeniu. Światło kanału jest szerokie i ma przekrój owalny, ale ulega ono znacznemu zwężeniu w ¼ wierzchołkowej. Wierzchołek korzenia może być odchylony dowargowo. Opis dotyczy morfologii komory i systemu kanałowego:
Pytanie 712
Według systemu klasyfikacji NAthoo typ 2 (N2) przebarwień zewnątrzpochodnych powstaje w sytuacji, gdy:
Pytanie 713
Wskaż prawdziwe stwierdzenia dotyczące procedur i środków stosowanych do płukania kanałów korzeniowych: 1) kanał można płukać za pomocą ultradźwięków, już przy poszerzeniu go do rozmiaru 15; 2) objawem słabego oddziaływania toksycznego NaOCl jest zwykle ból leczonego zęba na nagryzanie i opukiwanie; 3) chlorheksydyna, jako środek płuczący jest szczególnie polecana w przypadkach, gdy system kanałowy był narażony na środowisko jamy ustnej; 4) zastosowanie żelu zawierającego EDTA zwalnia lekarza z zastosowania roztworu EDTA po całkowitym opracowaniu kanału; 5) za niewłaściwe uznaje się wielokrotne naprzemienne płukanie kanałów roztworami EDTA i NaOCl. Prawidłowa odpowiedź to:
Pytanie 714
W początkowym okresie rozwoju szkliwiaka różnicujemy go z:
Pytanie 715
Pierwsza faza etapowego usuwania zębiny próchnicowej obejmuje:
Pytanie 716
Kości szczęk, a szczególnie żuchwa bywają miejscem przerzutów raka: płuc, sutka, tarczycy, nerek. W początkowym okresie rozwoju przerzut nowotworowy rzutujący się na wierzchołki korzeni zębów do złudzenia przypomina:
Pytanie 717
Wskaż prawdziwe stwierdzenia: 1) ból zęba na opukiwanie jest objawem typowym dla zapaleń ostrych i przewlekle zaostrzonych tkanek okołowierzchołkowych, którym towarzyszy tworzenie się wysięku; 2) w początkowej fazie zapalenia ostrego tkanek okołowierzchołkowych ból na nagryzanie jest nieznaczny i nasila się w miarę jak przyjmuje ono charakter ropny; 3) w zapaleniach przewlekłych ropnych tkanek okołowierzchołkowych, ząb reaguje bólem jedynie na opukiwanie poziome; 4) ostre zapalenie miazgi, z silnym odczynem naczyniowym skutkuje pojawieniem się niewielkiej wrażliwości zęba na opukiwanie pionowe; 5) z chorób tkanek okołowierzchołkowych o nietraumatycznej etiologii największą ruchomość powoduje przewlekłe zapalenie ropne. Prawidłowa odpowiedź to:
Pytanie 718
Wskaż prawdziwe stwierdzenie charakteryzujące miejsce tworzenia się obrzęku i przebicia ropni w przebiegu zapaleń tkanek okołowierzchołkowych zębów szczęki i żuchwy:
Pytanie 719
Jest pewną odmianą zmian zapalnych w tkankach okołowierzchołkowych, zwłaszcza u pacjentów młodocianych. Najczęściej dotyczy pierwszego zęba trzonowego żuchwy, choć często rozwija się przy wierzchołkach korzeni pozostałych zębów trzonowych i przedtrzonowych. Częściej występuje u kobiet. Jest odczynem kostnotwórczym, którego istota polega na postępującym zwapnieniu kości zlokalizowanej wokół wierzchołka korzeni. Pobudzenie osteoblastów prowadzi do pogrubienia i zlewania się beleczek kostnych. Nadmierne odkładanie soli mineralnych prowadzi do zmniejszania światła jamek szpikowych lub całkowitej ich obliteracji. Niekiedy dochodzi do resorpcji korzeni, pomimo zachowania żywotności miazgi. Opis dotyczy:
Pytanie 720
Wskaż prawdziwe stwierdzenie charakteryzujące przewlekłe ropne zapalenie tkanek okołowierzchołkowych: 1) może występować jako postać pierwotnie przewlekła w następstwie drażnienia bodźcami chorobotwórczymi z kanału korzeniowego; 2) w postaci rozlanej może występować zwiększona ruchomość zęba; 3) w badaniu przedmiotowym stwierdza się powiększone, twarde, niebolesne i nieprzesuwalne węzły chłonne; 4) nie towarzyszą mu jakiekolwiek objawy subiektywne; 5) cechą charakterystyczną jest obecność czynnej lub biernej przetoki i brak ropnego wysięku z kanału. Prawidłowa odpowiedź to:
Pytanie 721
Wskaż prawdziwe stwierdzenia dotyczące wypełniania ubytku amalgamatem: 1) wypełniając ubytek należy zapewnić odpowiednie katy: powierzchniowo-ubytkowy amalgamatu nie powinien przekraczać 110° (90-110°), a brzeżny nie powinien być mniejszy niż 50° (50-100°); 2) w wypełnieniu okluzyjno-stycznym kąt między dnem a ścianą ubytku powinien być zaokrąglony lub zukośniony; 3) minimalna grubość wypełnienia amalgamatowego o małej rozległości na powierzchni żującej powinno wynosić 2 mm, a średnica 2,5-3 mm, w przypadku ubytków rozległych odpowiednio więcej; 4) procedurę wygładzania brzegów szkliwa przeprowadza się tylko w przypadku ubytków pod wypełnienia z amalgamatu; 5) cement tlenkowo-cynkowo-eugenolowy może być stosowany jako jedyny podkład pod wypełnienia amalgamatowe. Prawidłowa odpowiedź to:
Pytanie 722
Wskaż prawdziwe stwierdzenia: 1) zgodnie z zaleceniami ESE (Europejskie Stowarzyszenie Endodontyczne) w zębach z odwracalnym zapaleniem miazgi, w których próchnica w obrazie RTG nie obejmuje ¼ zębiny domiazgowej, wskazane jest selektywne jedno- lub dwuetapowe usuwanie zębiny próchnicowej; 2) drugi etap w tzw. etapowym usuwaniu zębiny próchnicowej polega na usunięciu zębiny próchnicowej do zębiny twardej (nie dającej się zarysować zgłębnikiem) i ostatecznym wypełnieniu ubytku; 3) zgodnie z zaleceniami ESE nieselektywne usunięcie zębiny próchnicowej jest obecnie leczeniem z wyboru próchnicy głębokiej; 4) leczenie próchnicy głębokiej umiejscowionej na powierzchni okluzyjnej metodą przykrycia pośredniego jest łatwiejsze i daje bardziej przewidywalne wyniki niż te, które uzyskuje się podczas leczenia ubytków wielopowierzchniowych; 5) obecnie materiałem z wyboru w metodach przykrycia pośredniego są cementy tlenkowo-eugenolowe. Prawidłowa odpowiedź to:
Pytanie 723
Wskaż prawdziwe stwierdzenia dotyczące procedur i środków stosowanych do płukania kanałów korzeniowych: 1) kanał można płukać za pomocą ultradźwięków, już przy poszerzeniu go do rozmiaru 15; 2) objawem słabego oddziaływania toksycznego NaOCl jest zwykle ból leczonego zęba na nagryzanie i opukiwanie; 3) chlorheksydyna, jako środek płuczący jest szczególnie polecana w przypadkach, gdy system kanałowy był narażony na środowisko jamy ustnej; 4) zastosowanie żelu zawierającego EDTA zwalnia lekarza z zastosowania roztworu EDTA po całkowitym opracowaniu kanału; 5) za niewłaściwe uznaje się wielokrotne naprzemienne płukanie kanałów roztworami EDTA i NaOCl. Prawidłowa odpowiedź to:
Pytanie 724
Na skutek wypukłości powierzchni wargowej i podniebiennej komora tego zęba jest obszerniejsza i mniej spłaszczona w wymiarze przedsionkowo-podniebiennym. Miazga ma największe wymiary na granicy komory i korzenia. Kończy się jednym rogiem schodzącym w kierunku punktu siecznego. Z reguły posiada jeden korzeń z kanałem typu I. Sporadycznie ząb ten ma dwa korzenie z dwoma kanałami typu I konfiguracji lub też dwa kanały w jednym korzeniu. Światło kanału jest szerokie i ma przekrój owalny, ale ulega ono znacznemu zwężeniu w ¼ wierzchołkowej. Wierzchołek korzenia może być odchylony dowargowo. Opis dotyczy morfologii komory i systemu kanałowego:
Pytanie 725
U których pacjentów przed leczeniem endodontycznym (przewlekłe ropne zapalenie tkanek okołowierzchołkowych) zastosujesz profilaktykę antybiotykową?
Pytanie 726
Procedura rewitalizacji prowadzi do:
Pytanie 727
Zęby leczone metodą rewaskularyzacji podczas pierwszej wizyty. Zaleca się następujący schemat płukania kanału korzeniowego (wytyczne Amerykańskiego Stowarzyszenia Endodontów):
Pytanie 728
W przypadku zabiegu rewitalizacji, aktywacja obecnych w zębinie czynników wzrostu zachodzi pod wpływem:
Pytanie 729
Wskaż fałszywe stwierdzenie dotyczące tkanki miazgowo-ozębnowej:
Pytanie 730
Wskaż prawdziwe stwierdzenia dotyczące klinicznych aspektów odbudowy ubytków: 1) kanapkę zamkniętą stosuje się wtedy, gdy wszystkie brzegi ubytku znajdują się w szkliwie; cement szkło-jonomerowy odbudowuje zębinę, a kompozyt szkliwo; 2) w sytuacji, gdy brzeg dodziąsłowy znajduje się w obrębie cementu/zębiny korzeniowej, cement szkło-jonomerowy pozostawia się w części przydziąsłowej bez pokrycia go kompozytem-kanapka otwarta; 3) w przypadku wypełniania ubytku metodą kanapki otwartej ścina się ukośnie brzeg przydziąsłowy ubytku na powierzchni stycznej; 4) w metodzie warstw dziąsłowo-okluzyjnych warstwy materiału są umieszczane poziomo, kolejno jedna na drugiej; 5) w metodzie warstw policzkowo-językowych pierwsza warstwa kompozytu jest umieszczana na powierzchni zębiny bez kontaktu z przeciwległymi ścianami ubytku, kolejne warstwy wprowadzane są w kształcie klina. Prawidłowa odpowiedź to:
Pytanie 731
Wskaż prawdziwe stwierdzenie dotyczące estetycznej odbudowy zębów przednich:
Pytanie 732



